Sign in to use this feature.

Years

Between: -

Subjects

remove_circle_outline
remove_circle_outline
remove_circle_outline
remove_circle_outline
remove_circle_outline
remove_circle_outline

Journals

Article Types

Countries / Regions

Search Results (58)

Search Parameters:
Keywords = cancer immunoediting

Order results
Result details
Results per page
Select all
Export citation of selected articles as:
31 pages, 1804 KB  
Review
Immune System–Tumor Crosstalk Under Microgravity: Mechanistic Insights, Challenges, and Translational Perspectives
by Seyedesomaye Jasemi, Elena Rita Simula, Yao Lin, Rosanna Rita Satta, Corrado Rubino, Antonio Cossu, Milena Fais, Marta Noli and Leonardo A. Sechi
Cancers 2025, 17(17), 2737; https://doi.org/10.3390/cancers17172737 - 23 Aug 2025
Cited by 2 | Viewed by 2573
Abstract
Despite notable progress in cancer therapy, immune evasion remains a major obstacle to effective treatment outcomes. In the context of spaceflight, astronauts are exposed to unique environmental stressors—particularly microgravity and radiation—that profoundly affect cellular and immune homeostasis. Emerging evidence suggests that microgravity alters [...] Read more.
Despite notable progress in cancer therapy, immune evasion remains a major obstacle to effective treatment outcomes. In the context of spaceflight, astronauts are exposed to unique environmental stressors—particularly microgravity and radiation—that profoundly affect cellular and immune homeostasis. Emerging evidence suggests that microgravity alters key cellular processes, including proliferation, apoptosis, adhesion, and oncogenic signaling pathways such as NF-κB and ERK1/2. Concurrently, microgravity (µg) disrupts immune regulation, potentially facilitating both tumor progression and treatment resistance. Of particular concern is the upregulation of human endogenous retroviruses (HERVs), especially HERV-K and HERV-W, under µg conditions, which may exacerbate inflammatory responses and immune system dysregulation. While some studies indicate that µg may impair tumor growth, others reveal enhanced immune evasion and reduced antitumor immunity. Importantly, insights from µg research extend beyond space medicine and provide translational opportunities for terrestrial oncology, including the development of physiologically relevant 3D tumor models for drug screening, the identification of mechano-sensitive pathways (FAK/RhoA, YAP/TAZ) as therapeutic targets, and novel immunotherapeutic strategies involving epigenetic modulation and checkpoint inhibition. This review critically examines the dual role of µg in modulating cancer progression and immune function. We synthesize findings on how µg shapes immune responses, alters tumor–immune system interactions, and impacts the efficacy of immunotherapeutic approaches. Finally, we highlight translational opportunities and challenges for optimizing cancer immunotherapy and precision oncology in both spaceflight and Earth-based environments. Full article
(This article belongs to the Special Issue Cancer Therapy-Related Adverse Events (2nd Edition))
Show Figures

Figure 1

21 pages, 940 KB  
Review
Immunotherapy in GI Cancers: Lessons from Key Trials and Future Clinical Applications
by Supriya Peshin, Faizan Bashir, Naga Anvesh Kodali, Adit Dharia, Sajida Zaiter, Sakshi Singal and Nagaishwarya Moka
Antibodies 2025, 14(3), 58; https://doi.org/10.3390/antib14030058 - 11 Jul 2025
Cited by 5 | Viewed by 3626
Abstract
Immunotherapy has emerged as a transformative approach in gastrointestinal (GI) cancers, addressing historically poor survival rates in advanced-stage disease. Immune checkpoint inhibitors (ICIs) targeting the PD-1/PD-L1 axis demonstrate remarkable efficacy in colorectal cancer with deficient mismatch repair (dMMR) or high microsatellite instability (MSI-H), [...] Read more.
Immunotherapy has emerged as a transformative approach in gastrointestinal (GI) cancers, addressing historically poor survival rates in advanced-stage disease. Immune checkpoint inhibitors (ICIs) targeting the PD-1/PD-L1 axis demonstrate remarkable efficacy in colorectal cancer with deficient mismatch repair (dMMR) or high microsatellite instability (MSI-H), exemplified by trials like NICHE-2 achieving exceptional pathological response rates. However, significant limitations persist, including resistance in some dMMR/MSI-H tumors, minimal efficacy in proficient mismatch repair (pMMR) tumors, and low overall response rates across most GI malignancies due to tumor heterogeneity and immune evasion mechanisms. Predictive biomarkers such as tumor mutational burden (TMB) and PD-L1 expression are crucial for optimizing patient selection, while hypermutated pMMR tumors with POLE mutations represent emerging therapeutic opportunities. In pancreatic adenocarcinoma, where survival remains dismal, combination strategies with chemotherapy and novel approaches like cancer vaccines show promise but lack transformative breakthroughs. Esophagogastric cancers benefit from ICIs combined with chemotherapy, particularly in MSI-H and HER2-positive tumors, while hepatocellular carcinoma has achieved significant progress with combinations like atezolizumab–bevacizumab and durvalumab–tremelimumab surpassing traditional therapies. Biliary tract cancers show modest improvements with durvalumab–chemotherapy combinations. Despite these advances, immunotherapy faces substantial challenges including immune-related adverse events, acquired resistance through cancer immunoediting, and the need for biomarker-driven approaches to overcome tumor microenvironment barriers. This review discusses key clinical trials, therapeutic progress, and emerging modalities including CAR T-cell therapies and combination strategies, emphasizing the critical need to address resistance mechanisms and refine precision medicine approaches to fully realize immunotherapy’s potential in GI malignancies. Full article
(This article belongs to the Section Antibody-Based Therapeutics)
Show Figures

