Sign in to use this feature.

Years

Between: -

Subjects

remove_circle_outline
remove_circle_outline
remove_circle_outline
remove_circle_outline
remove_circle_outline
remove_circle_outline
remove_circle_outline
remove_circle_outline
remove_circle_outline

Journals

remove_circle_outline
remove_circle_outline
remove_circle_outline
remove_circle_outline
remove_circle_outline
remove_circle_outline
remove_circle_outline
remove_circle_outline
remove_circle_outline
remove_circle_outline

Article Types

Countries / Regions

remove_circle_outline
remove_circle_outline
remove_circle_outline
remove_circle_outline
remove_circle_outline

Search Results (695)

Search Parameters:
Keywords = fusion accelerators

Order results
Result details
Results per page
Select all
Export citation of selected articles as:
20 pages, 2966 KB  
Article
EMAFG-RTDETR: An Improved RTDETR Algorithm for UAV-Based Concrete Defect Detection
by Jinlong Yang, Shaojiang Dong, Jun Luo, Shizheng Sun, Jiayuan Luo, Kaibo Yan, Cai Chen and Xin Zhou
Drones 2026, 10(1), 6; https://doi.org/10.3390/drones10010006 - 23 Dec 2025
Abstract
To address the challenges of varying scales of concrete defects, class imbalance, and hardware limitations, we propose EMAFG-RTDETR, a UAV-based concrete defect detection algorithm built upon RTDETR. In the feature extraction stage, a lightweight multi-scale attention feature extraction module (EMA-PRepFaster block) is designed, [...] Read more.
To address the challenges of varying scales of concrete defects, class imbalance, and hardware limitations, we propose EMAFG-RTDETR, a UAV-based concrete defect detection algorithm built upon RTDETR. In the feature extraction stage, a lightweight multi-scale attention feature extraction module (EMA-PRepFaster block) is designed, where PConv and RepConv are fused to improve the FasterNet block. At the same time, an Efficient Multi-scale Attention (EMA) module is introduced to enhance spatial feature extraction while reducing computational redundancy. For feature fusion, the Gather-and-Distribute mechanism of GOLD-YOLO is adopted to improve the fusion of multi-scale features. The introduction of Powerful-IoU v2 not only accelerates the training process but also enhances the model’s ability to capture defects of different sizes. To handle the issue of sample imbalance, a novel classification loss function, EMASVLoss, is proposed. This function adjusts classification loss values through piecewise weighting and integrates an exponential moving average mechanism for dynamic weight smoothing, improving model adaptability. Finally, the algorithm was deployed and validated on an octocopter UAV developed by our team. Experimental results demonstrate that EMAFG-RTDETR achieves a 2.5% improvement in mean Average Precision (mAP@0.5), reaching 90% on the concrete defect dataset, with reductions in both parameter size and computational cost. Moreover, the UAV equipped with the proposed algorithm can accurately detect cracks and spalling defects on concrete surfaces, validating the effectiveness of the improved model. Full article
Show Figures

Figure 1

30 pages, 8328 KB  
Article
Path Planning for Delivery Robots Based on an Improved Ant Colony Optimization Algorithm Combined with Dynamic Window Approach
by Limin Huang, Tao Hu, Jiabao Wei, Yifeng Guo, Xubin Tong, Jiaxin Ding, Hao Yang and Bin Zhong
Sensors 2026, 26(1), 72; https://doi.org/10.3390/s26010072 - 22 Dec 2025
Abstract
In meal delivery robot path planning, enabling the robot to find an optimal path that avoids obstacles within its workspace is a crucial step. Usually, the traditional ant colony optimization (ACO) suffers from slow convergence and blind search behavior in path planning, lacking [...] Read more.
In meal delivery robot path planning, enabling the robot to find an optimal path that avoids obstacles within its workspace is a crucial step. Usually, the traditional ant colony optimization (ACO) suffers from slow convergence and blind search behavior in path planning, lacking dynamic obstacle avoidance functionality. Meanwhile, the dynamic window approach (DWA) tends to become entrapped in local optima during local path planning. It is therefore proposed that a hybrid path planning algorithm be developed, based on an improved IACO and DWA algorithm. To address issues such as aimless search, slow convergence speed, and low path smoothness in ACO, the concept of gravity from gravity search algorithms is introduced to direct the search. The acceleration of convergence is achieved through the implementation of path sorting and the administration of additional pheromone to superior paths in pheromone updates. The transition paths are optimized to address the issue of excessive path transitions in ACO, resulting in smoother paths. The key nodes of the obtained globally optimal path are used as local target points, serving as multiple target points for DWA operation to enable dynamic obstacle avoidance. Simulation results indicate that compared to the ACO, the IACO reduces path length by up to 30.03% and decreases path turns by up to 71.43% in four different static maps. In other static comparison experiments, the IACO demonstrated superior performance compared to the other tested algorithms. In dynamic experiments, the proposed fusion algorithm can plan smooth paths that successfully avoid both static and dynamic obstacles. Full article
(This article belongs to the Section Sensors and Robotics)
Show Figures

