Sign in to use this feature.

Years

Between: -

Subjects

remove_circle_outline
remove_circle_outline
remove_circle_outline
remove_circle_outline
remove_circle_outline
remove_circle_outline
remove_circle_outline

Journals

Article Types

Countries / Regions

Search Results (124)

Search Parameters:
Keywords = ectopic transformation

Order results
Result details
Results per page
Select all
Export citation of selected articles as:
19 pages, 1671 KB  
Review
The Oral–Gastric Microbial Axis in Gastric Cancer: Mechanisms Underlying Development and Progression
by Lin He, Xiao Yu, Ding-Hong Xiao, Hai-Yan Zhang, Lian-Jun Xing and Zhi-Dong Liu
Cancers 2026, 18(6), 977; https://doi.org/10.3390/cancers18060977 - 18 Mar 2026
Viewed by 462
Abstract
The etiology of gastric cancer (GC) is increasingly defined by the complex interplay within the oral-gastric microbial axis. This conceptual shift extends beyond the classical Helicobacter pylori (H. pylori) model. Instead, it encompasses a broader polymicrobial network. Mechanisms underlying ectopic colonization [...] Read more.
The etiology of gastric cancer (GC) is increasingly defined by the complex interplay within the oral-gastric microbial axis. This conceptual shift extends beyond the classical Helicobacter pylori (H. pylori) model. Instead, it encompasses a broader polymicrobial network. Mechanisms underlying ectopic colonization of oral pathobionts are examined alongside their synergistic contributions to mucosal dysbiosis. Remodeling of the tumor microenvironment is discussed through the analysis of critical functional modules, including biofilm formation, metabolic reprogramming, and immune dysregulation. Carcinogenesis is reportedly promoted by specific genotoxic metabolites and perpetuation of chronic inflammation. Diagnostic capabilities are evaluated with a focus on noninvasive biomarkers, where integration of artificial intelligence for risk stratification is identified as a transformative tool for early detection. Furthermore, therapeutic perspectives are expanded by evidence linking microbial composition to the efficacy of immune checkpoint inhibitors and chemotherapy. Strategies for prevention and treatment are proposed based on restoration of microbial homeostasis. Collectively, a roadmap for translating microbiome research into personalized clinical practice for gastrointestinal malignancies is provided by this review. Full article
Show Figures

Figure 1

17 pages, 5570 KB  
Article
Comprehensive Analysis of the Poplar DREB A4 Subfamily and the Role of PtrDREB4 in Response to Drought Stress
by Shuang Cheng, Zhihao Jia, Huolin Zhou, Limin Wang, Yanan Chen, Nan Sun, Dong Li, Bei Li, Hongxia Zhang, Yanfeng Liu and Lei Yang
Plants 2026, 15(5), 758; https://doi.org/10.3390/plants15050758 - 1 Mar 2026
Viewed by 334
Abstract
The dehydration response element binding protein (DREB) family of the AP2/ERF superfamily functions as a key regulatory component in plant adaptation to water-deficit conditions. However, studies on the DREB A4 subfamily in poplar (Populus trichocarpa) are insufficient. In this study, members [...] Read more.
The dehydration response element binding protein (DREB) family of the AP2/ERF superfamily functions as a key regulatory component in plant adaptation to water-deficit conditions. However, studies on the DREB A4 subfamily in poplar (Populus trichocarpa) are insufficient. In this study, members of the DREB A4 subgroup in poplar were identified and analyzed via bioinformatic analysis. A pCAMBIA-2300-PtrDREB4 expression vector was constructed and transformed into Arabidopsis, followed by phenotypic analysis of transgenic plant in response to drought stress. A total number of 29 DREB A4 members were identified in the poplar genome. Synteny analysis revealed that 19 gene pairs went through segmental duplication at least 12.84 million years ago. Their promoter regions were enriched with cis-elements related to stress resistance, hormone regulation, and growth and development. Upstream regulator analysis of poplar DREB A4 genes identified 425 transcription factor genes, which belonged to 39 families. Gene expression analysis demonstrated distinct expression patterns of DREB A4 genes in leaves, roots and stems with a notable response to drought stress. Ectopic expression of PtrDREB4 in yeast and Arabidopsis increased the drought tolerance of transformants, indicating the positive role of PtrDREB4 in response to drought stress. These findings collectively established a theoretical foundation for further functional exploration of DREB A4 genes in poplar. Full article
Show Figures

