Sign in to use this feature.

Years

Between: -

Subjects

remove_circle_outline
remove_circle_outline
remove_circle_outline
remove_circle_outline
remove_circle_outline
remove_circle_outline

Journals

Article Types

Countries / Regions

Search Results (20)

Search Parameters:
Keywords = glans penis

Order results
Result details
Results per page
Select all
Export citation of selected articles as:
12 pages, 4145 KB  
Systematic Review
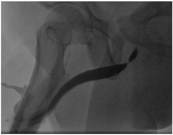
The Presentation and Treatment of Myointimoma: A Systematic Review and the First Case Report of Penile Myointimoma as a Cause of Urethral Obstruction
by Deirdre Maria König-Castillo, Armin Henning, Richard Wasicky, Clemens Kinsky, H. Christoph Klingler and Eva M. Compérat
J. Clin. Med. 2026, 15(3), 1130; https://doi.org/10.3390/jcm15031130 - 1 Feb 2026
Viewed by 141
Abstract
Background/Objectives: Myointimoma is a rare, benign soft tissue tumor of the penis. We present a systematic review of the current literature and a case report of a 33-year-old male with a urethral stricture without discernible risk factors. Our aim was to investigate current [...] Read more.
Background/Objectives: Myointimoma is a rare, benign soft tissue tumor of the penis. We present a systematic review of the current literature and a case report of a 33-year-old male with a urethral stricture without discernible risk factors. Our aim was to investigate current knowledge on Myointimomas and increase the awareness of this entity. Methods: A systematic literature search was conducted across EMBASE, MEDLINE, PubMed, Scopus, Web of Science, and Google Scholar. Only 30 previously reported cases of this tumor are known—all located at the glans penis or in close proximity to it. Results: After the exclusion of non-eligible studies, 14 studies were included. Conclusions: Myointimomas are a relevant differential diagnosis in recurring cases of bladder outlet obstruction. Full article
(This article belongs to the Section Nephrology & Urology)
Show Figures

Figure 1

13 pages, 1826 KB  
Article
The Human Penile Fibro-Vascular Assembly Requires the Integrity of Ten Fibro-Ligaments
by Heng-Shuen Chen, Chu-Wen Fang, Raymond W. M. Tsai, Chih-Yuan Hsu, Geng-Long Hsu, Hsiu-Chen Lu, Mang-Hung Tsai and Jeff S. C. Chueh
Life 2025, 15(9), 1492; https://doi.org/10.3390/life15091492 - 22 Sep 2025
Viewed by 2054
Abstract
Introduction: Penile fibro-ligaments have been extensively studied for many centuries; however, there is, unfortunately, a lack of thorough understanding. We aimed to bridge the research gap between anatomy and surgical reconstruction. Methods: We excluded cadaveric penises, already dissected and disassembled by medical students, [...] Read more.
Introduction: Penile fibro-ligaments have been extensively studied for many centuries; however, there is, unfortunately, a lack of thorough understanding. We aimed to bridge the research gap between anatomy and surgical reconstruction. Methods: We excluded cadaveric penises, already dissected and disassembled by medical students, that had damaged the corpora cavernosa (CC) or corpus spongiosum (CS). However, penises were included if both the ischiocavernosus and bulbospongiosus muscles were undamaged. A total of 8 out of 52 penises were meticulously examined. Our dissection findings were supplemented with 101 cadaveric photos, 255 penile vascular surgeries, 11 CT imaging scans, and 8 MRI imaging scans. The combined understanding was reprocessed with radiographic imaging, and patients underwent penile surgeries, notably eight hypospadias surgeries, and eight penile elongation surgeries were performed elsewhere. Results: Bilaterally, the penile CC is primarily anchored to the pelvic wall through the cavernosal ligament (CL = 2), while the CS is connected to the urinary sphincter. The suspensory, fundiform, and arcuate pubic ligament (two anatomically and one functionally) assist in stabilizing and holding the penile shaft to the pelvic wall. Distally, a distal ligament (DL = 1) and spongiosal ligament (SL = 1) extend the CC and CS to the glans penis and frenulum, ensuring urethral patency when necessary. The CC is encircled by a bi-layered tunica consisting of a 360° inner circular and a 300° outer longitudinal tunica. The ischiocavernosus muscle wraps around the penile crus and envelops the CL, connecting to the ischial tuberosity. The CS is partially surrounded by the bulbospongiosus muscle proximally and receives the SL distally. The entire penis interconnects with the skeletal muscle of the urogenital diaphragm. Conclusion: The physiological integrity of the human penis relies on ten anatomically and six functionally fibro-muscular ligaments. Full article
Show Figures

