Sign in to use this feature.

Years

Between: -

Subjects

remove_circle_outline
remove_circle_outline
remove_circle_outline
remove_circle_outline
remove_circle_outline
remove_circle_outline
remove_circle_outline
remove_circle_outline
remove_circle_outline

Journals

Article Types

Countries / Regions

Search Results (42)

Search Parameters:
Keywords = Saccharum officinarum L.

Order results
Result details
Results per page
Select all
Export citation of selected articles as:
16 pages, 4151 KB  
Article
Potential Productivity Model (M3P) as a Planning Tool for Degraded Pastures in the Amazon Deforestation Arc, Brazil
by Pedro Guerreiro Martorano, Carlos Simões Pereira, Lucietta Guerreiro Martorano, Leila Sheila Silva Lisboa, Nelson Ken Narusawa Nakakoji, Carlos Emílio Rocha-Pereira, Carlos Tadeu dos Santos Dias and João Fernandes da Silva-Júnior
World 2026, 7(1), 13; https://doi.org/10.3390/world7010013 - 16 Jan 2026
Viewed by 151
Abstract
The Amazon Deforestation Arc remains a critical region for environmental governance, where land-use strategies must consider distinct legal and institutional frameworks across the Amazon and Cerrado biomes. This study applies the Potential Productivity Model (M3P), a theoretical radiation-based framework, to estimate the upper [...] Read more.
The Amazon Deforestation Arc remains a critical region for environmental governance, where land-use strategies must consider distinct legal and institutional frameworks across the Amazon and Cerrado biomes. This study applies the Potential Productivity Model (M3P), a theoretical radiation-based framework, to estimate the upper physiological limits of sugarcane (Saccharum officinarum L.) productivity on degraded pastures within the Arc of Deforestation. The model integrates satellite-derived solar radiation with climatic variables to quantify potential productivity under optimal biophysical conditions, providing an objective benchmark for planning-oriented bioenergy assessments. Estimated potential yields range from 153 to 178 t·ha−1·yr−1, consistent with global reference values reported for sugarcane in high-radiation environments and relevant for informing public policies such as Brazil’s Agroecological Zoning of Sugarcane. The results demonstrate that agroclimatic potential alone is insufficient to guide land-use decisions. While degraded pastures associated with the Cerrado biome may accommodate sugarcane cultivation as part of productive land recovery strategies, areas belonging to the Amazon biome require priority actions focused on ecological restoration through agroforestry and integrated crop–livestock–forest systems. Overall, the M3P model offers a scalable and scientifically grounded decision-support framework for strategic planning in environmentally sensitive tropical regions. Full article
Show Figures

Figure 1

22 pages, 6902 KB  
Article
Hydrothermal Carbonization of Sugarcane Tip (Saccharum officinarum L.) for Pb (II) Removal: Synthesis, Characterization, and Adsorption Equilibrium
by Dulce Carolina Acosta-Pintor, Candy Carranza-Álvarez, Habacuc Lorenzo-Márquez, Cynthia Wong-Arguelles and Cuitláhuac Mojica-Mesinas
AppliedChem 2025, 5(4), 24; https://doi.org/10.3390/appliedchem5040024 - 29 Sep 2025
Viewed by 732
Abstract
Water contamination by heavy metals, particularly lead, derived from industrialization, climate change, and urbanization, represents a critical risk to human health and the environment. Several agricultural biomass residues have demonstrated efficacy as contaminant adsorbents. In this context, the study aimed to evaluate the [...] Read more.
Water contamination by heavy metals, particularly lead, derived from industrialization, climate change, and urbanization, represents a critical risk to human health and the environment. Several agricultural biomass residues have demonstrated efficacy as contaminant adsorbents. In this context, the study aimed to evaluate the potential of sugarcane tip (ST) waste biomass treated by hydrothermal carbonization (HTC) to produce hydrochar as an adsorbent material for Pb2+ in aqueous solutions. Samples were synthesized from the waste biomass at temperatures of 180 °C, 215 °C, and 250 °C, with a constant pressure of 6 MPa. Aqueous solutions of Pb2+ were prepared at concentrations of 10, 25, 50, 75, and 100 mg/L. Each solution was stirred at 1 g of hydrochar at 150 rpm, 25 °C, and pH 5 for 15 to 120 min. The solutions were filtered and stored at 4 °C for flame atomic absorption spectrophotometry analysis. In all cases, equilibrium was reached rapidly—within 15 min or less—as indicated by the stabilization of qt values over time. At an initial concentration of 100 mg L−1, the highest equilibrium uptake was observed for the hydrochar synthesized at ST HTC 180 °C (4.90 mg g−1), followed by 4.58 mg g−1 and 4.52 mg g−1 for ST HTC 215 °C and ST HTC 250 °C, respectively. For the ST HTC 180 °C, the Sips model provided the best correlation with the experimental data, exhibiting a high maximum capacity (qmax = 240.8 mg g−1; Ks = 0.007; n = 1.09; R2 = 0.975), which reinforces the heterogeneous nature of the material’s surface. Hydrothermal synthesis increased the amount of acidic active sites in the ST HTC 180 °C material from 1.3950 to 3.8543 meq g−1, which may influence the electrical charge of the Pb2+ adsorption process. HTC-treated sugarcane tip biomass represents a promising alternative for the synthesis of adsorbent materials, contributing to water remediation and promoting the circular economy by sustainably utilizing agricultural waste. Full article
Show Figures

