Sign in to use this feature.

Years

Between: -

Subjects

remove_circle_outline
remove_circle_outline
remove_circle_outline
remove_circle_outline

Journals

Article Types

Countries / Regions

Search Results (18)

Search Parameters:
Keywords = Nε(carboxyethyl)-lysine

Order results
Result details
Results per page
Select all
Export citation of selected articles as:
16 pages, 3385 KB  
Article
Effects of C-Ring Structural Differences on the Inhibition of Nε-(Carboxyethyl)lysine in the Methylglyoxal-Lysine System by Flavonoids
by Yating Ling, Linlin Zhang, Bangzhu Peng and Zhuo Zhang
Int. J. Mol. Sci. 2025, 26(12), 5914; https://doi.org/10.3390/ijms26125914 - 19 Jun 2025
Viewed by 957
Abstract
This study investigated the effects of taxifolin (Tax), quercetin (Que), (+)-catechin (Cat) and luteolin (Lute) on the advanced Maillard reaction stage in the methylglyoxal-lysine (MGO-Lys) system. Since the four flavonoids share identical A- and B-ring structures, the inhibitory effects and molecular [...] Read more.
This study investigated the effects of taxifolin (Tax), quercetin (Que), (+)-catechin (Cat) and luteolin (Lute) on the advanced Maillard reaction stage in the methylglyoxal-lysine (MGO-Lys) system. Since the four flavonoids share identical A- and B-ring structures, the inhibitory effects and molecular mechanisms of flavonoids with different C-ring structures on Nε-(carboxyethyl)lysine (CEL) formation were revealed. The results demonstrated that Cat exhibited the best inhibitory effect on CEL with an inhibition rate of 53.78%, while Lute showed the lowest inhibition rate of 3.97%. The flavonoids (i.e., Tax, Que, Cat and Lute) inhibited the formation of non-fluorescent CEL, where hydroxylation at C3 on the C-ring favored the enhancement of the inhibitory effect of the flavonoids on CEL, while the C2-C3 double bond and the carbonyl group at the C4 position reduced their inhibitory ability. The alkaline environment favored the enhancement of the inhibition of CEL by Tax, Que, Cat and Lute. Notably, Tax, Que, Cat and Lute can inhibit CEL formation by competitively capturing MGO to form mono- or di-adducts and reducing lysine consumption. This study provides innovative strategies and a theoretical foundation for developing effective CEL inhibitors in food thermal processing. Full article
(This article belongs to the Section Physical Chemistry and Chemical Physics)
Show Figures

Figure 1

14 pages, 965 KB  
Article
Associations of Advanced Glycation End Products with Sleep Disorders in Chinese Adults
by Linyan Li, Jianhe Guo, Xiaoling Liang, Yue Huang, Qiang Wang, Yuxi Luo, Lei King, Liangkai Chen, Xiaolin Peng, Hong Yan, Ruikun He, Jun Wang, Xiaobo Peng and Liegang Liu
Nutrients 2024, 16(19), 3282; https://doi.org/10.3390/nu16193282 - 27 Sep 2024
Cited by 4 | Viewed by 2200
Abstract
Background: Advanced glycation end products (AGEs), a group of food processing byproducts, have been implicated in the development of various diseases. However, the relationship between circulating AGEs and sleep disorders remains uncertain. Methods: This cross-sectional study elucidated the association of plasma AGEs with [...] Read more.
Background: Advanced glycation end products (AGEs), a group of food processing byproducts, have been implicated in the development of various diseases. However, the relationship between circulating AGEs and sleep disorders remains uncertain. Methods: This cross-sectional study elucidated the association of plasma AGEs with sleep disorders among 1732 Chinese adults who participated in the initial visit (2019–2020) of the Tongji–Shenzhen Cohort (TJSZC). Sleep behavior was assessed using self-reported questionnaires and precise accelerometers. Plasma levels of AGEs, including Nε-(Carboxymethyl)lysine (CML), Nε-(Carboxyethyl)lysine (CEL), and Nδ-(5-hydro-5-methyl-4-imidazolone-2-yl)-ornithine (MG-H1), were quantified by ultra-high performance liquid chromatography–tandem mass spectrometry (UPLC-MS/MS). Results: In logistic regression, per IQR increment in individual AGEs was associated with an increased odds ratio of short sleep duration (CML: 1.11 [1.00, 1.23]; CEL: 1.16, [1.04, 1.30]), poor sleep quality (CML: 1.33 [1.10, 1.60]; CEL: 1.53, [1.17, 2.00]; MG-H1: 1.61 [1.25, 2.07]), excessive daytime sleepiness (CML: 1.33 [1.11, 1.60]; MG-H1: 1.39 [1.09, 1.77]), and insomnia (CML: 1.29 [1.05, 1.59]). Furthermore, in weighted quantile sum regression and Bayesian kernel machine regression analyses, elevated overall exposure levels of plasma AGEs were associated with an increased risk of sleep disorders, including short sleep duration, poor sleep quality, excessive daytime sleepiness, and insomnia, with CML being identified as the leading contributor. Insufficient vegetable intake and higher dietary fat intake was associated with an increase in plasma CEL. Conclusions: These findings support a significant association between plasma AGEs and sleep disorders, indicating that AGEs may adversely influence sleep health and reducing the intake of AGEs may facilitate preventing and ameliorating sleep disorders. Full article
(This article belongs to the Section Nutrition and Metabolism)
Show Figures

