Sign in to use this feature.

Years

Between: -

Subjects

remove_circle_outline
remove_circle_outline
remove_circle_outline
remove_circle_outline
remove_circle_outline
remove_circle_outline
remove_circle_outline
remove_circle_outline
remove_circle_outline

Journals

Article Types

Countries / Regions

remove_circle_outline
remove_circle_outline
remove_circle_outline
remove_circle_outline
remove_circle_outline

Search Results (216)

Search Parameters:
Keywords = Royal Jelly

Order results
Result details
Results per page
Select all
Export citation of selected articles as:
24 pages, 2553 KB  
Article
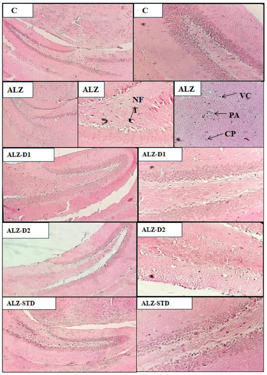
Royal Jelly Mitigates Cognitive Decline and Anxiety in Female Mice: A Promising Natural Neuroprotective Solution for Alzheimer’s Disease
by Noureddine Djebli, Nadjet Mostefa, Hadjer Chenini-Bendiab, Mokhtaria Hamidi, Arbia Zitouni, Flávia dos Santos Ferreira and Graziele Freitas de Bem
Compounds 2026, 6(1), 8; https://doi.org/10.3390/compounds6010008 - 21 Jan 2026
Abstract
Background: The incidence of dementia, especially Alzheimer’s disease (AD), is rising, with over 55 million affected globally. Therefore, this disease, for which there is no adequate treatment, is more frequent and prevalent in women. Royal jelly, a bee secretion, is known for its [...] Read more.
Background: The incidence of dementia, especially Alzheimer’s disease (AD), is rising, with over 55 million affected globally. Therefore, this disease, for which there is no adequate treatment, is more frequent and prevalent in women. Royal jelly, a bee secretion, is known for its health benefits and contains proteins, carbohydrates, lipids, minerals, polyphenols, enzymes, and B vitamins, as well as anti-inflammatory and antioxidant properties relevant to AD. Thus, we aimed to investigate the chemical compounds in royal jelly extract and their effect on neurobehavioral changes in an AD female model. Methods: In vitro studies were used to investigate the chemical and physicochemical properties of the royal jelly extract. In vivo studies, we divided female mice into five groups (n = 25): Control (C), Alzheimer (ALZ), ALZ standard (ALZ-STD, rivastigmine 1 mg/Kg), ALZ-D1 (royal jelly 150 mg/kg), and ALZ-D2 (royal jelly 300 mg/kg). The mice received the treatments orally at 45 days. We induced the AD model by orally administering aluminum chloride at 100 mg/kg and intraperitoneally injecting D-galactose at 120 mg/kg for 45 consecutive days, after which we subjected the animals to the radial arm maze, Morris water maze, elevated plus maze, and forced swim tests. Results: Analyses showed moderate acidity and a rich bioactive profile, with flavonoids being more prevalent. Antioxidant activity tests indicated moderate efficacy, while FTIR-ATR analysis revealed the chemical complexity of royal jelly. The royal jelly extract used in the study did not induce toxicity in vivo. Notably, royal jelly improved cognitive deficits, neurodegeneration, and reduced anxiety in AD. Conclusions: The study suggests that royal jelly extract has promising neuroprotective properties and could be a viable natural therapeutic option for AD. Full article
Show Figures