Graphical abstract

18 pages, 3500 KB  
Article
Cellulose Acetate–PHB Biocomposite from Saccharum officinarum for Ni (II) Adsorption: Equilibrium and Kinetics
by Candelaria Tejada-Tovar, Ángel Villabona-Ortíz, Oscar Toro-Madrid, Rodrigo Ortega-Toro and Humberto Bonilla Mancilla
J. Compos. Sci. 2025, 9(7), 376; https://doi.org/10.3390/jcs9070376 - 18 Jul 2025
Cited by 2 | Viewed by 1651
Abstract
This research work focused on the development of an adsorbent biocomposite material based on polyhydroxybutyrate (PHB) and cellulose acetate derived from sugarcane (Saccharum officinarum) fibre, through cellulose acetylation. The resulting material represents both an accessible and effective alternative for the treatment [...] Read more.
This research work focused on the development of an adsorbent biocomposite material based on polyhydroxybutyrate (PHB) and cellulose acetate derived from sugarcane (Saccharum officinarum) fibre, through cellulose acetylation. The resulting material represents both an accessible and effective alternative for the treatment and remediation of water contaminated with heavy metals, such as Ni (II). The biocomposite was prepared by blending cellulose acetate (CA) with the biopolymer PHB using the solvent-casting method. The resulting biocomposite exhibited a point of zero charge (pHpzc) of 5.6. The material was characterised by FTIR, TGA-DSC, and SEM analyses. The results revealed that the interaction between Ni (II) ions and the biocomposite is favoured by the presence of functional groups, such as –OH, C=O, and N–H, which act as active adsorption sites on the material’s surface, enabling efficient interaction with the metal ions. Adsorption kinetics studies revealed that the biocomposite achieved an optimal adsorption capacity of 5.042 mg/g at pH 6 and an initial Ni (II) concentration of 35 mg/L, corresponding to a removal efficiency of 86.44%. Finally, an analysis of the kinetic and isotherm models indicated that the experimental data best fit the pseudo-second-order kinetic model and the Freundlich isotherm. Full article
(This article belongs to the Special Issue Sustainable Biocomposites, 3rd Edition)
Show Figures

Figure 1

16 pages, 472 KB  
Article
Evaluation of the Biodegradation Potential of Phytopathogenic Fungi in Sugar Cane (Saccharum officinarum) Waste from the Rural Sector of Milagro, Ecuador
by Sandra Campuzano-Rodríguez, Fabricio Guevara-Viejó, Arturo Guevara-Sandoya, Juan Diego Valenzuela-Cobos and Claudia Pozzi Jantalia
Appl. Sci. 2025, 15(12), 6621; https://doi.org/10.3390/app15126621 - 12 Jun 2025
Viewed by 1014
Abstract
In Ecuador, sugarcane (Saccharum officinarum) is a grass of great socioeconomic impact due to the employment rate involved in its cultivation and its use as a raw material for obtaining sugar and other derivatives. The industrial processing of the usable sugarcane [...] Read more.
In Ecuador, sugarcane (Saccharum officinarum) is a grass of great socioeconomic impact due to the employment rate involved in its cultivation and its use as a raw material for obtaining sugar and other derivatives. The industrial processing of the usable sugarcane material generates an excessive amount of waste, including leaves, bagasse, molasses, and other types of organic residues. Waste treatment systems have demonstrated inefficiency in the degradation time with respect to the harmful effects they cause. In this study, the dynamics of two genera of phytopathogenic microorganisms (Colletotrichum spp. and Rhizopus spp.) in the decomposition of sugarcane organic wastes were tested by analyzing the proximate composition, biodegradation characteristics, microbial incidence, and amino acid content. The results showed that inoculation with a combination of 2.00 × 106 spores/mL of Colletotrichum spp. and 2.00 × 106 spores/mL of Rhizopus spp., corresponding to treatment T4, led to a higher degree of biodegradation of the residues and aspartic amino acid content, with an incidence of 14.11 mmol/100 g. The amount of amino acids was not closely related to the addition of microorganisms, since the wastes belonging to the control treatment were not recorded as the wastes with the lowest concentration. On the other hand, the different treatments induced variations in the quantification of microorganisms in each biodegraded waste, reporting an average of 5.43 × 104 CFU/g of mesophilic bacteria and 6.52 × 104 CFU/g of fungi with treatment T2. The amounts obtained highlighted the predominance of cycles of increase and decrease in the concentration of microorganisms in a compost according to the stage of compost maturation. Full article
(This article belongs to the Special Issue Research Progress in Waste Resource Utilization)
Show Figures

