Sign in to use this feature.

Years

Between: -

Subjects

remove_circle_outline
remove_circle_outline
remove_circle_outline
remove_circle_outline
remove_circle_outline
remove_circle_outline
remove_circle_outline

Journals

Article Types

Countries / Regions

remove_circle_outline
remove_circle_outline
remove_circle_outline
remove_circle_outline

Search Results (425)

Search Parameters:
Keywords = germline genetic mutations

Order results
Result details
Results per page
Select all
Export citation of selected articles as:
16 pages, 276 KB  
Article
Clinical and Genetic Characteristics of Pheochromocytoma and Paraganglioma: A Single-Center Experience Including a Rare VHL Variant
by Merve Korkmaz Yilmaz, Ozlem Kandemir Alibakan, Aydeniz Aydin Gumus, Alper Gezdirici, Huseyin Karatay, Serkan Sari, Tugba Matlim Ozel, Mutlu Niyazoglu and Esra Hatipoglu
J. Clin. Med. 2026, 15(2), 712; https://doi.org/10.3390/jcm15020712 - 15 Jan 2026
Abstract
Background/Objectives: Advances in the genetic understanding of pheochromocytoma–paraganglioma (PPGL) have considerably refined personalized approaches to diagnosis and management. This study aims to present our institutional experience on the diagnostic characteristics, clinical course, and genetic background of patients with PPGL, in the context of [...] Read more.
Background/Objectives: Advances in the genetic understanding of pheochromocytoma–paraganglioma (PPGL) have considerably refined personalized approaches to diagnosis and management. This study aims to present our institutional experience on the diagnostic characteristics, clinical course, and genetic background of patients with PPGL, in the context of the current literature. Methods: This retrospective analysis included 35 patients diagnosed with PPGL between years 2020 and 2024, all of whom underwent surgical resection and next-generation sequencing for germline mutations in major PPGL susceptibility genes. Clinical presentation, biochemical profile, pathological findings, and follow-up outcomes were compared between mutation-positive and mutation-negative cases. Results: Of the 35 patients with PPGL, germline mutations were identified in 6 patients (17%): 2 in Cluster 1A genes (SDHA, SDHB), 2 in Cluster 1B (VHL), and 2 in Cluster 2 (NF1). Consistent with existing literature, pathogenic germline variants—particularly SDHB and VHL—were identified in our cohort exclusively in patients younger than 30 years (ages 17, 20, and 25). Mutation-positive patients more frequently exhibited noradrenergic or non-secretory profiles (p = 0.01). Among the three non-secretory tumors in the cohort, two harbored genetic mutations (SDHA, NF1). Interestingly, both NF1-positive patients were normotensive—one (c.3496G > A) with a non-secretory tumor and the other (c.2329T > A) presenting at an unusually late age (63 years)—a strikingly atypical spectrum that underscores the phenotypic variability of NF1-associated PPGL. Bilateral disease was observed exclusively in VHL carriers (p = 0.03). Importantly, we identified a rare VHL c.369delG frameshift variant, not previously reported in association with PPGLs, in a patient with PPGL. No significant difference was observed between SDHB loss (p = 0.1) and proliferative indices (mitotic count, Ki-67) (p = 0.07, p = 0.6) between the two groups. During a median follow-up of 24 months (IQR: 18–36), one SDHB-positive patient had a recurrence, while no distant metastases were detected in the remaining mutation carriers. Conclusions: These findings support characteristic clinical patterns among mutation-positive PPGL and underscore the importance of systematic germline testing in all cases—irrespective of age, family history, or biochemical profile—to guide individualized management and enable cascade screening. The identification of a rare VHL c.369delG variant, previously unreported in association with PPGL, within a characteristic VHL-related clinical phenotype highlights the importance of this association. Similarly, atypical NF1 cases emphasize phenotypic variability and reinforce the importance of germline testing even in clinically silent presentations. Full article
(This article belongs to the Section Endocrinology & Metabolism)
14 pages, 426 KB  
Review
Genetic Basis of Familial Cancer Risk: A Narrative Review
by Eman Fares Sabik
DNA 2026, 6(1), 5; https://doi.org/10.3390/dna6010005 - 13 Jan 2026
Viewed by 22
Abstract
Familial cancers are caused by inherited mutations in specific genes that regulate cell growth, division, and repair. Approximately 5–10% of all cancer cases have a hereditary component, where germline mutations in certain genes increase an individual’s susceptibility to developing cancer. Two major categories [...] Read more.
Familial cancers are caused by inherited mutations in specific genes that regulate cell growth, division, and repair. Approximately 5–10% of all cancer cases have a hereditary component, where germline mutations in certain genes increase an individual’s susceptibility to developing cancer. Two major categories of genes are involved in cancer development: tumour suppressor genes and oncogenes. Both play critical roles in regulating normal cell behaviour, and when mutated, they can contribute to uncontrolled cell proliferation and tumour formation. In addition to genetic mutations, epigenetic alterations also play a significant role in familial cancer. Epigenetics refers to changes in gene expression due to DNA methylation, histone modifications, and the dysregulation of non-coding RNAs without alter the underlying DNA sequence. Familial cancer syndromes follow various inheritance patterns, including autosomal dominant, autosomal recessive, X-linked, and mitochondrial inheritance, each with distinct characteristics. Identifying genetic mutations associated with familial cancers is a cornerstone of genetic counselling, which helps individuals and families navigate the complex intersection of genetics, cancer risk, and prevention. Early identification of mutations enables personalized strategies for risk reduction, early detection, and, when applicable, targeted treatment options, ultimately improving patient outcomes. Full article
Show Figures