Figure 1

16 pages, 2588 KB  
Article
Beyond the Urban Heat Island: A Global Metric for Urban-Driven Climate Warming
by Lahouari Bounoua, Niama Boukachaba, Shawn Paul Serbin, Kurtis J. Thome, Noura Ed-Dahmany and Mohamed Amine Lachkham
Urban Sci. 2026, 10(1), 6; https://doi.org/10.3390/urbansci10010006 - 22 Dec 2025
Viewed by 21
Abstract
Urbanization has accelerated globally, with the proportion of people living in cities increasing from 43% in 1990 to 56% today. This rapid urban growth profoundly affects Earth’s surface climate by altering land surface characteristics and energy fluxes. Using Landsat–MODIS data fusion to characterize [...] Read more.
Urbanization has accelerated globally, with the proportion of people living in cities increasing from 43% in 1990 to 56% today. This rapid urban growth profoundly affects Earth’s surface climate by altering land surface characteristics and energy fluxes. Using Landsat–MODIS data fusion to characterize land use in a biophysical model, this study assesses the global thermal impact of urbanization through two complementary metrics: the Urban Heat Island (UHI), measuring the temperature contrast between urban and adjacent vegetated areas, and an Urban Impact Metric (UIM), quantifying the net warming effect of urban land relative to a fully vegetated baseline. Results indicate that although urban areas cover only 0.31% of global land, they contribute disproportionately to surface warming, particularly in the mid-latitudes of the Northern Hemisphere, where impervious surface cover is dense. While the UHI captures localized thermal contrasts, UIM provides a spatially integrated, scalable indicator of urban-induced warming. Globally, the annual mean UHI is 1.21 °C while the urban-induced warming is 0.77 °C. This result is striking, given the limited areal extent of urbanization, and exceeds the net historical effect of land use change, underscoring the disproportionate impact of urbanization on surface temperature. These results highlight urbanization’s outsized role in shaping surface temperature patterns across regions and seasons. Full article
Show Figures

