Sign in to use this feature.

Years

Between: -

Subjects

remove_circle_outline
remove_circle_outline
remove_circle_outline
remove_circle_outline
remove_circle_outline
remove_circle_outline
remove_circle_outline
remove_circle_outline
remove_circle_outline

Journals

remove_circle_outline
remove_circle_outline
remove_circle_outline
remove_circle_outline
remove_circle_outline
remove_circle_outline
remove_circle_outline
remove_circle_outline
remove_circle_outline
remove_circle_outline

Article Types

Countries / Regions

remove_circle_outline
remove_circle_outline
remove_circle_outline
remove_circle_outline

Search Results (743)

Search Parameters:
Keywords = P2X4 receptor

Order results
Result details
Results per page
Select all
Export citation of selected articles as:
21 pages, 5812 KB  
Article
Ferulic Acid Attenuates Heat Stress-Induced Hepatic and Intestinal Oxidative Stress and Cholesterol Metabolism Dysregulation in Juvenile Blunt Snout Bream (Megalobrama amblycephala)
by Yan Lin, Xiangjun Leng, Linjie Qian, Linghong Miao, Xiaoqin Li, Wenqiang Jiang, Siyue Lu and Zhengyan Gu
Int. J. Mol. Sci. 2026, 27(2), 925; https://doi.org/10.3390/ijms27020925 (registering DOI) - 16 Jan 2026
Viewed by 153
Abstract
Ferulic acid (FA) is a green feed additive. To investigate the molecular mechanisms by which FA attenuates heat stress-induced hepatic and intestinal oxidative stress, as well as cholesterol metabolism disorders in Megalobrama amblycephala (9.75 ± 0.04 g), individuals were fed diets supplemented with [...] Read more.
Ferulic acid (FA) is a green feed additive. To investigate the molecular mechanisms by which FA attenuates heat stress-induced hepatic and intestinal oxidative stress, as well as cholesterol metabolism disorders in Megalobrama amblycephala (9.75 ± 0.04 g), individuals were fed diets supplemented with 0, 100, or 200 mg/kg FA for eight weeks, followed by exposure to heat stress at 34 °C for 48 h. The results indicated that FA supplementation reduced malondialdehyde levels and downregulation genes involved in inflammatory responses (e.g., interleukin-6), apoptosis (e.g., caspase 8), and endoplasmic reticulum stress (e.g., immunoglobulin binding protein) (p < 0.05), which collectively alleviated heat stress-induced hepatic and intestinal oxidative stress. FA supplementation increased the expression of ATP-binding cassette transporter A1, apolipoprotein A1, and liver X receptor α (p < 0.05), and restored liver and plasma TC levels to pre-stress levels (p < 0.05). Additionally, FA ameliorated the heat stress-induced dysbiosis of the intestinal microbiota and modulated the composition and abundance of metabolites in intestinal contents and plasma, some of which are associated with cholesterol metabolism. In conclusion, dietary FA can alleviate heat stress-induced hepatic and intestinal oxidative stress, maintain the stability of the intestinal microbiota and regulate metabolic profiles, and improve the cholesterol metabolism disorders caused by heat stress. Full article
Show Figures

Graphical abstract

16 pages, 1338 KB  
Article
Oxylipin Biomarkers of Auto-Oxidation Are Associated with Antioxidant Micronutrients and Multiple Sclerosis Disability
by Taylor R. Wicks, Anna Wolska, Diala Ghazal, Irina Shalaurova, Bianca Weinstock-Guttman, Richard W. Browne, Alan T. Remaley, Robert Zivadinov and Murali Ramanathan
Antioxidants 2026, 15(1), 102; https://doi.org/10.3390/antiox15010102 - 13 Jan 2026
Viewed by 150
Abstract
Purpose: To investigate associations between lipid oxidation biomarkers (oxylipins), antioxidant micronutrients, lipoprotein particles, and apolipoproteins in multiple sclerosis (MS). Methods: Blood and neurological assessments were collected from 30 healthy controls, 68 relapsing remitting MS subjects, and 37 progressive MS subjects. Hydroxy (H) and [...] Read more.
Purpose: To investigate associations between lipid oxidation biomarkers (oxylipins), antioxidant micronutrients, lipoprotein particles, and apolipoproteins in multiple sclerosis (MS). Methods: Blood and neurological assessments were collected from 30 healthy controls, 68 relapsing remitting MS subjects, and 37 progressive MS subjects. Hydroxy (H) and hydroperoxy lipid peroxidation products of the polyunsaturated fatty acids (PUFAs) arachidonic (20:4, ω-6), linoleic (octadecadienoic acid or ODE, 18:2, ω-6), eicosapentaenoic (20:5, ω-3), and α-linolenic (18:3, ω-3) acids were measured using liquid chromatography–mass spectrometry. Antioxidant micronutrients, including β-cryptoxanthin and lutein/zeaxanthin, were quantified by high-performance liquid chromatography. Lipoprotein and metabolite profiles were obtained using nuclear magnetic resonance spectroscopy. Regression models were adjusted for age, sex, body mass index, and disease status. Results: The 9-hydroxy octadecadienoic acid to 13-hydroxy octadecadienoic acid ratio (9-HODE/13-HODE ratio), which reflects autoxidative versus enzymatic oxidation, was associated with MS status (p = 0.002) and disability on the Expanded Disability Status Scale (p = 0.004). Lutein/zeaxanthin (p = 0.023) and β-cryptoxanthin (p = 0.028) were negatively associated with the 9-HODE/13-HODE ratio. Apolipoprotein-CII, a marker of liver-X-receptor (LXR) signaling, was associated with 9-HODE/13-HODE ratio and other oxylipins. Octadecadienoic fatty acid-derived oxylipins were negatively associated with LC3A, a mitophagy marker, and positively correlated with 7-ketocholesterol, a cholesterol autoxidation product. Conclusions: Autoxidation of PUFAs is associated with greater disability in MS. Higher β-cryptoxanthin and lutein/zeaxanthin were associated with reduced auto-oxidation. Lipid peroxidation shows associations with LXR signaling, mitophagy, inflammation, and cholesterol autoxidation. Full article
(This article belongs to the Section Health Outcomes of Antioxidants and Oxidative Stress)
Show Figures

