Sign in to use this feature.

Years

Between: -

Subjects

remove_circle_outline
remove_circle_outline
remove_circle_outline
remove_circle_outline
remove_circle_outline
remove_circle_outline
remove_circle_outline

Journals

remove_circle_outline
remove_circle_outline
remove_circle_outline
remove_circle_outline
remove_circle_outline

Article Types

Countries / Regions

remove_circle_outline
remove_circle_outline
remove_circle_outline
remove_circle_outline

Search Results (450)

Search Parameters:
Keywords = bovine stress

Order results
Result details
Results per page
Select all
Export citation of selected articles as:
22 pages, 4317 KB  
Article
Non-Contact Temperature Monitoring in Dairy Cattle via Thermal Infrared Imaging and Environmental Parameters
by Kaixuan Zhao, Shaojuan Ge, Yinan Chen, Qianwen Li, Mengyun Guo, Yue Nian and Wenkai Ren
Agriculture 2026, 16(3), 306; https://doi.org/10.3390/agriculture16030306 - 26 Jan 2026
Abstract
Core body temperature is a critical physiological indicator for assessing and diagnosing animal health status. In bovines, continuously monitoring this metric enables accurate evaluation of their physiological condition; however, traditional rectal measurements are labor-intensive and cause stress in animals. To achieve intelligent, contactless [...] Read more.
Core body temperature is a critical physiological indicator for assessing and diagnosing animal health status. In bovines, continuously monitoring this metric enables accurate evaluation of their physiological condition; however, traditional rectal measurements are labor-intensive and cause stress in animals. To achieve intelligent, contactless temperature monitoring in cattle, we proposed a non-invasive method based on thermal imaging combined with environmental data fusion. First, thermal infrared images of the cows’ faces were collected, and the You Only Look Once (YOLO) object detection model was used to locate the head region. Then, the YOLO segmentation network was enhanced with the Online Convolutional Re-parameterization (OREPA) and High-level Screening-feature Fusion Pyramid Network (HS-FPN) modules to perform instance segmentation of the eye socket area. Finally, environmental variables—ambient temperature, humidity, wind speed, and light intensity—were integrated to compensate for eye socket temperature, and a random forest algorithm was used to construct a predictive model of rectal temperature. The experiments were conducted using a thermal infrared image dataset comprising 33,450 frontal-view images of dairy cows with a resolution of 384 × 288 pixels, along with 1471 paired samples combining thermal and environmental data for model development. The proposed method achieved a segmentation accuracy (mean average precision, mAP50–95) of 86.59% for the eye socket region, ensuring reliable temperature extraction. The rectal temperature prediction model demonstrated a strong correlation with the reference rectal temperature (R2 = 0.852), confirming its robustness and predictive reliability for practical applications. These results demonstrate that the proposed method is practical for non-contact temperature monitoring of cattle in large-scale farms, particularly those operating under confined or semi-confined housing conditions. Full article
(This article belongs to the Section Farm Animal Production)
Show Figures

Figure 1

17 pages, 1991 KB  
Article
Role of Glutathione in Alleviating Chilling Injury in Bovine Blastocysts: Mitochondrial Restoration and Apoptosis Inhibition
by Jingyu Ren, Fuhan Liu, Gang Liu, Biao Wang, Jie Zhu, Yongbin Liu and Yanfeng Dai
Antioxidants 2026, 15(1), 148; https://doi.org/10.3390/antiox15010148 - 22 Jan 2026
Viewed by 59
Abstract
Short-term hypothermic storage at 4 °C represents a promising non-freezing alternative for transporting bovine embryos and synchronizing assisted reproductive procedures. However, chilling induces oxidative stress, mitochondrial dysfunction, and apoptosis, which markedly impair post-preservation embryonic viability. Glutathione (GSH), a key intracellular antioxidant, may mitigate [...] Read more.
Short-term hypothermic storage at 4 °C represents a promising non-freezing alternative for transporting bovine embryos and synchronizing assisted reproductive procedures. However, chilling induces oxidative stress, mitochondrial dysfunction, and apoptosis, which markedly impair post-preservation embryonic viability. Glutathione (GSH), a key intracellular antioxidant, may mitigate these damaging effects, yet its protective mechanisms during bovine blastocyst hypothermic preservation remain unclear. Here, we investigated the impact of exogenous GSH supplementation on the survival, hatching ability, cellular integrity, mitochondrial function, and developmental potential of bovine blastocysts preserved at 4 °C for seven days. Optimization experiments revealed that 4 mM GSH provided the highest post-chilling survival and hatching rates. Using DCFH-DA, TUNEL, and γ-H2AX staining, we demonstrated that 4 °C preservation significantly increased intracellular reactive oxygen species (ROS), DNA fragmentation, and apoptosis. GSH supplementation markedly alleviated oxidative injury, reduced apoptotic cell ratio, and decreased DNA double-strand breaks. MitoTracker and JC-1 staining indicated severe chilling-induced mitochondrial suppression, including decreased mitochondrial activity and membrane potential (ΔΨm), which were largely restored by GSH. Gene expression analyses further revealed that chilling downregulated antioxidant genes (SOD2, GPX1, TFAM, NRF2), pluripotency markers (POU5F1, NANOG), and IFNT, while upregulating apoptotic genes (BAX, CASP3). GSH effectively reversed these alterations and normalized the BAX/BCL2 ratio. Moreover, SOX2/CDX2 immunostaining, total cell number, and ICM/TE ratio confirmed improved embryonic structural integrity and developmental competence. Collectively, our findings demonstrate that exogenous GSH protects bovine blastocysts from chilling injury by suppressing ROS accumulation, stabilizing mitochondrial function, reducing apoptosis, and restoring developmental potential. This study provides a mechanistic foundation for improving 4 °C embryo storage strategies in bovine reproductive biotechnology. Full article
Show Figures

