Sign in to use this feature.

Years

Between: -

Subjects

remove_circle_outline
remove_circle_outline
remove_circle_outline
remove_circle_outline
remove_circle_outline
remove_circle_outline
remove_circle_outline

Journals

Article Types

Countries / Regions

remove_circle_outline
remove_circle_outline
remove_circle_outline
remove_circle_outline
remove_circle_outline

Search Results (286)

Search Parameters:
Keywords = autologous growth factor

Order results
Result details
Results per page
Select all
Export citation of selected articles as:
12 pages, 884 KB  
Article
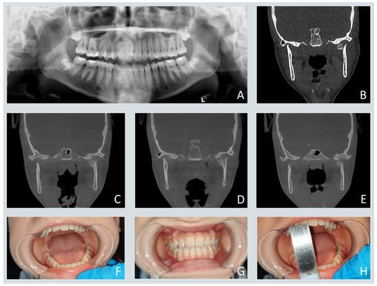
Pediatric Maxillofacial Fractures: Patterns of Injury, Surgical Indications, and Treatment Outcomes: A Five-Year Retrospective Study
by Krzysztof Gąsiorowski, Weronika Michalik, Jakub Bargiel, Tomasz Marecik, Julia Miaśkiewicz, Miłosz Saryusz-Romiszewski, Grażyna Wyszyńska-Pawelec and Michał Gontarz
J. Clin. Med. 2026, 15(1), 19; https://doi.org/10.3390/jcm15010019 - 19 Dec 2025
Viewed by 186
Abstract
Background: Pediatric craniofacial fractures represent a distinct clinical entity characterized by unique anatomical and developmental factors that differentiate them from adult facial trauma. Despite their relative rarity, these injuries pose diagnostic and therapeutic challenges due to the presence of active growth centers and [...] Read more.
Background: Pediatric craniofacial fractures represent a distinct clinical entity characterized by unique anatomical and developmental factors that differentiate them from adult facial trauma. Despite their relative rarity, these injuries pose diagnostic and therapeutic challenges due to the presence of active growth centers and the potential for long-term functional and esthetic sequelae. Methods: A retrospective observational study was conducted among pediatric patients aged 0–17 years treated for craniofacial fractures between 2020 and 2024 at the Department of Cranio-Maxillofacial Surgery, University Hospital in Kraków, Poland. Demographic data, injury mechanisms, fracture distribution, treatment modality, and associated injuries were analyzed. Multivariate logistic regression was applied to identify predictors of surgical intervention. Results: Ninety-eight patients met the inclusion criteria. The mean age was 12 years, with a male predominance. Midfacial fractures were most common, with orbital floor fractures representing the single most frequent injury. Surgical management was performed in 72 cases, predominantly using the transconjunctival approach and autologous bone grafting. Orbital floor fractures were identified as the only independent predictor of operative treatment (p < 0.05). Central nervous system trauma was the most frequent concomitant injury. No significant changes in etiology or fracture distribution were observed during the COVID-19 pandemic. Conclusions: Pediatric craniofacial trauma follows a reproducible, age- and mechanism-dependent pattern. Effective management requires individualized, growth-preserving, and function-oriented treatment strategies. Standardization of care protocols and multicenter prospective studies are essential to optimize outcomes and develop evidence-based, age-specific guidelines for the management and prevention of pediatric facial fractures. Full article
Show Figures

Figure 1

15 pages, 25878 KB  
Article
The Evolution of Extended Platelet-Rich Fibrin Membranes for Socket Grafting: Part One: Technical Development of Protocols
by Nathan E. Estrin, Alan Rene Espinoza, Paras Ahmad, Jean-Claude Imber, Nima Farshidfar and Richard J. Miron
Dent. J. 2025, 13(12), 604; https://doi.org/10.3390/dj13120604 - 16 Dec 2025
Viewed by 296
Abstract
Background: Platelet-rich fibrin (PRF) is an autologous biomaterial utilized as an adjunct in dental implant surgeries owing to its significant biocompatibility, supra-physiological concentration of growth factors, and ability to speed either soft or hard tissue regeneration. Methods: Today, PRF is available in both [...] Read more.
Background: Platelet-rich fibrin (PRF) is an autologous biomaterial utilized as an adjunct in dental implant surgeries owing to its significant biocompatibility, supra-physiological concentration of growth factors, and ability to speed either soft or hard tissue regeneration. Methods: Today, PRF is available in both solid and liquid forms with an average resorption period of roughly 2 weeks. While various research endeavors have attempted to utilize Solid-PRF as a barrier membrane in guided bone regeneration (GBR) and various other applications, its two-week resorption period has limited its use as a solo “barrier” membrane owing to its faster-than-ideal resorption properties. Results: Recent studies have demonstrated that by heating and denaturing Liquid-PRF/albumin, the resorption properties of the heated albumin gel could be extended from 2 weeks to 4–6 months by utilizing the Bio-Heat technology. This emerging technology was given the working name ‘extended-PRF’ or e-PRF, with many clinical indications being proposed for further study. Numerous clinicians have now utilized extended-PRF (e-PRF) membranes as a substitute for collagen barrier membranes in various clinical applications, such as guided tissue/bone regeneration, recession coverage, and lateral window sinus lifts. Conclusions: This two-part case series paper aims to first illustrate the evolution of techniques developed taking advantage of this new technology in clinical practice for alveolar ridge preservation. This includes four different methods of fabrication of e-PRF along with its application in clinical practice. This article discusses the clinical outcomes, including the advantages/disadvantages of utilizing each of the four separate techniques to prepare and utilize e-PRF membranes for ridge preservation. Full article
(This article belongs to the Special Issue Regenerative Dentistry: Innovations and Clinical Applications)
Show Figures