Figure 1

27 pages, 2936 KB  
Article
Ai-Fen Solid Dispersions: Preparation, Characterization, and Enhanced Therapeutic Efficacy in a Rat Model of Oral Ulceration
by Bing-Nan Liu, Kai-Lang Mu, Chang-Liu Shao, Ping-Xuan Xie, Jun-Li Xie, Mei-Hui He, Yu-Chen Liu, Ke Zhong, Yuan Yuan, Xiao-Min Tang and Yu-Xin Pang
Pharmaceuticals 2026, 19(1), 7; https://doi.org/10.3390/ph19010007 - 19 Dec 2025
Viewed by 113
Abstract
Background/Objectives: Recurrent oral ulceration (ROU) is the most prevalent disorder of the oral mucosa, affecting approximately 20% of the global population. Current therapies are limited by adverse effects and high recurrence rates. Ai-Fen, enriched in the anti-inflammatory monoterpenoid L-borneol (54.3% w/w [...] Read more.
Background/Objectives: Recurrent oral ulceration (ROU) is the most prevalent disorder of the oral mucosa, affecting approximately 20% of the global population. Current therapies are limited by adverse effects and high recurrence rates. Ai-Fen, enriched in the anti-inflammatory monoterpenoid L-borneol (54.3% w/w), exhibits therapeutic potential but suffers from poor aqueous solubility and low bioavailability. This study aimed to improve the physicochemical properties and in vivo efficacy of Ai-Fen through the preparation of solid dispersions. Methods: Ai-Fen solid dispersions (AF-SD) were prepared by a melt-fusion method using polyethylene glycol 6000 (PEG 6000) as the carrier. An L9(33) orthogonal design was employed to optimize three critical parameters: drug-to-carrier ratio, melting temperature, and melting duration. The resulting dispersions were systematically characterized by differential scanning calorimetry (DSC), powder X-ray diffraction (PXRD), scanning electron microscopy (SEM), and Fourier-transform infrared spectroscopy (FTIR). A chemically induced ROU model in rats (n = 8 per group) was established to evaluate the effects of AF-SD on ulcer area, serum inflammatory cytokines (TNF-α, IL-6), vascular endothelial growth factor (VEGF) levels, and histopathological outcomes. Results: The optimal formulation was obtained at a drug-to-carrier ratio of 1:2, a melting temperature of 70 °C, and a melting time of 5 min. Under these conditions, L-borneol release increased 2.5-fold. DSC and PXRD confirmed complete conversion of Ai-Fen to an amorphous state, while FTIR revealed a 13 cm−1 red shift in the O-H stretching band, indicating hydrogen-bond formation. In vivo, AF-SD reduced ulcer area by 60.7% (p < 0.001) and achieved a healing rate of 74.16%. Serum TNF-α and IL-6 decreased by 55.5% and 49.6%, respectively (both p < 0.001), whereas VEGF increased by 89.6% (p < 0.001). Histological analysis confirmed marked reduction in inflammatory infiltration, accelerated re-epithelialization (score 2.50), and a 5.9-fold increase in neovascularization. Conclusions: AF-SD markedly enhanced the bioavailability of Ai-Fen through amorphization and accelerated ROU healing, likely via dual mechanisms involving suppression of nuclear factor kappa-B (NF-κB)-mediated inflammation and promotion of angiogenesis. This formulation strategy provides a promising approach for modernizing traditional herbal medicines. Full article
(This article belongs to the Section Pharmaceutical Technology)
Show Figures

Figure 1

19 pages, 2316 KB  
Review
Growth Without GH: A Case Series and Literature Review
by Stefana Catalina Bilha, Cristina Preda, Letitia Leustean, Nada Akad, Anca Matei and Maria-Christina Ungureanu
J. Clin. Med. 2025, 14(24), 8957; https://doi.org/10.3390/jcm14248957 - 18 Dec 2025
Viewed by 99
Abstract
Linear growth is traditionally attributed to the growth hormone (GH)/insulin-like growth factor-1 (IGF-1) axis, yet “growth without GH” is documented. We report five patients with severe GH deficiency—one congenital and four acquired, who reached normal or tall stature despite persistently low IGF-1. All [...] Read more.
Linear growth is traditionally attributed to the growth hormone (GH)/insulin-like growth factor-1 (IGF-1) axis, yet “growth without GH” is documented. We report five patients with severe GH deficiency—one congenital and four acquired, who reached normal or tall stature despite persistently low IGF-1. All patients had obesity and metabolic complications (insulin resistance, dyslipidemia, and/or fatty liver). Catch-up or sustained growth occurred before or independent of sex-steroid replacement in most cases. One patient with lifelong hypogonadism showed slow, prolonged growth with delayed epiphyseal fusion. Three patients also received recombinant human GH (rhGH), without a significant impact on overall growth velocity, but with favorable metabolic outcomes. Findings support multifactorial drivers of linear growth beyond the GH/IGF-1 pathway. Likely contributors include insulin signaling associated with adiposity, permissive thyroid hormone action, local growth-plate paracrine pathways, and, in hypogonadism, delayed epiphyseal closure. Genetic modifiers that enhance chondrogenesis or delay growth-plate fusion may contribute. We also reviewed the published literature on “growth without GH,” integrating single-case reports and series to contextualize these mechanisms and outcomes. In conclusion, profound GH deficiency does not preclude near-normal or accelerated growth. In “growth without GH,” therapeutic priorities should pivot from stature to cardiometabolic risk reduction. rhGH may be considered to improve metabolism when individualized and closely monitored, recognizing that height velocity is often adequate. Notably, rhGH consistently improved lipid profiles and steatohepatitis in two patients, suggesting a primarily metabolic benefit. Lifelong follow-up from childhood into adulthood is essential. Full article
(This article belongs to the Special Issue New Advances and Clinical Outcomes of Endocrinology)
Show Figures

