Sign in to use this feature.

Years

Between: -

Subjects

remove_circle_outline
remove_circle_outline
remove_circle_outline
remove_circle_outline
remove_circle_outline
remove_circle_outline
remove_circle_outline
remove_circle_outline
remove_circle_outline

Journals

remove_circle_outline
remove_circle_outline
remove_circle_outline
remove_circle_outline
remove_circle_outline
remove_circle_outline
remove_circle_outline
remove_circle_outline
remove_circle_outline
remove_circle_outline
remove_circle_outline
remove_circle_outline
remove_circle_outline
remove_circle_outline
remove_circle_outline
remove_circle_outline

Article Types

Countries / Regions

remove_circle_outline
remove_circle_outline
remove_circle_outline
remove_circle_outline
remove_circle_outline

Search Results (1,172)

Search Parameters:
Keywords = adaptive fabrication

Order results
Result details
Results per page
Select all
Export citation of selected articles as:
27 pages, 20097 KB  
Article
Balancing Heritage and Modernity: A Hierarchical Adaptive Approach in Rome’s Cultural Sports Urban Renewal
by Kai Tang and Angelo Figliola
Buildings 2025, 15(24), 4570; https://doi.org/10.3390/buildings15244570 - 18 Dec 2025
Abstract
This research proposes a hierarchical adaptive approach to urban renewal that seeks to reconcile heritage preservation with contemporary functional demands in historic urban environments. Focusing on cultural and sports public facilities in the northwestern urban–rural interface of Rome, the research identifies critical mismatches [...] Read more.
This research proposes a hierarchical adaptive approach to urban renewal that seeks to reconcile heritage preservation with contemporary functional demands in historic urban environments. Focusing on cultural and sports public facilities in the northwestern urban–rural interface of Rome, the research identifies critical mismatches between facility typologies, user groups, and mobility patterns, including fragmented connectivity, child-exclusionary environments, and unsafe pedestrian–vehicular interactions. A three-tiered intervention framework is developed, comprising minimal intervention for heritage-preserved structures, semi-intervention for high-use contemporary facilities, and full intervention for generic or underutilized buildings and undeveloped land. Using field surveys, GIS-based spatial analysis, and visualized performance metrics, the study evaluates how vertical functional superposition, independent pedestrian systems, and transitional connectors can enhance spatial legibility, accessibility, and social inclusiveness. The results show that hierarchical adaptive renewal improves pedestrian safety, strengthens functional integration between cultural–sports facilities and adjacent residential areas, and activates underused spaces while maintaining the integrity of Rome’s historic fabric. Beyond the case study, the framework offers a transferable model for other high-density historic cities seeking to balance heritage protection, everyday usability, and sustainable urban development. Full article
Show Figures

Figure 1

25 pages, 14035 KB  
Article
Phase Measuring Deflectometry for Wafer Thin-Film Stress Mapping
by Yang Gao, Xinjun Wan, Kunying Hsin, Jiaqing Tao, Zhuoyi Yin and Fujun Yang
Sensors 2025, 25(24), 7668; https://doi.org/10.3390/s25247668 - 18 Dec 2025
Abstract
Wafer-level thin-film stress measurement is essential for reliable semiconductor fabrication. However, existing techniques present limitations in practice. Interferometry achieves high precision but at a cost that becomes prohibitive for large wafers. Meanwhile laser-scanning systems are more affordable but can only provide sparse data [...] Read more.
Wafer-level thin-film stress measurement is essential for reliable semiconductor fabrication. However, existing techniques present limitations in practice. Interferometry achieves high precision but at a cost that becomes prohibitive for large wafers. Meanwhile laser-scanning systems are more affordable but can only provide sparse data points. This work develops a phase-measuring deflectometry (PMD) system to bridge this gap and deliver a full-field solution for wafer stress mapping. The implementation addresses three key challenges in adapting PMD. First, screen positioning and orientation are refined using an inverse bundle-adjustment approach, which performs multi-parameter optimization without re-optimizing the camera model and simultaneously uses residuals to quantify screen deformation. Second, a backward-propagation ray-tracing framework benchmarks two iterative strategies to resolve the slope-height ambiguity which is a fundamental challenge in PMD caused by the absence of a fixed optical center on the source side. The reprojection constraint strategy is selected for its superior convergence precision. Third, this strategy is integrated with regional wavefront reconstruction based on Hermite interpolation to effectively eliminate edge artifacts. Experimental results demonstrate a peak-to-valley error in the reconstructed topography of 0.48 µm for a spherical mirror with a radius of 500 mm. The practical utility of the system is confirmed through curvature mapping of a 12-inch patterned wafer and further validated by stress measurements on an 8-inch bare wafer, which show less than 5% deviation from industry-standard instrumentation. These results validate the proposed PMD method as an accurate and cost-effective approach for production-scale thin-film stress inspection. Full article
(This article belongs to the Section Optical Sensors)
Show Figures