Figure 1

25 pages, 2645 KB  
Review
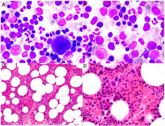
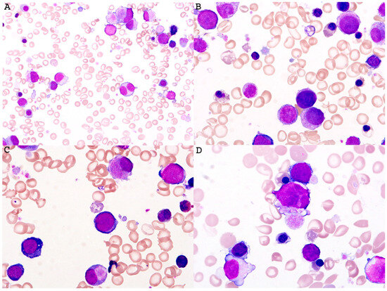
Moving Beyond Somatic Alterations: Uncovering the Germline Basis of Myeloid Malignancies
by Ismail Elbaz Younes, Lynh Nguyen and Ling Zhang
Cancers 2026, 18(2), 240; https://doi.org/10.3390/cancers18020240 - 13 Jan 2026
Viewed by 50
Abstract
Myeloid neoplasms (MNs) with germline predisposition represent a distinct, increasingly recognized category in the WHO classification, encompassing myelodysplastic syndrome (MDS) and acute myeloid leukemia (AML) arising in the context of an inherited genetic alteration or mutation. While often presenting at a younger age [...] Read more.
Myeloid neoplasms (MNs) with germline predisposition represent a distinct, increasingly recognized category in the WHO classification, encompassing myelodysplastic syndrome (MDS) and acute myeloid leukemia (AML) arising in the context of an inherited genetic alteration or mutation. While often presenting at a younger age or with characteristic cytopenias with or without organ dysfunction, some can manifest in adulthood, highlighting the need for vigilance regardless of age or family history. Key predisposing genes include transcription factors (e.g., RUNX1, CEBPA) and genes involved in RNA splicing and telomere biology disorders. Identification of these germline mutations is critical as MNs with germline predisposition dictate specific therapeutic strategies—particularly for hematopoietic stem cell transplantation (HSCT)—and require genetic counseling and surveillance for at-risk relatives. Accurate diagnosis often requires non-hematopoietic germline DNA testing, which provides important biological insights into the development of different myeloid neoplasms and directs personalized patient care. Full article
Show Figures

Figure 1

13 pages, 2195 KB  
Case Report
First Whole-Genome Sequencing Analysis of Tracheobronchopathia Osteochondroplastica with Critical Vocal Cord Involvement: Proposing a Novel Pathophysiological Model
by Yeonhee Park, Joo-Eun Lee, Mi Jung Lim, Hyeong Seok Kang and Chaeuk Chung
Diagnostics 2026, 16(2), 210; https://doi.org/10.3390/diagnostics16020210 - 9 Jan 2026
Viewed by 130
Abstract
Background: Tracheobronchopathia osteochondroplastica (TO) is a rare benign disorder characterized by submucosal cartilaginous and osseous nodules of the tracheobronchial tree, typically sparing the posterior membranous wall. Involvement of the vocal cords is exceedingly rare and may result in critical airway obstruction. The [...] Read more.
Background: Tracheobronchopathia osteochondroplastica (TO) is a rare benign disorder characterized by submucosal cartilaginous and osseous nodules of the tracheobronchial tree, typically sparing the posterior membranous wall. Involvement of the vocal cords is exceedingly rare and may result in critical airway obstruction. The underlying genetic and molecular mechanisms of TO remain largely unexplored. Case presentation: We report a rare case of TO extending from the vocal cords to the bronchi in a 76-year-old man who initially presented with pneumonia and later developed acute respiratory failure due to severe airway narrowing, necessitating emergency tracheostomy. Bronchoscopy and computed tomography revealed diffuse calcified nodules involving the anterior and lateral airway walls, including the subglottic region. Histopathology demonstrated chronic inflammatory cell infiltration with squamous metaplasia. To explore the molecular basis of this condition, whole-genome sequencing (WGS) was performed using peripheral blood samples—the first such application in TO. WGS identified 766 germline mutations (including 27 high-impact variants) and 66 structural variations. Candidate genes were implicated in coagulation and inflammation (KNG1), arachidonic acid metabolism and extracellular matrix remodeling (PLA2G4D), ciliary dysfunction and mineralization (TMEM67), vascular calcification (CDKN2B-AS1), smooth muscle function (MYLK4), abnormal calcification (TRPV2, SPRY2, BAZ1B), fibrotic signaling (AHNAK2), and mucosal barrier integrity (MUC12/MUC19). Notably, despite systemic germline mutations, calcification was restricted to the airway. Conclusions: This case highlights that TO with vocal cord involvement can progress beyond a benign course to cause life-threatening airway obstruction. Integrating clinical, histological, and genomic findings, we propose a novel pathophysiological model in which systemic genetic susceptibility interacts with local immune cell infiltration and fibroblast-driven extracellular matrix remodeling, resulting in airway-restricted dystrophic calcification. This first genomic characterization of TO provides new insights into its pathogenesis and suggests that multi-omics approaches may enable future precision medicine strategies for this rare airway disease. Full article
(This article belongs to the Special Issue Respiratory Diseases: Diagnosis and Management)
Show Figures