Figure 1

12 pages, 2330 KB  
Article
Enhanced Energy Transfer in Resonating Gold Doped Matter Irradiated by Infrared Laser
by Konstantin Zsukovszki and Istvan Papp
Particles 2025, 8(4), 104; https://doi.org/10.3390/particles8040104 - 18 Dec 2025
Viewed by 113
Abstract
Laser-driven ion acceleration in dense, hydrogen-rich media can be significantly enhanced by embedding metallic nanoantennas that support localized surface plasmon (LSP) resonances. Using large-scale particle-in-cell (PIC) simulations with the EPOCH code, we investigate how nanoantenna geometry and laser pulse parameters influence proton acceleration [...] Read more.
Laser-driven ion acceleration in dense, hydrogen-rich media can be significantly enhanced by embedding metallic nanoantennas that support localized surface plasmon (LSP) resonances. Using large-scale particle-in-cell (PIC) simulations with the EPOCH code, we investigate how nanoantenna geometry and laser pulse parameters influence proton acceleration in gold-doped polymer targets. The study covers dipole, crossed, and advanced 3D-cross antenna configurations under laser intensities of 1017–1019 W/cm2 and pulse durations from 2.5 to 500 fs, corresponding to experimental conditions at the ELI laser facility. Results show that the dipole antennas exhibit resonance-limited proton energies of ~0.12 MeV, with optimal acceleration at the intensities 4 × 1017–1 × 1018 W/cm2 and pulse durations around 100–150 fs. This energy is higher by roughly three orders of magnitude than the proton energy for the same field and same polymer without dopes: ~1–2 × 10−4 MeV. Crossed antennas achieve higher energies (~0.2 MeV) due to dual-mode plasmonic coupling that sustains local fields longer. Advanced 3D and Yagi-like geometries further enhance field localization, yielding proton energies up to 0.4 MeV and larger high-energy proton populations. For dipole antennas, experimental data from ELI exists and our results agree with it. We find that moderate pulses preserve plasmonic resonance for longer and improve energy transfer efficiency, while overly intense pulses disrupt the resonance early. These findings reveal that plasmonic field enhancement and its lifetime govern energy transfer efficiency in laser–matter interaction. Crossed and 3D geometries with optimized spacing enable multimode resonance and sequential proton acceleration, overcoming the saturation limitations of simple dipoles. The results establish clear design principles for tailoring nanoantenna geometry and pulse characteristics to optimize compact, high-energy proton sources for inertial confinement fusion and high-energy-density applications. Full article
Show Figures

Figure 1

25 pages, 4896 KB  
Article
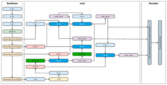
GOG-RT-DETR: An Improved RT-DETR-Based Method for Graphite Ore Grade Detection
by Zhaojie Sun, Xueyu Huang, Zeyang Qiu and Binghui Wei
Appl. Sci. 2025, 15(24), 13195; https://doi.org/10.3390/app152413195 - 16 Dec 2025
Viewed by 132
Abstract
To address the inefficiencies and inaccuracies of traditional ore grade identification methods in complex mining environments, and the challenge of balancing accuracy and speed on edge devices, this paper proposes a lightweight, high-precision, and high-speed detection model named GOG-RT-DETR. Built on the RT-DETR [...] Read more.
To address the inefficiencies and inaccuracies of traditional ore grade identification methods in complex mining environments, and the challenge of balancing accuracy and speed on edge devices, this paper proposes a lightweight, high-precision, and high-speed detection model named GOG-RT-DETR. Built on the RT-DETR framework, the model incorporates a Faster-Rep-EMA module in the backbone network to reduce computational redundancy and enhance feature extraction. Additionally, a BiFPN-GLSA module replaces the CCFM module in the Neck network, improving feature fusion between the backbone and Neck networks, thus strengthening the model’s ability to capture both global and local spatial features. A Wise-Inner-Shape-IoU loss function is introduced to optimize the bounding box regression, accelerating convergence and improving localization accuracy. The model is evaluated on a custom-built graphite ore dataset with simulated data augmentation. Experimental results show that, compared to the baseline model, the mAP and FPS of GOG-RT-DETR are improved by 2.5% and 8.2%, with a 26.0% reduction in model parameters and a 23.37% reduction in FLOPs. This model enhances detection accuracy and reduces computational complexity, offering an efficient solution for ore grade detection in industrial applications. Full article
Show Figures