Figure 1

12 pages, 1335 KB  
Systematic Review
Systematic Review and Meta-Analysis of Milk Fat Globule Membrane Supplementation for Mental Well-Being
by Charlotte Mawson, Andrew M. Carroll, Stefanie Evas, Sarah J. Spies and Maher Fuad
Nutrients 2026, 18(2), 342; https://doi.org/10.3390/nu18020342 - 21 Jan 2026
Viewed by 110
Abstract
Background/Objectives: The milk fat globule membrane (MFGM) is a complex structure of polar lipids, gangliosides, and glycoproteins that has demonstrated anti-inflammatory, neuroprotective, and gut-modulatory effects in preclinical and human studies, but its effects on adult psychological outcomes have not been systematically synthesised. [...] Read more.
Background/Objectives: The milk fat globule membrane (MFGM) is a complex structure of polar lipids, gangliosides, and glycoproteins that has demonstrated anti-inflammatory, neuroprotective, and gut-modulatory effects in preclinical and human studies, but its effects on adult psychological outcomes have not been systematically synthesised. Methods: We conducted a systematic literature search across multiple databases using combined relevant keywords and Medical Subject Headings terms, with manual reference checks to ensure comprehensiveness. Of the 35 articles initially identified, 3 randomised controlled trials met the inclusion criteria: adult participants (≥20 years); bovine MFGM supplementation; a placebo or control group; and outcomes measuring stress, anxiety, or depression. A random-effects meta-analysis was performed, calculating standardised mean differences for stress, anxiety, and depression outcomes. Results: MFGM supplementation produced small but statistically significant reductions in stress and anxiety. Effects on depression were non-significant, though directionally favourable. Risk-of-bias assessments were conducted using Cochrane criteria and indicated low concerns across trials. Publication bias was not indicated, but interpretation was limited by the small number of studies. Conclusions: Whilst the evidence for depression is inconclusive, bovine MFGM supplementation may confer modest benefits for stress and anxiety in adults and could be part of a nutritional strategy to support overall mental well-being. Full article
Show Figures

Figure 1

19 pages, 4513 KB  
Article
Ginseng Polysaccharides Protect Against Endoplasmic Reticulum Stress-Induced Damage via PI3K/Akt Signalling Pathway in Bovine Ovarian Granulosa Cells
by Hongjie Wang, Yi Fang, Lei Huang, Xu Yang, Xin Ma, Yang Lyu, Guo Jing, He Ding, Hongyu Liu and Wenfa Lyu
Cells 2026, 15(2), 172; https://doi.org/10.3390/cells15020172 - 17 Jan 2026
Viewed by 259
Abstract
Necroptosis and dysfunction of ovarian granulosa cells are major contributors to follicular atresia and reduced fertility in cattle, processes that are closely associated with endoplasmic reticulum stress (ERS). Ginseng polysaccharides (GPSs) are known to reduce ER stress, display anti-inflammatory properties, and modulate reproductive [...] Read more.
Necroptosis and dysfunction of ovarian granulosa cells are major contributors to follicular atresia and reduced fertility in cattle, processes that are closely associated with endoplasmic reticulum stress (ERS). Ginseng polysaccharides (GPSs) are known to reduce ER stress, display anti-inflammatory properties, and modulate reproductive function; however, whether GPS can protect against granulosa cell injury and the underlying mechanisms remain unclear. To address this gap, this study aimed to investigate the protective effects of GPS on ERS-induced bovine granulosa cell damage and to elucidate the associated mechanisms. An ERS model was established in bovine granulosa cells using tunicamycin (Tm), and cellular responses were evaluated via flow cytometry, ELISA, and EdU assays. Further, a mouse model was used to validate the protective effects of GPS against Tm-induced ovarian injury. The results showed that 40 μg/mL of GPS significantly alleviated ERS-induced granulosa cell damage, inhibited necroptosis, and mitigated ERS. Moreover, using the PI3K/Akt pathway inhibitor LY294002, we demonstrated that the inhibitor antagonized the effects of GPS, indicating that GPS promotes granulosa cell proliferation and restores estrogen secretion via activating the PI3K/Akt pathway. In vivo experiments further confirmed that GPS effectively attenuates ERS-induced ovarian damage in mice. Collectively, these findings reveal that GPS improves granulosa cell function and ovarian tissue integrity by modulating the ERS network and the PI3K/Akt pathway, yielding a theoretical basis for preventing follicular atresia and enhancing reproductive efficiency in cattle. Full article
Show Figures

