Sign in to use this feature.

Years

Between: -

Subjects

remove_circle_outline
remove_circle_outline
remove_circle_outline
remove_circle_outline
remove_circle_outline
remove_circle_outline
remove_circle_outline
remove_circle_outline
remove_circle_outline

Journals

remove_circle_outline
remove_circle_outline
remove_circle_outline
remove_circle_outline
remove_circle_outline

Article Types

Countries / Regions

remove_circle_outline
remove_circle_outline
remove_circle_outline
remove_circle_outline

Search Results (208)

Search Parameters:
Keywords = fan-out variation

Order results
Result details
Results per page
Select all
Export citation of selected articles as:
19 pages, 9523 KB  
Interesting Images
Imaging Findings of Clinical Significance in Endodontics During Cone Beam Computed Tomography Scanning of the Upper Airway—The Anterior, Bilateral, C-Shaped, Dual of Mandibular Root Canals: A Brief Case Report
by Edgar García-Torres, Diana Laura Grissel Guerrero-Falcón, Hugo Alejandro Bojórquez-Armenta, Oscar Eduardo Almeda-Ojeda, Víctor Hiram Barajas-Pérez and Luis Javier Solís-Martínez
Diagnostics 2025, 15(24), 3157; https://doi.org/10.3390/diagnostics15243157 - 11 Dec 2025
Viewed by 401
Abstract
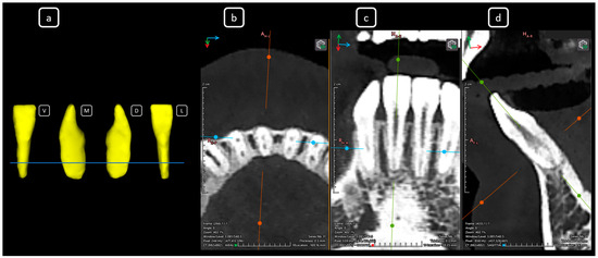
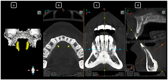
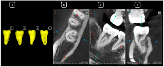
Cone beam computed tomography (CBCT) is a valuable diagnostic tool for evaluating the upper airway and maxillofacial region. This report demonstrates the clinical value of CBCT in identifying significant anatomical variations in endodontics, incidentally detected on a non-endodontic CBCT scan. A 23-year-old female [...] Read more.
Cone beam computed tomography (CBCT) is a valuable diagnostic tool for evaluating the upper airway and maxillofacial region. This report demonstrates the clinical value of CBCT in identifying significant anatomical variations in endodontics, incidentally detected on a non-endodontic CBCT scan. A 23-year-old female patient underwent CBCT imaging at the Faculty of Dentistry-UJED to evaluate her upper airway. CBCT imaging revealed a unique, complex, and unusual anatomy of mandibular root canals, characterized by Vertucci’s type III root canals in the anterior sextant and co-occurrence of bilateral C-shaped mandibular second molars (type C2 according to Fan’s classification). No therapeutic interventions were initiated due to the patient’s asymptomatic status. CBCT imaging is a valuable tool for integrated diagnostic approaches, underscoring its role in thorough patient management. The integration of multidisciplinary interpretation of CBCT data can enhance diagnostic accuracy and optimize patient records and management, emphasizing the importance of collaborative efforts between radiologists, clinicians, and endodontists. Documenting and sharing such findings can increase awareness of rare anatomical variations, facilitating detection and contributing to medical knowledge. Full article
(This article belongs to the Section Medical Imaging and Theranostics)
Show Figures

