Sign in to use this feature.

Years

Between: -

Subjects

remove_circle_outline
remove_circle_outline
remove_circle_outline
remove_circle_outline
remove_circle_outline
remove_circle_outline
remove_circle_outline
remove_circle_outline
remove_circle_outline

Journals

remove_circle_outline
remove_circle_outline
remove_circle_outline
remove_circle_outline
remove_circle_outline
remove_circle_outline
remove_circle_outline
remove_circle_outline
remove_circle_outline

Article Types

Countries / Regions

remove_circle_outline
remove_circle_outline
remove_circle_outline
remove_circle_outline

Search Results (997)

Search Parameters:
Keywords = half width

Order results
Result details
Results per page
Select all
Export citation of selected articles as:
25 pages, 2693 KB  
Article
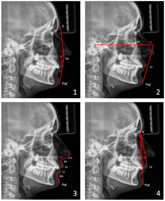
Morphometric Findings in Adolescents with Robin Sequence: A Photographic and Cephalometric Study of the Face and Mandible
by Silvia Müller-Hagedorn, Helen So, Brigitte Vi-Fane, Véronique Soupre, Bachar Houssamo, Nancy Vegas, Walter Lehmacher, Arnaud Picard and Véronique Abadie
Children 2026, 13(2), 242; https://doi.org/10.3390/children13020242 - 9 Feb 2026
Viewed by 141
Abstract
Background: The aims of the study were to describe facial morphology and analyze facial growth in adolescents with Robin sequence (RS) or Stickler syndrome. Methods: The facial morphology, mandibular size, and facial growth of 69 adolescents (ages 12–18) with RS were analyzed using [...] Read more.
Background: The aims of the study were to describe facial morphology and analyze facial growth in adolescents with Robin sequence (RS) or Stickler syndrome. Methods: The facial morphology, mandibular size, and facial growth of 69 adolescents (ages 12–18) with RS were analyzed using existing cephalometric radiographs (n = 37) and photographs (n = 69). All participants were followed in our institution since birth. None underwent growth-modifying treatment for micrognathia during infancy, but all had conservative orthodontic treatment during adolescence. Results: Cross-sectional cephalometric analysis according to Tweed revealed differences in RS adolescents as compared with reference values, such as a proportionate retrusion of both jaws, as indicated by decreased SNA and SNB angles (p < 0.05). This finding was mostly associated with skeletal Class I (62.2%) and a vertical facial pattern as indicated by increased FMA and CoGoMe angles (p < 0.05). In Delaire’s analysis, patients showed decreased maxillary, maxillary alveolar (p < 0.05), and mandibular body territories (p > 0.05) but increased ramus (p > 0.05) and nasopremaxillary territories (p < 0.05). According to Ricketts’ analysis, mandibular width was decreased in half of our patients (p > 0.05). The mandibles were harmoniously downsized before and after the growth spurt (p < 0.05); however, they exhibited greater growth velocities than controls. A long-term study during puberty revealed an increase in SNB angles and a decrease in ANB angles (both p < 0.05), which improved the maxillomandibular relationship. Additionally, the vertical facial pattern attenuated (FMA, SNGoGn, and CoGoMe angles decreased; p > 0.05). On cross-sectional photographic analysis, 33.3% of patients had an orthofrontal (straight), 59.4% a cisfrontal (convex), and 7.3% a transfrontal (concave) profile. Their vertical facial proportions were normal. In the subjective profile analysis, most patients (approximately 84%) had good or acceptable profiles, with no major deficit of chin projection. The initial degree of neonatal retrognathia and type of cleft palate surgery did not affect major skeletal parameters (p > 0.05). However, the degree of neonatal functional impairment affected the vertical parameters (SNGoGn, FMA angle; p < 0.05). Conclusions: Overall, RS patients presented a bi-retrognathic profile, a normal jaw relationship, and a tendency toward a vertical growth pattern. Partial mandibular catch-up growth occurred during the pubertal growth spurt. The degree of neonatal retrognathia does not predict further mandibular growth. Full article
(This article belongs to the Special Issue Current Advances in Paediatric Sleep Medicine (2nd Edition))
Show Figures

