Sign in to use this feature.

Years

Between: -

Subjects

remove_circle_outline
remove_circle_outline
remove_circle_outline
remove_circle_outline
remove_circle_outline

Journals

Article Types

Countries / Regions

Search Results (15)

Search Parameters:
Keywords = ITPK

Order results
Result details
Results per page
Select all
Export citation of selected articles as:
14 pages, 4143 KB  
Article
Adipose Inositol Monophosphate Metabolism Is Associated with Fasting Regimen-Elicited Metabolic Benefits
by Chunqing Wang, Bilian Liu, Xin Yang, Xi Chen, Shuo Wang, Xing Zhang and Meilian Liu
Biomolecules 2025, 15(11), 1514; https://doi.org/10.3390/biom15111514 - 27 Oct 2025
Viewed by 1125
Abstract
Intermittent fasting (IF) has emerged as a promising strategy for managing obesity and related metabolic disorders. Although metabolic adaptations in adipose tissue during IF are well documented, the specific reprogramming of white adipose tissue (WAT) under prolonged cycles of fasting and refeeding remains [...] Read more.
Intermittent fasting (IF) has emerged as a promising strategy for managing obesity and related metabolic disorders. Although metabolic adaptations in adipose tissue during IF are well documented, the specific reprogramming of white adipose tissue (WAT) under prolonged cycles of fasting and refeeding remains incompletely understood. Using mass spectrometry-based approaches, including liquid chromatography (LC) and capillary electrophoresis (CE), we identified a marked increase in inositol monophosphates (InsP1s) in obese adipose tissue following extended IF. Specifically, myo-inositol-1-phosphate and myo-inositol-3-phosphate, which are typically present at low levels in gonadal WAT (gWAT) of diet-induced obese mice, were significantly elevated after 15 cycles of IF. Additionally, extended IF upregulated the expression levels of inositol tetrakisphosphate 1-kinase (ITPK1) and inositol monophosphatase 1 (IMPA1), two key enzymes involved in InsP1 metabolism. These increases coincide with reductions in body weight and fat mass, as well as improved insulin sensitivity. This reprogramming was further supported by enhanced tricarboxylic acid (TCA) cycle activity. Collectively, these findings suggest the inositol monophosphate pathway as a novel mechanism underlying fasting-induced metabolic adaptation in adipose tissue and highlight the potential of these metabolites as biomarkers for obesity and related metabolic conditions. Full article
Show Figures

Figure 1

28 pages, 3421 KB  
Article
The Impact of Nitrogen and Phosphorus Interaction on Growth, Nutrient Absorption, and Signal Regulation in Woody Plants
by Xiaan Tang, Yi Zhang, Panpan Meng, Yingke Yuan, Changhao Li, Xiaotan Zhi and Chunyan Wang
Biology 2025, 14(5), 490; https://doi.org/10.3390/biology14050490 - 30 Apr 2025
Cited by 11 | Viewed by 2073
Abstract
This article methodically reveals how, in woody plants (poplar), the interaction between N and P coordinates root structure and nutrient absorption through a complex hormone signaling network. This study bridges a significant gap in our knowledge of nutrient interaction networks. The results demonstrate [...] Read more.
This article methodically reveals how, in woody plants (poplar), the interaction between N and P coordinates root structure and nutrient absorption through a complex hormone signaling network. This study bridges a significant gap in our knowledge of nutrient interaction networks. The results demonstrate that NO3 significantly enhances the gene expression and enzymatic activity of organic acid synthases (MDH, PEPC) and APs. Furthermore, it synergizes with IAA/ABA signals to refine root structure, enhancing the surface area for P absorption. In low Pi availability environments, NO3 further promotes P recycling by simultaneously boosting the levels of Pi transport proteins (notably, the PHO family), facilitating myo-inositol phosphate metabolism (via IMP3/ITPK1-mediated PP-InsPs degradation), and augmenting IAA/SA signals. Pi induces the activity of N assimilation enzymes (GS/GOGAT/GDH), facilitating nitrogen metabolism. However, in the absence of N, it leads to a metabolic imbalance characterized by high enzymatic activity but low efficiency. Alternatively, adequate N availability allows Pi to improve root robustness and N assimilation efficiency, mediated by IAA/GA accumulation and ABA signaling (e.g., SNRK2/ABF). We propose the existence of an intricate network in poplar, orchestrated by transcriptional cascades, metabolic regulation, and hormonal synergism. Key modules such as SPX-PHR, NLA, HHO2, and MYB59 are likely central to this network’s function. These findings offer a foundational framework for the development of molecular breeding and precise fertilization strategies, enhancing the efficient use of N and P in forestry. Full article
Show Figures