Figure 1

29 pages, 23518 KB  
Article
Computational Study on Complex Wind Field Environments in Urban and Marine Low-Altitude Based on Multi-Wind-Turbine Coordination
by Hongxia Gao, Chen Zhao, Siwei Zhang, Kunxiang Liu, Lei Zhu, Jun Yang and Meng Liu
Appl. Sci. 2025, 15(24), 12981; https://doi.org/10.3390/app152412981 - 9 Dec 2025
Viewed by 389
Abstract
With the rise of the low-altitude economy, there is growing demand for performance and safety evaluation of logistics drones and urban aircraft operating in complex turbulent environments. Conventional wind tunnels, however, face challenges in simulating the non-uniform wind fields characteristic of urban low-altitude [...] Read more.
With the rise of the low-altitude economy, there is growing demand for performance and safety evaluation of logistics drones and urban aircraft operating in complex turbulent environments. Conventional wind tunnels, however, face challenges in simulating the non-uniform wind fields characteristic of urban low-altitude conditions, such as building wake flows, street canyon winds, and tornadoes. To address this gap, this study proposes a novel simulation device for low-altitude complex wind fields, which utilizes multi-fan coordinated control technology integrated with jet fan arrays, pressure-stabilizing chambers, and swirl fan systems to dynamically replicate horizontal flows, vertical flows, and specialized wind patterns. Numerical simulations using Ansys Icepak validate the effectiveness of the design: the optimized horizontal flow field achieves a wind speed of 83 m/s with a turbulence intensity ranging from 5% to 20%; the gust mode attains rapid response within 3 s; and high-fidelity simulations are achieved for wind shear, tornadoes (with a maximum tangential wind speed of 50 m/s), and downbursts (with a central vertical jet velocity of 40 m/s). Furthermore, for typical urban wind environments such as alley winds and intersection flows, the study elucidates the characteristics of abrupt wind speed variations and vortex dynamics induced by building obstructions. This research provides a new perspective and a potential technical pathway for testing low-altitude aircraft, assessing urban wind environments, and supporting related studies, thereby contributing to the advancement of complex wind field simulation technologies. Full article
(This article belongs to the Section Aerospace Science and Engineering)
Show Figures

Figure 1

11 pages, 1727 KB  
Article
Does Geography Shape Victory? Home-Court Advantage and Home Win Percentage in Women’s Basketball
by Adrián López-García, Enrique Alonso-Pérez-Chao, Sergio L. Jiménez-Sáiz, Rafael Manuel Navarro and Raúl Nieto-Acevedo
Appl. Sci. 2025, 15(24), 12940; https://doi.org/10.3390/app152412940 - 8 Dec 2025
Viewed by 330
Abstract
This study investigates the home-court advantage (HA) and home win percentage (HW) in women’s professional basketball across 14 leagues spanning four continents over three seasons (2021–2024). This study is an observational descriptive analysis based on open access match results. Using data from 12,178 [...] Read more.
This study investigates the home-court advantage (HA) and home win percentage (HW) in women’s professional basketball across 14 leagues spanning four continents over three seasons (2021–2024). This study is an observational descriptive analysis based on open access match results. Using data from 12,178 games, we analyzed HA and HW, accounting for team ability and geographical variations. The findings indicate significant differences in HA across continents, with Europe and South America showing higher HA compared to Oceania and Asia. However, HW did not vary significantly between continents. When examining team ability, no significant interaction effects were identified, although trends suggested that low-ability teams rely more heavily on HA, consistent with previous research. A more detailed league-level analysis revealed notable variability, with leagues in the United States of America (USA), Australia, and several Asian leagues showing lower HA compared to those in Mexico and Europe. Factors like travel demands, geographical region, and fan attendance were identified as key determinants. For instance, leagues with extensive travel requirements, particularly in Asia and Oceania, demonstrated lower HA, consistent with studies showing that travel negatively impacts performance. Additionally, reduced fan attendance in women’s basketball may further diminish HA. Full article
(This article belongs to the Special Issue Sports Performance: Data Measurement, Analysis and Improvement)
Show Figures