Figure 1

13 pages, 667 KB  
Article
Quantitative Assessment of Total Aerobic Viable Counts in Apitoxin-, Royal-Jelly-, Propolis-, Honey-, and Bee-Pollen-Based Products Through an Automated Growth-Based System
by Harold A. Prada-Ramírez, Raquel Gómez-Pliego, Humberto Zardo, Willy-Fernando Cely-Veloza, Ericsson Coy-Barrera, Rodrigo Palacio-Beltrán, Romel Peña-Romero, Sandra Gonzalez-Alarcon, Juan Camilo Fonseca-Acevedo, Juan Pablo Montes-Tamara, Lina Nieto-Celis, Ruth Dallos-Acosta, Tatiana Gonzalez, David Díaz-Báez and Gloria Inés Lafaurie
Microorganisms 2026, 14(1), 218; https://doi.org/10.3390/microorganisms14010218 - 17 Jan 2026
Viewed by 152
Abstract
Bee-derived products such as apitoxin, royal jelly, propolis, bee pollen, and honey are increasingly being used as part of cosmetic products because all of them contain a large number of bioactive compounds with antioxidant, anti-inflammatory, antimicrobial, and regenerative properties, which enable them to [...] Read more.
Bee-derived products such as apitoxin, royal jelly, propolis, bee pollen, and honey are increasingly being used as part of cosmetic products because all of them contain a large number of bioactive compounds with antioxidant, anti-inflammatory, antimicrobial, and regenerative properties, which enable them to be used for therapeutic purposes. The aim of this investigation was to assess the performance of an automated growth-based system in order to make a quantitative examination of the total aerobic viable counts in bee-derived personal care products using NF-TVC vials that contained a nutrient-based medium with dextrose as the carbon source. According to USP general chapter <1223>, pivotal validation criteria such as linearity, equivalence of results, operative range, precision, accuracy, ruggedness, limit of quantification, and limit of detection have demonstrated that the automated system can be used for a reliable total aerobic viable count. Moreover, the actual research demonstrated that polysorbates efficiently block the antimicrobiological potential of bioactive compounds, such as phenols, flavonoids, enzymes, peptides, and fatty acids, which naturally occur in apitoxin, royal jelly, propolis, bee pollen, and honey, allowing for efficient microorganism recovery from the bee-made products tested. Therefore, this AGBS could be applied efficiently within the cosmetic industry to assess the total aerobic viable count in bee-derived products such as capillary treatments, toothpaste, and anti-aging cream, affording several benefits associated with faster product release into the market. Full article
(This article belongs to the Section Antimicrobial Agents and Resistance)
Show Figures

Graphical abstract

13 pages, 1045 KB  
Review
Recent Advances on Queen Bee Larvae: Sources, Chemical Composition, and Health-Benefit Bioactivities
by Pengbo Liang, Xinyu Yu, Meifei Zhu, Bin Yuan, Shanshan Li and Fuliang Hu
Foods 2026, 15(1), 89; https://doi.org/10.3390/foods15010089 - 28 Dec 2025
Viewed by 436
Abstract
Queen bee larvae, a by-product of royal jelly production, represents a largely underutilized yet promising economic resource. Numerous studies have shown that these larvae are rich in proteins, amino acids, fatty acids, and minerals, indicating high nutritional value. Research has also highlighted their [...] Read more.
Queen bee larvae, a by-product of royal jelly production, represents a largely underutilized yet promising economic resource. Numerous studies have shown that these larvae are rich in proteins, amino acids, fatty acids, and minerals, indicating high nutritional value. Research has also highlighted their bioactivities, including anti-aging, anti-inflammatory, and antioxidant properties. This review summarizes the current knowledge on the nutritional composition and biological functions of queen bee larvae, providing a scientific foundation for their comprehensive utilization. The findings support their potential applications in food science and health-related industries. Full article
(This article belongs to the Section Food Nutrition)
Show Figures

Graphical abstract

18 pages, 2586 KB  
Article
Novel ACE-Inhibitory Peptides from Royal Jelly Proteins: Comprehensive Screening, Mechanistic Insights, and Endothelial Protection
by Wanyu Yang, Xinyu Zou, Tianrong Zhang, Qingqing Liu, Ziyan Liu, Fan Li, Yuhong Luo, Yiwen Wang, Zhijun Qiu and Bin Zhang
Foods 2026, 15(1), 84; https://doi.org/10.3390/foods15010084 - 26 Dec 2025
Viewed by 308
Abstract
This study aimed to identify novel angiotensin-converting enzyme (ACE)-inhibitory peptides from royal jelly proteins (RJPs) by integrating in silico digestion, virtual screening, and in vitro evaluation. Three major royal jelly proteins (MRJP1-3) were subjected to in silico digestion using 16 enzymatic systems, yielding [...] Read more.
This study aimed to identify novel angiotensin-converting enzyme (ACE)-inhibitory peptides from royal jelly proteins (RJPs) by integrating in silico digestion, virtual screening, and in vitro evaluation. Three major royal jelly proteins (MRJP1-3) were subjected to in silico digestion using 16 enzymatic systems, yielding 1411 unique peptides. Virtual screening based on predicted bioactivity, toxicity, water solubility, and ADMET profiles resulted in the selection of 27 candidate peptides. Molecular docking revealed strong binding affinities for these peptides compared with the positive control captopril, among which PYPDWSFAK and RPYPDWSF exhibited potent ACE-inhibitory activity, with IC50 values of 110 ± 1.02 μmol/L and 204 ± 0.61 μmol/L, respectively. Kinetic analysis indicated that PYPDWSFAK acts as a mixed-type ACE inhibitor. Docking visualization demonstrated that PYPDWSFAK forms multiple hydrogen bonds with key residues in the ACE active pocket and directly coordinates with the catalytic Zn2+ ion. Cellular assays showed that PYPDWSFAK was non-cytotoxic, suppressed Ang II–induced endothelial cell migration, restored NO and ET-1 balance, and enhanced SOD and GSH-Px activities. Overall, this study enriches the repertoire of ACE-inhibitory peptides derived from royal jelly proteins. Furthermore, PYPDWSFAK is identified as a promising ACE-inhibitory peptide with potential for incorporation into natural antihypertensive ingredients or functional foods. Full article
Show Figures