Figure 1

17 pages, 4307 KB  
Article
Indole-3-Butyric Acid Enhances Root Formation and Alleviates Low-Temperature Stress in Sugarcane: Molecular Insights and Identification of Candidate Genes
by Xiao-Qiu Zhang, Yong-Jian Liang, Xiu-Peng Song, Mei-Xin Yan, Li-Qiu Tang, Zhen-Qiang Qin, Yu-Xin Huang, De-Wei Li, Dong-Mei Huang, Ze-Sheng Shi, Bao-Qing Zhang and Dong-Liang Huang
Plants 2025, 14(10), 1502; https://doi.org/10.3390/plants14101502 - 16 May 2025
Cited by 1 | Viewed by 1242
Abstract
Sugarcane (Saccharum officinarum L.) faces significant challenges in China, including labor-intensive cultivation, low yields, and environmental stresses. Enhancing root development and stress tolerance through phytohormones and molecular breeding is a promising approach to boosting productivity. Indole-3-butyric acid is a phytohormone known for [...] Read more.
Sugarcane (Saccharum officinarum L.) faces significant challenges in China, including labor-intensive cultivation, low yields, and environmental stresses. Enhancing root development and stress tolerance through phytohormones and molecular breeding is a promising approach to boosting productivity. Indole-3-butyric acid is a phytohormone known for promoting root development and stress resistance. However, its effects on sugarcane root development under low temperature remain poorly understood. This study demonstrated that IBA markedly promoted root initiation, elongation, and biomass under low temperature, and significantly increased the levels of phytohormones, including GA3, ABA, JA, IAA, and ZT, suggesting the activation of multiple signaling pathways. Transcriptome analysis revealed numerous differentially expressed genes related to metabolic pathways such as glycolysis, the tricarboxylic acid cycle, and glutathione metabolism. Weighted gene co-expression network analysis identified core gene modules correlated with phytohormone activities, highlighting their role in the IBA-mediated stress response. Eleven core genes, including GSTU6, FAR1, and BCAT3, and nine hub genes, such as Ub-CEP52-1 and ACS1, were identified as critical components for IBA-induced root development and stress mitigation. These findings provide insights into the molecular mechanisms underlying IBA-induced root development and stress tolerance in sugarcane, offering candidate genes for breeding high-yield, stress-tolerant varieties and demonstrating IBA’s potential as a strategy to enhance productivity under challenging conditions. Full article
(This article belongs to the Special Issue Sugarcane Breeding and Biotechnology for Sustainable Agriculture)
Show Figures

Figure 1

16 pages, 1885 KB  
Article
Administration of Polyphenol-Rich Sugarcane Extract Alleviates Deficits Induced by Amyloid-Beta1–42 (Aβ1–42) in Transgenic C. elegans
by Deniz Heydarian, Matthew Flavel, Mihiri Munasinghe, Markandeya Jois and Jency Thomas
J. Ageing Longev. 2025, 5(2), 12; https://doi.org/10.3390/jal5020012 - 2 Apr 2025
Viewed by 1145
Abstract
Polyphenol-Rich Sugarcane Extract (PRSE), derived from Saccharum officinarum, demonstrates significant neuroprotective effects against amyloid-beta (Aβ1–42)-induced deficits associated with Alzheimer’s disease (AD). This study utilized transgenic C. elegans expressing Aβ1–42 to investigate PRSE’s impact on lifespan, sensory behavior, learning, memory, [...] Read more.
Polyphenol-Rich Sugarcane Extract (PRSE), derived from Saccharum officinarum, demonstrates significant neuroprotective effects against amyloid-beta (Aβ1–42)-induced deficits associated with Alzheimer’s disease (AD). This study utilized transgenic C. elegans expressing Aβ1–42 to investigate PRSE’s impact on lifespan, sensory behavior, learning, memory, and amyloid fibril accumulation. Supplementation with 5 mg/mL of PRSE extended the mean lifespan of Aβ1–42 worms by 11% (17.78 ± 0.36 days) and reduced amyloid fibril levels by 34% in aged worms compared to untreated worms. PRSE also improved sensory behavior, with a 27% increase in naïve chemotaxis at day 8. Memory deficits were mitigated, with PRSE-treated worms showing 21% and 30% reductions in short-term associative memory loss after 1 h intervals on days 8 and 12, respectively. These improvements can be associated with the polyphenolic compounds in PRSE, which aid in reducing amyloid aggregation. The findings highlight PRSE’s potential as a dietary supplement to address AD-related symptoms and pathologies. Further studies are needed to understand its mechanisms and confirm its effectiveness in mammals, supporting its potential use as a natural preventative supplement for Alzheimer’s and related neurodegenerative diseases. Full article
Show Figures