Figure 1

23 pages, 1293 KB  
Article
From Nature to Neutral Networks: AI-Driven Biomimetic Optimization in Architectural Design and Fabrication
by Anna Stefańska and Małgorzata Kurcjusz
Sustainability 2025, 17(24), 11333; https://doi.org/10.3390/su172411333 - 18 Dec 2025
Abstract
The integration of biomimetics and artificial intelligence (AI) in architecture is reshaping the foundations of computational design. This paper provides a comprehensive review of the current research trends and applications that combine AI-driven modeling with biologically inspired principles to optimize architectural forms, material [...] Read more.
The integration of biomimetics and artificial intelligence (AI) in architecture is reshaping the foundations of computational design. This paper provides a comprehensive review of the current research trends and applications that combine AI-driven modeling with biologically inspired principles to optimize architectural forms, material efficiency, and fabrication processes. By examining recent studies from Q1–Q2 journals (2019–2025), the paper identifies five primary “interfaces” through which AI expands the field of biomimetic design: biological pattern recognition, structural optimization, generative morphogenesis, resource management, and adaptive fabrication. The paper highlights the transition from conventional simulation-based design toward iterative, data-driven workflows integrating machine learning (ML), deep generative models, and reinforcement learning. The findings demonstrate that AI not only serves as a generative tool but also as a learning mechanism capable of translating biological intelligence into architectural logic. The paper concludes by proposing a methodological and educational framework for AI-driven biomimetic optimization, emphasizing the emergence of Artificial Intelligence in Architectural Design (AIAD) as a paradigm shift in architectural education and research. This convergence of biology, algorithms, and material systems is defining a new, adaptive approach to sustainable and intelligent architecture. Full article
Show Figures

Figure 1

20 pages, 3431 KB  
Article
Effect of MEX Process Parameters on the Mechanical Response of PLA Structures for Orthopedic Applications
by Stelios Avraam, Demetris Photiou, Theodoros Leontiou and Loucas Papadakis
J. Manuf. Mater. Process. 2025, 9(12), 414; https://doi.org/10.3390/jmmp9120414 (registering DOI) - 17 Dec 2025
Abstract
The advancement of polymeric materials for orthopedic applications has enabled the development of lightweight, adaptable structures that support patient-specific solutions. This study focuses on the design, fabrication, and mechanical characterization of additively manufactured (AM) polymeric polylactic acid (PLA) components produced via Material Extrusion [...] Read more.
The advancement of polymeric materials for orthopedic applications has enabled the development of lightweight, adaptable structures that support patient-specific solutions. This study focuses on the design, fabrication, and mechanical characterization of additively manufactured (AM) polymeric polylactic acid (PLA) components produced via Material Extrusion (MEX), commonly known as Fused Filament Fabrication (FFF). By optimizing geometric configurations and process parameters, these structures demonstrate enhanced flexibility, energy absorption, and load distribution, making them well-suited for orthopedic products and assistive devices. A comprehensive mechanical testing campaign was conducted to evaluate the elasticity, ductility, and strength of FFF-fabricated samples under tensile and three-point bending loads. Key process parameters, including nozzle diameter, layer thickness, and printing orientation, were systematically varied, and their influence on mechanical performance was recorded. The results reveal that these parameters affect mechanical properties in a complex, interdependent manner. To better understand these relationships, an automated routine was developed to calculate the experimental mechanical response, specifically, stiffness and strength. This methodology enables an automated evaluation of the output, considering parameter ranges for future applications. The outcome of the analysis of variance (ANOVA) of the experimental investigation reveals that the printing orientation has a strong impact on the mechanical anisotropy in FFF, while layer thickness and nozzle diameter demonstrate moderate-to-weak importance. Thereafter, the experimental findings were applied on an innovative orthopedic wrist splint design to be fabricated by means of FFF. The most suitable mechanical properties were selected to test the mechanical response of the designed components under operational bending loading by means of linear elastic finite element (FE) analysis. The computational results indicated the importance of employing the actual mechanical properties derived from the applied printing process parameters compared to data sheet values. Hereby, an additional parameter to adjust the mechanical response is the product’s design topology. Finally, this framework lays the foundation for future training of neural networks to optimize specific mechanical responses, reducing reliance on conventional trial-and-error processes and improving the balance between orthopedic product quality and manufacturing efficiency. Full article
Show Figures