Figure 1

17 pages, 1548 KB  
Article
Impact of Extrusion Parameters on the Formation of Nε-(Carboxymethyl)lysine, Nε-(Carboxyethyl)lysine and Acrylamide in Plant-Based Meat Analogues
by Yurong Ma, Shuang Fu, Ka-Wing Cheng and Bin Liu
Int. J. Mol. Sci. 2024, 25(16), 8668; https://doi.org/10.3390/ijms25168668 - 8 Aug 2024
Cited by 2 | Viewed by 1795
Abstract
To investigate the impact of extrusion parameters on the formation of Nε-(carboxymethyl)lysine (CML), Nε-(carboxyethyl)lysine (CEL) and acrylamide in plant-based meat analogues (PBMAs), the content changes and the correlations of compounds related to their formation were studied. The extrusion promoted [...] Read more.
To investigate the impact of extrusion parameters on the formation of Nε-(carboxymethyl)lysine (CML), Nε-(carboxyethyl)lysine (CEL) and acrylamide in plant-based meat analogues (PBMAs), the content changes and the correlations of compounds related to their formation were studied. The extrusion promoted CML, CEL and acrylamide formation, with more CEL being formed than CML. Variations in the moisture level and barrel temperature exerted a greater influence on the CML, CEL, acrylamide and α-dicarbonyl compounds than the screw speed and the feed rate. An increase in the moisture content led to a decrease in the CEL content, whereas it enhanced CML formation. The impact of moisture on acrylamide formation varied depending on whether low- or high-moisture extrusion was applied. Elevated temperatures promoted the accumulation of CEL, methylglyoxal and 2,3-butanedione while diminishing the accumulation of CML, acrylamide, glyoxal and 3-deoxyglucosone. CML and CEL were positively correlated with glyoxal and methylglyoxal, respectively. CEL and methylglyoxal were negatively correlated with protein and water content, whereas CML, glyoxal and 3-deoxyglucosone displayed positive correlations. In summary, higher moisture levels and feed rates and lower screw speeds and barrel temperatures are advantageous for producing PBMAs with lower CEL and total advanced glycation end-products contents, while lower or higher moisture contents, a lower feed rate and a higher barrel temperature are beneficial to reducing the acrylamide content. Full article
(This article belongs to the Section Biochemistry)
Show Figures

Figure 1

13 pages, 1395 KB  
Article
Comprehensive Analyses of Advanced Glycation end Products and Heterocyclic Amines in Peanuts during the Roasting Process
by Jingjing Yu, Xiaohui Yu, Lili Shi and Wei Liu
Molecules 2023, 28(20), 7012; https://doi.org/10.3390/molecules28207012 - 10 Oct 2023
Cited by 7 | Viewed by 2373
Abstract
Advanced glycation end products (AGEs) and heterocyclic amines (HAs) are two kinds of important harmful products formed simultaneously during the thermal processing of proteinaceous food. In this paper, the effect of roasting conditions on the formation of AGEs and HAs, as well as [...] Read more.
Advanced glycation end products (AGEs) and heterocyclic amines (HAs) are two kinds of important harmful products formed simultaneously during the thermal processing of proteinaceous food. In this paper, the effect of roasting conditions on the formation of AGEs and HAs, as well as active carbonyl intermediates in common peanut (C−peanut) and high-oleic acid peanut (HO−peanut) was studied simultaneously for the first time. In general, with the increase in roasting temperature (160–200 °C) and time, the contents of AGEs, HAs and active carbonyl intermediates (i.e., glyoxal (GO) and methylglyoxal (MGO)) significantly increased in peanuts. Four kinds of HAs (i.e., AαC, DMIP, Harman and Norharman) were observed in roasted peanuts, of which Harman and Norharman accounted for about 93.0% of the total HAs content after roasting for 30 min at 200 °C. Furthermore, a correlation analysis among AGEs (i.e., Nε-(1-Carboxymethyl)-L-lysine (CML) and Nε-(1-Carboxyethyl)-L-lysine (CEL)), HAs, GO and MGO was conducted. Most of these compounds showed an excellent positive linear relationship (p ≤ 0.001) with each other. The evident increase in GO and MGO contents implied an increase in not only the content of AGEs but also HAs. However, contents of AGEs and HAs showed no significant difference between roasted HO−peanut and C−peanut. This study would provide a theoretical basis for simultaneously controlling the levels of AGEs and HAs in thermal processed peanut foods. Full article
(This article belongs to the Section Food Chemistry)
Show Figures