Figure 1

19 pages, 2055 KB  
Article
Punica granatum L. Modulates Antioxidant Activity in Vitrified Bovine Ovarian Tissue
by Solano Dantas Martins, Maria Alice Felipe Oliveira, Venância Antônia Nunes Azevedo, Francisco das Chagas Costa, Ingrid Gracielle Martins da Silva, Selene Maia de Morais, Sônia Nair Báo, José Roberto Viana Silva, Vânia Marilande Ceccatto and Valdevane Rocha Araújo
Int. J. Mol. Sci. 2026, 27(2), 903; https://doi.org/10.3390/ijms27020903 - 16 Jan 2026
Viewed by 159
Abstract
This study aimed to evaluate the effects of an ethanolic extract from Punica granatum L. (EE-PG) on bovine ovarian tissue vitrification, focusing on follicular morphology, ultrastructure, stromal cell density, collagen distribution, redox status, and mRNA expression of antioxidant-related genes. Bovine ovarian cortex fragments [...] Read more.
This study aimed to evaluate the effects of an ethanolic extract from Punica granatum L. (EE-PG) on bovine ovarian tissue vitrification, focusing on follicular morphology, ultrastructure, stromal cell density, collagen distribution, redox status, and mRNA expression of antioxidant-related genes. Bovine ovarian cortex fragments were divided into a fresh control group for in vivo tissue evaluation or vitrified either with the base vitrification solution (αMEM) alone or supplemented with different concentrations of EE-PG (10, 50, and 100 µg/mL), and subsequently stored in liquid nitrogen for 5 days. After warming, fragments were allocated for morphological and oxidative stress analyses or incubated for 24 h to resumption of cellular metabolism. The concentrations of 10 and 100 µg/mL preserved follicular morphology immediately after warming, and were therefore selected for ultrastructural evaluation. Both concentrations mitigated vitrification-induced damage. Gene expression analysis showed decreased levels of catalase (cat), Glutathione Peroxidase 1 (gpx1), and Nuclear Factor Erythroid 2-Related Factor 2 (nrf2) compared with the fresh control, whereas Superoxide Dismutase (SOD) enzymatic activity increased after incubation with 10 µg/mL EE-PG compared with all experimental groups. Moreover, Malondialdehyde (MDA) levels in tissues treated with 10 or 100 µg/mL were comparable to fresh controls after incubation. Overall, EE-PG at 10 or 100 µg/mL in the vitrification solution supported the maintenance of tissue morphology, redox balance—despite the downregulation of essential antioxidant genes, which may be associated with a reduced demand for enzymatic antioxidant defense—and cellular metabolism, indicating potential for improving bovine ovarian tissue vitrification outcomes. Full article
(This article belongs to the Special Issue New Advances in Animal Reproduction)
Show Figures