Graphical abstract

16 pages, 3382 KB  
Article
Reinterpreting the Outstanding Universal Value of the Built Heritage of the Island of Mozambique: A Methodological Approach
by Isequiel Alcolete, José Mendes Silva, Luis Lage and Lidia Catarino
Heritage 2025, 8(12), 541; https://doi.org/10.3390/heritage8120541 - 17 Dec 2025
Abstract
This study proposes a methodological approach to reinterpret the Outstanding Universal Value (OUV) of the built heritage of the Island of Mozambique, inscribed on the UNESCO World Heritage List since 1991 under criteria IV and VI. In view of emerging challenges that threaten [...] Read more.
This study proposes a methodological approach to reinterpret the Outstanding Universal Value (OUV) of the built heritage of the Island of Mozambique, inscribed on the UNESCO World Heritage List since 1991 under criteria IV and VI. In view of emerging challenges that threaten the heritage-making process—namely, progressive interventions in the built fabric—a methodology of interrelated reading is presented, grounded in a critical and participatory perspective centered on the local community. This methodological structure is operationalized through an interrelated reading model that combines architectural, constructive and intangible layers within a multi-scalar analytical matrix. This approach is based on three interdependent dimensions: (i) material and immaterial; (ii) symbolic and identity-related; and (iii) functional and sustainable. The theoretical model developed, supported by the participation of multiple stakeholders, demonstrates that small adaptations—compatible with cultural values and local actors’ interpretations—can strengthen the recognition of the value of built heritage and foster sustainable human development. Given the existing typological diversity, the study concludes that it is essential to adapt the model of OUV reinterpretation to each specific context, acknowledging the plurality of possible solutions and promoting a balanced integration of material and immaterial values without compromising existing cultural significance. Full article
Show Figures

Figure 1

33 pages, 11655 KB  
Article
Biocompatibility of Materials Dedicated to Non-Traumatic Surgical Instruments Correlated to the Effect of Applied Force of Working Part on the Coronary Vessel
by Marcin Dyner, Aneta Dyner, Adam Byrski, Marcin Surmiak, Magdalena Kopernik, Katarzyna Kasperkiewicz, Przemyslaw Kurtyka, Karolina Szawiraacz, Kamila Pietruszewska, Zuzanna Zajac, Lukasz Mucha, Juergen M. Lackner, Michael Berer, Boguslaw Major and Marcin Basiaga
Materials 2025, 18(24), 5645; https://doi.org/10.3390/ma18245645 - 16 Dec 2025
Viewed by 16
Abstract
Cardiovascular clamping procedures can cause tissue traumatization, leading to serious adverse events interrupting blood flow and causing life-threatening hemorrhage. The aim of the study is to evaluate the properties of 3D-printed, high-elasticity elastomeric materials—BioMed Flex 50A and 80A (Formlabs Inc., Sommerville, MA, USA)—in [...] Read more.
Cardiovascular clamping procedures can cause tissue traumatization, leading to serious adverse events interrupting blood flow and causing life-threatening hemorrhage. The aim of the study is to evaluate the properties of 3D-printed, high-elasticity elastomeric materials—BioMed Flex 50A and 80A (Formlabs Inc., Sommerville, MA, USA)—in terms of their suitability for the fabrication of atraumatic inserts used for surgical clamping instruments. To show the importance of the elaboration of the new atraumatic materials, finite element simulations of blood vessel compression by a surgical tool were validated experimentally with porcine vessels, and histopathology assessed the tissue response. These results confirm that excessive clamping forces can cause vessel wall stratification and rupture. Specimens BioMed Flex 50A and 80A underwent surface, mechanical, and biological testing, including topography, wettability, acoustic microscopy for structural voids, cytotoxicity with human dermal fibroblasts, pro-inflammatory marker analysis, and bacterial biofilm assessment. The results of the testing of the 3D-printed BioMed Flex 50A and 80A materials show good potential for applications in safe atraumatic surgical instruments. Further research may include the possibilities to develop 3D-printed metamaterials with pressure adapting properties. Full article
(This article belongs to the Section Biomaterials)
Show Figures