Graphical abstract

31 pages, 1109 KB  
Review
Ensuring the Safe Use of Bee Products: A Review of Allergic Risks and Management
by Eliza Matuszewska-Mach, Paulina Borysewicz, Jan Królak, Magdalena Juzwa-Sobieraj and Jan Matysiak
Int. J. Mol. Sci. 2025, 26(24), 12074; https://doi.org/10.3390/ijms262412074 - 15 Dec 2025
Viewed by 2008
Abstract
Honeybee products (HBPs), including honey, bee pollen, bee bread, royal jelly, propolis, beeswax, and bee brood, are increasingly used in food, nutraceutical, and cosmetic contexts. Because of their natural origin, HBPs can provoke allergic reactions ranging from localised dermatitis to life-threatening, systemic anaphylaxis. [...] Read more.
Honeybee products (HBPs), including honey, bee pollen, bee bread, royal jelly, propolis, beeswax, and bee brood, are increasingly used in food, nutraceutical, and cosmetic contexts. Because of their natural origin, HBPs can provoke allergic reactions ranging from localised dermatitis to life-threatening, systemic anaphylaxis. As the use of bee products for health purposes grows in apitherapy (a branch of alternative medicine), raising public awareness of their potential risks is essential. This narrative review synthesises the clinical manifestations of HBP allergy, culprit allergens present in each product, immunological mechanisms, diagnostic approaches, at-risk populations, and knowledge gaps. The analysis of the available literature suggests that, although relatively rarely, HPB may trigger allergic reactions, including anaphylactic shock. The sensitisation mechanism may be associated with both primary sensitisation and cross-reactivity and can be classified into type I (IgE-mediated) and type IV (T-cell-mediated). However, bee bread appears less allergenic than other HBPs, potentially due to lactic fermentation that can degrade allergenic proteins. Severe reactions following intake of bee bread have not been reported to date. Management of HBP allergic reactions centres on avoiding the products, educating about the risks, and providing more precise product labelling, specifying the allergen content. Individuals with atopy and beekeepers are at heightened risk of developing anaphylaxis; therefore, they should be particularly aware of the potential dangerous consequences of HPB use. Further research is needed to clarify the mechanisms of HBP allergies and improve safety for all users. Full article
Show Figures