Figure 1

13 pages, 1253 KB  
Article
Glucagon-like Peptide-1 Receptor Agonist Use and Pancreatic Cancer Risk in Patients with Chronic Pancreatitis
by Sarina Ailawadi, Jennifer E. Murphy, Michael H. Storandt and Amit Mahipal
Cancers 2026, 18(2), 179; https://doi.org/10.3390/cancers18020179 - 6 Jan 2026
Viewed by 329
Abstract
Background: Glucagon-like peptide-1 receptor agonists (GLP-1 RAs) have advanced the treatment of type 2 diabetes mellitus (T2DM), yet their association with cancer risk remains subject of ongoing research. Chronic pancreatitis (CP) is a well-established risk factor for pancreatic cancer, yet the impact [...] Read more.
Background: Glucagon-like peptide-1 receptor agonists (GLP-1 RAs) have advanced the treatment of type 2 diabetes mellitus (T2DM), yet their association with cancer risk remains subject of ongoing research. Chronic pancreatitis (CP) is a well-established risk factor for pancreatic cancer, yet the impact of GLP-1 RA therapy in this high-risk population is unknown. In this study, we aimed to evaluate the association between GLP-1 RA use and pancreatic cancer incidence among patients with CP, and among those with CP and T2DM. Methods: We performed a retrospective cohort study using data from TriNetX, a healthcare database of over 150 million patients in the United States. In the first analysis, adult patients with pre-existing CP were identified and stratified by use of a GLP-1 RA (semaglutide, dulaglutide, tirzepatide, exenatide, liraglutide, lixisenatide, and albiglutide). Propensity score matching (PSM) was conducted between GLP1-RA users and non-users, matching for age, sex, race, tobacco use, alcohol use, hypertension, hyperlipidemia, obesity, and pancreatic cysts. Five-year incidence of pancreatic cancer was compared between GLP-1 RA users and non-users in the matched cohort between 2015 and 2025. We then restricted the cohort to patients with CP and T2DM and repeated this analysis. Results: We identified 89,596 patients with CP, including 3183 GLP-1 RA users and 86,413 non-users. After PSM, GLP-1 RA use was associated with a lower 5-year incidence of pancreatic cancer (hazard ratio (HR) 0.49, 95% confidence interval (CI) 0.30–0.80, p < 0.005). Similarly, amongst patients with CP and T2DM, GLP-1 RA use was associated with a lower 5-year incidence of pancreatic cancer (HR 0.53, 95% CI 0.31–0.91, p < 0.05). Conclusions: GLP-1 RA use was associated with a significantly reduced incidence of pancreatic cancer in all patients with CP, as well as the subpopulation with both CP and T2DM. Given the elevated cancer risk in CP, these findings suggest a potential beneficial effect of GLP-1RA use in this high-risk population. Prospective studies will be important to further analyze and confirm this potential benefit. Full article
(This article belongs to the Section Cancer Informatics and Big Data)
Show Figures

Figure 1

19 pages, 1902 KB  
Article
Modulation of Mast Cell Activation via MRGPRX2 by Natural Oat Extract
by Susanne Kaesler, Désirée Argiriu, Shyami M. Kandage, Karla Schönfeldt, Shalva Lekiashvili, Ceren N. Dengiz, Neslim Ercan, Caterina Iuliano, Martina Herrmann, Maria Reichenbach, Dominik Cichowski, Magda Babina, Miriam Hils, Martin Köberle and Tilo Biedermann
Int. J. Mol. Sci. 2026, 27(1), 334; https://doi.org/10.3390/ijms27010334 - 28 Dec 2025
Viewed by 494
Abstract
The Mas-related G protein-coupled receptor (MRGPR) X2 is expressed on skin mast cells and can be stimulated by an unusually broad spectrum of ligands, including specific drugs and even endogenous peptides. MRGPRX2 activation can induce mast cell degranulation and consequently mediator release, leading [...] Read more.
The Mas-related G protein-coupled receptor (MRGPR) X2 is expressed on skin mast cells and can be stimulated by an unusually broad spectrum of ligands, including specific drugs and even endogenous peptides. MRGPRX2 activation can induce mast cell degranulation and consequently mediator release, leading to inflammatory and hypersensitivity reactions. In addition, MRGPRX2 mediates pain and itching sensations, leading to increased efforts to identify MRGPRX2 inhibitors, including plant-derived compounds. Components within oat extracts have been shown to mediate anti-inflammatory and itch-relieving properties, but a possible inhibitory effect on MRGPRX2 activation has not yet been investigated. We aimed to fill this gap and explored whether an oat kernel extract can modulate MRGPRX2 activation. For this purpose, we established a mast cell model with the human LAD2 cell line and used it to investigate the consequences of exposure to oat extract. While we did not observe any influence on cell viability, we analyzed the impact of oat extract on MRGPRX2-mediated mast cell activation and degranulation initiated by the three confirmed MRGPRX2 ligands c48/80, substance P, and cortistatin 14. Exposure to oat extract resulted in a significant reduction in mast cell degranulation for all three ligands, as assessed by the release of β-hexosaminidase, tryptase, cell surface expression of CD63 and CD107a, and phosphorylation of ERK. All results were confirmed with primary human mast cells. Thus, we demonstrated for the first time that oat extract leads to a significant reduction in MRGPRX2 activation, pointing to a previously unrecognized capacity of natural compounds to modulate this pathway. Full article
(This article belongs to the Special Issue Mast Cells in Human Health and Diseases—3rd Edition)
Show Figures