Figure 1

8 pages, 3403 KB  
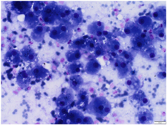
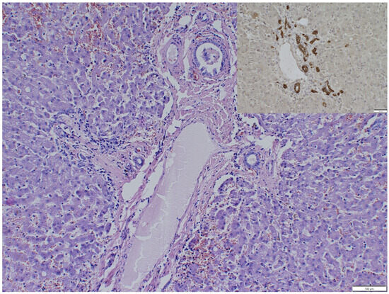
Case Report
An Incidental Necropsy Finding: Intrathoracic Ectopic Liver in a Cat
by Joanna Fiedorowicz, Katarzyna Paździor-Czapula, Mateusz Mikiewicz and Iwona Otrocka-Domagała
Animals 2026, 16(5), 742; https://doi.org/10.3390/ani16050742 - 27 Feb 2026
Viewed by 330
Abstract
Ectopic liver is a rare anomaly characterized by the presence of hepatic tissue outside its normal anatomical location without continuity with the main liver. Reports of this condition are sporadic in human medicine, and cases in veterinary species remain limited. This condition may [...] Read more.
Ectopic liver is a rare anomaly characterized by the presence of hepatic tissue outside its normal anatomical location without continuity with the main liver. Reports of this condition are sporadic in human medicine, and cases in veterinary species remain limited. This condition may arise as a congenital developmental defect or as a consequence of prior traumatic injury leading to fragmentation and displacement of hepatic tissue. This case study describes an incidental intrathoracic ectopic liver identified in a 6-year-old male cat that died of acute suppurative bacterial pneumonia. Necropsy revealed a well-demarcated, encapsulated, large mass within the middle of the caudal mediastinum, unattached to the diaphragm, lungs, or pericardium. Cytologic and histopathologic examinations confirmed the presence of hepatic tissue with preserved lobular architecture. No evidence of previous trauma or diaphragmatic defects was present, supporting the congenital origin. The accompanying severe bacterial pneumonia was unrelated to the mediastinal mass. This study highlights the diagnostic challenges associated with intrathoracic ectopic liver, which can mimic neoplastic or inflammatory masses. Awareness of this entity is essential for accurate diagnosis. Given the documented risk of malignant transformation in ectopic hepatic tissue, surgical excision and histopathological assessment should be considered whenever such lesions are detected. Full article
(This article belongs to the Special Issue Advances in Small Animal Gastrointestinal and Hepatic Diseases)
Show Figures

Figure 1

21 pages, 2501 KB  
Review
Premature Ventricular Complex-Induced Cardiomyopathy, a Review: Current Insights, Diagnostic Challenges, and Therapeutic Strategies
by Mario J. Recio-Ibarz, Teresa Olóriz, Naiara Calvo, Beatriz Jáuregui, Vanesa Alonso-Ventura, Daniel Cantero Lozano and Carlos López-Perales
J. Clin. Med. 2026, 15(4), 1360; https://doi.org/10.3390/jcm15041360 - 9 Feb 2026
Viewed by 747
Abstract
Premature Ventricular Complexes (PVCs) are among the most frequent ventricular arrhythmias observed in daily cardiology practice. Although often benign, sustained high ectopic activity can result in left ventricular dysfunction known as PVC-induced Cardiomyopathy (PVC-CMP), a condition that is frequently reversible when the arrhythmia [...] Read more.
Premature Ventricular Complexes (PVCs) are among the most frequent ventricular arrhythmias observed in daily cardiology practice. Although often benign, sustained high ectopic activity can result in left ventricular dysfunction known as PVC-induced Cardiomyopathy (PVC-CMP), a condition that is frequently reversible when the arrhythmia is effectively suppressed. The underlying mechanisms are multifaceted, involving electromechanical dyssynchrony, contractile inefficiency, abnormal calcium cycling, neurohormonal activation, and progressive structural remodeling. The likelihood of developing PVC-CMP varies among individuals and is influenced by electrophysiological and structural factors. Diagnosis relies on prolonged rhythm monitoring, comprehensive multimodality imaging, and demonstration of ventricular recovery after reducing the ectopic burden, which, in turn, confirms causality. Over the past decade, major advances in electrocardiographic mapping, cardiac imaging, and ablation therapy have transformed this field, demonstrating excellent efficacy and safety profiles. In parallel, artificial intelligence and computational mapping are emerging as powerful tools for prediction and procedural guidance. Recognition of PVC-CMP as a distinct, treatable cardiomyopathy highlights the importance of early detection and individualized therapy, offering the prospect of complete functional recovery and the prevention of heart failure progression. Full article
Show Figures

