Sign in to use this feature.

Years

Between: -

Subjects

remove_circle_outline
remove_circle_outline
remove_circle_outline
remove_circle_outline
remove_circle_outline
remove_circle_outline
remove_circle_outline

Journals

Article Types

Countries / Regions

Search Results (172)

Search Parameters:
Keywords = ADC sequencing

Order results
Result details
Results per page
Select all
Export citation of selected articles as:
25 pages, 4011 KB  
Review
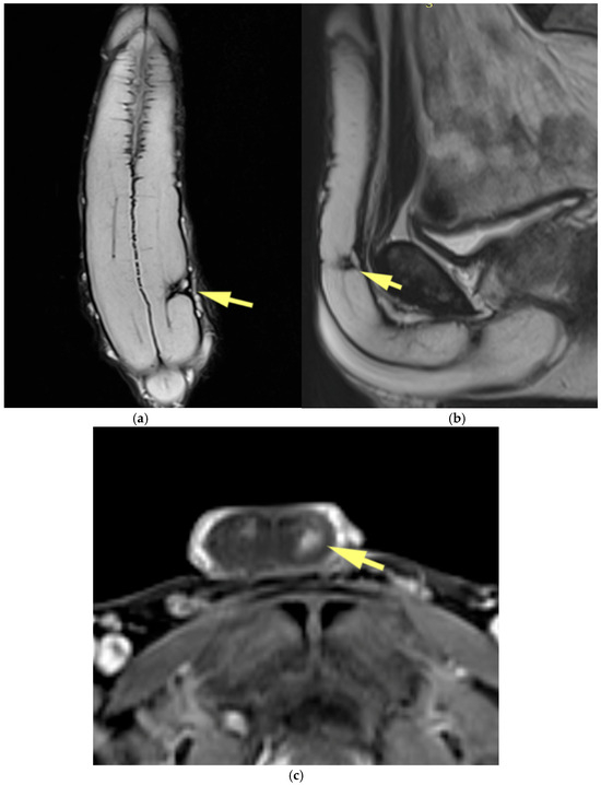
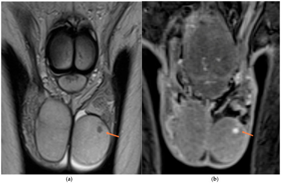
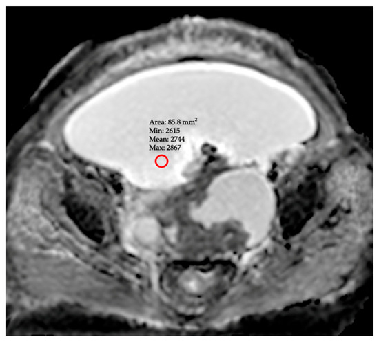
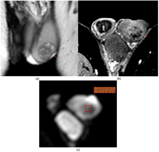
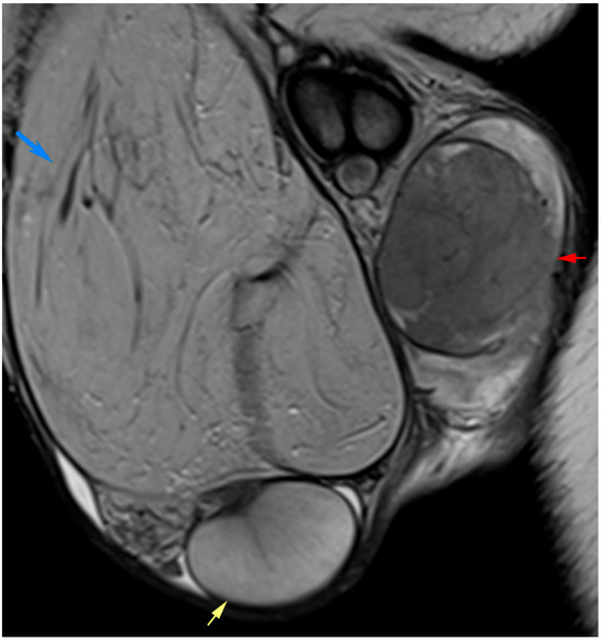
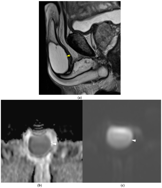
MRI of the Scrotum and Penis: Current Applications and Clinical Relevance
by Bartosz Regent, Karolina Nowak, Katarzyna Skrobisz, Marcin Matuszewski and Michał Studniarek
Diagnostics 2025, 15(24), 3134; https://doi.org/10.3390/diagnostics15243134 - 9 Dec 2025
Viewed by 396
Abstract
Background: Magnetic resonance imaging (MRI) plays an increasingly important role in the evaluation of scrotal and penile disorders, complementing ultrasonography in cases where findings are equivocal or complex. With its superior soft-tissue contrast, multiplanar capability, and advanced functional sequences, MRI provides unparalleled anatomic [...] Read more.
Background: Magnetic resonance imaging (MRI) plays an increasingly important role in the evaluation of scrotal and penile disorders, complementing ultrasonography in cases where findings are equivocal or complex. With its superior soft-tissue contrast, multiplanar capability, and advanced functional sequences, MRI provides unparalleled anatomic and tissue characterization across a wide range of male genital pathologies. Summary: This review summarizes current clinical applications of MRI in scrotal and penile imaging and discusses its diagnostic value, protocol optimization, and interpretive features. In scrotal pathology, MRI accurately differentiates torsion, trauma, infection, and neoplasms, aiding in the distinction between benign and malignant testicular lesions and supporting testis-sparing management. Quantitative diffusion and perfusion metrics further refine lesion characterization. In andrology, MRI biomarkers such as apparent diffusion coefficient (ADC), magnetization transfer ratio (MTR), and proton spectroscopy serve as promising non-invasive indicators of spermatogenic activity in male infertility. In penile imaging, MRI enables precise local staging of carcinoma, assessment of plaque morphology and activity in Peyronie’s disease, evaluation of tissue viability in priapism, and detection of prosthesis-related complications. Conclusions: MRI has become an essential problem-solving tool in the assessment of scrotal and penile diseases, enhancing diagnostic confidence and surgical planning. Future directions include protocol standardization, quantitative parameter validation, and the integration of radiomics and artificial intelligence to improve reproducibility and clinical impact. Full article
(This article belongs to the Special Issue Innovations in Medical Imaging for Precision Diagnostics)
Show Figures

