Sign in to use this feature.

Years

Between: -

Subjects

remove_circle_outline
remove_circle_outline
remove_circle_outline
remove_circle_outline
remove_circle_outline
remove_circle_outline
remove_circle_outline
remove_circle_outline
remove_circle_outline

Journals

remove_circle_outline
remove_circle_outline
remove_circle_outline
remove_circle_outline
remove_circle_outline
remove_circle_outline
remove_circle_outline

Article Types

Countries / Regions

remove_circle_outline
remove_circle_outline
remove_circle_outline
remove_circle_outline

Search Results (1,123)

Search Parameters:
Keywords = ginseng

Order results
Result details
Results per page
Select all
Export citation of selected articles as:
16 pages, 2877 KB  
Article
Red Ginseng Extract Intake and Changes in Metabolite Profiles, Gut Microbiota, and Immune Responses of Healthy Rats
by Madhuri Sangar, Seong-Hwa Song, Saoraya Chanmuang, Dong-Shin Kim, Gwang-Ju Jang, Hyeon-Jeong Lee, Young Kyoung Rhee, Hee-Do Hong, Chang-Won Cho and Hyun-Jin Kim
Nutrients 2026, 18(9), 1462; https://doi.org/10.3390/nu18091462 (registering DOI) - 2 May 2026
Abstract
Background: Red ginseng (RG) exhibits enhanced bioactivity compared to white ginseng. Although the beneficial effects of RG have been well investigated in disease models, its impacts on the metabolome, gut microbiota, and immune response under normal physiological conditions remain poorly understood. Methods: Rats [...] Read more.
Background: Red ginseng (RG) exhibits enhanced bioactivity compared to white ginseng. Although the beneficial effects of RG have been well investigated in disease models, its impacts on the metabolome, gut microbiota, and immune response under normal physiological conditions remain poorly understood. Methods: Rats were randomized into three groups: control (normal diet), RL (low-dose RGE at 100 mg/kg body weight), and RH (high-dose RGE at 200 mg/kg body weight). After five weeks, metabolite profiles of the blood, liver, kidney, and large intestinal contents were analyzed and the gut microbiota was assessed. Splenocytes were isolated and treated with or without ethanol-precipitated carbohydrate fractions isolated from RGE or from intestinal contents, and IL-12 secretion was measured. Additionally, the correlations among biochemical characteristics, metabolites, gut microbiota, and immune markers were analyzed. Results: RGE intake decreased plasma triglycerides, liver function biomarkers, and epididymal adipose tissue weight. It also altered metabolite profiles for plasma, liver, kidney, and intestinal contents and increased the hepatic NAD+/NADH ratio. RGE intake reduced the populations of harmful bacteria, whereas it increased Lachnospiraceae. RGE intake enhanced IL-12 production in splenocytes. Furthermore, splenocytes treated with carbohydrates isolated from the small and large intestinal contents of RGE-fed rats secreted higher IL-12 levels than those of the control group. Conclusions: RGE modulated the gut microbiota, metabolism, and immune responses in healthy rats under normal physiological conditions, warranting further investigation into the underlying mechanisms. Full article
Show Figures