Figure 1

28 pages, 2789 KB  
Article
Knowledge and Use of Bee Products in Lithuania
by Juozas Labokas and Gintarė Kleibaitė
Nutrients 2025, 17(24), 3927; https://doi.org/10.3390/nu17243927 - 15 Dec 2025
Viewed by 551
Abstract
Background/Objective: In recent years, there has been a growing public interest in natural products, including those derived from bees. While most scientific research on bee products has focused on their pharmacological properties, insufficient attention has been given to consumer knowledge, consumption habits [...] Read more.
Background/Objective: In recent years, there has been a growing public interest in natural products, including those derived from bees. While most scientific research on bee products has focused on their pharmacological properties, insufficient attention has been given to consumer knowledge, consumption habits and attitudes. The aim of this study was to estimate the popularity of use of different bee products and assess consumer knowledge about them in Lithuania. Methods: An online survey was carried out of the general adult population of Lithuania with 421 respondents included. Results: The study revealed that honey, beeswax and royal jelly were the best-known bee products, while bee venom was the least known one. Knowledge levels varied by age and occupation of respondents—older people and those working in pharmacy, healthcare, cosmetology, agriculture, beekeeping and food production showed better perception. Honey was most often used for treating colds (78.9%), prevention (78.1%) and reducing fever (65.3%). Dietary use of honey depended on demographic factors and was generally low—28.3% consumed it only a few times per year or less. For cosmetics, propolis was the most used product (34.2%). Conclusions: Older individuals and professionals in pharmacy, healthcare, cosmetology, agriculture, beekeeping and food production, demonstrated better knowledge of bee products. Although honey was rarely consumed as part of the diet, older people tended to use it more often than younger individuals. Men were more likely to use honey for treating digestive and circulatory issues and as an ingredient in food and beverages, whereas women were more inclined to use it for respiratory illnesses and cosmetic treatments. Full article
(This article belongs to the Special Issue Bee Products in Human Health (2nd Edition))
Show Figures

Figure 1

20 pages, 686 KB  
Review
Monitoring and Maintaining the Freshness of Royal Jelly: A Review of Analytical Approaches and Preservation Technologies
by Yu Zhang, Jing Sun, Rui Chen, Lin Zhang, Xuan Ma, Jiangying Heng, Feng Wang and Xiaofeng Xue
Foods 2025, 14(24), 4300; https://doi.org/10.3390/foods14244300 - 14 Dec 2025
Viewed by 728
Abstract
Royal jelly, a high-value natural product rich in bioactive compounds, is highly susceptible to quality deterioration during storage and processing. However, current quality standards rely predominantly on basic physicochemical parameters and measuring the content of 10-hydroxy-2-decenoic acid (10-HDA), which fail to capture the [...] Read more.
Royal jelly, a high-value natural product rich in bioactive compounds, is highly susceptible to quality deterioration during storage and processing. However, current quality standards rely predominantly on basic physicochemical parameters and measuring the content of 10-hydroxy-2-decenoic acid (10-HDA), which fail to capture the comprehensive and dynamic nature of its freshness. This significant knowledge gap hinders the accurate assessment, prediction, and control of royal jelly quality throughout its supply chain. To address this limitation, this review systematically elucidates the molecular mechanisms underlying the deterioration of royal jelly freshness, including key pathways such as protein denaturation, Maillard reactions, enzymatic inactivation, and lipid oxidation, and analyzes the combined effects of intrinsic and extrinsic factors on its quality stability. It highlights the potential applications of novel biochemical markers—including major royal jelly proteins (MRJPs), Maillard reaction products, enzymatic activity indicators, and energy metabolites—while comparing the advantages and limitations of traditional chromatographic techniques with modern rapid sensing and spectroscopic analysis methods. Regarding preservation, a critical yet inadequately summarized area, this review systematically evaluates the applicability and limitations of various approaches, including low-temperature storage, drying treatments, non-thermal sterilization, microencapsulation, and modified atmosphere packaging. Future directions for integrated quality control are outlined, providing a theoretical basis for holistic quality management of royal jelly. Full article
(This article belongs to the Section Food Quality and Safety)
Show Figures

Graphical abstract

14 pages, 559 KB  
Review
Organic Acid Supplementation in Worker Honeybees (Apis mellifera): Impacts on Glandular Physiology and Colony Resilience
by Gebreamlak Bezabih, Tesfay Atsbha, Solomon Zewdu Altaye, Qingsong Zhou, Jianke Li, Christian W. W. Pirk, Chaodong Zhu and Yu Fang
Insects 2025, 16(12), 1203; https://doi.org/10.3390/insects16121203 - 26 Nov 2025
Viewed by 833
Abstract
Honeybees require diverse nutrients for larval growth, adult development, and colony health. Pollen quality significantly impacts reproduction, productivity, and growth. Bioactive substances from honeybee glands enhance colony health, with recent studies showing that optimal citric acid intake extends lifespan, boosts pollen consumption, accelerates [...] Read more.
Honeybees require diverse nutrients for larval growth, adult development, and colony health. Pollen quality significantly impacts reproduction, productivity, and growth. Bioactive substances from honeybee glands enhance colony health, with recent studies showing that optimal citric acid intake extends lifespan, boosts pollen consumption, accelerates mandibular gland development, and improves royal jelly quality. This review examines organic acid feeding’s effects on gland development and overall health, offering insights for beekeeping and supplementary food development to support sustainable apiculture. Research gaps in organic acid supplementation, gland development, and health benefits are identified. The impact of varying organic acid concentrations on 10-HDA biosynthesis in mandibular glands and key regulatory proteins influencing 10-HDA expression is summarized. Findings highlight the benefits of organic acid supplements for worker bee gland development and health, guiding future research and practical applications in beekeeping. Full article
(This article belongs to the Section Social Insects and Apiculture)
Show Figures

