Sign in to use this feature.

Years

Between: -

Subjects

remove_circle_outline
remove_circle_outline
remove_circle_outline
remove_circle_outline
remove_circle_outline
remove_circle_outline

Journals

Article Types

Countries / Regions

Search Results (27)

Search Parameters:
Keywords = Kapur entropy

Order results
Result details
Results per page
Select all
Export citation of selected articles as:
36 pages, 2046 KB  
Article
A Hybrid Multi-Strategy Optimization Metaheuristic Algorithm for Multi-Level Thresholding Color Image Segmentation
by Amir Seyyedabbasi
Appl. Sci. 2025, 15(13), 7255; https://doi.org/10.3390/app15137255 - 27 Jun 2025
Cited by 1 | Viewed by 632
Abstract
Hybrid metaheuristic algorithms have been widely used to solve global optimization problems, making the concept of hybridization increasingly important. This study proposes a new hybrid multi-strategy metaheuristic algorithm named COSGO, which combines the strengths of grey wolf optimization (GWO) and Sand Cat Swarm [...] Read more.
Hybrid metaheuristic algorithms have been widely used to solve global optimization problems, making the concept of hybridization increasingly important. This study proposes a new hybrid multi-strategy metaheuristic algorithm named COSGO, which combines the strengths of grey wolf optimization (GWO) and Sand Cat Swarm Optimization (SCSO) to effectively address global optimization tasks. Additionally, a chaotic opposition-based learning strategy is incorporated to enhance the efficiency and global search capability of the algorithm. One of the main challenges in metaheuristic algorithms is premature convergence or getting trapped in local optima. To overcome this, the proposed strategy is designed to improve exploration and help the algorithm escape local minima. As a real-world application, multi-level thresholding for color image segmentation—a well-known problem in image processing—is studied. The COSGO algorithm is applied using two objective functions, Otsu’s method and Kapur’s entropy, to determine optimal multi-level thresholds. Experiments are conducted on 10 images from the widely used BSD500 dataset. The results show that the COSGO algorithm achieves competitive performance compared to other State-of-the-Art algorithms. To further evaluate its effectiveness, the CEC2017 benchmark functions are employed, and a Friedman ranking test is used to statistically analyze the results. Full article
(This article belongs to the Topic Color Image Processing: Models and Methods (CIP: MM))
Show Figures

Figure 1

29 pages, 18881 KB  
Article
A Novel Entropy-Based Approach for Thermal Image Segmentation Using Multilevel Thresholding
by Thaweesak Trongtirakul, Karen Panetta, Artyom M. Grigoryan and Sos S. Agaian
Entropy 2025, 27(5), 526; https://doi.org/10.3390/e27050526 - 14 May 2025
Cited by 1 | Viewed by 1306
Abstract
Image segmentation is a fundamental challenge in computer vision, transforming complex image representations into meaningful, analyzable components. While entropy-based multilevel thresholding techniques, including Otsu, Shannon, fuzzy, Tsallis, Renyi, and Kapur approaches, have shown potential in image segmentation, they encounter significant limitations when processing [...] Read more.
Image segmentation is a fundamental challenge in computer vision, transforming complex image representations into meaningful, analyzable components. While entropy-based multilevel thresholding techniques, including Otsu, Shannon, fuzzy, Tsallis, Renyi, and Kapur approaches, have shown potential in image segmentation, they encounter significant limitations when processing thermal images, such as poor spatial resolution, low contrast, lack of color and texture information, and susceptibility to noise and background clutter. This paper introduces a novel adaptive unsupervised entropy algorithm (A-Entropy) to enhance multilevel thresholding for thermal image segmentation. Our key contributions include (i) an image-dependent thermal enhancement technique specifically designed for thermal images to improve visibility and contrast in regions of interest, (ii) a so-called A-Entropy concept for unsupervised thermal image thresholding, and (iii) a comprehensive evaluation using the Benchmarking IR Dataset for Surveillance with Aerial Intelligence (BIRDSAI). Experimental results demonstrate the superiority of our proposal compared to other state-of-the-art methods on the BIRDSAI dataset, which comprises both real and synthetic thermal images with substantial variations in scale, contrast, background clutter, and noise. Comparative analysis indicates improved segmentation accuracy and robustness compared to traditional entropy-based methods. The framework’s versatility suggests promising applications in brain tumor detection, optical character recognition, thermal energy leakage detection, and face recognition. Full article
Show Figures