Figure 1

9 pages, 890 KB  
Case Report
Cowden Syndrome in Childhood: Gastrointestinal Involvement in a Multisystem Genetic Disorder—A Case Report
by Maria Rogalidou, Nikolaos Katzilakis, Kalliopi Stefanaki, Konstantina Dimakou, Dafni Margoni, Iordanis Pelagiadis, Alexandra Papadopoulou and Eftichia Stiakaki
Reports 2026, 9(1), 21; https://doi.org/10.3390/reports9010021 - 9 Jan 2026
Viewed by 138
Abstract
Background and Clinical significance: Cowden syndrome is an autosomal dominant disorder caused by germline loss-of-function mutations in the PTEN tumor suppressor gene. It is characterized by multiple hamartomas and an increased lifetime risk of malignancies affecting the breast, thyroid, endometrium, and gastrointestinal (GI) [...] Read more.
Background and Clinical significance: Cowden syndrome is an autosomal dominant disorder caused by germline loss-of-function mutations in the PTEN tumor suppressor gene. It is characterized by multiple hamartomas and an increased lifetime risk of malignancies affecting the breast, thyroid, endometrium, and gastrointestinal (GI) tract. Pediatric presentations may include macrocephaly, scrotal tongue, and intellectual disability. Gastrointestinal involvement is frequent, with juvenile-like hamartomatous polyps occurring in at least half of patients and distributed throughout the GI tract, posing a risk for malignant transformation. Early diagnosis and surveillance are crucial for improving patient outcomes. Case Presentation: We report a case of a 10-year-old Caucasian female with Cowden syndrome, with a history of a malignant germ cell tumor of the ovary consisting of a yolk sac tumor and low-grade immature teratoma diagnosed at age six, and thyroidectomy at age nine. The patient has mild intellectual disability. Routine radiological surveillance revealed a right colon intraluminal mass, prompting referral for pediatric gastroenterology evaluation. Endoscopy identified multiple polyps throughout the colon, stomach, and small intestine. Polypectomy of larger lesions was performed, and histopathology confirmed juvenile-like hamartomatous polyps without dysplasia or malignancy. This case highlights the necessity of comprehensive gastrointestinal evaluation in pediatric Cowden syndrome patients. Endoscopic surveillance is essential for early detection and management of polyps. Conclusions: Given the multisystem involvement and elevated cancer risk associated with PTEN mutations, a multidisciplinary approach that includes genetic counseling, dermatologic evaluation, and ongoing oncologic monitoring is recommended. Increased awareness of gastrointestinal manifestations enables timely intervention and may reduce morbidity and mortality in this high-risk population. Full article
(This article belongs to the Section Gastroenterology)
Show Figures