Figure 1

19 pages, 4511 KB  
Article
SATB2 Induces Malignant Transformation and Cancer Stem Cell Characteristics, and Inhibition of Its Expression Reverses Drug Resistance in Mesothelioma
by Cynthia Brown, Shivam Srivastava, Rohit Srivastava, Rashmi Srivastava, Jason Morvant, Anju Shrivastava and Rakesh K. Srivastava
Cells 2026, 15(3), 283; https://doi.org/10.3390/cells15030283 - 2 Feb 2026
Viewed by 656
Abstract
SATB2 (special AT-rich binding protein 2) functions as a chromatin-associated epigenetic regulator that modulates gene expression, in part by serving as a transcriptional cofactor. This study assessed whether SATB2 overexpression is sufficient to promote in vitro transformation of human mesothelial cells and whether [...] Read more.
SATB2 (special AT-rich binding protein 2) functions as a chromatin-associated epigenetic regulator that modulates gene expression, in part by serving as a transcriptional cofactor. This study assessed whether SATB2 overexpression is sufficient to promote in vitro transformation of human mesothelial cells and whether SATB2 suppression in mesothelioma cancer stem cell (CSC)–enriched populations is associated with altered chemoresistance. SATB2 expression was high in human malignant pleural mesothelioma (MPM) cell lines but absent in Met5A mesothelial cells. Ectopic SATB2 expression in Met5A cells was associated with acquisition of malignant and stem cell–like phenotypes, including increased expression of stem cell markers and pluripotency-associated factors, as well as anchorage-independent growth in soft agar and spheroid formation in suspension culture. In contrast, Met5A cells transduced with an empty vector did not form colonies or mesospheres. SATB2 overexpression in Met5A cells was also associated with increased motility, migration, and invasion, accompanied by induction of epithelial–mesenchymal transition (EMT)–related transcription factors relative to empty vector controls. Conversely, shRNA-mediated SATB2 knockdown in an MPM cell line attenuated proliferation, EMT-associated features, and CSC-like characteristics. Chromatin immunoprecipitation assays identified SATB2 occupancy at promoter regions of Bcl2, XIAP, KLF4, c-Myc, NANOG, and SOX2, consistent with a role in transcriptional regulation of genes linked to transformation, pluripotency, cell survival, proliferation, and EMT. In CSC-enriched cells, SATB2 inhibition was associated with increased sensitivity to cisplatin and pemetrexed, concomitant with reduced OCT4 and SOX2 expression. Collectively, these findings support SATB2 as a candidate therapeutic target in MPM and suggest that SATB2 suppression may enhance chemotherapy response when combined with standard agents. Full article
(This article belongs to the Special Issue The Function of Stem Cells in the Biomedical Applications)
Show Figures

Graphical abstract

14 pages, 960 KB  
Review
A Comprehensive Review on Medium- and Long-Chain Fatty Acid-Derived Metabolites: From Energy Sources to Metabolic Signals
by Jin-Byung Park, Sungyun Cho and Sung-Joon Lee
Metabolites 2026, 16(1), 45; https://doi.org/10.3390/metabo16010045 - 4 Jan 2026
Cited by 3 | Viewed by 1133
Abstract
Medium- and long-chain fatty acids (MLFAs) are increasingly recognized not only as metabolic substrates but also as precursors of diverse bioactive metabolites generated through host and microbial transformations. Recent advances in analytical chemistry and microbiome research have revealed that gut microorganisms catalyze extensive [...] Read more.
Medium- and long-chain fatty acids (MLFAs) are increasingly recognized not only as metabolic substrates but also as precursors of diverse bioactive metabolites generated through host and microbial transformations. Recent advances in analytical chemistry and microbiome research have revealed that gut microorganisms catalyze extensive modifications of dietary MLFAs—producing hydroxylated, conjugated, and keto-fatty acids with enhanced potency toward host receptors. These metabolites exhibit dual activity on classical metabolic receptors, including FFAR1/4 and PPARα/γ, as well as ectopically expressed chemosensory receptors such as olfactory receptors (ORs) and bitter taste receptors (TAS2Rs). This expanded receptor landscape establishes a previously unrecognized chemosensory–metabolic axis that integrates dietary signals, microbial metabolism, and host physiology. Microbial MLFA derivatives such as 10-hydroxyoctadecenoic acid and conjugated linoleic acid regulate incretin secretion, adipogenesis, macrophage polarization, and intestinal barrier function through coordinated activation of FFARs and PPARs. Concurrently, dicarboxylic acids such as azelaic acid activate Olfr544 to modulate lipolysis, ketogenesis, GLP-1 release, and feeding behavior. TAS2Rs also sense oxidized lipids, linking lipid metabolism to immune regulation and enteroendocrine signaling. Collectively, these pathways highlight the microbiome as a metabolic transducer that converts dietary lipids into signaling molecules influencing endocrine, immune, and gut–brain circuits. Understanding the mechanisms governing MLFA bioconversion and receptor engagement provides new opportunities for therapeutic and nutritional intervention. Targeting ORs and TAS2Rs, engineering probiotics to enhance beneficial FA-derived metabolites, and developing receptor-selective synthetic analogs represent promising strategies. Future progress will require integrative approaches combining physiology, biochemistry, metabolomics, and microbial genomics to elucidate receptor specificity and host variability. Full article
Show Figures