Figure 1

17 pages, 1817 KB  
Article
Design and Numerical Analysis of an Ultra-Sensitive π-Configuration Fibre Optic-Based SPR Sensor: Dual Plasmonic Enhancement for Low-Refractive-Index Biomolecular Detection
by John Ehiabhili, Radhakrishna Prabhu and Somasundar Kannan
Photonics 2026, 13(2), 147; https://doi.org/10.3390/photonics13020147 - 3 Feb 2026
Viewed by 185
Abstract
Surface plasmon resonance (SPR)-based optical fibre sensors have transformed label-free biosensing; however, single-interface evanescent field interactions continue to limit their sensitivity. This study presents a novel π-configuration optical fibre-based surface plasmon resonance sensor that greatly increases sensitivity by enabling dual plasmonic excitation on [...] Read more.
Surface plasmon resonance (SPR)-based optical fibre sensors have transformed label-free biosensing; however, single-interface evanescent field interactions continue to limit their sensitivity. This study presents a novel π-configuration optical fibre-based surface plasmon resonance sensor that greatly increases sensitivity by enabling dual plasmonic excitation on two symmetrically polished surfaces coated with optimized metallic thin films (Ag, Au, or Cu). We show, using finite element method simulations in COMSOL Multiphysics v6.3, that the π-configuration increases the interaction volume between the analyte and guided light, resulting in an enhanced sensitivity of 3300 nm/RIU for silver at refractive index (RI) 1.37–1.38, which is a 120% improvement over traditional D-shaped sensors (1500 nm/RIU). The maximum field norm for the π-configuration sensor is approximately 1.4 times greater than the maximum observed for the D-shaped SPR sensor at an analyte RI of 1.38. The sensor’s performance is evaluated using full-width half-maximum, wavelength sensitivity, and wavelength interrogation metrics. For the π-configuration sensor at an analyte RI of 1.38, the values of the FWHM, figure of merit, detection accuracy, and confinement loss were 36 nm, 94.29 RIU−1, 0.94, and 38.5 dB/cm, respectively. The results obtained are purely simulated using COMSOL. With the support of electric field confinement analysis, a thorough theoretical framework describes the crucial coupling regime that causes ultra-high sensitivity at low RI. This design provides new opportunities for environmental monitoring, low-abundance biomarker screening, and early-stage virus detection, where it is necessary to resolve minute RI changes with high precision. Full article
Show Figures

Figure 1

14 pages, 4826 KB  
Article
Quasi-BIC Terahertz Metasurface-Microfluidic Sensor for Organic Compound Detection
by Liang Wang, Kang Chen, Jiahao Niu, Bo Zhang, Qi Lu, Wei Yu, Yanan Xiao, Yi Ni and Chengkun Dong
Photonics 2026, 13(2), 127; https://doi.org/10.3390/photonics13020127 - 29 Jan 2026
Viewed by 227
Abstract
Bound states in the continuum (BICs) can be transformed into quasi-bound states (quasi-BICs) via intentional symmetry breaking, thereby enabling ultrahigh-Q resonances critical for refractometric sensing applications. To advance detection capabilities for organic analytes, we proposed an all-dielectric metasurface monolithically integrated within a [...] Read more.
Bound states in the continuum (BICs) can be transformed into quasi-bound states (quasi-BICs) via intentional symmetry breaking, thereby enabling ultrahigh-Q resonances critical for refractometric sensing applications. To advance detection capabilities for organic analytes, we proposed an all-dielectric metasurface monolithically integrated within a microfluidic channel. Mirror symmetry was intentionally disrupted through a cylindrical perturbation applied to one of two identical elliptical resonators, which excited a quasi-BIC mode at 1.9591 THz with a numerically validated Q-factor of 1959. This resonance manifested an absorption peak approaching unity, featuring a full-width at half-maximum (FWHM) of merely 1 GHz. Multipolar decomposition revealed that the mode originated from a synergistic electric-quadrupole (EQ)–magnetic-dipole (MD) pair, wherein the EQ contribution exceeded the MD counterpart by 20%. Capitalizing on this high-Q resonance, the sensor attained a sensitivity of 240 GHz per refractive-index unit (GHz RIU−1) and a figure of merit (FOM = S/FWHM) of 240, while demonstrating robust performance against fabrication tolerances spanning −4% to +4%. Additionally, we verified that oblique-incidence illumination could activate a quasi-BIC within the identical spectral band, circumventing the need for structural asymmetry and thus expanding operational versatility. Benefiting from its geometric simplicity and competitive performance, this architecture exhibited substantial potential for on-chip sensing of organic compounds. Full article
(This article belongs to the Special Issue Advances in Optical Sensors and Applications)
Show Figures

