Next Article in Journal
Impact of a Virtual Three-Dimensional Thyroid Model on Patient Communication in Thyroid Surgery: A Randomized Controlled Trial
Previous Article in Journal
Prognostic Impact of RTK–RAS Alterations in FOLFOX-Treated Early-Onset Colorectal Cancer Revealed by Artificial Intelligence-Driven Precision Oncology
 
 
Font Type:
Arial Georgia Verdana
Font Size:
Aa Aa Aa
Line Spacing:
Column Width:
Background:
Review

Moving Beyond Somatic Alterations: Uncovering the Germline Basis of Myeloid Malignancies

1
Department of Laboratory Medicine and Pathology, University of Minnesota, Minneapolis, MN 55455, USA
2
Pathology and Laboratory Medicine, James A. Haley Veterans’ Hospital, Tampa, FL 33612, USA
3
Department of Pathology, H. Lee Moffitt Cancer Center, Tampa, FL 33612, USA
*
Author to whom correspondence should be addressed.
Cancers 2026, 18(2), 240; https://doi.org/10.3390/cancers18020240
Submission received: 10 December 2025 / Revised: 3 January 2026 / Accepted: 4 January 2026 / Published: 13 January 2026

Simple Summary

Myeloid neoplasms with germline predisposition develop blood cancers, such as AML and MDS, and arise from inherited genetic mutations rather than acquired ones. Individuals born with errors in genes like RUNX1, GATA2, or DDX41 have a significantly increased lifetime risk of developing hematologic malignancies. Identifying hereditary etiology is vital as it influences treatment strategies, including donor selection for stem cell transplant, and necessitates genetic counseling and surveillance for at-risk family members.

Abstract

Myeloid neoplasms (MNs) with germline predisposition represent a distinct, increasingly recognized category in the WHO classification, encompassing myelodysplastic syndrome (MDS) and acute myeloid leukemia (AML) arising in the context of an inherited genetic alteration or mutation. While often presenting at a younger age or with characteristic cytopenias with or without organ dysfunction, some can manifest in adulthood, highlighting the need for vigilance regardless of age or family history. Key predisposing genes include transcription factors (e.g., RUNX1, CEBPA) and genes involved in RNA splicing and telomere biology disorders. Identification of these germline mutations is critical as MNs with germline predisposition dictate specific therapeutic strategies—particularly for hematopoietic stem cell transplantation (HSCT)—and require genetic counseling and surveillance for at-risk relatives. Accurate diagnosis often requires non-hematopoietic germline DNA testing, which provides important biological insights into the development of different myeloid neoplasms and directs personalized patient care.

1. Introduction

Hematologic neoplasms are divided into myeloid and lymphoid neoplasms. Myeloid neoplasms (MNs) include myelodysplastic syndromes (MDSs), myeloproliferative neoplasms (MPNs), MDS/MPNs, and acute myeloid leukemias (AMLs), while lymphoid neoplasms encompass acute lymphoblastic leukemia (ALL) and indolent or aggressive B- or T/NK cell lymphomas. They are derived mostly from somatic mutations or cytogenetic abnormalities. A subset of neoplasms, however, result from germline mutations rather than somatic mutations. Patients carrying these mutations are more prone to develop a myeloid or lymphoid neoplasm. Importantly, germline mutations are constitutional and found in all body cells, including germ cells that can be passed on to offspring, while somatic mutations are acquired after birth and are present in cells excluding germ cells. When determining whether a mutation is germline or somatic, genetic counseling and parallel testing of patients’ familial gene profile are necessary. The development of next-generation sequencing (NGS) has aided in the discovery of these mutations and differentiation between somatic and germline mutations [1].
Historically, the terminology and nature of disease were poorly categorized until recent molecular insights. The incidence of hematologic neoplasms with germline predisposition accounts for 5–10% of hematologic malignancies. The 5th edition of the World Health Organization (WHO) [2] lists myeloid neoplasms with recurrent acquired somatic alterations associated with germline predisposition under secondary myeloid neoplasms that are further subdivided into:
MNs with germline predisposition without a pre-existing platelet disorder or organ dysfunction;
MNs with germline predisposition and pre-existing platelet disorders; and
MNs with germline predisposition and potential organ dysfunction.
The International Consensus Classification (ICC) [3] has similar subcategories for myeloid neoplasms; however, they are not limited to the myeloid lineage. The ICC has an additional category, which includes germline predisposition for lymphoblastic leukemia/lymphoma (ALL) (Table 1). There are several different MNs with germline predisposition under this umbrella (Table 1) that will be described and updated in this review. Myeloid neoplasms associated with bone marrow failure syndromes, myeloid proliferations associated with Down syndrome, and ICC pediatric disorders and/or germline mutation-associated disorders are additional categories related to inherited myeloid neoplasms that have been included in Table 1, but are only briefly mentioned and discussed separately. Fanconi anemia, Bloom syndrome, ataxia–telangiectasia, and RASopathies are listed under “genetic tumor syndromes associated with hematolymphoid tumors” in the 5th edition of the WHO and lymphoid neoplasms with germline mutations per ICC will not be focused on in this review.
Importantly, germline predisposition is not considered a disease on its own unless diagnostic criteria for MNs or ALL are met [4]. MNs with germline predisposition were initially discovered in familial platelet disorder with predisposition for AML caused by pathogenic/likely pathogenic germline mutations (P/LP) in RUNX1 [5,6]. The most important aspect in diagnosing MNs with germline predisposition is the ability to discern if the mutation found is germline or somatic. Germline testing is necessary and can be done by culturing fibroblasts from the skin, buccal mucosa, hair bulbs, saliva, or mononucleated cells from a blood sample, with skin preferred for hematological neoplasms [7]. A variant allele frequency (VAF) between 40–60% (heterozygous) or around 80% (homozygous) is a good indicator of a germline mutation; however, in order to differentiate between somatic and germline mutations, further testing is needed, such as skin fibroblast culture or buccal swab for germline mutations. Disease presentation varies in these MNs and ALL, as some of these mutations are not fully penetrant and should not be relied upon to diagnose MNs or ALL with germline predisposition. Another important factor to consider is age, as some MNs present not only in childhood, but also in adulthood. Therefore, an underlying germline mutation should not be immediately excluded if an MN presents in an adult. Many cases could be missed if one is unaware of this disease category and performs limited molecular investigation. Using larger NGS panels including genes associated with higher cancer risk and germline alterations would be a sensitive tool for screening and identifing these variants. Testing family members is of utmost importance in detecting germline mutations with predisposition for MNs. Closely screening family members can help detect MNs earlier, affording them better prognosis [8].
This review will focus on myeloid neoplasms with germline predisposition according to the 5th edition of the WHO while also being limited regarding lymphoid neoplasms with germline alterations. Clinical significance and underlying mechanisms regarding the disease categories will be updated based on advanced molecular studies.

2. Diagnostic Approaches to MNs with Germline Predisposition

It is crucial to establish a diagnostic algorithm for assessment of MNs with germline predisposition and separate them from carriers. Accurate diagnosis of MNs with germline predisposition requires integration of familial history, genetic consultation, and laboratory tests including examination of peripheral blood and bone marrow, NGS, and RNA sequencing. There are some clues when suspecting an underlying germline-mutated MN, including:
Careful family history, which would show multiple myeloid malignancies at a young age, e.g., MDS in the early 40s, hypoplastic pediatric MDS, or family members carrying clonal molecular and/or cytogenetic abnormalities.
Congenital physical anomalies or syndromes should also raise suspicion; e.g., Down syndrome and dyskeratosis congenita.
Congenital immunodeficiency or specific immune cell loss linked to germline gene mutation leading to Bloom or MonoMAC syndrome.
Related donor-derived MNs postallo-HSCT.
VAF close to 45–50% or 80–100%; persistently high VAF and/or biallelic mutations warrant careful analysis of a germline process.
Differentiating between somatic and germline mutations is imperative. Bear in mind that detection of a germline mutation is associated with increased risk of myeloid malignancies. WHO or ICC criteria should be followed to diagnose a myeloid neoplasm in a setting of a germline mutation. Additionally, age of onset of a myeloid malignancy is variable and does not exclusively present in childhood. For example, AML with germline DDX41 mutation often occurs after 70 years of age. Presence of increased blasts or complex karyotype in a peripheral blood and/or bone marrow sample can aid in the diagnosis of MNs. Of note, clonal hematopoiesis of indeterminated potential (CHIP) is not uncommon in patients with germline mutations. Careful differentiation between germline and acquired somatic mutations is necessary before rendering a diagnosis of MDS/AML [9] with specific germline predisposition. It is also critical to look for gene mutations specific to MDS, e.g., BCOR, SF3B1, U2AF1, EZH2, SRSF2, ASXL1, and ZRSF2, when performing differentiation.

2.1. Myeloid Neoplasms with Germline Predisposition Without a Pre-Existing Platelet Disorder or Organ Dysfunction

This category includes three different genes that are implicated: Germline CEBPA P/LP variant (CEBPA-associated familial AML), Germline DDX41 P/LP variant, and Germline TP53 P/LP variant [10,11,12,13].

2.1.1. Germline CEBPA P/LP Variant-Associated Familial AML

CCAAT/enhancer binding protein-α (CEBPA) is an intronless protein, functioning as a myeloid transcription factor that is present on chromosome 19q13.1. It encodes two proteins (3p and 42 kD protein) depending on the start site. It is expressed in hepatocytes, adipocytes, type II pneumocytes, follicles, and granulocytic precursors [14,15,16,17]. It plays an especially important role in enhancing granulocytic differentiation toward end-stage neutrophils and monocytes [18,19]. Mutations in CEBPA can occur at the C-terminus (frame-shift mutations) or N-terminus (in-frame insertions/deletions) [20]. Mutations that occur at the N-terminus are commonly frameshift or nonsense mutations, are usually germline in origin, and do not meet criteria for AML with in-frame basic region leucine zipper (bZIP) CEBPA mutations [3]. Mutations in the C-terminus are usually secondary to somatic mutations in patients with pre-existing germline N-terminus mutations. They also occur in the bZIP domain, which is diagnostic of AML with CEBPA mutation. The disease is inherited in an autosomal dominant pattern. The germline mutations encompass both pathogenic and likely pathogenic variants [21] and result in transcriptional dysregulation.
Gunz et al. described 13 family members, spanning three generations, who suffered from leukemia [22]. This phenomenon was not explained until 2010 when the pathogenesis of CEBPA germline predisposition was discovered [23]. They found that affected family members carried a base pair deletion of the N-terminal (c.68delC) and another acquired a mutation in the C-terminus. In 2004 Smith et al. reported another family that had three members who carried the same CEBPA mutation and developed leukemia [24].
The mutation site appears critical for development of familial CEBPA-mutated AML versus sporadic AML with CEBPA mutation. Familial CEBPA-mutated AML is reminiscent of sporadic AML with CEBPA mutation in terms of survival and pathologic features [10]. In this entity, germline mutations do not only occur in the N-terminus. Studies showed that the C-terminus can harbor germline mutations leading to the development of this MN [25]. Patients who had germline mutations in the C-terminus eventually developed AML; however, they did not have a family history of AML. This finding supports that germline mutations in the C-terminus have variable penetrance while germline mutations in the N-terminus have almost complete penetrance with a disease onset of 2–50 years of age [10]. It is further supported that in patients carrying a germline mutation in the N-terminus, the acquisition of another somatic CEBPA mutation is needed to develop AML [26]. The molecular profile in patients with germline mutations in the N-terminus of CEBPA is similar to that of sporadic cases of AML with double mutations of CEBPA [26]. Of note, patients with familial CEBPA-mutated AML had better overall survival (OS) than those with sporadic double-mutated CEBPA AML, 8 years versus 16 months, suggesting better response to therapy [26]. Additionally, the familial type has a different molecular profile at recurrence, whereas the sporadic counterpart tends to have the same molecular profile at initial diagnosis and recurrence.
Currently, there is no consensus on the appropriate time to test germline mutations of CEBPA. Suspicion should be high for a germline predisposition, especially in patients developing AML with mutated CEBPA under the age of 50. It is imperative to undergo germline testing in this setting as studies have identified that 5–10% of sporadic CEBPA-mutated AML carry an underlying germline mutation [25,27].