Figure 1

12 pages, 2210 KB  
Article
Diffusion-Weighted MRI as a Non-Invasive Diagnostic Tool for Ascites Characterization: A Comparative Analysis of Mean and Minimum ADC Values Against the Serum-Ascites Albumin Gradient
by Abdullah Enes Ataş, Şeyma Ünüvar, Hasan Eryeşil and Naile Kökbudak
Diagnostics 2025, 15(24), 3130; https://doi.org/10.3390/diagnostics15243130 - 9 Dec 2025
Viewed by 296
Abstract
Background/Objectives: This study aimed to evaluate the diagnostic accuracy of Apparent Diffusion Coefficient (ADC) values, derived from Diffusion-Weighted Imaging (DWI), in differentiating benign and malignant ascites. Methods: This retrospective study included 150 patients (85 benign, 65 malignant) who underwent abdominal MRI. [...] Read more.
Background/Objectives: This study aimed to evaluate the diagnostic accuracy of Apparent Diffusion Coefficient (ADC) values, derived from Diffusion-Weighted Imaging (DWI), in differentiating benign and malignant ascites. Methods: This retrospective study included 150 patients (85 benign, 65 malignant) who underwent abdominal MRI. All patients were scanned on a DWI sequence (b-values: 0, 500, and 1000 s/mm2). Two experienced radiologists, blinded to clinical and cytological outcomes, measured the mean ADC (ADCmean) from three distinct ROIs and the minimum ADC (ADCmin) from the area of lowest signal intensity on the ADC map. The diagnostic performance of ADC parameters and the Serum-Ascites Albumin Gradient (SAAG) was assessed using Receiver Operating Characteristic (ROC) curve analysis. Results: The mean values of ADCmean (3162 ± 204 × 10−6 mm2/s) and ADCmin (2885 ± 148 × 10−6 mm2/s) in the malignant group were significantly lower than those in the benign group (3596 ± 239 and 3322 ± 218 × 10−6 mm2/s; p = 0.006 and p = 0.0016, respectively). Inter-observer agreement was good for both ADCmean (ICC = 0.844) and ADCmin (ICC = 0.879). In the ROC analysis, ADCmin demonstrated the highest diagnostic performance (AUC: 0.930). An optimal cut-off value for ADCmin of ≤ 2983 × 10−6 mm2/s yielded 81.5% sensitivity and 85.8% specificity. The diagnostic performance of ADCmin was found to be superior to that of ADCmean (AUC: 0.877) and SAAG (AUC: 0.919). Conclusions: ADC values derived from DWI, particularly ADCmin, represent a highly accurate, non-invasive, and reproducible biomarker for differentiating benign from malignant ascites. The identified ADCmin threshold provides quantitative parameter that can aid in patient triage, especially when cytology is inconclusive, potential surrogate for fluid characterization. Full article
(This article belongs to the Section Medical Imaging and Theranostics)
Show Figures

Figure 1

20 pages, 3745 KB  
Article
Using Delta MRI-Based Radiomics for Monitoring Early Peri-Tumoral Changes in a Mouse Model of Glioblastoma: Primary Study
by Haitham Al-Mubarak and Mohammed S. Alshuhri
Cancers 2025, 17(21), 3545; https://doi.org/10.3390/cancers17213545 - 1 Nov 2025
Viewed by 580
Abstract
Background/Objectives: Glioblastoma (GBM) is an aggressive primary brain tumor marked by diffuse infiltration into surrounding brain tissue. The peritumoral zone often appears normal on imaging yet harbors microscopic invasion. While perfusion-based studies, such as arterial spin labeling (ASL), have profiled this region, longitudinal [...] Read more.
Background/Objectives: Glioblastoma (GBM) is an aggressive primary brain tumor marked by diffuse infiltration into surrounding brain tissue. The peritumoral zone often appears normal on imaging yet harbors microscopic invasion. While perfusion-based studies, such as arterial spin labeling (ASL), have profiled this region, longitudinal radiomic monitoring remains limited. This study investigates delta radiomics using multiparametric MRI (mpMRI) in a GBM mouse model to track subtle peritumoral changes over time. Methods: A G7 GBM xenograft model was established in nine nude mice, imaged at 9- and 12 weeks post-implantation using MRI (T1W, T2W, T2 mapping, DWI-ADC, FA, and ASL) and co-registered histopathology (H&E, HLA staining). Tumor and peritumoral regions were manually segmented, and 107 radiomic features (shape, first-order, texture) were extracted per sequence and histology. The delta features were calculated and compared between timepoints. Results: The robust T2W texture and T2 map first-order features demonstrated the greatest sensitivity and reproducibility in capturing temporal peritumoral brain zone changes, distinguishing between time points used by K-mean. Conclusions: Delta radiomics offers added value over static analysis for early monitoring of peritumoral brain zone changes. The first-order and texture features of radiomics could serve as robust biomarkers of peritumoral invasion. These findings highlight the potential of longitudinal MRI-based radiomics to characterize glioblastoma progression and inform translational research. Full article
(This article belongs to the Section Methods and Technologies Development)
Show Figures

