Sign in to use this feature.

Years

Between: -

Subjects

remove_circle_outline
remove_circle_outline
remove_circle_outline
remove_circle_outline
remove_circle_outline
remove_circle_outline
remove_circle_outline

Journals

remove_circle_outline
remove_circle_outline
remove_circle_outline
remove_circle_outline
remove_circle_outline
remove_circle_outline

Article Types

Countries / Regions

remove_circle_outline
remove_circle_outline
remove_circle_outline
remove_circle_outline

Search Results (647)

Search Parameters:
Keywords = TLR4 inflammatory signaling pathway

Order results
Result details
Results per page
Select all
Export citation of selected articles as:
13 pages, 649 KB  
Article
Diagnostic Utility of Serum Activating Transcription Factor 4 and Toll-like Receptor 4 as Early Biomarkers of Inflammation in Metabolic Dysfunction–Associated Steatotic Liver Disease
by Isa Yalcinkaya, Iskender Ekinci, Seyma Dumur, Eda Nur Duran, Hafize Uzun, Melda Yalcinkaya, Elif Kadioglu Yeniyurt, Omer Vehbi Alpaydin, Gulden Anataca and Omur Tabak
J. Clin. Med. 2026, 15(2), 559; https://doi.org/10.3390/jcm15020559 - 9 Jan 2026
Abstract
Background/Objectives: This study aimed to evaluate the serum activating transcription factor 4 (ATF4) and toll-like receptor 4 (TLR4) levels in patients with metabolic dysfunction–associated steatotic liver disease (MASLD), and to explain the mechanism in the inflammatory and fibrogenic signaling pathways that are thought [...] Read more.
Background/Objectives: This study aimed to evaluate the serum activating transcription factor 4 (ATF4) and toll-like receptor 4 (TLR4) levels in patients with metabolic dysfunction–associated steatotic liver disease (MASLD), and to explain the mechanism in the inflammatory and fibrogenic signaling pathways that are thought to play a role in the development of MASLD through these parameters. Methods: Eighty-eight patients with MASLD and 88 age-sex matched healthy controls were included in this study. Serum ATF4 and TLR4 concentrations were measured using an ELISA method. Results: Both TLR4 (p = 0.010) and ATF4 (p < 0.001) levels were higher in the MASLD group. In this group, TLR4 showed a negative correlation with age. ROC analysis indicated that an ATF4 value of 1.305 or above identified MASLD with 93.2% sensitivity and 85.2% specificity (AUC = 0.968, p < 0.001). For TLR4, a cut-off of 343.5 yielded a sensitivity of 54.5% and a specificity of 70.5% (AUC = 0.613, p = 0.01), indicating limited discriminative ability. Conclusions: Patients with MASLD had higher serum TLR4 and ATF4 levels, consistent with their involvement in inflammatory and fibrotic pathways. ATF4 showed strong diagnostic performance and may serve as a useful non-invasive marker for early MASLD. When evaluated together with TLR4, it may provide complementary information regarding inflammatory pathway activation. Full article
(This article belongs to the Section Gastroenterology & Hepatopancreatobiliary Medicine)
24 pages, 6324 KB  
Article
MicroRNAs as Key Regulators in the Progression of Metabolic Dysfunction-Associated Steatotic Liver Disease: A Bioinformatics Analysis
by Claudriana Locatelli, Karine Luz, Sergio Fallone de Andrade, Emyr Hiago Bellaver, Rosana Claudio Silva Ogoshi, Ariana Centa, João Paulo Assolini, Gustavo Colombo Dal Pont and Tania Beatriz Creczynski-Pasa
Biomedicines 2026, 14(1), 120; https://doi.org/10.3390/biomedicines14010120 - 7 Jan 2026
Abstract
Background: Metabolic dysfunction-associated steatotic liver disease (MASLD), formerly known as non-alcoholic fatty liver disease, is a highly prevalent hepatic condition closely linked to metabolic syndrome (MetS). Epigenetic regulators such as microRNAs (miRNAs) have emerged as critical modulators of the molecular pathways underlying MASLD [...] Read more.
Background: Metabolic dysfunction-associated steatotic liver disease (MASLD), formerly known as non-alcoholic fatty liver disease, is a highly prevalent hepatic condition closely linked to metabolic syndrome (MetS). Epigenetic regulators such as microRNAs (miRNAs) have emerged as critical modulators of the molecular pathways underlying MASLD pathogenesis, offering new perspectives for non-invasive diagnosis and targeted therapy. This study aimed to identify and characterize target genes and pathways regulated by two key hepatic miRNAs, namely miR-122 and miR-29a, through a comprehensive in silico bioinformatics approach, to better understand their functional roles in MASLD and MetS. Methods: Target genes of miR-122 and miR-29a were predicted using three databases (TargetScan, DIANA-microT-CDS, and miRWalk), and those identified by at least two databases were selected for downstream analyses. Functional enrichment was performed using Gene Ontology and KEGG pathway analysis. Gene networks and biological process maps were constructed using Metascape, clusterProfiler and Cytoscape. Results: miR-122 was found to negatively regulate genes involved in lipid metabolism, insulin signaling, and inflammatory pathways, including PPARGC1A, PPARA, LPL, TLR4, and HMGCR, contributing to insulin resistance and liver dysfunction. By contrast, miR-29a demonstrated potential hepatoprotective effects by targeting LEP, INSR, IL13, and IL18, enhancing insulin sensitivity and reducing fibrogenic activity. Enrichment analysis revealed strong associations with biological processes, such as STAT phosphorylation, lipid homeostasis, and inflammatory signaling, as well as associations with cellular components, including lipoproteins and plasma membranes. miR-122 and miR-29a exhibit opposing regulatory functions in MASLD pathogenesis. Whereas miR-122 is associated with disease progression, miR-29a acts protectively. These miRNAs may serve as promising biomarkers and therapeutic targets in MASLD and related metabolic conditions. Further validation through experimental and clinical studies is warranted. Full article
(This article belongs to the Special Issue Bioinformatics Analysis of RNA for Human Health and Disease)
Show Figures