2.1.2. Germline DDX41 P/LP Variant

DEAD-box helicase 41 (DDX41) gene is located on chromosome 5q35.3. Though not fully understood, it is thought to play a role in pre-mRNA splicing [28]. In 2020, a study by Tsukamoto et al. revealed that the analog to DDX41 (SACY-1) in C. elegans plays a role in splicing [29]. Another study showed that an R525H mutation in DDX41 altered protein–protein interactions, especially for U2 and U5 spliceosome [30]. DDX41 is also involved in ribosome biosynthesis and innate immunity by sensing invading nucleic acids [28]. DDX41 mutations play a role in myeloid neoplasms as a study showed cases of AML associated with somatic DDX41 mutations [31]. It was not until 2015 that germline mutations in DDX41 were found to play a role in predisposition to myeloid neoplasms [30]. This was later confirmed when two different patients developed donor cell leukemia after stem cell transplant from donors carrying germline DDX41 mutations [32,33]. Germline mutations in DDX41 are the most common mutations that predispose to AML and MDS accounting for 2% of cases [34,34]. In MN with germline-mutated DDX41, the most common somatic mutation is another DDX41 (R525H being the most common mutation), followed by ASXL1 mutations [34]. A recent study conferred that R525H somatic mutation was the most common mutation found in their cohort of patients with DDX41 germline mutations [35]. Most of the germline mutations in DDX41 were either frameshift, nonsense, or splicing site mutations [36,37]. A cohort study carried out in 2021 found that p.M1I, p.D140fs, and p.Q41* were the most common germline mutations [37]. Importantly, MDS patients harboring truncating germline mutations in DDX41 had a more rapid progression to AML compared to those harboring non-truncating variants, though there was no difference in the overall survival [38]. The somatic and germline mutations in DDX41 are in different locations. Germline mutations occur upstream of the helicase 2 domain and involve loss of the start codon in 30% of cases. Somatic mutations, on the other hand, occur within the helicase 2 domain [39]. Germline mutations in DDX41 also differ between ethnic groups. In a study on Korean patients, 10/28 patients were found to harbor p.V152G [40]. In another study, ip.E256K, p.A500fs, p.Y259C, p.E7∗, and p.S363del were the most frequent germline mutations in Japanese patients [38] while approximately 90% of patients harboring p.M1I or p.D140fs mutations were Caucasian [34].
MN with germline mutated DDX41 is unique as it usually occurs at an older age compared to other MNs with germline mutations. Patients harboring DDX41 germline mutations develop MDS almost at the same age as the sporadic cases of MDS, with a median age of 65 [35]. Li et al. revealed that AML patients harboring germline mutations have distinct clinicopathologic features including male predominance and an indolent course, and often lack a family history [41]. These findings were later confirmed by Duployez et al. in 2022 [42]. A recent study reported a cohort of patients harboring both germline and somatic DDX41, 93% of whom had a normal karyotype. This finding is concordant with other studies, which showed a normal karyotype in approximately 70–80% of cases [30,43]. MNs with germline mutations in DDX41 have a better OS in comparison to age-matched MDS or AML with wild-type DDX41 [34,42]. Conversely, Choi et al. demonstrated no significant correlation between DDX41 mutation and OS [40]. Thus, large multicenter studies are warranted to investigate the relationship between DDX41 mutation association and overall survival.
There are no randomized studies for MNs with DDX41 germline mutations; therefore, patients are treated with the same protocols as general MDS/AML patients. Duployez et al. showed that patients with MN with germline DDX41 have higher complete remission rate when compared to wild-type DDX41 patients; however, they do not have longer OS [42]. Lenalidomide is a widely recognized standard treatment for low-risk MDS characterized by a deletion of 5q [44]. Lenalidomide has shown good efficacy for MDS/AML patients with DDX41 mutations in comparison to wild-type DDX41 patients (100% vs. 53%) [30]. In a prediction model study, lenalidomide showed higher response in patients with MN harboring mutations in the DEAD-box RNA helicase gene, including DDX41 [45]. Another case report showed successful response to lenalidomide in a patient with high-risk MDS and harboring both germline and somatic mutations in DDX41 [46]. Currently, there is no consensus for familial screening for patients found to be carriers of DDX41 germline mutation. Patients harboring germline DDX41 mutations present with cytopenias at the time of diagnosis [36]. Surveillance with complete blood count (CBC) may be useful in screening carriers of DDX41 mutations and in early detection of hematologic neoplasms. For the three major pathogenic germline variants in DDX41 variants (p.D140fs, p.M1I, and p.A500fs) the risk for developing a MN before 40 years of age is negligible; however, increases after 40 [38]. Given the results it might be helpful to start screening at 40 years of age.
DDX41 mutations also occur in other non-myeloid neoplasms. Recent studies suggest that non-myeloid neoplasms with DDX41 mutations might have a different pathway from the MN with DDX41 germline mutations and will not be discussed in this review.

2.1.3. Germline TP53 P/LP Variant

Tumor protein 53 (TP53) is located on chromosome 17p13.1 and encodes p53 protein, which is responsible for cell cycle arrest and acts as an important tumor suppressor. This gene also plays a role in DNA repair and fertility [47]. Li–Fraumeni syndrome (LFS) is a rare autosomal dominant disease caused by germline TP53 mutations. This syndrome was first described in 1969 by Li and Fraumeni [48]. Germline mutations were first discovered in 1990 [49]. Patients with LFS develop a wide array of hematopoietic malignancies including ALL, AML, and MDS. Patients with this syndrome can also develop early breast cancer, brain cancer, osteosarcoma, and adrenal cortical tumors [50]. The incidence of leukemias (including AML and ALL) in thesepatients is approximately 4% [51]. These leukemias usually develop as a therapy-related neoplasms after radiation therapy and are associated with poor prognosis. There are two criteria established for genetic testing for high-risk LFS cases: classical [52] and Chompret criteria [53]. Carriers of TP53 germline mutations were found to have a penetrance of 80% by age 70 [54]. A study by Montellier et al. divided TP53 germline mutations into four classes [55], each with its own unique features.
Class A is identified as patients who carry mutations in the DNA binding domain, especially in the major structural motif of this domain. This class entails all the phenotypic features of a severe LFS picture. Class A is almost identical to carriers of null/frameshift mutations; however, class A tends to have a higher proportion of CNS cancers.
Class B has mutations in the DNA binding domain as well; however, these mutations are present in different locations than class A. These mutations tend to be in positions that are not in direct contact with DNA. Class B mutations exhibit milder functional characteristics and display a broader range of transcriptional activities. These patients have a lower risk of developing cancers, especially in childhood and adolescence. Only partial loss of p53 is sufficient to increase the risk of this cancer.
Class C contains lower penetrance variants that can still cause cancers typical of LFS. This class contains two founder variants: R337H (Brazil) [56] and Y107H hypomorphic variant (African) [57]. The clinical picture of this class is extremely heterogeneous.
Class D represents the low penetrance variants that have strongly attenuated picture of LFS. Carriers of class D variants were more likely to have pathogenic mutations in other cancer predisposition genes than those in the other variant categories.
It is notable that missense TP53 mutations are the most disease-causing variants as they are associated with a dominant-negative effect (DNE) causing loss of function of p53 tetramers and reducing transcriptional activity of wild-type p53 protein. Immunohistochemistry (IHC) is able to detect cells harboring TP53 missense mutation and could serve as a surrogate for NGS study.
Myeloid neoplasms with TP53 germline mutation could be masked by overt phenotypic solid tumor and therapy-induced cytopenia. Peripheral blood monitoring for increased circulating blasts, acquired TP53 and other gene mutations, and IHC-positive p53 cells in bone marrow core would be helpul for diagnosis. Similar to other TP53-mutated tumors, myeloid neoplasm with TP53 germline mutation also shows poor response to standard therapies and frequently relapses status post allo-HSCT.
Lymphoid neoplasms with TP53 germline mutation mainly refer to low-hypodiploid B-ALL in children. Clinically it behaves more aggressively and has an adverse clinical outcome. Other types of T- or B-cell lymphomas can be seen with Li–Fraumeni syndrome. Treatment and outcome are similar to myeloid neoplasm with TP53 germline mutation.

2.2. Myeloid Neoplasms with Germline Predisposition and Pre-Existing Platelet Disorders

There is another group of myeloid neoplasms with germline predisposition that presents with platelet disorders. It includes germline RUNX1 P/LP variant (familial platelet disorder with associated myeloid malignancy), germline ANKRD26 P/LP variant (thrombocytopenia 2), and germline ETV6 P/LP variant (thrombocytopenia 5) [58,59,60,61].

2.2.1. Germline RUNX1 P/LP Variant (Familial Platelet Disorder with Associated Myeloid Malignancy)

Runt-related transcription factor 1 (RUNX1) is present on the long arm of chromosome 21 (21q22.12) and plays an important role in ribosome biogenesis [62] and hematopoietic differentiation. There are three different isoforms of RUNX1 depending on the splice site [63]. Germline mutations in RUNX1 were first described to be linked to leukemia by Song et al. in 1999 [5]. Later, RUNX1 familial platelet disorders with associated myeloid malignancies (RUNX1-FDPMM) were described by Michaud et al. in 2002 [64], who hypothesized that a secondary mutation is necessary to develop leukemia. This theory was also confirmed by Forster et al. in 2022 [65].
RUNX1-FPDMM is inherited in an autosomal dominant manner with incomplete penetrance. The most common presentation in these patients is mild to moderate thrombocytopenia and/or platelet aggregation defects followed by hematologic malignancy [66,67]. The spectrum of mutations in RUNX1 is vast, including missense, splice site mutations, and large deletions. A recent study by Yu et al. indicated that the most common mutations in these patients resulted in a defective truncated protein via splice site and frameshift mutations. Missense mutations also disrupt RUNX1 function, affecting important functional domains [68]. The majority of the associated hematologic malignancies affect the myeloid lineage, resulting in MDS and AML; however, cases of T- and B-ALL have been reported [69,70].
Secondary acquired mutations in these patients are diverse. Studies show the most common mutations are RUNX1 (second allele) and GATA2, with an associated decrease in other CHIP mutations [70]. On the other hand, another study found that BCOR mutations were the most common ones while other CHIP mutations were frequently present in these patients [68]. Surveillance is difficult since there is no specific phenotype for these diseases. The Kanagal-Shamanna et al. suggested conducting bone marrow biopsies on these patients to establish a baseline picture of the marrow, followed by regular bone marrow biopsies if CBC is abnormal or if NGS shows additional acquired mutations. Differenting between RUNX1-mutated AML/ALL and RUNX1-FPDMM can be challenging if no clear clinical family history is provided. For sporadic RUNX1-mutated AML, the VAF is usually <40%. Notably, the VAF of a mutation can help suggest a mutation is somatic or germline; however, is not definitive. In order to make that distinction, germline testing should be performed on skin fibroblasts or buccal mucosa. The non-germline form is also not associated with inherited platelet defects. Genetic and molecular consultation for family members may provide a clue.

2.2.2. Germline ANKRD26 P/LP Variant (Thrombocytopenia 2)

Ankyrin repeat domain-containing protein 26 (ANKRD26) is located on the short arm of chromosome 10 (10p12.1). It is expressed in many parts of the body, such as the brain and liver, adipose and hematopoietic tissue [71]. This gene plays an important role in cellular differentiation through the formation of more elaborate cell processes [72]. Upregulation of this gene in megakaryocytes causes increased signaling via the thrombopoietin/myeloproliferative leukemia virus oncogene (MPL) pathway and causes dysfunction in proplatelet formation [73].
Inherited thrombocytopenia, linked to chromosome 10p11.1-12, was first described by Savoia et al. in 1999 [74]. Thereafter, two genes (MASTL and ABCD5) were inaccurately implicated as the cause of this condition [75,76]. In 2011 Pippucci et al. demonstrated that the gene responsible for this condition was ANKRD26 [77]. ANKRD26-related thrombocytopenia is a non-syndromic autosomal dominant condition with increased predisposition to hematologic neoplasms. The most mutated region of ANKRD26 gene in this disease population is the 19-nucleotide region of the 5′ untranslated region (5′ UTR) (c.-116 through c.-134), which disrupts RUNX1 and FLI1 from binding to ANKRD26, leading to increased expression of this gene in megakaryocytes [78]. Two other variants involving the 5′ UTR have been reported in ANKRD26-related thrombocytopenia: c.-140C > G and c.-113A > C; however, interestingly, both of these variants are also present in the general population [79,80]. Mutations in the 5′UTR or N-terminal domain of ANKRD26 disrupt its normal suppression, enhancing type I cytokine signaling through MAPK pathway hyperactivation and ultimately leading to altered megakaryopoiesis [81].
There are other variants outside the 5′ UTR region that have been implicated in this disease including a missense mutation involving exon 1 (c.473A > G) and a fusion between the ANKRD26 and WAC genes [82,83]. Dell’Orso et al. described a fusion between ANKRD26 and ACBD5, forming a chimeric protein that also leads to the development of ANKRD26-related thrombocytopenia [84].
A large cohort in Italy found that ANKRD26-related thrombocytopenia represented 10% of total cases of inherited thrombocytopenia; however, the worldwide incidence cannot be accurately estimated [85]. As for the incidence of MNs in patients with ANKRD26 germline mutations, it was estimated to be around 8% [86]. The most common MNs in this population are AML and MDS. In comparison to the general population, there is a 24-fold increase in the developing a MN [87].
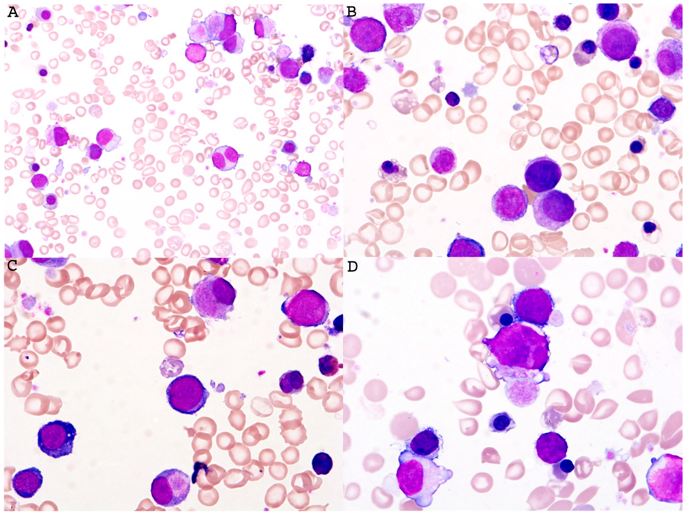
Wahlster et al. demonstrated 8 patients with a characteristic phenotype in ANKRD26-related thrombocytopenia. Bone marrow examination showed a base-line increase in myeloblasts and dysmegakaryopoiesis (Figure 1) without somatic mutations, and the patients did not develope myeloid neoplasms in long-term follow-ups, indicating a non-malignant process [81]. The potential problem is determining if the dysmegakaryopoiesis is the patient’s baseline or part of a developing MDS. NGS can help establish which are acquired somatic mutations, which would favor a MDS.
Figure 1. Representative images of bone marrow findings in a 34-year-old patient with ANKRD26 germline mutation. The bone marrow aspirate displayed dysplastic megakaryocytes with frequently small or hypolobated forms ((A), Wright Giemsa, ×1000). Occasional myeloblasts are identified, along with increased hematogones (on average 5.8% in the case) ((B), Wright Giemsa, ×1000). The bone marrow core demonstrated slight hypercellularity with identifiable dysplastic appearing megakaryocytes, but no morphologic evidence of abnormal localization of immature precursors. The estimated M:E ratio was 2:1 ((C,D), H&E, ×200 and ×600, respectively). NGS also detected ANKRD26 chr10:g.27,389,383 C>T (c.-128 C>T) mutation in the 5′ UTR region of exon 1 in both bone marrow and skin specimens, supporting a diagnosis of ANKRD26 germline mutation. Additional study demonstrated the patient has familial autosomal dominant ANKRD26-mutated thrombocytopenia (exon 1 c-128 G>A). This image is provided courtesy of Dr. Ling Zhang.
Figure 1. Representative images of bone marrow findings in a 34-year-old patient with ANKRD26 germline mutation. The bone marrow aspirate displayed dysplastic megakaryocytes with frequently small or hypolobated forms ((A), Wright Giemsa, ×1000). Occasional myeloblasts are identified, along with increased hematogones (on average 5.8% in the case) ((B), Wright Giemsa, ×1000). The bone marrow core demonstrated slight hypercellularity with identifiable dysplastic appearing megakaryocytes, but no morphologic evidence of abnormal localization of immature precursors. The estimated M:E ratio was 2:1 ((C,D), H&E, ×200 and ×600, respectively). NGS also detected ANKRD26 chr10:g.27,389,383 C>T (c.-128 C>T) mutation in the 5′ UTR region of exon 1 in both bone marrow and skin specimens, supporting a diagnosis of ANKRD26 germline mutation. Additional study demonstrated the patient has familial autosomal dominant ANKRD26-mutated thrombocytopenia (exon 1 c-128 G>A). This image is provided courtesy of Dr. Ling Zhang.
Cancers 18 00240 g001