Figure 1

24 pages, 24154 KB  
Article
Multistage Threshold Segmentation Method Based on Improved Electric Eel Foraging Optimization
by Yunlong Hu, Liangkuan Zhu and Hongyang Zhao
Mathematics 2025, 13(7), 1212; https://doi.org/10.3390/math13071212 - 7 Apr 2025
Viewed by 547
Abstract
Multi-threshold segmentation of color images is a critical component of modern image processing. However, as the number of thresholds increases, traditional multi-threshold image segmentation methods face challenges such as low accuracy and slow convergence speed. To optimize threshold selection in color image segmentation, [...] Read more.
Multi-threshold segmentation of color images is a critical component of modern image processing. However, as the number of thresholds increases, traditional multi-threshold image segmentation methods face challenges such as low accuracy and slow convergence speed. To optimize threshold selection in color image segmentation, this paper proposes a multi-strategy improved Electric Eel Foraging Optimization (MIEEFO). The proposed algorithm integrates Differential Evolution and Quasi-Opposition-Based Learning strategies into the Electric Eel Foraging Optimization, enhancing its search capability, accelerating convergence, and preventing the population from falling into local optima. To further boost the algorithm’s search performance, a Cauchy mutation strategy is applied to mutate the best individual, improving convergence speed. To evaluate the segmentation performance of the proposed MIEEFO, 15 benchmark functions are used, and comparisons are made with seven other algorithms. Experimental results show that the MIEEFO algorithm outperforms other algorithms in at least 75% of cases and exhibits similar performance in up to 25% of cases. To further explore its application potential, a multi-level Kapur entropy-based MIEEFO threshold segmentation method is proposed and applied to different types of benchmark images and forest fire images. Experimental results indicate that the improved MIEEFO achieves higher segmentation quality and more accurate thresholds, providing a more effective method for color image segmentation. Full article
Show Figures

Figure 1

43 pages, 37541 KB  
Article
Hybrid Adaptive Crayfish Optimization with Differential Evolution for Color Multi-Threshold Image Segmentation
by Honghua Rao, Heming Jia, Xinyao Zhang and Laith Abualigah
Biomimetics 2025, 10(4), 218; https://doi.org/10.3390/biomimetics10040218 - 2 Apr 2025
Cited by 3 | Viewed by 572
Abstract
To better address the issue of multi-threshold image segmentation, this paper proposes a hybrid adaptive crayfish optimization algorithm with differential evolution for color multi-threshold image segmentation (ACOADE). Due to the insufficient convergence ability of the crayfish optimization algorithm in later stages, it is [...] Read more.
To better address the issue of multi-threshold image segmentation, this paper proposes a hybrid adaptive crayfish optimization algorithm with differential evolution for color multi-threshold image segmentation (ACOADE). Due to the insufficient convergence ability of the crayfish optimization algorithm in later stages, it is challenging to find a more optimal solution for optimization. ACOADE optimizes the maximum foraging quantity parameter p and introduces an adaptive foraging quantity adjustment strategy to enhance the randomness of the algorithm. Furthermore, the core formula of the differential evolution (DE) algorithm is incorporated to balance ACOADE’s exploration and exploitation capabilities better. To validate the optimization performance of ACOADE, the IEEE CEC2020 test function was selected for experimentation, and eight other algorithms were chosen for comparison. To verify the effectiveness of ACOADE for threshold image segmentation, the Kapur entropy method and Otsu method were used as objective functions for image segmentation and compared with eight other algorithms. Subsequently, the peak signal-to-noise ratio (PSNR), feature similarity index measure (FSIM), structural similarity index measure (SSIM), and Wilcoxon test were employed to evaluate the quality of the segmented images. The results indicated that ACOADE exhibited significant advantages in terms of objective function value, image quality metrics, convergence, and robustness. Full article
Show Figures