Figure 1

17 pages, 3786 KB  
Article
Effects of Blue Light Exposure on Hepatic Inflammation and Gut Microbiota in Mice Consuming a High-Fat, High-Fructose Diet
by Wen-Chih Huang, Pei-Ni Lee, Wan-Ju Yeh, Wen-Chi Wu, Hsin-Yu Shih, Yi-Jen Chen and Hsin-Yi Yang
Nutrients 2026, 18(1), 164; https://doi.org/10.3390/nu18010164 - 4 Jan 2026
Viewed by 197
Abstract
Background: High-fat or high-fructose consumption may cause abnormal lipid accumulation in the liver, resulting in fatty liver disease, and the intervention of other stress factors may accelerate the progression of this condition. Many studies have demonstrated that long-term exposure to blue light may [...] Read more.
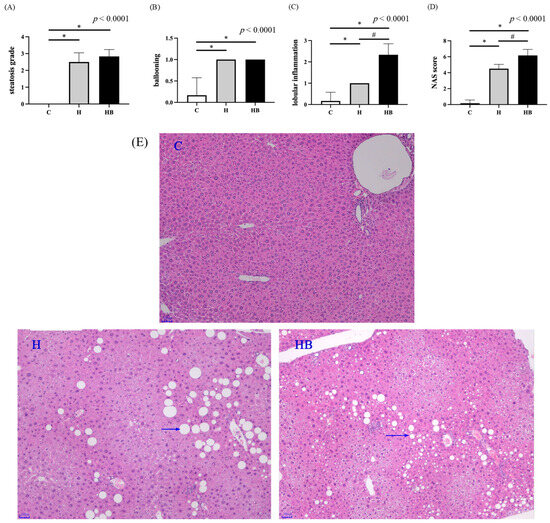
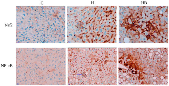
Background: High-fat or high-fructose consumption may cause abnormal lipid accumulation in the liver, resulting in fatty liver disease, and the intervention of other stress factors may accelerate the progression of this condition. Many studies have demonstrated that long-term exposure to blue light may not only injure the eyes but also cause an increase in oxidative stress, which has been related to metabolic and gut microbiota disorders. However, current research on whether blue light exposure exacerbates fatty liver disease still remains limited. Objective: Therefore, the aim of this study is to investigate the effect of a high-fat, high-fructose diet combined with blue light exposure on fatty liver disease progression. Method: In the first part of the study, we observed that 16 weeks of blue light exposure alone did not achieve significant effects in the liver of male, female, or OVX mice. Therefore, in the second part, we fed ICR mice a high-fat, high-fructose (HFHF) diet to investigate the effect of simultaneous 16-week exposure to blue light. The mice were assigned to three groups, control group (C), HFHF diet group (H), and HFHF diet plus blue light exposure group (HB), to investigate the intervention of unhealthy diet composition and blue light exposure on hepatic oxidative and inflammatory makers and gut microbiota composition. Results: The results showed that exposure to blue light exacerbates oxidative stress (hepatic MDA, p < 0.009), and inflammatory damage (lobular inflammation score, p < 0.0001; hepatic TNF-α, p = 0.0074) caused by an HFHF diet, but this mechanism is not mediated by the TLR4 signaling pathway. Furthermore, exposure to blue light may also partially affect the composition of the gut microbiota. Conclusions: The results of the study suggested that under unhealthy dietary conditions, long-term blue light exposure may be one of the risk factors accelerating the progression of fatty liver disease. Full article
Show Figures