Figure 1

19 pages, 1638 KB  
Article
Genomic Profiling of Highly Aggressive Musculoskeletal Sarcomas Identifies Potential Therapeutic Targets: A Single-Center Experience
by Alessandro Parra, Emanuela Palmerini, Maria Antonella Laginestra, Cristina Ferrari, Stefania Cocchi, Elisa Simonetti, Evelin Pellegrini, Alessandra De Feo, Giovanna Magagnoli, Giorgio Frega, Davide Maria Donati, Marco Gambarotti, Toni Ibrahim, Katia Scotlandi, Lorena Landuzzi and Laura Pazzaglia
Cancers 2026, 18(1), 139; https://doi.org/10.3390/cancers18010139 - 31 Dec 2025
Viewed by 309
Abstract
Background/Objectives: Targeted gene sequencing (TGS) for Comprehensive Genomic Profiling (CGP) use in sarcomas has recently increased in clinical practice. We report on TGS real-world data over a period of 3 years (2022–2025) at the IRCCS Istituto Ortopedico Rizzoli, with the aim of identifying [...] Read more.
Background/Objectives: Targeted gene sequencing (TGS) for Comprehensive Genomic Profiling (CGP) use in sarcomas has recently increased in clinical practice. We report on TGS real-world data over a period of 3 years (2022–2025) at the IRCCS Istituto Ortopedico Rizzoli, with the aim of identifying potential actionable targets and providing therapeutic indications for advanced sarcoma patients. Methods: We analyzed 22 advanced sarcoma patients by using the VariantPlex Pan Solid Tumor kit panel, including 185 genes. In nine cases, saliva samples for germinal DNA analysis were available. Sequencing was performed on the NextSeq-500 Platform and analyzed with Archer Analysis software. The Cancer Genome Interpreter and OncoKB Database tools were used to find potential actionable targets. Results: We found the most frequent genetic variants, including missense, deletion, duplication, and delins, in the NOTCH4, AR, BARD1, MUC16, and ROS1 genes. Copy Number alterations affected the CDKN2A, CDKN2B, TP53, RHOA, MYC, CCND3, and DDR2 genes mainly in osteosarcoma samples. In four patients, longitudinal analyses of subsequent lesions showed the maintenance of most genomic alterations and enrichment in missense or splice variants in PMS2, SMARCA4, ARID1A, AKT1, BMPR1A, and PTEN, indicating the occurrence of tumor evolution. Germline variants subtraction identified the specific somatic tumor mutations. Advantages and disadvantages of our approach were considered in order to refine the analysis setting and better select possible actionable targets. Conclusions: Early access to genomic analyses, routine germline assessment, and broad gene panels would help in identifying possible targeted drugs with sufficient evidence of activity beneficial to each patient. In the clinical management of advanced sarcoma patients, when analyzing cost-effectiveness and sustainability, the role of the Molecular Tumor Board in the governance of the complexity introduced by mutational oncology should be considered. Full article
Show Figures

Figure 1

12 pages, 534 KB  
Article
Landscape of Phenotype-Genotype Correlations in Romanian Patients with Medullary Thyroid Carcinoma
by Laura-Semonia Stanescu, Sofia-Maria Lider-Burciulescu, Andrei Muresan, Sorina Violeta Schipor, Elena Braha, Monica Livia Gheorghiu and Corin Badiu
Cancers 2026, 18(1), 93; https://doi.org/10.3390/cancers18010093 - 27 Dec 2025
Viewed by 274
Abstract
Background/Objective: To comprehensively characterize the genetic landscape of medullary thyroid carcinoma (MTC) in a Romanian cohort. Methods: Germline and somatic RET testing were performed in 164 MTC patients (105 sporadic, 59 hereditary) consecutively enrolled at a single tertiary center (2021–2024) using genomic DNA [...] Read more.
Background/Objective: To comprehensively characterize the genetic landscape of medullary thyroid carcinoma (MTC) in a Romanian cohort. Methods: Germline and somatic RET testing were performed in 164 MTC patients (105 sporadic, 59 hereditary) consecutively enrolled at a single tertiary center (2021–2024) using genomic DNA or DNA extracted from fresh surgical or paraffin-embedded pathology specimens. Results: Hereditary MTC (hMTC) accounted for 59/164 (35.9%) cases. Among hMTC, 58/59 (98.3%) had MEN2 (72.4% classic, 5.2% with cutaneous lichen amyloidosis, 5.2% with Hirschsprung disease, and 17.2% with familial medullary thyroid carcinoma), and 1/59 (1.7%) had MEN3. Codon 634 mutations were the most prevalent (33/59, 55.9%). Extracellular cysteine-rich domain mutations were significantly more prevalent in syndromic cases (p = 0.006), while non-cysteine mutations were predominant in apparently sporadic cases (p = 0.006). In advanced MTC (stage III/IV or metastatic), the somatic M918T mutation was the most common (15/20, 75% cases). Conclusions: Germline RET screening is mandatory for all MTC cases. Somatic testing is critical in advanced disease, where M918T prevails in 75% of cases and guides tyrosine kinase inhibitor therapy. Codon 634 is the most frequent mutation in Romanian MTC, highlighting regional variation warranting population-adjusted screening and earlier prophylactic thyroidectomy. Full article
(This article belongs to the Section Molecular Cancer Biology)
Show Figures