Figure 1

24 pages, 39182 KB  
Article
Predicting Sugarcane Yield Through Temporal Analysis of Satellite Imagery During the Growth Phase
by Julio Cezar Souza Vasconcelos, Caio Simplicio Arantes, Eduardo Antonio Speranza, João Francisco Gonçalves Antunes, Luiz Antonio Falaguasta Barbosa and Geraldo Magela de Almeida Cançado
Agronomy 2025, 15(4), 793; https://doi.org/10.3390/agronomy15040793 - 24 Mar 2025
Cited by 2 | Viewed by 3881
Abstract
This research investigates how to estimate sugarcane (Saccharum officinarum L.) yield at harvest by using an average satellite image time-series collected during the growth phase. This study aims to evaluate the effectiveness of various modeling approaches, including a heteroskedastic gamma regression model, [...] Read more.
This research investigates how to estimate sugarcane (Saccharum officinarum L.) yield at harvest by using an average satellite image time-series collected during the growth phase. This study aims to evaluate the effectiveness of various modeling approaches, including a heteroskedastic gamma regression model, Random Forest, and Artificial Neural Networks, in predicting sugarcane yield based on satellite-derived vegetation indices and environmental variables. Key covariates analyzed include sugarcane varieties, production cycles, accumulated precipitation during the growth phase, and the mean GNDVI vegetation index. The analysis was conducted in two locations over two consecutive growing seasons. The research emphasizes the integration of satellite data with advanced statistical and machine learning techniques to enhance yield prediction in agricultural systems, specifically focusing on sugarcane cultivation. The results indicate that the heteroskedastic gamma regression model outperformed the other methods in explaining yield variability, particularly in commercial sugarcane fields, achieving a Coefficient Determination (R2) of 0.89. These findings highlight the potential of these models to support informed decision-making and optimize agricultural practices, providing valuable insights for precision farming. Overall, the results of this study represent an initial step toward developing more robust models for predicting sugarcane yield. Future work will involve incorporating additional variables to better assess the impacts of environmental stresses, such as high temperatures and water deficits, on the crop’s agronomic performance. Full article
(This article belongs to the Section Precision and Digital Agriculture)
Show Figures

Graphical abstract

11 pages, 1591 KB  
Article
Improving Cognitive and Chemosensory Function in Caenorhabditis elegans Through Polyphenol-Rich Sugarcane Extract
by Deniz Heydarian, Matthew Flavel, Mihiri Munasinghe, Markandeya Jois and Jency Thomas
Stresses 2024, 4(4), 816-826; https://doi.org/10.3390/stresses4040054 - 2 Dec 2024
Cited by 3 | Viewed by 1744
Abstract
Polyphenols are recognized for their potential benefits in enhancing lifespan and stress resistance. This study investigates the impact of Polyphenol-Rich Sugarcane Extract (PRSE) from Saccharum officinarum on the chemosensory behavior, learning, and memory in Caenorhabditis elegans (C. elegans). The C. elegans [...] Read more.
Polyphenols are recognized for their potential benefits in enhancing lifespan and stress resistance. This study investigates the impact of Polyphenol-Rich Sugarcane Extract (PRSE) from Saccharum officinarum on the chemosensory behavior, learning, and memory in Caenorhabditis elegans (C. elegans). The C. elegans worms were administered PRSE at 5 mg/mL from the first larval stage. Chemotaxis assays, positive butanone learning, and short-term associative memory assays were conducted at days four, eight, and twelve to evaluate chemosensory response, learning index, and short-term memory loss index. PRSE significantly improved the naïve chemotaxis index by 28.8% on day four, 30% on day eight, and 35.3% on day twelve compared to controls. The learning index increased by 14.5% on day four, 21% on day eight, and 31.9% on day twelve. Additionally, PRSE reduced the short-term memory loss index by 46.4% one hour after conditioning on day four and by 48.6% two hours after conditioning on day four, with similar reductions observed on days eight and twelve. These findings indicate that PRSE has the potential to enhance chemosensory behavior, learning, and memory in C. elegans, suggesting the need for further research to explore its applicability in addressing age-related chemosensory and cognitive decline. Full article
(This article belongs to the Collection Feature Papers in Human and Animal Stresses)
Show Figures