Graphical abstract

25 pages, 1727 KB  
Review
Macrophage Plasticity and Regulatory Networks During the Transition from Inflammation to Fibrosis in the Kidney
by Yehun Moon, Jintaek Hong, Jinwoo Chung and Jea-Hyun Baek
Life 2026, 16(1), 52; https://doi.org/10.3390/life16010052 - 29 Dec 2025
Viewed by 363
Abstract
Kidney fibrosis represents the final common pathway of nearly all progressive renal diseases, linking acute kidney injury (AKI) and chronic kidney disease (CKD) through a maladaptive repair process. Regardless of etiology, persistent inflammation and excessive extracellular matrix (ECM) deposition drive irreversible structural distortion [...] Read more.
Kidney fibrosis represents the final common pathway of nearly all progressive renal diseases, linking acute kidney injury (AKI) and chronic kidney disease (CKD) through a maladaptive repair process. Regardless of etiology, persistent inflammation and excessive extracellular matrix (ECM) deposition drive irreversible structural distortion and functional decline in the kidney. Among cellular mediators, macrophages occupy a central role across the continuum from acute injury to fibrosis, orchestrating both tissue injury and repair through dynamic transitions between pro-inflammatory (M1) and pro-fibrotic (M2) states in response to local cues. Here, we synthesize macrophage-driven mechanisms of renal fibrosis, emphasizing recruitment, infiltration, and local proliferation mediated by chemokine–receptor networks and mechanosensitive ion channels. In addition, in this review paper, we provide an overview on the dual roles of macrophages in acute inflammation and chronic remodeling through key cytokine signaling pathways (TLR4/NF-κB, IL-4/STAT6, TGF-β/Smad, IL-10/STAT3), highlighting how metabolic reprogramming, mechanochemical feedback via Yes-associated protein (YAP)/transcriptional coactivator with PDZ-binding motif (TAZ) signaling, and epigenetic modulators collectively stabilize the fibrotic macrophage phenotype. Also, emerging insights into mitochondrial dysfunction, succinate–succinate receptor 1 (SUCNR1) signaling, and autophagy dysregulation reveal the metabolic basis of macrophage persistence in fibrotic kidneys. Understanding these multilayered regulatory circuits offers a framework for therapeutic strategies that selectively target macrophage-dependent fibrogenesis to halt the transition from acute injury to chronic renal failure. Full article
(This article belongs to the Special Issue New Insights into Cellular Inflammation and Regeneration)
Show Figures

Figure 1

25 pages, 5758 KB  
Article
Analysis of Pro- and Anti-Inflammatory Gene Response Patterns in Patients Receiving Phage Therapy
by Hubert Kasprzak, Maciej Przybylski, Wojciech Fortuna, Sławomir Letkiewicz, Paweł Rogóż, Barbara Bubak, Andrzej Górski and Ryszard Międzybrodzki
Int. J. Mol. Sci. 2026, 27(1), 172; https://doi.org/10.3390/ijms27010172 - 23 Dec 2025
Viewed by 263
Abstract
Phage therapy (PT) is a promising alternative for antibiotic-resistant infections, but its immunomodulatory effects in clinical settings remain poorly understood. This exploratory observational study aimed to characterize pro- and anti-inflammatory gene response patterns in ten patients undergoing personalized PT at the Phage Therapy [...] Read more.
Phage therapy (PT) is a promising alternative for antibiotic-resistant infections, but its immunomodulatory effects in clinical settings remain poorly understood. This exploratory observational study aimed to characterize pro- and anti-inflammatory gene response patterns in ten patients undergoing personalized PT at the Phage Therapy Unit in Wrocław. Peripheral blood mononuclear cells (PBMCs) and granulocytes were analyzed to assess changes in the expression of 22 selected immune-related genes associated with innate and adaptive immune signaling pathways. While no uniform pattern of immune gene expression was observed across the cohort, individual cases exhibited significant up- or downregulation of specific genes. Interestingly, we identified biological age as a potential determinant of the host response. Specifically, older patients showed higher activation of the innate sensing machinery in PBMCs, characterized by a higher TLR4 fold change which may reflect the “inflammaging” phenomenon. These findings suggest that chronic exposure to bacterial viruses (bacteriophages), unlike many viral infections, does not trigger a predictable, significant systemic immune activation and that immune responses to PT are highly individualized by host- and phage-related biological factors. By documenting this spectrum of real-world responses, our work provides baseline data and hypotheses to guide the rational design of future preclinical and clinical investigations. Full article
(This article belongs to the Special Issue Applications of Bacteriophages)
Show Figures

Figure 1

15 pages, 23101 KB  
Article
Identification of Differentially Expressed Genes and Molecular Pathways Involved in Primary Biliary Cholangitis Using RNA-Seq
by Min Yang, Xiaoyun Shen, Haitao Fu, Jie Lu and Fengying Li
Genes 2026, 17(1), 10; https://doi.org/10.3390/genes17010010 - 22 Dec 2025
Viewed by 355
Abstract
Objective: This study aims to investigate the functional role of lncRNA STX17-DT, which was previously found to be upregulated in peripheral blood mononuclear cells (PBMCs) of PBC patients, by examining its impact on gene expression and cellular behavior in a human monocyte [...] Read more.
Objective: This study aims to investigate the functional role of lncRNA STX17-DT, which was previously found to be upregulated in peripheral blood mononuclear cells (PBMCs) of PBC patients, by examining its impact on gene expression and cellular behavior in a human monocyte model. Methods: STX17-DT was overexpressed in THP-1 cells, which was assessed via plasmid transfection. Transcriptomic changes were analyzed by RNA sequencing, followed by comprehensive bioinformatics analyses including differential expression, functional enrichment, transcription factor network, and protein–protein interaction (PPI) analysis. Functional validation was performed using CCK-8 and TUNEL assays to assess proliferation and apoptosis, respectively. Results: Overexpression of STX17-DT led to 1973 differentially expressed genes (DEGs), with 1201 upregulated and 772 downregulated. Key upregulated genes included interferon-stimulated genes (e.g., interferon induced protein 44 like (IFI44L), interferon induced protein 44 (IFI44), guanylate binding protein 1(GBP1)) and chemokines (CCL4, CCL8). Upregulated DEGs were significantly enriched in immune-related pathways such as NF-κB signaling, Toll-like receptor signaling, TNF signaling, and cytokine–cytokine receptor interaction. Downregulated genes were involved in metabolic and signaling pathways such as PI3K–Akt, cAMP, and butanoate metabolism. Transcription factor analysis revealed significant alterations in regulators like Yes1 associated transcriptional regulator(YAP1), nuclear receptor subfamily 4 group A member 1(NR4A1), and MAF bZIP transcription factor B(MAFB). PPI network analysis suggested TNF, TLR4, TLR6, and STAT2 as central hubs. Functionally, STX17-DT overexpression enhanced THP-1 cell proliferation and significantly reduced apoptosis. Conclusions: STX17-DT promoted a pro-inflammatory transcriptomic profile and enhanced monocyte survival in our study, suggesting a potential role in PBC immunopathology. It may represent a potential biomarker and therapeutic target, particularly for patients with advanced disease or suboptimal response to ursodeoxycholic acid. Further studies in primary cells, animal models, and histological samples are warranted to validate its role in PBC pathogenesis. Full article
(This article belongs to the Section RNA)
Show Figures