Figure 1

17 pages, 842 KB  
Review
Glial Activation, Neuroinflammation, and Loss of Neuroprotection in Chronic Pain: Cellular Mechanisms and Emerging Therapeutic Strategies
by Alyssa McKenzie, Rachel Dombrower, Nitchanan Theeraphapphong, Sophia McKenzie and Munther A. Hijazin
Biomedicines 2026, 14(1), 58; https://doi.org/10.3390/biomedicines14010058 - 26 Dec 2025
Viewed by 579
Abstract
Chronic pain is increasingly regarded as a condition of glia–neuronal dysregulation driven by persistent neuroinflammatory signaling. Following injury to nerves or tissues, glial cells, including astrocytes or satellite glial cells, undergo changes in their phenotype, thereby amplifying painful stimuli mediated by cytokines, chemokines, [...] Read more.
Chronic pain is increasingly regarded as a condition of glia–neuronal dysregulation driven by persistent neuroinflammatory signaling. Following injury to nerves or tissues, glial cells, including astrocytes or satellite glial cells, undergo changes in their phenotype, thereby amplifying painful stimuli mediated by cytokines, chemokines, or ATP signaling. In response to injuries, activated microglia release several mediators such as BDNF, IL-1β, or TNF-α, thereby disrupting chloride homeostasis and inducing disinhibition in the dorsal horn, and sustaining maladaptive neuroimmune activity. Dysfunction of astrocytes, characterized by impaired glutamate clearance via excitatory amino acid transporter 2 and elevated C-X-C motif chemokine ligand 1 (CXCL1) and ATP release, drives neuronal sensitization, loss of neuroprotective metabolic support, and persistence of pain. In peripheral ganglia, connexin–43–mediated satellite glial cell coupling leads to hyperexcitability, resulting in neuropathic and orofacial pain and contributing to peripheral neuroinflammation. Presently, there is no unified framework for glial cell types, and the molecular mechanisms underlying microglial, astrocyte, and satellite glial cell contributions to the transition to chronic pain from acute pain are not completely elucidated. This review synthesizes current evidence on cellular and molecular mechanisms linking glial reactivity to pain chronification through sustained neuroinflammatory remodeling and impaired neuroprotection. It evaluates therapeutic strategies, including purinergic receptor P2X4 and toll-like receptor 4 antagonists, to metabolic reprogramming, exosome therapy, and neuromodulation, aimed at restoring homeostatic glial function and re-establishing neuroprotective glia–neuron interactions. A deeper understanding of the temporal and spatial dynamics of glial activation may enable personalized, non-opioid interventions that not only achieve durable analgesia but also prevent progressive neuroinflammatory damage and support long-term functional recovery. Full article
(This article belongs to the Special Issue Neuroinflammation and Neuroprotection)
Show Figures

Figure 1

19 pages, 2226 KB  
Article
Anthonoic Acids A–C, Sulfated and N-(2-Hydroxyethyl)-Substituted Lipidic Amino Acids from the Marine Sponge Antho ridgwayi with In Vitro Cytoprotective Activities
by Alla G. Guzii, Ekaterina K. Kudryashova, Larisa K. Shubina, Tatyana N. Makarieva, Alexander S. Menshov, Roman S. Popov, Ekaterina A. Yurchenko, Evgeny A. Pislyagin, Ekaterina A. Chingizova, Boris B. Grebnev, Vladimir A. Shilov and Valentin A. Stonik
Molecules 2026, 31(1), 36; https://doi.org/10.3390/molecules31010036 - 22 Dec 2025
Viewed by 384
Abstract
Anthonoic acids A–C (13), the first representatives of sulfated and N-(2-hydroxyethyl)-substituted lipidic α-amino acids, were isolated along with their plausible precursor, anthamino acid A (4), from the marine sponge Antho ridgwayi. The structures of [...] Read more.
Anthonoic acids A–C (13), the first representatives of sulfated and N-(2-hydroxyethyl)-substituted lipidic α-amino acids, were isolated along with their plausible precursor, anthamino acid A (4), from the marine sponge Antho ridgwayi. The structures of these compounds were determined using the analysis of 1D and 2D NMR and HR ESI mass spectra. A structural feature of 14, compared to all previously known lipidic amino acids, is the presence of a sulfate group near the end opposite the amino acid terminus. At a concentration of 1 µM, anthonoic acids A–C (13) effectively protected H9c2 and SH-SY5Y cells in biotests, which modeled hypoxia induced by the addition of CoCl2 to the medium and damage caused by ischemia/reperfusion. These natural products act via the Nrf2-mediated pathway by reducing intracellular ROS levels, accompanied by the upregulation of SOD activity, which is controlled by the Nrf2 transcriptional factor. Anthonoic acids A–C (13) do not activate the transcriptional activity of NF-κB but inhibit ATP-induced cell damage and calcium influx, indicating the involvement of P2X7 receptors in the cytoprotective effect of anthonoic acids A–C. Full article
Show Figures