Figure 1

20 pages, 2167 KB  
Article
Removal of Neonicotinoid Residues from Beeswax Using an Eco-Friendly Oxalic Acid Treatment: A Sustainable Solution for Apicultural Decontamination
by Karen Yáñez, Ramón Arias, Daniel Ramírez, Fabián Guerrero and Mario Toledo
Agriculture 2025, 15(23), 2409; https://doi.org/10.3390/agriculture15232409 - 22 Nov 2025
Viewed by 837
Abstract
Beeswax is widely used in apiculture and can accumulate neonicotinoid residues due to the intensive use of systemic pesticides in agriculture. These contaminants pose potential risks to honeybee health and may indirectly affect the quality and safety of hive products such as honey, [...] Read more.
Beeswax is widely used in apiculture and can accumulate neonicotinoid residues due to the intensive use of systemic pesticides in agriculture. These contaminants pose potential risks to honeybee health and may indirectly affect the quality and safety of hive products such as honey, pollen, and royal jelly. This study evaluates several decontamination methods for neonicotinoid removal from contaminated beeswax, including modern techniques (microwaves, ultrasonic baths, and magnetic stirring with heating) and conventional approaches based on heat, agitation, and water—either pure or acidified. Among these, the traditional method that uses an aqueous oxalic acid solution proved highly effective, removing over 99% of neonicotinoid residues after two treatment cycles, even at wax quantities up to 200 g. The treatment also improved the colour and physical properties of the wax and was well tolerated by bees, according to a qualitative acceptance test. The simplicity, low cost, and absence of hazardous by-products make this method suitable for scale-up and adoption in real apicultural practices. These findings support the development of accessible and sustainable strategies for the decontamination of wax matrices that may otherwise act as long-term reservoirs of pesticide residues in the food chain. Full article
Show Figures

Figure 1

12 pages, 1774 KB  
Article
Pro-Cognitive Effect of Royal Jelly Is Linked with Increased Burst Activity of Mesocorticolimbic Dopaminergic Neurons
by Katarína Bíliková, Daniela Jezova, Daniil Grinchii, Henrieta Oravcová, Tatiana Krištof Kraková, Ruslan Paliokha, Hande Özbaşak, Matej Račický and Eliyahu Dremencov
Nutrients 2025, 17(22), 3593; https://doi.org/10.3390/nu17223593 - 17 Nov 2025
Viewed by 1141
Abstract
Background: Royal jelly is a protein-rich honeybee secretion that is used in the nutrition of larvae and adult queens. Previous studies have reported that royal jelly had induced pro-cognitive, anxiolytic, and antidepressant-like effects in laboratory rats. Since serotonin (5-HT), noradrenaline, and dopamine play [...] Read more.
Background: Royal jelly is a protein-rich honeybee secretion that is used in the nutrition of larvae and adult queens. Previous studies have reported that royal jelly had induced pro-cognitive, anxiolytic, and antidepressant-like effects in laboratory rats. Since serotonin (5-HT), noradrenaline, and dopamine play an important role in the control of several mental functions, changes in the excitability of monoaminergic neurons may be involved in the mechanisms of the behavioral and neurochemical effects of royal jelly. The present study aimed to test this hypothesis. Methods: Adult male Wistar rats were treated with royal jelly for two weeks. Thereafter, their cognitive performance was evaluated using the novel object recognition (NOR) test. The excitability of monoaminergic neurons was assessed using in vivo single-unit extracellular electrophysiology. Results: We found that rats treated with royal jelly had a higher recognition index in the NOR test and a higher burst activity of dopaminergic neurons of the ventral tegmental area (VTA) compared to the vehicle-treated controls. The firing activities of 5-HT neurons of the dorsal raphe nucleus (DRN) and the noradrenergic neurons of the locus coeruleus (LC) were not altered. Conclusions: We conclude that the pro-cognitive effect of royal jelly is mediated, at least in part, by mechanisms involving the excitability of mesolimbic dopaminergic neurons. The present findings encourage further research towards the improvement of the safety and efficacy of currently available therapies for cognitive dysfunction. Full article
(This article belongs to the Section Nutrition and Neuro Sciences)
Show Figures