Figure 1

16 pages, 1820 KB  
Article
Protective Effects of Arecoline on LPS-Induced Neuroinflammation in BV2 Microglial Cells
by Xiangfei Zhang, Jingwen Cui, Jing Sun, Bei Fan, Fengzhong Wang and Cong Lu
Int. J. Mol. Sci. 2025, 26(24), 12097; https://doi.org/10.3390/ijms262412097 - 16 Dec 2025
Viewed by 393
Abstract
Natural alkaloids derived from edible and medicinal plants have recently gained attention as bioactive molecules capable of modulating neuroinflammatory processes. Arecoline, the major alkaloid constituent of Areca catechu L. (betel nut), is well known for its cholinergic actions, yet its direct regulatory influence [...] Read more.
Natural alkaloids derived from edible and medicinal plants have recently gained attention as bioactive molecules capable of modulating neuroinflammatory processes. Arecoline, the major alkaloid constituent of Areca catechu L. (betel nut), is well known for its cholinergic actions, yet its direct regulatory influence on microglial immune signaling has remained uncertain. In this study, murine BV2 microglial cells were employed to investigate whether arecoline could counteract lipopolysaccharide (LPS)-induced neuroinflammatory responses. Parameters including cell viability, nitric oxide (NO) production, cytokine secretion, and gene expression were assessed, and mechanistic analyses were focused on the Toll-like receptor 4 (TLR4)/nuclear factor-κB (NF-κB) and phosphoinositide 3-kinase (PI3K)/protein kinase B (AKT) pathways. Non-toxic doses of arecoline (10–40 μmol/L) markedly decreased NO accumulation and reduced the expression of tumor necrosis factor-α (TNF-α), interleukin-6 (IL-6), and interleukin-1β (IL-1β). Western blot analysis further showed that arecoline suppressed LPS-activated microglial signaling by down-regulating TLR4, inhibiting NF-κB p65 phosphorylation, and limiting PI3K/AKT activation. Collectively, these data reveal that arecoline exerts immunomodulatory and neuroprotective effects through dual signaling regulation in microglia and may serve as a useful pharmacological tool or structural reference for elucidating microglial inflammatory regulation and for guiding the exploration of safer bioactive compounds. Full article
(This article belongs to the Section Molecular Neurobiology)
Show Figures

Graphical abstract

25 pages, 1376 KB  
Review
Mollugin: A Comprehensive Review of Its Multifaceted Pharmacological Properties and Therapeutic Potential
by Sandra Ross Olakkengil Shajan, Bushra Zia, Charu Sharma, Sandeep B. Subramanya and Shreesh Ojha
Int. J. Mol. Sci. 2025, 26(24), 12003; https://doi.org/10.3390/ijms262412003 - 13 Dec 2025
Viewed by 398
Abstract
The substantial interest in plant-based drugs or plant-derived phytocompounds drives researchers to conduct comprehensive investigations on their therapeutic properties. Mollugin, one of the major active constituents of Rubia cardifolia, has been well-studied for its pharmacological properties, demonstrating potent anti-inflammatory properties by suppressing [...] Read more.
The substantial interest in plant-based drugs or plant-derived phytocompounds drives researchers to conduct comprehensive investigations on their therapeutic properties. Mollugin, one of the major active constituents of Rubia cardifolia, has been well-studied for its pharmacological properties, demonstrating potent anti-inflammatory properties by suppressing the TAK-1-mediated activation of NF-κB/MAPK and enhancing the Nrf2/HO-1-mediated antioxidant response. It exhibits strong anticancer effects through ferroptosis via IGF2BP3/GPX4 pathways, induces mitochondrial apoptosis, and targets NF-κB, ERK, and PI3K/Akt/mTOR to suppress tumor progression. Mollugin also inhibits JAK2/STAT and PARP1 pathways, suppressing IL-1β expression via the modulation of ZFP91. Moreover, it regulates the MAPK/p38 pathway, promotes neuroprotection, and improves cognitive performance through GLP-1 receptor activation. Mollugin promotes osteogenesis by activating the BMP-2/Smad1/5/8 signaling pathway and downregulates MAPK, Akt, and GSK3β expression, leading to the inhibition of osteoclastogenesis. It overcomes multidrug resistance by downregulating MDR1/P-gp, CREB, NF-κB, and COX-2 through AMPK activation. Its antibacterial effect is mediated by strong binding to FUR, UDP, and IpxB proteins in Enterobacter xiangfangensis. Mollugin mitigates Klebsiella pneumoniae infection, suppresses adipogenesis without causing cytotoxicity, and protects endothelial cells via the BDNF/TrkB-Akt signaling pathway. Synthetic derivatives of mollugin, such as oxomollugin and azamollugin, have shown enhanced anticancer and anti-inflammatory effects by regulating EGFR, PKM2, TLR4/MyD88/IRAK/TRAF6, and NF-κB/IRF3 pathways with improved solubility and stability. Collectively, these findings emphasize the broad-spectrum activity of mollugin. This review provides a critical interpretation of the mechanistic pathways regulated by mollugin and its derivatives, emphasizing their pharmacological significance and exploring their potential for future translation as multitarget drug candidates. Full article
(This article belongs to the Special Issue Plant-Derived Bioactive Compounds for Pharmacological Applications)
Show Figures