Figure 1

19 pages, 7227 KB  
Article
Snow Cover Inversion Driven by Dzud Events in Mongolia from 2000 to 2024
by Gaer Hana, Juanle Wang, Wulan Tuya, He Bu, Fengjiao Li and Weihao Zou
Sustainability 2025, 17(23), 10852; https://doi.org/10.3390/su172310852 - 3 Dec 2025
Viewed by 502
Abstract
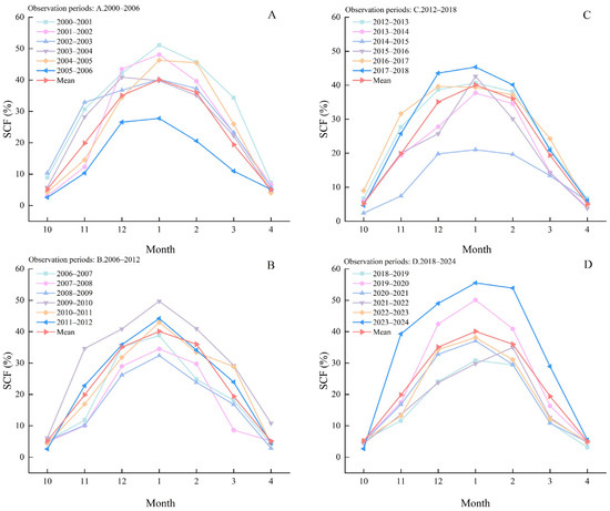
Amid global climate change and extreme weather conditions, sudden dzud events in arid grassland regions inflict severe disasters on herders, livestock, transportation, and the economy. In particular, Mongolia experiences frequent dzud events in recent years, bringing devastating consequences. However, studies on the spatiotemporal [...] Read more.
Amid global climate change and extreme weather conditions, sudden dzud events in arid grassland regions inflict severe disasters on herders, livestock, transportation, and the economy. In particular, Mongolia experiences frequent dzud events in recent years, bringing devastating consequences. However, studies on the spatiotemporal distribution characteristics of snow cover during dzud events in Mongolia remain relatively scarce and fail to adequately explain the anomalous features and impacts of extreme snowfall. Therefore, this study examined the spatiotemporal distribution characteristics of snow in the five most severe dzud events in Mongolia from 2000 to 2024. We utilized the Normalized Difference Snow Index (NDSI) extraction method based on 500 m resolution MODIS10A1 data, with the results validated against 10 m resolution Sentinel-2 imagery. The study produces several interesting results: (1) Snow cover in Mongolia generally increases from south to north with rising terrain elevation. Although its interannual variation is highly unstable, a slight decreasing trend is observed over the past 25 years. (2) Significant regional differences form a fan-shaped snow distribution pattern centered around 45–52° N, with trend analysis indicating intensification in the west and weakening in the east, except for extreme weather events. (3) During dzud events, the snow cover fraction (SCF) generally exceeds the multi-year average, exhibiting a pronounced and abrupt rise, while snow cover and livestock mortality fluctuate in synchrony. By revealing the spatiotemporal distribution patterns of snow during dzud years in Mongolia, this research provides an evidence-based reference for the understanding of extreme winter climatic events and disaster risk reduction in arid grassland regions. Full article
(This article belongs to the Section Sustainability in Geographic Science)
Show Figures

Figure 1

24 pages, 11195 KB  
Article
Influence and Quantitative Analysis of Different Parameters on Adaptive Cycle Fan Performance
by Heli Yang, Junying Wang, Wangzhi Zou, Weihan Kong and Xinqian Zheng
Aerospace 2025, 12(12), 1050; https://doi.org/10.3390/aerospace12121050 - 26 Nov 2025
Viewed by 357
Abstract
This study investigates the adaptive cycle fan (ACF), a key component enabling variable-cycle functionality in next-generation adaptive cycle engines (ACE). Despite its critical importance for whole-engine matching, the full operating-range performance of the ACF and the coupling effects among its parameters have not [...] Read more.
This study investigates the adaptive cycle fan (ACF), a key component enabling variable-cycle functionality in next-generation adaptive cycle engines (ACE). Despite its critical importance for whole-engine matching, the full operating-range performance of the ACF and the coupling effects among its parameters have not been systematically examined. This work addresses this gap. Owing to its dual-flowpath architecture and multiple adjustable variables, advanced modeling approaches are required; therefore, a neural-network-based surrogate model is developed to map parameter variations to ACF performance. Based on this model, the full operating-range performance of the ACF is analyzed. The constant-speed performance forms multi-line surfaces with distinct trends across rotational speeds. Core throttling provides wide-range total pressure ratio regulation, while bypass throttling enables broad bypass ratio modulation with relatively stable pressure ratio and efficiency. To interpret the neural network, the SHAP method is employed to quantify parameter sensitivity and multi-parameter coupling effects. Bypass outlet backpressure, core outlet backpressure, and front-fan tip clearance are identified as dominant factors, exhibiting strong coupling effects that must be jointly considered for optimal engine regulation. This study presents the first three-parameter coupling analysis of an ACF and provides guidance on ACE control design, component matching, and adjustable structure design. Full article
(This article belongs to the Section Aeronautics)
Show Figures