Figure 1

26 pages, 7456 KB  
Article
Multicellular Model Reveals the Mechanism of AEE Alleviating Vascular Endothelial Cell Injury via Anti-Inflammatory and Antioxidant Effects
by Ji Feng, Qi Tao, Meng-Zhen Li, Zhi-Jie Zhang, Qin-Fang Yu and Jian-Yong Li
Int. J. Mol. Sci. 2026, 27(2), 877; https://doi.org/10.3390/ijms27020877 - 15 Jan 2026
Viewed by 274
Abstract
Vascular endothelial injury is a key pathological characteristic of multiple diseases, such as atherosclerosis, stroke, and mastitis. Aspirin eugenol ester (AEE) has been confirmed to exert a significant protective effect on vascular endothelial injury. However, the universal action patterns and underlying mechanisms of [...] Read more.
Vascular endothelial injury is a key pathological characteristic of multiple diseases, such as atherosclerosis, stroke, and mastitis. Aspirin eugenol ester (AEE) has been confirmed to exert a significant protective effect on vascular endothelial injury. However, the universal action patterns and underlying mechanisms of AEE across different pathological scenarios have not been systematically elucidated. This study aimed to investigate the effect and mechanism of AEE in alleviating multiple vascular endothelial injury models. Nine vascular endothelial injury models were established by treating bovine aortic endothelial cells (BAECs), mouse aortic endothelial cells (MAECs), and human umbilical vein endothelial cells (Huvecs) with ethanol (EtOH), hydrogen peroxide (H2O2), and copper sulfate (CuSO4), respectively. The protective effects of AEE were systematically evaluated via morphological observation, detection of inflammatory responses, and oxidative stress markers. Furthermore, metabolomics was employed to identify and analyze differentially expressed metabolites between the nine model groups and AEE groups. AEE exerted protective effects on all nine vascular endothelial injury models, inhibiting inflammation and oxidative stress induced by all inducers. Metabolomic analysis revealed that the differentially expressed metabolites modulated by AEE in most models were primarily enriched in lipid metabolism, amino acid metabolism, coenzyme biosynthesis, and other related pathways. AEE could improve vascular endothelial injury by upregulating antioxidant substance which included eicosapentaenoic acid (EPA), choline, coenzyme A (CoA), glutathione (GSH), catalase (CAT) and superoxide dismutase (SOD), as well as downregulating substances that cause endothelial oxidative damage, including phytosphingosine (PS), palmitic acid (PA), and arachidonic acid (AA). Full article
Show Figures

Figure 1

21 pages, 7072 KB  
Article
Cold Shock Protein B as an Alternative to DMSO for Oocyte Vitrification
by Xinhai Wang, Jing Guo, Kaiyan Zhang, Yi Fang, Hongyu Liu, He Ding, Yang Lyu, Xin Ma and Wenfa Lyu
Antioxidants 2026, 15(1), 107; https://doi.org/10.3390/antiox15010107 - 14 Jan 2026
Viewed by 256
Abstract
Dimethyl sulfoxide (DMSO) is widely utilized in the vitrification of oocytes, but DMSO exhibits concentration-dependent toxicity, which can compromise oocyte developmental potential by disrupting key cellular processes. This study reports the first successful use of cold shock protein B (CspB protein) as a [...] Read more.
Dimethyl sulfoxide (DMSO) is widely utilized in the vitrification of oocytes, but DMSO exhibits concentration-dependent toxicity, which can compromise oocyte developmental potential by disrupting key cellular processes. This study reports the first successful use of cold shock protein B (CspB protein) as a substitute for DMSO in vitrification solutions for oocyte vitrification. Combining dynamics simulations and experimental validation, we demonstrated CspB’s ability to inhibit ice crystallization and recrystallization by stabilizing its position at the ice–water interface and reducing ice formation rates. Recombinant CspB was successfully expressed and shown to bind to the oolemma. In vitrification solutions, CspB (1–2 mg/mL) effectively reduced ice crystal size and enabled a significant reduction or complete replacement of DMSO. This strategy markedly improved the post-thaw survival rates of both mouse and bovine metaphase II (MII) oocytes. Furthermore, oocytes vitrified with an optimized formulation (15% ethylene glycol + 2 mg/mL CspB) exhibited developmental competence (cleavage and blastocyst rates), oxidative stress markers (ROS, GSH), mitochondrial function (membrane potential and content), and apoptosis levels (Caspase-3/9) comparable to those treated with a standard DMSO-containing system. Transcriptomic analysis revealed that CspB’s cryoprotection involves the modulation of the mTOR signaling pathway. This role was functionally confirmed, as activation of mTOR abolished CspB’s beneficial effects, reinstating oxidative damage, mitochondrial dysfunction, and apoptosis. Thus, the CspB protein replaces DMSO with direct ice crystal formation suppression and mTOR-mediated oxidative stress regulation. This study offers a protein-based alternative to conventional permeable cryoprotectants. This approach holds promise for improving reproductive biotechnologies across species. Full article
Show Figures