Graphical abstract

29 pages, 3722 KB  
Review
Glial Cells in the Early Stages of Neurodegeneration: Pathogenesis and Therapeutic Targets
by Eugenia Ahremenko, Alexander Andreev, Danila Apushkin and Eduard Korkotian
Int. J. Mol. Sci. 2025, 26(24), 11995; https://doi.org/10.3390/ijms262411995 - 12 Dec 2025
Viewed by 760
Abstract
Astrocytes and microglia constitute nearly half of all central nervous system cells and are indispensable for its proper function. Both exhibit striking morphological and functional heterogeneity, adopting either neuroprotective (A2, M2) or proinflammatory (A1, M1) phenotypes in response to cytokines, pathogen-associated molecular patterns [...] Read more.
Astrocytes and microglia constitute nearly half of all central nervous system cells and are indispensable for its proper function. Both exhibit striking morphological and functional heterogeneity, adopting either neuroprotective (A2, M2) or proinflammatory (A1, M1) phenotypes in response to cytokines, pathogen-associated molecular patterns (PAMPs)/damage-associated molecular patterns (DAMPs), toll-like receptor 4 (TLR4) activation, and NOD-like receptor family pyrin domain containing 3 (NLRP3) inflammasome signaling. Crucially, many of these phenotypic transitions arise during the earliest stages of neurodegeneration, when glial dysfunction precedes overt neuronal loss and may act as a primary driver of disease onset. This review critically examines glial-centered hypotheses of neurodegeneration, with emphasis on their roles in early disease phases: (i) microglial polarization from an M2 neuroprotective state to an M1 proinflammatory state; (ii) NLRP3 inflammasome assembly via P2X purinergic receptor 7 (P2X7R)-mediated K+ efflux; (iii) a self-amplifying astrocyte–microglia–neuron inflammatory feedback loop; (iv) impaired microglial phagocytosis and extracellular-vesicle–mediated propagation of β-amyloid (Aβ) and tau; (v) astrocytic scar formation driven by aquaporin-4 (AQP4), matrix metalloproteinase-9 (MMP-9), glial fibrillary acidic protein (GFAP)/vimentin, connexins, and janus kinase/signal transducer and activator of transcription 3 (JAK/STAT3) signaling; (vi) cellular reprogramming of astrocytes and NG2 glia into functional neurons; and (vii) mitochondrial dysfunction in glia, including Dynamin-related protein 1/Mitochondrial fission protein 1 (Drp1/Fis1) fission imbalance and dysregulation of the sirtuin 1/peroxisome proliferator-activated receptor gamma coactivator 1-alpha (Sirt1/PGC-1α) axis. Promising therapeutic strategies target pattern-recognition receptors (TLR4, NLRP3/caspase-1), cytokine modulators (interleukin-4 (IL-4), interleukin-10 (IL-10)), signaling cascades (JAK2–STAT, nuclear factor kappa-light-chain-enhancer of activated B cells (NF-κB), phosphoinositide 3-kinase–protein kinase B (PI3K–AKT), adenosine monophosphate-activated protein kinase (AMPK)), microglial receptors (triggering receptor expressed on myeloid cells 2 (TREM2)/spleen tyrosine kinase (SYK)/ DNAX-activating protein 10 (DAP10), siglec-3 (CD33), chemokine C-X3-C motif ligand 1/ CX3C motif chemokine receptor 1 (CX3CL1/CX3CR1), Cluster of Differentiation 200/ Cluster of Differentiation 200 receptor 1 (CD200/CD200R), P2X7R), and mitochondrial biogenesis pathways, with a focus on normalizing glial phenotypes rather than simply suppressing pathology. Interventions that restore neuroglial homeostasis at the earliest stages of disease may hold the greatest potential to delay or prevent progression. Given the complexity of glial phenotypes and molecular isoform diversity, a comprehensive, multitargeted approach is essential for mitigating Alzheimer’s disease and related neurodegenerative disorders. This review not only synthesizes pathogenesis but also highlights therapeutic opportunities, offering what we believe to be the first concise overview of the principal hypotheses implicating glial cells in neurodegeneration. Rather than focusing on isolated mechanisms, our goal is a holistic perspective—integrating diverse glial processes to enable comparison across interconnected pathological conditions. Full article
(This article belongs to the Special Issue Early Molecular Markers of Neurodegeneration)
Show Figures