Figure 1

14 pages, 3115 KB  
Article
Clinical Evaluation of Autologous PRP (Platelet-Rich Plasma) in the Treatment of Periodontitis in Small-Breed Dogs
by Dmitrij Kvitka, Martinas Jankauskas, Matas Klupšas, Aistė Gradeckienė, Dalia Juodžentė and Greta Rudenkovaitė
Animals 2025, 15(24), 3581; https://doi.org/10.3390/ani15243581 - 12 Dec 2025
Viewed by 212
Abstract
Periodontal disease is a progressive inflammatory condition frequently diagnosed in dogs, particularly in small breeds such as Yorkshire Terriers, Toy Terriers, Spitz, Toy Poodles and other breeds predisposed to rapid plaque and tartar accumulation. As the field of regenerative medicine becomes more popular, [...] Read more.
Periodontal disease is a progressive inflammatory condition frequently diagnosed in dogs, particularly in small breeds such as Yorkshire Terriers, Toy Terriers, Spitz, Toy Poodles and other breeds predisposed to rapid plaque and tartar accumulation. As the field of regenerative medicine becomes more popular, more and more attention is being paid to substances that promote tissue regeneration, one of which is platelet-rich plasma (PRP). PRP is an autologous blood-derived product rich in growth factors that stimulate tissue regeneration and modulate inflammation. This study aimed to evaluate the clinical effectiveness of PRP injections without additional activating agents in the management of stage 2–3 periodontitis in small-breed dogs. Forty-two adult dogs (Yorkshire Terriers, Toy Terriers, Pomeranians, Toy Poodles, and Havanese) were enrolled and divided into two groups: PRP (n = 30) and control (n = 12). Following standard dental prophylaxis, the PRP group received gingival, submucosal, and periodontal pocket injections of PRP (0.1 mL per site). Periodontitis stage, gingival index, periodontal pocket depth, and horizontal bone loss were evaluated at baseline and 30 days post-treatment. PRP therapy significantly improved all evaluated parameters (p < 0.05). The gingival index decreased threefold, periodontal pocket depth was reduced twofold, and horizontal bone loss decreased by more than twofold compared with baseline and controls. No adverse reactions, discomfort, or postoperative complications were observed. The administration of non-activated PRP as an adjunct to dental cleaning significantly enhances soft and hard tissue regeneration in small-breed dogs with stage 2–3 periodontitis. PRP therapy represents a safe, minimally invasive, and effective regenerative approach for improving periodontal health in routine veterinary dentistry. Full article
(This article belongs to the Section Veterinary Clinical Studies)
Show Figures