Figure 1

15 pages, 668 KB  
Article
Contents and Correlations of Nε-(carboxymethyl)lysine, Nε-(carboxyethyl)lysine, Acrylamide and Nutrients in Plant-Based Meat Analogs
by Shuang Fu, Yurong Ma, Yinan Wang, Chongzhen Sun, Feng Chen, Ka-Wing Cheng and Bin Liu
Foods 2023, 12(10), 1967; https://doi.org/10.3390/foods12101967 - 12 May 2023
Cited by 18 | Viewed by 4092
Abstract
High temperatures applied in the production of plant-based meat analogs (PBMA) lead to the occurrence of Maillard reactions, in which harmful compounds Nε-(carboxymethyl)lysine (CML), Nε-(carboxyethyl)lysine (CEL) and acrylamide are formed. However, little research has focused on these compounds in [...] Read more.
High temperatures applied in the production of plant-based meat analogs (PBMA) lead to the occurrence of Maillard reactions, in which harmful compounds Nε-(carboxymethyl)lysine (CML), Nε-(carboxyethyl)lysine (CEL) and acrylamide are formed. However, little research has focused on these compounds in PBMA. In this study, the contents of CML, CEL and acrylamide in 15 commercial-sold PBMA were determined by an ultra-high performance liquid chromatograph coupled with a triple quadrupole tandem mass spectrometer (UHPLC-QqQ-MS/MS). Nutrients (protein, amino acids, fatty acids and sugars) which are related to the formation of these compounds were also studied. The results showed that CML, CEL and acrylamide contents were in the range of 16.46–47.61 mg/kg, 25.21–86.23 mg/kg and 31.81–186.70 μg/kg, respectively. Proteins account for 24.03–53.18% of PBMA. Except for Met + Cys, which is the limiting amino acid of most PBMA, all other indispensable amino acids met the requirements for adults. Besides, PBMA had more n-6 fatty acids than n-3 fatty acids. A correlation analysis showed that proteins and the profiles of amino acid and fatty acid had little influence on CML but significant influence on CEL and acrylamide. The results of the present study can be used as a reference to produce PBMA with higher amounts of nutrients and lower amounts of CML, CEL and acrylamide. Full article
(This article belongs to the Special Issue Chemical Contaminants and Food Quality)
Show Figures

Graphical abstract

15 pages, 4755 KB  
Article
Formation of Nε-Carboxymethyl-Lysine and Nε-Carboxyethyl-Lysine in Heated Fish Myofibrillar Proteins with Glucose: Relationship with Its Protein Structural Characterization
by Siqi Zhang, Pengcheng Zhou, Peng Han, Hao Zhang, Shiyuan Dong and Mingyong Zeng
Foods 2023, 12(5), 1039; https://doi.org/10.3390/foods12051039 - 1 Mar 2023
Cited by 9 | Viewed by 2917
Abstract
The formation of advanced glycation end products (AGEs), including Nε-carboxymethyl-lysine (CML) and Nε-carboxyethyl-lysine (CEL), in a fish myofibrillar protein and glucose (MPG) model system at 80 °C and 98 °C for up to 45 min of heating were investigated. [...] Read more.
The formation of advanced glycation end products (AGEs), including Nε-carboxymethyl-lysine (CML) and Nε-carboxyethyl-lysine (CEL), in a fish myofibrillar protein and glucose (MPG) model system at 80 °C and 98 °C for up to 45 min of heating were investigated. The characterization of protein structures, including their particle size, ζ-potential, total sulfhydryl (T-SH), surface hydrophobicity (H0), sodium dodecyl sulfate–polyacrylamide gel electrophoresis (SDS–PAGE) and Fourier transform infrared spectroscopy (FTIR), were also analyzed. It was found that the covalent binding of glucose and myofibrillar protein at 98 °C promoted protein aggregation when compared with the fish myofibrillar protein (MP) heated alone, and this aggregation was associated with the formation of disulfide bonds between myofibrillar proteins. Furthermore, the rapid increase of CEL level with the initial heating at 98 °C was related to the unfolding of fish myofibrillar protein caused by thermal treatment. Finally, correlation analysis indicated that the formation of CEL and CML had a significantly negative correlation with T-SH content (r = −0.68 and r = −0.86, p ≤ 0.011) and particle size (r = −0.87 and r = −0.67, p ≤ 0.012), but was weakly correlated with α-Helix, β-Sheet and H0 (r2 ≤ 0.28, p > 0.05) during thermal treatment. Overall, these findings provide new insights into the formation of AGEs in fish products based on changes of protein structure. Full article
Show Figures