Figure 1

12 pages, 3424 KB  
Article
Sexual Mechanosensitivity: Age-Related Changes in the Innervation of the Human Prepuce
by José A. Vega, Vincenzo Aiello, José Martín-Cruces, Iván Suazo, Ryan Jones, William Musa, Beatrix Szebeni-Varga, Olivia García-Suárez and Yolanda García-Mesa
J. Clin. Med. 2025, 14(13), 4730; https://doi.org/10.3390/jcm14134730 - 4 Jul 2025
Viewed by 5291
Abstract
Background/Objectives: The male prepuce that covers the glans penis is richly innervated by low-threshold mechanoreceptors, which form cutaneous end-organ complexes (Meissner, Pacinian and Ruffini corpuscles) and mucous end-organ complexes (especially Krause-like corpuscles). The mechanosensory inputs from these formations are the beginning for [...] Read more.
Background/Objectives: The male prepuce that covers the glans penis is richly innervated by low-threshold mechanoreceptors, which form cutaneous end-organ complexes (Meissner, Pacinian and Ruffini corpuscles) and mucous end-organ complexes (especially Krause-like corpuscles). The mechanosensory inputs from these formations are the beginning for spinal reflexes that regulate movements of intercourse and erection and, therefore, are required for sexual function. The study was aimed at analyzing the age-dependent changes in prepuce innervation. Methods: Here we used immunohistochemistry to investigate whether the innervation of the male prepuce undergoes age-dependent changes, analyzing subjects aged 4 months to 61 years. Results: Abundant Meissner corpuscles and Krause-like corpuscles were regularly found whose morphology, size, and topography were variable and were not correlated with age; however, Ruffini’s and Pacinian corpuscles were scarcely observed. The earliest evidence of Meissner corpuscles was observed at 4 months, and thereafter they undergo significant age-dependent variations in density. Until the age of 20 years increases progressively, remains stable until 40 years, and then the density decreases. Meissner’s corpuscle index paralleled that of density. Regarding Kause-like corpuscles already resemble the skin of 4-month-old subjects and from the age of 3 years they can be identified at all ages. Its density significantly increased until 10 years and then remained stable. Conclusions: Present results state that the mechanosensory innervation of the human foreskin reaches its maximum value around the age of 20, remains stable during adulthood and decreases with maturity. These findings contribute to a more complete understanding of foreskin innervation and add to the scientific knowledge base surrounding the potential harm of removing a richly innervated structure. Full article
(This article belongs to the Section Reproductive Medicine & Andrology)
Show Figures

Figure 1

10 pages, 550 KB  
Article
Predictors of Inguinal Lymph Node Metastasis in Penile Squamous Cell Carcinoma: Insights from a Single-Center Retrospective Study
by Francesco Passaro, Luigi Napolitano, Antonio Tufano, Roberto La Rocca, Claudio Marino, Biagio Barone, Luigi De Luca, Ugo Amicuzi, Michelangelo Olivetta, Francesco Mastrangelo, Pasquale Reccia, Felice Crocetto, Lorenzo Romano, Francesco Paolo Calace, Lorenzo Spirito, Celeste Manfredi, Davide Arcaniolo, Antonio De Palma, Carmine Turco, Carmine Sciorio, Vincenzo Maria Altieri, Gennaro Mattiello, Ernesto di Mauro, Giuseppe Celentano and Sisto Perdonàadd Show full author list remove Hide full author list
J. Clin. Med. 2025, 14(9), 2921; https://doi.org/10.3390/jcm14092921 - 23 Apr 2025
Viewed by 1326
Abstract
Background: Squamous cell carcinoma (SCC) of the penis accounts for approximately 95% of penile cancers and is associated with substantial morbidity and mortality. SCC typically develops in uncircumcised men, most commonly affecting the foreskin or glans. While slow-growing, early detection is crucial to [...] Read more.
Background: Squamous cell carcinoma (SCC) of the penis accounts for approximately 95% of penile cancers and is associated with substantial morbidity and mortality. SCC typically develops in uncircumcised men, most commonly affecting the foreskin or glans. While slow-growing, early detection is crucial to improve survival outcomes. Risk factors include advanced age, lack of circumcision, poor hygiene, HPV infection (types 16 and 18), chronic inflammation, and smoking. Methods: We conducted a retrospective, single-center study at IRCCS Hospital “G. Pascale” of Naples, Italy, involving 59 patients treated between January 2015 and January 2023. The inclusion criteria were surgically treated primary tumors, confirmed SCC pathology, and pathologically verified inguinal lymph node metastasis (ILNM). We analyzed clinical variables including lymph node involvement, lymphovascular invasion (LVI), spongiosum corpus involvement (SCI), HPV infection, and tumor differentiation. Univariate and multivariate logistic regression analyses were performed to determine independent predictors of ILNM. Results: The mean age of patients was 66.67 ± 13.97 years. ILNM was confirmed in 24 patients (40.6%), while 35 (59.3%) had no lymph node involvement. Univariate analysis identified lymph node involvement at diagnosis (p = 0.005), LVI (p = 0.003), and SCI (p = 0.003) as significant predictors of ILNM. These factors were confirmed in the multivariate analysis, with lymph node involvement (p = 0.004), LVI (p = 0.025), and SCI (p = 0.028) as independent predictors. Conclusions: Lymph node status, LVI, and SCI are significant predictors of ILNM in penile SCC. Identifying these factors can aid in risk stratification, optimizing surgical decisions, and potentially reducing unnecessary morbidity. Further large-scale studies are recommended to validate these findings and refine prognostic models. Full article
(This article belongs to the Special Issue Genitourinary Cancers: Clinical Advances and Practice Updates)
Show Figures