Figure 1

15 pages, 5484 KB  
Article
Proximity-Assisted Synthesis of Large Area MoS2 on Different Target Substrates by Chemical Vapor Deposition Using a Mo Nanofilm Substrate
by Muhammad Tariq, William Poston, Norah Aldosari, Gregory Jensen, Maryam Bizhani and Eric Stinaff
Nanomaterials 2026, 16(3), 159; https://doi.org/10.3390/nano16030159 - 24 Jan 2026
Viewed by 541
Abstract
Despite efforts to produce scalable, substrate-independent, low-defect-density, and high-quality MoS2, this continues to be a critical challenge for industrial-scale applications. This work aims to present a chemical vapor deposition (CVD) method for growing high-quality and potentially large-area mono- to few-layer MoS [...] Read more.
Despite efforts to produce scalable, substrate-independent, low-defect-density, and high-quality MoS2, this continues to be a critical challenge for industrial-scale applications. This work aims to present a chemical vapor deposition (CVD) method for growing high-quality and potentially large-area mono- to few-layer MoS2 films via proximity between the Mo nanofilm substrate and the target substrates. By using stoichiometry-guided knowledge of Mo-S and Mo-O-S phase diagrams, Mo nanofilms are oxidized and then sulfurized under optimized conditions to grow high-quality, millimeter-scale mono- to few-layer MoS2 films in proximity to the target substrate. We have achieved millimeter-scale continuous growth of MoS2 revealed via optical microscopy. Two-dimensional Raman maps of Full Width at Half Maximum show high-quality growth, and photoluminescence-based B/A exciton amplitude ratio shows high crystalline and optical quality with low defect density. Full article
(This article belongs to the Section Synthesis, Interfaces and Nanostructures)
Show Figures

Figure 1

21 pages, 28550 KB  
Article
Design, Calibration, and On-Site Validation of an LCVR-Driven Fast-Tunable Lyot Filter for the YOGIS Coronagraph
by Tengfei Song, Yu Liu, Xuefei Zhang, Mingyu Zhao and Zhen Li
Photonics 2026, 13(1), 76; https://doi.org/10.3390/photonics13010076 - 16 Jan 2026
Viewed by 196
Abstract
The Lyot filter, a fundamental element of the Yunnan Observatories Coronagraph Green-line Imaging System (YOGIS) at Lijiang Observatory, utilizes a Liquid Crystal Variable Retarder (LCVR) for swift electrical modulation. This filter allows for precise observations of the coronal green line (Fe XIV, central [...] Read more.
The Lyot filter, a fundamental element of the Yunnan Observatories Coronagraph Green-line Imaging System (YOGIS) at Lijiang Observatory, utilizes a Liquid Crystal Variable Retarder (LCVR) for swift electrical modulation. This filter allows for precise observations of the coronal green line (Fe XIV, central wavelength 5303 Å) with a narrow full-width at half-maximum (FWHM) of 1 Å and enables rapid adjustment of the transmission band wavelength. This feature aids in capturing the sky background intensity around the green line and images of two line wings (offset by ±0.45 Å from the central wavelength), crucial for determining the green line’s Doppler shift. By employing sky background subtraction and processing line wing images, an improved signal-to-noise ratio (SNR) in coronal green line images is achieved. The YOGIS Lyot filter, an enhancement of the NOrikura Green-line Imaging System (NOGIS) filter, operates at a wavelength of 5303 Å, offers a wavelength tuning range of ±2 Å, and tunes within <60 ms. This study elucidates the filter’s design principles, outlines essential calibration procedures, and validates its performance through on-site observations using the YOGIS. Full article
Show Figures