Figure 1

82 pages, 6759 KB  
Review
Toxoplasma gondii as a Direct Cause of Reproductive Dysfunction: Dual Threats to Male and Female Fertility
by Muhammad Farhab, Tariq Sohail, Mohammed Al-Rasheed, Zohaib Saeed and Aftab Shaukat
Vet. Sci. 2026, 13(5), 430; https://doi.org/10.3390/vetsci13050430 - 28 Apr 2026
Viewed by 127
Abstract
Toxoplasma gondii, an obligate intracellular protozoan infecting approximately one-third of the global population, poses a significant yet underappreciated threat to reproductive health in both sexes. Although this parasite has long been linked to birth defects caused by infection during pregnancy, new research [...] Read more.
Toxoplasma gondii, an obligate intracellular protozoan infecting approximately one-third of the global population, poses a significant yet underappreciated threat to reproductive health in both sexes. Although this parasite has long been linked to birth defects caused by infection during pregnancy, new research shows that it also reduces fertility in both sexes through different but related mechanisms. This review synthesizes knowledge on T. gondii-induced reproductive pathology across females and males, examining shared mechanistic themes while respecting tissue-specific differences, and evaluates emerging therapeutic strategies. In females, the parasite establishes persistent uterine reservoirs, triggers decidual immune dysregulation characterized by NK cell cytotoxicity, M1 macrophage polarization, Treg apoptosis, and inflammasome-mediated pyroptosis, while disrupting estrogen and progesterone signaling through both host receptor modulation and intrinsic parasite steroidogenic enzymes (TgCYP450mt, TgMAPR, Tg-HSD). In males, T. gondii breaches the blood–testis barrier, induces germ cell and Leydig cell apoptosis via ER stress and caspase pathways, impairs sperm quality parameters across acute and chronic infection, and disrupts the hypothalamic–pituitary–gonadal axis. Conserved molecular mechanisms—including NLRP3 inflammasome activation, PERK/eIF2α/ATF4/CHOP-mediated ER stress, and oxidative stress—operate in both reproductive tissues. The parasite’s intrinsic steroidogenic capability and bidirectional hormonal manipulation represent a paradigm shift in understanding host–parasite interactions. Conventional antiparasitics face limitations due to poor reproductive sanctuary penetration. Immunomodulatory approaches targeting Trem2, Tim-3, and the NLRP3 inflammasome show promise, along with natural products including Inonotus obliquus polysaccharide and ginseng polysaccharide. Nanomedicine platforms and mRNA vaccine candidates offer new directions for overcoming tissue barrier limitations. Toxoplasma gondii represents a fundamental threat to fertility and pregnancy outcomes rather than merely a risk for congenital infection. Integrated therapeutic strategies addressing direct parasitism, immunopathology, and endocrine disruption are needed. Longitudinal cohort studies, strain-specific mechanistic comparisons, and clinical trials of immunomodulatory adjuncts are urgently required. Full article
(This article belongs to the Special Issue Prevention and Control of Obstetric Diseases in Domestic Animals)
17 pages, 1373 KB  
Article
A Quantitative Real-Time PCR Assay for Detection and Quantification of the Ginseng Alternaria Leaf and Stem Blight Pathogen Alternaria panax
by Jinling Lan, Yingxue Du, Mingxuan Xiong, Kaixin Zhang, Xiaolin Chen, Ying Song, Yuejia Song, Baohui Lu, Changqing Chen, Ronglin He and Jie Gao
J. Fungi 2026, 12(5), 317; https://doi.org/10.3390/jof12050317 - 26 Apr 2026
Viewed by 760
Abstract
Ginseng Alternaria leaf and stem blight, caused by Alternaria panax, imposes substantial yield and economic losses to the ginseng cultivation industry. Current diagnostic methods for ginseng diseases primarily rely on pathogen isolation from infected tissues, a procedure that is laborious, time-consuming, and [...] Read more.
Ginseng Alternaria leaf and stem blight, caused by Alternaria panax, imposes substantial yield and economic losses to the ginseng cultivation industry. Current diagnostic methods for ginseng diseases primarily rely on pathogen isolation from infected tissues, a procedure that is laborious, time-consuming, and inherently low in sensitivity. This study has therefore developed a rapid, specific and sensitive SYBR Green-based quantitative real-time PCR (qPCR) assay for detecting A. panax in plants, seeds, and soil. The developed qPCR assay exhibited high sensitivity and repeatability, with a detection limit of 0.074 fg/μL of target amplicon DNA (0.619 ng/μL of genomic DNA) and a coefficient of variation below 2%. In artificially inoculated tissues (leaves, stems and seeds), Ct values decreased progressively with increasing incubation time, reflecting pathogen proliferation. Analysis of field-collected leaves and stems showed a strong overall correlation between Ct values and visual disease grades. Surveying of ginseng-growing areas revealed that A. panax was detected in asymptomatic leaves and stems at rates of 12.12% and 14.29%, respectively, and in 14.46% of soil samples and 23.73% of seed samples. This qPCR assay presented here provides a robust tool for forecasting early disease, tracking the primary inoculum of the pathogen and its transmission chains, and screening of both ginseng seed lots and candidate soils for ginseng Alternaria leaf and stem blight prior to planting. Full article
(This article belongs to the Section Fungi in Agriculture and Biotechnology)
22 pages, 14576 KB  
Article
Yam-Active Protein Protects Against Cyclophosphamide-Induced Testicular Injury by Suppressing Inflammatory Responses
by Jiahong Lu, Kaiwen Hao, Yuting Song, Jiaqi Fang, Boyuan Hu, Wei Liu, Ge Hui, Yunfei Xie and Yu Zhao
Molecules 2026, 31(9), 1387; https://doi.org/10.3390/molecules31091387 - 23 Apr 2026
Viewed by 235
Abstract
Chemotherapy-induced gonadotoxicity severely compromises male fertility, yet effective interventions remain limited. Building on our previous finding that yam protein (YP) modulates the gut-microbiota axis, this study investigated its direct protective role against cyclophosphamide (CTX)-induced testicular injury. Spectral analysis revealed a protein fraction (L-YP) [...] Read more.
Chemotherapy-induced gonadotoxicity severely compromises male fertility, yet effective interventions remain limited. Building on our previous finding that yam protein (YP) modulates the gut-microbiota axis, this study investigated its direct protective role against cyclophosphamide (CTX)-induced testicular injury. Spectral analysis revealed a protein fraction (L-YP) with strong intrinsic fluorescence and optimal cytoprotection against oxidative stress. Proteomic characterization revealed six dominant proteins (YP1–YP6). In vivo experiments demonstrated that L-YP upregulates the expression of tight junction proteins Occludin and ZO-1, restores hormone levels, and modulates inflammatory factors, thereby enhancing the integrity of the blood–testis barrier. Network pharmacology analysis and molecular docking predicted a potential binding affinity between key components such as YP2 and NF-κB p65, which may provide a structural basis for their regulatory role. Further validation at the gene level indicated that YP can improve the local testicular immune microenvironment by modulating the classical TLR4/MyD88/NF-κB inflammatory signaling pathway. These findings suggest that yam protein alleviates chemotherapy-induced testicular damage, potentially through barrier protection and anti-inflammatory mechanisms, indicating its promise as a dietary protective agent. Full article
Show Figures