Graphical abstract

46 pages, 1170 KB  
Review
Magnesium Ions as Modulators of Voltage-Gated and Ligand-Gated Ion Channels in Central Neurons
by Svetolik Spasic, Marko Biorac, Nikola Jovanovic, Srdjan Lopicic, Sanjin Kovacevic, Jelena Nesovic Ostojic and Marija Stanojević
Int. J. Mol. Sci. 2025, 26(24), 12152; https://doi.org/10.3390/ijms262412152 - 17 Dec 2025
Viewed by 622
Abstract
Magnesium ions regulate synaptic and nonsynaptic neuronal excitability from intracellular (Mg2+i) and extracellular (Mg2+o) domains, modulating voltage- and ligand-gated ion channels. K+ inward rectifier (Kir) channel inward rectification arises from Mg2+i blocking the pore and [...] Read more.
Magnesium ions regulate synaptic and nonsynaptic neuronal excitability from intracellular (Mg2+i) and extracellular (Mg2+o) domains, modulating voltage- and ligand-gated ion channels. K+ inward rectifier (Kir) channel inward rectification arises from Mg2+i blocking the pore and outward K+ current, while Mg2+o targets external sites. Mg2+i causes voltage-dependent Ca2+ voltage-gated (CaV) and Na+ voltage-gated (NaV) channel block while phosphorylation modulates channel activity. Mg2+o elicits direct voltage-dependent CaV channel block, and screens surface charge, and in NaV channels reduces conduction and may cause depolarization by quantum tunneling across closed channels. Mg2+i is an allosteric large conductance Ca2+-activated K+ (BK) channel activator, binding to low-affinity sites to alter Ca2+ and voltage sensitivity but reduces small conductance Ca2+-activated K+ (SK) channels’ outward K+ current and induces inward rectification. N-Methyl-D-aspartate receptor (NMDAR) channels are inhibited by Mg2+i binding within the pore, while Mg2+o stabilizes excitability through voltage-dependent block, Mg2+o forms Mg-ATP complex modifying purinergic P2X receptor (P2XR) channel affinity and gating and directly blocks the pore. Mg2+o reduces gamma-aminobutyric acid type A receptor (GABAAR) channel Cl current amplitude and augments susceptibility to blockers. Mg2+o and Mg2+i block nicotinic acetylcholine receptor (nAChR) channels through voltage-dependent pore binding and surface charge screening, impeding current flow and altering gating. Full article
(This article belongs to the Special Issue The Role of Mg Homeostasis in Disease: 2nd Edition)
Show Figures

Figure 1

11 pages, 432 KB  
Article
Guts, Glucose, and Gallbladders: The Protective Role of GLP-1/GIP Receptor Agonists Against Biliary Complications in Patients with Type 2 Diabetes and Inflammatory Bowel Disease
by Muhammad Ali Ibrahim Kazi, Sanmeet Singh and Nowreen Haq
J. Clin. Med. 2025, 14(24), 8882; https://doi.org/10.3390/jcm14248882 - 16 Dec 2025
Viewed by 1250
Abstract
Background: Patients with type 2 diabetes mellitus (T2DM) and inflammatory bowel disease (IBD) face elevated risk of hepatobiliary complications. The biliary safety of GLP-1 and dual GLP-1/GIP receptor agonists in this population is uncertain. Methods: We conducted a retrospective cohort study [...] Read more.
Background: Patients with type 2 diabetes mellitus (T2DM) and inflammatory bowel disease (IBD) face elevated risk of hepatobiliary complications. The biliary safety of GLP-1 and dual GLP-1/GIP receptor agonists in this population is uncertain. Methods: We conducted a retrospective cohort study using the TrinetX LIVE global health research network. Adults (≥18 years) with coexisting T2DM and IBD were assigned to exposure (semaglutide or tirzepatide) or comparator (no GLP-1/GIP therapy) cohorts. The index was first prescription (or matched date). Primary outcomes—cholelithiasis, cholecystitis, choledocholithiasis, and cholangitis—were identified by ICD-10 codes. Propensity score matching (1:1 greedy nearest neighbor; caliper 0.1 SD) balanced demographics, comorbidities, GI surgeries, and antidiabetic medications. Results: After propensity score matching, 32,052 patients were included (16,026 per cohort), achieving excellent covariate balance with standardized mean differences < 0.1 for nearly all variables. GLP-1/GIP agonist use was associated with significantly lower risks of multiple biliary complications. Cholelithiasis occurred in 3.5% of GLP-1/GIP users compared with 6.3% of nonusers (risk ratio [RR] 1.81, 95% CI 1.64–2.00; hazard ratio [HR] 1.27, 95% CI 1.14–1.41; p < 0.001). Cholecystitis similarly occurred less frequently among users (0.8% vs. 2.2%; RR 2.74, 95% CI 2.24–3.34; HR 1.85, 95% CI 1.50–2.27; p < 0.001). Choledocholithiasis was also reduced in the GLP-1/GIP cohort (0.6% vs. 1.5%; RR 2.72, 95% CI 2.14–3.46; HR 1.90, 95% CI 1.48–2.44; p < 0.001). Cholangitis events were rare in both groups (0.1% vs. 0.2%) with no significant difference on survival analysis (HR 1.07, 95% CI 0.58–1.97; p = 0.08). Conclusions: In adults with T2DM and IBD, GLP-1 and dual GLP-1/GIP receptor agonists are associated with substantially reduced risks of gallstone-related complications. These real-world data support the gastrointestinal safety of GLP-1–based therapy in a high-risk population and suggest possible biliary protective effects warranting prospective, agent-specific studies. Full article
Show Figures