Figure 1

22 pages, 1569 KB  
Review
The Influence of Glucagon-like Peptide-1 Receptor Agonists and Other Incretin Hormone Agonists on Body Composition
by Lampros Chrysavgis, Niki Gerasimoula Mourelatou, Maria-Evangelia Koloutsou, Sophia Rozani and Evangelos Cholongitas
Int. J. Mol. Sci. 2025, 26(24), 12130; https://doi.org/10.3390/ijms262412130 - 17 Dec 2025
Cited by 3 | Viewed by 2719
Abstract
Glucagon-like peptide-1 receptor agonists (GLP-1 RAs) and newer incretin-based co-agonists have transformed obesity and type 2 diabetes (T2D) management, achieving unprecedented weight loss and cardiometabolic benefits. However, their effects on body composition, particularly lean and skeletal muscle mass, remain incompletely defined. In this [...] Read more.
Glucagon-like peptide-1 receptor agonists (GLP-1 RAs) and newer incretin-based co-agonists have transformed obesity and type 2 diabetes (T2D) management, achieving unprecedented weight loss and cardiometabolic benefits. However, their effects on body composition, particularly lean and skeletal muscle mass, remain incompletely defined. In this current review, we examined the influence of GLP-1 RAs and incretin hormone agonists on lean tissue, integrating physiological, clinical, and mechanistic perspectives. We first outlined the physiology of incretin hormones, with emphasis on their metabolic roles and potential relevance to muscle health. We then discussed sarcopenia and sarcopenic obesity as conditions of rising clinical concern, given their overlap with obesity and metabolic disease. Evidence from preclinical studies and randomized clinical trials indicates that while GLP-1-based therapies predominantly reduce adipose tissue, including visceral and ectopic depots, but they also produce absolute reductions in lean mass, generally representing 20–30% of total weight loss. The extent to which these changes translate into impaired muscle function or increased vulnerability to frailty remains unclear. Preservation of lean and skeletal muscle mass is a critical yet underexplored aspect of incretin-based weight loss. Current studies are constrained by methodological heterogeneity, small sample sizes, and limited assessment of functional outcomes. Data on dual and triple agonists are emerging but remain limited. Future research should integrate standardized body-composition measures, mechanistic exploration, and adjunctive interventions such as resistance training or protein optimization. Full article
(This article belongs to the Collection Latest Review Papers in Endocrinology and Metabolism)
Show Figures

Figure 1

22 pages, 4029 KB  
Article
VHL Gene Restoration Supports RCC Reprogramming to iPSCs but Does Not Ensure Line Stability
by Zsuzsanna Lichner, Yasaman Shamshirgaran, Katarzyna Pieczonka, Anna Jonebring, Mark Kibschull, Oksana Shynlova, Jalna Meens, Raymond H. Kim, Laurie Ailles, Bilada Bilican, Ryan Hicks and Ian M. Rogers
Cancers 2025, 17(22), 3693; https://doi.org/10.3390/cancers17223693 - 18 Nov 2025
Viewed by 837
Abstract
Background: Modeling precancerous stages holds the promise to understand early transformation events, thereby offering the potential for personalized, targeted treatment. Because cancer hijacks developmental pathways, precancerous stages could potentially be modeled by reprogramming cancer cells to an induced pluripotent stem cell state and [...] Read more.
Background: Modeling precancerous stages holds the promise to understand early transformation events, thereby offering the potential for personalized, targeted treatment. Because cancer hijacks developmental pathways, precancerous stages could potentially be modeled by reprogramming cancer cells to an induced pluripotent stem cell state and subsequently differentiating them to the target organs using organoid models. Methods: We attempted reprogramming of patient-derived clear cell renal cell carcinoma (ccRCC) cell lines and adjacent normal renal epithelial cell lines using lentivirus or episomal reprogramming vectors. Results: The cancer cells failed to reprogram while the adjacent normal cells reprogrammed with high efficiency. The von Hippel–Lindau factor (VHL) gene was re-expressed in ccRCC cells in an attempt to restore the wild-type phenotype and restore reprogramming. The VHL gene is the major tumor suppressor in ccRCC pathogenesis and a conductor of oxidative-glycolytic glucose metabolism. While its re-expression did restore the epithelial phenotype and oxidative regulation of ccRCC cells, they still failed to stably reprogram. With an optimized reprogramming workflow, VHL-corrected ccRCC cells generate NANOG+ cells; however, they remained dependent on the ectopic expression of the reprogramming factors. Conclusions: We concluded that while VHL expression is necessary for cellular reprogramming of ccRCC cells, other genetic lesions in the ccRCC cells could be preventing the stabilization of the pluripotent state. Full article
(This article belongs to the Section Methods and Technologies Development)
Show Figures