Figure 1

16 pages, 2384 KB  
Article
Advanced Performance of Photoluminescent Organic Light-Emitting Diodes Enabled by Natural Dye Emitters Considering a Circular Economy Strategy
by Vasyl G. Kravets, Vasyl Petruk, Serhii Kvaterniuk and Roman Petruk
Optics 2026, 7(1), 8; https://doi.org/10.3390/opt7010008 - 15 Jan 2026
Viewed by 284
Abstract
Organic optoelectronic devices receive appreciable attention due to their low cost, ecology, mechanical flexibility, band-gap engineering, brightness, and solution process ability over a broad area. In this study, we designed and studied organic light-emitting diodes (OLEDs) consisting of an assembly of natural dyes, [...] Read more.
Organic optoelectronic devices receive appreciable attention due to their low cost, ecology, mechanical flexibility, band-gap engineering, brightness, and solution process ability over a broad area. In this study, we designed and studied organic light-emitting diodes (OLEDs) consisting of an assembly of natural dyes, extracted from noble fir leaves (evergreen) and blue hydrangea flowers mixed with poly-methyl methacrylate (PMMA) as light emitters. We experimentally demonstrate the effective conversion of blue light emitted by an inorganic laser/photodiode into longer-wavelength red and green tunable photoluminescence due to the excitation of natural dye–PMMA nanostructures. UV-visible absorption and photoluminescence spectroscopy, ellipsometry, and Fourier transform infrared methods, together with optical microscopy, were performed for confirming and characterizing the properties of light-emitting diodes based on natural dyes. We highlighted the optical and physical properties of two different natural dyes and demonstrated how such characteristics can be exploited to make efficient LED devices. A strong pure red emission with a narrow full-width at half maximum (FWHM) of 23 nm in the noble fir dye–PMMA layer and a green emission with a FWHM of 45 nm in blue hydrangea dye–PMMA layer were observed. It was revealed that adding monolayer MoS2 to the nanostructures can significantly enhance the photoluminescence of the natural dye due to a strong correlation between the emission bands of the inorganic–organic emitters and back mirror reflection of the excitation blue light from the monolayer. Based on the investigation of two natural dyes, we demonstrated viable pathways for scalable manufacturing of efficient hybrid OLEDs consisting of assembly of natural-dye polymers through low-cost, purely ecological, and convenient processes. Full article
(This article belongs to the Section Engineering Optics)
Show Figures

Figure 1

19 pages, 3913 KB  
Article
Wide Range Dual Active Half-Bridge Resonant Converter with PWM Control and Load-Independent Voltage Gain Characteristics
by Jingtao Xu, Sirui Huang and Lulin Zhang
Electronics 2026, 15(2), 346; https://doi.org/10.3390/electronics15020346 - 13 Jan 2026
Viewed by 298
Abstract
This paper proposes a fixed frequency pulse width modulation (PWM) for a dual active half-bridge resonant converter. The wide voltage range can be achieved without adding any additional components, and the voltage gain characteristic is independent of the load. Meanwhile, all switches can [...] Read more.
This paper proposes a fixed frequency pulse width modulation (PWM) for a dual active half-bridge resonant converter. The wide voltage range can be achieved without adding any additional components, and the voltage gain characteristic is independent of the load. Meanwhile, all switches can achieve full range zero voltage switching (ZVS). The driving logic is unified between the primary and secondary sides, allowing for the implementation of both boost and buck modes. Hence, the control logic is simple. In addition, the multiple-order harmonic analysis of the resonant tank is proposed without complex time-domain calculations. Hence, the expression of voltage gain, current characteristics, and soft switching conditions can be conveniently analyzed. Finally, a 500 W experimental prototype was built. The experimental results prove the effectiveness and superiority of the proposed solution. Full article
(This article belongs to the Special Issue Modelling, Design and Implementation of Power Electronic Converters)
Show Figures