2.2.3. Germline ETV6 P/LP Variant (Thrombocytopenia 5)

ETS variant transcription factor 6, also known as ETS tranlocation variant 6 (ETV6), is located on chromosome 12p and is present in hematopoietic stem cells and progenitor cells. It is an important transcriptional repressor in hematopoietic stem cells [88]. ETV6 germline mutations are associated with thrombocytopenia and other hematologic malignancies and were first described in 2015 [89,90]. ETV6 inactivation causes thrombocytopenia due to is effect on megakaryocytes; however, the same inactivation does not affect the B-cell lineage [88]. The peneterance of thrombocytopenia in patients harboring the ETV6 germline mutation approaches 90%, whereas in hematologic malignancy, it is estimated to be ~20–30% [58]. ETV6 germline mutations predispose individuals to AML, MDS, and B-ALL, which are the most common malignancies identified [91,92]. Most of the damaging variants were found to be in the ETS DNA-binding domain or cause truncation of this domain. The result of these variants is lost capacity to interact with ETV6, target DNA, and achieve proper nuclear localization [92].
The development of leukemia in these patients is dependent on secondary somatic mutations. For example, a patient harboring the ETV6 R386fs variant developed B-ALL followed by therapy-related AML. On sequencing both leukemias, a PAX5 mutation was present at the time of the B-ALL and a CBL mutation when the patient developed the AML [92]. The median age of hematologic malignancy in patients with ETV6 germline mutations is 11 years of age, which is older than patients with sporadic ETV6-mutated leukemias [93].

2.3. Myeloid Neoplasms with Germline Predisposition and Potential Organ Dysfunction

Germline GATA2 P/LP Variant (GATA2 Deficiency) [94,95]

The GATA2 gene, located on 3q21, is a key transcription factor and plays an essential role in regulation of normal hematopoiesis and lymphangiogenesis. GATA2 mutations impair hematopoiesis, resulting in defective trilineage differentiation and enhancing over-differentiation in monocytes, eventually leading to myeloid malignancies (Figure 2).
Myeloid neoplasms with germline GATA2 mutation or GATA2 deficiency syndrome are a group of diseases secondary to germline mutation involving the GATA2 gene. The mutation leads to the loss of normal function of the transcriptional factor, GATA2, leading to increased risk of MDS and AML with the most common hereditary predisposition to pediatric MDS. These patients often have associated immunodeficiencies, susceptibility to infection, lymphoedema, and GATA2 deficiency syndromes, e.g., Emberger syndrome, MonoMAC syndrome, DCML deficiency, and WILD syndrome.
Emberger syndrome is very rare autosomomal dominant disorder caused by inactivating mutations of parental GATA2 genes, which can be heterozygous or homozygous. Patients and family members often manifest with primary lymphedema, hearing loss, and development of MDS and AML.
MonnMAC syndrome is a similar inactivating mutation of the GATA2 gene can induce a rare autosomal dominant syndrome, characterized by Monocytopenia and mycobacterial (MAC) infections. Laboratory studies can reveal B-cell lymphopenia, decreased NK cells and dendritic cells. Patients with MonoMAC syndrome often suffer from bacterial, mycobacterial, viral, and fungal infections and develop myeloid neoplasms. Given the profound cytopenia and immunoinsufficiency, the syndrome requires close clinical monitoring to prevent a fatal outcome.
DCML deficiency is characterized by deficiencies of Dendritic Cell, Monocyte, B-, and NK-Lymphoid cells due to GATA2 mutation. The mutation results in neutropenia with various infections, in particular mycobacterial infections. Besides MDS and AML, pulmonary alveolar proteinosis and HPV-associated cancers can occur.
WILD syndrome is a rare genetic disorder characterized by Warts, Immunodeficiency, Lymphedema, and anogenital Dysplasia found in patients with a mutated GATA2 gene.
Diagnosis can be challenging given the number of variants and mutation patterns (germline versus somatic). It is worth mentioning that GATA2 germline mutations could be a major diagnostic pitfall if only exonic regions are sequenced, missing deletions or variants in intronic regions [96]. The majority of routine NGS myeloid panels do not sequence intron regions. Thus, whole genome sequencing is necessary to detect such variants if there is high clinical suspicion. The curative treatment strategy is allogeneic hematopoietic stem cell transplant.
Figure 2. Representative images of bone marrow findings in a 21-year-old patient with MDS associated with germline GATA2 mutation. A low-power view of the bone marrow core biopsy ((A), H&E, ×100) showed patchy fibrosis, decreased myelopoiesis, and atypical/dysplastic megakaryocytes. A medium power of view of the core ((B), H&E, ×200) highlighted erythroid preponderance and left-shifted maturation, and hypolobated megakaryocytes. Myeloid precursors were decreased without morphologic evidence of excess myeloblasts. Immunohistochemical stains were performed on the core biopsy, which showed increased CD71 positive erythroid lineage, CD61-positive dysplastic small megakaryocytes, and no increase in CD34 positive blasts ((CE), immunoperoxidase, ×200). Reticulin stain highlighted mild reticulin fibrosis (MF1-2/3) ((F), reticulin stain, ×200). NGS study confirmed presence of GATA2: p.L315Cfs*11, c.942-943delinsC (VAF 49.7%) in both bone marrow and skin specimens, supporting a diagnosis of GATA2 germline mutation. This image is provided courtesy of Dr. Ling Zhang.
Figure 2. Representative images of bone marrow findings in a 21-year-old patient with MDS associated with germline GATA2 mutation. A low-power view of the bone marrow core biopsy ((A), H&E, ×100) showed patchy fibrosis, decreased myelopoiesis, and atypical/dysplastic megakaryocytes. A medium power of view of the core ((B), H&E, ×200) highlighted erythroid preponderance and left-shifted maturation, and hypolobated megakaryocytes. Myeloid precursors were decreased without morphologic evidence of excess myeloblasts. Immunohistochemical stains were performed on the core biopsy, which showed increased CD71 positive erythroid lineage, CD61-positive dysplastic small megakaryocytes, and no increase in CD34 positive blasts ((CE), immunoperoxidase, ×200). Reticulin stain highlighted mild reticulin fibrosis (MF1-2/3) ((F), reticulin stain, ×200). NGS study confirmed presence of GATA2: p.L315Cfs*11, c.942-943delinsC (VAF 49.7%) in both bone marrow and skin specimens, supporting a diagnosis of GATA2 germline mutation. This image is provided courtesy of Dr. Ling Zhang.
Cancers 18 00240 g002

2.4. MNGPs with Potential Organ Dysfuntion Also Include Dyskeratosis Congenita and Down Syndrome

2.4.1. Dyskeratosis Congenita [97,98]

Dyskeratosis congenita (DC) is the prototypical telomere biology disorder clinically presenting with a triad of oral leukoplakia, nail dystrophy, and reticular hyperpigmentation. It occurs in childhood or adolescence and is commonly inherited in an X-linked pattern; however, AD or AR patterns have also been reported. There are at least 18 germline mutations (coding, splicing, and deletions) (e.g., ACD, CTC1, DKC1, MDM4, RTEL1, TERC, TERT, TINF2, NHP2, NOP10, NPM1, PARN, and WRAP53). DKC1 is the most common mutation. These genes are critical for telomere maintenance. Patients with DC are at a high risk for inflammatory fibrosis, pulmonary fibrosis, liver cirrhosis, vascular anomalies, squamous cell carcinoma, aplastic anemia, or MDS associated with monosomy 7. Bone marrow failure is one of the common findings. Diagnosis of DC is dependent on clinical findings and detection of germline mutations associated with telomere biology. Telomere length measurement also helps detect telomere biology disorders. Positive family history requires genetic consultation and comprehensive investigation. Treatment is challenging. Allo-HSCT is probably the best approach for DC patients who develop bone marrow failure with or without MNs.

2.4.2. Down Syndrome [99,100,101,102,103,104,105,106]

Down syndrome represents the most prevalent chromosomal aneuploidy observed in neonates. Myeloid neoplasms in Down syndrome (DS) represent a unique spectrum of diseases that differ significantly from leukemia in the general population. They typically follow two well-defined patterns: (1) transient abnormal myelopoiesis (TAM) and (2) myeloid leukemia associated with Down syndrome (ML-DS). The former presents within the first three weeks of birth and shows leukoerythroblastosis with giant platelets and megakaryoblasts in the blood (Figure 3) and undergo spontaneous remission within 3 months with no need for treatment; however, around a quarter of these patients will develop acute leukemia or MDS. The second group develops MDS or AML with megakaryoblastic differentiation, which requires appropriate treatment according to the therapeutic guideline for ML-DS.
Patients with Down syndrome also have an increased risk of developing ALL. ALL in Down syndrome (DS-ALL) has a unique biology, frequently presenting with CRLF2 mutation, and occurs more commonly in this patient population compared to the general population. The most frequent genetic abnormality is B-ALL with CRLF2 rearrangement, which accounts for 50–60% of cases as compared to 5% in the non-DS population. Almost half of patients with CRLF2 rearrangement also harbor an additional JAK2 mutation.
The pathogenetic mechanism is a combination of trisomy 21 and acquired GATA1 mutation, which results in dysregulated hematopoiesis. The development of these myeloid neoplasms is a classic example of multi-step leukemogenesis, as the presence of an extra chromosome 21 disrupts fetal hematopoiesis by expanding the pools of hematopoietic stem cells and megakaryocyte–erythroid progenitors, while simultaneously suppressing the development of B-cell precursors. The presence of the GATA1 mutation is a mandatory first step toward ML-DS, but it is not sufficient to cause disease on its own. VAF demonstrates a highly significant positive correlation with blast percentage, leukocyte counts, and morphological markers of dysplasia (specifically dyserythropoiesis and dysmegakaryopoiesis). The size of the GATA1 clone at birth was the sole factor capable of predicting future ML-DS. While most GATA1 clones identified in newborns do not develop into leukemia, any clone that remains detectable for more than six months is at a significant risk of leukemic transformation. To develop myeloid leukemia in Down syndrome, additional acquired somatic mutations are needed. In addition to GATA1 mutations, ML-DS is commonly driven by acquired mutations in CTCF, cohesin genes, and the RAS or JAK/STAT pathways.
An extra chromosome 21 can be detected in all cells (trisomy 21) or in some cells (mosaic) during conventional karyotyping. Presence of chromosomal abnormality leads to developmental issues and phenotypic changes, including intellectual disability, facial features (widened eyes, flattened nasal bridge, low-set ears), joint laxity, and muscular hypotonia. Trisomy 21 patients often present with variable degrees of organ defects involving cardiac, endocrine, and neurosensory systems and gastrointestinal tract. Diagnosis relies on karyotyping and NGS studies. There are about 10% of infants with TAM with severe complications leading to multiorgan failure. The risk of TAM transforming to acute megakaryoblastic leukemia is approximately 20–30% between 3 months and 3 years of age. Close clinical monitoring is recommended as low-dose chemotherapy can reduce mortality in patients who develop acute leukemia.
Figure 3. Representative images of Down syndrome-associated transient abnormal myelopoiesis (TAM) in an infant’s peripheral blood smear. The smear (AD) showed marked leukoerythroblastosis including numerous nucleated red blood cells and circulating micromegakaryocytes, myeloblasts, and megakaryoblasts. Background platelets showed anisopoikilocytosis including many giant forms (Wright stain, (A), ×200, and (BD), ×1000, respectively). This image is provided courtesy of Dr. Ling Zhang.
Figure 3. Representative images of Down syndrome-associated transient abnormal myelopoiesis (TAM) in an infant’s peripheral blood smear. The smear (AD) showed marked leukoerythroblastosis including numerous nucleated red blood cells and circulating micromegakaryocytes, myeloblasts, and megakaryoblasts. Background platelets showed anisopoikilocytosis including many giant forms (Wright stain, (A), ×200, and (BD), ×1000, respectively). This image is provided courtesy of Dr. Ling Zhang.
Cancers 18 00240 g003

2.5. Germline SAMD9 Mutations

Variant mutations include (1) germline SAMD9 P/LP variant (MIRAGE syndrome), (2) germline SAMD9L P/LP variant (SAMD9L-related ataxia–pancytopenia syndrome), and (3) biallelic germline BLM P/LP variant (Bloom syndrome).