Figure 1

14 pages, 2568 KB  
Article
Comparative Analysis of Surgical Methods for Distal, Mid-, and Proximal Shaft Hypospadias in Young Males: A Prospective Study on Postoperative Outcomes
by Almira Zharkimbayeva, Maratbek Aubakirov, Vasily Lozovoy, Madina Madiyeva, Samatbek Abdrakhmanov and Azat Dyussembayev
Medicina 2024, 60(11), 1903; https://doi.org/10.3390/medicina60111903 - 20 Nov 2024
Viewed by 2132
Abstract
Background and Objectives: The purpose of this study is to report on the results of hypospadias surgery in boys using newly developed methods compared with traditional methods of urethroplasty. Materials and Methods: A total of 136 patients were divided into two groups. Fifty [...] Read more.
Background and Objectives: The purpose of this study is to report on the results of hypospadias surgery in boys using newly developed methods compared with traditional methods of urethroplasty. Materials and Methods: A total of 136 patients were divided into two groups. Fifty patients with coronal, subcoronal, and distal penile types of hypospadias were allocated to Group I. These patients were treated with a new method of SMU I and urethroplasty according to the Snodgrass procedure and MAGPI. Group II consisted of 86 patients with mid- and proximal shaft penile types of hypospadias who underwent urethroplasty using the new SMU II method and urethroplasty according to the Snodgraft and Bracka procedures. The outcomes were assessed according to the level of postoperative wound healing and the presence of complications. Results: The mean age of the patients was 41 to 60 months. After urethroplasty using the SMU I and SMU II methods, recovery was noted in 92.9% of the patients, and repeated surgery was performed in 7.1%. In the patients undergoing operations utilizing the SMU I and SMU II methods, neomeatus dystopia was not detected and postoperative fistulas were observed in 16.7% of incidence. With the standard urethroplasty method, the rate of complications was higher (p < 0.05). Even though the duration of surgery in the group undergoing a procedure using the standard urethroplasty method was lower (p < 0.001), the frequency of primary wound healing was higher in the SMU I and SMU II groups (p < 0.001). Conclusions: The proposed new methods of distal and shaft hypospadias surgery, in comparison with traditional surgical techniques, have the following advantages: good cosmetic appearance of the penis, complete straightening of the shaft, and right outflow of urine through the slit-like neomeatus at the apex of the glans penis. Full article
(This article belongs to the Section Urology & Nephrology)
Show Figures