Figure 1

18 pages, 509 KB  
Review
Impact of Anti-HER2 Therapies on Overall Survival in Patients with HER2-Positive Metastatic Breast Cancer: Focusing on Intracranial Efficacy of Emerging Treatments
by Denise Drittone, Claudia Lucci, Luisa Esposito, Federica Mazzuca and Simona Pisegna
Cancers 2025, 17(21), 3520; https://doi.org/10.3390/cancers17213520 - 31 Oct 2025
Cited by 1 | Viewed by 1500
Abstract
Therapies targeting human epidermal growth factor receptor 2 (HER2) have substantially improved overall survival in patients with HER2-positive metastatic breast cancer. Approximately 31% of these patients develop brain metastases, representing a significant therapeutic challenge. This review classifies anti-HER2 therapies into three categories: monoclonal [...] Read more.
Therapies targeting human epidermal growth factor receptor 2 (HER2) have substantially improved overall survival in patients with HER2-positive metastatic breast cancer. Approximately 31% of these patients develop brain metastases, representing a significant therapeutic challenge. This review classifies anti-HER2 therapies into three categories: monoclonal antibodies (MABs), antibody-drug conjugates (ADCs), and tyrosine kinase inhibitors (TKIs). The mechanisms of action and clinical impacts of these agents are examined, with particular attention to intracranial efficacy. The introduction of trastuzumab increased overall survival (OS) from 20.3 to 25.1 months compared to chemotherapy alone. The addition of pertuzumab further extended survival to 57.1 months, as demonstrated in the CLEOPATRA trial. Among ADCs, T-DM1 improved OS to 29.9 months versus 25.9 months in the EMILIA trial, while T-DXd extended OS to 52.6 months in DESTINY-Breast03. T-DXd also demonstrated notable intracranial activity, achieving a 64.9% objective response rate in patients with active brain metastases. In the HER2CLIMB trial, tucatinib reduced intracranial progression by 68% and improved OS (24.7 vs. 19.2 months) in patients with active brain metastases. Recent advances have increased median OS from approximately 20 months prior to trastuzumab to over 50 months with current therapies. Future research should focus on optimizing treatment sequencing, refining biomarker-driven approaches, and developing targeted strategies for brain metastases to further improve long-term survival outcomes. Full article
(This article belongs to the Special Issue Cancer Metastasis in 2025–2026)
Show Figures

Figure 1

17 pages, 2583 KB  
Review
Navigating Therapeutic Landscapes in Urothelial Cancer: From Chemotherapy to Precision Immuno-Oncology
by Takatoshi Somoto, Takanobu Utsumi, Rino Ikeda, Naoki Ishitsuka, Takahide Noro, Yuta Suzuki, Shota Iijima, Yuka Sugizaki, Ryo Oka, Takumi Endo, Naoto Kamiya and Hiroyoshi Suzuki
Cancers 2025, 17(20), 3367; https://doi.org/10.3390/cancers17203367 - 18 Oct 2025
Cited by 1 | Viewed by 1047
Abstract
Background/Objectives: The therapeutic landscape of advanced or metastatic urothelial carcinoma (UC) has shifted from platinum chemotherapy to precision immuno-oncology. Immune checkpoint inhibitors (ICIs)—pembrolizumab, nivolumab, and avelumab—show efficacy across platinum-refractory, maintenance, and adjuvant settings, yet benefit is limited to subsets, underscoring the need for [...] Read more.
Background/Objectives: The therapeutic landscape of advanced or metastatic urothelial carcinoma (UC) has shifted from platinum chemotherapy to precision immuno-oncology. Immune checkpoint inhibitors (ICIs)—pembrolizumab, nivolumab, and avelumab—show efficacy across platinum-refractory, maintenance, and adjuvant settings, yet benefit is limited to subsets, underscoring the need for biomarkers. Antibody–drug conjugates (ADCs), notably enfortumab vedotin(EV), and targeted agents such as FGFR inhibitors further expand options. This review synthesizes current evidence and emerging paradigms to guide combinations and sequencing. Methods: We performed a narrative synthesis of peer-reviewed trials (emphasizing pivotal phase III studies), key translational investigations, and contemporary guidelines on ICIs, ADCs, HER2-directed therapies, FGFR inhibitors, molecular subtyping, and genomic profiling in UC, integrating efficacy signals, biomarker associations, and practical implications for sequencing. Results: ICIs now occupy multiple settings, but heterogeneous benefit highlights the importance of molecularly informed selection. EV alone and with pembrolizumab has produced unprecedented first-line activity, prompting a strategic shift. Molecular subtyping and genomic profiling delineate phenotypes with variable immune responsiveness and targetable vulnerabilities, enabling rational combinations and refined sequencing. Ongoing trials are evaluating next-generation ADCs, HER2-directed approaches, and dual checkpoint blockade to achieve durable, personalized disease control. Conclusions: Management of locally advanced or metastatic UC is converging on precision immuno-oncology, wherein biomarker-driven selection, molecular subtyping, and thoughtful sequencing of ICIs, ADCs, and targeted agents are central to optimizing outcomes. Active trials and translational advances are expected to refine personalized strategies and embed molecular guidance into routine care. Full article
Show Figures