Figure 1

11 pages, 658 KB  
Review
Thyroid Cancer—The Tumor Immune Microenvironment (TIME) over Time and Space
by Juan Carlos Jaume
Cancers 2025, 17(5), 794; https://doi.org/10.3390/cancers17050794 - 26 Feb 2025
Cited by 8 | Viewed by 2821
Abstract
In thyroid cancer, the tumor immune microenvironment (TIME) plays a crucial role in cancer development, progression and response to treatment. Like many other cancers, thyroid cancer creates a complex network of interactions with immune cells directly (cell-to-cell) and via humoral mediators (i.e., cytokines). [...] Read more.
In thyroid cancer, the tumor immune microenvironment (TIME) plays a crucial role in cancer development, progression and response to treatment. Like many other cancers, thyroid cancer creates a complex network of interactions with immune cells directly (cell-to-cell) and via humoral mediators (i.e., cytokines). This dynamic microenvironment undergoes constant modification, which can lead to changes in the immunophenotype that might explain cancer progression, dedifferentiation and resistance to treatment. According to the cancer immunoediting hypothesis, cancerous tumors can shape their immune microenvironment to create an immunosuppressive milieu that allows them to evade classic immune surveillance. One mechanism by which this occurs is through the reprogramming of immune cells, often shifting their phenotypes from cytotoxic to regulatory. Recent research has shed light on cellular components and molecular interactions within the thyroid cancer TIME. Immune cells such as Tumor-Associated Lymphocytes (TALs), myeloid-derived suppressor cells (MDSCs), Tumor-Associated Macrophages (TAMs) and Double-Negative (DN) T cells seem to play key roles in shaping the immune response to thyroid cancer. Additionally, cytokines, chemokines and other signaling molecules contribute to the communication and regulation of immune cells within that microenvironment. By studying these interactions, researchers aim to uncover not just potential therapeutic targets but also biomarkers of thyroid cancer that could provide clues on severity and progression. Based on that knowledge, strategies such as the use of immune checkpoint inhibitors, antigen-specific targeted immunotherapies, and immunomodulatory agents are being explored to enhance the anti-tumor immune response and overcome cancer immunosuppressive mechanisms. In this review, we analyze the available literature and provide our own experience to unravel the complexity of the thyroid immune microenvironment. Continued research in this area holds promise for improving outcomes through the identification of immune markers of severity/progression of thyroid cancer and the development of innovative immunotherapeutic approaches. Full article
(This article belongs to the Special Issue Feature Papers in Section "Tumor Microenvironment")
Show Figures