Figure 1

12 pages, 719 KB  
Review
Clinical Strategies for Counteracting Human Ovarian Aging: Molecular Background, Update, and Outlook
by Jan Tesarik and Raquel Mendoza Tesarik
Int. J. Mol. Sci. 2025, 26(24), 11973; https://doi.org/10.3390/ijms262411973 - 12 Dec 2025
Viewed by 294
Abstract
Ovarian aging (OA) results from the senescence of different cell types present in the ovary, decreasing female fertility and quality of life and augmenting the risk of a variety of fertility-unrelated pathological conditions. The changes observed in the ovarian cells are accompanied by [...] Read more.
Ovarian aging (OA) results from the senescence of different cell types present in the ovary, decreasing female fertility and quality of life and augmenting the risk of a variety of fertility-unrelated pathological conditions. The changes observed in the ovarian cells are accompanied by changes occurring in various elements of the hypothalamic–pituitary–ovarian (HPO) axis, the complex endocrine system that regulates the female reproductive cycle. Issues pertaining to the HPO axis have been addressed in animal models via hormonal treatments with preparations inhibiting ovarian follicular recruitment at the level of the receptors of gonadotropin-releasing hormone (GnRH)-secreting neurons, mainly acting on glutamate- and gamma-aminobutyric acid (GABA)-driven signaling. GnRH agonists and antagonists have also been used in women exposed to chemotherapeutics. HPO-independent OA can be delayed through the administration of different antioxidants and mitochondria-protecting agents, among which melatonin has been shown to be particularly useful. Other therapeutic approaches used with success in women include hormonal and growth factor (GF) modulators, such as growth hormone (GH), insulin-like growth factor 1 (IGF-1), vascular endothelial growth factors (VEGF), and dehydroepiandrosterone (DHEA), and the development of patient-tailored combination-based therapies (IGF-1 + VEGF + DHEA) has also been suggested. Intraovarian injection of autologous platelet-rich plasma (PRP), mitochondrial donation through pronuclear transfer, and ovarian tissue cryopreservation and autotransplantation have also yielded promising results in women, and their use can preserve not only fertility but also the ovarian endocrine function. Personalized mixtures of specific agents (desatinib, quercetin, rapamycin, metformin, resveratrol, melatonin, and coenzyme Q10) targeting different cell types in the ovary are currently under investigation. Overall, this review aims to present a global view of the subject, uniting the physiological and molecular background of this pathology with the history and development of potential treatment strategies and new perspectives in this domain. As such, this study may be helpful both to clinicians facing problems resulting from OA and to researchers pursuing further developments in this field. Full article
(This article belongs to the Special Issue Molecular Research on Embryo Developmental Potential: 2nd Edition)
Show Figures

Graphical abstract

23 pages, 1164 KB  
Review
Platelet-Rich Plasma (PRP) and Recombinant Growth Factor Therapies in Cutaneous Wound Healing: Mechanisms, Clinical Applications, and Future Directions
by Abu-Bakr Ahmed, Spencer Thatcher, Joshua Khorsandi, Zahra Ahmed, Michael Lee, Adam Jaouhari, Braydon Bond and Aftab Merchant
J. Clin. Med. 2025, 14(23), 8583; https://doi.org/10.3390/jcm14238583 - 3 Dec 2025
Viewed by 1013
Abstract
Background: Chronic cutaneous wounds such as diabetic foot ulcers, venous leg ulcers, pressure injuries, and burns remain a global clinical burden. These wounds are often arrested in inflammatory or ischemic stages due to impaired angiogenesis and growth factor deficiencies. Biologic therapies, such [...] Read more.
Background: Chronic cutaneous wounds such as diabetic foot ulcers, venous leg ulcers, pressure injuries, and burns remain a global clinical burden. These wounds are often arrested in inflammatory or ischemic stages due to impaired angiogenesis and growth factor deficiencies. Biologic therapies, such as platelet-rich plasma (PRP) and recombinant growth factors, aim to restore these deficits and accelerate repair. Methods: A narrative review of PubMed and Google Scholar (2015–2025) identified 64 English-language studies, including randomized controlled trials, meta-analyses, and translational investigations evaluating PRP and recombinant growth factors in wound healing. Results: Randomized trials and meta-analyses show that adjunctive autologous PRP increases complete wound closure versus standard care in chronic ulcers, including diabetic foot and venous leg ulcers (odds ratios ≈ 2–8), and improves healing rates in pressure injuries (odds ratio ≈ 3.4), without increasing adverse events. In diabetic foot ulcers, PDGF-BB and EGF, together with PRP, consistently improve complete healing and reduce ulcer area. In burns, topical EGF and bFGF shorten healing time by ~3 days in superficial partial-thickness wounds and by >5 days in deeper burns, with generally improved scar outcomes. Conclusions: PRP offers broad, autologous biologic activation, while recombinant growth factors deliver high-potency, targeted precision. Together, they represent complementary regenerative strategies that can shorten healing times and improve outcomes in chronic wounds. Standardized multicenter trials quantifying cytokine composition, cost-effectiveness, and long-term limb-salvage benefit are warranted to guide their integration into routine clinical practice. Full article
(This article belongs to the Special Issue Skin Wound Healing: Clinical Updates and Perspectives)
Show Figures