Graphical abstract

19 pages, 47146 KB  
Article
Functional Conservation and Redundancy of Duplicated AGAMOUS Homologs in Regulating Floral Organ Development of Tagetes erecta
by Chunling Zhang, Chujun Huang, Ke Zhu, Hang Li, Shiyu Xu, Zhengguo Tao and Yanhong He
Agronomy 2025, 15(10), 2379; https://doi.org/10.3390/agronomy15102379 - 12 Oct 2025
Cited by 3 | Viewed by 894
Abstract
Asteraceae, as the largest angiosperm family, has an architecturally complex capitulum (inflorescences) composed of heteromorphic florets with distinct morphologies and functions. AGAMOUS (AG) MADS-box transcription factors act as key regulators in flower development and are essential for the formation of the characteristic capitulum [...] Read more.
Asteraceae, as the largest angiosperm family, has an architecturally complex capitulum (inflorescences) composed of heteromorphic florets with distinct morphologies and functions. AGAMOUS (AG) MADS-box transcription factors act as key regulators in flower development and are essential for the formation of the characteristic capitulum and florets. To explore the potential functions of the AG genes in Asteraceae, we conducted a genome-wide identification and analysis of 52 AG-like genes across 22 species within this family. Additionally, we studied the functions of the Tagetes erecta class C genes TeAG1 and TeAG2 by introducing these genes into T. erecta and Nicotiana tabacum. Gene structure and phylogenomic analyses indicated that AG-like genes may have conserved and specific biological functions in Asteraceae plants. Phenotypic analyses revealed that the T. erecta class C genes TeAG1 and TeAG2 played a conserved and redundant role in regulating stamen and carpel development. The simultaneous downregulation of TeAG1 and TeAG2 led to the homeotic transformation of both stamens and carpels into corolla-like structures. However, silencing TeAG1 or TeAG2 individually in T. erecta did not affect any floral organ development. Furthermore, the ectopic expression of TeAG1 and TeAG2 in N. tabacum resulted in the transformation of sepals into pistils and corollas into stamens, respectively. Additionally, qRT-PCR analyses revealed that TeAG1 and TeAG2 repressed the expression of class A genes. Our findings expand our understanding of the function of class C genes within Asteraceae and provide strategies for breeding double-flower cultivars. Full article
Show Figures

Figure 1

15 pages, 1517 KB  
Article
2SLOD-HCG: HCG Test Strip Concentration Prediction Network
by Qi Hu, Jinshu Zhao, Shimin Kan, Qiang Shi, Ning Wang, Jiajian Li and Zhifang Ma
Sensors 2025, 25(17), 5378; https://doi.org/10.3390/s25175378 - 1 Sep 2025
Viewed by 1467
Abstract
Human chorionic gonadotropin (HCG) is an essential biomarker for the evaluation and diagnosis of early pregnancy, multiple pregnancies, and ectopic pregnancies. However, the accuracy of test strip interpretation is often compromised by inconvenient and uncomfortable professional testing, the black-box nature of AI-based detection [...] Read more.
Human chorionic gonadotropin (HCG) is an essential biomarker for the evaluation and diagnosis of early pregnancy, multiple pregnancies, and ectopic pregnancies. However, the accuracy of test strip interpretation is often compromised by inconvenient and uncomfortable professional testing, the black-box nature of AI-based detection methods, and variations in image quality caused by mobile photography and lighting conditions. To address these challenges, we propose 2SLOD-HCG, a novel network for test strip concentration detection. Our approach introduces an enhanced spatial pyramid pooling (SPP) module to better integrate multi-scale receptive field information and incorporates an elastic variational cross-FPN structure augmented with lightweight transformer blocks to strengthen global feature perception. Furthermore, a SimAM attention mechanism is applied to highlight critical local features. These improvements collectively enhance the network’s ability to capture both fine-grained and global contextual information. We constructed a dataset of 50,000 augmented test strip images collected under three lighting conditions and four mobile photography scenarios. The results demonstrate that 2SLOD-HCG achieves superior accuracy and robustness compared to existing YOLO-based baselines, particularly in detecting the small color-developing regions of test strips. Full article
(This article belongs to the Section Sensor Networks)
Show Figures