Figure 1

18 pages, 6883 KB  
Article
Treating Tropical Soils with Composted Sewage Sludge Reduces the Mineral Fertilizer Requirements in Sugarcane Production
by Rafael dos Santos Silva, Marcelo Carvalho Minhoto Teixeira Filho, Arshad Jalal, Rodrigo Silva Alves, Nathércia Castro Elias, Raimunda Eliane Nascimento do Nascimento, Cassio Hamilton Abreu-Junior, Arun Dilipkumar Jani, Gian Franco Capra and Thiago Assis Rodrigues Nogueira
Land 2024, 13(11), 1820; https://doi.org/10.3390/land13111820 - 2 Nov 2024
Cited by 2 | Viewed by 2520
Abstract
Conventional mineral fertilization (CMF) is a common practice in infertile sugarcane-cultivated tropical soils, increasing production costs and environmental concerns. Combining CMF with composted sewage sludge (CSS) could be a sustainable strategy. We aim to evaluate changes in soil chemical properties, macro- and micronutrient [...] Read more.
Conventional mineral fertilization (CMF) is a common practice in infertile sugarcane-cultivated tropical soils, increasing production costs and environmental concerns. Combining CMF with composted sewage sludge (CSS) could be a sustainable strategy. We aim to evaluate changes in soil chemical properties, macro- and micronutrient concentrations in the soil surface (Ap1; 0–25 cm) and subsurface (Ap2; 25–50 cm) horizons, after CSS application with or without CMF in sugarcane cultivation (first and second ratoon cane). Eleven treatments, featured by CSS increase rates and mixed with CMF at different concentrations, were tested in the first ratoon; during the second, the CSS residual effect was evaluated. Applying CSS in sugarcane-cultivated soils, improved the following: (i) soil organic matter, pH, the sum of bases, cation-exchange capacity, and base saturation; (ii) overall nutrient concentrations (P, K, Ca, Mg, B, Cu, and Zn). The treatments showing the best performances were those with 5.0 Mg ha−1 of CSS. Composted sewage sludge has the potential for use as an organic natural fertilizer reducing the need for CMF. When applied in infertile tropical soils, additional positive effects can be achieved, such as decreasing production costs and providing socio-economic benefits. Full article
(This article belongs to the Section Land, Soil and Water)
Show Figures

Figure 1

23 pages, 13298 KB  
Article
Towards Sustainable Packaging Using Microbial Cellulose and Sugarcane (Saccharum officinarum L.) Bagasse
by Cláudio José Galdino da Silva Junior, Alexandre D’Lamare Maia de Medeiros, Anantcha Karla Lafaiete de Holanda Cavalcanti, Julia Didier Pedrosa de Amorim, Italo José Batista Durval, Yasmim de Farias Cavalcanti, Attilio Converti, Andréa Fernanda de Santana Costa and Leonie Asfora Sarubbo
Materials 2024, 17(15), 3732; https://doi.org/10.3390/ma17153732 - 27 Jul 2024
Cited by 3 | Viewed by 5369
Abstract
The high consumption of packaging has led to a massive production of waste, especially in the form of nonbiodegradable polymers that are difficult to recycle. Microbial cellulose is considered a biodegradable, low-cost, useful, ecologically correct polymer that may be joined with other biomaterials [...] Read more.
The high consumption of packaging has led to a massive production of waste, especially in the form of nonbiodegradable polymers that are difficult to recycle. Microbial cellulose is considered a biodegradable, low-cost, useful, ecologically correct polymer that may be joined with other biomaterials to obtain novel characteristics and can, therefore, be used as a raw material to produce packaging. Bagasse, a waste rich in plant cellulose, can be reprocessed and used to produce and reinforce other materials. Based on these concepts, the aim of the current research was to design sustainable packaging material composed of bacterial cellulose (BC) and sugarcane bagasse (SCB), employing an innovative shredding and reconstitution method able to avoid biomass waste. This method enabled creating a uniform structure with a 0.10-cm constant thickness, classified as having high grammage. The developed materials, particularly the 0.7 BC/0.3 SCB [70% (w/w) BC plus 30% (w/w) SCB] composite, had considerable tensile strength (up to 46.22 MPa), which was nearly thrice that of SCB alone (17.43 MPa). Additionally, the sorption index of the 0.7 BC/0.3 SCB composite (235.85 ± 31.29 s) was approximately 300-times higher than that of SCB (0.78 ± 0.09 s). The packaging material was also submitted to other analytical tests to determine its physical and chemical characteristics, which indicated that it has excellent flexibility and can be folded 100 times without tearing. Its surface was explored via scanning electron microscopy, which revealed the presence of fibers measuring 83.18 nm in diameter (BC). Greater adherence after the reconstitution process and even a uniform distribution of SCB fibers in the BC matrix were observed, resulting in greater tear resistance than SCB in its pure form. The results demonstrated that the composite formed by BC and SCB is promising as a raw material for sustainable packaging, due to its resistance and uniformity. Full article
(This article belongs to the Special Issue Functional Cellulosic Materials)
Show Figures