Figure 1

16 pages, 3513 KB  
Review
Tinkering with Blood: Optimizing the Coagulation System for Therapeutic Purposes
by Eduardo Anitua and Sabino Padilla
Bioengineering 2025, 12(12), 1301; https://doi.org/10.3390/bioengineering12121301 - 26 Nov 2025
Viewed by 586
Abstract
Blood is a multitask, fluid tissue that is considered as an endless goldmine for regenerative therapies. This connective tissue carries myriad multidomain proteins as the workhorse of biological functions integrated in complex molecular networks. Among them, the coagulation system stands out, with platelets [...] Read more.
Blood is a multitask, fluid tissue that is considered as an endless goldmine for regenerative therapies. This connective tissue carries myriad multidomain proteins as the workhorse of biological functions integrated in complex molecular networks. Among them, the coagulation system stands out, with platelets and plasma coagulation proteins playing multiple roles in clotting, defense and tissue repair, the latter of which is the final byproduct process stemming from the hemostatic–inflammatory, cell-reprogramming and inflammation resolution after a tissue injury. By mimicking coagulation and hemostasis but lacking inflammatory properties, platelet-rich plasma (PRP) is emerging as an innovative autologous therapy operating as a local delivery system of growth factors. Processing of the patient blood to manufacture PRP encompasses blood anticoagulation; blood deconstruction through centrifugation and fractionation; and activation of plasma, endowing the applied product with anti-inflammatory, trophic, antifibrotic and antialgic properties in a context-dependent manner. However, the field of PRPs faces controversies due to the heterogeneity of their biological compositions and modalities of application. Moreover, there are some drawbacks derived from patient age and some other conditions, all impinging negatively on PRP clinical outcomes. Standardization of the manufacturing process, elaboration of guidelines of application and use of allogenic PRPs are emerging as possible solutions to surmount these pitfalls. Full article
(This article belongs to the Special Issue Advances in Biomolecular Engineering for Regenerative Therapeutics)
Show Figures

Figure 1

15 pages, 296 KB  
Review
Platelets in Dry Eye Disease: A Narrative Review of Biological Mechanisms and Therapeutic Applications Derived from Platelets
by Marco Zeppieri, Caterina Gagliano, Alessandro Avitabile, Antonino Maniaci, Francesco Cappellani, Riccardo Foti, Giosuè Giordano Incognito, Dalila Incognito and Roberta Foti
Life 2025, 15(11), 1785; https://doi.org/10.3390/life15111785 - 20 Nov 2025
Viewed by 604
Abstract
Background: Platelets have conventionally been viewed as cellular fragments crucial for hemostasis; nonetheless, their extensive secretome of cytokines and growth factors has been increasingly acknowledged as a significant regulator of inflammation and tissue healing at the ocular surface. Aims: The objective of this [...] Read more.
Background: Platelets have conventionally been viewed as cellular fragments crucial for hemostasis; nonetheless, their extensive secretome of cytokines and growth factors has been increasingly acknowledged as a significant regulator of inflammation and tissue healing at the ocular surface. Aims: The objective of this narrative review is to synthesize existing knowledge of platelet biology with new findings about the therapeutic use of platelet-derived products in dry eye disease (DED). Methods: A qualitative review of the PubMed, Scopus, and Web of Science databases up to June 2025 identified preclinical, translational, and clinical studies assessing platelet-rich plasma (PRP), plasma rich in growth factors (PRGF), platelet lysate, and autologous serum tears for dry eye disease (DED) and associated ocular surface disorders. Results: Platelet-derived formulations have exhibited reliable immunomodulatory and regenerative effects by diminishing inflammatory signaling, lowering cytokine expression, and facilitating epithelial and neurotrophic restoration. Clinical investigations have indicated enhancements in tear film stability, corneal staining, and patient-reported symptoms, especially in cases of moderate-to-severe or refractory illness. Nonetheless, methodological diversity, inconsistent preparation techniques, and restricted sample sizes have impeded comparability among experiments. Conclusions: Platelet-derived treatments constitute a biologically viable and clinically promising strategy for the management of dry eye disease (DED). Future research must emphasize the standardization of preparation protocols, the identification of predictive biomarkers such as transforming growth factor-β1 (TGF-β1), nerve growth factor (NGF), and matrix metalloproteinase-9 (MMP-9), as well as the design of multicenter randomized controlled trials to guarantee reproducible, GMP-compliant clinical applications. Full article
(This article belongs to the Special Issue The Biology and Functions of Platelets: Emerging Challenges)
17 pages, 335 KB  
Review
Dual-Action Regenerative Therapies: Regeneration and Antimicrobial Effects of Platelet- and Marrow-Derived Biologics
by Claire Yuan, Samuel P. Ang, Jamal J. Hasoon, Reda Tolba, Qing Zhao Ruan, Christopher M. Lam, Giuliano Lo Bianco, Paul J. Christo and Christopher L. Robinson
Biomedicines 2025, 13(11), 2832; https://doi.org/10.3390/biomedicines13112832 - 20 Nov 2025
Viewed by 680
Abstract
This review explores the dual regenerative and antimicrobial properties of platelet- and marrow-derived biologics, including platelet-rich plasma (PRP), bone marrow aspirate concentrate (BMAC), autologous protein solutions, and plasma fractions. These biologics, widely used in regeneration and tissue repair, offer multiplex bioactivity through growth [...] Read more.
This review explores the dual regenerative and antimicrobial properties of platelet- and marrow-derived biologics, including platelet-rich plasma (PRP), bone marrow aspirate concentrate (BMAC), autologous protein solutions, and plasma fractions. These biologics, widely used in regeneration and tissue repair, offer multiplex bioactivity through growth factors, cytokines, and cellular components that promote healing while reducing infection risk. PRP and BMAC demonstrate significant regenerative effects in musculoskeletal conditions, wound healing, and cartilage repair, with platelets and leukocytes contributing antimicrobial peptides and immune modulation for more indirect regenerative mechanisms. Preparation methods, patient factors, and lack of standardization impact clinical outcomes and efficacy. While promising for reducing reliance on chronic pain medications and improving function, these therapies face limitations including inconsistent preparation and utilization protocols, limited long-term safety data, and regulatory challenges. Here, we review the need for consensus-building, standardized procedures, and robust research to optimize clinical integration and realize the full potential of biologic regenerative therapies in pain medicine. Full article
(This article belongs to the Section Gene and Cell Therapy)
19 pages, 438 KB  
Review
The Use of Platelet-Rich Plasma in Wildlife Veterinary Medicine
by Manuel Fuertes-Recuero, Teresa Encinas Cerezo and Pablo Morón-Elorza
Animals 2025, 15(22), 3352; https://doi.org/10.3390/ani15223352 - 20 Nov 2025
Viewed by 639
Abstract
Platelet-rich plasma (PRP), an autologous blood product concentrated with platelets and their associated growth factors, has been the subject of increasing investigation in veterinary medicine. Although it is widely used in domestic species, its use in wildlife is less well-explored, despite its potential [...] Read more.
Platelet-rich plasma (PRP), an autologous blood product concentrated with platelets and their associated growth factors, has been the subject of increasing investigation in veterinary medicine. Although it is widely used in domestic species, its use in wildlife is less well-explored, despite its potential to address complicated clinical scenarios such as traumatic injuries, chronic wounds, and orthopaedic conditions, which are frequently encountered in wild animals under human care. Expanding the evidence base for PRP in non-domestic species could therefore significantly advance clinical outcomes in rehabilitation, zoo medicine, and conservation initiatives. The aim of this scoping review was to identify and describe the existing evidence on the clinical use of PRP in wildlife. This included details on protocols, outcomes, species-specific considerations, and knowledge that is still missing. A literature search was performed using the databases PubMed, Scopus, Web of Science, and Google Scholar up to August 2025. Studies were eligible for inclusion if they reported on the preparation, application, or clinical outcomes of PRP in non-domestic animal species. This included case reports, research articles, and reviews. A total of 65 studies were finally included. The data were classified by species group (e.g., reptiles, birds, mammals) and clinical application (e.g., wound healing, orthopaedics, chronic disease management). The search identified a limited but growing body of evidence, primarily consisting of case reports and small-scale experimental studies. The application of PRP was found to have beneficial effects on wound closure, inflammation reduction, and enhanced tissue regeneration across multiple taxa. However, substantial variation existed across protocols in platelet concentration, activation methods, and application routes across protocols. Species-specific challenges, such as limited blood volume and logistical constraints in wildlife settings, were frequently noted. Current evidence suggests that PRP is a promising therapeutic tool in wildlife medicine; however, the development of standardised methodologies and the implementation of controlled clinical trials remain urgently needed. Widening its use could not only enhance animal welfare but also reinforce conservation initiatives and advance One Health strategies by generating insights with direct relevance to human medicine. Full article
(This article belongs to the Special Issue Advances in Exotic Pet Medicine)
Show Figures