Figure 1

58 pages, 8484 KB  
Review
Recent Real-Time Aerial Object Detection Approaches, Performance, Optimization, and Efficient Design Trends for Onboard Performance: A Survey
by Nadin Habash, Ahmad Abu Alqumsan and Tao Zhou
Sensors 2025, 25(24), 7563; https://doi.org/10.3390/s25247563 - 12 Dec 2025
Viewed by 810
Abstract
The rising demand for real-time perception in aerial platforms has intensified the need for lightweight, hardware-efficient object detectors capable of reliable onboard operation. This survey provides a focused examination of real-time aerial object detection, emphasizing algorithms designed for edge devices and UAV onboard [...] Read more.
The rising demand for real-time perception in aerial platforms has intensified the need for lightweight, hardware-efficient object detectors capable of reliable onboard operation. This survey provides a focused examination of real-time aerial object detection, emphasizing algorithms designed for edge devices and UAV onboard processors, where computation, memory, and power resources are severely constrained. We first review the major aerial and remote-sensing datasets and analyze the unique challenges they introduce, such as small objects, fine-grained variation, multiscale variation, and complex backgrounds, which directly shape detector design. Recent studies addressing these challenges are then grouped, covering advances in lightweight backbones, fine-grained feature representation, multi-scale fusion, and optimized Transformer modules adapted for embedded environments. The review further highlights hardware-aware optimization techniques, including quantization, pruning, and TensorRT acceleration, as well as emerging trends in automated NAS tailored to UAV constraints. We discuss the adaptation of large pretrained models, such as CLIP-based embeddings and compressed Transformers, to meet onboard real-time requirements. By unifying architectural strategies, model compression, and deployment-level optimization, this survey offers a comprehensive perspective on designing next-generation detectors that achieve both high accuracy and true real-time performance in aerial applications. Full article
(This article belongs to the Special Issue Image Processing and Analysis in Sensor-Based Object Detection)
Show Figures

Figure 1

18 pages, 20231 KB  
Article
In Situ Alloying of Ti-6Al-7Nb with Copper Using Laser Powder Bed Fusion
by Paul Steinmeier, Kay-Peter Hoyer, Nelson Filipe Lopes Dias, Reiner Zielke, Wolfgang Tillmann and Mirko Schaper
Crystals 2025, 15(12), 1053; https://doi.org/10.3390/cryst15121053 - 12 Dec 2025
Viewed by 220
Abstract
Titanium alloys are widely employed for biomedical implants due to their high strength, biocompatibility, and corrosion resistance, yet their lack of intrinsic antibacterial activity remains a major limitation. Incorporating copper, an antibacterial and β-stabilising element, offers a promising strategy to enhance implant performance. [...] Read more.
Titanium alloys are widely employed for biomedical implants due to their high strength, biocompatibility, and corrosion resistance, yet their lack of intrinsic antibacterial activity remains a major limitation. Incorporating copper, an antibacterial and β-stabilising element, offers a promising strategy to enhance implant performance. This study investigates Ti-6Al-7Nb modified with 1–9 wt.% Cu via in situ alloying during metal-based laser powder bed fusion (PBF-LB/M), with the aim of assessing processability, microstructural evolution, and mechanical properties. Highly dense samples (>99.9%) were produced across all Cu levels, though chemical homogeneity strongly depended on processing parameters. Increasing Cu content promoted β-phase stabilisation, Ti2Cu precipitation, and pronounced grain refinement. Hardness and yield strength increased nearly linearly with Cu addition, while ductility decreased sharply at ≥5 wt.% Cu due to intermetallic formation, hot cracking, and brittle fracture. These results illustrate both the opportunities and constraints of rapid alloy screening via PBF-LB/M. Overall, moderate Cu additions of 1–3 wt.% provide the most favourable balance between mechanical performance, manufacturability, and potential antibacterial functionality. These findings provide a clear guideline for the design of Cu-functionalised titanium implants and demonstrate the efficiency of in situ alloy screening for accelerated materials development. Full article
(This article belongs to the Section Crystalline Metals and Alloys)
Show Figures