Figure 1

14 pages, 581 KB  
Review
Local Therapy and Reconstruction in Penile Cancer: A Review
by David Zekan, Rebecca Praetzel, Adam Luchey and Ali Hajiran
Cancers 2024, 16(15), 2704; https://doi.org/10.3390/cancers16152704 - 30 Jul 2024
Cited by 2 | Viewed by 3615
Abstract
Local therapy for penile cancer provides robust survival and can preserve the penis functionally and cosmetically. Interventions must target the appropriate clinical stage. We reviewed studies regarding the primary therapy in penile cancer, from topical therapy to radical penectomy, and reconstructive techniques. Topical [...] Read more.
Local therapy for penile cancer provides robust survival and can preserve the penis functionally and cosmetically. Interventions must target the appropriate clinical stage. We reviewed studies regarding the primary therapy in penile cancer, from topical therapy to radical penectomy, and reconstructive techniques. Topical therapy (5-FU or Imiquimod) provides a robust oncologic response in patients with Ta or Tis disease. Multiple laser therapies are available for localized patients and those with low-grade T1 disease. There is a non-trivial risk of progression and nodal metastases in poorly selected patients. Wide local excision provides an oncologically sound option in patient with up to T1 disease; less evidence exists for Mohs microsurgery in the setting of penile cancer. Increasingly aggressive approaches include glansectomy and partial/radical penectomy, which provide 5- and 10-year cancer-specific survival rates of over 80%. Meticulous reconstruction is necessary for the durable function of the remaining penis. Preservation of voiding and sexual function occurs via penile skin grafting, glans resurfacing, creation of a functional penile stump, and phalloplasty with a penile implant. Perineal urethrostomy provides an alternative in pathology demanding extensive partial or radical penectomy, and a durable option for seated voiding. Clinical suspicion and timely diagnosis are paramount in terms of management as less-invasive options for earlier-stage disease develop. Full article
(This article belongs to the Special Issue Research on Current Progress in Penile Cancer)
Show Figures

Figure 1

12 pages, 1218 KB  
Article
Use of Validated Questionnaires to Predict Cosmetic Outcomes of Hypospadias Repair
by Amos Neheman, Omri Schwarztuch Gildor, Andrew Shumaker, Ilia Beberashvili, Yuval Bar-Yosef, Shmuel Arnon, Amnon Zisman and Kobi Stav
Children 2024, 11(2), 189; https://doi.org/10.3390/children11020189 - 2 Feb 2024
Cited by 2 | Viewed by 4280
Abstract
Introduction: Hypospadias is a syndrome of penile maldevelopment. The primary goal of hypospadias surgery is to create a penis with normal appearance and function. Historically, the outcome of hypospadias repair has been assessed based on the need for reoperation due to urethroplasty complications [...] Read more.
Introduction: Hypospadias is a syndrome of penile maldevelopment. The primary goal of hypospadias surgery is to create a penis with normal appearance and function. Historically, the outcome of hypospadias repair has been assessed based on the need for reoperation due to urethroplasty complications (UC), including fistula formation, dehiscence, meatal stenosis, or development of a urethral stricture. The Glans–Urethral Meatus–Shaft (GMS) score is a standardized tool to predict UC. Analysis of the cosmetic outcomes of hypospadias repair based on the appearance of the reconstructed penis has been validated, and standardized scores have been published. The Hypospadias Objective Penile Evaluation (HOPE) score is a validated questionnaire used to assess postoperative cosmetic outcomes. Although predictors of surgical outcomes and UC have been well documented, predictors of optimal cosmetic outcomes are lacking in the literature. Furthermore, reoperation due to cosmetic considerations has been poorly reported. Objective: To identify predictors of cosmetic outcomes after hypospadias repair and to assess the reoperation rate according to cosmetic considerations. Materials and Methods: This prospective cohort study included 126 boys who underwent primary hypospadias repair. The severity of hypospadias, degree of penile curvature, glans width, preoperative HOPE, and GMS scores were documented. The standard technique for single-stage repairs, the tubularized incised plate urethroplasty, was performed. The primary endpoint was cosmetic outcomes evaluated by the HOPE score questionnaire six months postoperatively. Optimal cosmetic results were defined by HOPE scores ≥ 57. Results: The study population consisted of the following cases: 87 (69%) subcoronal, 32 (25%) shaft, and 7 (6%) proximal hypospadias. Among the study participants, 102 boys (81%) had optimal cosmetic results (HOPE ≥ 57), and 24 boys (19%) had surgeries with suboptimal cosmetic outcomes (HOPE < 57). Ancillary procedures were performed in 21 boys (16%), of which 14 (11%) were solely for cosmetic considerations, and 7 were secondary to UC. Using the Receiver Operating Characteristic analysis of potential predictors of optimal cosmetic outcomes, the preoperative HOPE score had the highest area under the curve (AUC = 0.79; 95% CI 0.69–0.89, p < 0.001). After multivariable analysis, the degree of penile chordee (p = 0.013), glans width (p = 0.003), GMS score (p = 0.007), and preoperative HOPE score (p = 0.002) were significant predictors of cosmetic outcomes. Although meatal location predicted suboptimal cosmetic results in univariate analysis, it was not a factor in multivariable analysis. Conclusions: Over 80% of boys undergoing hypospadias repair achieved optimal cosmetic outcomes. More than 10% of cases underwent ancillary procedures, secondary solely to cosmetic considerations. Predictors of optimal cosmetic outcomes after hypospadias surgery included degree of chordee, glans width, and preoperative HOPE and GMS scores, which were the best predictors of satisfactory cosmetic results. Although meatal location is the main predictor of UC, it was not a predictor for cosmetic outcomes. Factors affecting cosmetic outcomes should be clearly explained to parents during the preoperative consultation. Full article
(This article belongs to the Special Issue Advances in Pediatric Surgery Volume II)
Show Figures