Figure 1

34 pages, 2937 KB  
Review
Human Cancers Derived from Either Genetic or Lifestyle Factors Are Initiated by Impaired Estrogen Signaling
by Zsuzsanna Suba
Cancers 2026, 18(1), 78; https://doi.org/10.3390/cancers18010078 - 26 Dec 2025
Viewed by 505
Abstract
Background: Genetic studies have found that a germline BRCA1 gene mutation is the origin of highly increased cancer risk. Clinical studies have suggested that increased cancer risk in type-2 diabetes may be attributed to unhealthy lifestyle factors and bad habits. Purpose: Patients with [...] Read more.
Background: Genetic studies have found that a germline BRCA1 gene mutation is the origin of highly increased cancer risk. Clinical studies have suggested that increased cancer risk in type-2 diabetes may be attributed to unhealthy lifestyle factors and bad habits. Purpose: Patients with either BRCA1 gene mutation or type-2 diabetes similarly exhibit increased cancer risk, insulin resistance, and fertility disorders. It was suggested that these three alterations derive from a common genomic failure, and its recognition may shed light on the unsolved secret of cancer. Results: (1) Germline mutations on ESR1, BRCA1, and CYP19A genes encoding estrogen receptor alpha (ERα), genome safeguarding BRCA1 protein, and CYP19 aromatase enzyme cause genomic instability. BRCA1 and ESR1 gene mutations specifically cause breast cancer, while error in the CYP19A gene leads to cancers in the endometrium, ovaries, and thyroid. (2) ERα, BRCA1, and CYP19 aromatase proteins are transcription factors creating the crucial DNA stabilizer circuit driven by estrogen regulation. Liganded ERα drives a second regulatory circuit to also control cell proliferation, in partnership with various growth factors. In a third regulatory circuit, liganded ERα drives cellular glucose supply in close interplay with insulin, IGF-1, and glucose transporters. (3) Impaired expression or activation of each transcription factor of the triad leads to defective estrogen signaling and endangers regular cell proliferation, insulin sensitivity, and fertility. (4) Impaired estrogen signaling caused by either genetic or lifestyle factors alarms the hypothalamus, which issues neural and hormonal commands throughout the body to restore estrogen signaling. (5) When the compensatory actions cannot restore estrogen signaling, the breakdown of genomic regulation leads to cancer initiation. (6) Lifestyle factors that upregulate estrogen signaling decrease cancer risk, while downregulating estrogen signaling increases it. Conclusions: Increased cancer risk, insulin resistance, and infertility all originate from defective estrogen signaling. Full article
(This article belongs to the Special Issue Lifestyle Choices and Endocrine Dysfunction on Cancer Onset and Risk)
Show Figures

Figure 1

10 pages, 824 KB  
Case Report
A Novel ATRIP Mutation Detected in an Iranian Family with Familial Clustering of Breast Cancer: A Case Report
by Neda Zamani, Mehar Chahal, Iman Salahshourifar, Reiyhane Talebian and Mohammad R. Akbari
Curr. Oncol. 2025, 32(12), 711; https://doi.org/10.3390/curroncol32120711 - 17 Dec 2025
Viewed by 310
Abstract
Purpose: ATRIP (ATR-interacting protein) is a critical partner of ATR (ataxia telangiectasia and Rad3-related). The ATR-ATRIP heterodimer plays an essential role in initiating homologous recombination repair (HRR) during replication stress and inducing double-stranded DNA breaks following unresolved stalled replication forks. Our team recently [...] Read more.
Purpose: ATRIP (ATR-interacting protein) is a critical partner of ATR (ataxia telangiectasia and Rad3-related). The ATR-ATRIP heterodimer plays an essential role in initiating homologous recombination repair (HRR) during replication stress and inducing double-stranded DNA breaks following unresolved stalled replication forks. Our team recently identified ATRIP as a novel breast cancer susceptibility gene candidate through whole-exome sequencing (WES) of familial breast cancer patients and healthy controls from the Polish founder population, with subsequent validation in both Polish and British cohorts. In the present study, we report for the first time the detection of a novel deleterious mutation in ATRIP among several members of an Iranian family with clustering of breast cancer who were negative for mutations in the already known breast cancer risk genes. Methods: Six family members underwent germline DNA testing by WES, following initial negative results from multigene panel testing. Candidate variants were confirmed by Sanger sequencing and assessed according to ACMG guidelines. Results: We detected a novel ATRIP frameshift mutation (NM_130384.3:c.1033delC) in four of six family members that were tested, including two individuals affected with breast cancer. No pathogenic variants were found in other known cancer susceptibility genes. Conclusions: This is the first report of a deleterious ATRIP mutation in an Iranian family with familial breast cancer, suggesting a potential role of ATRIP in hereditary breast cancer. Further studies are required to confirm the role of ATRIP in breast cancer susceptibility, refine risk assessment, and evaluate potential personalized therapeutic strategies. In the interim, genetic counseling for ATRIP mutation carriers should proceed with caution, given current limitations in clinical interpretation. Full article
(This article belongs to the Special Issue Advanced Research on Breast Cancer Genes in Cancers)
Show Figures