Figure 1

22 pages, 2000 KB  
Review
Application and Challenges of Chinese Lacquer Identification Techniques in the Conservation of Cultural Relics
by Xiaochen Liu, Mihaela Liu, Yushu Chen, Wei Wang and Xinyou Liu
Coatings 2025, 15(12), 1361; https://doi.org/10.3390/coatings15121361 - 21 Nov 2025
Viewed by 852
Abstract
Chinese lacquer, a natural polymer with exceptional durability and cultural significance, has been widely used since the Warring States period. This review examines recent advances in lacquer identification techniques and their role in cultural heritage conservation. Drawing on five representative case studies—the B54 [...] Read more.
Chinese lacquer, a natural polymer with exceptional durability and cultural significance, has been widely used since the Warring States period. This review examines recent advances in lacquer identification techniques and their role in cultural heritage conservation. Drawing on five representative case studies—the B54 Japanese armor, Ba lacquerware from Lijiaba, a Qing Dynasty folding fan, Ryukyu lacquerware, and late Joseon objects—we show how integrated analytical approaches combining microscopy, spectroscopy, chromatography, and biochemical methods provide critical insights into composition, degradation, and conservation strategies. Key findings highlight (1) the effectiveness of multi-technique analysis in characterizing complex lacquer–metal interfaces and layered structures; (2) the recognition of regional and chronological variations in lacquer formulations, highlighting the need for standardized authentication protocols and shared databases; and (3) the promise of non-destructive technologies to reduce sampling and improve aging simulations. By critically synthesizing these case studies, the review highlights both methodological successes and persistent challenges, such as ethical constraints of sampling and limited understanding of long-term degradation. Ultimately, lacquer is positioned at the intersection of material science and cultural preservation, offering a transferable framework for global heritage protection. Future directions include hyperspectral imaging, bioinspired consolidants, and computational modeling to advance non-invasive diagnostics and sustainable conservation. Full article
(This article belongs to the Special Issue Functional Surface and Coatings for Heritage and Cultural Protection)
Show Figures

Figure 1

19 pages, 3908 KB  
Article
Optimization of Jet Fan Tilt Angles in High-Altitude Highway Tunnels
by Li-Ming Wu, Hu-Xin-Tong Huang, Yong-Zai Chang, Feng Gao, Zi-Jian Wang, Bin Zhang and Qi Liu
Infrastructures 2025, 10(11), 311; https://doi.org/10.3390/infrastructures10110311 - 18 Nov 2025
Viewed by 388
Abstract
In high-altitude highway tunnels, the efficiency of jet fans significantly impacts the performance and energy consumption of ventilation systems. To optimize jet fan efficiency under such conditions, this study combines outdoor model experiments with numerical simulations of physical models in longitudinal jet ventilation [...] Read more.
In high-altitude highway tunnels, the efficiency of jet fans significantly impacts the performance and energy consumption of ventilation systems. To optimize jet fan efficiency under such conditions, this study combines outdoor model experiments with numerical simulations of physical models in longitudinal jet ventilation systems. A model was established using SpaceClaim (ANSYS 2022 R1), and numerical simulations were conducted using Fluent software (ANSYS 2022 R1) to obtain results. The effect of different mounting inclination angles (0° to 10°) on the performance of a jet fan was experimentally investigated, and a correlation formula for the lift pressure of the jet fan under different inclination angles was established. Comparative results demonstrate that the numerical simulations accurately capture the variation trend of fan lift pressure under different tilt angles observed in the experiments. Specifically, the lift pressure of the jet fan initially increases and then decreases with increasing tilt angle. Comparative analysis of pressure rise at installation angles of 0°, 2°, 3°, 4°, 5°, 6°, 8°, and 10° revealed that a peak pressure rise of 19.66 Pa was observed at 4° installation, demonstrating optimal performance at this angle. The velocity distribution indicates that tilt angles between 0° and 4° increase the airflow influence range, beyond which efficiency decreases due to kinetic energy loss at the base. The study determined that under these conditions, a jet fan installed at a 4° inclination angle exhibits optimal performance in high-altitude straight tunnels and is thus identified as the optimal installation angle. At this angle, both pressure-rise efficiency and airflow stability are effectively balanced; this configuration provides a critical design basis for energy-saving optimization in high-altitude tunnel ventilation systems. Full article
Show Figures