Graphical abstract

17 pages, 5580 KB  
Article
Resolvin D1 Modulates the Inflammatory Processes of Human Periodontal Ligament Cells via NF-κB and MAPK Signaling Pathways
by Jing Yan, Jiazheng Cai, Xiaojing Pan, Si Li, Christopher Graham Fenton, Kristin Andreassen Fenton, Alpdogan Kantarci, Yaxin Xue, Ying Xue and Zhe Xing
Biomedicines 2025, 13(12), 3038; https://doi.org/10.3390/biomedicines13123038 - 10 Dec 2025
Viewed by 415
Abstract
Objectives: Periodontitis is a multifactorial inflammatory disease initiated by pathogenic bacteria, such as Porphyromonas gingivalis. Resolvin D1 (RvD1) plays a pivotal role in inflammation resolution. This study aimed to identify the mechanism of the regulatory effects of RvD1 on the inflammatory response [...] Read more.
Objectives: Periodontitis is a multifactorial inflammatory disease initiated by pathogenic bacteria, such as Porphyromonas gingivalis. Resolvin D1 (RvD1) plays a pivotal role in inflammation resolution. This study aimed to identify the mechanism of the regulatory effects of RvD1 on the inflammatory response of human periodontal ligament cells (hPDLCs). Methods: To investigate the mechanism of RvD1’s impact on the hPDLCs, RNA-sequencing (RNA-seq) was used and differentially expressed genes (DEGs) were identified. Gene Ontology (GO) and Kyoto Encyclopedia of Genes and Genomes (KEGG) analyses were performed to assess the signaling pathways in which NF-κB and MAPK were determined to play a significant role. Alterations in NF-κB and MAPK pathways were verified by immunofluorescence (IF), quantitative real-time PCR (qRT-PCR), and Western blotting (WB). The expression of RvD1 and lipoxin A4/formyl peptide receptor 2 (ALX/FPR2) was assessed by IF and WB. Inflammatory cytokine interleukin (IL) 6 and IL-1β release was measured by ELISA. Results: GO and KEGG analyses indicated that RvD1 regulates the inflammatory process in PDLCs primarily via TLR4-MyD88-mediated NF-κB and MAPK signaling. RvD1 suppressed lipopolysaccharide (LPS)-induced TLR4 and MyD88 expression, inhibited phosphorylation of NF-κB p65 and its inhibitor IKBKB, and attenuated phosphorylation of p38 MAPK, ERK, and JNK. ALX/FPR2 was expressed on hPDLCs and was further upregulated upon treatment with RvD1. RvD1 significantly down-regulated the IL-6 and IL-1β levels in LPS-stimulated hPDLCs. Conclusions: RvD1 regulates the inflammatory response of LPS-stimulated hPDLCs by the TLR4-MyD88-MAPK and TLR4-MyD88-NF-κB signaling pathways, suggesting the potential role of RvD1 in restoring periodontal tissue homeostasis by regulating PDLC response to inflammatory and infectious stimuli. Full article
(This article belongs to the Section Cell Biology and Pathology)
Show Figures

Figure 1

21 pages, 5387 KB  
Article
Wound-Healing Potential of Engineered Lysin GRC-ML07 in Pseudomonas aeruginosa Infected Wounds in Immunocompromised Mice
by Mariam Abdulkadieva, Darya Slonova, Veronika Litvinenko, Nataliia Antonova, Elena Mazunina, Konstantin Sobyanin, Tatiana Guseva, Olga Parshina, Pavel Domnin, Vladislav Poloskov, Vladimir Guschin, Daria Vasina, Elena Sysolyatina and Alexander Gintsburg
Antibiotics 2025, 14(12), 1248; https://doi.org/10.3390/antibiotics14121248 - 10 Dec 2025
Viewed by 459
Abstract
Objectives: The study aimed to evaluate the antibacterial and wound-healing potential of the engineered lysin GRC-ML07 in a mouse model of full-thickness wounds infected with multidrug-resistant Pseudomonas aeruginosa under immunosuppression. Methods: Male BALB/c mice (22–24 g) were immunocompromised with cyclophosphamide. Three days later, [...] Read more.
Objectives: The study aimed to evaluate the antibacterial and wound-healing potential of the engineered lysin GRC-ML07 in a mouse model of full-thickness wounds infected with multidrug-resistant Pseudomonas aeruginosa under immunosuppression. Methods: Male BALB/c mice (22–24 g) were immunocompromised with cyclophosphamide. Three days later, full-thickness excisional wounds were created and infected with P. aeruginosa (107 cells/wound). The lysin GRC-ML07 incapsulated into an alginate gel was applied topically to the wound area twice a day for four days after infection. Wound swabs for microbiological assays and scab tissues for cytokine and cellular profiling were collected on days 4 and 7. Histological samples were taken on days 4, 7, 14, and 21. Results: Lysin GRC-ML07 induced bacterial lysis accompanied by low activation of TLR2, TLR4, or TLR7/8 signaling pathways and pro-inflammatory cytokine production in vitro. Its application in vivo resulted in decreased levels of GM-CSF, IL-1β, IL-6, IL-17A, and TNF-α in the wound, accompanied by a 46% increase in neutrophil counts on day 4 compared to control and placebo (alginate gel) groups. By day 7, lysin treatment reduced bacterial load by 2 log, decreased neutrophil counts in wounds, and led a transition of the wounds to the granulation and epithelialization phase with scab desquamation. Conclusions: It was first shown that engineered lysin GRC-ML07 exhibits not only antibacterial, but pronounced pro-healing effects in immunocompromised mice, promoting resolution of inflammation and transition to the granulation/epithelialization phase. Full article
(This article belongs to the Special Issue Antimicrobials Agents: Latest Advances and Prospects)
Show Figures