Figure 1

10 pages, 1005 KB  
Article
Targeted Biological Therapy and Germline Mutation Prevalence in Advanced Ovarian Cancer Patients
by Anne-Marie Mosbæk Ellegaard, Tim Svenstrup Poulsen and Estrid Høgdall
Onco 2025, 5(4), 52; https://doi.org/10.3390/onco5040052 - 16 Dec 2025
Viewed by 267
Abstract
Background: Ovarian cancer is one of the most lethal gynecological malignancies, often diagnosed at an advanced stage. The prognosis is generally poor, with high recurrence rates and limited long-term survival. Understanding the genetic and molecular mechanisms underlying ovarian cancer is crucial for [...] Read more.
Background: Ovarian cancer is one of the most lethal gynecological malignancies, often diagnosed at an advanced stage. The prognosis is generally poor, with high recurrence rates and limited long-term survival. Understanding the genetic and molecular mechanisms underlying ovarian cancer is crucial for improving early diagnosis, developing targeted therapies, and enhancing patient outcomes. Methods: In this study, the clinical molecular reports of 50 ovarian cancer patients referred to the experimental cancer unit at Herlev Hospital were analyzed. The aim was to assess the number of patients being potential candidates for targeted biological therapy. Additionally, using the reports, we aimed to identify patients with potential germline mutations in cancer-predisposing genes. The possible consequences were annotated using gene lists from four hospitals in Denmark. Each hospital had its own distinct, published gene list, reflecting the genes that it considered potential carriers of germline mutations predisposing to cancer. Results: A total of twenty out of fifty patients (40%) had targetable biomarkers for biological treatment. CCNE1 amplification was identified as the most frequent variant (43%). Seven out of fifty patients (14%) had potential germline mutations in cancer-predisposing genes. Conclusions: In conclusion, the finding of a potential germline mutation in the SMARCA4 gene highlights how differences in hospital-specific gene lists may impact patient referral for genetic counseling. Full article
Show Figures

Graphical abstract

11 pages, 1045 KB  
Article
Processed Transcript Insertion as a Novel Germline Mutational Mechanism in BRCA1-Associated Hereditary Breast Cancer
by Anikó Bozsik, Henriett Butz, Vince Kornél Grolmusz, Petra Nagy, Tímea Pócza, Erika Tóth, Erzsébet Csernák, Attila Patócs and János Papp
Cancers 2025, 17(23), 3872; https://doi.org/10.3390/cancers17233872 - 2 Dec 2025
Viewed by 402
Abstract
Background/Objectives: Germline BRCA1 mutations account for ~15–20% of hereditary breast and ovarian cancer (HBOC) cases. While most are small sequence variants, structural rearrangements also contribute significantly to the pathogenic landscape. Conventional diagnostic workflows often miss such events, underscoring the need for comprehensive [...] Read more.
Background/Objectives: Germline BRCA1 mutations account for ~15–20% of hereditary breast and ovarian cancer (HBOC) cases. While most are small sequence variants, structural rearrangements also contribute significantly to the pathogenic landscape. Conventional diagnostic workflows often miss such events, underscoring the need for comprehensive approaches. Here, we report a previously undescribed pathogenic mechanism—a transposon-mediated processed transcript insertion—expanding the mutational spectrum underlying hereditary breast cancer susceptibility. Methods: The studied case was discovered during our germline genotyping routine: next-generation sequencing followed by library preparation with a custom hereditary cancer panel. The identified variant was validated by orthogonal sequencing and multiplex ligation-dependent probe amplification (MLPA). RNA-level functional assays, including nonsense-mediated decay inhibition, were conducted to assess transcript stability. Constitutional origin was confirmed by analysis of multiple normal tissues, and tumor material was evaluated for loss of heterozygosity (LOH). Results: NGS detected a 700 bp insertion in exon 16 of BRCA1, corresponding to a complete processed transcript of RPL18A. The insertion caused a frameshift and premature stop codon, triggering degradation of the aberrant transcript. The variant was present in multiple somatic tissues, and its heritable nature was further confirmed by genotyping a first-degree relative, who was also found to carry the insertion. Tumor DNA analysis revealed strong LOH with retention of the variant allele. Conclusions: This study identifies, for the first time, a heritable processed transcript insertion as a pathogenic event in BRCA1. Such variants are undetectable by conventional diagnostic workflows lacking structural variant analysis, highlighting the importance of comprehensive approaches for accurate diagnosis and genetic counselling in hereditary cancer syndromes. Full article
Show Figures