Figure 1

39 pages, 2758 KB  
Review
Blood Derivatives in the Therapy of Ocular Surface Diseases
by Piotr Stępień, Tomasz Żarnowski and Dominika Wróbel-Dudzińska
Int. J. Mol. Sci. 2025, 26(22), 11097; https://doi.org/10.3390/ijms262211097 - 17 Nov 2025
Viewed by 1047
Abstract
The ocular surface is a structure crucial to maintaining eye health and proper vision. Unfortunately, ocular surface diseases functioning as chronic epithelial defects, inflammation, impaired healing, require immediate regenerative repair treatment that can restore tissue integrity and function. Conventional therapies, such as artificial [...] Read more.
The ocular surface is a structure crucial to maintaining eye health and proper vision. Unfortunately, ocular surface diseases functioning as chronic epithelial defects, inflammation, impaired healing, require immediate regenerative repair treatment that can restore tissue integrity and function. Conventional therapies, such as artificial tears and topical anti-inflammatory agents, principally provide symptomatic relief without addressing the underlying biological deficits, thus leading to incomplete or delayed recovery. Therefore, blood derivatives have emerged as a promising bioactive therapy that not only lubricates but also actively promotes regeneration through the delivery of cytokines, growth factors, and vitamins naturally present in blood. Due to their properties mimicking the components of natural tears, autologous origin, biocompatibility and capacity to enhance tissue repair, they have emerged as a cornerstone in regenerative medicine. Therefore, the purpose of this review was to compare the evolution, positive aspects, and drawbacks, in order to demonstrate the molecular mechanism of action and the therapeutic efficacy of different blood derivates at treating ocular surface disease. Over time, these biologic preparations have evolved from the use of simple traditional serum-based derivatives to more advanced platelet-rich products, underscoring the evolving understanding of platelet-driven molecular and cellular mechanisms in tissue regeneration. Despite their widespread use, we would like to highlight the current limitations related to the lack of standardized preparation protocols, variability in composition, and evidence-based integration into clinical practice. Finally, this review highlights contemporary research trends and depicts future directions advancing the field. Key priorities include the establishment of standardized, reproducible preparation protocols; the development of next-generation platelet-derived concentrates and biomaterials; and the integration of multi-omics technologies to achieve comprehensive profiling of their biological and therapeutic activity. Moving toward methodological standardization and the execution of well-designed, high-quality comparative clinical trials will be essential to reinforce the scientific foundation, enhance translational potential, and ensure the clinical reliability of blood-derived therapies in modern regenerative medicine. Full article
Show Figures