Figure 1

18 pages, 5460 KB  
Article
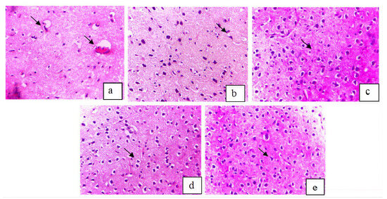
Protective Effects of Ginseng on the Blood–Brain Barrier in Rats Exposed to 2600 MHz Radiofrequency Radiation
by İrem Postacı Karaman, Özlem Coşkun, Nurgül Şenol, Uğur Şahin and Selçuk Çömlekçi
Appl. Sci. 2026, 16(8), 4012; https://doi.org/10.3390/app16084012 - 21 Apr 2026
Viewed by 242
Abstract
Radiofrequency radiation (RFR) exposure is higher in the structures surrounding the ears and head. Moreover, the brain is the organ most vulnerable to microwave radiation, exhibiting earlier and more severe mitochondrial damage compared to other tissues. The present study investigated the impact of [...] Read more.
Radiofrequency radiation (RFR) exposure is higher in the structures surrounding the ears and head. Moreover, the brain is the organ most vulnerable to microwave radiation, exhibiting earlier and more severe mitochondrial damage compared to other tissues. The present study investigated the impact of 2600 MHz RFR on the blood–brain barrier (BBB) through immunohistochemical, genetic, and biochemical analyses and explored the potential protective role of ginseng. The animals in the study were randomly assigned to five groups (n = 8 per group): control, sham, ginseng, 2600 MHz RFR, and 2600 MHz RFR + ginseng. The RFR groups were exposed to RFR for 1 h day−1 for 30 days. Ginseng was applied every day (150 mg/kg/day) by gavage for 30 days. Histopathological examination of the 2600 MHz RFR group revealed degenerative changes, vacuolization, vascular dilatation, and mild edema, particularly in cortical neurons. These alterations appeared reduced in the sham and 2600 MHz RFR + ginseng groups. The immunohistochemical findings indicated moderate damage in the RFR group, whereas a statistically significant decrease was observed in the ginseng-treated groups (p < 0.05). Overall, the findings suggest that 2600 MHz RFR may be associated with increased apoptotic activity and ginseng may exert a protective effect. Full article
Show Figures