Graphical abstract

16 pages, 760 KB  
Article
Associations between Self-Reported Anatomical Characteristics of the Penis and Sexual Dysfunction in Men
by Caoyuan Niu, Daniel Ventus, Patrick Jern and Pekka Santtila
Sexes 2023, 4(4), 622-637; https://doi.org/10.3390/sexes4040040 - 8 Dec 2023
Cited by 2 | Viewed by 40745
Abstract
Premature ejaculation and erectile dysfunction are common male sexual dysfunctions worldwide, causing substantial distress in men as well as their partners and decreasing the quality and stability of romantic relationships. We investigated the associations between the self-reported anatomical characteristics of penises and sexual [...] Read more.
Premature ejaculation and erectile dysfunction are common male sexual dysfunctions worldwide, causing substantial distress in men as well as their partners and decreasing the quality and stability of romantic relationships. We investigated the associations between the self-reported anatomical characteristics of penises and sexual dysfunctions in an urban sample of Chinese men. We recruited 1085 Chinese urban men aged from 18 to 50 (M = 31.37; SD = 5.52) to fill out an online questionnaire regarding the anatomical characteristics of their penis, as well as early ejaculation and erectile problems via two Chinese online survey platforms. The participants reported their age, height, weight, penile length, penile circumference, circumcision status, and foreskin characteristics as well as answered the International Index of Erectile Function-5 and Checklist for Early Ejaculation Symptoms. Both an increasing penile length (M = 14.49; SD = 2.22) and girth (M = 15.46; SD = 4.36) were associated with fewer early ejaculation problems, but only an increasing penile length was associated with fewer erectile problems. Less foreskin covering the glans of the penis was associated with fewer early ejaculation and erectile problems. Age was found to have a non-linear relationship with early ejaculation and erectile problems in this cross-sectional study. Specifically, early ejaculation problems decreased until a certain age (31), and then increased with further increases in age. The relationship between the anatomical characteristics of the penis and sexual function is complex. Also, the results suggest that there is a curvilinear non-monotonic relationship between age and sexual dysfunction. Full article
Show Figures

Figure 1

11 pages, 1616 KB  
Review
Severe Acute Ischemia of Glans Penis after Achieving Treatment with Only Hyperbaric Oxygen Therapy: A Rare Case Report and Systematic Literature Review
by Adrian Hașegan, Ionela Mihai, Dan Bratu, Ciprian Bacilă, Mihai Dan Roman, Cosmin Ioan Mohor, Adrian Teodoru, Sabrina Birsan, Cosmin Mutu, Călin Chibelean, Maria Totan, Nicolae Grigore, Gabriela Iancu, Horatiu Dura and Adrian Boicean
J. Pers. Med. 2023, 13(9), 1370; https://doi.org/10.3390/jpm13091370 - 12 Sep 2023
Cited by 6 | Viewed by 5199
Abstract
Acute ischemia of the glands is a severe complication after circumcision. We outline the challenging case of a seventeen-year-old boy with glandular ischemia (GI) that appeared shortly after circumcision. Methods: We present a case report and literature review related to glans ischemia, and [...] Read more.
Acute ischemia of the glands is a severe complication after circumcision. We outline the challenging case of a seventeen-year-old boy with glandular ischemia (GI) that appeared shortly after circumcision. Methods: We present a case report and literature review related to glans ischemia, and the complications of circumcision are reviewed. We note that there are very few cases described in the literature. Our patient was successfully treated with hyperbaric oxygen therapy (HBOT) after four days of no positive effect after all medical and surgical treatments written in the literature: Subcutaneous enoxaparin, local application of a glyceryl trinitrate, continuous epidural perfusion, intravenous pentoxifylline, alprostadil, intraoperative drainage, and aspiration with saline solution and epinephrine. Clinical improvement was noted at the first session of HBOT. A number of days after the operation, the penis looked normal and was healing. Complete healing of the penile glans was successfully realized one month after surgery. Conclusion: Based on the review and the case presented, we conclude that HBOT is the treatment of choice for acute ischemia of the penile glans, especially when other treatments do not work. Full article
Show Figures