Graphical abstract

21 pages, 125689 KB  
Article
Design and Validation of a Soft Pneumatic Submodule for Adaptive Humanoid Foot Compliance
by Irene Frizza, Hiroshi Kaminaga, Philippe Fraisse and Gentiane Venture
Machines 2025, 13(12), 1142; https://doi.org/10.3390/machines13121142 - 16 Dec 2025
Viewed by 26
Abstract
Achieving stable contact on uneven terrain remains a key challenge in humanoid robotics, as most feet rely on rigid or passively compliant structures with fixed stiffness. This work presents the design, fabrication, and analytical modeling of a compact soft pneumatic submodule capable of [...] Read more.
Achieving stable contact on uneven terrain remains a key challenge in humanoid robotics, as most feet rely on rigid or passively compliant structures with fixed stiffness. This work presents the design, fabrication, and analytical modeling of a compact soft pneumatic submodule capable of tunable longitudinal stiffness, developed as a proof-of-concept unit for adaptive humanoid feet. The submodule features a tri-layer architecture with two antagonistic pneumatic chambers separated by an inextensible layer and reinforced by rigid inserts. A single-step wax-core casting process integrates all materials into a monolithic soft–rigid structure, ensuring precise geometry and repeatable performance. An analytical model relating internal pressure to equivalent stiffness was derived and experimentally validated, showing a linear stiffness–pressure relation with mean error below 10% across 0–30 kPa. Static and dynamic tests confirmed tunable stiffness between 0.18 and 0.43 N·m/rad, a rapid symmetric response (2.9–3.4 ms), and stable stiffness under cyclic loading at gait-relevant frequencies. These results demonstrate the submodule’s suitability as a scalable building block for distributed, real-time stiffness modulation in next-generation humanoid feet. Full article
(This article belongs to the Section Robotics, Mechatronics and Intelligent Machines)
Show Figures

Graphical abstract

18 pages, 6849 KB  
Article
Neuro-Fuzzy Framework with CAD-Based Descriptors for Predicting Fabric Utilization Efficiency
by Anastasios Tzotzis, Prodromos Minaoglou, Dumitru Nedelcu, Simona-Nicoleta Mazurchevici and Panagiotis Kyratsis
Eng 2025, 6(12), 368; https://doi.org/10.3390/eng6120368 - 16 Dec 2025
Viewed by 53
Abstract
This study presents an intelligent modeling framework for predicting fabric nesting efficiency (NE) based on geometric descriptors of garment patterns, offering a rapid alternative to conventional nesting software. A synthetic dataset of 1000 layouts was generated using a custom Python algorithm that simulates [...] Read more.
This study presents an intelligent modeling framework for predicting fabric nesting efficiency (NE) based on geometric descriptors of garment patterns, offering a rapid alternative to conventional nesting software. A synthetic dataset of 1000 layouts was generated using a custom Python algorithm that simulates realistic garment-like shapes within a fixed fabric size. Each layout was characterized by five geometric descriptors: number of pieces (NP), average piece area (APA), average aspect ratio (AAR), average compactness (AC), and average convexity (CVX). The relationship between these descriptors and NE was modeled using a Sugeno-type Adaptive Neuro-Fuzzy Inference System (ANFIS). Various membership function (MF) structures were examined, and the configuration 3-3-2-2-2 was identified as optimal, yielding a mean relative error of −0.1%, with high coefficient of determination (R2 > 0.98). The model was validated through comparison between predicted NE values and results obtained from an actual nesting process performed with Deepnest.io, demonstrating strong agreement. The proposed method enables efficient estimation of NE directly from CAD-based parameters, without requiring computationally intensive nesting simulations. This approach provides a valuable decision-support tool for fabric and apparel designers, facilitating rapid assessment of material utilization and supporting design optimization toward reduced fabric waste. Full article
(This article belongs to the Special Issue Artificial Intelligence for Engineering Applications, 2nd Edition)
Show Figures