Figure 1

21 pages, 2466 KB  
Article
Single-Cell Transcriptomics Reveals a Multi-Compartmental Cellular Cascade Underlying Elahere-Induced Ocular Toxicity in Rats
by Jialing Zhang, Meng Li, Yuxuan Yang, Peng Guo, Weiyu Li, Hongxin An, Yongfei Cui, Luyun Guo, Maoqin Duan, Ye Lu, Chuanfei Yu and Lan Wang
Pharmaceuticals 2025, 18(10), 1492; https://doi.org/10.3390/ph18101492 - 4 Oct 2025
Viewed by 1060
Abstract
Background: Antibody-drug conjugates (ADCs) have ushered in a new era of precision oncology by combining the targeting specificity of monoclonal antibodies with the potent cytotoxicity of chemotherapeutic drugs. However, the cellular and molecular mechanisms underlying their dose-limiting ocular toxicity remain unclear. Elahere™, the [...] Read more.
Background: Antibody-drug conjugates (ADCs) have ushered in a new era of precision oncology by combining the targeting specificity of monoclonal antibodies with the potent cytotoxicity of chemotherapeutic drugs. However, the cellular and molecular mechanisms underlying their dose-limiting ocular toxicity remain unclear. Elahere™, the first FDA-approved ADC targeting folate receptor α (FRα), demonstrates remarkable efficacy in platinum-resistant ovarian cancer but causes keratitis and other ocular toxicities in some patients. Notably, FRα is not expressed in the corneal epithelium—the primary site of damage—highlighting the urgent need to elucidate its underlying mechanisms. The aim of this study was to identify the cell-type-specific molecular mechanisms underlying Elahere-induced ocular toxicity. Methods: Sprague-Dawley rats were treated with intravenous Elahere (20 mg/kg) or vehicle weekly for five weeks. Ocular toxicity was determined by clinical examination and histopathology. Corneal single-cell suspensions were analyzed using the BD Rhapsody single-cell RNA sequencing (scRNA-seq) platform. Bioinformatic analyses to characterize changes in corneal cell populations, gene expression, and signaling pathways included cell clustering, differential gene expression, pseudotime trajectory inference, and cell-cell interaction modeling. Results: scRNA-seq profiling of 47,606 corneal cells revealed significant damage to the ocular surface and corneal epithelia in the Elahere group. Twenty distinct cell types were identified. Elahere depleted myeloid immune cells; in particular, homeostatic gene expression was suppressed in phagocytic macrophages. Progenitor populations (limbal stem cells and basal cells) accumulated (e.g., a ~2.6-fold expansion of limbal stem cells), while terminally differentiated cells decreased in corneal epithelium, indicating differentiation blockade. Endothelial cells exhibited signs of injury and inflammation, including reduced angiogenic subtypes and heightened stress responses. Folate receptor alpha, the target of Elahere, was expressed in endothelial and stromal cells, potentially driving stromal cells toward a pro-fibrotic phenotype. Fc receptor genes were predominantly expressed in myeloid cells, suggesting a potential mechanism underlying their depletion. Conclusions: Elahere induces complex, multi-compartmental ocular toxicity characterized by initial perturbations in vascular endothelial and immune cell populations followed by the arrest of epithelial differentiation and stromal remodeling. These findings reveal a cascade of cellular disruptions and provide mechanistic insights into mitigating Elahere-associated ocular side effects. Full article
(This article belongs to the Section Biopharmaceuticals)
Show Figures

Figure 1

15 pages, 2112 KB  
Article
Radiomics-Based Preoperative Assessment of Muscle-Invasive Bladder Cancer Using Combined T2 and ADC MRI: A Multicohort Validation Study
by Dmitry Kabanov, Natalia Rubtsova, Aleksandra Golbits, Andrey Kaprin, Valentin Sinitsyn and Mikhail Potievskiy
J. Imaging 2025, 11(10), 342; https://doi.org/10.3390/jimaging11100342 - 1 Oct 2025
Viewed by 822
Abstract
Accurate preoperative staging of bladder cancer on MRI remains challenging because visual reads vary across observers. We investigated a multiparametric MRI (mpMRI) radiomics approach to predict muscle invasion (≥T2) and prospectively tested it on a validation cohort. Eighty-four patients with urothelial carcinoma underwent [...] Read more.
Accurate preoperative staging of bladder cancer on MRI remains challenging because visual reads vary across observers. We investigated a multiparametric MRI (mpMRI) radiomics approach to predict muscle invasion (≥T2) and prospectively tested it on a validation cohort. Eighty-four patients with urothelial carcinoma underwent 1.5-T mpMRI per VI-RADS (T2-weighted imaging and DWI-derived ADC maps). Two blinded radiologists performed 3D tumor segmentation; 37 features per sequence were extracted (LifeX) using absolute resampling. In the training cohort (n = 40), features that differed between non-muscle-invasive and muscle-invasive tumors (Mann–Whitney p < 0.05) underwent ROC analysis with cut-offs defined by the Youden index. A compact descriptor combining GLRLM-LRLGE from T2 and GLRLM-SRLGE from ADC was then fixed and applied without re-selection to a prospective validation cohort (n = 44). Histopathology within 6 weeks—TURBT or cystectomy—served as the reference. Eleven T2-based and fifteen ADC-based features pointed to invasion; DWI texture features were not informative. The descriptor yielded AUCs of 0.934 (training) and 0.871 (validation) with 85.7% sensitivity and 96.2% specificity in validation. Collectively, these findings indicate that combined T2/ADC radiomics can provide high diagnostic accuracy and may serve as a useful decision support tool, after multicenter, multi-vendor validation. Full article
(This article belongs to the Topic Machine Learning and Deep Learning in Medical Imaging)
Show Figures