Figure 1

17 pages, 4714 KB  
Article
Thiamine and METTL14 in Diabetes Management with Intensive Insulin Therapy
by Miaoguan Peng, Yingying Zhang, Xiaoshi Weng, Jianfeng Wu, Taizhen Luo, Yanmei Dong, Shiyun Wen, Naifeng Liang, Liangying Zhong, Yaojie Zhai, Yijuan Xie, Yingjun Xie and Yuyi Chen
Biomedicines 2025, 13(4), 980; https://doi.org/10.3390/biomedicines13040980 - 17 Apr 2025
Viewed by 1273
Abstract
Background/Objectives: Epigenetic regulation plays a critical role in diabetes research, with N6-methyladenosine (m6A) modification emerging as a key factor in disease progression. METTL14, an essential epigenetic regulator, may influence the effects of thiamine on intensive insulin therapy in diabetic patients. Methods: [...] Read more.
Background/Objectives: Epigenetic regulation plays a critical role in diabetes research, with N6-methyladenosine (m6A) modification emerging as a key factor in disease progression. METTL14, an essential epigenetic regulator, may influence the effects of thiamine on intensive insulin therapy in diabetic patients. Methods: Blood samples from twenty diabetic patients were collected before and after intensive insulin therapy for MeRIP-seq and RNA-seq analysis. Genes with m6A modifications and corresponding mRNAs were identified and functionally analyzed using Gene Ontology (GO) and KEGG pathway analysis. RT-qPCR was used to confirm the overexpression of METTL14, PIK3R1, TPK1, and IPMK, while METTL14 overexpression was further validated in THP1 cells. Results: GO analysis revealed a significant enrichment of overlapping genes in metabolic pathways. A reduction in m6A modification levels was observed post intensive insulin therapy, indicating METTL14’s involvement in regulating TPK1, IPMK, and PIK3R1 expression. TPK1 levels showed a positive correlation with thiamine levels. Clinical validation demonstrated that combining thiamine with insulin therapy significantly reduced glucose and triglyceride levels compared to insulin alone. Conclusions: Thiamine supplementation alongside intensive insulin therapy offers therapeutic potential by downregulating TPK1 expression and mitigating lipid-related complications in diabetic patients. These findings highlight the pivotal role of METTL14-mediated m6A modification in regulating key metabolic genes during diabetes treatment. Full article
(This article belongs to the Section Endocrinology and Metabolism Research)
Show Figures

Graphical abstract

21 pages, 8856 KB  
Article
Necroptosis-Related Gene Signature Predicts Prognosis in Patients with Advanced Ovarian Cancer
by Mingjun Zheng, Mirjana Kessler, Udo Jeschke, Juliane Reichenbach, Bastian Czogalla, Simon Keckstein, Lennard Schroeder, Alexander Burges, Sven Mahner, Fabian Trillsch and Till Kaltofen
Cancers 2025, 17(2), 271; https://doi.org/10.3390/cancers17020271 - 15 Jan 2025
Cited by 2 | Viewed by 2589
Abstract
Background/Objectives: This study aimed to construct a risk score (RS) based on necroptosis-associated genes to predict the prognosis of patients with advanced epithelial ovarian cancer (EOC). Methods: EOC data from The Cancer Genome Atlas (TCGA) and the Gene Expression Omnibus (GEO) series 140082 [...] Read more.
Background/Objectives: This study aimed to construct a risk score (RS) based on necroptosis-associated genes to predict the prognosis of patients with advanced epithelial ovarian cancer (EOC). Methods: EOC data from The Cancer Genome Atlas (TCGA) and the Gene Expression Omnibus (GEO) series 140082 (GSE140082) were used. Based on known necroptosis-associated genes, clustering was performed to identify molecular subtypes of EOC. A least absolute shrinkage and selection operator (LASSO)–Cox regression analysis identified key genes related to prognosis. The expression of one of them, RIPK3, was analyzed via immunohistochemistry in an EOC cohort. Results: An RS made from ten genes (IDH2, RIPK3, FASLG, BRAF, ITPK1, TNFSF10, ID1, PLK1, MLKL and HSPA4) was developed. Tumor samples were divided into a high-risk group (HRG) and low-risk group (LRG) using the RS. The model is able to predict the overall survival (OS) of EOC and distinguish the prognosis of different clinical subgroups. Immunohistochemical verification of the receptor-interacting serine/threonine-protein kinase (RIPK) 3 confirmed that high nuclear expression is correlated with a longer OS. In addition, the score can predict the response to a programmed death ligand 1 (PD-L1) blockade treatment in selected solid malignancies. Patients from the LRG seem to benefit more from it than patients from the HRG. Conclusions: Our RS based on necroptosis-associated genes might help to predict the prognosis of patients with advanced EOC and gives an idea on how the use of immunotherapy can potentially be guided. Full article
(This article belongs to the Section Cancer Immunology and Immunotherapy)
Show Figures