Figure 1

12 pages, 2451 KB  
Article
Microwave Dynamic Modulation Metasurface Absorber Based on Origami Structure
by Zhaoxu Pan, Qiaobai He, Ruicong Zhang, Tianyu Wang, Jiaqi Zhu and Zicheng Song
Optics 2025, 6(4), 67; https://doi.org/10.3390/opt6040067 - 15 Dec 2025
Viewed by 98
Abstract
With the rapid advancement of detection technologies, traditional static electromagnetic absorbers increasingly struggle to meet controllable stealth requirements across diverse dynamic environments. To achieve active and controllable modulation of electromagnetic reflection characteristics, this paper proposes a transparent reconfigurable metamaterial absorber based on an [...] Read more.
With the rapid advancement of detection technologies, traditional static electromagnetic absorbers increasingly struggle to meet controllable stealth requirements across diverse dynamic environments. To achieve active and controllable modulation of electromagnetic reflection characteristics, this paper proposes a transparent reconfigurable metamaterial absorber based on an origami structure. By adjusting the folding angles of the indium tin oxide (ITO)-polyethylene terephthalate (PET) film, the structure achieves reversible deformation from the vertical state to the horizontal state. This enables continuous modulation of the reflectance from below −10 dB (absorbing state) to nearly 0 dB (reflecting state) within the 4–18.9 GHz frequency range, with a relative bandwidth exceeding 130% and excellent angular stability. The energy loss and current distribution under different states are analyzed, revealing the mechanisms behind broadband absorption and deep modulation. Experimental measurements of the fabricated metamaterial align well with simulation results. Leveraging its flexible structure, reversible modulation capability, and angular stability, this origami-inspired reconfigurable metamaterial demonstrates promising application potential in the fields of adaptive electromagnetic camouflage and stealth protection. Full article
Show Figures

Figure 1

20 pages, 6897 KB  
Article
Novel Development of FDM-Based Wrist Hybrid Splint Using Numerical Computation Enhanced with Material and Damage Model
by Loucas Papadakis, Stelios Avraam, Muhammad Zulhilmi Mohd Izhar, Keval Priapratama Prajadhiana, Yupiter H. P. Manurung and Demetris Photiou
J. Manuf. Mater. Process. 2025, 9(12), 408; https://doi.org/10.3390/jmmp9120408 - 12 Dec 2025
Viewed by 218
Abstract
Additive manufacturing has increasingly become a transformative approach in the design and fabrication of personalized medical devices, offering improved adaptability, reduced production time, and enhanced patient-specific functionality. Within this framework, simulation-driven design plays a critical role in ensuring the structural reliability and performance [...] Read more.
Additive manufacturing has increasingly become a transformative approach in the design and fabrication of personalized medical devices, offering improved adaptability, reduced production time, and enhanced patient-specific functionality. Within this framework, simulation-driven design plays a critical role in ensuring the structural reliability and performance of orthopedic supports before fabrication. This research study delineates the novel development of a wrist hybrid splint (WHS) which has a simulation-based design and was additively manufactured using fused deposition modeling (FDM). The primary material selected for this purpose was polylactic acid (PLA), recognized for its biocompatibility and structural integrity in medical applications. Prior to the commencement of the actual FDM process, an extensive pre-analysis was imperative, involving the application of nonlinear numerical models aiming at replicating the mechanical response of the WHS in respect to different deposition configurations. The methodology encompassed the evaluation of a sophisticated material model incorporating a damage mechanism which was grounded in experimental data derived from meticulous tensile and three-point bending testing of samples with varying FDM process parameters, namely nozzle diameter, layer thickness, and deposition orientation. The integration of custom subroutines with utility routines was coded with a particular emphasis on maximum stress thresholds to ensure the fidelity and reliability of the simulation outputs on small scale samples in terms of their elasticity and strength. After the formulation and validation of these computational models, a comprehensive simulation of a full-scale, finite element (FE) model of two WHS design variations was conducted, the results of which were aligned with the stringent requirements set forth by the product specifications, ensuring comfortable and safe usage. Based on the results of this study, the final force comparison between the numerical simulation and experimental measurements demonstrated a discrepancy of less than 2%. This high level of agreement highlights the accuracy of the employed methodologies and validates the effectiveness of the WHS simulation and fabrication approach. The research also concludes with a strong affirmation of the material model with a damage mechanism, substantiating its applicability and effectiveness in future manufacturing of the WHS, as well as other orthopedic support devices through an appropriate selection of FDM parameters. Full article
Show Figures