Figure 1

13 pages, 802 KB  
Article
Intraoperative Platelet-Rich Plasma (PRP) for Post-Cesarean Scar Healing: A Single-Center Randomized Controlled Pilot Study
by Ana-Maria Brezeanu, Dragoș Brezeanu and Vlad-Iustin Tica
Healthcare 2025, 13(22), 2928; https://doi.org/10.3390/healthcare13222928 - 15 Nov 2025
Viewed by 559
Abstract
Background: Cesarean section (CS) frequently results in abdominal scarring, affecting recovery, aesthetics, and quality of life. Platelet-rich plasma (PRP), an autologous concentrate rich in growth factors, may enhance wound healing. This pilot trial assessed the effect of intraoperative PRP on CS scar outcomes. [...] Read more.
Background: Cesarean section (CS) frequently results in abdominal scarring, affecting recovery, aesthetics, and quality of life. Platelet-rich plasma (PRP), an autologous concentrate rich in growth factors, may enhance wound healing. This pilot trial assessed the effect of intraoperative PRP on CS scar outcomes. Methods: In this single-center, single-blind randomized controlled trial (February 2023–December 2024), 100 women undergoing elective CS were randomized to PRP treatment (n = 50) or standard care (n = 50). PRP, prepared from 20 mL autologous blood, was infiltrated into uterine incision margins and subcutaneously before skin closure. Scar healing was evaluated at day 7 and day 40 postpartum using the Patient and Observer Scar Assessment Scale (POSAS; physician and patient), Vancouver Scar Scale, Manchester Scar Scale, REEDA (Redness, Edema, Ecchymosis, Discharge, Approximation) Scale, Visual Analog Scale (VAS), and Numeric Rating Scale (NRS). Mann–Whitney U tests and Cohen’s d effect sizes were calculated. Results: Follow-up was complete for all participants. On day 7, PRP-treated patients had lower mean scores across most scales (e.g., Vancouver: 1.74 ± 1.58 vs. 2.54 ± 2.30; p = 0.063). At day 40, improvements persisted, with POSAS Patient scores significantly lower in the PRP group (7.24 ± 1.81 vs. 8.00 ± 2.06; p = 0.029). Effect sizes were small-to-moderate (<0.5), suggesting underpowering. No adverse events occurred. Conclusions: PRP administration during CS showed favorable trends toward improved scar quality and reduced patient-reported discomfort, with statistical significance for POSAS Patient scores at 40 days. Larger, multicenter trials with extended follow-up are needed to confirm these findings. Full article
Show Figures