Figure 1

23 pages, 1061 KB  
Review
Coley’s Toxin to First Approved Therapeutic Vaccine—A Brief Historical Account in the Progression of Immunobiology-Based Cancer Treatment
by K. Devaraja, Manisha Singh, Krishna Sharan and Sadhna Aggarwal
Biomedicines 2024, 12(12), 2746; https://doi.org/10.3390/biomedicines12122746 - 30 Nov 2024
Cited by 7 | Viewed by 5076
Abstract
Cancer immunobiology is one of the hot topics of discussion amongst researchers today, and immunotherapeutic modalities are among the selected few emerging approaches to cancer treatment that have exhibited a promising outlook. However, immunotherapy is not a new kid on the block; it [...] Read more.
Cancer immunobiology is one of the hot topics of discussion amongst researchers today, and immunotherapeutic modalities are among the selected few emerging approaches to cancer treatment that have exhibited a promising outlook. However, immunotherapy is not a new kid on the block; it has been around for centuries. The origin of cancer immunotherapy in modern medicine can be traced back to the initial reports of spontaneous regression of malignant tumors in some patients following an acute febrile infection, at the turn of the twentieth century. This review briefly revisits the historical accounts of immunotherapy, highlighting some of the significant developments in the field of cancer immunobiology, that have been instrumental in bringing back the immunotherapeutic approaches to the forefront of cancer research. Some of the topics covered are: Coley’s toxin—the first immunotherapeutic; the genesis of the theory of immune surveillance; the discovery of T lymphocytes and dendritic cells and their roles; the role of tumor antigens; relevance of tumor microenvironment; the anti-tumor (therapeutic) ability of Bacillus Calmette– Guérin; Melacine—the first therapeutic vaccine engineered; theories of immunoediting and immunophenotyping of cancer; and Provenge—the first FDA-approved therapeutic vaccine. In this review, head and neck cancer has been taken as the reference tumor for narrating the progression of cancer immunobiology, particularly for highlighting the advent of immunotherapeutic agents. Full article
Show Figures

Figure 1

23 pages, 2907 KB  
Review
Guardians and Mediators of Metastasis: Exploring T Lymphocytes, Myeloid-Derived Suppressor Cells, and Tumor-Associated Macrophages in the Breast Cancer Microenvironment
by Maria Rosaria Ruocco, Armando Gisonna, Vittoria Acampora, Anna D’Agostino, Barbara Carrese, Jessie Santoro, Alessandro Venuta, Rosarita Nasso, Nicola Rocco, Daniela Russo, Annachiara Cavaliere, Giovanna Giuseppina Altobelli, Stefania Masone, Angelica Avagliano, Alessandro Arcucci and Giuseppe Fiume
Int. J. Mol. Sci. 2024, 25(11), 6224; https://doi.org/10.3390/ijms25116224 - 5 Jun 2024
Cited by 7 | Viewed by 3215
Abstract
Breast cancers (BCs) are solid tumors composed of heterogeneous tissues consisting of cancer cells and an ever-changing tumor microenvironment (TME). The TME includes, among other non-cancer cell types, immune cells influencing the immune context of cancer tissues. In particular, the cross talk of [...] Read more.
Breast cancers (BCs) are solid tumors composed of heterogeneous tissues consisting of cancer cells and an ever-changing tumor microenvironment (TME). The TME includes, among other non-cancer cell types, immune cells influencing the immune context of cancer tissues. In particular, the cross talk of immune cells and their interactions with cancer cells dramatically influence BC dissemination, immunoediting, and the outcomes of cancer therapies. Tumor-infiltrating lymphocytes (TILs), tumor-associated macrophages (TAMs), and myeloid-derived suppressor cells (MDSCs) represent prominent immune cell populations of breast TMEs, and they have important roles in cancer immunoescape and dissemination. Therefore, in this article we review the features of TILs, TAMs, and MDSCs in BCs. Moreover, we highlight the mechanisms by which these immune cells remodel the immune TME and lead to breast cancer metastasis. Full article
(This article belongs to the Special Issue Pathogenesis and Novel Therapeutics in Breast Cancer)
Show Figures