Figure 1

17 pages, 2616 KB  
Article
Advanced Glycation End Products Promote PGE2 Production in Ca9-22 Cells via RAGE/TLR4-Mediated PKC–NF-κB Pathway
by Misae Ono, Natsuko Tanabe, Risa Ichikawa, Keiko Tomita, Soichiro Manaka, Hideaki Seki, Yuri Imai, Mayu Aoki, Yuma Masai, Tadahiro Takayama, Naoto Suzuki and Shuichi Sato
Cells 2025, 14(23), 1911; https://doi.org/10.3390/cells14231911 - 2 Dec 2025
Viewed by 674
Abstract
Advanced glycation end products (AGEs) are compounds that accumulate in hyperglycemic states, contributing significantly to the development of diabetes and its complications, including the exacerbation of periodontal disease. We hypothesized that AGEs affect the expression of inflammatory mediators in gingival cells, thus contributing [...] Read more.
Advanced glycation end products (AGEs) are compounds that accumulate in hyperglycemic states, contributing significantly to the development of diabetes and its complications, including the exacerbation of periodontal disease. We hypothesized that AGEs affect the expression of inflammatory mediators in gingival cells, thus contributing to the increased severity of periodontitis observed in diabetic patients. Thus, we stimulated the gingival epithelial carcinoma-derived cell line, Ca9-22, with AGEs and examined their effect on the expression of prostaglandin E2 (PGE2) and its primary synthesizing enzyme, cyclooxygenase 2 (COX2), key inflammatory mediators in periodontitis. AGEs significantly increased the expression levels of COX2 (n = 6, p < 0.001) and the production of PGE2 (n = 5, p < 0.05) compared to untreated control and bovine serum albumin (BSA) groups. The receptor for AGEs (RAGE) inhibitor FPS-ZM1 blocked the AGEs-stimulatory effects on COX2 (n = 7, p < 0.01), PGE2 (n = 6, p < 0.001), and Toll-like receptor 4 (TLR4) expression (n = 7, p < 0.001). Furthermore, AGEs induced the phosphorylation of protein kinase C (p-PKC) via the TLR4 pathway (n = 7, p < 0.01). Crucially, AGEs enhanced NF-κB nuclear accumulation, which was inhibited by blocking either RAGE (n = 5, p < 0.0001) or TLR4 (n = 5, p < 0.0001). In conclusion, these findings demonstrate that AGEs increase PGE2 production in Ca9-22 cells primarily through a signaling cascade involving RAGE and the TLR4-PKC-NF-κB pathway. Our results suggest TLR4 as a critical mediator that contributes to AGEs-induced inflammation. Full article
(This article belongs to the Special Issue Cellular Mechanisms in Oral Cavity Homeostasis and Disease)
Show Figures

Graphical abstract

18 pages, 3761 KB  
Article
Hexapeptide-Liposome Nanosystem for the Delivery of Endosomal pH Modulator to Treat Acute Lung Injury
by Yuting Ji, Qian Wang, Rujing Lin, Mimi Pang, Liya Sun, Jiameng Gong, Huiqiang Ma, Shan-Yu Fung and Hong Yang
J. Funct. Biomater. 2025, 16(12), 450; https://doi.org/10.3390/jfb16120450 - 1 Dec 2025
Viewed by 660
Abstract
The overactivation of endosomal Toll-like receptor (TLR) in macrophages plays an important role in the pathogenesis of acute lung injury (ALI). There is currently still a lack of nano-formulated and macrophage-targeted endosomal TLR inhibitors that have been approved for clinical uses. We previously [...] Read more.
The overactivation of endosomal Toll-like receptor (TLR) in macrophages plays an important role in the pathogenesis of acute lung injury (ALI). There is currently still a lack of nano-formulated and macrophage-targeted endosomal TLR inhibitors that have been approved for clinical uses. We previously discovered that the elevation of endosomal pH using nanodevices provides a promising strategy to specifically inhibit endosomal TLRs in macrophages. The weakly basic drug hydroxychloroquine (HCQ) has been reported for its capability to accumulate in endolysosomes and modulate the acidity in these compartments. To enhance its macrophage-targeting ability and the therapeutic efficacy in vivo, herein we formulated HCQ into a nanoform using liposomes, named HCQ-L. We found that HCQ-L was less cytotoxic and more effective in inhibiting endosomal TLRs (including TLR3, TLR4, TLR 7/8) than the molecular HCQ. Subsequently, a hexapeptide, Pep12, was inserted onto the surface of HCQ-L to form HCQ-L-P12. Interestingly, Pep12 modification significantly improved the stability of liposomes in aqueous solution for at least 2 years; while having enhanced inhibitory effects on TLR7/8 signaling, HCQ-L-P12 displayed similar effects on inhibiting the TLR4 pathway and down-stream pro-inflammatory cytokine production when compared with HCQ-L. Furthermore, both HCQ nanoformulations potently elevated the endosomal pH. In vivo evaluation showed that HCQ-L-P12 and HCQ-L (but not molecular HCQ) were able to alleviate lung inflammation and injuries by decreasing inflammatory cell infiltration upon intratracheal instillation in a lipopolysaccharide (LPS)-induced acute lung injury (ALI) mouse model. This research provides a new strategy to fabricate lipid-based nanocarriers for targeted delivery of endosomal pH modulators to treat ALI and other acute and chronic inflammatory disorders. Full article
(This article belongs to the Special Issue Nanomaterials for Drug Delivery Systems)
Show Figures