2.5.1. Germline SAMD9 P/LP Variant (MIRAGE Syndrome)

The sterile alpha motif domain containing 9 (SAMD9) is located on chromosome 7q21.2 and is involved in antiviral factors and tumor suppression. It plays an important role in the development of different MNs [107] and is responsible for the development of normophosphatemic familial tumoral calcinosis. This condition has been reported in Jewish Yemenite families with biallelic loss-of-function mutations in SAMD9 (p.K1495E and p.R344X) [108,109]. Germline mutations in SAMD9 can lead to the development of MIRAGE syndrome (myelodysplasia, infection, growth restriction, adrenal hypoplasia, genital anomalies, and enteropathy), which was first discovered in 2016 [110]. Interestingly, haploinsufficiency of SAMD9 has also been implicated in the development of MDS [111]. MIRAGE syndrome develops due to a gain-of-function mutation in the SAMD9 gene. In cases of gain-of-function mutations in SAMD9, the body can develop a defense mechanism by either by losing the mutated allele, also known as adaptation by aneuploidy, or it can develop a second hit somatic mutation within the SAMD9 gene, leading to the reversal of the mutation [112].
SAMD9 germline mutations have been implicated in the development of a large proportion of pediatric MDS cases, ranging from 8–17% [113,114]. Similarly, a study in France showed that approximately 18% of children with idiopathic cytopenias harbored SAMD9/9L mutations [115]. SAMD9 germline mutations are usually missense mutations. The germline mutations associated with MIRAGE syndrome tend to cluster around the P-loop NTPase domain; however, MDS cases with SAMD9 mutations occur across the protein domain structure [116]. On the other hand, another study by Narumi et al. suggests that there is no association or particular clustering [117]. De novo acquired mutations causing MIRAGE syndrome exhibit complete penetrance [118]. Many patients with MIRAGE syndrome do not exhibit the whole phenotypic spectrum of the disease. Around 20% of children with MIRAGE syndrome do not exhibit adrenal symptoms, tend to be heavier in weight at birth, and have a longer gestational period compared to their counterparts with adrenal disease. These children suffer from various endocrinopathies such as panhypopituitarism and hypothyroidism. Thrombocytopenia is the most common cytopenia present in children with SAMD9 mutations. The median age of development of pediatric MDS is 9.6 years of age [118]. The most common cytogenetic abnormality in these patients is monosomy 7 [115,119]. Some studies show that monosomy 7 can be transient [120] and another study showed that certain patients harboring SAMD9/SAMD9L and monosomy 7 can undergo spontaneous remission. Thus, close surveillance of these patients may be the preferred approach over upfront stem cell transplant [121]. Adult onset MDS with SAMD9 mutation occurs in around 3% of MDS patients and is usually a loss-of-function rather than gain-of-function mutation, which is typically seen in pediatric patients [122]. Another condition caused by germline mutations in SAMD9, SAMD9L as well, is monosomy 7 myelodysplasia and leukemia syndrome 2 (M7MLS2). This condition follows an autosomal dominant pattern of inheritance [123] and has variable manifestations ranging from cytopenias to frank MDS and AML [123,124].

2.5.2. Germline SAMD9L P/LP Variant (SAMD9L-Related Ataxia–Pancytopenia Syndrome)

Sterile alpha motif domain-containing protein 9-like (SAMD9L) is a gene present on chromosome 7. It is a tumor suppressor gene and plays a role in innate immunity against viral infections such as poxviruses [107,125]. Germline gain-of-function mutations in this gene cause ataxia–pancytopenia syndrome. This syndrome was first described by Frederick Li, who also helped discover Li–Fraumeni syndrome [126]. A newly discovered germline variant (S1473N) was found to play a role in the development of this disease [127]. This syndrome spans neurological (cerebellar ataxia) and hematological symptoms (varying cytopenias). S1473N predisposes one to hematologic conditions, including leukemia and complete marrow failure, and similar to MIRAGE syndrome, monosomy 7 has been described in this condition. Ataxia–pancytopenia syndrome follows an autosomal dominant pattern of inheritance [128]. Given the variable clinical presentation of this syndrome, the estimated penetrance is not known; however, it has been found that most patients carrying mutations in SAMD9L express some features of this syndrome. It has been reported that patients harboring SAMD9L mutations can undergo revertant mosaicism to abrogate the effect of gain-of-function mutations in SAMD9L. This happens either by loss of the 7q arm or through cis-truncating mutations that abolish the gain-of-function of the mutant allele [129]. Whether this somatic rescue mechanism increases the risk of development of myeloid neoplasms later in life is dependent on the mechanism. For example, uniparental disomy rescue increases the risk of developing of myeloid neoplasms [119]. On the other hand, somatic rescue occurring through a cis-truncating mutation in SAMD9L increases the potential for developing a myeloid neoplasm later in life because it results in haploinsufficiency of SAMD9L [122]. Germline mutations of SAMD9L can also cause myeloid neoplasms in adults; however, these mutations are usually missense or nonsense mutations causing loss-of-function mutations in contrast to the gain-of-function mutations that occur in the pediatric population [130]. In a recent study in 2023, 2% of adult patients with hypocellular bone marrow harbored germline mutations in SAMD9/SAMD9L [131]. SAMD9L germline mutation displays incomplete penetrance with varying manifestations ranging from pancytopenia to MDS or AML [124]. SAMD9L-associated autoinflammatory disease, caused by truncating mutations in SAMD9L, is an acute, early-onset inflammatory syndrome characterized by skin nodules (panniculitis) and lung disease (interstitial inflammation) driven by neutrophils. It causes profound systemic inflammation, as indicated by significantly elevated C-reactive protein alongside an immunodeficiency marked by the progressive loss of B- and NK cells [132].

2.5.3. Biallelic Germline BLM P/LP Variant (Bloom Syndrome)

Bloom syndrome is caused by mutations in the Bloom syndrome helicase (BLM) gene, located on chromosome 15. This syndrome has high prevalence in the Ashkenazi Jewish population [133]. The BLM helicase is a protein that belongs to the RecQ family and is essential for processes like DNA repair and proper cell cycle progression. Its failure leads to genomic instability, which explains the syndrome’s defining feature: a significant predisposition to various malignancies [134]. Patients with Bloom syndrome have a spectrum of growth deficiency and clinically manifest with increased sun sensitivity and susceptibility to infections due to immunodeficiency. The most common neoplasms that occur in the first two decades of life in these patients are hematolymphoid neoplasms [135]. Additionally, colorectal cancer also frequently occurs in these patient at a younger age. The syndrome follows an autosomal recessive inheritance pattern.
This syndrome usually occurs as a result of loss-of-function mutations, which leads to chromosomal instability, drives excessive homologous recombination, and dramatically raises the frequency of sister chromatid exchanges [136]. Diagnosis can be made according to positive family history, clinical presentation, and detection of BLM gene mutations. Treatment is supportive including prevention of infection, sun protection, early cancer surveillance, and monitoring for insulin resistance. So far, the disease is not curable given the genetic defect.

3. Conclusions

Following deep sequencing implications in the daily diagnosis of benign and malignant hematologic disorders, emerging germline mutations likely driving myeloid neoplasms have been identified. They include the germline CSF3R, ERCC6L2, JAK2, MBD4, MECOM, NPM1, RBBP6, SRP72, and TET2 P/LP variants. Attention should be paid to these gene mutations when identified in younger patients or those who have a familial history of hematological malignancy.
It is important to follow patients who carry germline mutations to monitor for hematologic disease. A recent study in 2023 proposed certain features that are associated with progression of patients with germline predisposition to myelodysplastic syndrome.
Increased blasts in bone marrow (≥5%) or peripheral blood (≥2%) or two of the following features:
Acquired somatic pathogenic mutation;
New cytopenia in a different lineage or progressive cytopenia in the same lineage, especially in the context of increased bone marrow cellularity;
Multilineage dysplasia;
MDS defining cytogenetic or molecular abnormalities.
These features help determine which population of patients should be monitored more closely. The dysplasia in these patients should be monitored carefully, and a bone marrow biopsy should be done to establish the patient’s baseline morphology and monitor progression of dysplasia if present. Individuals with germline mutations in genes like RUNX1, ANKRD26, and ETV6 often start with low platelet counts and show abnormal megakaryocytes in their bone marrow. Because these features are expected consequences of the inherited mutation, pathologists must be careful, as the presence of megakaryocytic atypia alone is insufficient to diagnose MDS in these patients [137].
There is no consensus on how to monitor or follow up patients with myeloid neoplasms and germline predisposition. Periodic bone marrow examination is important for monitoring any deviation from the patient’s baseline bone marrow, which can change in cellularity or dysplasia. It is imperative to avoid overdiagnosing these patients with progression to MDS [138]. The only curative option for patients who develop myeloid neoplasms is stem cell transplant; however, patients who develop high-grade myeloid neoplasms, such as AML, are not responsive to conditioning chemotherapy, which complicates the process.

4. Future Directions

There is still a lot unknown regarding hematologic disorders associated with germline mutations. The 5th edition of WHO and ICC delineated a few new emerging germline genetic disorders that are likely associated with myeloid neoplasms. The germline CSF3R mutation, for example, can cause severe congenital neutropenia, multiple myeloma, or B-ALL [139,140]. There are many other conditions that still need to be investigated. Implementing NGS is of imperative importance to discover these entities and help reach an earlier diagnosis.

Funding

This research received no external funding.

Data Availability Statement

The original contributions presented in this study are included in the article. Further inquiries can be directed to the corresponding author.

Conflicts of Interest

The authors declare no conflicts of interest.