Figure 1

12 pages, 2646 KB  
Article
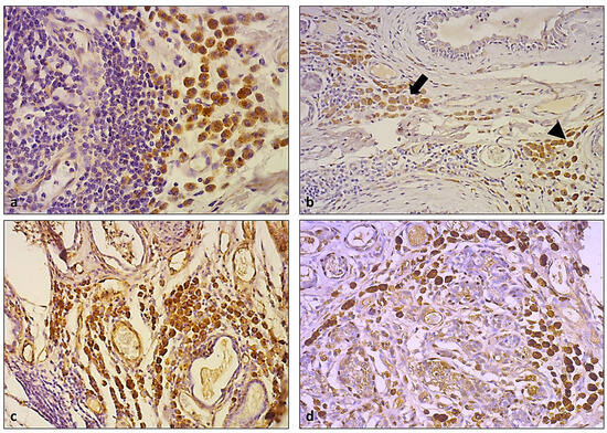
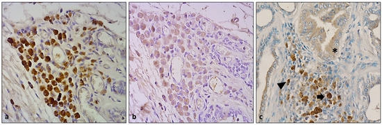
Difference between Keratinized- and Non-Keratinized-Originating Epithelium in the Process of Immune Escape of Oral Squamous Cell Carcinoma
by Yoshiaki Kitsukawa, Chonji Fukumoto, Toshiki Hyodo, Yuske Komiyama, Ryo Shiraishi, Aya Koike, Shuma Yagisawa, Yosuke Kunitomi, Tomonori Hasegawa, Wataru Kotani, Kazuyuki Ishida, Takahiro Wakui and Hitoshi Kawamata
Int. J. Mol. Sci. 2024, 25(7), 3821; https://doi.org/10.3390/ijms25073821 - 29 Mar 2024
Cited by 4 | Viewed by 3487
Abstract
Immune checkpoint inhibitors (ICIs), including anti-programmed cell death 1 ligand 1 (PD-L1) antibodies, are significantly changing treatment strategies for human malignant diseases, including oral cancer. Cancer cells usually escape from the immune system and acquire proliferative capacity and invasive/metastatic potential. We have focused [...] Read more.
Immune checkpoint inhibitors (ICIs), including anti-programmed cell death 1 ligand 1 (PD-L1) antibodies, are significantly changing treatment strategies for human malignant diseases, including oral cancer. Cancer cells usually escape from the immune system and acquire proliferative capacity and invasive/metastatic potential. We have focused on the two immune checkpoints, PD-1/PD-L1 and CD47/SIRPα, in the tumor microenvironment of oral squamous cell carcinoma (OSCC), performed a retrospective analysis of the expression of seven immune-related factors (PD-L1, PD-1, CD4, CD8, CD47, CD56 and CD11c), and examined their correlation with clinicopathological status. As a result, there were no significant findings relating to seven immune-related factors and several clinicopathological statuses. However, the immune checkpoint-related factors (PD-1, PD-L1, CD47) were highly expressed in non-keratinized epithelium-originated tumors when compared to those in keratinized epithelium-originated tumors. It is of interest that immunoediting via immune checkpoint-related factors was facilitated in non-keratinized sites. Several researchers reported that the keratinization of oral mucosal epithelia affected the immune response, but our present finding is the first study to show a difference in tumor immunity in the originating epithelium of OSCC, keratinized or non-keratinized. Tumor immunity, an immune escape status of OSCC, might be different in the originating epithelium, keratinized or non-keratinized. Full article
(This article belongs to the Special Issue Oral Cancers: Molecular Basis and Treatment Targets)
Show Figures

Figure 1

30 pages, 1765 KB  
Review
Immune Escape Strategies in Head and Neck Cancer: Evade, Resist, Inhibit, Recruit
by Kourtney L. Kostecki, Mari Iida, Bridget E. Crossman, Ravi Salgia, Paul M. Harari, Justine Y. Bruce and Deric L. Wheeler
Cancers 2024, 16(2), 312; https://doi.org/10.3390/cancers16020312 - 11 Jan 2024
Cited by 18 | Viewed by 7298
Abstract
Head and neck cancers (HNCs) arise from the mucosal lining of the aerodigestive tract and are often associated with alcohol use, tobacco use, and/or human papillomavirus (HPV) infection. Over 600,000 new cases of HNC are diagnosed each year, making it the sixth most [...] Read more.
Head and neck cancers (HNCs) arise from the mucosal lining of the aerodigestive tract and are often associated with alcohol use, tobacco use, and/or human papillomavirus (HPV) infection. Over 600,000 new cases of HNC are diagnosed each year, making it the sixth most common cancer worldwide. Historically, treatments have included surgery, radiation, and chemotherapy, and while these treatments are still the backbone of current therapy, several immunotherapies have recently been approved by the Food and Drug Administration (FDA) for use in HNC. The role of the immune system in tumorigenesis and cancer progression has been explored since the early 20th century, eventually coalescing into the current three-phase model of cancer immunoediting. During each of the three phases—elimination, equilibrium, and escape—cancer cells develop and utilize multiple strategies to either reach or remain in the final phase, escape, at which point the tumor is able to grow and metastasize with little to no detrimental interference from the immune system. In this review, we summarize the many strategies used by HNC to escape the immune system, which include ways to evade immune detection, resist immune cell attacks, inhibit immune cell functions, and recruit pro-tumor immune cells. Full article
(This article belongs to the Special Issue Head and Neck Cancers—Novel Approaches and Future Outlook)
Show Figures