Figure 1

23 pages, 3550 KB  
Article
Digital Twin Framework for Predictive Simulation and Decision Support in Ship Damage Control
by Bo Wang, Yue Hou, Yongsheng Zhang, Kangbo Wang and Jianwei Huang
J. Mar. Sci. Eng. 2025, 13(12), 2348; https://doi.org/10.3390/jmse13122348 - 9 Dec 2025
Viewed by 348
Abstract
Ship damage control (DC) is pivotal to platform survivability in the face of battle damage and severe accidents. The DC context features multi-hazard coupling among flooding, fire, and smoke, as well as fast system dynamics and intensive human–machine collaboration, demanding real-time predictive simulation [...] Read more.
Ship damage control (DC) is pivotal to platform survivability in the face of battle damage and severe accidents. The DC context features multi-hazard coupling among flooding, fire, and smoke, as well as fast system dynamics and intensive human–machine collaboration, demanding real-time predictive simulation and decision support. Conventional DC simulations fall short in multiphysics fidelity, predictive speed, and integration with onboard sensing and control. A digital twin (DT) framework for predictive shipboard DC is introduced with an explicit capability envelope, observability, and latency requirements, and a cyber-physical mapping to ship systems. Building on this foundation, a three-stage/four-level maturity model charts progression from L1 monitoring, through L2 prediction and L3 human-in-the-loop, override-enabled plan generation, to L4 closed-loop decision control, specifying capability milestones and evaluation metrics. Guided by this model, a four-layer architecture and an end-to-end roadmap are formulated, spanning multi-domain modeling, multi-source sensing and fusion, surrogate-accelerated multiphysics simulation, assisted plan generation with human approval/override, and cyber-physical closed-loop control. The framework aligns interfaces, performance targets, and verification pathways, providing actionable guidance to upgrade shipboard DC toward resilient, efficient, and human-centric operation under multi-hazard coupling. Full article
(This article belongs to the Section Ocean Engineering)
Show Figures

Figure 1

15 pages, 1929 KB  
Article
Impact of Initialization Strategies on Multi-Objective Bayesian Optimization in Discrete PBF-LB/M Process Development: A Case Study on AZ31 Magnesium Alloy
by Andrzej Pawlak
Appl. Sci. 2025, 15(24), 12968; https://doi.org/10.3390/app152412968 - 9 Dec 2025
Viewed by 376
Abstract
Multi-objective Bayesian Optimization (MOBO) has become a promising strategy for accelerating process development in Laser Powder Bed Fusion of Metals (PBF-LB/M), where experimental evaluations are costly, and design spaces are high-dimensional. This study investigates how different initialization strategies affect MOBO performance in a [...] Read more.
Multi-objective Bayesian Optimization (MOBO) has become a promising strategy for accelerating process development in Laser Powder Bed Fusion of Metals (PBF-LB/M), where experimental evaluations are costly, and design spaces are high-dimensional. This study investigates how different initialization strategies affect MOBO performance in a discrete, machine-limited parameter space during the fabrication of AZ31 magnesium alloy. Three approaches to constructing the initial experimental dataset—Latin Hypercube Sampling (V1), balanced-marginal selection (V2), and prior fractional-factorial sampling (V3)—were compared using two state-of-the-art MOBO algorithms, DGEMO and TSEMO, implemented within the AutoOED platform. A total of 180 samples were produced and evaluated with respect to two conflicting objectives: maximizing relative density and build rate. The evolution of the Pareto front and hypervolume metrics shows that the structure of the initial dataset strongly governs subsequent optimization efficiency. Variant V3 yielded the highest hypervolumes for both algorithms, whereas Variant V2 produced the most uniform Pareto approximation, highlighting a trade-off between global coverage and structural distribution. TSEMO demonstrated faster early convergence, whereas DGEMO maintained broader exploration of the design space. Analysis of duplicate experimental points revealed that discretization and batch selection can considerably limit the effective search diversity, contributing to an early saturation of hypervolume gains. The results indicate that, in constrained PBF-LB/M design spaces, MOBO primarily serves to validate and refine a well-designed initial dataset rather than to discover dramatically new optima. The presented workflow highlights how initialization, parameter discretization, and sampling diversity shape the practical efficiency of MOBO for additive manufacturing process optimization. Full article
(This article belongs to the Special Issue Intelligent Designs and Processes in Additive Manufacturing)
Show Figures