Graphical abstract

24 pages, 990 KB  
Review
Role of Nanoplastics in Decreasing the Intestinal Microbiome Ratio: A Review of the Scope of Polystyrene
by Steven C. Sutton and Ronald D. Hills
Toxics 2025, 13(12), 1036; https://doi.org/10.3390/toxics13121036 - 29 Nov 2025
Viewed by 848
Abstract
Micro- and nanoplastics (MNPs) are increasingly recognized as emerging intestinal toxicants. This scoping review maps and integrates evidence from 56 studies (47 primary and 11 review articles, 2000–mid-2025) on how nanoplastics, particularly ≤100 nm polystyrene, disrupt gut homeostasis. The evidence consistently supports a [...] Read more.
Micro- and nanoplastics (MNPs) are increasingly recognized as emerging intestinal toxicants. This scoping review maps and integrates evidence from 56 studies (47 primary and 11 review articles, 2000–mid-2025) on how nanoplastics, particularly ≤100 nm polystyrene, disrupt gut homeostasis. The evidence consistently supports a three-stage mechanistic cascade: 1. Oxidative-stress initiation—Nanoplastics generate reactive oxygen species (ROS) and suppress antioxidant defenses, producing redox imbalance in intestinal tissue and commensal bacteria. 2. Barrier dysfunction—Resulting oxidative injury reduces tight-junction proteins, depletes mucus-secreting goblet cells, and activates inflammatory signaling (NF-κB, TLR4). 3. Microbiome reconfiguration—The altered intestinal microenvironment favors Gram-negative expansion and depletion of Gram-positive commensals, observed as decreases in the Firmicutes/Bacteroidetes (F/B) and Gram+/Gram− ratios. High-dose nanoplastic exposures reproducibly induced these effects in mice and zebrafish, whereas environmentally realistic, low-dose PET fragments produced minimal dysbiosis. Functionally important taxa—short-chain-fatty-acid producers (Faecalibacterium, Roseburia) and mucin degraders (Akkermansia muciniphila)—were consistently reduced, linking microbial shifts to epithelial injury and inflammatory tone. Together, these findings define an oxidative–barrier–microbiome axis as the dominant pathway of nanoplastic-induced intestinal disruption. Future work should emphasize environmentally relevant exposures, multi-omics functional endpoints, and mechanistic models that integrate oxidative stress, epithelial pathology, and microbiome ecology to guide realistic human-health risk assessment. Full article
(This article belongs to the Section Emerging Contaminants)
Show Figures

Graphical abstract

31 pages, 1080 KB  
Review
Modulation of Toll-like Receptors with Natural Compounds: A Therapeutic Avenue Against Inflammaging?
by Corina Andrei, Ciprian Pușcașu, George Mihai Nitulescu and Anca Zanfirescu
Int. J. Mol. Sci. 2025, 26(23), 11305; https://doi.org/10.3390/ijms262311305 - 22 Nov 2025
Viewed by 730
Abstract
Chronic low-grade inflammation, or “inflammaging,” is a defining feature of aging and a key driver of functional decline. Among innate immune sensors, Toll-like receptors (TLRs) are central mediators linking cellular stress to sterile inflammation, yet their modulation in physiological aging remains largely overlooked. [...] Read more.
Chronic low-grade inflammation, or “inflammaging,” is a defining feature of aging and a key driver of functional decline. Among innate immune sensors, Toll-like receptors (TLRs) are central mediators linking cellular stress to sterile inflammation, yet their modulation in physiological aging remains largely overlooked. This review bridges that gap by integrating molecular and clinical evidence on age-associated TLR remodeling and summarizing preclinical data on natural compounds that suppress TLR signaling. Across diverse inflammatory models, phytochemicals such as curcumin, quercetin, resveratrol, baicalin, and glycyrrhizin consistently downregulate Toll-like receptor 2- (TLR2-), Toll-like receptor 4- (TLR4-), and Toll-like receptor 9- (TLR9-) dependent myeloid differentiation primary response 88 (MyD88)/nuclear factor kappa-light-chain-enhancer of activated B cells (NF-κB)/mitogen-activated protein kinase (MAPK) pathways, lowering interleukin-1β (IL-1β), interleukin-6 (IL-6), and tumor necrosis factor- α (TNF-α) while enhancing IL-10. These mechanisms mirror the molecular signature of inflammaging, supporting TLRs as actionable targets for restoring immune balance. Collectively, the evidence positions natural TLR modulators as a promising, yet untapped, avenue for promoting healthy aging and extending healthspan. Full article
(This article belongs to the Special Issue Anti-Inflammatory and Anti-Oxidant Effects of Extracts from Plants)
Show Figures

Graphical abstract

Back to TopTop