Figure 1

13 pages, 684 KB  
Article
The Application of the NGS and MLPA Methods in the Molecular Diagnostics of Lynch Syndrome
by Ivana Rako, Ema Vinceljak, Marina Popovic and Tamara Zigman
Diagnostics 2025, 15(23), 2950; https://doi.org/10.3390/diagnostics15232950 - 21 Nov 2025
Viewed by 662
Abstract
Background: Lynch syndrome (LS) is a cancer-susceptibility syndrome associated with autosomal dominant predisposition to a spectrum of cancers, primarily of the colorectum and endometrium, which exhibit impaired DNA mismatch repair (MMR) activity. LS is caused by a hereditary (germline) pathogenic (PV) or [...] Read more.
Background: Lynch syndrome (LS) is a cancer-susceptibility syndrome associated with autosomal dominant predisposition to a spectrum of cancers, primarily of the colorectum and endometrium, which exhibit impaired DNA mismatch repair (MMR) activity. LS is caused by a hereditary (germline) pathogenic (PV) or likely pathogenic variant (LPV) in one of the mismatch repair (MMR) genes—MLH1, MSH2, MSH6, PMS2, or EPCAM. Although point mutations are the most common genetic changes in MMR genes, >20% are large genomic rearrangements. We hypothesized that a two-tier diagnostic strategy for Lynch syndrome (LS) using next generation sequencing (NGS) and multiplex ligation-dependent probe amplification (MLPA) can increase diagnostic yield of patients with Lynch syndrome. Methods: This study included 60 patients suspected of LS. After genetic counseling, they were referred to genetic testing. Genomic DNA was extracted from peripheral blood and sequenced using NGS multigene panel testing covering 113 cancer susceptibility genes, including MMR genes. Regarding limitations of NGS analysis, which cannot reliably detect genomic alterations larger than 50 base pairs in length, the MLPA method was used for NGS negative DNA samples in order to identify larger deletions and duplications, commonly referred to as copy number variations (CNVs). Results: Different PVs were detected by NGS in 10 patients and CNVs were detected by MLPA in 7 more patients: 3xMLH1 del ex9-15, 2xMSH2 del ex1 and upstream, 1xMSH2 del ex9, and 1xMSH2 del ex1. We did not detect LPVs or variants of uncertain significance (VUS). In our cohort, the addition of MLPA provided an incremental yield of seven pathogenic CNVs, representing an 11.6% absolute increase in diagnostic sensitivity (from 16.7% to 28.3%) over the NGS-alone workflow, with CNVs accounting for 41% of all pathogenic findings. Conclusions: Our results show that MLPA is a very useful method in molecular diagnostics of LS and its implementation in routine genetic testing in combination with NGS using multigene panel testing would benefit both patients and health care providers. Full article
(This article belongs to the Special Issue Exploring the Role of Diagnostic Biochemistry, 2nd Edition)
Show Figures

Figure 1

15 pages, 1592 KB  
Article
Genetic Aberrations in Normal Tissues Adjacent to Biliary Tract Cancers
by Chae Hwa Kwon, Sung Hee Park, Hye Ji Lee, Jong Hyun Lee, Sung Yong Han, Yong Mok Park, Hyung Il Seo, Dong Uk Kim and Byeong Gwan Noh
Biomedicines 2025, 13(11), 2812; https://doi.org/10.3390/biomedicines13112812 - 18 Nov 2025
Viewed by 565
Abstract
Background: The role of normal tissues adjacent to tumors (NATs) in biliary tract cancer (BTC) remains unclear, despite their potential contributions to field cancerization. Methods: Targeted genomic profiling of tumor tissues, patient-matched NATs, and peripheral blood leukocytes from 13 patients with [...] Read more.
Background: The role of normal tissues adjacent to tumors (NATs) in biliary tract cancer (BTC) remains unclear, despite their potential contributions to field cancerization. Methods: Targeted genomic profiling of tumor tissues, patient-matched NATs, and peripheral blood leukocytes from 13 patients with BTCs was performed. Clinicopathological data, including inflammatory conditions and precursor lesions (biliary intraepithelial neoplasia [BilIN] and intraductal papillary neoplasm of the bile duct), were integrated with genomic findings. Results: Tumor tissues exhibited recurrent alterations in genes regulating DNA damage response, cell cycle control, and oncogenic signaling. Importantly, rather than being genetically silent, NATs harbor early somatic variants distinct from those in both tumor and germline DNA. These alterations were not directly associated with cancer-related pathways, but rather with extracellular matrix-receptor interactions, suggesting that NATs may represent an intermediate step in carcinogenesis. All patients with extrahepatic cholangiocarcinoma presented with BilIN in adjacent tissues, providing histological evidence of field cancerization linked to chronic inflammation. Conclusions: This systematic comparison of tumors, NATs, and germline DNAs in BTCs revealed that NATs contain biologically relevant somatic mutations. The concordance between the inflammatory background, precursor lesions, and genomic alterations supports a multistep carcinogenic model and highlights opportunities for early BTC detection and risk stratification. Full article
Show Figures