Figure 1

16 pages, 2949 KB  
Article
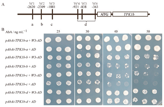
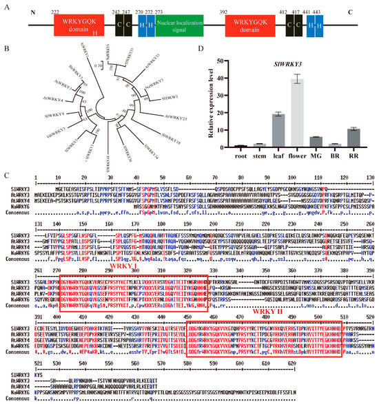
Tomato SlWRKY3 Negatively Regulates Botrytis cinerea Resistance via TPK1b
by Dan Luo, Jun Cai, Wenhui Sun, Qihong Yang, Guoyu Hu and Taotao Wang
Plants 2024, 13(12), 1597; https://doi.org/10.3390/plants13121597 - 8 Jun 2024
Cited by 9 | Viewed by 2748
Abstract
Botrytis cinerea is considered the second most important fungal plant pathogen, and can cause serious disease, especially on tomato. The TPK1b gene encodes a receptor-like kinase that can positively regulate plant resistance to B. cinerea. Here, we identified a tomato WRKY transcription [...] Read more.
Botrytis cinerea is considered the second most important fungal plant pathogen, and can cause serious disease, especially on tomato. The TPK1b gene encodes a receptor-like kinase that can positively regulate plant resistance to B. cinerea. Here, we identified a tomato WRKY transcription factor SlWRKY3 that binds to the W-box on the TPK1b promoter. It can negatively regulate TPK1b transcription, then regulate downstream signaling pathways, and ultimately negatively regulate tomato resistance to B. cinerea. SlWRKY3 interference can enhance resistance to B. cinerea, and SlWRKY3 overexpression leads to susceptibility to B. cinerea. Additionally, we found that B. cinerea can significantly, and rapidly, induce the upregulation of SlWRKY3 expression. In SlWRKY3 transgenic plants, the TPK1b expression level was negatively correlated with SlWRKY3 expression. Compared with the control, the expression of the SA pathway marker gene PR1 was downregulated in W3-OE plants and upregulated in W3-Ri plants when inoculated with B. cinerea for 48 h. Moreover, SlWRKY3 positively regulated ROS production. Overall, SlWRKY3 can inhibit TPK1b transcription in tomato, and negatively regulate resistance to B. cinerea by modulating the downstream SA and ROS pathways. Full article
(This article belongs to the Section Horticultural Science and Ornamental Plants)
Show Figures

Figure 1

15 pages, 2355 KB  
Article
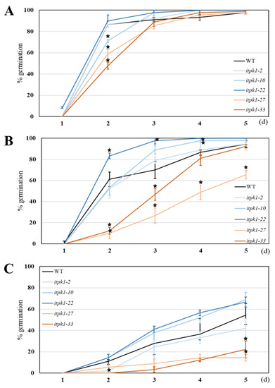
ITPK1 Regulates Jasmonate-Controlled Root Development in Arabidopsis thaliana
by Naga Jyothi Pullagurla, Supritam Shome, Ranjana Yadav and Debabrata Laha
Biomolecules 2023, 13(9), 1368; https://doi.org/10.3390/biom13091368 - 9 Sep 2023
Cited by 14 | Viewed by 3167
Abstract
Jasmonic acid (JA) is a plant hormone that regulates a plethora of physiological processes including immunity and development and is perceived by the F-Box protein, Coronatine-insensitive protein 1 (COI1). The discovery of inositol phosphates (InsPs) in the COI1 receptor complex highlights their role [...] Read more.
Jasmonic acid (JA) is a plant hormone that regulates a plethora of physiological processes including immunity and development and is perceived by the F-Box protein, Coronatine-insensitive protein 1 (COI1). The discovery of inositol phosphates (InsPs) in the COI1 receptor complex highlights their role in JAperception. InsPs are phosphate-rich signaling molecules that control many aspects of plant physiology. Inositol pyrophosphates (PP-InsPs) are diphosphate containing InsP species, of which InsP7 and InsP8 are the best characterized ones. Different InsP and PP-InsP species are linked with JA-related plant immunity. However, role of PP-InsP species in regulating JA-dependent developmental processes are poorly understood. Recent identification of ITPK1 kinase, responsible for the production of 5-InsP7 from InsP6 in planta, provides a platform to investigate the possible involvement of ITPK-derived InsP species in JA-related plant development. Here, in this study, we report that ITPK1-defective plants exhibit increased root growth inhibition to bioactive JA treatment. The itpk1 plants also show increased lateral root density when treated with JA. Notably, JA treatment does not increase ITPK1 protein levels. Gene expression analyses revealed that JA-biosynthetic genes are not differentially expressed in ITPK1-deficient plants. We further demonstrate that genes encoding different JAZ repressor proteins are severely down-regulated in ITPK1-defective plants. Taken together, our study highlights the role of ITPK1 in regulating JA-dependent root architecture development through controlling the expression of different JAZ repressor proteins. Full article
Show Figures