Figure 1

27 pages, 31928 KB  
Article
Migration Patterns and Sedimentary Evolution of Deepwater Channels in the Niger Delta Basin
by Fei Liu, Xiaoming Zhao, Jiawang Ge, Kun Qi, Massine Bouchakour and Shuchun Cao
J. Mar. Sci. Eng. 2025, 13(11), 2135; https://doi.org/10.3390/jmse13112135 - 12 Nov 2025
Viewed by 569
Abstract
The internal architecture of deep-water channels is highly complex. Previous research has primarily emphasized the sedimentary processes governing channel migration, yet the linkage between sediment-source mechanisms and migration patterns—particularly their vertical evolution—remains insufficiently understood. Drawing on 3D seismic data, well logs, and core [...] Read more.
The internal architecture of deep-water channels is highly complex. Previous research has primarily emphasized the sedimentary processes governing channel migration, yet the linkage between sediment-source mechanisms and migration patterns—particularly their vertical evolution—remains insufficiently understood. Drawing on 3D seismic data, well logs, and core analyses, this study delineates the channel architecture within the deep-water succession of the Niger Delta Basin. Furthermore, by correlating high-frequency sea-level fluctuations with the formation timing of structural units, we explore how sea-level changes influence the spatial distribution and evolutionary dynamics of submarine fan systems. This study investigated the bottom-up evolution of two channel-lobe systems—the East Channel System (ECS) and West Channel System (WCS) within the stratigraphic succession, identifying two principal channel migration styles: expansive migration and downstream migration. In the ECS, migration was primarily characterized by a combination of downstream and expansive patterns. In contrast, the WCS displayed intermittent downstream migration, accompanied by some irregular migration. Correlation of sea-level variation curves with corresponding core photographs indicates that the ECS developed during a fourth-order sea-level. Its lower lobe and upper channel intervals each correspond to two complete five-stage sea-level cycles. In this system, debris flows and high-density turbidity currents produced stronger lateral erosion and channel migration, giving rise to the expansive migration style. Conversely, the WCS formed during a four-stage sea-level rise, with its lobe and channel sections likewise corresponding to two complete five-stage sea-level cycles. Here, sedimentation dominated by high- and low-density turbidity currents promoted enhanced erosion and migration along the flow direction, resulting in the predominance of downstream migration patterns. The ECS and WCS together constitute a complete three-tiered stratigraphic sequence representing two lobe–channel systems. This configuration deviates to some extent from the conventional understanding of the spatial distribution of debris flows, lobate channels, main channels, and deep-sea mud deposits. Consequently, during intervals of frequent sea-level fluctuation, deep-water sedimentary components within the continental slope region can partially record the signals of fourth- and even fifth-order sea-level variations, facilitated by a stable tectonic framework and favorable sediment preservation conditions. These findings offer valuable insights for reconstructing regional sedimentary processes and interpreting sea-level evolution. Full article
(This article belongs to the Special Issue Advances in Sedimentology and Coastal and Marine Geology, 3rd Edition)
Show Figures

Figure 1

24 pages, 9791 KB  
Article
Assessment of Ventilation Control Methods for Energy Efficiency and Indoor Climate Stability: A Case Study of a Zoo Exhibition Room
by Sylwia Szczęśniak, Michał Karpuk and Juliusz Walaszczyk
Sustainability 2025, 17(21), 9912; https://doi.org/10.3390/su17219912 - 6 Nov 2025
Viewed by 615
Abstract
This study evaluates indoor thermal comfort and the energy performance of HVAC control strategies in the Congo Zone of a zoological facility located in Poland. The main objective in this zone is to maintain adequate relative humidity, which is more critical for plants [...] Read more.
This study evaluates indoor thermal comfort and the energy performance of HVAC control strategies in the Congo Zone of a zoological facility located in Poland. The main objective in this zone is to maintain adequate relative humidity, which is more critical for plants and animals than the indoor air temperature range. Long-term measurements were carried out to determine the variation of air system heat transfer as a function of outdoor air temperature. To determine the energy demand for heating, cooling, and air transport, eight control algorithms were analysed, each differing in a single detail but potentially affecting overall energy use and thermal comfort. The algorithms combined the following features: maintaining a constant supply or indoor air temperature; operating with a constant or modulated recirculation damper position; maintaining a constant or variable airflow (CAV or VAV); operating within the normal setpoint range or with an extended range of 1 °C; controlling temperature only or both temperature and humidity; and utilising or not utilising free cooling. The control algorithm operating in the facility maintained indoor humidity within acceptable limits for 98% of the year but failed to meet temperature requirements for 28% of the time. Refined strategies achieved energy savings of up to 74% in fan power and 80% in cooling demand, though often at the cost of reduced humidity control. Full article
Show Figures