Figure 1

14 pages, 24306 KB  
Article
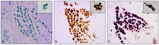
Hemosiderin-Laden Macrophages in Canine Mammary Carcinomas
by Giada Giambrone, Cecilia Vullo, Roberto Puleio, Claudia Rifici, Stefania Di Giorgio and Alessandra Sfacteria
Animals 2023, 13(23), 3634; https://doi.org/10.3390/ani13233634 - 24 Nov 2023
Cited by 1 | Viewed by 3948
Abstract
Macrophages are among the main actors in cancer immunoediting, with several functions, including recycling iron and packaging it in hemosiderin. Even though TAMs are widely studied in breast cancer and canine mammary tumors, hemosiderin-laden macrophages (HLMs) have not received as much attention. Considering [...] Read more.
Macrophages are among the main actors in cancer immunoediting, with several functions, including recycling iron and packaging it in hemosiderin. Even though TAMs are widely studied in breast cancer and canine mammary tumors, hemosiderin-laden macrophages (HLMs) have not received as much attention. Considering the growing interest in iron metabolism in cancer, this study aims to evaluate the presence of HLMs in canine mammary tumors. Fifty cases of canine mammary carcinomas presenting aggregates of pigmented macrophages were chosen. Prussian blue and Meguro staining were performed to assess the presence of iron. Immunohistochemistry was carried out to try to identify macrophagic phenotypes and hypothesize their role. Evaluation of the H&E sections showed that pigmented macrophages were variously localized in peritumoral and stromal areas. These pigmented cells were variably stained with Prussian blue and reacted strongly with DAB in the Meguro staining method, thus confirming the presence of iron within them. In their immunohistochemistry, the HLMs were negative for the MAC387 but positive for CD 204 and VEGF. Considering their positivity for CD 204, HLMs could be M2 macrophages that supply iron to both the neoplastic cells and the tumor inflammatory microenvironment, promoting angiogenesis and protecting cancer cells from hypoxia. Full article
(This article belongs to the Section Veterinary Clinical Studies)
Show Figures

Figure 1

30 pages, 69613 KB  
Article
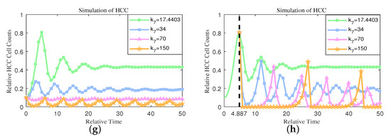
Mathematical Modeling Reveals Mechanisms of Cancer-Immune Interactions Underlying Hepatocellular Carcinoma Development
by Juan Shen, Xiao Tu and Yuanyuan Li
Mathematics 2023, 11(20), 4261; https://doi.org/10.3390/math11204261 - 12 Oct 2023
Cited by 2 | Viewed by 2034
Abstract
Understanding the relationship between hepatocellular carcinoma (HCC) and immunity is crucial for HCC immunotherapy. However, the existing research has solely focused on a novel population of primary tumor-induced non-leukocytes called Ter-cells and their circulating components in distant organs, neglecting the examination of immunity’s [...] Read more.
Understanding the relationship between hepatocellular carcinoma (HCC) and immunity is crucial for HCC immunotherapy. However, the existing research has solely focused on a novel population of primary tumor-induced non-leukocytes called Ter-cells and their circulating components in distant organs, neglecting the examination of immunity’s impact on cancer. In order to thoroughly examine the dynamics of Ter cells, HCC, and the known regulatory elements in the immunological milieu, we used a mathematical model in the form of a system of differential equations in this work. According to simulation studies, tumor cells cannot be completely eliminated by either the effective killing of HCC by cytotoxic T lymphocytes (CTL) or the inhibition of tumor cell proliferation. Nonetheless, continuous CTL activation and TGF-β-induced differentiation of CTL facilitated a transition from a high steady-state of HCC quantity to an unstable state, followed by a low state of HCC quantity, aligning with the three phases of the cancer immunoediting concept (escape, equilibrium, and elimination). Our survival study revealed that the ratio of CTL proliferation to CTL killing and relative TGF-β-induced differentiation of CTL have a significant impact on cancer-free survival. Sensitivity and bifurcation analysis of these parameters demonstrated that the rate of CTL proliferation, as well as the number of HCCs when the production rate reaches half of one, strongly affects the number of HCCs. Our findings highlight the critical role of immune system activation in cancer therapy and its potential impact on HCC treatment. Full article
(This article belongs to the Section E3: Mathematical Biology)
Show Figures