Figure 1

33 pages, 6567 KB  
Review
Artificial Intelligence in Biomedical 3D Printing: Mapping the Evidence
by Maria Tănase, Cristina Veres and Dan-Alexandru Szabo
J. Manuf. Mater. Process. 2025, 9(12), 407; https://doi.org/10.3390/jmmp9120407 - 11 Dec 2025
Viewed by 515
Abstract
This study provides an integrated synthesis of Artificial Intelligence (AI) applications in Biomedical 3D Printing, mapping the conceptual and structural evolution of this rapidly emerging field. The bibliometric analysis, based on 229 publications indexed in the Web of Science Core Collection (2018–2025) and [...] Read more.
This study provides an integrated synthesis of Artificial Intelligence (AI) applications in Biomedical 3D Printing, mapping the conceptual and structural evolution of this rapidly emerging field. The bibliometric analysis, based on 229 publications indexed in the Web of Science Core Collection (2018–2025) and visualised in CiteSpace, identifies three interconnected research domains: AI-driven design and process optimisation, data-assisted bioprinting for tissue engineering, and the development of smart and adaptive materials enabling 4D functionalities. The results highlight a clear progression from algorithmic control of additive manufacturing parameters toward predictive modelling, deep learning, and autonomous fabrication systems. Leading contributors include China, India, and the USA, while journals such as Applied Sciences, Polymers, and Advanced Materials act as major dissemination platforms. Emerging clusters around “4D printing”, “deep learning”, and “shape memory polymers” indicate a shift toward intelligent, sustainable, and personalised biomanufacturing. In addition, a qualitative synthesis of the most influential papers complements the bibliometric mapping, providing interpretative depth on the scientific core driving this interdisciplinary evolution. Overall, the study reveals the consolidation of a multidisciplinary research ecosystem in which computational intelligence and biomedical engineering converge to advance the next generation of adaptive medical fabrication technologies. Full article
Show Figures

Figure 1

32 pages, 11529 KB  
Review
Flexible Polymer Hydrogel Materials for Next-Generation Wearable Energy Storage Technologies
by Thirukumaran Periyasamy, Shakila Parveen Asrafali and Jaewoong Lee
Gels 2025, 11(12), 999; https://doi.org/10.3390/gels11120999 - 11 Dec 2025
Viewed by 308
Abstract
The rapid advancement of wearable technology has created an increasing demand for efficient, high-performance energy storage systems that also offer key characteristics such as flexibility, lightweight, and durability. Among the emerging materials, polymer hydrogels have garnered significant attention due to their unique combination [...] Read more.
The rapid advancement of wearable technology has created an increasing demand for efficient, high-performance energy storage systems that also offer key characteristics such as flexibility, lightweight, and durability. Among the emerging materials, polymer hydrogels have garnered significant attention due to their unique combination of viscoelasticity, low density, and tunable porous nanostructures. These materials exhibit adaptable surface and structural properties, making them promising candidates for next-generation flexible and wearable energy storage devices. This work provides an overview of recent progress and innovations in the application of polymer hydrogels for the development of flexible energy storage systems. The intrinsic three-dimensional architecture and porous morphology of these hydrogels offer a versatile platform for constructing high-performance supercapacitors, rechargeable batteries, and personal thermal management devices. Various types of polymer hydrogels and their principal fabrication methods are discussed in detail, along with the structural factors that influence their electrochemical and mechanical performance. Furthermore, recent advancements in integrating polymer hydrogel materials into wearable and flexible technologies—such as energy storage devices, thermal regulation systems, and multifunctional energy platforms—are comprehensively reviewed and analyzed. Full article
(This article belongs to the Special Issue Energy Storage and Conductive Gel Polymers)
Show Figures