Figure 1

12 pages, 3579 KB  
Article
Protective Effects of Cord Blood Serum (CBS) on Retinal Pigment Epithelium (ARPE-19) and Retinal Photoreceptor-like (661W) Cell Line Viability Under In Vitro Oxidative Stress
by Ilenia Motta, Francesca Corsi, Ilaria Piano, Silvia Bisti, Elisa Bergantin, Marina Buzzi, Maria Claudia Gargini and Piera Versura
Biomolecules 2026, 16(1), 131; https://doi.org/10.3390/biom16010131 - 12 Jan 2026
Viewed by 180
Abstract
Neuroprotection represents a promising approach for mitigating retinal degeneration. Cord blood serum (CBS), rich in trophic factors such as the brain-derived neurotrophic factor (BDNF), has shown therapeutic potential for ocular surface diseases; however, its role in retinal neuroprotection remains underexplored. This study evaluates [...] Read more.
Neuroprotection represents a promising approach for mitigating retinal degeneration. Cord blood serum (CBS), rich in trophic factors such as the brain-derived neurotrophic factor (BDNF), has shown therapeutic potential for ocular surface diseases; however, its role in retinal neuroprotection remains underexplored. This study evaluates the protective effects of CBS on retinal pigment epithelium (ARPE-19) and photoreceptor-like (661W) cells exposed to oxidative stress. Cells were cultured in media supplemented with fetal bovine serum (FBS) or CBS with either high (CBS-H) or low (CBS-L) BDNF content. Oxidative stress was induced using hydrogen peroxide (H2O2), and cell viability was measured via an MTS assay. ZO-1 expression was analyzed in ARPE-19 cells to assess tight junction integrity, while mitochondrial function in 661W cells was examined using MitoRed staining. TrkB receptor involvement was investigated using the inhibitor K252a and Western blot analysis. CBS significantly improved cell viability under oxidative conditions. CBS-H increased ZO-1 expression in ARPE-19 cells, indicating preserved epithelial integrity. In 661W cells, CBS maintained mitochondrial integrity and enhanced TrkB phosphorylation, while TrkB inhibition reduced its protective effect. These findings indicate that CBS confers neuroprotection through BDNF-TrkB signaling together with other trophic factors, supporting its potential as a multifactorial therapeutic strategy for retinal degeneration that deserves further exploration. Full article
(This article belongs to the Special Issue State of the Art and Perspectives in Retinal Pigment Epithelium)
Show Figures

Figure 1

20 pages, 1825 KB  
Article
Lacticaseibacillus rhamnosus WH.FH-19: Probiotic Traits, Fermentation Performance, and Potential for Functional Fermented Milk Production
by Shiyuan Sun, Lu Feng, Liping Sun, Xuemei Zhu, Mo Zhou, Xinling Li and Guangqing Mu
Foods 2026, 15(2), 271; https://doi.org/10.3390/foods15020271 - 12 Jan 2026
Viewed by 130
Abstract
Lacticaseibacillus rhamnosus WH.FH-19 exhibits robust probiotic and technological traits for fermented dairy applications. L. rhamnosus WH.FH-19 shows superior functional potential compared to the benchmark strain Lacticaseibacillus rhamnosus GG. Kinetic studies confirm L. rhamnosus WH.FH-19’s vigorous growth and rapid acidification kinetics in bovine milk. [...] Read more.
Lacticaseibacillus rhamnosus WH.FH-19 exhibits robust probiotic and technological traits for fermented dairy applications. L. rhamnosus WH.FH-19 shows superior functional potential compared to the benchmark strain Lacticaseibacillus rhamnosus GG. Kinetic studies confirm L. rhamnosus WH.FH-19’s vigorous growth and rapid acidification kinetics in bovine milk. In vitro characterization reveals enhanced probiotic properties, including significantly greater epithelial adhesion, tolerance to gastrointestinal stresses, cholesterol assimilation capacity, and antioxidant activity. Comprehensive safety assessment demonstrated the absence of hemolysis, sensitivity to clinically relevant antibiotics, and negligible tyramine production. Optimal synergistic fermentation with L. bulgaricus CICC 6047 and S. thermophilus CICC 6038 was achieved using a defined inoculum ratio. Under these conditions, L. rhamnosus WH.FH-19 specifically potentiated the activity of the S. thermophilus strain, accelerating fermentation kinetics without subsequent post-acidification while improving product sensory attributes. These findings establish L. rhamnosus WH.FH-19 as a safe, functionally robust probiotic with significant technological benefit for commercial fermented dairy production. Full article
(This article belongs to the Special Issue Changes in Microbial Community Structure of Fermented Food)
Show Figures