Figure 1

17 pages, 1956 KB  
Article
Pressure Control of Variable Air Volume System Based on Infiltration Rate
by Kyung-Won Kim, Min-Jun Kim, Jin-Hyun Lee, Hyo-Jun Kim and Young-Hum Cho
Appl. Sci. 2025, 15(21), 11430; https://doi.org/10.3390/app152111430 - 25 Oct 2025
Viewed by 486
Abstract
This study proposes an operational strategy to reduce building infiltration rates by predicting the infiltration rate in a variable air volume (VAV) system and implementing pressure control based on these predictions. To achieve this, a theoretical review of conventional VAV systems operations and [...] Read more.
This study proposes an operational strategy to reduce building infiltration rates by predicting the infiltration rate in a variable air volume (VAV) system and implementing pressure control based on these predictions. To achieve this, a theoretical review of conventional VAV systems operations and its impact on building pressure differences was conducted. A method for predicting infiltration rate based on airflow variations in the VAV system was proposed and validated. Furthermore, a pressure control algorithm that utilizes the predicted infiltration rate was developed and evaluated. Previous studies were limited in capturing real-time envelope pressure differentials and changes in infiltration rate. However, this study predicted infiltration rate based on the exponential relationship between the difference in supply and return airflow rates and pressure differential, and verified its reliability against measured values. Furthermore, pressure control based on predicted infiltration rate reduced the infiltration rate by up to 46.1% compared with fan tracking and volumetric tracking control systems, while also reducing fan energy consumption by 94.7%, confirming its effectiveness in reducing cooling load. Full article
Show Figures

Figure 1

25 pages, 4789 KB  
Article
A New Hybrid Rigid–Flexible Coupling Modeling for Efficient Vibration Analysis of the Cooling System of New Energy Vehicles
by Ning Zhang, Yuankai Ren, Zihong Li and Hangyu Lu
Actuators 2025, 14(11), 512; https://doi.org/10.3390/act14110512 - 22 Oct 2025
Viewed by 384
Abstract
The cooling system is a core component for a vehicle’s powertrains to operate smoothly and maintain a satisfying noise, vibration, and harshness (NVH) performance. However, advances in new energy vehicles bring with them complex requirements for the cooling fan design due to new [...] Read more.
The cooling system is a core component for a vehicle’s powertrains to operate smoothly and maintain a satisfying noise, vibration, and harshness (NVH) performance. However, advances in new energy vehicles bring with them complex requirements for the cooling fan design due to new issues such as increased heat load, dynamic variations, and high-speed vibrations, which demand the optimization of fan dynamics over a wide range of parameters. In this paper, by thoroughly checking the effect of rigid–flexible coupling and the geometrically complex elastic frame of the fan, we propose a combined modeling approach to reduce the computational time of broad-range parameter variation analysis and examine the vibration problem in the cooling fans under various external excitations. First, the complicated frame of the fan is simplified through virtual prototyping based on an experiment. Then, modal transition is applied, reducing the complex kinetic expression, and a time-invariant system model is derived with multi-blade coordinate transformation. Stability and bifurcation analysis are performed regarding different excitation couplings from the rotor, powertrain, and road. The results of the simulation and experiment illustrate that the proposed methodology achieves a substantial reduction in computational time, and all degrees of freedom (DOFs) are divided into two groups including symmetrical and asymmetrical types. The results also imply the great potential for the optimization and control of the high-speed fan’s vibration for new energy cars. Full article
(This article belongs to the Section Actuators for Surface Vehicles)
Show Figures