References

  1. Bochicchio, M.T.; Micucci, G.; Asioli, S.; Ghetti, M.; Simonetti, G.; Lucchesi, A. Germline CSF3R Variant in Chronic Myelomonocytic Leukemia: Linking Genetic Predisposition to Uncommon Hemorrhagic Symptoms. Int. J. Mol. Sci. 2023, 24, 16021. [Google Scholar] [CrossRef]
  2. Khoury, J.D.; Solary, E.; Abla, O.; Akkari, Y.; Alaggio, R.; Apperley, J.F.; Bejar, R.; Berti, E.; Busque, L.; Chan, J.K.C.; et al. The 5th edition of the World Health Organization Classification of Haematolymphoid Tumours: Myeloid and Histiocytic/Dendritic Neoplasms. Leukemia 2022, 36, 1703–1719. [Google Scholar] [CrossRef] [PubMed]
  3. Arber, D.A.; Orazi, A.; Hasserjian, R.P.; Borowitz, M.J.; Calvo, K.R.; Kvasnicka, H.M.; Wang, S.A.; Bagg, A.; Barbui, T.; Branford, S.; et al. International Consensus Classification of Myeloid Neoplasms and Acute Leukemias: Integrating morphologic, clinical, and genomic data. Blood 2022, 140, 1200–1228. [Google Scholar] [CrossRef]
  4. Swerdlow, S.H.; Campo, E.; Harris, N.L.; Jaffe, E.S.; Pileri, S.A.; Stein, H.; Thiele, J.; Vardiman, J.W. WHO Classification of Tumours of Haematopoietic and Lymphoid Tissues; International Agency for Research on Cancer: Lyon, France, 2008; Volume 2. [Google Scholar]
  5. Song, W.J.; Sullivan, M.G.; Legare, R.D.; Hutchings, S.; Tan, X.; Kufrin, D.; Ratajczak, J.; Resende, I.C.; Haworth, C.; Hock, R.; et al. Haploinsufficiency of CBFA2 causes familial thrombocytopenia with propensity to develop acute myelogenous leukaemia. Nat. Genet. 1999, 23, 166–175. [Google Scholar] [CrossRef] [PubMed]
  6. Ganly, P.; Walker, L.C.; Morris, C.M. Familial mutations of the transcription factor RUNX1 (AML1, CBFA2) predispose to acute myeloid leukemia. Leuk. Lymphoma 2004, 45, 1–10. [Google Scholar] [CrossRef] [PubMed]
  7. Patel, N.; Calvo, K.R. How I diagnose myeloid neoplasms with germline predisposition. Am. J. Clin. Pathol. 2023, 160, 352–364. [Google Scholar] [CrossRef]
  8. Godley, L.A.; DiNardo, C.D.; Bolton, K. Germline Predisposition in Hematologic Malignancies: Testing, Management, and Implications. Am. Soc. Clin. Oncol. Educ. Book 2024, 44, e432218. [Google Scholar] [CrossRef]
  9. Churpek, J.E.; Pyrtel, K.; Kanchi, K.L.; Shao, J.; Koboldt, D.; Miller, C.A.; Shen, D.; Fulton, R.; O’Laughlin, M.; Fronick, C.; et al. Genomic analysis of germ line and somatic variants in familial myelodysplasia/acute myeloid leukemia. Blood 2015, 126, 2484–2490. [Google Scholar] [CrossRef]
  10. Tawana, K.; Rio-Machin, A.; Preudhomme, C.; Fitzgibbon, J. Familial CEBPA-mutated acute myeloid leukemia. Semin. Hematol. 2017, 54, 87–93. [Google Scholar] [CrossRef]
  11. Maciejewski, J.P.; Padgett, R.A.; Brown, A.L.; Muller-Tidow, C. DDX41-related myeloid neoplasia. Semin. Hematol. 2017, 54, 94–97. [Google Scholar] [CrossRef]
  12. Cheah, J.J.C.; Hahn, C.N.; Hiwase, D.K.; Scott, H.S.; Brown, A.L. Myeloid neoplasms with germline DDX41 mutation. Int. J. Hematol. 2017, 106, 163–174. [Google Scholar] [CrossRef]
  13. Swaminathan, M.; Bannon, S.A.; Routbort, M.; Naqvi, K.; Kadia, T.M.; Takahashi, K.; Alvarado, Y.; Ravandi-Kashani, F.; Patel, K.P.; Champlin, R.; et al. Hematologic malignancies and Li-Fraumeni syndrome. Cold Spring Harb. Mol. Case Stud. 2019, 5, a003210. [Google Scholar] [CrossRef]
  14. Fan, H.Y.; Liu, Z.; Johnson, P.F.; Richards, J.S. CCAAT/enhancer-binding proteins (C/EBP)-α and -β are essential for ovulation, luteinization, and the expression of key target genes. Mol. Endocrinol. 2011, 25, 253–268. [Google Scholar] [CrossRef]
  15. Sugahara, K.; Iyama, K.I.; Kimura, T.; Sano, K.; Darlington, G.J.; Akiba, T.; Takiguchi, M. Mice lacking CCAAt/enhancer-binding protein-α show hyperproliferation of alveolar type II cells and increased surfactant protein mRNAs. Cell Tissue Res. 2001, 306, 57–63. [Google Scholar] [CrossRef]
  16. Tomizawa, M.; Garfield, S.; Factor, V.; Xanthopoulos, K.G. Hepatocytes deficient in CCAAT/enhancer binding protein α (C/EBP α) exhibit both hepatocyte and biliary epithelial cell character. Biochem. Biophys. Res. Commun. 1998, 249, 1–5. [Google Scholar] [CrossRef]
  17. Zhang, D.E.; Zhang, P.; Wang, N.D.; Hetherington, C.J.; Darlington, G.J.; Tenen, D.G. Absence of granulocyte colony-stimulating factor signaling and neutrophil development in CCAAT enhancer binding protein α-deficient mice. Proc. Natl. Acad. Sci. USA 1997, 94, 569–574. [Google Scholar] [CrossRef]
  18. Zhang, P.; Iwasaki-Arai, J.; Iwasaki, H.; Fenyus, M.L.; Dayaram, T.; Owens, B.M.; Shigematsu, H.; Levantini, E.; Huettner, C.S.; Lekstrom-Himes, J.A.; et al. Enhancement of hematopoietic stem cell repopulating capacity and self-renewal in the absence of the transcription factor C/EBP α. Immunity 2004, 21, 853–863. [Google Scholar] [CrossRef] [PubMed]
  19. Kim, S.; Chen, J.; Ou, F.; Liu, T.T.; Jo, S.; Gillanders, W.E.; Murphy, T.L.; Murphy, K.M. Transcription factor C/EBPα is required for the development of Ly6C(hi) monocytes but not Ly6C(lo) monocytes. Proc. Natl. Acad. Sci. USA 2024, 121, e2315659121. [Google Scholar] [CrossRef] [PubMed]
  20. Fasan, A.; Haferlach, C.; Alpermann, T.; Jeromin, S.; Grossmann, V.; Eder, C.; Weissmann, S.; Dicker, F.; Kohlmann, A.; Schindela, S.; et al. The role of different genetic subtypes of CEBPA mutated AML. Leukemia 2014, 28, 794–803. [Google Scholar] [CrossRef]
  21. Richards, S.; Aziz, N.; Bale, S.; Bick, D.; Das, S.; Gastier-Foster, J.; Grody, W.W.; Hegde, M.; Lyon, E.; Spector, E.; et al. Standards and guidelines for the interpretation of sequence variants: A joint consensus recommendation of the American College of Medical Genetics and Genomics and the Association for Molecular Pathology. Genet. Med. 2015, 17, 405–424. [Google Scholar] [CrossRef]
  22. Gunz, F.W.; Gunz, J.P.; Vincent, P.C.; Bergin, M.; Johnson, F.L.; Bashir, H.; Kirk, R.L. Thirteen cases of leukemia in a family. J. Natl. Cancer Inst. 1978, 60, 1243–1250. [Google Scholar] [CrossRef]
  23. Carmichael, C.L.; Wilkins, E.J.; Bengtsson, H.; Horwitz, M.S.; Speed, T.P.; Vincent, P.C.; Young, G.; Hahn, C.N.; Escher, R.; Scott, H.S. Poor prognosis in familial acute myeloid leukaemia with combined biallelic CEBPA mutations and downstream events affecting the ATM, FLT3 and CDX2 genes. Br. J. Haematol. 2010, 150, 382–385. [Google Scholar] [CrossRef]
  24. Smith, M.L.; Cavenagh, J.D.; Lister, T.A.; Fitzgibbon, J. Mutation of CEBPA in familial acute myeloid leukemia. N. Engl. J. Med. 2004, 351, 2403–2407. [Google Scholar] [CrossRef]
  25. Taskesen, E.; Bullinger, L.; Corbacioglu, A.; Sanders, M.A.; Erpelinck, C.A.; Wouters, B.J.; van der Poel-van de Luytgaarde, S.C.; Damm, F.; Krauter, J.; Ganser, A.; et al. Prognostic impact, concurrent genetic mutations, and gene expression features of AML with CEBPA mutations in a cohort of 1182 cytogenetically normal AML patients: Further evidence for CEBPA double mutant AML as a distinctive disease entity. Blood 2011, 117, 2469–2475. [Google Scholar] [CrossRef]
  26. Tawana, K.; Wang, J.; Renneville, A.; Bodor, C.; Hills, R.; Loveday, C.; Savic, A.; Van Delft, F.W.; Treleaven, J.; Georgiades, P.; et al. Disease evolution and outcomes in familial AML with germline CEBPA mutations. Blood 2015, 126, 1214–1223. [Google Scholar] [CrossRef] [PubMed]
  27. Pabst, T.; Eyholzer, M.; Haefliger, S.; Schardt, J.; Mueller, B.U. Somatic CEBPA mutations are a frequent second event in families with germline CEBPA mutations and familial acute myeloid leukemia. J. Clin. Oncol. 2008, 26, 5088–5093. [Google Scholar] [CrossRef]
  28. Winstone, L.; Jung, Y.; Wu, Y. DDX41: Exploring the roles of a versatile helicase. Biochem. Soc. Trans. 2024, 52, 395–405. [Google Scholar] [CrossRef] [PubMed]
  29. Tsukamoto, T.; Gearhart, M.D.; Kim, S.; Mekonnen, G.; Spike, C.A.; Greenstein, D. Insights into the Involvement of Spliceosomal Mutations in Myelodysplastic Disorders from Analysis of SACY-1/DDX41 in Caenorhabditis elegans. Genetics 2020, 214, 869–893. [Google Scholar] [CrossRef] [PubMed]
  30. Polprasert, C.; Schulze, I.; Sekeres, M.A.; Makishima, H.; Przychodzen, B.; Hosono, N.; Singh, J.; Padgett, R.A.; Gu, X.; Phillips, J.G.; et al. Inherited and Somatic Defects in DDX41 in Myeloid Neoplasms. Cancer Cell 2015, 27, 658–670. [Google Scholar] [CrossRef] [PubMed]
  31. Ding, L.; Ley, T.J.; Larson, D.E.; Miller, C.A.; Koboldt, D.C.; Welch, J.S.; Ritchey, J.K.; Young, M.A.; Lamprecht, T.; McLellan, M.D.; et al. Clonal evolution in relapsed acute myeloid leukaemia revealed by whole-genome sequencing. Nature 2012, 481, 506–510. [Google Scholar] [CrossRef]
  32. Kobayashi, S.; Kobayashi, A.; Osawa, Y.; Nagao, S.; Takano, K.; Okada, Y.; Tachi, N.; Teramoto, M.; Kawamura, T.; Horiuchi, T.; et al. Donor cell leukemia arising from preleukemic clones with a novel germline DDX41 mutation after allogenic hematopoietic stem cell transplantation. Leukemia 2017, 31, 1020–1022. [Google Scholar] [CrossRef]
  33. Berger, G.; van den Berg, E.; Sikkema-Raddatz, B.; Abbott, K.M.; Sinke, R.J.; Bungener, L.B.; Mulder, A.B.; Vellenga, E. Re-emergence of acute myeloid leukemia in donor cells following allogeneic transplantation in a family with a germline DDX41 mutation. Leukemia 2017, 31, 520–522. [Google Scholar] [CrossRef]
  34. Li, P.; Brown, S.; Williams, M.; White, T.; Xie, W.; Cui, W.; Peker, D.; Lei, L.; Kunder, C.A.; Wang, H.-Y.; et al. The genetic landscape of germline DDX41 variants predisposing to myeloid neoplasms. Blood 2022, 140, 716–755. [Google Scholar] [CrossRef]
  35. Bruehl, F.K.; Elbaz Younes, I.; Bosler, D.S.; Kelemen, K.; Jiang, L.; Reichard, K.K. Peripheral Blood and Bone Marrow Findings in Treatment-Naive Patients With Cytopenia(s)/Myeloid Neoplasms Harboring Both a Germline and a Somatic DDX41 Mutation. Appl. Immunohistochem. Mol. Morphol. 2024, 32, 371–381. [Google Scholar] [CrossRef]
  36. Lewinsohn, M.; Brown, A.L.; Weinel, L.M.; Phung, C.; Rafidi, G.; Lee, M.K.; Schreiber, A.W.; Feng, J.; Babic, M.; Chong, C.-E.; et al. Novel germ line DDX41 mutations define families with a lower age of MDS/AML onset and lymphoid malignancies. Blood 2016, 127, 1017–1023. [Google Scholar] [CrossRef]
  37. Bannon, S.A.; Routbort, M.J.; Montalban-Bravo, G.; Mehta, R.S.; Jelloul, F.Z.; Takahashi, K.; Daver, N.; Oran, B.; Pemmaraju, N.; Borthakur, G.; et al. Next-Generation Sequencing of DDX41 in Myeloid Neoplasms Leads to Increased Detection of Germline Alterations. Front. Oncol. 2020, 10, 582213. [Google Scholar] [CrossRef]
  38. Makishima, H.; Saiki, R.; Nannya, Y.; Korotev, S.; Gurnari, C.; Takeda, J.; Momozawa, Y.; Best, S.; Krishnamurthy, P.; Yoshizato, T.; et al. Germ line DDX41 mutations define a unique subtype of myeloid neoplasms. Blood 2023, 141, 534–549. [Google Scholar] [CrossRef] [PubMed]
  39. Quesada, A.E.; Routbort, M.J.; DiNardo, C.D.; Bueso-Ramos, C.E.; Kanagal-Shamanna, R.; Khoury, J.D.; Thakral, B.; Zuo, Z.; Yin, C.C.; Loghavi, S.; et al. DDX41 mutations in myeloid neoplasms are associated with male gender, TP53 mutations and high-risk disease. Am. J. Hematol. 2019, 94, 757–766. [Google Scholar] [CrossRef]
  40. Choi, E.J.; Cho, Y.U.; Hur, E.H.; Jang, S.; Kim, N.; Park, H.S.; Lee, J.H.; Lee, K.H.; Kim, S.H.; Hwang, S.H.; et al. Unique ethnic features of DDX41 mutations in patients with idiopathic cytopenia of undetermined significance, myelodysplastic syndrome, or acute myeloid leukemia. Haematologica 2022, 107, 510–518. [Google Scholar] [CrossRef]
  41. Li, P.; White, T.; Xie, W.; Cui, W.; Peker, D.; Zeng, G.; Wang, H.Y.; Vagher, J.; Brown, S.; Williams, M.; et al. AML with germline DDX41 variants is a clinicopathologically distinct entity with an indolent clinical course and favorable outcome. Leukemia 2022, 36, 664–674. [Google Scholar] [CrossRef]
  42. Duployez, N.; Largeaud, L.; Duchmann, M.; Kim, R.; Rieunier, J.; Lambert, J.; Bidet, A.; Larcher, L.; Lemoine, J.; Delhommeau, F.; et al. Prognostic impact of DDX41 germline mutations in intensively treated acute myeloid leukemia patients: An ALFA-FILO study. Blood 2022, 140, 756–768. [Google Scholar] [CrossRef]
  43. Sebert, M.; Passet, M.; Raimbault, A.; Rahme, R.; Raffoux, E.; Sicre de Fontbrune, F.; Cerrano, M.; Quentin, S.; Vasquez, N.; Da Costa, M.; et al. Germline DDX41 mutations define a significant entity within adult MDS/AML patients. Blood 2019, 134, 1441–1444. [Google Scholar] [CrossRef] [PubMed]
  44. List, A.; Dewald, G.; Bennett, J.; Giagounidis, A.; Raza, A.; Feldman, E.; Powell, B.; Greenberg, P.; Thomas, D.; Stone, R.; et al. Lenalidomide in the myelodysplastic syndrome with chromosome 5q deletion. N. Engl. J. Med. 2006, 355, 1456–1465. [Google Scholar] [CrossRef]
  45. Negoro, E.; Radivoyevitch, T.; Polprasert, C.; Adema, V.; Hosono, N.; Makishima, H.; Przychodzen, B.; Hirsch, C.; Clemente, M.J.; Nazha, A.; et al. Molecular predictors of response in patients with myeloid neoplasms treated with lenalidomide. Leukemia 2016, 30, 2405–2409. [Google Scholar] [CrossRef] [PubMed]
  46. Abou Dalle, I.; Kantarjian, H.; Bannon, S.A.; Kanagal-Shamanna, R.; Routbort, M.; Patel, K.P.; Hu, S.; Bhalla, K.; Garcia-Manero, G.; DiNardo, C.D. Successful lenalidomide treatment in high risk myelodysplastic syndrome with germline DDX41 mutation. Am. J. Hematol. 2020, 95, 227–229. [Google Scholar] [CrossRef]
  47. Voskarides, K.; Giannopoulou, N. The Role of TP53 in Adaptation and Evolution. Cells 2023, 12, 512. [Google Scholar] [CrossRef] [PubMed]
  48. Li, F.P.; Fraumeni, J.F., Jr. Soft-tissue sarcomas, breast cancer, and other neoplasms. A familial syndrome? Ann. Intern. Med. 1969, 71, 747–752. [Google Scholar] [CrossRef]
  49. Malkin, D.; Li, F.P.; Strong, L.C.; Fraumeni, J.F., Jr.; Nelson, C.E.; Kim, D.H.; Kassel, J.; Gryka, M.A.; Bischoff, F.Z.; Tainsky, M.A.; et al. Germ line p53 mutations in a familial syndrome of breast cancer, sarcomas, and other neoplasms. Science 1990, 250, 1233–1238. [Google Scholar] [CrossRef]