Figure 1

15 pages, 1691 KB  
Perspective
Use of the Split Luciferase Complementation Assay to Identify Novel Small Molecules That Disrupt Essential Protein–Protein Interactions of Viruses
by Tisa Biswas and Richard E. Sutton
Biomolecules 2025, 15(12), 1712; https://doi.org/10.3390/biom15121712 - 9 Dec 2025
Viewed by 356
Abstract
Protein–protein interactions (PPIs) are fundamental to viral replication, regulating transcription, assembly, and genome packaging. Despite their biological importance, few FDA-approved therapeutics directly target these complexes. The split luciferase complementation assay (SLCA) is a quantitative bioluminescence system to measure protein–protein interactions in vitro after [...] Read more.
Protein–protein interactions (PPIs) are fundamental to viral replication, regulating transcription, assembly, and genome packaging. Despite their biological importance, few FDA-approved therapeutics directly target these complexes. The split luciferase complementation assay (SLCA) is a quantitative bioluminescence system to measure protein–protein interactions in vitro after the proteins in question have been fused in-frame to N and C luciferase fragments. The SLCA can be performed both in vitro using purified protein components and in live cells, as the luciferase substrate luciferin is cell-permeable, allowing detection of protein interactions in intact cells. Assay performance, however, depends on the expression level and stability of the fusion proteins used. SLCA has been successfully applied to target Rev–Rev interactions in human immunodeficiency virus type 1 (HIV-1) for high-throughput small-molecule screening, establishing a proof-of-concept to target other parts of the viral life cycle. The system can be extended to other pathogens that currently do not have specific antiviral therapies such as HIV-1 Tat–cyclin T1, Capsid dimerization in Dengue virus, capsid interactions in equine encephalitis viruses, capsid assembly in Epstein–Barr virus, and nucleoprotein oligomerization in rabies virus. These applications demonstrate how the assay’s ability to quantify multimeric structural interactions is essential to viral replication, providing an avenue to identify small-molecule inhibitors that prevent viral replication and spread. Although there are challenges to protein stability and assay optimization, the sensitivity and adaptability of the SLCA has broader implications in virology to accelerate antiviral drug development. Full article
(This article belongs to the Section Biomacromolecules: Proteins, Nucleic Acids and Carbohydrates)
Show Figures

Figure 1

20 pages, 4840 KB  
Article
Mobile-CBSD: A Lightweight Apple Leaf Disease Detection Model Based on Improved YOLOv11
by Jinpu Xu, Wenrui Zhang, Yuyu Zhang, Shuying Bing and Jinhao Lan
Appl. Sci. 2025, 15(24), 12890; https://doi.org/10.3390/app152412890 - 6 Dec 2025
Viewed by 198
Abstract
Apple leaf diseases can significantly affect the yield and quality of apple crops. However, conventional manual detection methods are inefficient and highly susceptible to subjective judgment, rendering them inadequate for large-scale agricultural production. To address these limitations, this study proposes Mobile-CBSD, a lightweight [...] Read more.
Apple leaf diseases can significantly affect the yield and quality of apple crops. However, conventional manual detection methods are inefficient and highly susceptible to subjective judgment, rendering them inadequate for large-scale agricultural production. To address these limitations, this study proposes Mobile-CBSD, a lightweight deep learning model for apple leaf disease detection based on an enhanced version of YOLOv11. First, the original backbone network of YOLOv11 is replaced with MV4_CBAM, a lightweight architecture that improves feature representation capability while reducing model size. Second, the SE attention mechanism is redesigned and integrated into the network to strengthen multi-scale feature fusion. Furthermore, the traditional CIoU loss function is replaced with SIoU to accelerate convergence and enhance localization precision. Experimental results demonstrate that, while maintaining model compactness, Mobile-CBSD achieves an mAP@0.5 of 90.89%, representing a 2.16% improvement over the baseline, along with a 1.02% increase in overall precision. The model size is reduced from 5.4 MB to 4.8 MB. These findings indicate that Mobile-CBSD achieves an effective balance among accuracy, inference speed, and deployability, offering a practical and scalable solution for the efficient monitoring of apple leaf diseases. Full article
(This article belongs to the Section Agricultural Science and Technology)
Show Figures