Figure 1

22 pages, 2227 KB  
Review
Bovine Milk Polar Lipids: Lipidomics Advances and Functional Perspectives
by Giulia Fappani, Zhiqian Liu, Simone Rochfort and Gabriele Rocchetti
Foods 2026, 15(2), 256; https://doi.org/10.3390/foods15020256 - 10 Jan 2026
Viewed by 343
Abstract
Bovine milk is a complex biological fluid whose lipid fraction plays essential roles in nutrition, processing, and product quality. While conventional analyses have traditionally focused on total fat content and fatty acid composition, recent advances in liquid chromatography–mass spectrometry (LC–MS) have unveiled the [...] Read more.
Bovine milk is a complex biological fluid whose lipid fraction plays essential roles in nutrition, processing, and product quality. While conventional analyses have traditionally focused on total fat content and fatty acid composition, recent advances in liquid chromatography–mass spectrometry (LC–MS) have unveiled the molecular diversity of polar lipids, particularly phospholipids and sphingolipids. These compounds, largely associated with the milk fat globule membrane (MFGM), include key molecular species such as phosphatidylcholine (PC), phosphatidylethanolamine (PE), sphingomyelin (SM), ceramides (Cer), and lysophospholipids, which collectively contribute to emulsion stability, flavor development, and bioactive functionality. This review summarizes current progress in the determination of sphingolipids and phospholipids in bovine milk, with a specific focus on analytical strategies enabling their accurate detection, identification, and quantification. We discuss how advanced LC–MS platforms have been applied to investigate factors shaping the milk polar lipidome, including lactation stage, animal diet, metabolic and inflammatory stress, and technological processing. Accumulating evidence indicates that specific lipid species and ratios, such as PC/PE balance, SM and ceramide profiles, and Lyso-PC enrichment, act as sensitive molecular indicators of membrane integrity, oxidative status, heat stress, and processing history. From an applied perspective, these lipidomic markers hold strong potential for dairy quality control, shelf-life assessment, and authenticity verification. Overall, advanced lipidomics provides a robust analytical framework to translate molecular-level lipid signatures into actionable tools for monitoring cow health, technological performance, and the nutritional valorization of bovine milk. Full article
Show Figures

Figure 1

21 pages, 7425 KB  
Article
Oxidative-Stress-Mediated AMPK/mTOR Signaling in Bovine Mastitis: An Integrative Analysis Combining 16S rDNA Sequencing and Molecular Pathology
by Yuanyuan Zhang, Min Zhang, Daqing Wang, Feifei Zhao, Luofei Jia, Zhiwei Sun, Guifang Cao and Yong Zhang
Biology 2026, 15(2), 115; https://doi.org/10.3390/biology15020115 - 6 Jan 2026
Viewed by 266
Abstract
The bovine mammary gland, the exclusive site of milk synthesis, is a structurally specialized tissue that houses distinct cellular subsets, yet it remains highly susceptible to major mastitis pathogens, including Staphylococcus aureus, Streptococcus agalactiae, and Escherichia coli. Infection disrupts redox [...] Read more.
The bovine mammary gland, the exclusive site of milk synthesis, is a structurally specialized tissue that houses distinct cellular subsets, yet it remains highly susceptible to major mastitis pathogens, including Staphylococcus aureus, Streptococcus agalactiae, and Escherichia coli. Infection disrupts redox homeostasis, leading to excessive accumulation of reactive oxygen species (ROS) and rapid activation of antioxidant pathways. In this study, we integrated 16S DNA sequencing, histopathology (hematoxylin and eosin), and immunohistochemistry to map the mastitis-associated microbiota and visualize oxidative-damage foci in mammary tissues challenged by Staphylococcus aureus, Streptococcus agalactiae, or Escherichia coli. Quantitative reverse transcription polymerase chain reaction and Western blot analyses were subsequently performed on the same samples to measure the kinetic response of six oxidative-stress-related signalling nodes: adenosine 5′-monophosphate-activated protein kinase, cytochrome P450 1A1, heme oxygenase 1, nitric oxide synthase, mammalian target of rapamycin, and superoxide dismutase. By correlating the temporal expression patterns of these genes/proteins with ROS accumulation and histological severity, this study delineates the molecular cascade linking oxidative imbalance to mastitis pathology, providing data-driven targets for future preventive and therapeutic strategies. Full article
Show Figures