Graphical abstract

24 pages, 16730 KB  
Article
LV-FeatEx: Large Viewpoint-Image Feature Extraction
by Yukai Wang, Yinghui Wang, Wenzhuo Li, Yanxing Liang, Liangyi Huang and Xiaojuan Ning
Mathematics 2025, 13(7), 1111; https://doi.org/10.3390/math13071111 - 27 Mar 2025
Viewed by 705
Abstract
Maintaining stable image feature extraction under viewpoint changes is challenging, particularly when the angle between the camera’s reverse direction and the object’s surface normal exceeds 40 degrees. Such conditions can result in unreliable feature detection. Consequently, this hinders the performance of vision-based systems. [...] Read more.
Maintaining stable image feature extraction under viewpoint changes is challenging, particularly when the angle between the camera’s reverse direction and the object’s surface normal exceeds 40 degrees. Such conditions can result in unreliable feature detection. Consequently, this hinders the performance of vision-based systems. To address this, we propose a feature point extraction method named Large Viewpoint Feature Extraction (LV-FeatEx). Firstly, the method uses a dual-threshold approach based on image grayscale histograms and Kapur’s maximum entropy to constrain the AGAST (Adaptive and Generic Accelerated Segment Test) feature detector. Combined with the FREAK (Fast Retina Keypoint) descriptor, the method enables more effective estimation of camera motion parameters. Next, we design a longitude sampling strategy to create a sparser affine simulation model. Meanwhile, images undergo perspective transformation based on the camera motion parameters. This improves operational efficiency and aligns perspective distortions between two images, enhancing feature point extraction accuracy under large viewpoints. Finally, we verify the stability of the extracted feature points through feature point matching. Comprehensive experimental results show that, under large viewpoint changes, our method outperforms popular classical and deep learning feature extraction methods. The correct rate of feature point matching improves by an average of 40.1 percent, and speed increases by an average of 6.67 times simultaneously. Full article
Show Figures

Figure 1

54 pages, 22905 KB  
Article
Forest Canopy Image Segmentation Based on the Parametric Evolutionary Barnacle Optimization Algorithm
by Xiaohan Zhao, Liangkuan Zhu, Wanzhou Xu and Alaa M. E. Mohamed
Forests 2025, 16(3), 419; https://doi.org/10.3390/f16030419 - 25 Feb 2025
Viewed by 754
Abstract
Forest canopy image is a necessary technical means to obtain canopy parameters, whereas image segmentation is an essential factor that affects the accurate extraction of canopy parameters. To address the limitations of forest canopy image mis-segmentation due to its complex structure, this study [...] Read more.
Forest canopy image is a necessary technical means to obtain canopy parameters, whereas image segmentation is an essential factor that affects the accurate extraction of canopy parameters. To address the limitations of forest canopy image mis-segmentation due to its complex structure, this study proposes a forest canopy image segmentation method based on the parameter evolutionary barnacle optimization algorithm (PEBMO). The PEBMO algorithm utilizes an extensive range of nonlinear incremental penis coefficients better to balance the exploration and exploitation process of the algorithm, dynamically decreasing reproduction coefficients instead of the Hardy-Weinberg law coefficients to improve the exploitation ability; the parent generation of barnacle particles (pl = 0.5) is subjected to the Chebyshev chaotic perturbation to avoid the algorithm from falling into premature maturity. Four types of canopy images were used as segmentation objects. Kapur entropy is the fitness function, and the PEBMO algorithm selects the optimal value threshold. The segmentation performance of each algorithm is comprehensively evaluated by the fitness value, standard deviation, structural similarity index value, peak signal-to-noise ratio value, and feature similarity index value. The PEBMO algorithm outperforms the comparison algorithm by 91.67%,55.56%,62.5%,69.44%, and 63.89% for each evaluation metric, respectively. The experimental results show that the PEBMO algorithm can effectively improve the segmentation accuracy and quality of forest canopy images. Full article
(This article belongs to the Section Forest Inventory, Modeling and Remote Sensing)
Show Figures