Figure 1

13 pages, 2012 KB  
Article
Sub-Diffraction Photoacoustic Microscopy Enabled by a Novel Phase-Shifted Excitation Strategy: A Numerical Study
by George J. Tserevelakis
Sensors 2026, 26(2), 498; https://doi.org/10.3390/s26020498 - 12 Jan 2026
Viewed by 434
Abstract
This numerical simulation study introduces a novel phase-shifted Gaussian and donut beam excitation strategy for frequency-domain photoacoustic microscopy, capable of achieving optical sub-diffraction-limited lateral resolution. We demonstrate that the spatial overlapping of Gaussian and donut beams with π-radian phase-shifted intensity modulation may confine [...] Read more.
This numerical simulation study introduces a novel phase-shifted Gaussian and donut beam excitation strategy for frequency-domain photoacoustic microscopy, capable of achieving optical sub-diffraction-limited lateral resolution. We demonstrate that the spatial overlapping of Gaussian and donut beams with π-radian phase-shifted intensity modulation may confine the effective photoacoustic excitation region, substantially reducing the beam-waist-normalized full width at half maximum value from 1.177 to 0.828 units. This effect corresponds to a ~1.42-fold lateral resolution enhancement compared with conventional focused Gaussian beam excitation. Furthermore, the influence of the optical power ratio between the beams was systematically analyzed, revealing an optimal value of 1.16, balancing excitation confinement and side-lobe suppression. Within this framework, the presented simulation results establish a basis for the experimental realization of phase-shifted dual-beam excitation photoacoustic microscopy systems, with a potential impact on high-resolution biomedical imaging of subcellular and microvascular structures using low-cost continuous-wave optical sources such as laser diodes. Full article
(This article belongs to the Special Issue Recent Trends and Advances in Biomedical Optics and Imaging)
Show Figures

Figure 1

12 pages, 946 KB  
Article
Development of DEEP-URO, a Generic Research Tool for Enhancing Antimicrobial Stewardship in a Surgical Specialty
by Eva Falkensammer, Béla Köves, Florian Wagenlehner, José Medina-Polo, Ana-María Tapia-Herrero, Elizabeth Day, Fabian Stangl, Laila Schneidewind, Jennifer Kranz, Truls Erik Bjerklund Johansen and Zafer Tandogdu
Antibiotics 2026, 15(1), 74; https://doi.org/10.3390/antibiotics15010074 - 9 Jan 2026
Viewed by 423
Abstract
Introduction: The appropriate use of antibiotic prophylaxis (AP) in surgical procedures is an ongoing debate. There is a lack of evidence, and urological guidelines provide limited, procedure-specific recommendations. Our aim was to develop a generic model of an audit to define the [...] Read more.
Introduction: The appropriate use of antibiotic prophylaxis (AP) in surgical procedures is an ongoing debate. There is a lack of evidence, and urological guidelines provide limited, procedure-specific recommendations. Our aim was to develop a generic model of an audit to define the need for AP in urological procedures, as well as in other surgical specialties. Material and Methods: Based on our experience with the Global Prevalence of Infections in Urology (GPIU) study and a literature review, we defined benchmark standards for 30-day infection rates, including sepsis, and estimated the number of patients needed to be included in a comparative study of AP versus no AP for a surgical procedure within one year. The generic study model was developed during a modified consensus process within the UTISOLVE research group. Urology departments giving and not giving AP were invited to join our development project as an extension of GPIU. Results: Radical prostatectomy was used as a model procedure. Ca. 60 urology centers performing more than 50 radical prostatectomies per year signed up. There was variation in AP practice among sites. Our own review showed that infection rates were ca. 5%, with severe infections, including sepsis, occurring in <0.5% of cases. A sample of 1825 patients would be required to achieve a 95% confidence interval half-width of ±1.0% for general infections. For sepsis, assuming an incidence of 0.5%, a sample of 2124 patients would be needed to reach a 95% confidence interval precision of ±0.30%. Enrollment of 2070 consecutive procedures would be needed to yield precisions of ±0.94% for infection and ±0.30% for sepsis. Based on the number of procedures performed and the number of interested study sites, we agreed on a prospective, multi-center, non-interventional service evaluation, expected to collect standardized data over a 3-month period. The primary outcome was defined as the 30-day incidence of infectious complications. All patients will undergo 30-day post-procedure follow-up through routine clinical care pathways. Conclusions: Our audit model is based on benchmarking of relevant outcomes. It defines how to assess AP in surgical procedures and clarifies a series of issues necessary to defend the status of a generic study model. We regard DEEP-URO to be a comprehensive, multi-center-based initiative that will help balance infection prevention with antimicrobial stewardship and improve the quality of clinical practice and personalized medicine. Full article
Show Figures