Graphical abstract

15 pages, 2692 KB  
Article
Advanced Glycation End Products and Nitrosamines in Sausages Influenced by Processing Parameters, Food Additives and Fat during Thermal Processing
by Jingnan Lu, Mingyu Li, Mingyue Shen, Jianhua Xie and Mingyong Xie
Foods 2023, 12(2), 394; https://doi.org/10.3390/foods12020394 - 13 Jan 2023
Cited by 24 | Viewed by 4361
Abstract
Advanced glycation end products (AGEs) and nitrosamines (NAs) in sausage are associated with pathogenic and carcinogenic risks. However, the multiple reaction parameters affecting the production of AGEs and NAs during sausage processing remain unclear. This experiment evaluated the effects of processing parameters, food [...] Read more.
Advanced glycation end products (AGEs) and nitrosamines (NAs) in sausage are associated with pathogenic and carcinogenic risks. However, the multiple reaction parameters affecting the production of AGEs and NAs during sausage processing remain unclear. This experiment evaluated the effects of processing parameters, food additives and fat ratios on the formation of AGEs and NAs in sausages. The results showed a 2–3-fold increase in Nε-(carboxymethyl)lysine (CML) and Nε-(carboxyethyl)lysine (CEL) when the sausage processing temperature was increased from 90 °C to 130 °C, and N-nitrosodimethylamine (NDEA) increased from 3.68 ng/g to 6.41 ng/g. The addition of salt inhibited the formation of AGEs and NAs, and the inhibitory ability of 2 g/100 g of salt was 63.6% for CML and 36.5% for N-nitrosodimethylamine (NDMA). The addition of 10 mg/kg nitrite to sausages reduced CML formation by 43.9%, however, nitrite had a significant contribution to the formation of NAs. The addition of fat only slightly contributed to the production of CML. In addition, the relationship between α-dicarbonyl compounds and the formation of AGEs was investigated by measuring the changes in α-dicarbonyl compounds in sausages. The results showed two trends of AGEs and α-dicarbonyl compounds: AGEs increased with the increase in α-dicarbonyl compounds and AGE level increased but α-dicarbonyl compound level decreased. Full article
(This article belongs to the Section Meat)
Show Figures