Figure 1

12 pages, 2000 KB  
Article
Effects of Royal Jelly Freshness and Concentration on Lifespan, Growth, Motility and Reproduction in Caenorhabditis elegans
by Chenhuan Zhang, Yuanhao Deng, Zhenling Luo, Shenyun Liu, Wenhui Tao, Yuhan Zhang, Hongliang Li and Fan Wu
Foods 2025, 14(22), 3839; https://doi.org/10.3390/foods14223839 - 10 Nov 2025
Viewed by 905
Abstract
Although aging is an irreversible process, the rate of aging can be delayed by a reasonable diet. As a nutrient-dense natural product, royal jelly (RJ) has an enormous potential for applications in medicine and health promotion. However, the exact physiological activity of RJ [...] Read more.
Although aging is an irreversible process, the rate of aging can be delayed by a reasonable diet. As a nutrient-dense natural product, royal jelly (RJ) has an enormous potential for applications in medicine and health promotion. However, the exact physiological activity of RJ with varying freshness and concentration has not been fully clarified, and more investigation is needed to determine their precise contributions. Here, fresh RJ (just produced recently) and RJ stored for 2 weeks at −20 °C, 4 °C or 25 °C were tested at concentrations of 100, 50, 25 and 12.5 μg/mL on Caenorhabditis elegans. Fresh RJ, with concentrations of 100 μg/mL, 50 μg/mL and 25 μg/mL, could extend the lifespan of C. elegans by 16.37%, 9.53% and 4.32%, while RJs stored at 4 °C and 25 °C were ineffective. In terms of body length, treatment with fresh RJ significantly enlarged the body size by around 48%. Although RJ stored at 4 °C and 25 °C could also promote nematode growth, its activity diminishes as storage temperature increases. RJs stored at −20 °C and 4 °C with concentrations of 100 μg/mL significantly increased the pumping rate of nematodes by 58% and 50%. But non-fresh RJ or low-concentration RJ (≤25 μg/mL) had no effects on the motility of C. elegans. In addition, fresh RJ could improve the reproductive capacity of C. elegans, with the highest increase reaching approximately 25%. Even when stored at 25 °C, RJ also significantly enhanced the reproductive capacity of C. elegans, increasing it by approximately 14.8%. Moreover, qPCR showed that RJ could significantly affect the expression of multiple genes associated with aging and vitality. Fresh RJ significantly up-regulated bec1 and hsp16.2 3.19- and 2.80-fold, while RJ stored at 25 °C significantly up-regulated sod3 and gpd1 3.80- and 3.40-fold. Our results suggested that the activity of RJ on C. elegans is related to its freshness and concentration, while RJ also contains active components that are independent of freshness. Therefore, it is necessary to explore effective methods for accurately assessing the freshness of RJ. Full article
(This article belongs to the Section Food Nutrition)
Show Figures