Figure 1

21 pages, 6409 KB  
Article
Numerical Study on Oil Particle Enrichment in a Rectangular Microfluidic Channel Based on Acoustic Standing Waves
by Zhenzhen Liu, Jingrui Wang, Yong Cai, Yan Liu, Xiaolei Hu and Haoran Yan
Micromachines 2026, 17(1), 79; https://doi.org/10.3390/mi17010079 - 7 Jan 2026
Viewed by 266
Abstract
This study presents a method for enriching oil-suspended particles within a rectangular microfluidic channel using acoustic standing waves. A modified Helmholtz equation is solved to establish the acoustic field model, and the equilibrium between acoustic radiation forces and viscous drag is described by [...] Read more.
This study presents a method for enriching oil-suspended particles within a rectangular microfluidic channel using acoustic standing waves. A modified Helmholtz equation is solved to establish the acoustic field model, and the equilibrium between acoustic radiation forces and viscous drag is described by combining Gor’kov potential theory with the Stokes drag model. Based on this force balance, the particle motion equation is derived, enabling the determination of the critical particle size necessary for efficient enrichment in oil-filled microchannels. A two-dimensional standing-wave microchannel model is subsequently developed, and the influences of acoustic, fluidic, and particle parameters on particle migration and aggregation are systematically investigated through theoretical analysis and numerical simulations. The results indicate that when the channel dimension and acoustic wavelength satisfy the half-wavelength resonance condition, a stable standing-wave field forms, effectively focusing suspended particles at the acoustic pressure nodes. Enrichment efficiency is found to be strongly dependent on inlet flow velocity, particle diameter, acoustic frequency, temperature, and particle density. Lower flow velocities and larger particle sizes result in higher enrichment efficiencies, with the most uniform and stable pressure distribution achieved when the acoustic frequency matches the resonant channel width. Increases in temperature and particle density enhance the acoustic radiation force, thereby accelerating the aggregation of particles. These findings offer theoretical foundations and practical insights for acoustically assisted online monitoring of wear particles in lubricating oils, contributing to advanced condition assessment and fault diagnosis in mechanical systems. Full article
(This article belongs to the Special Issue Recent Development of Micro/Nanofluidic Devices, 2nd Edition)
Show Figures

Figure 1

12 pages, 6822 KB  
Article
Design of Low-Pass Corrugated Filters Based on Half-Mode Groove Gap Waveguide Technology
by Stephan Marini, Antonio Seller Rueda, Pablo Soto, Encarnación Gimeno Nieves and Vicente E. Boria
Electronics 2026, 15(1), 234; https://doi.org/10.3390/electronics15010234 - 5 Jan 2026
Viewed by 330
Abstract
In this paper, low-pass corrugated filters based on half-mode groove gap waveguide (HMGGW) technology are proposed for the first time. The design process starts from the equivalent classical low-pass implementation in corrugated rectangular waveguide. Then, the final response is achieved after a slight [...] Read more.
In this paper, low-pass corrugated filters based on half-mode groove gap waveguide (HMGGW) technology are proposed for the first time. The design process starts from the equivalent classical low-pass implementation in corrugated rectangular waveguide. Then, the final response is achieved after a slight re-optimization of groove widths and lengths. As a proof of concept, two corrugated low-pass filters with upper cutoff frequencies at 27 and 29.5 GHz, and maximum attenuation rejection at 34.5 and 39 GHz, respectively, have been designed and manufactured. In spite of the frequency range of operation, the return losses are better than 19.5 dB for both tuning-less filter prototypes, while measured insertion losses are lower than 0.25 dB and 0.3 dB, respectively, in almost the entire passband. The very good agreement between simulations and measurements fully validates the use of this new emerging technology for the implementation of low-pass filters at high frequency bands. Full article
(This article belongs to the Section Microwave and Wireless Communications)
Show Figures