Figure 1

21 pages, 1014 KB  
Article
Cross-Trait Genetic Analyses Indicate Pleiotropy and Complex Causal Relationships between Headache and Thyroid Function Traits
by Sana Tasnim, Scott G. Wilson, John P. Walsh and Dale R. Nyholt
Genes 2023, 14(1), 16; https://doi.org/10.3390/genes14010016 - 21 Dec 2022
Cited by 5 | Viewed by 3348
Abstract
Epidemiological studies have reported a comorbid relationship between headache and thyroid traits; however, little is known about the shared genetics and causality that contributes to this association. We investigated the genetic overlap and associations between headache and thyroid function traits using genome-wide association [...] Read more.
Epidemiological studies have reported a comorbid relationship between headache and thyroid traits; however, little is known about the shared genetics and causality that contributes to this association. We investigated the genetic overlap and associations between headache and thyroid function traits using genome-wide association study (GWAS) data. We found a significant genetic correlation (rg) with headache and hypothyroidism (rg = 0.09, p = 2.00 × 10−4), free thyroxine (fT4) (rg = 0.08, p = 5.50 × 10−3), and hyperthyroidism (rg = −0.14, p = 1.80 × 10−3), a near significant genetic correlation with secondary hypothyroidism (rg = 0.20, p = 5.24 × 10−2), but not with thyroid stimulating hormone (TSH). Pairwise-GWAS analysis revealed six, 14, four and five shared (pleiotropic) loci with headache and hypothyroidism, hyperthyroidism, secondary hypothyroidism, and fT4, respectively. Cross-trait GWAS meta-analysis identified novel genome-wide significant loci for headache: five with hypothyroidism, three with secondary hypothyroidism, 12 with TSH, and nine with fT4. Of the genes at these loci, six (FAF1, TMX2-CTNND1, AARSD1, PLCD3, ZNF652, and C20orf203; headache-TSH) and six (HMGB1P45, RPL30P1, ZNF462, TMX2-CTNND1, ITPK1, SECISBP2L; headache-fT4) were significant in our gene-based analysis (pFisher’s combined p-value < 2.09 × 10−6). Our causal analysis suggested a positive causal relationship between headache and secondary hypothyroidism (p = 3.64 × 10−4). The results also suggest a positive causal relationship between hypothyroidism and headache (p = 2.45 × 10−3) and a negative causal relationship between hyperthyroidism and headache (p = 1.16 × 10−13). These findings suggest a strong evidence base for a genetic correlation and complex causal relationships between headache and thyroid traits. Full article
(This article belongs to the Special Issue Feature Papers in Human Genomics and Genetic Diseases)
Show Figures