Figure 1

17 pages, 2435 KB  
Article
Genome-Wide Identification and Expression Analysis of SS and SE Gene Families in Platycodon grandiflorum
by Meitong Pan, Junbai Ma, Denghua Wen, Lingyang Kong, Shan Jiang, Panpan Wang, Xiaozhuang Zhang, Weichao Ren, Wei Ma and Xiubo Liu
Biology 2026, 15(8), 620; https://doi.org/10.3390/biology15080620 - 16 Apr 2026
Viewed by 293
Abstract
At present, the characteristics of key enzyme genes in the upstream pathway for triterpenoid saponin biosynthesis in P. grandiflorum, as well as their expression patterns over the growth duration, have not been systematically analyzed. This study, at the whole-genome level, conducts the [...] Read more.
At present, the characteristics of key enzyme genes in the upstream pathway for triterpenoid saponin biosynthesis in P. grandiflorum, as well as their expression patterns over the growth duration, have not been systematically analyzed. This study, at the whole-genome level, conducts the first bioinformatics and expression analyses of the SS and SE gene families in P. grandiflorum. Four PgSS and seven PgSE genes were identified and distributed across six chromosomes. Members within the same subfamily exhibited highly conserved sequences and structures, while distinct structural divergence was observed between different subfamilies. Phylogenetic analysis showed that PgSS and PgSE genes were closely related to those of dicotyledons such as Panax ginseng and Polygala tenuifolia, suggesting high evolutionary conservation. Promoter analysis revealed abundant light- and hormone-responsive elements and MYB/MYC binding sites, indicating regulation by multiple signals. Protein secondary structures were dominated by the Alpha helix and were structurally stable. Quantitative real-time polymerase chain reaction (qPCR) demonstrated that expression levels of PgSS and PgSE in one-year-old Platycodonis Radix were significantly higher than in perennial Platycodonis Radix, especially for the PgSE family. This study characterized the basic biological features and growth-stage-dependent expression patterns of the SS and SE gene families in P. grandiflorum. The results identify key candidate genes and molecular targets for regulating triterpenoid saponin biosynthesis, and provide data supporting quality improvement and active metabolite research in this medicinal plant. Full article
(This article belongs to the Special Issue Advances in Plant Genomics and Genome Editing)
Show Figures

Figure 1

22 pages, 4163 KB  
Article
Identification of Key Aroma Compounds Associated with Olfactory Perception and Pleasantness in Processed Ginseng Products: Insights from GC-MS, Flavoromics, and Computational Modeling
by Yongxu Yuan, Minjing Zhang, Yu Dong, Ming Li, Shichun Pei, Yu Xu and Yanyan Cui
Foods 2026, 15(8), 1337; https://doi.org/10.3390/foods15081337 - 12 Apr 2026
Viewed by 347
Abstract
The unique aroma of ginseng is linked to its recognized mood-enhancing properties. However, the specific aromatic compounds responsible for this effect, as well as the underlying mechanisms across different processed ginseng products, remain unclear. Here, the characteristic pleasant aroma compounds and their potential [...] Read more.
The unique aroma of ginseng is linked to its recognized mood-enhancing properties. However, the specific aromatic compounds responsible for this effect, as well as the underlying mechanisms across different processed ginseng products, remain unclear. Here, the characteristic pleasant aroma compounds and their potential associations in five preparations—fresh ginseng, white ginseng, Dali ginseng, red ginseng, and black ginseng—were analyzed using flavoromics, bioinformatics, and computational modeling. The aroma evolved from “green” to “roasted-medicinal” notes, with pleasantness peaking in red ginseng, highlighting moderate processing as a key factor. Eight key pleasant aroma compounds were identified (including octanal and β-selinene), which were found to be potentially associated with olfactory- and emotion-related pathways involving IGF1 and OR6A2. Molecular interaction analysis revealed that these compounds may synergistically modulate pleasantness through hydrogen bonding and hydrophobic interactions. Furthermore, aroma harmony proved more decisive than aroma intensity in determining consumer preference, suggesting correlational evidence linking molecular interactions to sensory perception. Dynamic simulations further demonstrated stable interactions between β-selinene, octanal, and IGF1/OR6A2. This research offers new insights into the mood-modulating properties of ginseng aroma and may inform future studies exploring the development of specialized ginseng products for emotional well-being applications. Full article
(This article belongs to the Section Food Analytical Methods)
Show Figures