Figure 1

18 pages, 4575 KB  
Article
Analysis of Echo Characteristics of Pulsed Laser Short-Range Detection Based on Light Cone Beam Expansion Mechanism
by Changkun Ke, Lin Gan, He Zhang and Miaomiao Chen
Appl. Sci. 2026, 16(1), 309; https://doi.org/10.3390/app16010309 - 28 Dec 2025
Viewed by 246
Abstract
This study aims to fill the existing gap in laser detection research, particularly regarding how the waveform of outgoing laser pulses affects detection performance. Based on the mechanism of light cone beam expansion, this study emits three different laser pulse signals to detect [...] Read more.
This study aims to fill the existing gap in laser detection research, particularly regarding how the waveform of outgoing laser pulses affects detection performance. Based on the mechanism of light cone beam expansion, this study emits three different laser pulse signals to detect short-range targets. A theoretical model for short-range ranging of these lasers is established, and the effects of emission power, divergence angle, and equivalent root mean square noise voltage on circumferential detection accuracy are simulated and experimentally measured. As emission power decreases, both echo amplitude and detection accuracy decline for all three pulsed lasers. Additionally, except for the inverted parabolic function, both echo amplitude and detection accuracy decrease with reduced divergence angle. An increase in equivalent root mean square noise voltage broadens the half-width of the probability density distribution for pulsed laser detection. The mean central position deviation between the ideal and measured detection probability density distributions of the heavy-tailed function laser pulses shows the best performance and the highest fidelity, which are +0.01 m, +0.05 m, and +0.02 m, respectively, which is of great significance for the development of laser detection technology. Full article
(This article belongs to the Section Optics and Lasers)
Show Figures

Figure 1

23 pages, 2352 KB  
Article
RSONAR: Data-Driven Evaluation of Dual-Use Star Tracker for Stratospheric Space Situational Awareness (SSA)
by Vithurshan Suthakar, Ian Porto, Marissa Myhre, Aiden Alexander Sanvido, Ryan Clark and Regina S. K. Lee
Sensors 2026, 26(1), 179; https://doi.org/10.3390/s26010179 - 26 Dec 2025
Viewed by 594
Abstract
The growing density of Earth-orbiting objects demands improved Space Situational Awareness (SSA) to mitigate collision risks and sustain space operations. This study demonstrates a dual-purpose star tracker (ST) for SSA using data from the Resident Space Object Near-space Astrometric Reconnaissance (RSONAR) stratospheric balloon [...] Read more.
The growing density of Earth-orbiting objects demands improved Space Situational Awareness (SSA) to mitigate collision risks and sustain space operations. This study demonstrates a dual-purpose star tracker (ST) for SSA using data from the Resident Space Object Near-space Astrometric Reconnaissance (RSONAR) stratospheric balloon campaign under the 2022 Canadian Space Agency–Centre National d’Études Spatiales (CSA–CNES) STRATOS program. The low-cost optical payload—a wide-field monochromatic imager flown at 36 km altitude—acquired imagery subsequently used for post-processed attitude determination and Resident Space Object (RSO) detection. During stabilized pointing, over 27,000 images yielded sub-pixel astrometry and stable image quality (mean full-width-Half-maximum ≈ 388 arcsec). Photometric calibration to the Tycho-2 catalog achieved 0.37 mag root mean square (RMS) scatter, confirming radiometric uniformity. Apparent angular velocities of 7×102 to 8×103 arcsec s1 corresponded to sunlit low-Earth-orbit (LEO) objects observed at 25°–35° phase angles. Covariance-weighted Mahalanobis correlation with two-line elements (TLEs) achieved sub-arcminute positional agreement. The Proximity Filtering and Tracking (PFT) algorithm identified 22,036 total RSO and 387 total streaks via image stacking. Results confirm that commercial off-the-shelf STs can serve as dual-use SSA payloads, and that stratospheric ballooning offers a viable alternative for optical SSA research. Full article
(This article belongs to the Special Issue Sensors for Space Situational Awareness and Object Tracking)
Show Figures