  50. Kratz, C.P.; Freycon, C.; Maxwell, K.N.; Nichols, K.E.; Schiffman, J.D.; Evans, D.G.; Achatz, M.I.; Savage, S.A.; Weitzel, J.N.; Garber, J.E.; et al. Analysis of the Li-Fraumeni Spectrum Based on an International Germline TP53 Variant Data Set: An International Agency for Research on Cancer TP53 Database Analysis. JAMA Oncol. 2021, 7, 1800–1805. [Google Scholar] [CrossRef]
  51. Bougeard, G.; Renaux-Petel, M.; Flaman, J.M.; Charbonnier, C.; Fermey, P.; Belotti, M.; Gauthier-Villars, M.; Stoppa-Lyonnet, D.; Consolino, E.; Brugieres, L.; et al. Revisiting Li-Fraumeni Syndrome From TP53 Mutation Carriers. J. Clin. Oncol. 2015, 33, 2345–2352. [Google Scholar] [CrossRef]
  52. Li, F.P.; Fraumeni, J.F., Jr.; Mulvihill, J.J.; Blattner, W.A.; Dreyfus, M.G.; Tucker, M.A.; Miller, R.W. A cancer family syndrome in twenty-four kindreds. Cancer Res. 1988, 48, 5358–5362. [Google Scholar]
  53. Tinat, J.; Bougeard, G.; Baert-Desurmont, S.; Vasseur, S.; Martin, C.; Bouvignies, E.; Caron, O.; Bressac-de Paillerets, B.; Berthet, P.; Dugast, C.; et al. 2009 version of the Chompret criteria for Li Fraumeni syndrome. J. Clin. Oncol. 2009, 27, e108–e109. [Google Scholar] [CrossRef]
  54. Amadou, A.; Achatz, M.I.W.; Hainaut, P. Revisiting tumor patterns and penetrance in germline TP53 mutation carriers: Temporal phases of Li-Fraumeni syndrome. Curr. Opin. Oncol. 2018, 30, 23–29. [Google Scholar] [CrossRef]
  55. Montellier, E.; Lemonnier, N.; Penkert, J.; Freycon, C.; Blanchet, S.; Amadou, A.; Chuffart, F.; Fischer, N.W.; Achatz, M.I.; Levine, A.J.; et al. Clustering of TP53 variants into functional classes correlates with cancer risk and identifies different phenotypes of Li-Fraumeni syndrome. iScience 2024, 27, 111296. [Google Scholar] [CrossRef]
  56. Achatz, M.I.; Olivier, M.; Le Calvez, F.; Martel-Planche, G.; Lopes, A.; Rossi, B.M.; Ashton-Prolla, P.; Giugliani, R.; Palmero, E.I.; Vargas, F.R.; et al. The TP53 mutation, R337H, is associated with Li-Fraumeni and Li-Fraumeni-like syndromes in Brazilian families. Cancer Lett. 2007, 245, 96–102. [Google Scholar] [CrossRef]
  57. Indeglia, A.; Leung, J.C.; Miller, S.A.; Leu, J.I.; Dougherty, J.F.; Clarke, N.L.; Kirven, N.A.; Shao, C.; Ke, L.; Lovell, S.; et al. An African-Specific Variant of TP53 Reveals PADI4 as a Regulator of p53-Mediated Tumor Suppression. Cancer Discov. 2023, 13, 1696–1719. [Google Scholar] [CrossRef]
  58. Pencheva, B.; Di Paola, J.; Porter, C.C. ETV6-Related Thrombocytopenia and Predisposition to Leukemia. In GeneReviews®; Adam, M.P., Feldman, J., Mirzaa, G.M., Pagon, R.A., Wallace, S.E., Amemiya, A., Eds.; University of Washington: Seattle, WA, USA, 1993. [Google Scholar]
  59. Mangaonkar, A.A.; Patnaik, M.M. Hereditary Predisposition to Hematopoietic Neoplasms: When Bloodline Matters for Blood Cancers. Mayo Clin. Proc. 2020, 95, 1482–1498. [Google Scholar] [CrossRef]
  60. Rafei, H.; DiNardo, C.D. Hereditary myeloid malignancies. Best Pract. Res. Clin. Haematol. 2019, 32, 163–176. [Google Scholar] [CrossRef]
  61. Galera, P.; Dulau-Florea, A.; Calvo, K.R. Inherited thrombocytopenia and platelet disorders with germline predisposition to myeloid neoplasia. Int. J. Lab. Hematol. 2019, 41, 131–141. [Google Scholar] [CrossRef]
  62. Cai, X.; Gao, L.; Teng, L.; Ge, J.; Oo, Z.M.; Kumar, A.R.; Gilliland, D.G.; Mason, P.J.; Tan, K.; Speck, N.A. Runx1 Deficiency Decreases Ribosome Biogenesis and Confers Stress Resistance to Hematopoietic Stem and Progenitor Cells. Cell Stem Cell 2015, 17, 165–177. [Google Scholar] [CrossRef]
  63. Sood, R.; Kamikubo, Y.; Liu, P. Role of RUNX1 in hematological malignancies. Blood 2017, 129, 2070–2082. [Google Scholar] [CrossRef]
  64. Michaud, J.; Wu, F.; Osato, M.; Cottles, G.M.; Yanagida, M.; Asou, N.; Shigesada, K.; Ito, Y.; Benson, K.F.; Raskind, W.H.; et al. In vitro analyses of known and novel RUNX1/AML1 mutations in dominant familial platelet disorder with predisposition to acute myelogenous leukemia: Implications for mechanisms of pathogenesis. Blood 2002, 99, 1364–1372. [Google Scholar] [CrossRef]
  65. Forster, A.; Decker, M.; Schlegelberger, B.; Ripperger, T. Beyond Pathogenic RUNX1 Germline Variants: The Spectrum of Somatic Alterations in RUNX1-Familial Platelet Disorder with Predisposition to Hematologic Malignancies. Cancers 2022, 14, 3431. [Google Scholar] [CrossRef]
  66. Homan, C.C.; King-Smith, S.L.; Lawrence, D.M.; Arts, P.; Feng, J.; Andrews, J.; Armstrong, M.; Ha, T.; Dobbins, J.; Drazer, M.W.; et al. The RUNX1 database (RUNX1db): Establishment of an expert curated RUNX1 registry and genomics database as a public resource for familial platelet disorder with myeloid malignancy. Haematologica 2021, 106, 3004–3007. [Google Scholar] [CrossRef]
  67. Luo, X.; Feurstein, S.; Mohan, S.; Porter, C.C.; Jackson, S.A.; Keel, S.; Chicka, M.; Brown, A.L.; Kesserwan, C.; Agarwal, A.; et al. ClinGen Myeloid Malignancy Variant Curation Expert Panel recommendations for germline RUNX1 variants. Blood Adv. 2019, 3, 2962–2979. [Google Scholar] [CrossRef]
  68. Yu, K.; Deuitch, N.; Merguerian, M.; Cunningham, L.; Davis, J.; Bresciani, E.; Diemer, J.; Andrews, E.; Young, A.; Donovan, F.; et al. Genomic landscape of patients with germline RUNX1 variants and familial platelet disorder with myeloid malignancy. Blood Adv. 2024, 8, 497–511. [Google Scholar] [CrossRef]
  69. Six, K.A.; Gerdemann, U.; Brown, A.L.; Place, A.E.; Cantor, A.B.; Kutny, M.A.; Avagyan, S. B-cell acute lymphoblastic leukemia in patients with germline RUNX1 mutations. Blood Adv. 2021, 5, 3199–3202. [Google Scholar] [CrossRef]
  70. Brown, A.L.; Arts, P.; Carmichael, C.L.; Babic, M.; Dobbins, J.; Chong, C.E.; Schreiber, A.W.; Feng, J.; Phillips, K.; Wang, P.P.S.; et al. RUNX1-mutated families show phenotype heterogeneity and a somatic mutation profile unique to germline predisposed AML. Blood Adv. 2020, 4, 1131–1144. [Google Scholar] [CrossRef]
  71. Perez Botero, J.; Dugan, S.N.; Anderson, M.W. ANKRD26-Related Thrombocytopenia. In GeneReviews®; Adam, M.P., Feldman, J., Mirzaa, G.M., Pagon, R.A., Wallace, S.E., Amemiya, A., Eds.; University of Washington: Seattle, WA, USA, 1993. [Google Scholar]
  72. Englisch, A.S.; Hofbrucker-MacKenzie, S.A.; Izadi-Seitz, M.; Kessels, M.M.; Qualmann, B. Ankrd26 is a retinoic acid-responsive plasma membrane-binding and -shaping protein critical for proper cell differentiation. Cell Rep. 2024, 43, 113939. [Google Scholar] [CrossRef]
  73. Bluteau, D.; Balduini, A.; Balayn, N.; Currao, M.; Nurden, P.; Deswarte, C.; Leverger, G.; Noris, P.; Perrotta, S.; Solary, E.; et al. Thrombocytopenia-associated mutations in the ANKRD26 regulatory region induce MAPK hyperactivation. J. Clin. Investig. 2014, 124, 580–591. [Google Scholar] [CrossRef]
  74. Savoia, A.; Del Vecchio, M.; Totaro, A.; Perrotta, S.; Amendola, G.; Moretti, A.; Zelante, L.; Iolascon, A. An autosomal dominant thrombocytopenia gene maps to chromosomal region 10p. Am. J. Hum. Genet. 1999, 65, 1401–1405. [Google Scholar] [CrossRef]
  75. Gandhi, M.J.; Cummings, C.L.; Drachman, J.G. FLJ14813 missense mutation: A candidate for autosomal dominant thrombocytopenia on human chromosome 10. Hum. Hered. 2003, 55, 66–70. [Google Scholar] [CrossRef]
  76. Punzo, F.; Mientjes, E.J.; Rohe, C.F.; Scianguetta, S.; Amendola, G.; Oostra, B.A.; Bertoli-Avella, A.M.; Perrotta, S. A mutation in the acyl-coenzyme A binding domain-containing protein 5 gene (ACBD5) identified in autosomal dominant thrombocytopenia. J. Thromb. Haemost. 2010, 8, 2085–2087. [Google Scholar] [CrossRef]
  77. Pippucci, T.; Savoia, A.; Perrotta, S.; Pujol-Moix, N.; Noris, P.; Castegnaro, G.; Pecci, A.; Gnan, C.; Punzo, F.; Marconi, C.; et al. Mutations in the 5’ UTR of ANKRD26, the ankirin repeat domain 26 gene, cause an autosomal-dominant form of inherited thrombocytopenia, THC2. Am. J. Hum. Genet. 2011, 88, 115–120. [Google Scholar] [CrossRef]
  78. Sullivan, M.J.; Palmer, E.L.; Botero, J.P. ANKRD26-Related Thrombocytopenia and Predisposition to Myeloid Neoplasms. Curr. Hematol. Malig. Rep. 2022, 17, 105–112. [Google Scholar] [CrossRef]
  79. Ferrari, S.; Lombardi, A.M.; Putti, M.C.; Bertomoro, A.; Cortella, I.; Barzon, I.; Girolami, A.; Fabris, F. Spectrum of 5’UTR mutations in ANKRD26 gene in patients with inherited thrombocytopenia: C.-140C>G mutation is more frequent than expected. Platelets 2017, 28, 621–624. [Google Scholar] [CrossRef]
  80. Noris, P.; Perrotta, S.; Seri, M.; Pecci, A.; Gnan, C.; Loffredo, G.; Pujol-Moix, N.; Zecca, M.; Scognamiglio, F.; De Rocco, D.; et al. Mutations in ANKRD26 are responsible for a frequent form of inherited thrombocytopenia: Analysis of 78 patients from 21 families. Blood 2011, 117, 6673–6680. [Google Scholar] [CrossRef]
  81. Wahlster, L.; Rowe, J.H.; Weichert-Leahey, N.; Rowe, R.G.; Brundige, K.; Godley, L.; Cheng, J.X.; Drazer, M.W.; Reilly, C.R.; Michelson, A.D.; et al. Expanding the Morphologic Spectrum of ANKRD26-Related Thrombocytopenia-2: A Case Series. Blood 2024, 144, 5708. [Google Scholar] [CrossRef]
  82. Al Daama, S.A.; Housawi, Y.H.; Dridi, W.; Sager, M.; Otieno, F.G.; Hou, C.; Vasquez, L.; Kim, C.; Tian, L.; Sleiman, P.; et al. A missense mutation in ANKRD26 segregates with thrombocytopenia. Blood 2013, 122, 461–462. [Google Scholar] [CrossRef]
  83. Wahlster, L.; Verboon, J.M.; Ludwig, L.S.; Black, S.C.; Luo, W.; Garg, K.; Voit, R.A.; Collins, R.L.; Garimella, K.; Costello, M.; et al. Familial thrombocytopenia due to a complex structural variant resulting in a WAC-ANKRD26 fusion transcript. J. Exp. Med. 2021, 218, e20210444. [Google Scholar] [CrossRef] [PubMed]
  84. Dell’Orso, G.; Passarella, T.; Cappato, S.; Cappelli, E.; Regis, S.; Maffei, M.; Balbi, M.; Ravera, S.; Di Martino, D.; Viaggi, S.; et al. Chromosomal Deletion Involving ANKRD26 Leads to Expression of a Fusion Protein Responsible for ANKRD26-Related Thrombocytopenia. Int. J. Mol. Sci. 2025, 26, 7330. [Google Scholar] [CrossRef]
  85. Balduini, C.L.; Pecci, A.; Noris, P. Inherited thrombocytopenias: The evolving spectrum. Hamostaseologie 2012, 32, 259–270. [Google Scholar] [CrossRef] [PubMed]
  86. Noris, P.; Favier, R.; Alessi, M.C.; Geddis, A.E.; Kunishima, S.; Heller, P.G.; Giordano, P.; Niederhoffer, K.Y.; Bussel, J.B.; Podda, G.M.; et al. ANKRD26-related thrombocytopenia and myeloid malignancies. Blood 2013, 122, 1987–1989. [Google Scholar] [CrossRef]
  87. Vyas, H.; Alcheikh, A.; Lowe, G.; Stevenson, W.S.; Morgan, N.V.; Rabbolini, D.J. Prevalence and natural history of variants in the ANKRD26 gene: A short review and update of reported cases. Platelets 2022, 33, 1107–1112. [Google Scholar] [CrossRef] [PubMed]
  88. Hock, H.; Meade, E.; Medeiros, S.; Schindler, J.W.; Valk, P.J.; Fujiwara, Y.; Orkin, S.H. Tel/Etv6 is an essential and selective regulator of adult hematopoietic stem cell survival. Genes Dev. 2004, 18, 2336–2341. [Google Scholar] [CrossRef]
  89. Moriyama, T.; Metzger, M.L.; Wu, G.; Nishii, R.; Qian, M.; Devidas, M.; Yang, W.; Cheng, C.; Cao, X.; Quinn, E.; et al. Germline genetic variation in ETV6 and risk of childhood acute lymphoblastic leukaemia: A systematic genetic study. Lancet Oncol. 2015, 16, 1659–1666. [Google Scholar] [CrossRef]
  90. Noetzli, L.; Lo, R.W.; Lee-Sherick, A.B.; Callaghan, M.; Noris, P.; Savoia, A.; Rajpurkar, M.; Jones, K.; Gowan, K.; Balduini, C.; et al. Germline mutations in ETV6 are associated with thrombocytopenia, red cell macrocytosis and predisposition to lymphoblastic leukemia. Nat. Genet. 2015, 47, 535–538. [Google Scholar] [CrossRef]
  91. Di Paola, J.; Porter, C.C. ETV6-related thrombocytopenia and leukemia predisposition. Blood 2019, 134, 663–667. [Google Scholar] [CrossRef]
  92. Nishii, R.; Baskin-Doerfler, R.; Yang, W.; Oak, N.; Zhao, X.; Yang, W.; Hoshitsuki, K.; Bloom, M.; Verbist, K.; Burns, M.; et al. Molecular basis of ETV6-mediated predisposition to childhood acute lymphoblastic leukemia. Blood 2021, 137, 364–373. [Google Scholar] [CrossRef] [PubMed]
  93. Wagener, R.; Elitzur, S.; Brozou, T.; Borkhardt, A. Functional damaging germline variants in ETV6, IKZF1, PAX5 and RUNX1 predisposing to B-cell precursor acute lymphoblastic leukemia. Eur. J. Med. Genet. 2023, 66, 104725. [Google Scholar] [CrossRef]
  94. Homan, C.C.; Venugopal, P.; Arts, P.; Shahrin, N.H.; Feurstein, S.; Rawlings, L.; Lawrence, D.M.; Andrews, J.; King-Smith, S.L.; Harvey, N.L.; et al. GATA2 deficiency syndrome: A decade of discovery. Hum. Mutat. 2021, 42, 1399–1421. [Google Scholar] [CrossRef]
  95. Sahoo, S.S.; Kozyra, E.J.; Wlodarski, M.W. Germline predisposition in myeloid neoplasms: Unique genetic and clinical features of GATA2 deficiency and SAMD9/SAMD9L syndromes. Best Pract. Res. Clin. Haematol. 2020, 33, 101197. [Google Scholar] [CrossRef] [PubMed]
  96. Abou Dalle, I.; Bannon, S.A.; Patel, K.P.; Routbort, M.J.; Cortes, J.E.; Ferrajoli, A.; Kontoyiannis, D.P.; Wang, S.A.; DiNardo, C.D. Germline Genetic Predisposition to Myeloid Neoplasia From GATA2 Gene Mutations: Lessons Learned From Two Cases. JCO Precis. Oncol. 2019, 3, PO-18. [Google Scholar] [CrossRef]
  97. Garofola, C.; Nassereddin, A.; Gross, G.P. Dyskeratosis Congenita. In StatPearls; StatPearls Publishing: Treasure Island, FL, USA, 2025. [Google Scholar]
  98. Vieri, M.; Brummendorf, T.H.; Beier, F. Treatment of telomeropathies. Best Pract. Res. Clin. Haematol. 2021, 34, 101282. [Google Scholar] [CrossRef] [PubMed]
  99. Hasle, H.; Friedman, J.M.; Olsen, J.H.; Rasmussen, S.A. Low risk of solid tumors in persons with Down syndrome. Genet. Med. 2016, 18, 1151–1157. [Google Scholar] [CrossRef]
  100. Hasle, H. Myelodysplastic and myeloproliferative disorders in children. Curr. Opin. Pediatr. 2007, 19, 1–8. [Google Scholar] [CrossRef]
  101. Hasle, H. Pattern of malignant disorders in individuals with Down’s syndrome. Lancet Oncol. 2001, 2, 429–436. [Google Scholar] [CrossRef] [PubMed]
  102. Hasle, H.; Clemmensen, I.H.; Mikkelsen, M. Risks of leukaemia and solid tumours in individuals with Down’s syndrome. Lancet 2000, 355, 165–169. [Google Scholar] [CrossRef]