Figure 1

9 pages, 967 KB  
Communication
Anti-Müllerian Hormone Concentrations for Determining Resumption of Sertoli Cell Function following Removal of a 4.7 mg Deslorelin Implant in Tomcats
by Lluis Ferré-Dolcet, Matteo Bordogna, Barbara Contiero, Christelle Fontaine, Silvia Bedin and Stefano Romagnoli
Animals 2023, 13(16), 2552; https://doi.org/10.3390/ani13162552 - 8 Aug 2023
Cited by 5 | Viewed by 2115
Abstract
Background: Deslorelin implant use in cats is a medical alternative to surgical sterilization, and due to its prolonged efficacy, its use has shown growing interest in the veterinary community. In the case of breeding facilities, its removal is often requested for the early [...] Read more.
Background: Deslorelin implant use in cats is a medical alternative to surgical sterilization, and due to its prolonged efficacy, its use has shown growing interest in the veterinary community. In the case of breeding facilities, its removal is often requested for the early restoration of testicular function. As anti-Müllerian hormones (AMH) in males is dependent of testosterone secretion, its assay may determine the restoration of testicular steroid secretion. An average of 3 weeks has been already described for tomcats’ testicular function resumption after implant removal, but information about AMH concentrations in deslorelin-treated tomcats is lacking. Methods: Fourteen tomcats were treated for temporary suppression of fertility with a 4.7 mg deslorelin implant, which was surgically removed after 3, 6 or 9 months (n = 6, 4 and 4 tomcats, respectively). A general clinical and reproductive check with a gonadorelin stimulation test for testosterone determination was performed before deslorelin implant administration. After implant removal, tomcats’ testicles were ultrasonographically checked for volume determination every 1-2 weeks with observation of the glans penis (presence or absence of spikes) and blood collection to assay both testosterone and AMH concentrations. Results: AMH concentrations increased significantly during the deslorelin treatment from 20.95 ± 4.97 ng/mL to 82.41 ± 14.59 ng/mL (p < 0.05). Following implant removal, AMH concentrations progressively decreased to pre-treatment levels, with a value of 28.42 ± 7.98 ng/mL on the third week post-removal where testosterone secretion was again detected. Conclusions: Even if a big variability of AMH concentrations exists between male individuals, resumption of tomcats’ testicular function following a deslorelin treatment can be determined by AMH assay. Full article
(This article belongs to the Special Issue Second Edition of Recent Advances in Companion Animals Neutering)
Show Figures

Figure 1

5 pages, 523 KB  
Opinion
An Evolutionary Advantage of the Human Glans Penis
by Stephen Leach
Humans 2023, 3(2), 137-141; https://doi.org/10.3390/humans3020012 - 6 Jun 2023
Viewed by 60353
Abstract
To account for the bell- or acorn-shaped glans penis, in 1995 Baker and Bellis put forward their ‘semen-displacement hypothesis’. They argued that the existence of the glans penis is indicative of a promiscuous phase in our evolutionary past, in which females would commonly [...] Read more.
To account for the bell- or acorn-shaped glans penis, in 1995 Baker and Bellis put forward their ‘semen-displacement hypothesis’. They argued that the existence of the glans penis is indicative of a promiscuous phase in our evolutionary past, in which females would commonly mate with several males in rapid succession. They argued that within this promiscuous scenario the distinctive shape of the glans penis evolved so as to enable the displacement of rival males’ semen. The idea that there was an influential promiscuous phase in our evolutionary past has faced several powerful criticisms that are here briefly reviewed. However, the critics of the semen-displacement hypothesis have not put forward an alternative evolutionary explanation of the glans penis. I try to redress that here, albeit speculatively. I suggest an alternative hypothesis that may more convincingly account for the shape and texture of the human glans penis. Full article
Show Figures