Figure 1

15 pages, 1388 KB  
Article
The Impact of Basal Inflammatory Status on Post-CABG Atrial and Ventricular Ectopy and Remodeling Pathways
by Dan-Alexandru Cozac, Cristina Somkereki, Adina Huțanu, Tunde Renata Nicoara and Alina Scridon
Medicina 2025, 61(9), 1545; https://doi.org/10.3390/medicina61091545 - 27 Aug 2025
Cited by 2 | Viewed by 1813
Abstract
Background and Objectives: Premature atrial contractions (PACs) and premature ventricular contractions (PVCs) commonly occur after coronary artery bypass grafting (CABG) surgery, with frequent ectopics linked to atrial fibrillation risk and reduced heart function. While CABG-induced inflammation causes arrhythmogenic changes, the connection between preoperative [...] Read more.
Background and Objectives: Premature atrial contractions (PACs) and premature ventricular contractions (PVCs) commonly occur after coronary artery bypass grafting (CABG) surgery, with frequent ectopics linked to atrial fibrillation risk and reduced heart function. While CABG-induced inflammation causes arrhythmogenic changes, the connection between preoperative inflammatory markers and postoperative ectopic burden has not been studied. Therefore, the aim of the present study is to evaluate the association between preoperative inflammatory biomarkers and postoperative atrial and ventricular ectopic burden, and to determine their influence on clinical outcomes following elective CABG procedures. Materials and methods: This study assessed preoperative plasma levels of highly sensitive C-reactive protein (hs-CRP), von Willebrand factor (vWF), transforming growth factor-β (TGF-β), interleukin (IL)-2, IL-1β, IL-6, IL-8, and vascular endothelial growth factor (VEGF) using the Multiplex technique in patients undergoing elective CABG. A continuous 24-h ECG Holter monitoring was performed one day before CABG, as well as on days 2, 3, and 4 post-CABG. The PACs and PVCs burdens were quantified, and correlations with clinical parameters were analyzed. Results: Preoperative plasma concentrations of vWF, TGF-β, and IL-8 exhibited significant positive correlations with postoperative PACs (p < 0.001, p = 0.03, and p < 0.001, respectively). Preprocedural hs-CRP, TGF-β, IL-6, and IL-8 levels showed significant positive associations with PVCs (p < 0.0001, p < 0.0001, p = 0.02, and p < 0.0001, respectively). However, none of the tested biomarkers could predict other postoperative outcomes, such as acute kidney injury, acute liver failure, duration of inotropic support, and days of hospitalization. Conclusions: Preoperative inflammatory biomarkers may serve as predictive tools for postoperative ectopic activity following CABG. Early identification of high-risk patients could enable prophylactic strategies and improve post-CABG outcomes. Full article
Show Figures