Figure 1

30 pages, 1806 KB  
Review
Bee-Derived Products in Aquaculture Nutrition: A Comprehensive Review of Impacts on Fish Performance, Health, and Product Quality
by Vittorio Lo Presti, Mauro Cavallaro and Ambra Rita Di Rosa
Animals 2025, 15(21), 3153; https://doi.org/10.3390/ani15213153 - 30 Oct 2025
Cited by 1 | Viewed by 777
Abstract
Aquaculture is expanding rapidly worldwide, but its sustainability is threatened by intensive production practices, environmental stressors and recurrent disease outbreaks. Natural feed additives are increasingly studied as alternatives to antibiotics and synthetic compounds. Among them, bee-derived products—pollen, bee bread, propolis, royal jelly, honey [...] Read more.
Aquaculture is expanding rapidly worldwide, but its sustainability is threatened by intensive production practices, environmental stressors and recurrent disease outbreaks. Natural feed additives are increasingly studied as alternatives to antibiotics and synthetic compounds. Among them, bee-derived products—pollen, bee bread, propolis, royal jelly, honey and fermented derivatives—represent a promising resource due to their richness in proteins, amino acids, fatty acids, vitamins, flavonoids and phenolic compounds with demonstrated antioxidant, antimicrobial and immunostimulant properties. Evidence from studies on species such as Nile tilapia, rainbow trout, European sea bass, meagre and African catfish indicates that dietary supplementation with bee products can improve growth performance, immune and antioxidant responses, stress tolerance and resistance to bacterial infections while, in some cases, enhancing the nutritional value and shelf-life of fish products. Prominent examples include ~45% higher growth in African catfish with 10–30 g kg−1 bee pollen, up to 93% protection in Nile tilapia fed 25 g kg−1 pollen against Aeromonas hydrophila, and increased trout fillet carotenoids with pollen-derived pigments (with overall growth unchanged and pigmentation lower than synthetic astaxanthin). Conversely, meagre fed 20–40 g kg−1 raw pollen showed reduced growth and digestibility with elevated intestinal stress markers, underscoring species- and dose-specific responses. Nevertheless, the available data remain fragmented and heterogeneous, reflecting differences in product type, origin, dosage and experimental design. This review critically analyses the current knowledge on bee products in aquaculture nutrition, identifies the main gaps and limitations, and outlines future research directions. By linking fish physiology, nutritional strategies and product quality, bee-derived products emerge as innovative tools for promoting fish health and resilience in sustainable aquaculture. Full article
Show Figures

Figure 1

18 pages, 2741 KB  
Review
Synergistic Therapeutic Effects of Chitosan and Royal Jelly
by Raluca-Marieta Toma and Adriana Băran
Polymers 2025, 17(21), 2872; https://doi.org/10.3390/polym17212872 - 28 Oct 2025
Viewed by 1482
Abstract
The fields of healthcare and pharmaceutical science are increasingly focused on developing innovative and effective treatments. This trend is driven by a growing consumer demand for natural, sustainable, and highly functional polymer-based products. This study focuses on two biomaterials: chitosan and royal jelly. [...] Read more.
The fields of healthcare and pharmaceutical science are increasingly focused on developing innovative and effective treatments. This trend is driven by a growing consumer demand for natural, sustainable, and highly functional polymer-based products. This study focuses on two biomaterials: chitosan and royal jelly. Chitosan, a linear polysaccharide derived from chitin, is well-regarded for its hemostatic and antimicrobial properties, making it an excellent candidate for wound healing applications. Royal jelly, a nutrient-rich secretion from honeybees, represents a complex mixture of proteins, lipids, vitamins, and antioxidants, notably 10-hydroxy-2-decenoic acid (10-H2DA). It is known for its anti-inflammatory, antioxidant, and regenerative effects on the skin. While the individual benefits of chitosan and royal jelly are well-documented, there is a significant research gap concerning their synergistic application in various treatments such as topical formulations, wound healing, regenerative medicine, and delivery transport processes. Ultimately, this review concludes that the synergistic effects of chitosan and royal jelly could provide a material platform with a superior dual-action profile, integrating the structural and antimicrobial benefits of chitosan with the powerful regenerative and anti-inflammatory effects of royal jelly. This synergy strongly supports their utility in developing next-generation, high-performance natural bioproducts for wound healing, bone regeneration, agriculture, or aquaculture applications. Full article
(This article belongs to the Special Issue Natural Polysaccharides: Chitosan, Chitin, Pectin and Gums)
Show Figures