Figure 1

15 pages, 329 KB  
Article
The Intake of Dicarbonyls and Advanced Glycation Endproducts as Part of the Habitual Diet Is Not Associated with Intestinal Inflammation in Inflammatory Bowel Disease and Irritable Bowel Syndrome Patients
by Marlijne C. G. de Graaf, Jean L. J. M. Scheijen, Corinne E. G. M. Spooren, Zlatan Mujagic, Marieke J. Pierik, Edith J. M. Feskens, Daniel Keszthelyi, Casper G. Schalkwijk and Daisy M. A. E. Jonkers
Nutrients 2023, 15(1), 83; https://doi.org/10.3390/nu15010083 - 24 Dec 2022
Cited by 9 | Viewed by 4255
Abstract
A Western diet comprises high levels of dicarbonyls and advanced glycation endproducts (AGEs), which may contribute to flares and symptoms in inflammatory bowel disease (IBD) and irritable bowel syndrome (IBS). We therefore investigated the intake of dietary dicarbonyls and AGEs in IBD and [...] Read more.
A Western diet comprises high levels of dicarbonyls and advanced glycation endproducts (AGEs), which may contribute to flares and symptoms in inflammatory bowel disease (IBD) and irritable bowel syndrome (IBS). We therefore investigated the intake of dietary dicarbonyls and AGEs in IBD and IBS patients as part of the habitual diet, and their association with intestinal inflammation. Food frequency questionnaires from 238 IBD, 261 IBS as well as 195 healthy control (HC) subjects were used to calculate the intake of dicarbonyls methylglyoxal, glyoxal, and 3-deoxyglucosone, and of the AGEs Nε-(carboxymethyl)lysine, Nε-(1-carboxyethyl)lysine and methylglyoxal-derived hydroimidazolone-1. Intestinal inflammation was assessed using faecal calprotectin. The absolute dietary intake of all dicarbonyls and AGEs was higher in IBD and HC as compared to IBS (all p < 0.05). However, after energy-adjustment, only glyoxal was lower in IBD versus IBS and HC (p < 0.05). Faecal calprotectin was not significantly associated with dietary dicarbonyls and AGEs in either of the subgroups. The absolute intake of methylglyoxal was significantly higher in patients with low (<15 μg/g) compared to moderate calprotectin levels (15–<50 μg/g, p = 0.031). The concentrations of dietary dicarbonyls and AGEs generally present in the diet of Dutch patients with IBD or IBS are not associated with intestinal inflammation, although potential harmful effects might be counteracted by anti-inflammatory components in the food matrix. Full article
15 pages, 2587 KB  
Article
The Influence of Deep Eutectic Solvents Extract from Ginger on the Formation of Heterocyclic Amines and Advanced Glycation End Products in Roast Beef Patties
by Yang Xu, Ye Jiao, Jie Luo, Zhiyong He, Maomao Zeng, Qingwu Shen, Jie Chen and Wei Quan
Foods 2022, 11(20), 3161; https://doi.org/10.3390/foods11203161 - 11 Oct 2022
Cited by 19 | Viewed by 2816
Abstract
Heterocyclic amines (HAs) and advanced glycation end products (AGEs) are important harmful products formed simultaneously during the thermal processing of food. In order to develop a green, efficient method that can be used to control the production of two harmful products simultaneously in [...] Read more.
Heterocyclic amines (HAs) and advanced glycation end products (AGEs) are important harmful products formed simultaneously during the thermal processing of food. In order to develop a green, efficient method that can be used to control the production of two harmful products simultaneously in food processing. In the present study, deep eutectic solvents (DESs) were used to extract ginger, and this method produced significantly higher levels of total phenolic and flavonoid content as well as an antioxidant activity than ginger extracted using conventional solvents. Herein, we further investigated the inhibitory effects of DES extracts from ginger on the generation of HAs and AGEs in roast beef patties. All the nine DES extracts reduced the formation of HAs and AGEs, and the application of choline chloride–lactic-acid-based DES extract caused a signification reduction of 44.33%, 29.38%, 50.95%, 78.61%, 21.94%, and 17.52% of the PhIP, MeIQx, MeIQ, 4,8-DiMeIQx, Harmane, and Norhamane content, and those for Nε-(carboxymethyl)lysine (CML) and Nε-(carboxyethyl)lysine (CEL) were 49.08% and 58.50%, respectively. Furthermore, the proximate and texture profile changes of beef patties as well as the precursors (creatine, creatinine, and glucose) of HAs and AGEs were evaluated to determine the mechanism of ginger DES extracts on the formation of HAs and AGEs and the physical/chemical changes of ginger DES extracts on beef patties. This study develops a new method for reducing the amount of HAs and AGEs in meat, which will help food manufacturers produce healthier meat products. Full article
(This article belongs to the Special Issue The Generation and Control of Harmful Products in Food Processing)
Show Figures