Figure 1

20 pages, 4046 KB  
Article
Enzyme-Assisted Extraction and Preparation of Saponin Microcapsules and Gelatin Gummies: Characterization and In Vitro Digestion
by Yehui Zhou, Jie Long, Enduo Ma, Xia Zheng, Xingfei Li and Zhengyu Jin
Foods 2026, 15(8), 1332; https://doi.org/10.3390/foods15081332 - 11 Apr 2026
Viewed by 396
Abstract
Saponins, the primary bioactive constituents with immunomodulatory activities in Baoyuan decoction—a traditional Chinese medicine formula composed of ginseng, astragalus, licorice, and cinnamon—are limited by low extraction yield, poor stability, and easy degradation. In this study, cellulase and pectinase were used for the extraction [...] Read more.
Saponins, the primary bioactive constituents with immunomodulatory activities in Baoyuan decoction—a traditional Chinese medicine formula composed of ginseng, astragalus, licorice, and cinnamon—are limited by low extraction yield, poor stability, and easy degradation. In this study, cellulase and pectinase were used for the extraction of saponins from Baoyuan decoction and optimized by response surface methodology. Subsequently, the optimal extracts were microencapsulated by spray drying with soy protein isolate (SPI) or high-oleic acid soy protein isolate (HOSPI) and pectin (PE) as composite wall materials, followed by application evaluation in gummies and in vitro digestion. After optimization, the total saponin yield was 63.68 ± 0.15 mg/g. HOSPI-PE microcapsules (HBP) had a higher encapsulation efficiency (90.38%), smaller particle size, and lower hygroscopicity than SPI-PE ones (SBP). Furthermore, both microcapsules showed good stability during storage and controlled release, with 60.9% of saponins in SBP and 65.8% in HBP being delivered to the intestinal phase during in vitro digestion of microparticles. When applied in gummies, microcapsule gummies retained satisfactory sustained-release in vitro digestion (23.0% released in the stomach and 66.2% in the small intestine). In contrast, the unencapsulated gummies exhibited a burst release (74.4%) at 30 min in gastric digestion. This study provides theoretical and technical insights into the development of plant-derived functional foods and promotes the practical application of microencapsulation in functional gummy candies. Full article
Show Figures

Figure 1

22 pages, 3721 KB  
Article
Hepatoprotective Effects of Black Ginseng Extract and Ginsenoside Rh1 Against Alcohol-Induced Liver Injury: Mechanistic Insights from Network Pharmacology, In Vitro, and In Vivo Analysis
by Hyeon Seon Na, Jeon Hwang-Bo, Woo-Cheol Shin, Jin-Kyu Jang, Bo-Ram Choi and Dae Young Lee
Antioxidants 2026, 15(4), 461; https://doi.org/10.3390/antiox15040461 - 8 Apr 2026
Viewed by 550
Abstract
Alcohol-induced liver damage (AILD), characterized by oxidative stress and inflammation, is a major health concern. While black ginseng extract (BGE) exhibits diverse pharmacological activities, its protective effects against AILD and underlying molecular mechanisms remain unclear. This study evaluated the protective effects of BGE [...] Read more.
Alcohol-induced liver damage (AILD), characterized by oxidative stress and inflammation, is a major health concern. While black ginseng extract (BGE) exhibits diverse pharmacological activities, its protective effects against AILD and underlying molecular mechanisms remain unclear. This study evaluated the protective effects of BGE against AILD using in vivo, in vitro, and in silico models. In mice, daily oral administration of 25% ethanol (5 g/kg) for 2 weeks induced liver injury. BGE (100–500 mg/kg) significantly reduced serum alanine aminotransferase (AST) and aspartate aminotransferase (ALT)levels while increasing catalase (CAT) and superoxide dismutase (SOD) activities. In ethanol-treated HepG2 cells, BGE inhibited nitric oxide (NO) production and suppressed cyclooxygenase-2 (COX-2), inducible nitric oxide synthase (iNOS), tumor necrosis factor-alpha (TNF-α), and interleukin-6 (IL-6) expression while increasing heme oxygenase-1 (HO-1)expression. Ginsenoside Rh1, quantified at 4.7 mg/g via quadrupole linear ion trap tandem mass spectrometry coupled with UPLC (UPLC-Q-TRAP-MS/MS), was identified as a key bioactive compound. Network pharmacology and molecular docking analyses revealed key inflammatory signaling pathways and core hub genes associated with ginsenoside Rh1. Integrated analyses suggest that ginsenoside Rh1 contributes to the multi-target effects of BGE by modulating inflammatory signaling pathways. Collectively, BGE is a potential therapeutic candidate for the prevention and treatment of AILD, with ginsenoside Rh1 serving as a key bioactive constituent and quality control marker. Full article
(This article belongs to the Special Issue Natural Antioxidants and Their Oxidized Derivatives in Processed Food)
Show Figures