Figure 1

29 pages, 3722 KB  
Review
Glial Cells in the Early Stages of Neurodegeneration: Pathogenesis and Therapeutic Targets
by Eugenia Ahremenko, Alexander Andreev, Danila Apushkin and Eduard Korkotian
Int. J. Mol. Sci. 2025, 26(24), 11995; https://doi.org/10.3390/ijms262411995 - 12 Dec 2025
Viewed by 1077
Abstract
Astrocytes and microglia constitute nearly half of all central nervous system cells and are indispensable for its proper function. Both exhibit striking morphological and functional heterogeneity, adopting either neuroprotective (A2, M2) or proinflammatory (A1, M1) phenotypes in response to cytokines, pathogen-associated molecular patterns [...] Read more.
Astrocytes and microglia constitute nearly half of all central nervous system cells and are indispensable for its proper function. Both exhibit striking morphological and functional heterogeneity, adopting either neuroprotective (A2, M2) or proinflammatory (A1, M1) phenotypes in response to cytokines, pathogen-associated molecular patterns (PAMPs)/damage-associated molecular patterns (DAMPs), toll-like receptor 4 (TLR4) activation, and NOD-like receptor family pyrin domain containing 3 (NLRP3) inflammasome signaling. Crucially, many of these phenotypic transitions arise during the earliest stages of neurodegeneration, when glial dysfunction precedes overt neuronal loss and may act as a primary driver of disease onset. This review critically examines glial-centered hypotheses of neurodegeneration, with emphasis on their roles in early disease phases: (i) microglial polarization from an M2 neuroprotective state to an M1 proinflammatory state; (ii) NLRP3 inflammasome assembly via P2X purinergic receptor 7 (P2X7R)-mediated K+ efflux; (iii) a self-amplifying astrocyte–microglia–neuron inflammatory feedback loop; (iv) impaired microglial phagocytosis and extracellular-vesicle–mediated propagation of β-amyloid (Aβ) and tau; (v) astrocytic scar formation driven by aquaporin-4 (AQP4), matrix metalloproteinase-9 (MMP-9), glial fibrillary acidic protein (GFAP)/vimentin, connexins, and janus kinase/signal transducer and activator of transcription 3 (JAK/STAT3) signaling; (vi) cellular reprogramming of astrocytes and NG2 glia into functional neurons; and (vii) mitochondrial dysfunction in glia, including Dynamin-related protein 1/Mitochondrial fission protein 1 (Drp1/Fis1) fission imbalance and dysregulation of the sirtuin 1/peroxisome proliferator-activated receptor gamma coactivator 1-alpha (Sirt1/PGC-1α) axis. Promising therapeutic strategies target pattern-recognition receptors (TLR4, NLRP3/caspase-1), cytokine modulators (interleukin-4 (IL-4), interleukin-10 (IL-10)), signaling cascades (JAK2–STAT, nuclear factor kappa-light-chain-enhancer of activated B cells (NF-κB), phosphoinositide 3-kinase–protein kinase B (PI3K–AKT), adenosine monophosphate-activated protein kinase (AMPK)), microglial receptors (triggering receptor expressed on myeloid cells 2 (TREM2)/spleen tyrosine kinase (SYK)/ DNAX-activating protein 10 (DAP10), siglec-3 (CD33), chemokine C-X3-C motif ligand 1/ CX3C motif chemokine receptor 1 (CX3CL1/CX3CR1), Cluster of Differentiation 200/ Cluster of Differentiation 200 receptor 1 (CD200/CD200R), P2X7R), and mitochondrial biogenesis pathways, with a focus on normalizing glial phenotypes rather than simply suppressing pathology. Interventions that restore neuroglial homeostasis at the earliest stages of disease may hold the greatest potential to delay or prevent progression. Given the complexity of glial phenotypes and molecular isoform diversity, a comprehensive, multitargeted approach is essential for mitigating Alzheimer’s disease and related neurodegenerative disorders. This review not only synthesizes pathogenesis but also highlights therapeutic opportunities, offering what we believe to be the first concise overview of the principal hypotheses implicating glial cells in neurodegeneration. Rather than focusing on isolated mechanisms, our goal is a holistic perspective—integrating diverse glial processes to enable comparison across interconnected pathological conditions. Full article
(This article belongs to the Special Issue Early Molecular Markers of Neurodegeneration)
Show Figures