Figure 1

16 pages, 1611 KB  
Article
Epigenome-Wide Association Study in Peripheral Tissues Highlights DNA Methylation Profiles Associated with Episodic Memory Performance in Humans
by Yasmine Sommerer, Valerija Dobricic, Marcel Schilling, Olena Ohlei, David Bartrés-Faz, Gabriele Cattaneo, Ilja Demuth, Sandra Düzel, Sören Franzenburg, Janina Fuß, Ulman Lindenberger, Álvaro Pascual-Leone, Sanaz Sedghpour Sabet, Cristina Solé-Padullés, Josep M. Tormos, Valentin Max Vetter, Tanja Wesse, Andre Franke, Christina M. Lill and Lars Bertram
Biomedicines 2022, 10(11), 2798; https://doi.org/10.3390/biomedicines10112798 - 3 Nov 2022
Cited by 9 | Viewed by 3927
Abstract
The decline in episodic memory (EM) performance is a hallmark of cognitive aging and an early clinical sign in Alzheimer’s disease (AD). In this study, we conducted an epigenome-wide association study (EWAS) using DNA methylation (DNAm) profiles from buccal and blood samples for [...] Read more.
The decline in episodic memory (EM) performance is a hallmark of cognitive aging and an early clinical sign in Alzheimer’s disease (AD). In this study, we conducted an epigenome-wide association study (EWAS) using DNA methylation (DNAm) profiles from buccal and blood samples for cross-sectional (n = 1019) and longitudinal changes in EM performance (n = 626; average follow-up time 5.4 years) collected under the auspices of the Lifebrain consortium project. The mean age of participants with cross-sectional data was 69 ± 11 years (30–90 years), with 50% being females. We identified 21 loci showing suggestive evidence of association (p < 1 × 10−5) with either or both EM phenotypes. Among these were SNCA, SEPW1 (both cross-sectional EM), ITPK1 (longitudinal EM), and APBA2 (both EM traits), which have been linked to AD or Parkinson’s disease (PD) in previous work. While the EM phenotypes were nominally significantly (p < 0.05) associated with poly-epigenetic scores (PESs) using EWASs on general cognitive function, none remained significant after correction for multiple testing. Likewise, estimating the degree of “epigenetic age acceleration” did not reveal significant associations with either of the two tested EM phenotypes. In summary, our study highlights several interesting candidate loci in which differential DNAm patterns in peripheral tissue are associated with EM performance in humans. Full article
(This article belongs to the Special Issue Genetic Architecture of Dementia)
Show Figures

Figure 1

26 pages, 12072 KB  
Article
Meta-Analysis of Quantitative Traits Loci (QTL) Identified in Drought Response in Rice (Oryza sativa L.)
by Nurhanis Selamat and Kalaivani K. Nadarajah
Plants 2021, 10(4), 716; https://doi.org/10.3390/plants10040716 - 7 Apr 2021
Cited by 54 | Viewed by 6740
Abstract
Rice is an important grain that is the staple food for most of the world’s population. Drought is one of the major stresses that negatively affects rice yield. The nature of drought tolerance in rice is complex as it is determined by various [...] Read more.
Rice is an important grain that is the staple food for most of the world’s population. Drought is one of the major stresses that negatively affects rice yield. The nature of drought tolerance in rice is complex as it is determined by various components and has low heritability. Therefore, to ensure success in breeding programs for drought tolerant rice, QTLs (quantitative trait loci) of interest must be stable in a variety of plant genotypes and environments. This study identified stable QTLs in rice chromosomes in a variety of backgrounds and environments and conducted a meta-QTL analysis of stable QTLs that have been reported by previous research for use in breeding programs. A total of 653 QTLs for drought tolerance in rice from 27 genetic maps were recorded for analysis. The QTLs recorded were related to 13 traits in rice that respond to drought. Through the use of BioMercartor V4.2, a consensus map containing QTLs and molecular markers were generated using 27 genetic maps that were extracted from the previous 20 studies and meta-QTL analysis was conducted on the consensus map. A total of 70 MQTLs were identified and a total of 453 QTLs were mapped into the meta-QTL areas. Five meta-QTLs from chromosome 1 (MQTL 1.5 and MQTL 1.6), chromosome 2 (MQTL2.1 and MQTL 2.2) and chromosome 3 (MQTL 3.1) were selected for functional annotation as these regions have high number of QTLs and include many traits in rice that respond to drought. A number of genes in MQTL1.5 (268 genes), MQTL1.6 (640 genes), MQTL 2.1 (319 genes), MQTL 2.2 (19 genes) and MQTL 3.1 (787 genes) were annotated through Blast2GO. Few major proteins that respond to drought stress were identified in the meta-QTL areas which are Abscisic Acid-Insensitive Protein 5 (ABI5), the G-box binding factor 4 (GBF4), protein kinase PINOID (PID), histidine kinase 2 (AHK2), protein related to autophagy 18A (ATG18A), mitochondrial transcription termination factor (MTERF), aquaporin PIP 1-2, protein detoxification 48 (DTX48) and inositol-tetrakisphosphate 1-kinase 2 (ITPK2). These proteins are regulatory proteins involved in the regulation of signal transduction and gene expression that respond to drought stress. The meta-QTLs derived from this study and the genes that have been identified can be used effectively in molecular breeding and in genetic engineering for drought resistance/tolerance in rice. Full article
Show Figures