Graphical abstract

22 pages, 2902 KB  
Article
Immune Regulatory and Underlying Mechanisms of Polysaccharides from Aronia melanocarpa Fruit by Integrated Analysis of Multiple Endogenous Metabolism
by Jinxu Dong, Honglei Liu, Lei Wang, Yan Liu and Xin Huang
Molecules 2026, 31(7), 1166; https://doi.org/10.3390/molecules31071166 - 1 Apr 2026
Viewed by 394
Abstract
The fruit of Aronia melanocarpa (Michx.) Elliott is a berry with multiple properties and was included as a new raw food material by the National Health Commission of China (NHC) in September 2018. This study focused on the immune regulatory properties and underlying [...] Read more.
The fruit of Aronia melanocarpa (Michx.) Elliott is a berry with multiple properties and was included as a new raw food material by the National Health Commission of China (NHC) in September 2018. This study focused on the immune regulatory properties and underlying mechanism of polysaccharides extracted from Aronia melanocarpa fruit (AMFP) by undertaking an integrated analysis of multiple endogenous metabolic pathways. An improvement in AMFP in immunosuppressed model mice at three levels of immune organs, immune cells, and immune factors was determined. The immunomodulatory role of AMFP was assessed through measurement of metabolomic and lipidomic profilings by UPLC-Q-TOF/MS. A total of 53 differential endogenous metabolites in the urinary, serum, and lipid metabolomics were identified, followed by KEGG pathway enrichment. Furthermore, the underlying mechanisms were elucidated by an integrated analysis of multiple metabolomics and lipidomics. Primarily, we found regulation of immune-related metabolic pathways, including nicotinate and nicotinamide metabolism, sphingolipid metabolism, glycerophospholipid metabolism, purine metabolism, steroid hormone biosynthesis, and arachidonic acid metabolism. The results also demonstrated the mutual validation of key pathways and mechanisms. AMFP potentiated both humoral and cellular immunity responses and protected the immune system from oxidative damage. This research provides a reference and a basis for the development and application of AMFP in the field of health foods that regulate immunity. Full article
Show Figures

Figure 1

22 pages, 8639 KB  
Article
Ameliorative Effect of Valeric Acid Against Psychophysiological Chronic Unpredictable Stress
by Bindu Kumari, Gireesh Kumar Singh, Gyan Prakash Modi, Hitesh Harsukhbhai Chandpa, Ravi Bhushan Singh, Geeta Rai, Khushbu Priya and Dhananjay Kumar Singh
Biomedicines 2026, 14(4), 795; https://doi.org/10.3390/biomedicines14040795 - 31 Mar 2026
Viewed by 450
Abstract
Background: Chronic unpredictable stress triggers various pathological and metabolic alterations by modulating psychophysiological balance. Valeric acid (VA), a postbiotic material, has been reported to mitigate stress-induced behavioral changes in rodents. Objectives: To investigate the protective effect of valeric acid against chronic [...] Read more.
Background: Chronic unpredictable stress triggers various pathological and metabolic alterations by modulating psychophysiological balance. Valeric acid (VA), a postbiotic material, has been reported to mitigate stress-induced behavioral changes in rodents. Objectives: To investigate the protective effect of valeric acid against chronic unpredictable stress in a rodent model by assessing neuro-physiological alterations along with changes in biochemical parameters to confirm the possible mechanism. Methods: A 14-day chronic unpredictable stress (CUS) model in albino Wistar rats was developed to check the stress-induced changes using forced swim test, tail suspension test and sexual behavior observation. Quantification of IL-6, TNF-α, IL-1β, plasma corticosterone level and oxidative stress parameters were also done. Results: Findings revealed the protective effects of valeric acid against CUS, which reversed the depression caused by a forced swim and tail suspension test in rats. Proinflammatory and oxidative stress markers were significantly (p < 0.05) restored in CUS rats treated with valeric acid as compared with the vehicle control, which was comparable to the standard drug, Panax ginseng. Conclusions: The present study concludes that valeric acid demonstrated significant (p < 0.05) anti-stress effect by modulating both behavioral responses and stress-related biochemical modifications. Full article
(This article belongs to the Section Cell Biology and Pathology)
Show Figures