Figure 1

35 pages, 3525 KB  
Article
Influence of Explanatory Variable Distributions on the Behavior of the Impurity Measures Used in Classification Tree Learning
by Krzysztof Gajowniczek and Marcin Dudziński
Entropy 2024, 26(12), 1020; https://doi.org/10.3390/e26121020 - 26 Nov 2024
Cited by 1 | Viewed by 1048
Abstract
The primary objective of our study is to analyze how the nature of explanatory variables influences the values and behavior of impurity measures, including the Shannon, Rényi, Tsallis, Sharma–Mittal, Sharma–Taneja, and Kapur entropies. Our analysis aims to use these measures in the interactive [...] Read more.
The primary objective of our study is to analyze how the nature of explanatory variables influences the values and behavior of impurity measures, including the Shannon, Rényi, Tsallis, Sharma–Mittal, Sharma–Taneja, and Kapur entropies. Our analysis aims to use these measures in the interactive learning of decision trees, particularly in the tie-breaking situations where an expert needs to make a decision. We simulate the values of explanatory variables from various probability distributions in order to consider a wide range of variability and properties. These probability distributions include the normal, Cauchy, uniform, exponential, and two beta distributions. This research assumes that the values of the binary responses are generated from the logistic regression model. All of the six mentioned probability distributions of the explanatory variables are presented in the same graphical format. The first two graphs depict histograms of the explanatory variables values and their corresponding probabilities generated by a particular model. The remaining graphs present distinct impurity measures with different parameters. In order to examine and discuss the behavior of the obtained results, we conduct a sensitivity analysis of the algorithms with regard to the entropy parameter values. We also demonstrate how certain explanatory variables affect the process of interactive tree learning. Full article
(This article belongs to the Collection Feature Papers in Information Theory)
Show Figures

Figure 1

21 pages, 19421 KB  
Article
Multi-Level Thresholding Color Image Segmentation Using Modified Gray Wolf Optimizer
by Pei Hu, Yibo Han and Zheng Zhang
Biomimetics 2024, 9(11), 700; https://doi.org/10.3390/biomimetics9110700 - 15 Nov 2024
Cited by 1 | Viewed by 2054
Abstract
The success of image segmentation is mainly dependent on the optimal choice of thresholds. Compared to bi-level thresholding, multi-level thresholding is a more time-consuming process, so this paper utilizes the gray wolf optimizer (GWO) algorithm to address this issue and enhance accuracy. To [...] Read more.
The success of image segmentation is mainly dependent on the optimal choice of thresholds. Compared to bi-level thresholding, multi-level thresholding is a more time-consuming process, so this paper utilizes the gray wolf optimizer (GWO) algorithm to address this issue and enhance accuracy. To acquire the optimal thresholds at different levels, we modify the GWO (MGWO) in terms of leader selection, position update, and mutation. We also use the Otsu method and Kapur entropy as objective functions. The performance of MGWO is compared with other color image segmentation algorithms on ten images from the BSD500 dataset in terms of objective values, variance, signal-to-noise ratio (PSNR), structural similarity index measure (SSIM), and feature similarity index (FSIM). Experimental and non-parametric statistical analyses demonstrate that MGWO performs excellently in the multi-level thresholding segmentation of color images. Full article
Show Figures