Figure 1

13 pages, 2281 KB  
Article
Intraoperative Platelet-Rich Plasma Application Improves Scar Healing After Cesarean Section: A Prospective Observational Pilot Study
by Ana-Maria Brezeanu, Dragoș Brezeanu, Simona Stase, Sergiu Chirila and Vlad-Iustin Tica
Healthcare 2025, 13(22), 2905; https://doi.org/10.3390/healthcare13222905 - 14 Nov 2025
Viewed by 548
Abstract
Background: Cesarean delivery is a frequent surgical procedure associated with postoperative scarring, which may impact both the aesthetic and functional recovery of patients. Platelet-rich plasma (PRP), a concentration of autologous platelets containing bioactive growth factors, has shown promising effects in promoting wound healing [...] Read more.
Background: Cesarean delivery is a frequent surgical procedure associated with postoperative scarring, which may impact both the aesthetic and functional recovery of patients. Platelet-rich plasma (PRP), a concentration of autologous platelets containing bioactive growth factors, has shown promising effects in promoting wound healing and tissue regeneration. However, its efficacy in enhancing cesarean wound healing remains underexplored. Methods: This single-arm prospective observational study included 50 patients undergoing cesarean section who received intraoperative PRP in two stages: 5 mL applied before hysterorrhaphy and 5 mL injected subcutaneously before skin closure. Scars were assessed at 7 and 40 days using six validated scales (Manchester, Patient and Observer Scar Assessment Scale (POSAS), Vancouver, Visual Analog Scale (VAS), Numeric Rating Scale (NRS), and REEDA (Redness, Edema, Ecchymosis, Discharge, Approximation). Hematological parameters (hemoglobin, hematocrit, leukocyte count, and platelet count) were monitored to correlate systemic inflammatory response and healing progression. Statistical analysis included the Wilcoxon signed-rank test and Pearson correlation. Results: Mean scar scores improved significantly from 8.88 ± 2.13 at day 7 to 6.46 ± 1.23 at day 40 (p < 0.001). Hematological parameters improved between day 7 and day 40, reflecting the expected course of postoperative recovery; these were considered secondary outcomes. Exploratory analyses revealed correlations between hemoglobin and POSAS (r = 0.42, p < 0.05), leukocyte count and REEDA (r = 0.68, p < 0.01), and platelet count and POSAS (r = −0.48, p < 0.05). Conclusions: Intraoperative PRP administration significantly enhanced postoperative scar healing after cesarean delivery and was associated with reduced inflammation and improved hematological recovery. These findings support the use of PRP as an adjunctive regenerative therapy in obstetric surgery. Randomized controlled trials are warranted to validate efficacy of the intervention, and moreover long-term outcomes. Full article
(This article belongs to the Section Women’s and Children’s Health)
Show Figures

Figure 1

10 pages, 1246 KB  
Case Report
Cell Technologies in Treating Osteochondral Lesions of the Talus: A Clinical Case and Brief Review
by Dina Saginova, Meruyert Makhmetova, Yerik Raimagambetov, Bagdat Balbossynov, Assel Issabekova, Lyudmila Spichak and Vyacheslav Ogay
J. Clin. Med. 2025, 14(22), 7917; https://doi.org/10.3390/jcm14227917 - 8 Nov 2025
Viewed by 689
Abstract
Osteochondral lesions of the talus (OLTs) present a significant clinical challenge, often leading to pain, dysfunction, and joint degeneration. Traditional treatments, including microfracture and grafting, have limitations in their ability to fully restore osteochondral integrity. Recent advances in tissue engineering have introduced heparin-conjugated [...] Read more.
Osteochondral lesions of the talus (OLTs) present a significant clinical challenge, often leading to pain, dysfunction, and joint degeneration. Traditional treatments, including microfracture and grafting, have limitations in their ability to fully restore osteochondral integrity. Recent advances in tissue engineering have introduced heparin-conjugated fibrin hydrogel (HCFH) as a promising scaffold for regenerative therapy. By supporting mesenchymal stem cell (MSC) proliferation and controlled growth factor release, HCFH enhances cartilage and bone repair. A 21-year-old female presented with chronic right ankle pain and instability following a sports injury, with MRI revealing an osteochondral lesion in the lateral dome of the talus and an anterior talofibular ligament injury. Treatment included autologous MSC isolation, HCFH synthesis, arthroscopic debridement, microfracture, and implantation of MSC-loaded HCFH, while postoperative rehabilitation involved four weeks of restricted weight-bearing- and physiotherapy. At 12 months, her visual analog scale (VAS) score decreased from 60 to 40, indicating clinical improvement, and her American Orthopaedic Foot and Ankle Society (AOFAS) score increased from 69 to 77. Serial MRI scans showed progressive cartilage regeneration with near-complete defect filling. This case highlights the potential of MSC-loaded HCFH in treating OLTs. The observed improvements in pain relief, function, and cartilage regeneration suggest that this technique may overcome the limitations of conventional treatments. Further studies with larger cohorts and long-term follow-up are necessary to confirm its clinical efficacy. Full article
(This article belongs to the Section Orthopedics)
Show Figures