Figure 1

14 pages, 1771 KB  
Article
Analysis of Window Trickle Vents at Various Pressure Differences
by Arturs Palcikovskis, Kristina Lebedeva, Jurgis Zemitis, Anatolijs Borodinecs and Aleksejs Prozuments
Sustainability 2025, 17(20), 9304; https://doi.org/10.3390/su17209304 - 20 Oct 2025
Viewed by 903
Abstract
Air pollution remains a major global health concern, contributing to millions of premature deaths annually. Poor indoor air quality (IAQ) is strongly associated with sick building syndrome (SBS), which can lead to various health problems and reduced workplace productivity. This study examines the [...] Read more.
Air pollution remains a major global health concern, contributing to millions of premature deaths annually. Poor indoor air quality (IAQ) is strongly associated with sick building syndrome (SBS), which can lead to various health problems and reduced workplace productivity. This study examines the role of trickle vents as a passive component in natural and hybrid ventilation systems aimed at improving IAQ and occupant comfort. Two types of factory-produced trickle vents were tested in a controlled climatic chamber under systematically varied indoor–outdoor pressure differentials, generated using a blower system. Airflow measurements revealed a strong relationship between pressure difference and vent performance. Differences between the two vent types were largely due to variations in cross-sectional areas, influencing airflow resistance and pressure drop. Although neither vent achieved the required ventilation rates for standard conditions, their integration into hybrid systems, particularly in combination with mechanical exhaust fans, was found to significantly enhance potential airflow. The findings underline both the challenges and opportunities in achieving effective ventilation, especially in upper building floors where natural driving forces are reduced. This work contributes to the understanding of passive ventilation components and their potential to support healthier, more sustainable indoor environments. Full article
Show Figures

Figure 1

21 pages, 7333 KB  
Article
Bee Bread Granule Drying in a Solar Dryer with Mobile Shelves
by Indira Daurenova, Ardak Mustafayeva, Kanat Khazimov, Francesco Pegna and Marat Khazimov
Energies 2025, 18(20), 5472; https://doi.org/10.3390/en18205472 - 17 Oct 2025
Viewed by 505
Abstract
This paper presents the development and evaluation of an autonomous solar dryer designed to enhance the drying efficiency of bee bread granules. In contrast to natural open-air drying, the proposed system utilizes solar energy in an oscillating operational mode to achieve a controlled [...] Read more.
This paper presents the development and evaluation of an autonomous solar dryer designed to enhance the drying efficiency of bee bread granules. In contrast to natural open-air drying, the proposed system utilizes solar energy in an oscillating operational mode to achieve a controlled and accelerated drying process. The dryer comprises a solar collector integrated into the base of the drying chamber, which facilitates convective heating of the drying agent (air). The system is further equipped with a photovoltaic panel to generate electricity for powering and controlling the operation of air extraction fans. The methodology combines numerical modeling with experimental studies, structured by an experimental design framework. The modeling component simulates variations in temperature (288–315 K) and relative humidity within a layer of bee bread granules subjected to a convective air flow. The numerical simulation enabled the determination of the following: the time required to achieve a stationary operating mode in the dryer chamber (20 min); and the rate of change in moisture content within the granule layer during conventional drying (18 h) and solar drying treatment (6 h). The experimental investigations focused on determining the effects of granule mass, air flow rate, and drying time on the moisture content and temperature of the granular layer of Bee Bread. A statistically grounded analysis, based on the design of experiments (DoE), demonstrated a reduction in moisture content from an initial 16.2–18.26% to a final 11.1–12.1% under optimized conditions. Linear regression models were developed to describe the dependencies for both natural and forced convection drying. A comparative evaluation using enthalpy–humidity (I-d) diagrams revealed a notable improvement in the drying efficiency of the proposed method compared to natural drying. This enhanced performance is attributed to the system’s intermittent operational mode and its ability to actively remove moist air. The results confirm the potential of the developed system for sustainable and energy-efficient drying of bee bread granules in remote areas with limited access to a conventional power grid. Full article
(This article belongs to the Section A2: Solar Energy and Photovoltaic Systems)
Show Figures