Figure 1

11 pages, 837 KB  
Review
Inositol Pyrophosphate Pathways and Mechanisms: What Can We Learn from Plants?
by Caitlin Cridland and Glenda Gillaspy
Molecules 2020, 25(12), 2789; https://doi.org/10.3390/molecules25122789 - 17 Jun 2020
Cited by 30 | Viewed by 7545
Abstract
The ability of an organism to maintain homeostasis in changing conditions is crucial for growth and survival. Eukaryotes have developed complex signaling pathways to adapt to a readily changing environment, including the inositol phosphate (InsP) signaling pathway. In plants and humans the pyrophosphorylated [...] Read more.
The ability of an organism to maintain homeostasis in changing conditions is crucial for growth and survival. Eukaryotes have developed complex signaling pathways to adapt to a readily changing environment, including the inositol phosphate (InsP) signaling pathway. In plants and humans the pyrophosphorylated inositol molecules, inositol pyrophosphates (PP-InsPs), have been implicated in phosphate and energy sensing. PP-InsPs are synthesized from the phosphorylation of InsP6, the most abundant InsP. The plant PP-InsP synthesis pathway is similar but distinct from that of the human, which may reflect differences in how molecules such as Ins(1,4,5)P3 and InsP6 function in plants vs. animals. In addition, PP-InsPs can potentially interact with several major signaling proteins in plants, suggesting PP-InsPs play unique signaling roles via binding to protein partners. In this review, we will compare the biosynthesis and role of PP-InsPs in animals and plants, focusing on three central themes: InsP6 synthesis pathways, synthesis and regulation of the PP-InsPs, and function of a specific protein domain called the Syg1, Pho1, Xpr1 (SPX ) domain in binding PP-InsPs and regulating inorganic phosphate (Pi) sensing. This review will provide novel insights into the biosynthetic pathway and bioactivity of these key signaling molecules in plant and human systems. Full article
(This article belongs to the Special Issue Bioactivity of Inositol Phosphates)
Show Figures

Graphical abstract

19 pages, 2807 KB  
Article
Allelic Variants of CRISPR/Cas9 Induced Mutation in an Inositol Trisphosphate 5/6 Kinase Gene Manifest Different Phenotypes in Barley
by Tomáš Vlčko and Ludmila Ohnoutková
Plants 2020, 9(2), 195; https://doi.org/10.3390/plants9020195 - 5 Feb 2020
Cited by 67 | Viewed by 5200
Abstract
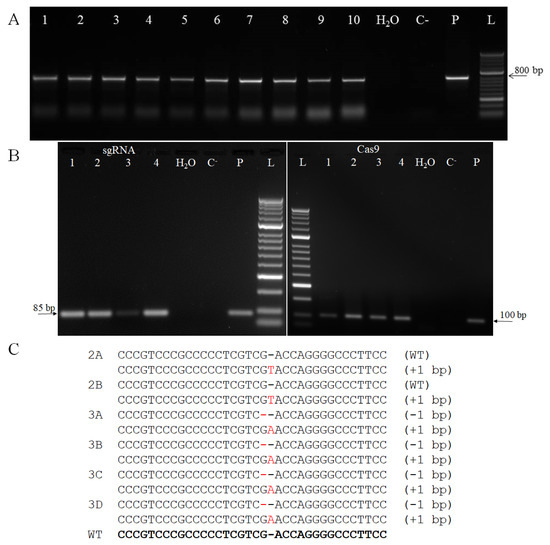
Inositol trisphosphate 5/6 kinases (ITPK) constitute a small group of enzymes participating in the sequential phosphorylation of inositol phosphate to inositol hexakisphosphate (IP6), which is a major storage form of phosphate in cereal grains. The development of lines with reduced IP6 content could [...] Read more.
Inositol trisphosphate 5/6 kinases (ITPK) constitute a small group of enzymes participating in the sequential phosphorylation of inositol phosphate to inositol hexakisphosphate (IP6), which is a major storage form of phosphate in cereal grains. The development of lines with reduced IP6 content could enhance phosphate and mineral bioavailability. Moreover, plant ITPKs participate in abiotic stress signaling. To elucidate the role of HvITPK1 in IP6 synthesis and stress signaling, a barley itpk1 mutant was created using programmable nuclease Cas9. Homozygous single bp insertion and deletion mutant lines were obtained. The mutants contained altered levels of phosphate in the mature grains, ranging from 65% to 174% of the wild type (WT) content. Homozygous mutant lines were tested for their response to salinity during germination. Interestingly, insertion mutant lines revealed a higher tolerance to salinity stress than deletion mutants. Mature embryos of an insertion mutant itpk1-2 and deletion mutant itpk1-33 were cultivated in vitro on MS medium supplemented with NaCl at 50, 100, and 200 mM. While both mutants grew less well than WT on no or low salt concentrations, the itpk1-2 mutant was affected less than the WT and itpk33 when grown on the highest NaCl concentration. The expression of all ITPKs was induced in roots in response to salt stress. In shoots, the differential effect of high salt on IPTK expression in the two iptk1 mutants was consistent with their different sensitivities to salt stress. The results extend the evidence for the involvement of ITPK genes in phosphate storage and abiotic stress signaling. Full article
Show Figures