Figure 1

22 pages, 911 KB  
Review
The Use of Simulators in Training for Bovine Reproductive Procedures: A Scoping Review
by Heitor Azuaga Filho, Bruno Colaço and Rita Payan-Carreira
Animals 2026, 16(1), 140; https://doi.org/10.3390/ani16010140 - 4 Jan 2026
Viewed by 347
Abstract
Training in bovine reproduction requires not only technical proficiency but also ethical responsibility and adherence to animal-welfare standards. Traditional instruction relies heavily on repeated practice in abattoir-collected specimens and live cattle, raising concerns about stress, variability, logistical constraints, and student anxiety. Simulation-based education [...] Read more.
Training in bovine reproduction requires not only technical proficiency but also ethical responsibility and adherence to animal-welfare standards. Traditional instruction relies heavily on repeated practice in abattoir-collected specimens and live cattle, raising concerns about stress, variability, logistical constraints, and student anxiety. Simulation-based education (SBE) has therefore emerged as a pedagogically robust and ethically sound complement to clinical teaching, enabling learners to acquire psychomotor and cognitive skills in structured, low-risk environments. This scoping review synthesizes current evidence on validated simulators used to train bovine reproductive procedures, with particular emphasis on artificial insemination, transrectal palpation, and pregnancy diagnosis. Following Arksey and O’Malley’s framework, a comprehensive search of three international databases identified 13 eligible studies that described simulator typologies, validation approaches, implementation strategies, and educational outcomes. Simulators ranged from low-cost handmade models to high-fidelity haptic and hybrid systems, each offering distinct advantages across diverse instructional contexts. Evidence consistently showed that simulator-based training improves anatomical orientation, technical performance, procedural efficiency, and learner confidence, while reducing anxiety and the need for novice practice on live cattle. However, validation standards remain inconsistent, long-term transfer to clinical practice is poorly documented, and most commercial models inadequately represent Bos indicus anatomy, limiting global applicability. Simulation can substantially strengthen competency-based animal and veterinary curricula and advance the 3Rs by replacing or refining early live-animal procedures. To fully realize this potential, future efforts should prioritize rigorous validation, greater anatomical representativeness, and improved accessibility through modular, low-cost designs. Simulation-based training thus represents both an educational innovation and an ethical imperative in modern veterinary practice. Full article
(This article belongs to the Section Animal Reproduction)
Show Figures

Graphical abstract

16 pages, 1493 KB  
Article
Multi-Target Anticancer Activity of Structurally Diverse Schiff Bases: Insights into Cell-Cycle Arrest, DNA Damage, Metabolic Signaling, and Biomolecular Binding
by Nenad Joksimović, Jelena Petronijević, Ignjat Filipović, Nenad Janković, Bojana Ilić, Tatjana Stanojković and Ana Djurić
Curr. Issues Mol. Biol. 2026, 48(1), 57; https://doi.org/10.3390/cimb48010057 - 1 Jan 2026
Viewed by 314
Abstract
Schiff bases are widely studied for their biological activities, yet structure–activity relationships governing their anticancer potential remain insufficiently understood. In this work, eight structurally diverse imine derivatives (AH) were evaluated for their cytotoxic, biochemical, and biomolecular interactions in human [...] Read more.
Schiff bases are widely studied for their biological activities, yet structure–activity relationships governing their anticancer potential remain insufficiently understood. In this work, eight structurally diverse imine derivatives (AH) were evaluated for their cytotoxic, biochemical, and biomolecular interactions in human cancer cells. Their antiproliferative effects were assessed in HeLa, A549, and LS174T cell lines, with MRC-5 fibroblasts used as a non-malignant control. Cytotoxicity screening identified three compounds (A, B, and F) with the highest potency, prompting further mechanistic investigation. Cell cycle analysis revealed G1 arrest and accumulation of sub-G1 populations for all three derivatives, with compound B additionally increasing S-phase content and compound F inducing G2/M arrest. All compounds reduced intracellular ROS levels and caused significant DNA damage at subtoxic concentrations. Western blot analysis demonstrated downregulation of HIF-1α and PDK3, suggesting disruption of hypoxia-associated metabolic signaling. Fluorescence quenching experiments showed strong binding of the active compounds to bovine serum albumin (Ka ≈ 106 M−1), and molecular docking supported stable interactions near tryptophan-adjacent binding regions. Collectively, these findings indicate that selected Schiff bases exert multi-target anticancer activity by modulating oxidative stress, DNA integrity, cell-cycle progression, and metabolic adaptation pathways, warranting further investigation of their therapeutic potential. Full article
(This article belongs to the Section Biochemistry, Molecular and Cellular Biology)
Show Figures