Figure 1

17 pages, 637 KB  
Review
Challenges and Potential of Antibody–Drug Conjugates as Prospective Tuberculosis Therapeutics
by Kenneth W. Foreman and Hui-Chen Foreman
Microorganisms 2025, 13(10), 2234; https://doi.org/10.3390/microorganisms13102234 - 24 Sep 2025
Viewed by 1014
Abstract
Tuberculosis (TB), primarily caused by Mycobacterium tuberculosis (Mtb), remains a leading cause of infectious disease mortality worldwide. Global TB control efforts face several hurdles, including the lack of a broadly effective vaccine, limited sensitivity of current diagnostics, particularly for paucibacillary and extrapulmonary TB, [...] Read more.
Tuberculosis (TB), primarily caused by Mycobacterium tuberculosis (Mtb), remains a leading cause of infectious disease mortality worldwide. Global TB control efforts face several hurdles, including the lack of a broadly effective vaccine, limited sensitivity of current diagnostics, particularly for paucibacillary and extrapulmonary TB, and significant adverse effects associated with prolonged small-molecule drug regimens. The growing prevalence of multidrug-resistant (MDR) and extensively drug-resistant (XDR) strains further underscores the urgent need for innovative therapeutic strategies. We outline characteristics of next-generation TB therapeutics. We show that antibody (Ab)-drug conjugates (ADCs) satisfy many of those desirable characteristics. Since a major hurdle to this approach lies in Mtb-specific Abs, we highlight an open-access resource comprising a broad panel of Mtb-specific mouse monoclonal antibodies targeting key factors involved in Mtb survival, immune evasion, and pathogenesis. These critical Mtb virulence factors include heat shock proteins (GroES, DnaK, and HspX), surface-associated or secreted proteins (LAM, Ag85, HBHA, Mpt64/CFP-21, and PhoS1/PstS1), cell wall/envelope-associated proteins (LprG/p27), and detoxifying enzymes (KatG and SodA). The resource provides full-length sequences of the immunoglobulin variable regions, enabling antibody engineering and facilitating translational TB research across vaccine design, diagnostic development, and immunotherapeutic applications, in addition to ADCs. This ADC targeted delivery strategy holds promise for overcoming TB heterogeneity and eliminating both active and dormant Mtb populations within a single therapeutic formulation and offers a novel avenue for precision TB treatment. Full article
(This article belongs to the Special Issue Mycobacterial Research)
Show Figures

Figure 1

35 pages, 17195 KB  
Review
Advanced MRI, Radiomics and Radiogenomics in Unravelling Incidental Glioma Grading and Genetic Status: Where Are We?
by Alessia Guarnera, Tamara Ius, Andrea Romano, Daniele Bagatto, Luca Denaro, Denis Aiudi, Maurizio Iacoangeli, Mauro Palmieri, Alessandro Frati, Antonio Santoro and Alessandro Bozzao
Medicina 2025, 61(8), 1453; https://doi.org/10.3390/medicina61081453 - 12 Aug 2025
Cited by 1 | Viewed by 3127
Abstract
The 2021 WHO classification of brain tumours revolutionised the oncological field by emphasising the role of molecular, genetic and pathogenetic advances in classifying brain tumours. In this context, incidental gliomas have been increasingly identified due to the widespread performance of standard and advanced [...] Read more.
The 2021 WHO classification of brain tumours revolutionised the oncological field by emphasising the role of molecular, genetic and pathogenetic advances in classifying brain tumours. In this context, incidental gliomas have been increasingly identified due to the widespread performance of standard and advanced MRI sequences and represent a diagnostic and therapeutic challenge. The impactful decision to perform a surgical procedure deeply relies on the non-invasive identification of features or parameters that may correlate with brain tumour genetic profile and grading. Therefore, it is paramount to reach an early and proper diagnosis through neuroradiological techniques, such as MRI. Standard MRI sequences are the cornerstone of diagnosis, while consolidated and emerging roles have been awarded to advanced sequences such as Diffusion-Weighted Imaging/Apparent Diffusion Coefficient (DWI/ADC), Perfusion-Weighted Imaging (PWI), Magnetic Resonance Spectroscopy (MRS), Diffusion Tensor Imaging (DTI) and functional MRI (fMRI). The current novelty relies on the application of AI in brain neuro-oncology, mainly based on radiomics and radiogenomics models, which enhance standard and advanced MRI sequences in predicting glioma genetic status by identifying the mutation of multiple key biomarkers deeply impacting patients’ diagnosis, prognosis and treatment, such as IDH, EGFR, TERT, MGMT promoter, p53, H3-K27M, ATRX, Ki67 and 1p19. AI-driven models demonstrated high accuracy in glioma detection, grading, prognostication, and pre-surgical planning and appear to be a promising frontier in the neuroradiological field. On the other hand, standardisation challenges in image acquisition, segmentation and feature extraction variability, data scarcity and single-omics analysis, model reproducibility and generalizability, the black box nature and interpretability concerns, as well as ethical and privacy challenges remain key issues to address. Future directions, rooted in enhanced standardisation and multi-institutional validation, advancements in multi-omics integration, and explainable AI and federated learning, may effectively overcome these challenges and promote efficient AI-based models in glioma management. The aims of our multidisciplinary review are to: (1) extensively present the role of standard and advanced MRI sequences in the differential diagnosis of iLGGs as compared to HGGs (High-Grade Gliomas); (2) give an overview of the current and main applications of AI tools in the differential diagnosis of iLGGs as compared to HGGs (High-Grade Gliomas); (3) show the role of MRI, radiomics and radiogenomics in unravelling glioma genetic profiles. Standard and advanced MRI, radiomics and radiogenomics are key to unveiling the grading and genetic profile of gliomas and supporting the pre-operative planning, with significant impact on patients’ differential diagnosis, prognosis prediction and treatment strategies. Today, neuroradiologists are called to efficiently use AI tools for the in vivo, non-invasive, and comprehensive assessment of gliomas in the path towards patients’ personalised medicine. Full article
(This article belongs to the Special Issue Early Diagnosis and Management of Glioma)
Show Figures