  103. Chen, I.M.; Harvey, R.C.; Mullighan, C.G.; Gastier-Foster, J.; Wharton, W.; Kang, H.; Borowitz, M.J.; Camitta, B.M.; Carroll, A.J.; Devidas, M.; et al. Outcome modeling with CRLF2, IKZF1, JAK, and minimal residual disease in pediatric acute lymphoblastic leukemia: A Children’s Oncology Group study. Blood 2012, 119, 3512–3522. [Google Scholar] [CrossRef] [PubMed]
  104. Elliott, N.; Bhatnagar, N.; Buck, G.; Cruz Hernandez, D.; Perkins, K.; de Smith, A.J.; Chaussade, A.; Nizery, L.; Metzner, M.; Garnett, C.; et al. Clinical significance of preleukemic somatic GATA1 mutations in children with Down syndrome. Blood 2025, 146, 1561–1574. [Google Scholar] [CrossRef] [PubMed]
  105. Peroni, E.; Gottardi, M.; D’Antona, L.; Randi, M.L.; Rosato, A.; Coltro, G. Hematologic Neoplasms Associated with Down Syndrome: Cellular and Molecular Heterogeneity of the Diseases. Int. J. Mol. Sci. 2023, 24, 15325. [Google Scholar] [CrossRef]
  106. Baruchel, A.; Bourquin, J.P.; Crispino, J.; Cuartero, S.; Hasle, H.; Hitzler, J.; Klusmann, J.H.; Izraeli, S.; Lane, A.A.; Malinge, S.; et al. Down syndrome and leukemia: From basic mechanisms to clinical advances. Haematologica 2023, 108, 2570–2581. [Google Scholar] [CrossRef]
  107. Peng, S.; Meng, X.; Zhang, F.; Pathak, P.K.; Chaturvedi, J.; Coronado, J.; Morales, M.; Mao, Y.; Qian, S.B.; Deng, J.; et al. Structure and function of an effector domain in antiviral factors and tumor suppressors SAMD9 and SAMD9L. Proc. Natl. Acad. Sci. USA 2022, 119, e2116550119. [Google Scholar] [CrossRef]
  108. Topaz, O.; Indelman, M.; Chefetz, I.; Geiger, D.; Metzker, A.; Altschuler, Y.; Choder, M.; Bercovich, D.; Uitto, J.; Bergman, R.; et al. A deleterious mutation in SAMD9 causes normophosphatemic familial tumoral calcinosis. Am. J. Hum. Genet. 2006, 79, 759–764. [Google Scholar] [CrossRef]
  109. Chefetz, I.; Ben Amitai, D.; Browning, S.; Skorecki, K.; Adir, N.; Thomas, M.G.; Kogleck, L.; Topaz, O.; Indelman, M.; Uitto, J.; et al. Normophosphatemic familial tumoral calcinosis is caused by deleterious mutations in SAMD9, encoding a TNF-α responsive protein. J. Investig. Dermatol. 2008, 128, 1423–1429. [Google Scholar] [CrossRef]
  110. Narumi, S.; Amano, N.; Ishii, T.; Katsumata, N.; Muroya, K.; Adachi, M.; Toyoshima, K.; Tanaka, Y.; Fukuzawa, R.; Miyako, K.; et al. SAMD9 mutations cause a novel multisystem disorder, MIRAGE syndrome, and are associated with loss of chromosome 7. Nat. Genet. 2016, 48, 792–797. [Google Scholar] [CrossRef]
  111. Buonocore, F.; Kuhnen, P.; Suntharalingham, J.P.; Del Valle, I.; Digweed, M.; Stachelscheid, H.; Khajavi, N.; Didi, M.; Brady, A.F.; Blankenstein, O.; et al. Somatic mutations and progressive monosomy modify SAMD9-related phenotypes in humans. J. Clin. Investig. 2017, 127, 1700–1713. [Google Scholar] [CrossRef] [PubMed]
  112. Roucher-Boulez, F.; Mallet, D.; Chatron, N.; Dijoud, F.; Gorduza, D.B.; Bretones, P.; Morel, Y. Reversion SAMD9 Mutations Modifying Phenotypic Expression of MIRAGE Syndrome and Allowing Inheritance in a Usually de novo Disorder. Front. Endocrinol. 2019, 10, 625. [Google Scholar] [CrossRef]
  113. Sahoo, S.S.; Pastor Loyola, V.; Panda, P.K.; Szvetnik, E.A.; Kozyra, E.J.; Voss, R.K.; Lebrecht, D.; Barzilai, S.; Büchner, J.; Catala, A.; et al. SAMD9 and SAMD9L Germline Disorders in Patients Enrolled in Studies of the European Working Group of MDS in Childhood (EWOG-MDS): Prevalence, Outcome, Phenotype and Functional Characterisation. Blood 2018, 132, 643. [Google Scholar] [CrossRef]
  114. Schwartz, J.R.; Ma, J.; Lamprecht, T.; Walsh, M.; Wang, S.; Bryant, V.; Song, G.; Wu, G.; Easton, J.; Kesserwan, C.; et al. The genomic landscape of pediatric myelodysplastic syndromes. Nat. Commun. 2017, 8, 1557. [Google Scholar] [CrossRef] [PubMed]
  115. Bluteau, O.; Sebert, M.; Leblanc, T.; Peffault de Latour, R.; Quentin, S.; Lainey, E.; Hernandez, L.; Dalle, J.-H.; Sicre de Fontbrune, F.; Lengline, E.; et al. A landscape of germ line mutations in a cohort of inherited bone marrow failure patients. Blood 2018, 131, 717–732. [Google Scholar] [CrossRef]
  116. Suntharalingham, J.P.; Ishida, M.; Del Valle, I.; Stalman, S.E.; Solanky, N.; Wakeling, E.; Moore, G.E.; Achermann, J.C.; Buonocore, F. Emerging phenotypes linked to variants in SAMD9 and MIRAGE syndrome. Front. Endocrinol. 2022, 13, 953707. [Google Scholar] [CrossRef]
  117. Narumi, S. Discovery of MIRAGE syndrome. Pediatr. Int. 2022, 64, e15283. [Google Scholar] [CrossRef] [PubMed]
  118. Sahoo, S.S.; Erlacher, M.; Wlodarski, M.W. Genetic and clinical spectrum of SAMD9 and SAMD9L syndromes: From variant interpretation to patient management. Blood 2025, 145, 475–485. [Google Scholar] [CrossRef]
  119. Sahoo, S.S.; Pastor, V.B.; Goodings, C.; Voss, R.K.; Kozyra, E.J.; Szvetnik, A.; Noellke, P.; Dworzak, M.; Stary, J.; Locatelli, F.; et al. Clinical evolution, genetic landscape and trajectories of clonal hematopoiesis in SAMD9/SAMD9L syndromes. Nat. Med. 2021, 27, 1806–1817. [Google Scholar] [CrossRef]
  120. Canovas Nunes, S.; Reed, H.D.; Zhou, Y.; Harris, C.E.; Andresen, F.; Abu-El-Haija, A.; Barbera, C.; Bledsoe, J.R.; Brundige, K.; Day-Lewis, M.; et al. Spontaneous Regression of Monosomy 7 Clone in a Premature Infant with RECQL4-Associated Syndrome. Blood 2024, 144, 5712. [Google Scholar] [CrossRef]
  121. Erlacher, M.; Andresen, F.; Sukova, M.; Stary, J.; De Moerloose, B.; Bosch, J.; Dworzak, M.; Seidel, M.G.; Polychronopoulou, S.; Beier, R.; et al. Spontaneous remission and loss of monosomy 7: A window of opportunity for young children with SAMD9L syndrome. Haematologica 2024, 109, 422–430. [Google Scholar] [CrossRef]
  122. Nagata, Y.; Narumi, S.; Guan, Y.; Przychodzen, B.P.; Hirsch, C.M.; Makishima, H.; Shima, H.; Aly, M.; Pastor, V.; Kuzmanovic, T.; et al. Germline loss-of-function SAMD9 and SAMD9L alterations in adult myelodysplastic syndromes. Blood 2018, 132, 2309–2313. [Google Scholar] [CrossRef]
  123. Schwartz, J.R.; Wang, S.; Ma, J.; Lamprecht, T.; Walsh, M.; Song, G.; Raimondi, S.C.; Wu, G.; Walsh, M.F.; McGee, R.B.; et al. Germline SAMD9 mutation in siblings with monosomy 7 and myelodysplastic syndrome. Leukemia 2017, 31, 1827–1830. [Google Scholar] [CrossRef]
  124. Wong, J.C.; Bryant, V.; Lamprecht, T.; Ma, J.; Walsh, M.; Schwartz, J.; Del Pilar Alzamora, M.; Mullighan, C.G.; Loh, M.L.; Ribeiro, R.; et al. Germline SAMD9 and SAMD9L mutations are associated with extensive genetic evolution and diverse hematologic outcomes. JCI Insight 2018, 3, e121086. [Google Scholar] [CrossRef] [PubMed]
  125. Allenspach, E.J.; Soveg, F.; Finn, L.S.; So, L.; Gorman, J.A.; Rosen, A.B.I.; Skoda-Smith, S.; Wheeler, M.M.; Barrow, K.A.; Rich, L.M.; et al. Germline SAMD9L truncation variants trigger global translational repression. J. Exp. Med. 2021, 218, e20201195. [Google Scholar] [CrossRef]
  126. Li, F.P.; Potter, N.U.; Buchanan, G.R.; Vawter, G.; Whang-Peng, J.; Rosen, R.B. A family with acute leukemia, hypoplastic anemia and cerebellar ataxia: Association with bone marrow C-monosomy. Am. J. Med. 1978, 65, 933–940. [Google Scholar] [CrossRef] [PubMed]
  127. Cheah, J.J.C.; Brown, A.L.; Schreiber, A.W.; Feng, J.; Babic, M.; Moore, S.; Young, C.C.; Fine, M.; Phillips, K.; Guandalini, M.; et al. A novel germline SAMD9L mutation in a family with ataxia-pancytopenia syndrome and pediatric acute lymphoblastic leukemia. Haematologica 2019, 104, e318–e321. [Google Scholar] [CrossRef] [PubMed]
  128. Chen, D.H.; Below, J.E.; Shimamura, A.; Keel, S.B.; Matsushita, M.; Wolff, J.; Sul, Y.; Bonkowski, E.; Castella, M.; Taniguchi, T.; et al. Ataxia-Pancytopenia Syndrome Is Caused by Missense Mutations in SAMD9L. Am. J. Hum. Genet. 2016, 98, 1146–1158. [Google Scholar] [CrossRef]
  129. Tesi, B.; Davidsson, J.; Voss, M.; Rahikkala, E.; Holmes, T.D.; Chiang, S.C.C.; Komulainen-Ebrahim, J.; Gorcenco, S.; Rundberg Nilsson, A.; Ripperger, T.; et al. Gain-of-function SAMD9L mutations cause a syndrome of cytopenia, immunodeficiency, MDS, and neurological symptoms. Blood 2017, 129, 2266–2279. [Google Scholar] [CrossRef]
  130. Cammenga, J. Of gains and losses: SAMD9/SAMD9L and monosomy 7 in myelodysplastic syndrome. Exp. Hematol. 2024, 134, 104217. [Google Scholar] [CrossRef]
  131. Molteni, E.; Bono, E.; Galli, A.; Elena, C.; Ferrari, J.; Fiorelli, N.; Pozzi, S.; Ferretti, V.V.; Sarchi, M.; Rizzo, E.; et al. Prevalence and clinical expression of germ line predisposition to myeloid neoplasms in adults with marrow hypocellularity. Blood 2023, 142, 643–657. [Google Scholar] [CrossRef]
  132. Russell, A.J.; Gray, P.E.; Ziegler, J.B.; Kim, Y.J.; Smith, S.; Sewell, W.A.; Goodnow, C.C. SAMD9L autoinflammatory or ataxia pancytopenia disease mutations activate cell-autonomous translational repression. Proc. Natl. Acad. Sci. USA 2021, 118, e2110190118. [Google Scholar] [CrossRef]
  133. Shahrabani-Gargir, L.; Shomrat, R.; Yaron, Y.; Orr-Urtreger, A.; Groden, J.; Legum, C. High frequency of a common Bloom syndrome Ashkenazi mutation among Jews of Polish origin. Genet. Test. 1998, 2, 293–296. [Google Scholar] [CrossRef]
  134. Bereda, C.C.; Dewey, E.B.; Nasr, M.A.; Chirasani, V.R.; Sekelsky, J. Functions of the Bloom syndrome helicase N-terminal intrinsically disordered region. Genetics 2025, 229, iyaf005. [Google Scholar] [CrossRef] [PubMed]
  135. Hafsi, W.; Badri, T.; Rice, A.S. Bloom Syndrome. In StatPearls; StatPearls Publishing: Treasure Island, FL, USA, 2025. [Google Scholar]
  136. McDaniel, L.D.; Schultz, R.A. Elevated sister chromatid exchange phenotype of Bloom syndrome cells is complemented by human chromosome 15. Proc. Natl. Acad. Sci. USA 1992, 89, 7968–7972. [Google Scholar] [CrossRef] [PubMed]
  137. Rudelius, M.; Weinberg, O.K.; Niemeyer, C.M.; Shimamura, A.; Calvo, K.R. The International Consensus Classification (ICC) of hematologic neoplasms with germline predisposition, pediatric myelodysplastic syndrome, and juvenile myelomonocytic leukemia. Virchows Arch. 2023, 482, 113–130. [Google Scholar] [CrossRef] [PubMed]
  138. Liu, Y.C.; Eldomery, M.K.; Maciaszek, J.L.; Klco, J.M. Inherited Predispositions to Myeloid Neoplasms: Pathogenesis and Clinical Implications. Annu. Rev. Pathol. 2025, 20, 87–114. [Google Scholar] [CrossRef]
  139. Trottier, A.M.; Druhan, L.J.; Kraft, I.L.; Lance, A.; Feurstein, S.; Helgeson, M.; Segal, J.P.; Das, S.; Avalos, B.R.; Godley, L.A. Heterozygous germ line CSF3R variants as risk alleles for development of hematologic malignancies. Blood Adv. 2020, 4, 5269–5284. [Google Scholar] [CrossRef]
  140. Elbaz Younes, I.; Mroz, P.; Tashakori, M.; Hamed, A.; Sen, S. Chronic Neutrophilic Leukemia: Advances in Diagnosis, Genetic Insights, and Management Strategies. Cancers 2025, 17, 227. [Google Scholar] [CrossRef] [PubMed]
Table 1. Myeloid neoplasms with germline predisposition and other inherited syndromes (WHO and ICC).
Table 1. Myeloid neoplasms with germline predisposition and other inherited syndromes (WHO and ICC).
4th ed. WHO5th ed. WHOICCClinical PresentationAssociated Diseases
Myeloidneoplasms associated with germline predisposition (MNGPs)Myeloid neoplasms associated with germline predisposition (MNGPs)Hematologic neoplasms associated with germline predisposition (HNGPs)  
MNGPs without a pre-existing disorder or organ dysfunction
AML with germline CEBPA mutation
MN with germline DDX41 mutation
MNGPs without a pre-existing platelet disorder or organ dysfunction
Germline CEBPA P/LP variant
Germline DDX41 P/LP variant
Germline TP53 P/LP variant (Li–Fraumeni Syndrome)
HNGPs without a constitutional disorder affecting multiple organ systems
MN with germline CEBPA mutation
M/LN with germline DDX41 mutation
M/LN with germline TP53 mutation
DDX41: cytopeniaCEBPA: AML, familial AML with mutated CEBPA
DDX41: MDS and AML, familial AML with DDX41 mutation
TP53: hypoplastic ALL, tMN, solid tumors, Li–Fraumeni syndrome
MNGPs with pre-existing platelet disorder:
MN with germline RUNX1 mutation
MN with germline ANKRD26 mutation
MN with germline ETV6 mutation
MNGPs with pre-existing platelet disorder
Germline RUNX1 P/LP variant (familial platelet disorder with associated myeloid malignancy)
Germline ANKRD26 P/LP variant (thrombocytopenia 2)
Germline ETV6 P/LP variant (thrombocytopenia 5)
HNGPs associated with a constitutional platelet disorder
M/LN with germline RUNX1 mutation
MN with germline ANKRD26 mutation
M/LN with germline ETV6 mutation
RUNX1: Thrombocytopenia, decreased platelet function
ANKRD26: Thrombocytopenia, decreased platelet function
ETV6: Thrombocytopenia, decreased platelet function
RUNX1: MDS, AML, infrequent T-ALL, familiar platelet disorder with propensity for myeloid neoplasm
ANKRD26: MNs
ETV6: MDS, AML, ALL, thrombocytopenia 5
MNGPs associated with other organ dysfunction
MN with germline GATA2 mutation
MNGPs with potential organ dysfunction
Germline GATA2 P/LP variant (GATA2 deficiency)
Germline SAMD9 P/LP variant (MIRAGE syndrome)
Germline SAMD9L P/LP variant (SAMD9L-related ataxia–pancytopenia syndrome)
Biallelic germline BLM P/LP variant (Bloom syndrome)
HNGPs associated with a constitutional disorder affecting multiple organ systems
MN with germline GATA2 mutation
MN with germline SAMD9 mutation
MN with germline SAMD9L mutation
GATA2: Immunodeficiency, monocytopenia, B-cell lymphopenia
SAMD9: Bone marrow failure
SAMD9L: Systemic auto-inflammatory disease, bone marrow failure
GATA2: MDS, AML, Emberger syndrome, and MonoMAC syndrome
SAMD9: MDS, AML with monosomy 7, MIRAGE syndrome, myelodysplasia/leukemia syndrome with monosomy 7
SAMD9L: Ataxia pancytopenia syndrome, myelodysplasia and leukemia syndrome with monosomy 7
MNGPs associated with inherited bone marrow failure syndromes
Fanconi anemia
Severe congenital neutropenia (SCN)
Shwachman–Diamond syndrome
Diamond–Blackfan anemia
Bone marrow failure syndromes
Fanconi anemia
Severe congenital neutropenia
Shwachman–Diamond syndrome
MNs associated with bone marrow failure syndromes
Fanconi anemia
Severe congenital neutropenia
Shwachman–Diamond syndrome
Diamond–Blackfan anemia
  