Figure 1

25 pages, 681 KB  
Review
Insights into the Molecular Mechanisms and Signaling Pathways of Epithelial to Mesenchymal Transition (EMT) in the Pathophysiology of Endometriosis
by Hossein Hosseinirad, Jae-Wook Jeong and Breton F. Barrier
Int. J. Mol. Sci. 2025, 26(15), 7460; https://doi.org/10.3390/ijms26157460 - 1 Aug 2025
Cited by 4 | Viewed by 3143
Abstract
Endometriosis is a disease characterized by the presence of endometrial glands and stroma outside of the uterine corpus, often clinically presenting with pain and/or infertility. Ectopic lesions exhibit features characteristic of epithelial-to-mesenchymal transition (EMT), a process in which epithelial cells lose polarity and [...] Read more.
Endometriosis is a disease characterized by the presence of endometrial glands and stroma outside of the uterine corpus, often clinically presenting with pain and/or infertility. Ectopic lesions exhibit features characteristic of epithelial-to-mesenchymal transition (EMT), a process in which epithelial cells lose polarity and acquire mesenchymal traits, including migratory and invasive capabilities. During the process of EMT, epithelial traits are downregulated, while mesenchymal traits are acquired, with cells developing migratory ability, increasing proliferation, and resistance to apoptosis. EMT is promoted by exposure to hypoxia and stimulation by transforming growth factor-β (TGF-β), platelet-derived growth factor (PDGF), and estradiol. Signaling pathways that promote EMT are activated in most ectopic lesions and involve transcription factors such as Snail, Slug, ZEB-1/2, and TWIST-1/2. EMT-specific molecules present in the serum of women with endometriosis appear to have diagnostic potential. Strategies targeting EMT in animal models of endometriosis have demonstrated regression of ectopic lesions, opening the door for novel therapeutic approaches. This review summarizes the current understanding of the role of EMT in endometriosis and highlights potential targets for EMT-related diagnosis and therapeutic interventions. Full article
(This article belongs to the Special Issue Endometriosis: Focusing on Molecular and Cellular Research)
Show Figures

Figure 1

19 pages, 4723 KB  
Article
The Coiled Coil and C2 Domains Modulate BCR Localization and BCR-ABL1 Compartmentalization, Transforming Activity and TKI Responsiveness
by Michele Massimino, Stefania Stella, Chiara Romano, Pietro Buffa, Elena Tirrò, Melissa Drago, Livia Manzella, Cristina Tomarchio, Silvia Rita Vitale, Francesco Di Raimondo and Paolo Vigneri
Int. J. Mol. Sci. 2025, 26(14), 6591; https://doi.org/10.3390/ijms26146591 - 9 Jul 2025
Cited by 2 | Viewed by 1163
Abstract
The BCR-ABL1 chimeric oncoprotein plays a pivotal role in the pathogenesis of Chronic Myeloid Leukemia (CML) as its constitutive kinase activity transforms the hematopoietic stem cell, promoting pro-survival signaling. We and others have previously shown that the manipulation of BCR-ABL1 catalytic activity modulates [...] Read more.
The BCR-ABL1 chimeric oncoprotein plays a pivotal role in the pathogenesis of Chronic Myeloid Leukemia (CML) as its constitutive kinase activity transforms the hematopoietic stem cell, promoting pro-survival signaling. We and others have previously shown that the manipulation of BCR-ABL1 catalytic activity modulates its intracellular localization, thereby transforming the culprit of CML into a pro-apoptotic protein that selectively kills leukemic cells. Here, we investigated the role of the BCR coiled-coil and C2 domains on BCR-ABL1 intracellular localization and leukemogenic potential. We performed a bioinformatic analysis that identified two putative nuclear localization signals (NLSs) in BCR. Using recombinant DNA strategies, we generated multiple BCR and BCR-ABL1 mutants that were ectopically expressed in human cells. The intracellular localization of each construct was analyzed by immunofluorescence, while their biological activity was investigated employing proliferation and transforming assays. We show that BCR displays two nuclear localization signals functionally inactivated by the coiled-coil and C2 domains. The removal of these regions reactivated the nuclear migration of both BCR and BCR-ABL1 mutants. Moreover, BCR-ABL1 constructs devoid of the coiled-coil and C2 domains displayed reduced transforming potential in Ba/F3 cells and in primary human CD34+ progenitors. Finally, we demonstrate that the deletion of the C2 domain compromises TKI efficacy. Our findings identify two nuclear localization signals in the BCR sequence that are functionally suppressed by the coiled-coil and C2 domains. Targeting these regions may provide additional therapeutic strategies to manipulate both BCR-ABL1 intracellular localization and kinase activity. Full article
(This article belongs to the Special Issue Molecular Pathology Research on Blood Tumors)
Show Figures