Figure 1

22 pages, 29166 KB  
Article
Free L-Lysine and Its Methyl Ester React with Glyoxal and Methylglyoxal in Phosphate Buffer (100 mM, pH 7.4) to Form Nε-Carboxymethyl-Lysine, Nε-Carboxyethyl-Lysine and Nε-Hydroxymethyl-Lysine
by Svetlana Baskal and Dimitrios Tsikas
Int. J. Mol. Sci. 2022, 23(7), 3446; https://doi.org/10.3390/ijms23073446 - 22 Mar 2022
Cited by 19 | Viewed by 4363
Abstract
Glyoxal (GO) and methylglyoxal (MGO) are highly reactive species formed in carbohydrate metabolism. Nε-Carboxymethyllysine (CML) and Nε-carboxyethyllysine (CEL) are considered to be the advanced glycation end-products (AGEs) of L-lysine (Lys) with GO and MGO, respectively. Here, we investigated the [...] Read more.
Glyoxal (GO) and methylglyoxal (MGO) are highly reactive species formed in carbohydrate metabolism. Nε-Carboxymethyllysine (CML) and Nε-carboxyethyllysine (CEL) are considered to be the advanced glycation end-products (AGEs) of L-lysine (Lys) with GO and MGO, respectively. Here, we investigated the reaction of free L-lysine (Lys) with GO and MGO in phosphate buffer (pH 7.4) at 37 °C and 80 °C in detail in the absence of any other chemicals which are widely used to reduce Schiff bases. The concentrations of Lys, GO and MGO used in the experiments were 0.5, 2.5, 5.0, 7.5 and 10 mM. The reaction time ranged between 0 and 240 min. Experiments were performed in triplicate. The concentrations of remaining Lys and of CML and CEL formed in the reaction mixtures were measured by stable-isotope dilution gas chromatography-mass spectrometry (GC-MS). Our experiments showed that CML and CEL were formed at higher concentrations at 80 °C compared to 37 °C. CML was found to be the major reaction product. In mixtures of GO and MGO, MGO inhibited the formation of CML from Lys (5 mM) in a concentration-dependent manner. The highest CML concentration was about 300 µM corresponding to a reaction yield of 6% with respect to Lys. An addition of Lys to GO, MGO and their mixtures resulted in strong reversible decreases in the Lys concentration up to 50%. It is assumed that free Lys reacts rapidly with GO and MGO to form many not yet identified reaction products. Reaction mixtures of Lys and MGO were stronger colored than those of Lys and GO, notably at 80 °C, indicating higher reactivity of MGO towards Lys that leads to polymeric colored MGO species. We have a strong indication of the formation of Nε-(hydroxymethyl)-lysine (HML) as a novel reaction product of Lys methyl ester with MGO. A mechanism is proposed for the formation of HML from Lys and MGO. This mechanism may explain why Lys and GO do not react to form a related product. Preliminary analyses show that HML is formed at higher concentrations than CEL from Lys methyl ester and MGO. No Schiff bases or their hydroxylic precursors were identified as reaction products. In their reactions with Lys, GO and MGO are likely to act both as chemical oxidants on the terminal aldehyde group to a carboxylic group (i.e., R-CHO to R-COOH) and as chemical reductors on labile Schiff bases (R-CH=N-R to R-CH2-NH-R) presumably via disproportionation and hydride transfer. Our study shows that free non-proteinic Lys reacts with GO and MGO to form CML, CEL and HML in very low yield. Whether proteinic Lys also reacts with MGO to form HML residues in proteins remains to be investigated. The physiological occurrence and concentration of HML in biological fluids and tissues and its relation to CML and CEL are elusive and warrant further investigations in health and disease. Chemical synthesis and structural characterization of HML are expected to advance and accelerate the scientific research in this topic. Full article
(This article belongs to the Section Bioactives and Nutraceuticals)
Show Figures

Figure 1

16 pages, 2809 KB  
Article
Natural Antioxidants and Hydrocolloids as a Mitigation Strategy to Inhibit Advanced Glycation End Products (AGEs) and 5-Hydroxymethylfurfural (HMF) in Butter Cookies
by Huiyu Hu, Yuting Wang, Yousheng Huang, Yanpeng Yu, Mingyue Shen, Chang Li, Shaoping Nie and Mingyong Xie
Foods 2022, 11(5), 657; https://doi.org/10.3390/foods11050657 - 23 Feb 2022
Cited by 36 | Viewed by 4405
Abstract
Maillard reaction during food processing contributes to the formation of some unpleasant heat-induced toxicants including advanced glycation end products (AGEs) and 5-hydroxymethylfurfural (HMF). The current study prepared butter cookies fortified with two dietary natural antioxidants (catechins and curcumin) and two dietary hydrocolloids (pectin [...] Read more.
Maillard reaction during food processing contributes to the formation of some unpleasant heat-induced toxicants including advanced glycation end products (AGEs) and 5-hydroxymethylfurfural (HMF). The current study prepared butter cookies fortified with two dietary natural antioxidants (catechins and curcumin) and two dietary hydrocolloids (pectin and chitosan), and investigated their effects on formation of free Nε-(carboxymethyl)lysine (CML)/Nε-(carboxyethyl)lysine (CEL), protein-bound CML/CEL and HMF and on the sensory qualities of butter cookies. Meanwhile, three typical α-dicarbonyl compounds were also determined to identify possible correlations between α-dicarbonyl intermediates and formation of these harmful heat-induced products in butter cookies. Experimental data showed that catechin exhibited the strongest inhibitory effects on formation of AGEs and HMF, but its addition would impair the color and taste of cookies. On the other hand, chitosan was not so effective in inhibiting AGEs and HMF as compared to catechin, but its addition could increase the sensory qualities of butter cookies. Full article
(This article belongs to the Special Issue Chemical Contaminants and Food Quality)
Show Figures