Figure 1

28 pages, 3253 KB  
Article
Using an Artificial Physarum polycephalum Colony for Threshold Image Segmentation
by Zhengying Cai, Gengze Li, Jinming Zhang and Shasha Xiong
Appl. Sci. 2023, 13(21), 11976; https://doi.org/10.3390/app132111976 - 2 Nov 2023
Cited by 3 | Viewed by 1834
Abstract
Traditional artificial intelligence algorithms are prone to falling into local optima when solving threshold segmentation problems. Here, a novel artificial Physarum polycephalum colony algorithm is proposed to help us solve the difficult problem. First, the algorithm methodology of an artificial Physarum polycephalum colony [...] Read more.
Traditional artificial intelligence algorithms are prone to falling into local optima when solving threshold segmentation problems. Here, a novel artificial Physarum polycephalum colony algorithm is proposed to help us solve the difficult problem. First, the algorithm methodology of an artificial Physarum polycephalum colony algorithm is described to search for the optimal solutions by expansion and contraction of a lot of artificial hyphae. Different artificial Physarum polycephalum can learn from each other and produce more hyphae in expansion. In contraction, the artificial Physarum polycephalum colony can select the best hyphae with high fitness through a quick sort algorithm, but the other hyphae with low fitness will be absorbed and disappear. Second, a fitness function is modeled based on Kapur’s entropy for the proposed artificial Physarum polycephalum colony algorithm to search for optimal threshold segmentation solutions. Third, a series of benchmark experiments are implemented to test the proposed artificial Physarum polycephalum colony algorithm, and some state-of-the-art approaches are employed for comparison. The experimental results verified that the proposed algorithm can obtain better accuracy and convergence speed, and is not easier to fall into the local optimal solution too early. Full article
Show Figures

Figure 1

19 pages, 9705 KB  
Article
Face Image Segmentation Using Boosted Grey Wolf Optimizer
by Hongliang Zhang, Zhennao Cai, Lei Xiao, Ali Asghar Heidari, Huiling Chen, Dong Zhao, Shuihua Wang and Yudong Zhang
Biomimetics 2023, 8(6), 484; https://doi.org/10.3390/biomimetics8060484 - 12 Oct 2023
Cited by 9 | Viewed by 3108
Abstract
Image segmentation methods have received widespread attention in face image recognition, which can divide each pixel in the image into different regions and effectively distinguish the face region from the background for further recognition. Threshold segmentation, a common image segmentation method, suffers from [...] Read more.
Image segmentation methods have received widespread attention in face image recognition, which can divide each pixel in the image into different regions and effectively distinguish the face region from the background for further recognition. Threshold segmentation, a common image segmentation method, suffers from the problem that the computational complexity shows exponential growth with the increase in the segmentation threshold level. Therefore, in order to improve the segmentation quality and obtain the segmentation thresholds more efficiently, a multi-threshold image segmentation framework based on a meta-heuristic optimization technique combined with Kapur’s entropy is proposed in this study. A meta-heuristic optimization method based on an improved grey wolf optimizer variant is proposed to optimize the 2D Kapur’s entropy of the greyscale and nonlocal mean 2D histograms generated by image computation. In order to verify the advancement of the method, experiments compared with the state-of-the-art method on IEEE CEC2020 and face image segmentation public dataset were conducted in this paper. The proposed method has achieved better results than other methods in various tests at 18 thresholds with an average feature similarity of 0.8792, an average structural similarity of 0.8532, and an average peak signal-to-noise ratio of 24.9 dB. It can be used as an effective tool for face segmentation. Full article
Show Figures