Figure 1

16 pages, 5161 KB  
Article
Isolation and Activity Evaluation of Callus-Specific Promoters in Rice (Oryza sativa L.)
by Xiaojiao Ma and Chuanyin Wu
Genes 2025, 16(5), 610; https://doi.org/10.3390/genes16050610 - 21 May 2025
Cited by 2 | Viewed by 1471
Abstract
Background/Objectives: In crop genetic engineering, morphogenic genes have attracted increasing attention, given their ability to facilitate the transformation of a broad range of otherwise nontransformable cultivars. However, few callus-specific promoters have been identified to date that can be employed to avoid the adverse [...] Read more.
Background/Objectives: In crop genetic engineering, morphogenic genes have attracted increasing attention, given their ability to facilitate the transformation of a broad range of otherwise nontransformable cultivars. However, few callus-specific promoters have been identified to date that can be employed to avoid the adverse effects resulting from the ectopic expression of morphogenic genes on shoot regeneration and growth. Methods: A set of potential callus-specific genes were initially selected based on publicly available data. These genes were then screened using quantitative real-time polymerase chain reaction (qPCR), followed by promoter activity evaluation using a transgenic approach with the GUS gene serving as a reporter. Results: Of the 24 evaluated promoters, 12 were verified as being callus-specific using qPCR. Five genes (Os11g0295900, Os10g0207500, Os01g0300000, Os02g0252200, and Os04g0488100) were chosen, and their promoters were cloned. Based on GUS staining, the pOsTDL1B (Os10g0207500) promoter showed strong callus-specific expression, pOsEDC (Os01g0300000) was a medium-level callus-specific promoter, and pOsDLN53 (Os02g0252200) was strictly callus-specific, although its activity was low. Quantification of GUS activity indicated that all three pOsTDL1B:GUS transgenic lines exhibited strong callus specificity relative to the various tissues tested. Conclusions: A callus-specific promoter was identified that can be used to drive the expression of morphogenic genes in crop transformation. Full article
(This article belongs to the Topic Genetic Engineering in Agriculture)
Show Figures

Figure 1

17 pages, 3123 KB  
Article
Loss of ING3 in the Prostate Leads to Activation of DNA Damage Repair Markers
by Viktor Lang, Lisa Barones, ShiTing Misaki Hu, Fatemeh Hashemi, Karen Blote, Karl Riabowol and Dieter Fink
Cancers 2025, 17(6), 1037; https://doi.org/10.3390/cancers17061037 - 20 Mar 2025
Viewed by 3241
Abstract
Background/Objectives: The inhibitor of growth family member 3 (ING3) acts as an epigenetic reader through physical interactions with histone-modifying enzymes and subsequent chromatin remodelling processes. It is involved in various cellular functions, such as cell cycle control, cell growth, and apoptosis. Although ING3 [...] Read more.
Background/Objectives: The inhibitor of growth family member 3 (ING3) acts as an epigenetic reader through physical interactions with histone-modifying enzymes and subsequent chromatin remodelling processes. It is involved in various cellular functions, such as cell cycle control, cell growth, and apoptosis. Although ING3 was assigned tumour suppressor candidate status in some types of cancers, including prostate cancer, some studies suggest it acts to promote growth. To address these contradictory reports regarding its role in the initiation and progression of prostate cancer, we specifically addressed the question of whether ablation of ING3 in the mouse prostate is sufficient to initiate malignant transformation of the prostate and support its (candidate) tumour suppressor status. Methods: To generate the prostate-specific Ing3 knockout mouse, paternal inheritance of the PB-Cre4 transgene was used, while for the generation of a global knockout control, a female mouse harbouring the PB-Cre4 transgene was utilized. To determine the recombination efficiency of the Cre-LoxP system in the prostate at the Ing3 locus, a duplex probe-based digital PCR assay capable of counting undisrupted Ing3 copies was designed. The impact of DNA recombination on the protein level was investigated by immunohistochemical staining of prostate tissue samples. Results: In the prostate-specific knockout, digital PCR analysis revealed mosaic gene deletion. We found recombination efficiencies in the anterior, dorsolateral, and ventral prostate lobes ranging from approximately 15 to 30%. ING3 staining in the prostate was faint with no detectable differences in signal intensity between the knockout specimen and wild-type controls. This low ING3 expression in the prostate is consistent with observations of X-gal staining of an Ing3-LacZ reporter allele. Immunohistochemistry showed increased expression of DNA-damage-associated markers γH2AX and 53BP1. However, no gross anatomical abnormalities or prostate intraepithelial neoplasia (PIN) lesions in the prostate of tissue-specific knockout animals compared to wild-type controls were observed. Conclusions: Altogether, our data provide evidence that disruption of ING3 expression in prostate cells does not lead to malignant transformation and challenges the idea that ING3 acts primarily in a tumour-suppressive manner. Furthermore, this work supports the crucial role of ING3 in maintaining genomic stability, and we confirmed the embryonic lethal phenotype of homozygous Ing3 null mice that is rescued by ectopic expression of ING3. Full article
Show Figures

Figure 1

Back to TopTop