Graphical abstract

11 pages, 1793 KB  
Article
Protein Modification with Ribose Generates Nδ-(5-hydro-5-methyl-4-imidazolone-2-yl)-ornithine
by Ikuho Ban, Hikari Sugawa and Ryoji Nagai
Int. J. Mol. Sci. 2022, 23(3), 1224; https://doi.org/10.3390/ijms23031224 - 22 Jan 2022
Cited by 18 | Viewed by 3184
Abstract
Advanced glycation end products (AGEs) are associated with diabetes and its complications. AGEs are formed by the non-enzymatic reactions of proteins and reducing sugars, such as glucose and ribose. Ribose is widely used in glycation research as it generates AGEs more rapidly than [...] Read more.
Advanced glycation end products (AGEs) are associated with diabetes and its complications. AGEs are formed by the non-enzymatic reactions of proteins and reducing sugars, such as glucose and ribose. Ribose is widely used in glycation research as it generates AGEs more rapidly than glucose. This study analyzed the AGE structures generated from ribose-modified protein by liquid chromatography–quadrupole time-of-flight mass spectrometry. Among these AGEs, Nδ-(5-hydro-5-methyl-4-imidazolone-2-yl)-ornithine (MG-H1) was the most abundant in ribose-glycated bovine serum albumin (ribated-BSA) among others, such as Nε-(carboxymethyl) lysine, Nε-(carboxyethyl) lysine, and Nω-(carboxymethyl) arginine. Surprisingly, MG-H1 was produced by ribated-BSA in a time-dependent manner, whereas methylglyoxal levels (MG) were under the detectable level. In addition, Trapa bispinosa Roxb. hot water extract (TBE) possesses several anti-oxidative compounds, such as ellagic acid, and has been reported to inhibit the formation of MG-H1 in vivo. Thus, we evaluated the inhibitory effects of TBE on MG-H1 formation using ribose- or MG-modified proteins. TBE inhibited MG-H1 formation in gelatin incubated with ribose and ribated-BSA, but not in MG-modified gelatin. Furthermore, MG-H1 formation was inhibited by diethylenetriaminepentaacetic acid. These results demonstrated that ribose reacts with proteins to generate Amadori compounds and form MG-H1 via oxidation. Full article
(This article belongs to the Special Issue Protein Glycation in Food, Nutrition, Health and Disease)
Show Figures

Figure 1

11 pages, 435 KB  
Article
Differential Effects of Dietary Patterns on Advanced Glycation end Products: A Randomized Crossover Study
by Yoona Kim, Jennifer B. Keogh, Permal Deo and Peter M. Clifton
Nutrients 2020, 12(6), 1767; https://doi.org/10.3390/nu12061767 - 12 Jun 2020
Cited by 25 | Viewed by 16073
Abstract
Dietary advanced glycation end products (AGEs) are believed to contribute to pathogenesis of diabetes and cardiovascular disease. The objective of this study was to determine if a diet high in red and processed meat and refined grains (HMD) would elevate plasma concentrations of [...] Read more.
Dietary advanced glycation end products (AGEs) are believed to contribute to pathogenesis of diabetes and cardiovascular disease. The objective of this study was to determine if a diet high in red and processed meat and refined grains (HMD) would elevate plasma concentrations of protein-bound AGEs compared with an energy-matched diet high in whole grain, dairy, nuts and legumes (HWD). We conducted a randomized crossover trial with two 4-week weight-stable dietary interventions in 51 participants without type 2 diabetes (15 men and 36 women aged 35.1 ± 15.6 y; body mass index (BMI), 27.7 ± 6.9 kg/m2). Plasma concentrations of protein-bound Nε-(carboxymethyl) lysine (CML), Nε-(1-carboxyethyl) lysine (CEL) and Nδ-(5-hydro-5-methyl-4-imidazolon-2-yl)-ornithine (MG-H1) were measured by liquid chromatography–tandem mass spectrometry (LC-MS/MS). The HMD significantly increased plasma concentrations (nmol/mL) of CEL (1.367, 0.78 vs. 1.096, 0.65; p < 0.01; n = 48) compared with the HWD. No differences in CML and MG-H1 between HMD and HWD were observed. HMD increased plasma CEL concentrations compared with HWD in individuals without type 2 diabetes. Full article
(This article belongs to the Section Clinical Nutrition)
Show Figures