Graphical abstract

18 pages, 430 KB  
Article
Germline Mutations in DNA Repair Genes in Patients with Pancreatic Neuroendocrine Neoplasms: Diagnostic and Therapeutic Implications
by Beata Jurecka-Lubieniecka, Małgorzata Ros-Mazurczyk, Aleksandra Sygula, Alexander J. Cortez, Marcela Krzempek, Anna B. Tuleja, Agnieszka Kotecka-Blicharz, Marta Cieslicka, Malgorzata Oczko-Wojciechowska and Daria Handkiewicz-Junak
Curr. Oncol. 2025, 32(11), 631; https://doi.org/10.3390/curroncol32110631 - 10 Nov 2025
Viewed by 770
Abstract
Pancreatic neuroendocrine neoplasms (pNENs) are the second most common type of pancreatic cancer after pancreatic ductal adenocarcinoma. Germline mutations in DNA repair genes drive several hereditary and sporadic cancers; however, their role in pNENs remains poorly defined. This pilot study aimed to assess [...] Read more.
Pancreatic neuroendocrine neoplasms (pNENs) are the second most common type of pancreatic cancer after pancreatic ductal adenocarcinoma. Germline mutations in DNA repair genes drive several hereditary and sporadic cancers; however, their role in pNENs remains poorly defined. This pilot study aimed to assess the frequency and clinical relevance of germline DNA repair gene mutations in patients with pNENs, both with and without a family history of cancer. Germline DNA from 57 Polish patients with pNENs was analyzed using targeted next-generation sequencing to identify variants in a panel of DNA repair genes. Variant classification followed the American College of Medical Genetics and Genomics/Association for Molecular Pathology guidelines. Germline mutations were identified in 14 patients (24.6%), both with and without a family history of malignancy. Two patients carried pathogenic variants in BRCA2 and CHEK2, while seven carried variants of uncertain significance (VUS). The identified variants have been implicated in various cancer types, including breast, ovarian, prostate, gastric, colorectal, and pancreatic cancers. These findings indicate that germline mutations in DNA repair genes may contribute to the pathogenesis of pNENs, even in patients without a family history. Broader germline testing and population-specific studies are needed to clarify the genetic landscape and clinical implications of these alterations. Full article
(This article belongs to the Special Issue High-Grade Neuroendocrine Neoplasms)
Show Figures

Figure 1

19 pages, 574 KB  
Review
Bridging Andrology and Oncology: Prognostic Indicators of Cancer Among Infertile Men
by Athanasios Zachariou, Efthalia Moustakli, Athanasios Zikopoulos, Maria Filiponi, Anastasios Potiris, Nikolaos Kathopoulis, Themos Grigoriadis, Maria Tzeli, Nikolaos Machairiotis, Ekaterini Domali, Nikolaos Thomakos and Sofoklis Stavros
Curr. Issues Mol. Biol. 2025, 47(11), 930; https://doi.org/10.3390/cimb47110930 - 8 Nov 2025
Viewed by 864
Abstract
Approximately 7% of males globally suffer from male infertility, which is becoming more widely acknowledged as a clinical indicator of potential health hazards as well as a cause of reproductive failure. Among these, cancer has become a significant worry due to mounting evidence [...] Read more.
Approximately 7% of males globally suffer from male infertility, which is becoming more widely acknowledged as a clinical indicator of potential health hazards as well as a cause of reproductive failure. Among these, cancer has become a significant worry due to mounting evidence that spermatogenesis impairment is associated with increased risk of prostate, testicular, and other cancers. Male infertility may be an early clinical manifestation of systemic genomic instability due to shared biological pathways, such as Y-chromosome microdeletions (AZF regions), germline DNA repair defects, mutations in tumor suppressor genes (e.g., BRCA1/2, TP53), mismatch repair gene mutations (e.g., MLH1, MSH2), and dysregulated epigenetic profiles. This narrative review covers the most recent research on prognostic markers of cancer in infertile men. These include molecular biomarkers such as genetic, epigenetic, and proteomic signatures; endocrine and hormonal profiles; and clinical predictors such as azoospermia, severe oligozoospermia, and a history of cryptorchidism. The possibility of incorporating these indicators into risk stratification models for precision medicine and early cancer surveillance is highlighted. For this high-risk group, bridging the domains of andrology and oncology may allow for better counseling, earlier detection, and focused therapies. Full article
Show Figures

Graphical abstract

Back to TopTop