Graphical abstract

20 pages, 3356 KB  
Review
Neurocardiac Crosstalk: Sympathetic Remodeling and Arrhythmogenesis After Myocardial Infarction
by Tianshui Yu
Curr. Issues Mol. Biol. 2025, 47(12), 1037; https://doi.org/10.3390/cimb47121037 - 12 Dec 2025
Viewed by 511
Abstract
Sympathetic remodeling following myocardial infarction (MI) is a critical mechanism underlying the development of malignant arrhythmias and sudden cardiac death (SCD). The cardiac sympathetic nervous system functions as a multi-level regulatory network, integrating centers from the cerebral cortex (e.g., the insular lobe and [...] Read more.
Sympathetic remodeling following myocardial infarction (MI) is a critical mechanism underlying the development of malignant arrhythmias and sudden cardiac death (SCD). The cardiac sympathetic nervous system functions as a multi-level regulatory network, integrating centers from the cerebral cortex (e.g., the insular lobe and anterior cingulate gyrus), subcortical structures (e.g., the paraventricular nucleus of the hypothalamus), and brainstem nuclei (e.g., the rostral ventrolateral medulla and nucleus of the solitary tract), down to the peripheral ganglia. Post-MI, this entire neural axis undergoes significant remodeling, which manifests as neuroinflammation in the central nervous system, alongside peripheral sympathetic nerve sprouting and heterogeneous hyperinnervation. This article provides a systematic review of the anatomical architecture of the cardiac sympathetic nerve and the regulatory mechanisms of sympathetic remodeling at various levels of the central nervous system after MI. It particularly focuses on key signaling pathways—including the TLR4/MyD88/NF-κB and P2X7R/NLRP3 inflammasome pathways, as well as GABAergic inhibition within the paraventricular nucleus—in addition to the peripheral remodeling mechanisms within the stellate ganglia. By synthesizing insights from these studies, this review offers a novel perspective for understanding the neuroimmune mechanisms of post-MI malignant arrhythmias and provides a theoretical foundation for elucidating the mechanisms of SCD in clinical practice. Full article
(This article belongs to the Special Issue Molecules at Play in Cardiovascular Diseases)
Show Figures

Graphical abstract

22 pages, 1358 KB  
Review
Beyond Viral Assembly: The Emerging Role of HIV-1 p17 in Vascular Inflammation and Endothelial Dysfunction
by Ylenia Pastorello, Nicoleta Arnaut, Mihaela Straistă, Francesca Caccuri, Arnaldo Caruso and Mark Slevin
Int. J. Mol. Sci. 2025, 26(24), 11949; https://doi.org/10.3390/ijms262411949 - 11 Dec 2025
Viewed by 349
Abstract
p17, the human immunodeficiency virus type 1 (HIV-1) matrix protein traditionally associated with viral assembly, has been recently investigated for its extracellular functions linked to vascular damage. This review examines the molecular and pathogenic signatures by which p17 and its variants (vp17s) contribute [...] Read more.
p17, the human immunodeficiency virus type 1 (HIV-1) matrix protein traditionally associated with viral assembly, has been recently investigated for its extracellular functions linked to vascular damage. This review examines the molecular and pathogenic signatures by which p17 and its variants (vp17s) contribute to endothelial activation, aberrant angiogenesis, and vascular inflammation, highlighting their relevance even under effective antiretroviral therapy (ART). Specifically, p17 exerts chemokine-like activities by binding to chemokine (C-X-C motif) receptor-1 and 2 (CXCR-1/2) on endothelial cells (ECs). This interaction triggers key signaling cascades, including the protein kinase B (Akt)-dependent extracellular signal-regulated kinase (ERK) pathway and endothelin-1/endothelin receptor B axis, driving EC motility, capillary formation, and lymphangiogenesis. Variants such as S75X demonstrate enhanced lymphangiogenic potency, associating them with tumorigenic processes involved in non-Hodgkin lymphoma (NHL) pathogenesis. Importantly, p17 promotes endothelial von Willebrand factor (vWF) storage and secretion, implicating a pro-coagulant state that may trigger the increased thromboembolic risks observed in HIV-positive patients. Furthermore, p17 crosses the blood–brain barrier (BBB) via CXCR-2-mediated pathways, contributing to neuroinflammation by activating microglia and astrocytes and amplifying monocyte chemoattractant protein-1 (MCP-1) levels, therefore playing a critical role in the development of HIV-associated neurocognitive disorders. Hence, the elaboration of potential therapeutic strategies finalized at inhibiting p17/vp17s’ interaction with their receptors could complement ART by addressing HIV-related neurovascular morbidity. Full article
(This article belongs to the Special Issue Advances in HIV Research: Molecular Basis and Potential Therapies)
Show Figures