Figure 1

12 pages, 3151 KB  
Article
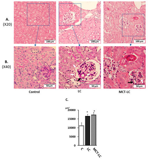
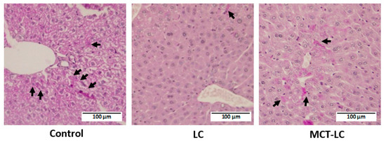
Low-Carbohydrate Diet Inhibits Different Advanced Glycation End Products in Kidney Depending on Lipid Composition but Causes Adverse Morphological Changes in a Non-Obese Model Mice
by Tomoko Kaburagi, Kazuma Kanaki, Yuko Otsuka and Rumi Hino
Nutrients 2019, 11(11), 2801; https://doi.org/10.3390/nu11112801 - 16 Nov 2019
Cited by 9 | Viewed by 3634
Abstract
Low carbohydrate diets (LC diets) have been noted for adverse health effects. In addition, the effect of lipid composition on an LC diet is unclear. In this study, we used an LC diet containing two different lipids, lard (LC group) and medium-chain triglyceride [...] Read more.
Low carbohydrate diets (LC diets) have been noted for adverse health effects. In addition, the effect of lipid composition on an LC diet is unclear. In this study, we used an LC diet containing two different lipids, lard (LC group) and medium-chain triglyceride oil (MCT-LC group), to examine the effect of an LC diet in non-obese mice. Male C57BL/6J mice were fed the control diet or one of the experimental diets ad libitum for 13 weeks. Increased renal weight and glomerular hypertrophy, as well as enlargement of intraglomerular small vessels with wall thickening, were seen in the LC and MCT-LC groups. Renal AMP-activated protein kinase activity was significantly decreased only in the LC diet group. On the other hand, epididymal adipose tissue weight and adipocyte area were markedly decreased only in the MCT-LC group. A positive effect was also observed in the kidney, where different advanced glycation end products, Nε-(carboxyethyl)-lysine and Nε-(carboxymethyl)-lysine, were inhibited depending on the lipid composition of the LC diet. Our findings suggest that, in non-obese conditions, low dietary intake of carbohydrates had both positive and negative impacts. The safety of diets low in carbohydrates, including the effects of fatty acid composition, requires further investigation. Full article
Show Figures

Figure 1

13 pages, 658 KB  
Article
Simultaneous Determination of Nε-(carboxymethyl) Lysine and Nε-(carboxyethyl) Lysine in Different Sections of Antler Velvet after Various Processing Methods by UPLC-MS/MS
by Rui-ze Gong, Yan-hua Wang, Yu-fang Wang, Bao Chen, Kun Gao and Yin-shi Sun
Molecules 2018, 23(12), 3316; https://doi.org/10.3390/molecules23123316 - 14 Dec 2018
Cited by 20 | Viewed by 4482
Abstract
Nε-(Carboxymethyl) lysine (CML) and Nε-(carboxyethyl) advanced glycation end-products (AGEs) and are frequently used as markers of AGE formation. AGEs, such as CML and CEL, have harmful effects in the human body and have been closely linked to many diseases [...] Read more.
Nε-(Carboxymethyl) lysine (CML) and Nε-(carboxyethyl) advanced glycation end-products (AGEs) and are frequently used as markers of AGE formation. AGEs, such as CML and CEL, have harmful effects in the human body and have been closely linked to many diseases such as diabetes and uremia. However, details on the contents of CML and CEL after applying different antler velvet processing methods are lacking. In this research, a robust lysine (CEL) are two typical UPLC-MS/MS method has been developed for the simultaneous determination of CML and CEL in various sections of antler velvet processed with different methods. In addition, factors affecting the CML and CEL contents are discussed. The CML contents of antler velvet after freeze-drying, boiling, processing without blood, and processing with blood were 74.55–458.59, 119.44–570.69, 75.36–234.92, and 117.11–456.01 μg/g protein, respectively; the CEL contents were 0.74–12.66, 11.33–35.93, 0.00–6.75, and 0.00–23.41 μg/g protein, respectively. The different contents of CML and CEL in the different samples of antler velvet result from the different interactions of the protein and lysine at different temperatures. These data can be used to estimate the potential consumer intake of CML and CEL from antler velvet and for guiding producers on how to reduce the production of CML and CEL. Full article
(This article belongs to the Special Issue Method Development and Validation in Food and Pharmaceutical Analysis)
Show Figures

Figure 1

Back to TopTop