Figure 1

17 pages, 1591 KB  
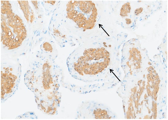
Article
Microbiota of Urine, Glans and Prostate Biopsies in Patients with Prostate Cancer Reveals a Dysbiosis in the Genitourinary System
by Micael F. M. Gonçalves, Teresa Pina-Vaz, Ângela Rita Fernandes, Isabel M. Miranda, Carlos Martins Silva, Acácio Gonçalves Rodrigues and Carmen Lisboa
Cancers 2023, 15(5), 1423; https://doi.org/10.3390/cancers15051423 - 23 Feb 2023
Cited by 19 | Viewed by 3243
Abstract
Prostate cancer (PCa) is the most common malignant neoplasm with the highest worldwide incidence in men aged 50 years and older. Emerging evidence suggests that the microbial dysbiosis may promote chronic inflammation linked to the development of PCa. Therefore, this study aims to [...] Read more.
Prostate cancer (PCa) is the most common malignant neoplasm with the highest worldwide incidence in men aged 50 years and older. Emerging evidence suggests that the microbial dysbiosis may promote chronic inflammation linked to the development of PCa. Therefore, this study aims to compare the microbiota composition and diversity in urine, glans swabs, and prostate biopsies between men with PCa and non-PCa men. Microbial communities profiling was assessed through 16S rRNA sequencing. The results indicated that α-diversity (number and abundance of genera) was lower in prostate and glans, and higher in urine from patients with PCa, compared to non-PCa patients. The different genera of the bacterial community found in urine was significantly different in PCa patients compared to non-PCa patients, but they did not differ in glans and prostate. Moreover, comparing the bacterial communities present in the three different samples, urine and glans show a similar genus composition. Linear discriminant analysis (LDA) effect size (LEfSe) analysis revealed significantly higher levels of the genera Streptococcus, Prevotella, Peptoniphilus, Negativicoccus, Actinomyces, Propionimicrobium, and Facklamia in urine of PCa patients, whereas Methylobacterium/Methylorubrum, Faecalibacterium, and Blautia were more abundant in the non-PCa patients. In glans, the genus Stenotrophomonas was enriched in PCa subjects, while Peptococcus was more abundant in non-PCa subjects. In prostate, Alishewanella, Paracoccus, Klebsiella, and Rothia were the overrepresented genera in the PCa group, while Actinomyces, Parabacteroides, Muribaculaceae sp., and Prevotella were overrepresented in the non-PCa group. These findings provide a strong background for the development of potential biomarkers with clinical interest. Full article
Show Figures

Figure 1

11 pages, 2912 KB  
Review
The Application of Hyaluronic Acid Injections in Functional and Aesthetic Andrology: A Narrative Review
by Nicolò Schifano, Paolo Capogrosso, Gabriele Antonini, Sara Baldini, Fabrizio Scroppo, Andrea Salonia, Nicola Zerbinati and Federico Dehò
Gels 2023, 9(2), 118; https://doi.org/10.3390/gels9020118 - 1 Feb 2023
Cited by 11 | Viewed by 36678
Abstract
Hyaluronic acid (HA) is a glycosaminoglycan widely utilised in different fields of medicine. We aimed to provide a comprehensive overview of the scientific evidence on the use of HA in andrology. A review of the literature to identify pertinent studies concerning the use [...] Read more.
Hyaluronic acid (HA) is a glycosaminoglycan widely utilised in different fields of medicine. We aimed to provide a comprehensive overview of the scientific evidence on the use of HA in andrology. A review of the literature to identify pertinent studies concerning the use of HA in andrology was carried out on the Medline, EMBASE, and the Cochrane databases, with no time restriction up to December 2022. Penile girth enlargement (PGE) using HA proved to be safe and effective in enhancing the diameter of the penis, with durable and satisfactory outcomes in long-term follow-up. Injection of HA in the glans seems to represent an alternative treatment option for those patients with premature ejaculation (PE) who fail to respond to conventional medications. HA intra-plaque injections represent a valid option which may contribute to restore sexual activity in patients with Peyronie’s disease (PD). The adoption of HA filler injections should always be tailored to the patient’s peculiar anatomy and underlying condition. More robust evidence is required to achieve a uniformed consensus regarding the use of HA in andrology, and further efforts should continue to improve the current injection techniques and HA products. Full article
(This article belongs to the Special Issue Advances in Hydrogels for Biomedical Applications)
Show Figures