Figure 1

11 pages, 1419 KB  
Review
Can Inositol Pyrophosphates Inform Strategies for Developing Low Phytate Crops?
by Catherine Freed, Olusegun Adepoju and Glenda Gillaspy
Plants 2020, 9(1), 115; https://doi.org/10.3390/plants9010115 - 17 Jan 2020
Cited by 22 | Viewed by 7655
Abstract
Inositol pyrophosphates (PP-InsPs) are an emerging class of “high-energy” intracellular signaling molecules, containing one or two diphosphate groups attached to an inositol ring, that are connected with phosphate sensing, jasmonate signaling, and inositol hexakisphosphate (InsP6) storage in plants. While information regarding [...] Read more.
Inositol pyrophosphates (PP-InsPs) are an emerging class of “high-energy” intracellular signaling molecules, containing one or two diphosphate groups attached to an inositol ring, that are connected with phosphate sensing, jasmonate signaling, and inositol hexakisphosphate (InsP6) storage in plants. While information regarding this new class of signaling molecules in plants is scarce, the enzymes responsible for their synthesis have recently been elucidated. This review focuses on InsP6 synthesis and its conversion into PP-InsPs, containing seven and eight phosphate groups (InsP7 and InsP8). These steps involve two types of enzymes: the ITPKs that phosphorylate InsP6 to InsP7, and the PPIP5Ks that phosphorylate InsP7 to InsP8. This review also considers the potential roles of PP-InsPs in plant hormone and inorganic phosphate (Pi) signaling, along with an emerging role in bioenergetic homeostasis. PP-InsP synthesis and signaling are important for plant breeders to consider when developing strategies that reduce InsP6 in plants, as this will likely also reduce PP-InsPs. Thus, this review is primarily intended to bridge the gap between the basic science aspects of PP-InsP synthesis/signaling and breeding/engineering strategies to fortify foods by reducing InsP6. Full article
Show Figures

Graphical abstract

9 pages, 1965 KB  
Case Report
Utility of Whole Blood Thiamine Pyrophosphate Evaluation in TPK1-Related Diseases
by Enrico Bugiardini, Simon Pope, René G. Feichtinger, Olivia V. Poole, Alan M. Pittman, Cathy E. Woodward, Simon Heales, Rosaline Quinlivan, Henry Houlden, Johannes A. Mayr, Michael G. Hanna and Robert D.S. Pitceathly
J. Clin. Med. 2019, 8(7), 991; https://doi.org/10.3390/jcm8070991 - 8 Jul 2019
Cited by 18 | Viewed by 5926
Abstract
TPK1 mutations are a rare, but potentially treatable, cause of thiamine deficiency. Diagnosis is challenging given the phenotypic overlap that exists with other metabolic and neurological disorders. We report a case of TPK1-related disease presenting with Leigh-like syndrome and review the diagnostic [...] Read more.
TPK1 mutations are a rare, but potentially treatable, cause of thiamine deficiency. Diagnosis is challenging given the phenotypic overlap that exists with other metabolic and neurological disorders. We report a case of TPK1-related disease presenting with Leigh-like syndrome and review the diagnostic utility of thiamine pyrophosphate (TPP) blood measurement. The proband, a 35-year-old male, presented at four months of age with recurrent episodes of post-infectious encephalopathy. He subsequently developed epilepsy, learning difficulties, sensorineural hearing loss, spasticity, and dysphagia. There was a positive family history for Leigh syndrome in an older brother. Plasma lactate was elevated (3.51 mmol/L) and brain MRI showed bilateral basal ganglia hyperintensities, indicative of Leigh syndrome. Histochemical and spectrophotometric analysis of mitochondrial respiratory chain complexes I, II+III, and IV was normal. Genetic analysis of muscle mitochondrial DNA was negative. Whole exome sequencing of the proband confirmed compound heterozygous variants in TPK1: c. 426G>C (p. Leu142Phe) and c. 258+1G>A (p.?). Blood TPP levels were reduced, providing functional evidence for the deleterious effects of the variants. We highlight the clinical and bioinformatics challenges to diagnosing rare genetic disorders and the continued utility of biochemical analyses, despite major advances in DNA sequencing technology, when investigating novel, potentially disease-causing, genetic variants. Blood TPP measurement represents a fast and cost-effective diagnostic tool in TPK1-related diseases. Full article
(This article belongs to the Section Immunology & Rheumatology)
Show Figures