Figure 1

17 pages, 6413 KB  
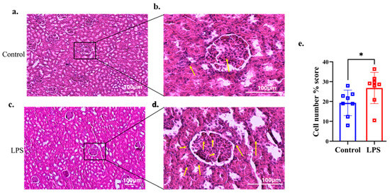
Article
Modulation of Oxidative and ER Stress Pathways by the ADAM17 Inhibitor GW280264X in LPS-Induced Acute Liver Injury
by Merve Huner Yigit, Oguzhan Okcu, Mehtap Atak, Soner Karabulut, Gökhan Yıldız and Ertugrul Yigit
Life 2025, 15(12), 1877; https://doi.org/10.3390/life15121877 - 8 Dec 2025
Viewed by 431
Abstract
Background and Objectives: ADAM17, a sheddase that regulates cytokine and receptor ectodomains, amplifies inflammatory signaling. Acute liver injury (ALI) is driven by dysregulated inflammation, accompanied by both oxidative and endoplasmic reticulum (ER) stress responses. We investigated whether pharmacological inhibition of ADAM17 with GW280264X [...] Read more.
Background and Objectives: ADAM17, a sheddase that regulates cytokine and receptor ectodomains, amplifies inflammatory signaling. Acute liver injury (ALI) is driven by dysregulated inflammation, accompanied by both oxidative and endoplasmic reticulum (ER) stress responses. We investigated whether pharmacological inhibition of ADAM17 with GW280264X mitigates lipopolysaccharide (LPS)-induced acute liver injury by targeting these pathways. Methods: Male C57BL/6J mice received intraperitoneal LPS (10 mg/kg). GW280264X (500 µg/kg, i.p.) was administered at one and three hours post-LPS treatment. At the fifth hour, serum and liver samples were collected to determine serum ALT/AST levels and to perform hematoxylin and eosin (H&E) staining. Inflammatory (TNF-α), oxidative (MDA, 4-HNE, Fe2+, GSH; NRF2/KEAP1), endoplasmic reticulum (ER) stress (GRP78, ATF6, CHOP), and ferroptosis-related (GPX4, SLC7A11) markers, along with ADAM17 protein levels, were analyzed using ELISA, colorimetric assays, and Western blotting. Results: LPS triggered hepatic injury. This was accompanied by marked elevations in TNF-α, oxidative indices (MDA, 4-HNE, Fe2+) and ER stress proteins (GRP78, ATF6, CHOP), together with depletion of hepatic GSH. GW280264X significantly reduced AST levels, attenuated inflammatory, oxidative, and ER stress responses, and improved hepatic histopathology. GPX4 and SLC7A11 tended to increase following treatment, but the changes did not reach statistical significance and should be interpreted cautiously due to the limited sample size (n = 5). Similarly, ADAM17 protein levels tended to decrease, although the change was not statistically significant. Conclusions: Pharmacological inhibition of ADAM17 with GW280264X may confer early hepatoprotection in LPS-induced ALI by attenuating inflammatory, oxidative and ER stress pathways. ADAM17 inhibition yielded partial and statistically non-significant protective effects at this early stage; therefore, these findings should be considered exploratory. Future studies with larger sample sizes and longer observation periods are warranted to confirm the durability and mechanistic basis of this response. Full article
(This article belongs to the Special Issue Liver Disease: Pathogenesis, Diagnosis, and Treatments)
Show Figures

Figure 1

11 pages, 2509 KB  
Case Report
Non-Convulsive Status Epilepticus and Mild Neurodevelopmental Phenotype in a Female with a Novel p.Thr657Ala Variant in the GRIA3 Gene
by Alfonso Rubino, Giorgia Bruno, Gabriella Errichiello, Fabio Acquaviva, Daniele De Brasi, Alfonsina Tirozzi, Pia Santangelo, Carmela Russo, Antonio Varone, Geremia Zito Marinosci and Pia Bernardo
Children 2025, 12(12), 1654; https://doi.org/10.3390/children12121654 - 5 Dec 2025
Viewed by 351
Abstract
Background: The GRIA3 gene encodes the GluA3 subunit of AMPA-type glutamate receptors, which are crucial for excitatory neurotransmission in the central nervous system. Pathogenic GRIA3 variants cause X-linked neurodevelopmental disorders of varying severity, including developmental delay, behavioral abnormalities, and epilepsy. Case Summary: Here, [...] Read more.
Background: The GRIA3 gene encodes the GluA3 subunit of AMPA-type glutamate receptors, which are crucial for excitatory neurotransmission in the central nervous system. Pathogenic GRIA3 variants cause X-linked neurodevelopmental disorders of varying severity, including developmental delay, behavioral abnormalities, and epilepsy. Case Summary: Here, we present the case of a seven-year-old female patient presenting with developmental delay, spastic gait, and non-convulsive status epilepticus (NCSE), who was found to carry a novel de novo GRIA3 missense variant (c.1969A > G; p.Thr657Ala). The EEG revealed high-amplitude diffuse rhythmic theta/delta activity consistent with NCSE. A brain MRI showed transient cortical and thalamic T2-FLAIR hyperintensities, likely postictal. Metabolic investigations were unremarkable. Following intensive treatment with levetiracetam and midazolam, the patient gradually recovered to her baseline neurological status. Genetic Finding: Whole-exome sequencing (WES) identified a novel de novo variant in GRIA3, c.1969A > G; p.Thr657Ala, involving the replacement of threonine with alanine at position 657 within the coding region. Significance: This case expands the clinical and molecular spectrum of GRIA3-related disorders, demonstrating that females with de novo variants may experience severe epilepsy. This is the first reported case of NCSE in a female patient with a GRIA3 variant. Full article
(This article belongs to the Special Issue Advances in Child Neuropsychiatric Disorders)
Show Figures