Figure 1

11 pages, 1982 KB  
Article
Improving Channel Uniformity of Multiplexer with High-Degree-of-Freedom Auxiliary Waveguides
by Qingran Liu, Chenyan Zhang, Pengju Hu, Huanjie Chen, Xiyan Xu and Chongfu Zhang
Optics 2025, 6(4), 65; https://doi.org/10.3390/opt6040065 - 11 Dec 2025
Viewed by 120
Abstract
In order to further mitigate the channel non-uniformity at the junction between the input slab and the arrayed waveguide grating in traditional AWG structures, we design a highly flexible, structurally adaptive linear auxiliary waveguide. Through systematic parameter scanning utilizing the Particle Swarm Optimization [...] Read more.
In order to further mitigate the channel non-uniformity at the junction between the input slab and the arrayed waveguide grating in traditional AWG structures, we design a highly flexible, structurally adaptive linear auxiliary waveguide. Through systematic parameter scanning utilizing the Particle Swarm Optimization (PSO) algorithm, an optimal set of geometric parameters for the auxiliary waveguide is identified. This optimization strategy achieves a significant reduction in loss non-uniformity by 0.5 dB relative to the conventional AWG configuration, culminating in a final non-uniformity of merely 0.253 dB. This improvement underscores the critical role of advanced structural tuning and algorithmic optimization in enhancing the performance of photonic integrated circuits, particularly in dense wavelength division multiplexing (DWDM) applications for next-generation communication systems such as radio-over-fiber (RoF) architecture-based 6G. The method can provide a scalable and efficient pathway toward high-uniformity, AWG designs without introducing additional fabrication complexity or incurring substantial costs. Full article
Show Figures

Figure 1

26 pages, 4997 KB  
Article
Regional Lessons to Support Local Guidelines: Adaptive Housing Solutions from the Baltic Sea Region for Climate-Sensitive Waterfronts in Gdańsk
by Bahaa Bou Kalfouni, Anna Rubczak, Olga Wiszniewska, Piotr Warżała, Filip Lasota and Dorota Kamrowska-Załuska
Sustainability 2025, 17(24), 11082; https://doi.org/10.3390/su172411082 - 10 Dec 2025
Viewed by 221
Abstract
Across the Baltic Sea region, areas situated in climate-sensitive water zones are increasingly exposed to environmental and socio-economic challenges. Gdańsk, Poland, is a prominent example where the rising threat of climate-related hazards, particularly connected with flooding, coincides with growing demand for resilient and [...] Read more.
Across the Baltic Sea region, areas situated in climate-sensitive water zones are increasingly exposed to environmental and socio-economic challenges. Gdańsk, Poland, is a prominent example where the rising threat of climate-related hazards, particularly connected with flooding, coincides with growing demand for resilient and adaptive housing solutions. Located in the Vistula Delta, the city’s vulnerability is heightened by its low-lying terrain, polder-based land systems, and extensive waterfronts. These geographic conditions underscore the urgent need for flexible, climate-responsive design strategies that support long-term adaptation while safeguarding the urban fabric and the well-being of local communities. This study provides evidence-based guidance for adaptive housing solutions tailored to Gdańsk’s waterfronts. It draws on successful architectural and urban interventions across the Baltic Sea region, selected for their environmental, social, and cultural relevance, to inform development approaches that strengthen resilience and social cohesion. To achieve this, an exploratory case study methodology was employed, supported by desk research and qualitative content analysis of strategic planning documents, academic literature, and project reports. A structured five-step framework, comprising project identification, document selection, qualitative assessment, data extraction, and analysis, was applied to examine three adaptive housing projects: Hammarby Sjöstad (Stockholm), Kalasataman Huvilat (Helsinki), and Urban Rigger (Copenhagen). Findings indicate measurable differences across nine sustainability indicators (1–5 scale): Hammarby Sjöstad excels in environmental integration (5/5 in carbon reduction and renewable energy), Kalasataman Huvilat demonstrates strong modular and human-scaled adaptability (3–5/5 across social and housing flexibility), and Urban Rigger leads in climate adaptability and material efficiency (4–5/5). Key adaptive measures include flexible spatial design, integrated environmental management, and community engagement. The study concludes with practical recommendations for local planning guidelines. The guidelines developed through the Gdańsk case study show strong potential for broader application in cities facing similar challenges. Although rooted in Gdańsk’s specific conditions, the model’s principles are transferable and adaptable, making the framework relevant to water sensitivity, flexible housing, and inclusive, resilient urban strategies. It offers transversal value to both urban scholars and practitioners in planning, policy, and community development. Full article
Show Figures