Figure 1

15 pages, 1795 KB  
Review
The Immune Cells in the Development of Oral Squamous Cell Carcinoma
by Vito Carlo Alberto Caponio, Khrystyna Zhurakivska, Lorenzo Lo Muzio, Giuseppe Troiano and Nicola Cirillo
Cancers 2023, 15(15), 3779; https://doi.org/10.3390/cancers15153779 - 26 Jul 2023
Cited by 22 | Viewed by 5610
Abstract
A still unresolved issue surrounding tumor formation concerns the role that the immune system plays in preventing the formation and progression of neoplasia, including oral squamous cell carcinoma (OSCC). Antitumor immunity has historically been seen as a critical barrier for cancer cells to [...] Read more.
A still unresolved issue surrounding tumor formation concerns the role that the immune system plays in preventing the formation and progression of neoplasia, including oral squamous cell carcinoma (OSCC). Antitumor immunity has historically been seen as a critical barrier for cancer cells to develop, grow and spread, and this can be modulated using immunotherapies to achieve antitumor clinical responses. However, it has recently become clear that tumor-associated immunity, particularly the inflammatory microenvironment, has the paradoxical effect of enhancing tumorigenesis and progression. In this review, we discuss the multifaceted function of infiltrating immune cells in suppressing or promoting premalignancy and cancer. In particular, we report on the evidence supporting a role for T lymphocytes, dendritic cells, macrophages, and neutrophils in the development and progression of oral potentially malignant disorders (OPMD) and OSCC. We also draw attention to the clinical relevance of immune cell phenotypes and associated molecules for use as biomarkers and to the translatability of current research findings to improve classification systems and precision medicine in patients with OSCC. Full article
(This article belongs to the Special Issue The Role of Immune Cells in the Tumor Microenvironment)
Show Figures

Figure 1

43 pages, 1604 KB  
Review
Deciphering Common Traits of Breast and Ovarian Cancer Stem Cells and Possible Therapeutic Approaches
by Ivan Lučić, Matea Kurtović, Monika Mlinarić, Nikolina Piteša, Ana Čipak Gašparović, Maja Sabol and Lidija Milković
Int. J. Mol. Sci. 2023, 24(13), 10683; https://doi.org/10.3390/ijms241310683 - 26 Jun 2023
Cited by 4 | Viewed by 3547
Abstract
Breast cancer (BC) and ovarian cancer (OC) are among the most common and deadly cancers affecting women worldwide. Both are complex diseases with marked heterogeneity. Despite the induction of screening programs that increase the frequency of earlier diagnosis of BC, at a stage [...] Read more.
Breast cancer (BC) and ovarian cancer (OC) are among the most common and deadly cancers affecting women worldwide. Both are complex diseases with marked heterogeneity. Despite the induction of screening programs that increase the frequency of earlier diagnosis of BC, at a stage when the cancer is more likely to respond to therapy, which does not exist for OC, more than 50% of both cancers are diagnosed at an advanced stage. Initial therapy can put the cancer into remission. However, recurrences occur frequently in both BC and OC, which are highly cancer-subtype dependent. Therapy resistance is mainly attributed to a rare subpopulation of cells, named cancer stem cells (CSC) or tumor-initiating cells, as they are capable of self-renewal, tumor initiation, and regrowth of tumor bulk. In this review, we will discuss the distinctive markers and signaling pathways that characterize CSC, their interactions with the tumor microenvironment, and the strategies they employ to evade immune surveillance. Our focus will be on identifying the common features of breast cancer stem cells (BCSC) and ovarian cancer stem cells (OCSC) and suggesting potential therapeutic approaches. Full article
(This article belongs to the Special Issue New Biomarkers and Therapy for Cancer Stem Cells)
Show Figures