Graphical abstract

14 pages, 1822 KB  
Article
Effects of miR-128-3p on Renal Inflammation in a Rat Periodontitis Model
by Mohammad Nurhamim, Yixuan Zhang, Momoko Nakahara, Daiki Fukuhara, Yosei Nagashima, Takayuki Maruyama, Manabu Morita and Daisuke Ekuni
Dent. J. 2025, 13(12), 577; https://doi.org/10.3390/dj13120577 - 3 Dec 2025
Viewed by 746
Abstract
Objectives: The study aim was to investigate the effects of extracellular vesicles (EVs) derived miR-128-3p on renal inflammation using a rat periodontitis model. Methods: Ten-week-old male Wistar rats were divided into two groups: a control (n = 8) and a lipopolysaccharides (LPS) [...] Read more.
Objectives: The study aim was to investigate the effects of extracellular vesicles (EVs) derived miR-128-3p on renal inflammation using a rat periodontitis model. Methods: Ten-week-old male Wistar rats were divided into two groups: a control (n = 8) and a lipopolysaccharides (LPS) group (n = 8). The LPS group received LPS (Porphyromonas gingivalis) injection in the gingiva for 7 days. At the end of the experiment, plasma, gingival tissue, and kidney samples were collected. Hematoxylin and eosin staining was performed to evaluate the glomerular tissue injury score. Bioinformatic analysis was conducted to identify potential target genes of miR-128-3p. The reverse transcription-quantitative polymerase chain reaction was performed to evaluate miR-128-3p, inflammatory, pro-inflammatory cytokine, chemokine and predicting gene’s expression. The control and LPS groups were compared using Welch’s t-test. p-values < 0.05 were considered to indicate statistical significance. Results: The kidney glomerular tissue injury score was significantly higher in the LPS than in the control group. miR-128-3p expression in the LPS group was significantly higher in the gingival tissue and plasma. mRNAs (interleukin [IL]-1β, tumor necrosis factor [TNF]-α, C-X3-C motif chemokine ligand 1 [CX3CL1], and C-X-C motif chemokine ligand 7 [CXCL7]) expression was higher in the kidney of the LPS group. The potential target genes of activin A receptor type I (Acvr1), ribosomal protein S6 kinase B1 (Rps6kb1), and transforming growth factor beta receptor type 1 (Tgfbr1) were significantly lower in the kidneys of the LPS group. Conclusions: EVs-derived miR-128-3p in LPS induced periodontitis may cause kidney inflammation which may be mediated by, Rps6kb1, Tgfbr1, and Acvr1. Full article
Show Figures

Graphical abstract

14 pages, 888 KB  
Systematic Review
Expression and Functional Role of the P2X7 Receptor in Glioma Models and Tissues: A Systematic Review
by Maciej Baron, Piotr Lewandowski, Bartosz Bula, Kamil Liberka, Andrzej Skrzypiec, Marcin Fyrla, Maciej Czwakiel, Małgorzata Wachowicz and Romuald Wojnicz
Cancers 2025, 17(23), 3748; https://doi.org/10.3390/cancers17233748 - 24 Nov 2025
Viewed by 461
Abstract
Background: Gliomas are the most common primary tumours of the central nervous system. Despite a multimodal therapeutic approach combining surgery, radiotherapy, and temozolomide (TMZ), treatment remains highly challenging, and the prognosis is poor. One of the potential molecular targets that may improve [...] Read more.
Background: Gliomas are the most common primary tumours of the central nervous system. Despite a multimodal therapeutic approach combining surgery, radiotherapy, and temozolomide (TMZ), treatment remains highly challenging, and the prognosis is poor. One of the potential molecular targets that may improve therapeutic outcomes is the purinergic receptor P2X7 (P2X7R). Methods: The aim of this systematic review was to summarize current knowledge on the expression, functionality, and therapeutic relevance of P2X7R in gliomas. A comprehensive literature search was conducted in three databases (PubMed, Scopus, and Web of Science) up to 12 April 2025. Original in vitro and in vivo studies evaluating P2X7R in glioma models were included. Results: A total of 41 studies met the inclusion criteria and were analyzed. For each included study, the risk of bias was assessed using the OHAT Risk of Bias Tool. The review protocol was registered in PROSPERO. Although individual studies differed in methodology and outcomes, the majority reported that P2X7R modulation affected glioma cell behaviour, including proliferation, survival, migration, immune signalling, and response to treatment. Due to the heterogeneity of models and endpoints, a narrative synthesis was performed. Conclusions: Overall, current evidence suggests that P2X7R may represent a biologically relevant and pharmacologically actionable target in gliomas, although further high-quality studies are required to confirm its clinical potential. Full article
(This article belongs to the Special Issue In Vitro and In Vivo Pharmacology for Glioma Drug Discovery)
Show Figures

Figure 1

Back to TopTop