Figure 1

56 pages, 12509 KB  
Article
Levy Flight and Chaos Theory-Based Gravitational Search Algorithm for Image Segmentation
by Sajad Ahmad Rather and Sujit Das
Mathematics 2023, 11(18), 3913; https://doi.org/10.3390/math11183913 - 14 Sep 2023
Cited by 7 | Viewed by 2257
Abstract
Image segmentation is one of the pivotal steps in image processing due to its enormous application potential in medical image analysis, data mining, and pattern recognition. In fact, image segmentation is the process of splitting an image into multiple parts in order to [...] Read more.
Image segmentation is one of the pivotal steps in image processing due to its enormous application potential in medical image analysis, data mining, and pattern recognition. In fact, image segmentation is the process of splitting an image into multiple parts in order to provide detailed information on different aspects of the image. Traditional image segmentation techniques suffer from local minima and premature convergence issues when exploring complex search spaces. Additionally, these techniques also take considerable runtime to find the optimal pixels as the threshold levels are increased. Therefore, in order to overcome the computational overhead and convergence problems of the multilevel thresholding process, a robust optimizer, namely the Levy flight and Chaos theory-based Gravitational Search Algorithm (LCGSA), is employed to perform the segmentation of the COVID-19 chest CT scan images. In LCGSA, exploration is carried out by Levy flight, while chaotic maps guarantee the exploitation of the search space. Meanwhile, Kapur’s entropy method is utilized for segmenting the image into various regions based on the pixel intensity values. To investigate the segmentation performance of ten chaotic versions of LCGSA, firstly, several benchmark images from the USC-SIPI database are considered for the numerical analysis. Secondly, the applicability of LCGSA for solving real-world image processing problems is examined by using various COVID-19 chest CT scan imaging datasets from the Kaggle database. Further, an ablation study is carried out on different chest CT scan images by considering ground truth images. Moreover, various qualitative and quantitative metrics are used for the performance evaluation. The overall analysis of the experimental results indicated the efficient performance of LCGSA over other peer algorithms in terms of taking less computational time and providing optimal values for image quality metrics. Full article
(This article belongs to the Section E1: Mathematics and Computer Science)
Show Figures

Graphical abstract

28 pages, 17062 KB  
Article
MSWOA: A Mixed-Strategy-Based Improved Whale Optimization Algorithm for Multilevel Thresholding Image Segmentation
by Chunzhi Wang, Chengkun Tu, Siwei Wei, Lingyu Yan and Feifei Wei
Electronics 2023, 12(12), 2698; https://doi.org/10.3390/electronics12122698 - 16 Jun 2023
Cited by 7 | Viewed by 1959
Abstract
Multilevel thresholding image segmentation is one of the most widely used segmentation methods in the field of image segmentation. This paper proposes a multilevel thresholding image segmentation technique based on an improved whale optimization algorithm. The WOA has been applied to many complex [...] Read more.
Multilevel thresholding image segmentation is one of the most widely used segmentation methods in the field of image segmentation. This paper proposes a multilevel thresholding image segmentation technique based on an improved whale optimization algorithm. The WOA has been applied to many complex optimization problems because of its excellent performance; however, it easily falls into local optimization. Therefore, firstly, a mixed-strategy-based improved whale optimization algorithm (MSWOA) is proposed using the k-point initialization algorithm, the nonlinear convergence factor, and the adaptive weight coefficient to improve the optimization ability of the algorithm. Then, the MSWOA is combined with the Otsu method and Kapur entropy to search for the optimal thresholds for multilevel thresholding gray image segmentation, respectively. The results of algorithm performance evaluation experiments on benchmark functions demonstrate that the MSWOA has higher search accuracy and faster convergence speed than other comparative algorithms and that it can effectively jump out of the local optimum. In addition, the image segmentation experimental results on benchmark images show that the MSWOA–Kapur image segmentation technique can effectively and accurately search multilevel thresholds. Full article
(This article belongs to the Section Artificial Intelligence)
Show Figures