Figure 1

17 pages, 6863 KB  
Article
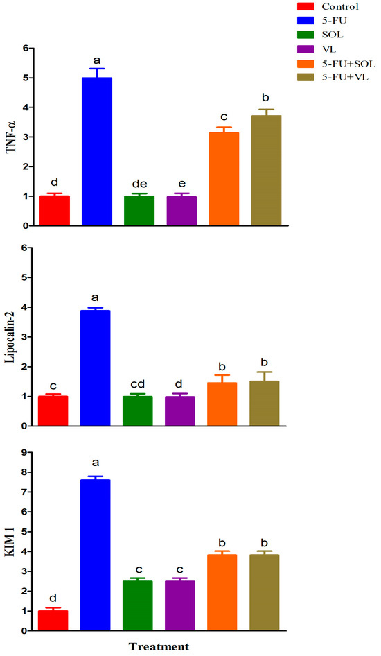
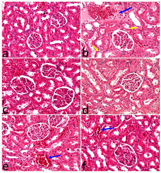
Unraveling the Potential of Saccharum officinarum and Chlorella vulgaris towards 5-Fluorouracil-Induced Nephrotoxicity in Rats
by Hanem F. El-Gendy, Amanallah El-Bahrawy, Doaa A. Mansour, Nagwa I. Sheraiba, Nazema S. Abdel-Megeid, Shaimaa Selim, Rashed A. Alhotan, Anam Ayyoub and Saber El Hanbally
Pharmaceuticals 2024, 17(7), 885; https://doi.org/10.3390/ph17070885 - 4 Jul 2024
Cited by 5 | Viewed by 2384
Abstract
5-Fluorouracil (5-FU) is often used as a chemotherapeutic agent in treating tumors and is said to have adverse effects, including nephrotoxicity. Therefore, the present study aimed to evaluate the protective effects of Chlorella vulgaris (VL) and Saccharum officinarum L. (SOL) against 5-FU-induced nephrotoxicity [...] Read more.
5-Fluorouracil (5-FU) is often used as a chemotherapeutic agent in treating tumors and is said to have adverse effects, including nephrotoxicity. Therefore, the present study aimed to evaluate the protective effects of Chlorella vulgaris (VL) and Saccharum officinarum L. (SOL) against 5-FU-induced nephrotoxicity in rats through the measurement of renal histology, kidney damage indicators, and antioxidant measures. A total of forty-eight male rats were allotted into six groups: group 1 acted as a control negative group (control), group 2 received 5-FU and worked as a control positive group (FU), group 3 received SOL 15 mL/kg (SOL), group 4 received VL 400 mg/kg (VL), group 5 received 5-FU+SOL (5-FU+SOL), and group 6 received 5-FU+VL (5-FU+VL). After fifteen days, blood and renal tissue specimens were collected for hematological, biochemical, molecular, and histopathological examinations. Findings of the current investigation showed that 5-FU leads to hematological alterations and kidney injury evinced by elevated serum concentrations of uric acid, creatinine, and urea (p < 0.01), and a marked increase in kidney MDA and NO levels with a reduction in kidney CAT, SOD and GSH activities (p < 0.05). Alterations of the histopathological structure of kidney tissue in the FU group were noticed compared to the other groups. 5-FU administration elevated expression levels of TNF-α, lipocalin 2, and KIM1 (p < 0.01) compared to the control ones. 5-FU-induced nephrotoxicity was ameliorated after treatment with SOL and VL via their free radical scavenging, potent antioxidant, and anti-inflammatory effects. In conclusion, our findings demonstrate that the treatment with SOL and VL significantly improved nephrotoxicity induced by 5-FU in rats. Full article
(This article belongs to the Section Pharmacology)
Show Figures