MNGPs associated with telomere biology disorders
Dyskeratosis congenita
Syndromes due to TERC or TERT mutations
Telomere biology disorders
Dyskeratosis congenita
Syndromes due to TERC or TERT mutations
Telomere biology disorders
Dyskeratosis congenita
  
NARASopathiesNA  
Previously described in JMML and MDS sectionsRASopathies:
-
Neurofibromatosis type 1
-
CBL syndrome
-
Noonan syndrome or
-
Noonan syndrome-like disorders
Included in pediatric disorders and/or germline mutation-associated disordersRAS-MAPK pathway: JMML-like proliferation with spontaneous regressionRAS-MAPK pathway: JMML, ALL, AML, Noonan syndrome, RASopathy, NF1
Myeloid proliferations associated with Down syndromeMyeloid proliferations associated with Down syndromeMyeloid proliferations associated with Down syndrome 
Transient abnormal myelopoiesis associated with Down syndromeTransient abnormal myelopoiesis associated with Down syndromeTransient abnormal myelopoiesis associated with Down syndrome  
Myeloid leukemia associated with Down syndromeMyeloid leukemia associated with Down syndromeMyeloid leukemia associated with Down syndrome  
Disclaimer/Publisher’s Note: The statements, opinions and data contained in all publications are solely those of the individual author(s) and contributor(s) and not of MDPI and/or the editor(s). MDPI and/or the editor(s) disclaim responsibility for any injury to people or property resulting from any ideas, methods, instructions or products referred to in the content.

Share and Cite

MDPI and ACS Style

Elbaz Younes, I.; Nguyen, L.; Zhang, L. Moving Beyond Somatic Alterations: Uncovering the Germline Basis of Myeloid Malignancies. Cancers 2026, 18, 240. https://doi.org/10.3390/cancers18020240

AMA Style

Elbaz Younes I, Nguyen L, Zhang L. Moving Beyond Somatic Alterations: Uncovering the Germline Basis of Myeloid Malignancies. Cancers. 2026; 18(2):240. https://doi.org/10.3390/cancers18020240

Chicago/Turabian Style

Elbaz Younes, Ismail, Lynh Nguyen, and Ling Zhang. 2026. "Moving Beyond Somatic Alterations: Uncovering the Germline Basis of Myeloid Malignancies" Cancers 18, no. 2: 240. https://doi.org/10.3390/cancers18020240

APA Style

Elbaz Younes, I., Nguyen, L., & Zhang, L. (2026). Moving Beyond Somatic Alterations: Uncovering the Germline Basis of Myeloid Malignancies. Cancers, 18(2), 240. https://doi.org/10.3390/cancers18020240

Note that from the first issue of 2016, this journal uses article numbers instead of page numbers. See further details here.

Article Metrics

Back to TopTop