Figure 1

25 pages, 25378 KB  
Article
RF Characterization and Beam Measurements with Additively Manufactured Fast Faraday Cups
by Stephan Klaproth, Rahul Singh, Samira Gruber, Lukas Stepien, Herbert De Gersem and Andreas Penirschke
Instruments 2025, 9(4), 32; https://doi.org/10.3390/instruments9040032 - 28 Nov 2025
Viewed by 204
Abstract
The early stages of most particle accelerator chains produce sub-ns bunches with velocities in the range of 1% to 20% of the speed of light. Fast Faraday Cups (FFCs) are designed to measure the longitudinal charge distribution of these short bunches of free [...] Read more.
The early stages of most particle accelerator chains produce sub-ns bunches with velocities in the range of 1% to 20% of the speed of light. Fast Faraday Cups (FFCs) are designed to measure the longitudinal charge distribution of these short bunches of free charges. Coaxial designs have been utilized at the GSI Helmholtz Centre for Heavy Ion Research (GSI)’s linear accelerator UNILAC to characterize ion bunches with bunch lengths ranging from a few hundred ps to a few ns. The typical design goals are to avoid the pre-field of the charges and to suppress secondary electron emission (SEE) while preserving the capability of bunch-by-bunch measurements. This contribution presents a novel FFC design manufactured using additive manufacturing, e.g., laser powder bed fusion (LPBF), and compares it with a traditionally produced FFC. The article highlights the design process, RF characterization, and selected measurements with ion beam carried out at GSI. Full article
Show Figures

Figure 1

24 pages, 15285 KB  
Article
An Efficient and Accurate UAV State Estimation Method with Multi-LiDAR–IMU–Camera Fusion
by Junfeng Ding, Pei An, Kun Yu, Tao Ma, Bin Fang and Jie Ma
Drones 2025, 9(12), 823; https://doi.org/10.3390/drones9120823 - 27 Nov 2025
Viewed by 403
Abstract
State estimation plays a vital role in UAV navigation and control. With the continuous decrease in sensor cost and size, UAVs equipped with multiple LiDARs, Inertial Measurement Units (IMUs), and cameras have attracted increasing attention. Such systems can acquire rich environmental and motion [...] Read more.
State estimation plays a vital role in UAV navigation and control. With the continuous decrease in sensor cost and size, UAVs equipped with multiple LiDARs, Inertial Measurement Units (IMUs), and cameras have attracted increasing attention. Such systems can acquire rich environmental and motion information from multiple perspectives, thereby enabling more precise navigation and mapping in complex environments. However, efficiently utilizing multi-sensor data for state estimation remains challenging. There is a complex coupling relationship between IMUs’ bias and UAV state. To address these challenges, this paper proposes an efficient and accurate UAV state estimation method tailored for multi-LiDAR–IMU–camera systems. Specifically, we first construct an efficient distributed state estimation model. It decomposes the multi-LiDAR–IMU–camera system into a series of single LiDAR–IMU–camera subsystems, reformulating the complex coupling problem as an efficient distributed state estimation problem. Then, we derive an accurate feedback function to constrain and optimize the UAV state using estimated subsystem states, thus enhancing overall estimation accuracy. Based on this model, we design an efficient distributed state estimation algorithm with multi-LiDAR-IMU-Camerafusion, termed DLIC. DLIC achieves robust multi-sensor data fusion via shared feature maps, effectively improving both estimation robustness and accuracy. In addition, we design an accelerated image-to-point cloud registration module (A-I2P) to provide reliable visual measurements, further boosting state estimation efficiency. Extensive experiments are conducted on 18 real-world indoor and outdoor scenarios from the public NTU VIRAL dataset. The results demonstrate that DLIC consistently outperforms existing multi-sensor methods across key evaluation metrics, including RMSE, MAE, SD, and SSE. More importantly, our method runs in real time on a resource-constrained embedded device equipped with only an 8-core CPU, while maintaining low memory consumption. Full article
(This article belongs to the Special Issue Advances in Guidance, Navigation, and Control)
Show Figures

Figure 1

Back to TopTop