Figure 1

12 pages, 2643 KB  
Article
Mutation of Inositol 1,3,4-trisphosphate 5/6-kinase6 Impairs Plant Growth and Phytic Acid Synthesis in Rice
by Meng Jiang, Yang Liu, Yanhua Liu, Yuanyuan Tan, Jianzhong Huang and Qingyao Shu
Plants 2019, 8(5), 114; https://doi.org/10.3390/plants8050114 - 29 Apr 2019
Cited by 72 | Viewed by 6863
Abstract
Inositol 1,3,4-trisphosphate 5/6-kinase (ITPK) is encoded by six genes in rice (OsITPK1-6). A previous study had shown that nucleotide substitutions of OsITPK6 could significantly lower the phytic acid content in rice grains. In the present study, the possibility of establishing a [...] Read more.
Inositol 1,3,4-trisphosphate 5/6-kinase (ITPK) is encoded by six genes in rice (OsITPK1-6). A previous study had shown that nucleotide substitutions of OsITPK6 could significantly lower the phytic acid content in rice grains. In the present study, the possibility of establishing a genome editing-based method for breeding low-phytic acid cultivars in rice was explored, in conjunction with the functional determination of OsITPK6. Four OsITPK6 mutant lines were generated by targeted mutagenesis of the gene’s first exon using the CRISPR/Cas9 method, one (ositpk6_1) with a 6-bp in-frame deletion, and other three with frameshift mutations (ositpk6_2, _3, and _4). The frameshift mutations severely impaired plant growth and reproduction, while the effect of ositpk6_1 was relatively limited. The mutant lines ositpk6_1 and _2 had significantly lower levels (−10.1% and −32.1%) of phytic acid and higher levels (4.12- and 5.18-fold) of inorganic phosphorus compared with the wild-type (WT) line. The line ositpk6_1 also showed less tolerance to osmotic stresses. Our research demonstrates that mutations of OsITPK6, while effectively reducing phytic acid biosynthesis in rice grain, could significantly impair plant growth and reproduction. Full article
Show Figures

Figure 1

22 pages, 1353 KB  
Article
Hormonal Regulation and Expression Profiles of Wheat Genes Involved during Phytic Acid Biosynthesis Pathway
by Sipla Aggarwal, Vishnu Shukla, Kaushal Kumar Bhati, Mandeep Kaur, Shivani Sharma, Anuradha Singh, Shrikant Mantri and Ajay Kumar Pandey
Plants 2015, 4(2), 298-319; https://doi.org/10.3390/plants4020298 - 11 Jun 2015
Cited by 22 | Viewed by 9786
Abstract
Phytic acid (PA) biosynthesis pathway genes were reported from multiple crop species. PA accumulation was enhanced during grain filling and at that time, hormones like Abscisic acid (ABA) and Gibberellic acid (GA3) interplay to control the process of seed development. Regulation [...] Read more.
Phytic acid (PA) biosynthesis pathway genes were reported from multiple crop species. PA accumulation was enhanced during grain filling and at that time, hormones like Abscisic acid (ABA) and Gibberellic acid (GA3) interplay to control the process of seed development. Regulation of wheat PA pathway genes has not yet been reported in seeds. In an attempt to find the clues for the regulation by hormones, the promoter region of wheat PA pathway genes was analyzed for the presence of cis-elements. Multiple cis-elements of those known to be involved for ABA, GA3, salicylic acid (SA), and cAMP sensing were identified in the promoters of PA pathway genes. Eight genes (TaIMP, TaITPK1-4, TaPLC1, TaIPK2 and TaIPK1) involved in the wheat PA biosynthesis pathway were selected for the expression studies. The temporal expression response was studied in seeds treated with ABA and GA3 using quantitative real time PCR. Our results suggested that exogenous application of ABA induces few PA pathway genes in wheat grains. Comparison of expression profiles for PA pathway for GA3 and ABA suggested the antagonistic regulation of certain genes. Additionally, to reveal stress responses of wheat PA pathway genes, expression was also studied in the presence of SA and cAMP. Results suggested SA specific differential expression of few genes, whereas, overall repression of genes was observed in cAMP treated samples. This study is an effort to understand the regulation of PA biosynthesis genes in wheat. Full article
(This article belongs to the Special Issue Phytic Acid Pathway and Breeding in Plants)
Show Figures

Figure 1

Back to TopTop