Graphical abstract

33 pages, 2995 KB  
Review
Ginsenoside-Mediated Ferroptosis Regulation: Bidirectional Effects and Therapeutic Potential in Diseases
by Yuanyuan Wang, Mengxue Song, Shuai Li, Huizhen Ren, Shuang Liu and Hui Zhang
Int. J. Mol. Sci. 2026, 27(7), 3172; https://doi.org/10.3390/ijms27073172 - 31 Mar 2026
Viewed by 434
Abstract
Notably, certain ginsenoside components exhibit distinct bidirectional and context-dependent regulatory effects on ferroptosis depending on the disease setting. In aberrantly proliferating or activated cells, ginsenosides function as ferroptosis inducers, whereas in damaged quiescent cells of normal tissues, they act as ferroptosis inhibitors. The [...] Read more.
Notably, certain ginsenoside components exhibit distinct bidirectional and context-dependent regulatory effects on ferroptosis depending on the disease setting. In aberrantly proliferating or activated cells, ginsenosides function as ferroptosis inducers, whereas in damaged quiescent cells of normal tissues, they act as ferroptosis inhibitors. The pro-ferroptotic effect is predominantly observed in cells characterized by abnormal proliferation or activation, such as cancer cells and activated hepatic stellate cells in liver fibrosis. In this context, ginsenosides modulate key iron metabolism proteins and suppress antioxidant defense systems (e.g., GPX4, SLC7A11), thereby triggering intracellular iron overload and explosive lipid peroxidation, ultimately culminating in ferroptosis. Conversely, the anti-ferroptotic effect primarily targets damaged non-proliferative cells in normal tissues subjected to pathological insults (e.g., ischemia–reperfusion, inflammation). In this setting, the regulatory focus of ginsenosides shifts toward maintaining iron homeostasis through mechanisms including upregulation of iron storage proteins (e.g., FTH1), downregulation of iron uptake proteins (e.g., TFRC), and inhibition of labile Fe2+ accumulation, thereby blocking ferroptosis initiation. This review systematically elucidates the pharmacological effects and underlying mechanisms by which different ginsenoside components regulate ferroptosis across various disease contexts and cell types, with particular emphasis on their disease- and cell type-dependent bidirectional regulatory characteristics. By highlighting these context-specific effects, we aim to provide novel potential therapeutic targets and mechanistic insights for the precision treatment of diverse pathological conditions, including malignant proliferative disorders, non-malignant aberrantly activated/proliferative diseases such as liver fibrosis, and cell injury/degenerative diseases. Full article
(This article belongs to the Section Bioactives and Nutraceuticals)
Show Figures

Figure 1

33 pages, 5068 KB  
Review
The Potential of Plant-Derived Foods to Treat Glaucoma: A Review
by Jinze Liu and Zhongmei He
Nutrients 2026, 18(7), 1080; https://doi.org/10.3390/nu18071080 - 27 Mar 2026
Viewed by 938
Abstract
Glaucoma, characterized by progressive retinal ganglion cell degeneration and optic nerve damage, is the leading cause of irreversible blindness worldwide. Multiple risk factors influence the pathogenesis and progression of glaucoma. Food-derived bioactive components have emerged as a new area of interest to overcome [...] Read more.
Glaucoma, characterized by progressive retinal ganglion cell degeneration and optic nerve damage, is the leading cause of irreversible blindness worldwide. Multiple risk factors influence the pathogenesis and progression of glaucoma. Food-derived bioactive components have emerged as a new area of interest to overcome the limitations of current standard treatments due to their antioxidant and anti-inflammatory activities and multi-target mechanisms. In this context, various plant-derived foods, such as Lycium barbarum, Ganoderma lucidum, Cryptotanshinone, Scutellaria baicalensis, Silybum marianum, Astragalus membranaceus, Ginkgo biloba, Panax ginseng, Crocus sativus, and resveratrol, have shown potential mechanisms for treating glaucoma. These bioactive components may address oxidative damage, neuroinflammation, and elevated intraocular pressure, which may be due to the modulation of multiple signaling pathways, including JAK2/STAT3, PI3K/AKT, MEK/ERK/CREB, cAMP/PKA/CREB, and others. However, further clinical trials are needed to validate dosage, bioavailability, and long-term safety. This review highlights the potential of bioactive components from plant-derived foods, offering a reference for further investigation into their effects on glaucoma. Full article
(This article belongs to the Section Phytochemicals and Human Health)
Show Figures