Figure 1

42 pages, 10101 KB  
Article
Efficient Approach to Color Image Segmentation Based on Multilevel Thresholding Using EMO Algorithm by Considering Spatial Contextual Information
by Srikanth Rangu, Rajagopal Veramalla, Surender Reddy Salkuti and Bikshalu Kalagadda
J. Imaging 2023, 9(4), 74; https://doi.org/10.3390/jimaging9040074 - 23 Mar 2023
Cited by 9 | Viewed by 2839
Abstract
The process of image segmentation is partitioning an image into its constituent parts and is a significant approach for extracting interesting features from images. Over a couple of decades, many efficient image segmentation approaches have been formulated for various applications. Still, it is [...] Read more.
The process of image segmentation is partitioning an image into its constituent parts and is a significant approach for extracting interesting features from images. Over a couple of decades, many efficient image segmentation approaches have been formulated for various applications. Still, it is a challenging and complex issue, especially for color image segmentation. To moderate this difficulty, a novel multilevel thresholding approach is proposed in this paper based on the electromagnetism optimization (EMO) technique with an energy curve, named multilevel thresholding based on EMO and energy curve (MTEMOE). To compute the optimized threshold values, Otsu’s variance and Kapur’s entropy are deployed as fitness functions; both values should be maximized to locate optimal threshold values. In both Kapur’s and Otsu’s methods, the pixels of an image are classified into different classes based on the threshold level selected on the histogram. Optimal threshold levels give higher efficiency of segmentation; the EMO technique is used to find optimal thresholds in this research. The methods based on an image’s histograms do not possess the spatial contextual information for finding the optimal threshold levels. To abolish this deficiency an energy curve is used instead of the histogram and this curve can establish the spatial relationship of pixels with their neighbor pixels. To study the experimental results of the proposed scheme, several color benchmark images are considered at various threshold levels and compared with other meta-heuristic algorithms: multi-verse optimization, whale optimization algorithm, and so on. The investigational results are illustrated in terms of mean square error, peak signal-to-noise ratio, the mean value of fitness reach, feature similarity, structural similarity, variation of information, and probability rand index. The results reveal that the proposed MTEMOE approach overtops other state-of-the-art algorithms to solve engineering problems in various fields. Full article
(This article belongs to the Special Issue Advances in Color Imaging, Volume II)
Show Figures

Figure 1

26 pages, 13261 KB  
Article
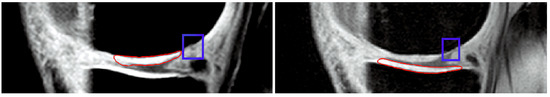
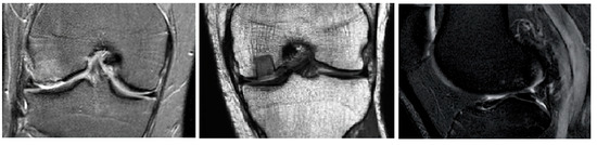
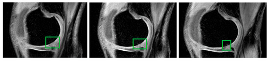
Novel Hybrid Optimized Clustering Schemes with Genetic Algorithm and PSO for Segmentation and Classification of Articular Cartilage Loss from MR Images
by Jan Kubicek, Alice Varysova, Martin Cerny, Jiri Skandera, David Oczka, Martin Augustynek and Marek Penhaker
Mathematics 2023, 11(4), 1027; https://doi.org/10.3390/math11041027 - 17 Feb 2023
Cited by 4 | Viewed by 2424
Abstract
Medical image segmentation plays an indispensable role in the identification of articular cartilage, tibial and femoral bones from magnetic resonance imaging (MRI). There are various image segmentation strategies that can be used to identify the knee structures of interest. Among the most popular [...] Read more.
Medical image segmentation plays an indispensable role in the identification of articular cartilage, tibial and femoral bones from magnetic resonance imaging (MRI). There are various image segmentation strategies that can be used to identify the knee structures of interest. Among the most popular are the methods based on non-hierarchical clustering, including the algorithms K-means and fuzzy C-means (FCM). Although these algorithms have been used in many studies for regional image segmentation, they have two essential drawbacks that limit their performance and accuracy of segmentation. Firstly, they rely on a precise selection of initial centroids, which is usually conducted randomly, and secondly, these algorithms are sensitive enough to image noise and artifacts, which may deteriorate the segmentation performance. Based on such limitations, we propose, in this study, two novel alternative metaheuristic hybrid schemes: non-hierarchical clustering, driven by a genetic algorithm, and Particle Swarm Optimization (PSO) with fitness function, which utilizes Kapur’s entropy and statistical variance. The goal of these optimization elements is to find the optimal distribution of centroids for the knee MR image segmentation model. As a part of this study, we provide comprehensive testing of the robustness of these novel segmentation algorithms upon the image noise generators. This includes Gaussian, Speckle, and impulsive Salt and Pepper noise with dynamic noise to objectively report the robustness of the proposed segmentation strategies in contrast with conventional K-means and FCM. This study reveals practical applications of the proposed algorithms for articular cartilage extraction and the consequent classification performance of early osteoarthritis based on segmentation models and convolutional neural networks (CNN). Here, we provide a comparative analysis of GoogLeNet and ResNet 18 with various hyperparameter settings, where we achieved 99.92% accuracy for the best classification configuration for early cartilage loss recognition. Full article
Show Figures