Figure 1

19 pages, 2164 KB  
Article
LPS-Stressed Bovine Endometrial Cells upon Morulae in a Transwell Model of Embryo—Maternal Talk
by Anna Lange-Consiglio, Giulia Gaspari, Paola Gagni, Giampaolo Bosi, Pietro Riccaboni and Fausto Cremonesi
Animals 2026, 16(1), 38; https://doi.org/10.3390/ani16010038 - 23 Dec 2025
Viewed by 478
Abstract
During the preimplantation period, the nutrition of the embryo is dependent on luminal secretions of the uterus, which can be modified by the health status of the animal. The aim of this study was to mimic the paracrine communication between healthy or LPS-stressed [...] Read more.
During the preimplantation period, the nutrition of the embryo is dependent on luminal secretions of the uterus, which can be modified by the health status of the animal. The aim of this study was to mimic the paracrine communication between healthy or LPS-stressed epithelial endometrial cells (EECs) and embryos using aa transwell plate. The rate of in vitro embryo production, size, and concentration of extracellular vesicles (EVs), and level of secretion of Galectin-9 (Gal-9) and leukaemia inhibitory factor (LIF) were detected. Embryos were produced with an established protocol of oocyte in vitro maturation (IVM), in vitro fertilization (IVF), and in vitro embryo culture (IVC). On day 55 of IVC, one hour before the transfer of morulae in the basolateral compartment of the transwell, EECs were treated with 10 ng/mL of LPS, and IVC was continued until the eleventh day. Extracellular vesicles (EVs) were obtained from IVC medium by ultracentrifugation. Levels of Gal-9 and LIF were evaluated by ELISA. On day 7, the results did not show statistically different blastocyst rates between EECs+Embryo and EECs+LPS+Embryo (34.94 ± 1.95% and 33.06 ± 3.08%, respectively). On day 11, the rate of hatched blastocysts was 23.03 ± 3.18% in EECs+Embryo, while in EECs+LPS+Embryo, no hatching was observed. Nanosight revealed higher values in EV size and concentration in EECs+LPS+Embryo medium compared to EECs+Embryo (p < 0.05). In LPS-treated samples, there was a significant decrease in Gal-9 levels and a significant increase in LIF secretions compared with non-non-LPS-treated samples (p < 0.05). These results highlight how bidirectional secretions between EECs and embryos, crucial for embryo development, can be affected by endometritis. Full article
(This article belongs to the Special Issue Extracellular Vesicles in Animal Reproduction)
Show Figures

Figure 1

25 pages, 3998 KB  
Article
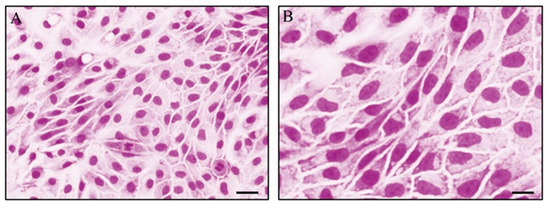
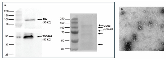
Milk-Derived Extracellular Vesicles Protect Bovine Oviduct Epithelial Cells from Oxidative Stress
by Seyed Omid Reza Mousavi, Qurat Ul Ain Reshi, Kasun Godakumara, Subhashini Muhandiram, Getnet Midekessa, Aneta Andronowska, Sergei Kopanchuk, Darja Lavogina, Ago Rinken, Suranga Kodithuwakku and Alireza Fazeli
Cells 2026, 15(1), 18; https://doi.org/10.3390/cells15010018 - 22 Dec 2025
Viewed by 477
Abstract
Extracellular vesicles (EVs) are promising therapeutic agents due to their role in intercellular communication. This study examined the protective effects of milk-derived EVs (mEVs) on bovine oviductal epithelial cells (BOECs) under cobalt chloride (CoCl2)-induced oxidative stress (OS), comparing EVs stored at [...] Read more.
Extracellular vesicles (EVs) are promising therapeutic agents due to their role in intercellular communication. This study examined the protective effects of milk-derived EVs (mEVs) on bovine oviductal epithelial cells (BOECs) under cobalt chloride (CoCl2)-induced oxidative stress (OS), comparing EVs stored at −80 °C or lyophilized. mEVs and algae-derived EVs (aEVs; negative control) were isolated via tangential flow filtration and applied at 107, 109, and 1011 particles/mL in three treatment strategies: pre-treatment, co-incubation, and post-treatment. mEVs specifically enhanced cell viability in all protocols except for post-treatment, where only 107 particles/mL was effective; meanwhile, storage method did not affect EV activity. Enzyme digestion suggested that internal EV cargos are potentially the dominant contributors to the protective response compared to surface-associated molecules. mEVs reduced the expression of the OS markers DDIT4 and HIF1A while promoting cell migration more effectively than aEVs. Pathway enrichment analysis of previously reported mEV miRNAs indicated regulation of cytokine production and glucocorticoid responses, potentially contributing to OS defense. mEV protein cargo analysis showed pathways primarily linked to peptidase and vesicle-related functions, suggesting that protein cargo may also contribute to the observed protective effects. Overall, mEVs protect BOECs against CoCl2-induced OS and maintain bioactivity after lyophilization. Full article
Show Figures

Figure 1

Back to TopTop