Figure 1

20 pages, 4609 KB  
Article
How Does Irrigation with Wastewater Affect the Physical Soil Properties and the Root Growth of Sugarcane under Subsurface Drip?
by Oswaldo Palma Lopes Sobrinho, Leonardo Nazário Silva dos Santos, Marconi Batista Teixeira, Frederico Antônio Loureiro Soares, Ivo Zution Gonçalves, Eduardo Augusto Agnellos Barbosa, Aline Azevedo Nazário, Edson Eiji Matsura, Luciana Cristina Vitorino, Mateus Neri Oliveira Reis and Layara Alexandre Bessa
Agronomy 2024, 14(4), 788; https://doi.org/10.3390/agronomy14040788 - 11 Apr 2024
Cited by 5 | Viewed by 2583 | Correction
Abstract
Studies on the development of the root system can provide important information about responses to different management strategies, such as the use of lower quality water, also evaluating the interaction between plants and the physical properties of the soil. This study tested the [...] Read more.
Studies on the development of the root system can provide important information about responses to different management strategies, such as the use of lower quality water, also evaluating the interaction between plants and the physical properties of the soil. This study tested the hypothesis that irrigation with treated sewage effluent (TSE) supplies the water needs of sugarcane plants, increasing root growth and improving the physical properties of the soil. We evaluated the effects of subsurface dripping with TSE or surface reservoir water (SRW) on the root development of first ratoon cane (Saccharum officinarum L.) and the physical properties of dystrophic red latosol. Irrigation treatments were applied at 20 and 40 cm and soil properties were evaluated at soil depth layers of 0–20, 20–40, 40–60, and 60–80 cm. We verified that under irrigation with TSE and SRW, shallower soil layers present better porosity, soil aggregation, and aggregate stability conditions, parameters that improve the root system development and plant growth. On the other hand, deeper soil layers have lower macroporosity and higher total clay volume, indicating the possibility of compaction and greater limitations for sugarcane root growth. These results are important for understanding soil quality and provide significant information for agricultural management and for the implementation of sustainable soil conservation practices. This study shows the efficiency of TSE as an alternative water source for sugarcane crops. Full article
(This article belongs to the Special Issue Recent Insights in Sustainable Agriculture and Nutrient Management)
Show Figures

Figure 1

16 pages, 9067 KB  
Article
Sustainable Production of Carboxymethyl Cellulose: A Biopolymer Alternative from Sugarcane (Saccharum officinarum L.) Leaves
by Teerapong Churam, Phairat Usubharatana and Harnpon Phungrassami
Sustainability 2024, 16(6), 2352; https://doi.org/10.3390/su16062352 - 12 Mar 2024
Cited by 27 | Viewed by 6153
Abstract
This study explores the potential of sugarcane (Saccharum officinarum L.) leaves (SCLs), a significant agricultural waste, for the sustainable production of carboxymethyl cellulose (CMC) utilizing an innovative approach of carboxymethylation with monochloroacetic acid and varying sodium hydroxide (NaOH) concentrations (ranging from 20 [...] Read more.
This study explores the potential of sugarcane (Saccharum officinarum L.) leaves (SCLs), a significant agricultural waste, for the sustainable production of carboxymethyl cellulose (CMC) utilizing an innovative approach of carboxymethylation with monochloroacetic acid and varying sodium hydroxide (NaOH) concentrations (ranging from 20 to 60 g/100 mL). The optimal carboxymethylation condition was identified as 40 g/100 mL NaOH, which yielded the highest degree of substitution (DS = 0.86). Furthermore, a higher ash content in the obtained CMC indicated significant carboxymethyl substitution within the structure. The chemical structure of cellulose and the resulting polymers were characterized using Fourier transform infrared spectroscopy (FTIR). The FTIR spectrum exhibited characteristic peaks of carboxymethyl groups and their salts at wavenumbers of 1588–1591 cm−1 and 1413–1415 cm−1, respectively. The analyses from X-ray diffraction (XRD) and field emission scanning electron microscopy (FE-SEM) revealed detailed insights into the crystallinity and morphology of carboxymethyl cellulose (CMC). The levels of heavy metals, including arsenic, lead, cadmium, and mercury, in the purified CMC were assessed using inductively coupled plasma mass spectrometry (ICP-MS) and were found to be within the recommended WHO/FAO limits, except for lead, which exceeded permissible levels. The prepared CMC demonstrated high purity at 99.34%, surpassing the 98.00% purity requirement for commercial-grade CMC. This product exhibits strong potential for diverse industrial applications, including paper coating, textile sizing and printing, ceramic glazing, and various uses in the oil industry. Full article
Show Figures