Figure 1

61 pages, 28723 KB  
Article
Evolution of a Late Carboniferous Fluvio-Lacustrine System in an Endorheic Basin: Multiproxy Insights from the Ludwikowice Formation, Intra-Sudetic Basin (SW Poland, NE Bohemian Massif)
by Aleksander Kowalski, Jolanta Dąbek-Głowacka, Grzegorz J. Nowak, Anna Górecka-Nowak, Urszula Wyrwalska, Magdalena Furca and Patrycja Wójcik-Tabol
Minerals 2025, 15(10), 1077; https://doi.org/10.3390/min15101077 - 15 Oct 2025
Cited by 1 | Viewed by 908
Abstract
Fluvio-lacustrine systems are highly dynamic continental environments, often developing in tectonically controlled, endorheic basins where sedimentation reflects the interplay of fluvial processes, lake-level fluctuations, climate, and subsidence. The main aim of this paper is to reconstruct the depositional architecture and paleogeographic evolution of [...] Read more.
Fluvio-lacustrine systems are highly dynamic continental environments, often developing in tectonically controlled, endorheic basins where sedimentation reflects the interplay of fluvial processes, lake-level fluctuations, climate, and subsidence. The main aim of this paper is to reconstruct the depositional architecture and paleogeographic evolution of the Ludwikowice Formation (Intra-Sudetic Basin, NE Bohemian Massif), which preserves a high-resolution record of a late Carboniferous (late Gzhelian) fluvio-lacustrine system. The formation developed as a fining-upward megacyclothem documenting the transition from proximal alluvial and fluvial fan deposits to distal, organic-rich lacustrine facies referred to as the Lower Anthracosia Shale (LAS). This study integrates lithological data from 92 archival boreholes with high-resolution sedimentological, geochemical, petrological, palynological, and magnetic susceptibility analyses from two fully cored reference sections (Ścinawka Średnia PIG-1 and Rybnica Leśna PIG-1) and selected exposures. Nine facies associations (FA1–FA9) have been identified within the formation, including fluvial, sandy to muddy floodplain, aeolian, playa lake margin/coastal mudflat, nearshore, delta plain, subaqueous delta front and subaqueous fan, prodelta, and open lake. The succession shows progressive thickening into narrow, NW–SE-trending depocenters associated with possible strike-slip faulting. Geochemical and isotopic data indicate alternating hydrologically open and closed lake conditions, while magnetic susceptibility reflects climatically driven variations in detrital influx and microbial activity. Organic petrography and palynofacies analyses reveal redox-controlled maceral associations. The Ludwikowice Formation constitutes a detailed archive of Late Paleozoic environmental change and provides new insights into sedimentation and organic matter preservation in intramontane endorheic basins. Our results highlight the response of fluvio-lacustrine systems to climatic and tectonic factors and provide a framework for interpreting analogous successions throughout the stratigraphic record. Full article
(This article belongs to the Special Issue Deep-Time Source-to-Sink in Continental Basins)
Show Figures

Figure 1

17 pages, 6529 KB  
Article
Temperature Field Analysis and Experimental Verification of Mining High-Power Explosion-Proof Integrated Variable-Frequency Permanent Magnet Motor
by Xiaojun Wang, Gaowei Tian, Qingqing Lü, Kun Zhao, Xuandong Wu, Liquan Yang and Guangxi Li
Energies 2025, 18(20), 5369; https://doi.org/10.3390/en18205369 - 12 Oct 2025
Viewed by 481
Abstract
An efficient cooling configuration is critical for ensuring the safe operation of electrical machines and is key for optimizing the iterative design of motors. To improve the heat dissipation performance of high-power, explosion-proof, integrated variable-frequency permanent magnet motors used in mining and reduce [...] Read more.
An efficient cooling configuration is critical for ensuring the safe operation of electrical machines and is key for optimizing the iterative design of motors. To improve the heat dissipation performance of high-power, explosion-proof, integrated variable-frequency permanent magnet motors used in mining and reduce the risk of permanent magnet demagnetization, this study considers a 1600 kW mining explosion-proof variable-frequency permanent magnet motor as its research object. Based on the zigzag-type water channel structure of the frame, a novel rotor-cooling scheme integrating axial–radial ventilation structures and axial flow fans was proposed. The temperature field of the motor was simulated and analyzed using a fluid–thermal coupling method. Under rated operating conditions, the flow characteristics of the frame water channel and the temperature distribution law inside the motor were compared when the water supply flow rates were 5.4, 4.8, 4.2, 3.6, 3, 2.4, and 1.8 m3/h, respectively, and the relationship between the motor temperature rise and the variation in water flow rate was revealed. A production prototype was developed, and temperature rise tests were conducted for verification. The test results were in good agreement with the simulation calculation results, thereby confirming the accuracy of the simulation calculation method. The results provide an important reference for enterprises in the design optimization and upgrading of high-power explosion-proof integrated variable-frequency permanent-magnet motors. Full article
(This article belongs to the Special Issue Advanced Technology in Permanent Magnet Motors)
Show Figures

Figure 1

Back to TopTop