Figure 1

21 pages, 10393 KB  
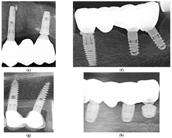
Article
Clinical Performance and Retention of Partial Implant Restorations Cemented with Fuji Plus® and DentoTemp™: A Retrospective Clinical Study with Mechanical Validation
by Sergiu-Manuel Antonie, Laura-Cristina Rusu, Ioan-Achim Borsanu, Remus Christian Bratu and Emanuel-Adrian Bratu
Medicina 2025, 61(12), 2183; https://doi.org/10.3390/medicina61122183 - 8 Dec 2025
Viewed by 182
Abstract
Background and Objectives: Cement-retained implant restorations are widely used because they offer favorable esthetics and a passive fit. Their long-term performance is strongly influenced by cement selection and surface conditioning. This study compared the clinical performance of a resin-modified glass ionomer cement [...] Read more.
Background and Objectives: Cement-retained implant restorations are widely used because they offer favorable esthetics and a passive fit. Their long-term performance is strongly influenced by cement selection and surface conditioning. This study compared the clinical performance of a resin-modified glass ionomer cement (Fuji Plus®) with a provisional acrylic-urethane cement (DentoTemp™) in partial implant restorations. Materials and Methods: A retrospective cohort of 40 patients with three-unit implant-supported fixed dental prostheses was followed for at least three years. Restorations were fabricated from zirconia or metal-ceramic frameworks and cemented with either Fuji Plus® or DentoTemp™. Clinical outcomes included retention, failure events, marginal adaptation, and peri-implant tissue response. In order to illustrate the impact of cement type and abutment height, mechanical testing was also carried out on standardized in vitro models; however, these tests were not powered for formal hypothesis testing. Although OCT images were included in this study only as illustrative examples from our clinical database and were not obtained from the analyzed cohort, OCT may be a useful tool for non-invasive assessment of marginal fit. Results: Zirconia restorations showed a retention rate of 95 percent, while metal-ceramic restorations reached 85 percent. All four failures occurred in cases cemented with DentoTemp™, giving an overall retention rate of 80 percent for this group. Fuji Plus® achieved complete retention in all cases. Re-cementation with Fuji Plus® successfully resolved the failures. Marginal adaptation was evaluated qualitatively because radiographic analysis did not enable accurate measurement of marginal gaps. When cement remnants were found, mild peri-implant inflammation was seen. Conclusions: Within the limitations of this small retrospective, non-randomized cohort, Fuji Plus® demonstrated a tendency toward better peri-implant tissue response and longer-term retention than DentoTemp™. These findings should be interpreted as preliminary and exploratory rather than conclusive. Fuji Plus® may be a suitable option for definitive cementation in partial implant restorations, while DentoTemp™ may be considered in selected situations where retrievability is important. Full article
(This article belongs to the Section Dentistry and Oral Health)
Show Figures

Figure 1

Back to TopTop