Figure 1

17 pages, 1776 KB  
Article
In Silico Identification of Sugarcane Genome-Encoded MicroRNAs Targeting Sugarcane Mosaic Virus
by Wang Wenzhi, Muhammad Aleem Ashraf, Hira Ghaffar, Zainab Ijaz, Waqar ul Zaman, Huda Mazhar, Maryam Zulfqar and Shuzhen Zhang
Microbiol. Res. 2024, 15(1), 273-289; https://doi.org/10.3390/microbiolres15010019 - 16 Feb 2024
Cited by 7 | Viewed by 2673
Abstract
Sugarcane mosaic virus (SCMV) (genus, Potyvirus; family, Potyviridae) is widespread, deleterious, and the most damaging pathogen of sugarcane (Saccharum officinarum L. and Saccharum spp.) that causes a substantial barrier to producing high sugarcane earnings. Sugarcane mosaic disease (SCMD) is caused [...] Read more.
Sugarcane mosaic virus (SCMV) (genus, Potyvirus; family, Potyviridae) is widespread, deleterious, and the most damaging pathogen of sugarcane (Saccharum officinarum L. and Saccharum spp.) that causes a substantial barrier to producing high sugarcane earnings. Sugarcane mosaic disease (SCMD) is caused by a single or compound infection of SCMV disseminated by several aphid vectors in a non-persistent manner. SCMV has flexuous filamentous particle of 700–750 nm long, which encapsidated in a positive-sense, single-stranded RNA molecule of 9575 nucleotides. RNA interference (RNAi)-mediated antiviral innate immunity is an evolutionarily conserved key biological process in eukaryotes and has evolved as an antiviral defense system to interfere with viral genomes for controlling infections in plants. The current study aims to analyze sugarcane (Saccharum officinarum L. and Saccharum spp.) locus-derived microRNAs (sof-miRNAs/ssp-miRNAs) with predicted potential for targeting the SCMV +ssRNA-encoded mRNAs, using a predictive approach that involves five algorithms. The ultimate goal of this research is to mobilize the in silico- predicted endogenous sof-miRNAs/ssp-miRNAs to experimentally trigger the catalytic RNAi pathway and generate sugarcane cultivars to evaluate the potential antiviral resistance surveillance ability and capacity for SCMV. Experimentally validated mature sugarcane (S. officinarum, 2n = 8X = 80) and (S. spp., 2n = 100–120) sof-miRNA/ssp-miRNA sequences (n = 28) were downloaded from the miRBase database and aligned with the SCMV genome (KY548506). Among the 28 targeted mature locus-derived sof-miRNAs/ssp-miRNAs evaluated, one sugarcane miRNA homolog, sof-miR159c, was identified to have a predicted miRNA binding site, at nucleotide position 3847 of the SCMV genome targeting CI ORF. To verify the accuracy of the target prediction accuracy and to determine whether the sugarcane sof-miRNA/ssp-miRNA could bind the predicted SCMV mRNA target(s), we constructed an integrated Circos plot. A genome-wide in silico-predicted miRNA-mediated target gene regulatory network was implicated to validate interactions necessary to warrant in vivo analysis. The current work provides valuable computational evidence for the generation of SCMV-resistant sugarcane cultivars. Full article
Show Figures

Figure 1

16 pages, 2622 KB  
Article
Beneficial Effect of Exogenously Applied Calcium Pyruvate in Alleviating Water Deficit in Sugarcane as Assessed by Chlorophyll a Fluorescence Technique
by Mirandy dos Santos Dias, Francisco de Assis da Silva, Pedro Dantas Fernandes, Carlos Henrique de Azevedo Farias, Robson Felipe de Lima, Maria de Fátima Caetano da Silva, Vitória Régia do Nascimento Lima, Andrezza Maia de Lima, Cassiano Nogueira de Lacerda, Lígia Sampaio Reis, Weslley Bruno Belo de Souza, André Alisson Rodrigues da Silva and Thiago Filipe de Lima Arruda
Plants 2024, 13(3), 434; https://doi.org/10.3390/plants13030434 - 1 Feb 2024
Cited by 2 | Viewed by 2157
Abstract
The growing demand for food production has led to an increase in agricultural areas, including many with low and irregular rainfall, stressing the importance of studies aimed at mitigating the harmful effects of water stress. From this perspective, the objective of this study [...] Read more.
The growing demand for food production has led to an increase in agricultural areas, including many with low and irregular rainfall, stressing the importance of studies aimed at mitigating the harmful effects of water stress. From this perspective, the objective of this study was to evaluate calcium pyruvate as an attenuator of water deficit on chlorophyll a fluorescence of five sugarcane genotypes. The experiment was conducted in a plant nursery where three management strategies (E1—full irrigation, E2—water deficit with the application of 30 mM calcium pyruvate, and E3—water deficit without the application of calcium pyruvate) and five sugarcane genotypes (RB863129, RB92579, RB962962, RB021754, and RB041443) were tested, distributed in randomized blocks, in a 3 × 5 factorial design with three replications. There is dissimilarity in the fluorescence parameters and photosynthetic pigments of the RB863129 genotype in relation to those of the RB041443, RB96262, RB021754, and RB92579 genotypes. Foliar application of calcium pyruvate alleviates the effects of water deficit on the fluorescence parameters of chlorophyll a and photosynthetic pigments in sugarcane, without interaction with the genotypes. However, subsequent validation tests will be necessary to test and validate the adoption of this technology under field conditions. Full article
(This article belongs to the Special Issue Mitigation Strategies and Tolerance of Plants to Abiotic Stresses)
Show Figures

Graphical abstract

Back to TopTop