Figure 1

16 pages, 2109 KB  
Review
Inflammation, Infiltration, and Evasion—Tumor Promotion in the Aging Breast
by Nicole Cruz-Reyes and Derek C. Radisky
Cancers 2023, 15(6), 1836; https://doi.org/10.3390/cancers15061836 - 18 Mar 2023
Cited by 12 | Viewed by 4658
Abstract
Breast cancer is a significant cause of morbidity and mortality in women, with over two million new cases reported worldwide each year, the majority of which occur in post-menopausal women. Despite advances in early detection and treatment, approximately one-third of patients diagnosed with [...] Read more.
Breast cancer is a significant cause of morbidity and mortality in women, with over two million new cases reported worldwide each year, the majority of which occur in post-menopausal women. Despite advances in early detection and treatment, approximately one-third of patients diagnosed with breast cancer will develop metastatic disease. The pathogenesis and progression of breast cancer are influenced by a variety of biological and social risk factors, including age, ethnicity, pregnancy status, diet, and genomic alterations. Recent advancements in breast cancer research have focused on harnessing the power of the patient’s adaptive and innate immune systems for diagnostic and therapeutic purposes. The breast immune microenvironment plays a critical role in regulating tissue homeostasis and resistance to tumorigenesis. In this review, we explore the dynamic changes in the breast immune microenvironment that occur with age, how these changes impact breast cancer development and progression, and how targeted therapeutic interventions that leverage the immune system can be used to improve patient outcomes. Our review emphasizes the importance of understanding the complex interplay between aging, the immune system, and breast cancer, and highlights the potential of immune-based therapies in the fight against this devastating disease. Full article
(This article belongs to the Collection Oncology: State-of-the-Art Research in the USA)
Show Figures

Figure 1

18 pages, 596 KB  
Review
CAR T Cell Therapy in Glioblastoma: Overcoming Challenges Related to Antigen Expression
by Andrew S. Luksik, Eli Yazigi, Pavan Shah and Christopher M. Jackson
Cancers 2023, 15(5), 1414; https://doi.org/10.3390/cancers15051414 - 23 Feb 2023
Cited by 72 | Viewed by 12395
Abstract
Glioblastoma (GBM) is the most common primary brain tumor, yet prognosis remains dismal with current treatment. Immunotherapeutic strategies have had limited effectiveness to date in GBM, but recent advances hold promise. One such immunotherapeutic advance is chimeric antigen receptor (CAR) T cell therapy, [...] Read more.
Glioblastoma (GBM) is the most common primary brain tumor, yet prognosis remains dismal with current treatment. Immunotherapeutic strategies have had limited effectiveness to date in GBM, but recent advances hold promise. One such immunotherapeutic advance is chimeric antigen receptor (CAR) T cell therapy, where autologous T cells are extracted and engineered to express a specific receptor against a GBM antigen and are then infused back into the patient. There have been numerous preclinical studies showing promising results, and several of these CAR T cell therapies are being tested in clinical trials for GBM and other brain cancers. While results in tumors such as lymphomas and diffuse intrinsic pontine gliomas have been encouraging, early results in GBM have not shown clinical benefit. Potential reasons for this are the limited number of specific antigens in GBM, their heterogenous expression, and their loss after initiating antigen-specific therapy due to immunoediting. Here, we review the current preclinical and clinical experiences with CAR T cell therapy in GBM and potential strategies to develop more effective CAR T cells for this indication. Full article
(This article belongs to the Collection Treatment of Glioma)
Show Figures