Graphical abstract

19 pages, 5082 KB  
Article
Bee Product-Based Antimicrobial Film-Forming Gels Targeting Staphylococcus aureus, Staphylococcus epidermidis, and Cutibacterium acnes for Anti-Acne Applications
by Suvimol Somwongin, Pattiya Tammasorn, Ratthaporn Limbunjerd, Kankamon Norkaew, Nattakan Lertprachyakorn, Thanaphorn Kongsaeng, Patcharin Phokasem, Terd Disayathanoowat, Wei-Chao Lin and Wantida Chaiyana
Gels 2025, 11(10), 802; https://doi.org/10.3390/gels11100802 - 6 Oct 2025
Cited by 1 | Viewed by 1378
Abstract
This study aimed to develop an optimized film-forming gel for topical anti-acne applications by evaluating the antibacterial efficacy of propolis, honey, and royal jelly, individually and in combination with low-dose salicylic acid. The antibacterial activities were assessed against Staphylococcus aureus, Staphylococcus epidermidis [...] Read more.
This study aimed to develop an optimized film-forming gel for topical anti-acne applications by evaluating the antibacterial efficacy of propolis, honey, and royal jelly, individually and in combination with low-dose salicylic acid. The antibacterial activities were assessed against Staphylococcus aureus, Staphylococcus epidermidis, and Cutibacterium acnes using the inhibition zone assay. Film-forming gels were developed by evaluating the effects of type and concentration of polymers and plasticizers. Each formulation was evaluated for visual appearance, pH, viscosity, and drying time, along with the appearance of the corresponding film. The findings noted that propolis (1% w/w) exhibited the strongest antibacterial activity among individual bee products, producing an inhibition zone of 20.0 ± 1.0 mm against S. aureus. The combination of bee products with low-dose salicylic acid (0.1% w/w) markedly enhanced antibacterial efficacy, particularly against C. acnes (inhibition zone 40.8 ± 0.8 mm). Incorporation of this combination into the optimized film-forming gel, containing polyvinyl alcohol, Carbomer® 940, polyethylene glycol 400, glycerin, and water, produced a formulation with balanced pH, suitable viscosity, 31 min drying time, and complete inhibition of S. aureus and S. epidermidis. Therefore, bee product-based film-forming gels, combined with low-dose salicylic acid, exhibited favorable physicochemical properties and showed promise as complementary anti-acne therapies. Full article
(This article belongs to the Special Issue Advances in Gel Films)
Show Figures

Figure 1

16 pages, 306 KB  
Article
Honey Compounds Exhibit Antibacterial Effects Against Aggregatibacter actinomycetemcomitans JP2
by Abdelhadi Hbibi, Amine Ezzahi, Ferhat Ozturk, Niels A. J. Cremers, Jalal Kasouati, Ahmed Moussaif, Anders Johansson, Mimoun Zouhdi, Babacar Touré and Itto Maroui
Antibiotics 2025, 14(9), 887; https://doi.org/10.3390/antibiotics14090887 - 3 Sep 2025
Viewed by 2071
Abstract
Background: Aggregatibacter actinomycetemcomitans JP2 genotype is a virulent pathogen linked to severe periodontitis and systemic diseases. Honey and royal jelly (RJ) have demonstrated bioactive properties against this microorganism. This study aims to assess the bioactive properties of honeys and RJ against this [...] Read more.
Background: Aggregatibacter actinomycetemcomitans JP2 genotype is a virulent pathogen linked to severe periodontitis and systemic diseases. Honey and royal jelly (RJ) have demonstrated bioactive properties against this microorganism. This study aims to assess the bioactive properties of honeys and RJ against this key periodontal pathogen and to preliminarily identify key compounds with antibacterial potential. Methods: The antibacterial activity of honeys and commercial products (manuka, L-Mesitran® as a medical-grade honey-based formulation (MGHF), and Honix® RJ) against A. actinomycetemcomitans JP2 was evaluated using the agar well diffusion method and microdilution assays. Extensive physicochemical characterization (e.g., hydrogen peroxide level, total phenolic content, and total flavonoid content) was conducted to correlate the bioactive compounds with the antimicrobial activity. Results: All tested samples exhibited varying antibacterial potency, with inhibition zones ranging from 21 to 37 mm. The MICs ranged from 40.7 to 104.3 mg/mL. MGHF, RJ, and multifloral honeys showed the lowest MICs. The pH of six out of eight samples could not induce enamel decalcification while the pH of three samples may not influence cementum demineralization. Vitamin C, zinc, magnesium, and potassium were present in measurable quantities, and were not associated with significant antibacterial activity. MGHF showed the highest hydrogen peroxide activity and TFC values. TFC and H2O2 content were statistically correlated with lower MIC values. Conclusions: Honey and RJ showed antibacterial activity against A. actinomycetemcomitans JP2, partly attributed to their content of hydrogen peroxide and flavonoids. Clinical trials are needed to confirm the potential role of honey, RJ, and their bioactive compounds in managing periodontitis. Full article
(This article belongs to the Section Novel Antimicrobial Agents)
Back to TopTop