Figure 1

7 pages, 723 KB  
Article
Effects of One-Shot Hyaluronic Acid Injection in Lifelong Premature Ejaculation: A Pilot Study
by Anna Perri, Danilo Lofaro, Stefano Iuliano, Sabrina Bossio, Vittoria Rago, Rocco Damiano, Luigi Di Luigi, Sandro La Vignera, Nicola Mondaini and Antonio Aversa
Endocrines 2022, 3(3), 538-544; https://doi.org/10.3390/endocrines3030044 - 1 Sep 2022
Cited by 4 | Viewed by 13108
Abstract
The therapeutic management of premature lifelong ejaculation (PE) ranges from behavioral therapy to pharmacological and surgical treatments. Hyaluronic Acid (HA) injection into the glans penis is a non-surgical procedure, intended to reduce glans hypersensitivity, improving the intravaginal ejaculation latency time (IELT). HA injection [...] Read more.
The therapeutic management of premature lifelong ejaculation (PE) ranges from behavioral therapy to pharmacological and surgical treatments. Hyaluronic Acid (HA) injection into the glans penis is a non-surgical procedure, intended to reduce glans hypersensitivity, improving the intravaginal ejaculation latency time (IELT). HA injection can be performed through different techniques that, although safe and effective, rarely can cause local complications. In this pilot uncontrolled study, we tested the effectiveness of a new technique based on a single HA injection into the frenulum of the glans, to improve IELT in a sample of patients affected by PE. We observed a significant increase of the IELT after one (median 73.3, IQR 66.2–79.9 s) and two months (66.2, 63.1–73.9) that gradually decreased at three months, remaining still significantly higher than at baseline (34.8, 30.9–37.4). PEDT and IIEF questionnaires significantly improved compared to baseline in the first two months of follow-up (p < 0.001). In conclusion, the preliminary results emerging from this pilot uncontrolled study, highlight the effectiveness of this one-shot HA injection approach, although a larger sample and longer follow-up time are needed to standardize the procedure. Full article
(This article belongs to the Section Andrology and Male Sexual Function)
Show Figures

Figure 1

5 pages, 8766 KB  
Case Report
A Case of IgG and IgA Anti-Laminin-332 Antibody-Positive Mucous Membrane Pemphigoid with IgG and IgA Anti-Envoplakin and Anti-Periplakin Antibodies
by Yoshiaki Matsushima, Masako Kitano, Daisuke Hayashi, Hiroyuki Goto, Mako Mine, Takeshi Yokoe, Makoto Kondo, Koji Habe, Yuji Toiyama, Takashi Hashimoto, Daisuke Tsuruta, Kazuhiko Takeuchi and Keiichi Yamanaka
Dermatopathology 2022, 9(3), 287-291; https://doi.org/10.3390/dermatopathology9030034 - 8 Aug 2022
Cited by 2 | Viewed by 3261
Abstract
A 76-year-old Japanese man presented with a 6-year history of a sore throat. He was treated at several clinics without any improvement before being referred to us. Physical examination revealed widespread erosions and ulcers from the palate to the larynx. Approximately 25 × [...] Read more.
A 76-year-old Japanese man presented with a 6-year history of a sore throat. He was treated at several clinics without any improvement before being referred to us. Physical examination revealed widespread erosions and ulcers from the palate to the larynx. Approximately 25 × 15 mm in size, erosive lesions were present on the retroauricular regions, forearms, and glans penis. Pseudomembranous conjunctivitis was also observed. The skin biopsy revealed a partial cleft formation below the epidermis, suggesting subepidermal bullous disease. Immuno-serological tests were negative for anti-desmoglein 1 (Dsg1), anti-Dsg3, anti-BP180, and anti-BP230 antibodies by ELISAs. A whole-body examination revealed gastric cancer. The possibility of mucous membrane pemphigoid (MMP) or paraneoplastic pemphigus (PNP) was considered. Indirect immunofluorescence using rat bladders showed positive IgG reactivity with cell surfaces on the transitional epithelia. Immunoblotting using recombinant proteins of laminin-332 showed both IgG and IgA reactivities with laminin-α3, and immunoblotting using normal human epidermal extract showed double-positive reactivities with envoplakin and periplakin for both IgG and IgA antibodies. Based on the clinical and histopathological features and results of various immuno-serological tests, our case was diagnosed as anti-laminin-332-type MMP with serological findings of PNP. Twenty days after laparoscopic gastrectomy, treatment with oral methylprednisolone 32 mg/day was initiated, and mucosal and skin lesions improved. Full article
Show Figures

Figure 1

Back to TopTop