Figure 1

21 pages, 1128 KB  
Review
The Dynamic Field of Perioperative Treatment for Localized Muscle-Invasive Bladder Cancer: A Review of the Current Research Landscape
by Clara García-Rayo, Silvia Juste-Álvarez, Carmen Gómez-Cañizo, Mario Hernández-Arroyo, Guillermo Velasco, Daniel Castellano, Alfredo Rodríguez-Antolín and Félix Guerrero-Ramos
J. Clin. Med. 2025, 14(16), 5653; https://doi.org/10.3390/jcm14165653 - 10 Aug 2025
Cited by 1 | Viewed by 2685
Abstract
Background: Muscle-invasive bladder cancer (MIBC) is associated with high recurrence and mortality rates. While cisplatin-based neoadjuvant chemotherapy followed by radical cystectomy remains the standard of care, many patients are ineligible for cisplatin. Recent advances in immunotherapy and biomarker research are reshaping perioperative [...] Read more.
Background: Muscle-invasive bladder cancer (MIBC) is associated with high recurrence and mortality rates. While cisplatin-based neoadjuvant chemotherapy followed by radical cystectomy remains the standard of care, many patients are ineligible for cisplatin. Recent advances in immunotherapy and biomarker research are reshaping perioperative strategies, aiming to personalize treatment and improve outcomes. Methods: We conducted a comprehensive narrative review of the recent literature and clinical trials on the perioperative treatment of MIBC. We focused on published phase II and III trials assessing neoadjuvant and adjuvant strategies, including immunotherapy, antibody-drug conjugates (ADCs), combination regimens, and circulating tumor DNA (ctDNA)-based approaches. Results: Numerous trials (e.g., PURE-01, ABACUS, NABUCCO, AURA, NIAGARA) have demonstrated the feasibility and efficacy of immune checkpoint inhibitors (ICIs) in both cisplatin-eligible and -ineligible populations. Combination strategies, including ICIs plus chemotherapy or ADCs, have shown promising pathological complete response rates and event-free survival. In the adjuvant setting, nivolumab improved disease-free survival and received regulatory approval. Biomarkers such as PD-L1 and ctDNA are emerging tools for predicting treatment response and recurrence risk, although prospective validation is ongoing. Conclusions: The treatment paradigm for MIBC is shifting toward multimodal and biomarker-driven approaches. Integration of ICIs into perioperative management, especially in combination with chemotherapy or ADCs, may enhance outcomes. ctDNA shows potential as a predictive and prognostic biomarker, guiding therapeutic decisions and surveillance. Future research should focus on refining patient selection, optimizing treatment sequencing, and validating ctDNA-guided strategies to personalize care while minimizing overtreatment. Full article
(This article belongs to the Section Oncology)
Show Figures

Figure 1

14 pages, 3600 KB  
Article
Performance of Large Language Models in Recognizing Brain MRI Sequences: A Comparative Analysis of ChatGPT-4o, Claude 4 Opus, and Gemini 2.5 Pro
by Ali Salbas and Rasit Eren Buyuktoka
Diagnostics 2025, 15(15), 1919; https://doi.org/10.3390/diagnostics15151919 - 30 Jul 2025
Cited by 2 | Viewed by 1814
Abstract
Background/Objectives: Multimodal large language models (LLMs) are increasingly used in radiology. However, their ability to recognize fundamental imaging features, including modality, anatomical region, imaging plane, contrast-enhancement status, and particularly specific magnetic resonance imaging (MRI) sequences, remains underexplored. This study aims to evaluate [...] Read more.
Background/Objectives: Multimodal large language models (LLMs) are increasingly used in radiology. However, their ability to recognize fundamental imaging features, including modality, anatomical region, imaging plane, contrast-enhancement status, and particularly specific magnetic resonance imaging (MRI) sequences, remains underexplored. This study aims to evaluate and compare the performance of three advanced multimodal LLMs (ChatGPT-4o, Claude 4 Opus, and Gemini 2.5 Pro) in classifying brain MRI sequences. Methods: A total of 130 brain MRI images from adult patients without pathological findings were used, representing 13 standard MRI series. Models were tested using zero-shot prompts for identifying modality, anatomical region, imaging plane, contrast-enhancement status, and MRI sequence. Accuracy was calculated, and differences among models were analyzed using Cochran’s Q test and McNemar test with Bonferroni correction. Results: ChatGPT-4o and Gemini 2.5 Pro achieved 100% accuracy in identifying the imaging plane and 98.46% in identifying contrast-enhancement status. MRI sequence classification accuracy was 97.7% for ChatGPT-4o, 93.1% for Gemini 2.5 Pro, and 73.1% for Claude 4 Opus (p < 0.001). The most frequent misclassifications involved fluid-attenuated inversion recovery (FLAIR) sequences, often misclassified as T1-weighted or diffusion-weighted sequences. Claude 4 Opus showed lower accuracy in susceptibility-weighted imaging (SWI) and apparent diffusion coefficient (ADC) sequences. Gemini 2.5 Pro exhibited occasional hallucinations, including irrelevant clinical details such as “hypoglycemia” and “Susac syndrome.” Conclusions: Multimodal LLMs demonstrate high accuracy in basic MRI recognition tasks but vary significantly in specific sequence classification tasks. Hallucinations emphasize caution in clinical use, underlining the need for validation, transparency, and expert oversight. Full article
(This article belongs to the Section Medical Imaging and Theranostics)
Show Figures