Graphical abstract

15 pages, 3644 KB  
Article
Shifts in Rhizosphere and Bulk Soil Microbial Communities During the Second and Third Years of Ginseng Cultivation
by Deqiang Yang, Zhipeng Xu, Ruitong Du, Yunwei Liu, Xiangquan Li and Zhibin Wang
Microorganisms 2026, 14(4), 764; https://doi.org/10.3390/microorganisms14040764 - 27 Mar 2026
Viewed by 416
Abstract
Soil microbial communities regulate plant growth and nutrient cycling, yet their dynamics during early ginseng cultivation remain poorly understood. This study used Illumina MiSeq sequencing to characterize bacterial and fungal communities in rhizosphere and bulk soils from second- and third-year ginseng fields. Differences [...] Read more.
Soil microbial communities regulate plant growth and nutrient cycling, yet their dynamics during early ginseng cultivation remain poorly understood. This study used Illumina MiSeq sequencing to characterize bacterial and fungal communities in rhizosphere and bulk soils from second- and third-year ginseng fields. Differences across growth periods were analyzed using one-way ANOVA. Significant shifts in α- and β-diversity occurred in both soil rhizosphere and bulk soils, and distinct environmental factors shaped community structure. Correlation heatmaps, redundancy analysis (RDA), and Mantel tests identified associations between soil physicochemical properties and microbial taxa. Notably, soil location had a stronger effect on microbial variation than cultivation duration. Dominant bacterial genera were strongly correlated with NH4+-N, and fungal community composition was primarily driven by NH4+-N. These results demonstrate that early ginseng cultivation significantly alters soil microbial communities and provide a basis for sustainable agricultural practices and soil ecosystem management. Full article
(This article belongs to the Section Environmental Microbiology)
Show Figures

Figure 1

18 pages, 2491 KB  
Article
Ginsenoside Rh1 Suppresses Vesicular Stomatitis Virus Replication by Inhibiting Autophagy to Promote Immune Responses
by Hongmei Chen, Qinglu Zhao, Dingcheng Wei, Zhanying Hu, Xueliang Zhu and Rui Zhang
Microorganisms 2026, 14(4), 757; https://doi.org/10.3390/microorganisms14040757 - 27 Mar 2026
Viewed by 484
Abstract
Vesicular stomatitis virus (VSV), a member of the Vesiculovirus genus within the Rhabdoviridae family, is a widespread pathogen affecting all hoofed livestock species, leading to reduced animal growth and productivity. To date, no effective therapeutic treatment for VSV infection has been developed. Natural [...] Read more.
Vesicular stomatitis virus (VSV), a member of the Vesiculovirus genus within the Rhabdoviridae family, is a widespread pathogen affecting all hoofed livestock species, leading to reduced animal growth and productivity. To date, no effective therapeutic treatment for VSV infection has been developed. Natural medicinal compounds with immunomodulatory properties represent a promising supportive strategy for infection control. Ginsenoside Rh1, a primary bioactive component of ginseng plants, has been reported to possess broad pharmacological and immunoregulatory activities. Nevertheless, its potential antiviral effects against VSV remain unexplored. In this study, we demonstrate that Ginsenoside Rh1 exhibits considerable antiviral activity against VSV in cellular models. Mechanistically, its antiviral effect is primarily mediated through the inhibition of VSV-induced autophagy, thereby enhancing interferon-mediated antiviral responses. Collectively, our findings identify Ginsenoside Rh1 as a novel antiviral agent active against VSV and potentially related vesiculoviruses, clarify its mechanism of action, and highlight an autophagy-dependent immunomodulatory approach that could be critical for confronting existing and emerging RNA viral infections. Full article
(This article belongs to the Special Issue Diagnosis, Treatment and Prevention of Viral Infections)
Show Figures

Figure 1

Back to TopTop