Figure 1

24 pages, 46171 KB  
Article
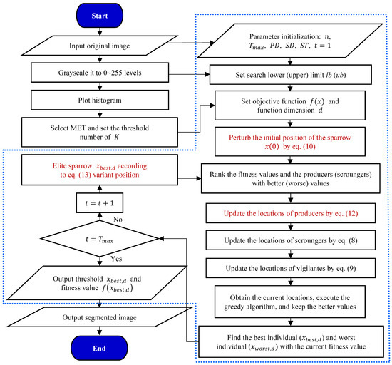
Optimizing Multiple Entropy Thresholding by the Chaotic Combination Strategy Sparrow Search Algorithm for Aggregate Image Segmentation
by Mengfei Wang, Weixing Wang, Limin Li and Zhen Zhou
Entropy 2022, 24(12), 1788; https://doi.org/10.3390/e24121788 - 6 Dec 2022
Cited by 4 | Viewed by 2437
Abstract
Aggregate measurement and analysis are critical for civil engineering. Multiple entropy thresholding (MET) is inefficient, and the accuracy of related optimization strategies is unsatisfactory, which results in the segmented aggregate images lacking many surface roughness and aggregate edge features. Thus, this research proposes [...] Read more.
Aggregate measurement and analysis are critical for civil engineering. Multiple entropy thresholding (MET) is inefficient, and the accuracy of related optimization strategies is unsatisfactory, which results in the segmented aggregate images lacking many surface roughness and aggregate edge features. Thus, this research proposes an autonomous segmentation model (i.e., PERSSA-MET) that optimizes MET based on the chaotic combination strategy sparrow search algorithm (SSA). First, aiming at the characteristics of the many extreme values of an aggregate image, a novel expansion parameter and range-control elite mutation strategies were studied and combined with piecewise mapping, named PERSSA, to improve the SSA’s accuracy. This was compared with seven optimization algorithms using benchmark function experiments and a Wilcoxon rank-sum test, and the PERSSA’s superiority was proved with the tests. Then, PERSSA was utilized to swiftly determine MET thresholds, and the METs were the Renyi entropy, symmetric cross entropy, and Kapur entropy. In the segmentation experiments of the aggregate images, it was proven that PERSSA-MET effectively segmented more details. Compared with SSA-MET, it achieved 28.90%, 12.55%, and 6.00% improvements in the peak signal-to-noise ratio (PSNR), the structural similarity (SSIM), and the feature similarity (FSIM). Finally, a new parameter, overall merit weight proportion (OMWP), is suggested to calculate this segmentation method’s superiority over all other algorithms. The results show that PERSSA-Renyi entropy outperforms well, and it can effectively keep the aggregate surface texture features and attain a balance between accuracy and speed. Full article
Show Figures

Figure 1

Back to TopTop