Figure 1

18 pages, 4000 KB  
Article
Broadband Seismic Metamaterials Based on Gammadion-Shaped Chiral Structures
by Yawen Shen, Boyang Zhang, Pengcheng Ma, Qiujiao Du, Hongwu Yang, Pai Peng and Fengming Liu
Crystals 2025, 15(12), 1063; https://doi.org/10.3390/cryst15121063 - 18 Dec 2025
Viewed by 388
Abstract
Controlling seismic wave propagation to protect critical infrastructure through metamaterials has emerged as a frontier research topic. The narrow bandgap and heavy weight of a resonant seismic metamaterial (SM) limit its application for securing buildings. In this research, we first develop a two-dimensional [...] Read more.
Controlling seismic wave propagation to protect critical infrastructure through metamaterials has emerged as a frontier research topic. The narrow bandgap and heavy weight of a resonant seismic metamaterial (SM) limit its application for securing buildings. In this research, we first develop a two-dimensional (2D) seismic metamaterial with gammadion-shaped chiral inclusions, achieving a high relative bandgap width of 77.34%. Its effective mass density is investigated to clarify the generation mechanism of the bandgap due to negative mass density between 12.53 and 28.33 Hz. Then, the gammadion-shaped pillars are introduced on a half-space to design a three-dimensional (3D) chiral SM to attenuate Rayleigh waves within a wider low-frequency range. Further, time-frequency analyses for real seismic waves and scaled experimental tests confirm the practical feasibility of the 3D SM. Compared with common resonant SMs, our chiral configurations offer a wider attenuation zone and lighter weight. Full article
(This article belongs to the Special Issue Research and Applications of Acoustic Metamaterials)
Show Figures

Figure 1

16 pages, 3362 KB  
Article
DCL-A: An Unsupervised Ultrasound Beamforming Framework with Adaptive Deep Coherence Loss for Single Plane Wave Imaging
by Taejin Kim, Seongbin Hwang, Minho Song and Jinbum Kang
Diagnostics 2025, 15(24), 3193; https://doi.org/10.3390/diagnostics15243193 - 14 Dec 2025
Viewed by 522
Abstract
Background/Objectives: Single plane wave imaging (SPWI) offers ultrafast acquisition rates suitable for real-time ultrasound imaging applications; however, its image quality is compromised by beamforming artifacts such as sidelobe and grating lobe interferences. Methods: In this paper, we introduce an unsupervised beamforming [...] Read more.
Background/Objectives: Single plane wave imaging (SPWI) offers ultrafast acquisition rates suitable for real-time ultrasound imaging applications; however, its image quality is compromised by beamforming artifacts such as sidelobe and grating lobe interferences. Methods: In this paper, we introduce an unsupervised beamforming framework based on adaptive deep coherence loss (DCL-A), which employs linear (αlinear) or nonlinear weighting (αnonlinear) within the coherence loss function to enhance the artifact suppression and improve overall image quality. During training, the adaptive weight (α) is determined by the angular distance between the input and target PW frames, assigning lower α values for smaller distances and higher α values for larger distances. Therefore, this adaptability enables the method to surpass conventional DCL (no weighting) by emphasizing the different spatial correlation characteristics of mainlobe and sidelobe signals. To assess the performance of the proposed method, we trained and validated the network using publicly available datasets, including simulation, phantom and in vivo images. Results: In the simulation and phantom studies, the DCL-A with αnonlinear outperformed the comparison methods (i.e., conventional DCL and DCL-A with αlinear) in terms of peak range sidelobe level (PRSLL), achieving 7 dB and 14 dB greater sidelobe suppression, respectively, while maintaining a comparable full width at half maximum (FWHM). In the in vivo study, it achieved the highest contrast resolution among the comparison methods, yielding 2% and 3% improvements in generalized contrast-to-noise ratio (gCNR), respectively. Conclusions: These results demonstrate that the proposed deep learning-based beamforming framework can significantly enhance SPWI image quality without compromising frame rate, indicating promising potential for high-speed, high-resolution clinical applications such as cardiac assessment and real-time interventional guidance. Full article
(This article belongs to the Section Medical Imaging and Theranostics)
Show Figures

Figure 1

Back to TopTop