Figure 1

14 pages, 349 KB  
Review
Wnt/β-Catenin Signaling and Resistance to Immune Checkpoint Inhibitors: From Non-Small-Cell Lung Cancer to Other Cancers
by Satoshi Muto, Akio Enta, Yoshiyuki Maruya, Sho Inomata, Hikaru Yamaguchi, Hayato Mine, Hironori Takagi, Yuki Ozaki, Masayuki Watanabe, Takuya Inoue, Takumi Yamaura, Mitsuro Fukuhara, Naoyuki Okabe, Yuki Matsumura, Takeo Hasegawa, Jun Osugi, Mika Hoshino, Mitsunori Higuchi, Yutaka Shio, Kazuyuki Hamada and Hiroyuki Suzukiadd Show full author list remove Hide full author list
Biomedicines 2023, 11(1), 190; https://doi.org/10.3390/biomedicines11010190 - 12 Jan 2023
Cited by 42 | Viewed by 8102
Abstract
Lung cancer is the leading cause of cancer-related deaths worldwide. The standard of care for advanced non-small-cell lung cancer (NSCLC) without driver-gene mutations is a combination of an anti-PD-1/PD-L1 antibody and chemotherapy, or an anti-PD-1/PD-L1 antibody and an anti-CTLA-4 antibody with or without [...] Read more.
Lung cancer is the leading cause of cancer-related deaths worldwide. The standard of care for advanced non-small-cell lung cancer (NSCLC) without driver-gene mutations is a combination of an anti-PD-1/PD-L1 antibody and chemotherapy, or an anti-PD-1/PD-L1 antibody and an anti-CTLA-4 antibody with or without chemotherapy. Although there were fewer cases of disease progression in the early stages of combination treatment than with anti-PD-1/PD-L1 antibodies alone, only approximately half of the patients had a long-term response. Therefore, it is necessary to elucidate the mechanisms of resistance to immune checkpoint inhibitors. Recent reports of such mechanisms include reduced cancer-cell immunogenicity, loss of major histocompatibility complex, dysfunctional tumor-intrinsic interferon-γ signaling, and oncogenic signaling leading to immunoediting. Among these, the Wnt/β-catenin pathway is a notable potential mechanism of immune escape and resistance to immune checkpoint inhibitors. In this review, we will summarize findings on these resistance mechanisms in NSCLC and other cancers, focusing on Wnt/β-catenin signaling. First, we will review the molecular biology of Wnt/β-catenin signaling, then discuss how it can induce immunoediting and resistance to immune checkpoint inhibitors. We will also describe other various mechanisms of immune-checkpoint-inhibitor resistance. Finally, we will propose therapeutic approaches to overcome these mechanisms. Full article
Show Figures

Graphical abstract

20 pages, 1832 KB  
Review
Response to Immune Checkpoint Inhibitors Is Affected by Deregulations in the Antigen Presentation Machinery: A Systematic Review and Meta-Analysis
by Maria Rasmussen, Jon Ambæk Durhuus, Mef Nilbert, Ove Andersen and Christina Therkildsen
J. Clin. Med. 2023, 12(1), 329; https://doi.org/10.3390/jcm12010329 - 31 Dec 2022
Cited by 8 | Viewed by 4743
Abstract
Immune checkpoint inhibitors (ICI) targeting programmed death 1 (PD-1), its ligand (PD-L1), or cytotoxic T-lymphocyte antigen 4 (CTLA-4) have shown promising results against multiple cancers, where they reactivate exhausted T cells primed to eliminate tumor cells. ICI therapies have been particularly successful in [...] Read more.
Immune checkpoint inhibitors (ICI) targeting programmed death 1 (PD-1), its ligand (PD-L1), or cytotoxic T-lymphocyte antigen 4 (CTLA-4) have shown promising results against multiple cancers, where they reactivate exhausted T cells primed to eliminate tumor cells. ICI therapies have been particularly successful in hypermutated cancers infiltrated with lymphocytes. However, resistance may appear in tumors evading the immune system through alternative mechanisms than the PD-1/PD-L1 or CTLA-4 pathways. A systematic pan-cancer literature search was conducted to examine the association between alternative immune evasion mechanisms via the antigen presentation machinery (APM) and resistance towards ICI treatments targeting PD-1 (pembrolizumab and nivolumab), PD-L1 (durvalumab, avelumab, and atezolizumab), and CTLA-4 (ipilimumab). The APM proteins included the human leucocyte antigen (HLA) class I, its subunit beta-2 microglobulin (B2M), the transporter associated with antigen processing (TAP) 1, TAP2, and the NOD-like receptor family CARD domain containing 5 (NLRC5). In total, 18 cohort studies (including 21 original study cohorts) containing 966 eligible patients and 9 case studies including 12 patients were reviewed. Defects in the APM significantly predicted poor clinical benefit with an odds ratio (OR) of 0.39 (95% CI 0.24–0.63, p < 0.001). The effect was non-significant, when considering complete and partial responses only (OR = 0.52, 95% CI 0.18–1.47, p = 0.216). In summary, the APM contains important targets for tumorigenic alterations which may explain insensitivity towards ICI therapy. Full article
Show Figures

Graphical abstract

Back to TopTop