Figure 1

36 pages, 1826 KB  
Review
Platelet-Rich Plasma (PRP): Molecular Mechanisms, Actions and Clinical Applications in Human Body
by Wen-Shan Wu, Li-Ru Chen and Kuo-Hu Chen
Int. J. Mol. Sci. 2025, 26(21), 10804; https://doi.org/10.3390/ijms262110804 - 6 Nov 2025
Cited by 1 | Viewed by 5307
Abstract
Platelet-rich plasma (PRP) is an autologous blood-derived concentrate increasingly utilized in regenerative medicine for its ability to accelerate healing and tissue repair. PRP is broadly classified by leukocyte content, fibrin architecture, and platelet concentration, with classification systems developed to standardize characterization. Preparation methods, [...] Read more.
Platelet-rich plasma (PRP) is an autologous blood-derived concentrate increasingly utilized in regenerative medicine for its ability to accelerate healing and tissue repair. PRP is broadly classified by leukocyte content, fibrin architecture, and platelet concentration, with classification systems developed to standardize characterization. Preparation methods, including single- or double-spin centrifugation and buffy coat techniques, influence the final composition of PRP, determining the relative proportions of platelets, leukocytes, plasma proteins, and extracellular vesicles. These components act synergistically, with platelets releasing growth factors (e.g., VEGF, PDGF, TGF-β) that stimulate angiogenesis and matrix synthesis, leukocytes providing immunomodulation, plasma proteins facilitating scaffolding, and exosomes regulating intercellular signaling. Mechanistically, PRP enhances tissue repair through four key pathways: platelet adhesion molecules promote hemostasis and cell recruitment; immunomodulation reduces pro-inflammatory cytokines and favors M2 macrophage polarization; angiogenesis supports vascular remodeling and nutrient delivery; and serotonin-mediated pathways contribute to analgesia. These processes establish a regenerative microenvironment that supports both structural repair and functional recovery. Clinically, PRP has been applied across multiple specialties. In orthopedics, it promotes tendon, cartilage, and bone healing in conditions such as tendinopathy and osteoarthritis. In dermatology, PRP enhances skin rejuvenation, scar remodeling, and hair restoration. Gynecology has adopted PRP for ovarian rejuvenation, endometrial repair, and vulvovaginal atrophy. In dentistry and oral surgery, PRP accelerates wound closure and osseointegration, while chronic wound care benefits from its angiogenic and anti-inflammatory effects. PRP has also favored gingival recession coverage, regeneration of intrabony periodontal defects, and sinus grafting. Although preparation heterogeneity remains a challenge, PRP offers a versatile, biologically active therapy with expanding clinical utility. Full article
(This article belongs to the Section Biochemistry)
Show Figures

Figure 1

20 pages, 3028 KB  
Article
Engineering Regenerative Fibrin Scaffold from Balanced Protein-Concentrate Plasma: Structural and Biochemical Characterization
by Diego Delgado, Jon Mercader-Ruiz, Daniel Marijuán-Pinel, Pello Sánchez, Renato Andrade, João Espregueira-Mendes, Llanos Zuloaga, Jorge Knörr and Mikel Sánchez
Pharmaceutics 2025, 17(11), 1432; https://doi.org/10.3390/pharmaceutics17111432 - 5 Nov 2025
Viewed by 632
Abstract
Background: This study evaluates the impact of fibrinogen enrichment on the structural, mechanical, and bioactive properties of fibrin scaffold derived from balanced protein-concentrate plasma (BPCP), an autologous platelet-rich plasma (PRP) formulation with elevated extraplatelet content. Methods: A novel high-fibrinogen BPCP (HF-BPCP) scaffold was [...] Read more.
Background: This study evaluates the impact of fibrinogen enrichment on the structural, mechanical, and bioactive properties of fibrin scaffold derived from balanced protein-concentrate plasma (BPCP), an autologous platelet-rich plasma (PRP) formulation with elevated extraplatelet content. Methods: A novel high-fibrinogen BPCP (HF-BPCP) scaffold was produced by combining BPCP platelet lysate with a concentrated fibrinogen solution at a 1:1 ratio, yielding nearly four-fold physiological fibrinogen levels. Comparative analyses between HF-BPCP and standard BPCP included platelet and fibrinogen quantification, scanning electron microscopy (SEM), rheology, indentation, adhesion testing, coagulation kinetics, retraction assays, biodegradation profiling, and growth factor (GF) release kinetics. Results: HF-BPCP displayed significantly denser fibrin networks with thinner fibers, higher porosity, and markedly faster coagulation times compared to BPCP. Mechanically, HF-BPCP exhibited greater stiffness, higher energy dissipation, and more stable adhesion, while almost eliminating scaffold retraction at 24 h. Despite improved early handling and structural integrity, HF-BPCP degraded more rapidly in vitro under tissue plasminogen activator exposure. GF release analysis showed reduced early peaks of platelet-derived factors (TGF-β1, PDGF-AB, VEGF) but sustained release thereafter, while extraplatelet factors (IGF-1, HGF) exhibited similar profiles between scaffolds. Conclusions: These results indicate that fibrinogen enrichment synergizes with the elevated extraplatelet protein profile of BPCP to enhance scaffold mechanical stability, handling properties, and controlled GF delivery. HF-BPCP combines the adhesive, structural, and bioactive features of fibrin sealants with the regenerative potential of PRP, offering a fully autologous alternative for clinical applications requiring rapid coagulation, high mechanical support, and sustained GF availability. Further preclinical and clinical studies are needed to evaluate therapeutic efficacy in the regenerative medicine field. Full article
(This article belongs to the Special Issue Biomaterials: Pharmaceutical Applications)
Show Figures

Figure 1

Back to TopTop