Figure 1

15 pages, 2248 KB  
Article
Effects of Treadmill Exercise on Gut Microbiota in Alzheimer’s Disease Model Mice and Wild-Type Mice
by Zhe Zhao, Xingqing Wu, Wenfeng Liu, Lan Zheng and Changfa Tang
Microorganisms 2025, 13(8), 1765; https://doi.org/10.3390/microorganisms13081765 - 29 Jul 2025
Viewed by 1016
Abstract
There is a growing body of research showing that Alzheimer’s disease (AD) is related to enteric dysbacteriosis. Exercise can be effective in alleviating AD, but the effects that exercise has on the gut microbiota in AD patients needs to be further studied. Through [...] Read more.
There is a growing body of research showing that Alzheimer’s disease (AD) is related to enteric dysbacteriosis. Exercise can be effective in alleviating AD, but the effects that exercise has on the gut microbiota in AD patients needs to be further studied. Through this study, we aimed to investigate the differences in the diversity of gut microorganisms between AD model mice and wild-type mice and the effect that treadmill exercise has on the composition of the gut microbiota in both types of mice. C57BL/6 wild-type mice were randomly divided into a sedentary control group (WTC) and an exercise group (WTE); APP/PS1 double transgenic mice were also randomly divided into a sedentary control group (ADC) and an exercise group (ADE). After the control group remained sedentary for 12 weeks and a 12-week treadmill exercise intervention was adopted for the exercise group, the rectal contents were collected so that they could undergo V3-V4 16S rDNA sequencing, and a comparative analysis of the microbial composition and diversity was also performed. The alpha diversity of the gut microbiota in AD mice was lower than that in wild-type mice, but exercise increased the gut microbial diversity in both types of mice. At the phylum level, the dominant microorganisms in all four groups of mice were Bacteroidetes and Firmicutes. There was an increase in the Bacteroidetes phylum in AD mice. Treadmill exercise reduced the abundance of Bacteroidetes in both groups of mice, whereas the abundance of Firmicutes increased. At the genus level, Muribaculaceae, the Lachnospiraceae_NK4A136_group, Alloprevotella, and Alistipes were in relatively high abundance. Muribaculaceae and Alloprevotella were in greater abundance in AD mice than in wild-type mice, but both decreased after treadmill exercise. Through performing linear discriminant analysis effect size (LEfSe), we found that the dominant strains in AD mice were Campilobacterota, Helicobacteraceae, Escherichia–Shigella, and other malignant bacteria, whereas exercise resulted in an increase in probiotics among the dominant strains in both types of mice. Although gut microbial diversity decreases and malignant bacteria increase in AD mice, treadmill exercise can increase gut microbial diversity and lead to the development of dominant strains of probiotics in both types of mice. These findings provide a basis for applying exercise as a treatment for AD. Full article
Show Figures

Figure 1

15 pages, 3635 KB  
Article
Comparison of Apparent Diffusion Coefficient Values on Diffusion-Weighted MRI for Differentiating Hepatocellular Carcinoma and Intrahepatic Cholangiocarcinoma
by Katrīna Marija Konošenoka, Nauris Zdanovskis, Aina Kratovska, Artūrs Šilovs and Veronika Zaiceva
Diagnostics 2025, 15(15), 1861; https://doi.org/10.3390/diagnostics15151861 - 24 Jul 2025
Viewed by 1412
Abstract
Background and Objectives: Accurate noninvasive differentiation between hepatocellular carcinoma (HCC) and intrahepatic cholangiocarcinoma (ICC) remains a clinical challenge. This study aimed to assess the dignostic performance of apparent diffusion coefficient (ADC) values from diffusion-weighted MRI in distinguishing between HCC and ICC, with [...] Read more.
Background and Objectives: Accurate noninvasive differentiation between hepatocellular carcinoma (HCC) and intrahepatic cholangiocarcinoma (ICC) remains a clinical challenge. This study aimed to assess the dignostic performance of apparent diffusion coefficient (ADC) values from diffusion-weighted MRI in distinguishing between HCC and ICC, with histological confirmation as the gold standard. Materials and Methods: A retrospective analysis was performed on 61 patients (41 HCC, 20 ICC) who underwent liver MRI and percutaneous biopsy between 2019 and 2024. ADC values were measured from diffusion-weighted sequences (b-values of 0, 500, and 1000 s/mm2), and regions of interest were placed over solid tumor areas. Statistical analyses included t-tests, one-way ANOVA, and ROC curve analysis. Results: Mean ADC values did not differ significantly between HCC (1.09 ± 0.19 × 10−3 mm2/s) and ICC (1.08 ± 0.11 × 10−3 mm2/s). ROC analysis showed poor discriminative ability (AUC = 0.520; p = 0.806). In HCC, ADC values decreased with lower differentiation grades (p = 0.008, η2 = 0.224). No significant trend was observed in ICC (p = 0.410, η2 = 0.100). Immunohistochemical markers such as CK-7, Glypican 3, and TTF-1 showed significant diagnostic value between tumor subtypes. Conclusions: ADC values have limited utility for distinguishing HCC from ICC but may aid in HCC grading. Immunohistochemistry remains essential for accurate diagnosis, especially in poorly differentiated tumors. Further studies with larger cohorts are recommended to improve noninvasive diagnostic protocols. Full article
(This article belongs to the Special Issue Diagnostic Imaging in Gastrointestinal and Liver Diseases)
Show Figures

Figure 1

19 pages, 748 KB  
Review
Management of MET-Driven Resistance to Osimertinib in EGFR-Mutant Non-Small Cell Lung Cancer
by Panagiotis Agisilaos Angelopoulos, Antonio Passaro, Ilaria Attili, Pamela Trillo Aliaga, Carla Corvaja, Gianluca Spitaleri, Elena Battaiotto, Ester Del Signore, Giuseppe Curigliano and Filippo de Marinis
Genes 2025, 16(7), 772; https://doi.org/10.3390/genes16070772 - 30 Jun 2025
Cited by 3 | Viewed by 4691
Abstract
Epidermal growth factor receptor (EGFR) mutations occur in approximately 10–20% of Caucasian and up to 50% of Asian patients with oncogene-addicted non-small cell lung cancer (NSCLC). Most frequently, alterations include exon 19 deletions and exon 21 L858R mutations, which confer sensitivity [...] Read more.
Epidermal growth factor receptor (EGFR) mutations occur in approximately 10–20% of Caucasian and up to 50% of Asian patients with oncogene-addicted non-small cell lung cancer (NSCLC). Most frequently, alterations include exon 19 deletions and exon 21 L858R mutations, which confer sensitivity to EGFR tyrosine kinase inhibitors (TKIs). In the last decade, the third-generation EGFR-TKI osimertinib has represented the first-line standard of care for EGFR-mutant NSCLC. However, the development of acquired mechanisms of resistance significantly impacts long-term outcomes and represents a major therapeutic challenge. The mesenchymal–epithelial transition (MET) gene amplification and MET protein overexpression have emerged as prominent EGFR-independent (off-target) resistance mechanisms, detected in approximately 25% of osimertinib-resistant NSCLC. Noteworthy, variability in diagnostic thresholds, which differ between fluorescence in situ hybridization (FISH) and next-generation sequencing (NGS) platforms, complicates its interpretation and clinical applicability. To address MET-driven resistance, several therapeutic strategies have been explored, including MET-TKIs, antibody–drug conjugates (ADCs), and bispecific monoclonal antibodies, and dual EGFR/MET inhibition has emerged as the most promising strategy. In this context, the bispecific EGFR/MET antibody amivantamab has demonstrated encouraging efficacy, regardless of MET alterations. Furthermore, the combination of the ADC telisotuzumab vedotin and osimertinib has been associated with activity in EGFR-mutant, c-MET protein-overexpressing, osimertinib-resistant NSCLC. Of note, several novel agents and combinations are currently under clinical development. The success of these targeted approaches relies on tissue re-biopsy at progression and accurate molecular profiling. Yet, tumor heterogeneity and procedural limitations may challenge the feasibility of re-biopsy, making biomarker-agnostic strategies viable alternatives. Full article
(This article belongs to the Section Human Genomics and Genetic Diseases)
Show Figures

Figure 1

18 pages, 490 KB  
Article
Final-Year Dental Students’ Perceived Confidence: Competencies in General Dentistry
by Navodika Yaparathna, Iresha Udayamalee, Megan Gray, Cheree He, Rachel Wu, Chelsea Taing and Menaka Abuzar
Dent. J. 2025, 13(6), 268; https://doi.org/10.3390/dj13060268 - 16 Jun 2025
Viewed by 1281
Abstract
Background: Competency in providing high-quality, comprehensive patient care is essential for newly qualified dentists. Dental curricula are designed to equip graduates with necessary skills to develop competencies. Outplacement training has been incorporated into most dental curricula to provide broader clinical experience in a [...] Read more.
Background: Competency in providing high-quality, comprehensive patient care is essential for newly qualified dentists. Dental curricula are designed to equip graduates with necessary skills to develop competencies. Outplacement training has been incorporated into most dental curricula to provide broader clinical experience in a real-world situation. Methods: This cross-sectional study aimed to assess (1) the perceived confidence of final-year dental students (FYDSs) at an Australian university with reference to the Australian Dental Council (ADC) professional competencies for newly qualified dentists; (2) the association between perceived confidence and the timing of outplacement training; and (3) students’ perceptions on outplacement training in developing their competencies. Two online surveys were administered to a cohort of FYDSs at the end of the first and second trimesters. ‘Survey 1’ was based on the ADC competency requirements (2022) and assessed aims 1 and 2. The five domains assessed were (1) communication and leadership; (2) critical thinking; (3) health promotion; (4) scientific and clinical knowledge; and (5) person-centred care. ‘Survey 2’ assessed students’ perception on outplacement training and was administered towards the completion of their outplacement to assess aim 3. Results: Students’ perceived competency levels were high across all domains. Those with prior tertiary education were more confident in communication and leadership, health promotion, and scientific and clinical knowledge than students with secondary qualifications. The perceived confidence in professional competencies among FYDSs had no significant association (p > 0.05) with the location or the sequence of outplacement. The thematic analysis of survey 2 responses reported the guidance and constructive feedback received from supervisors while managing cases in a real-life setup as a significant contributor to their confidence development. Conclusions: FYDSs reported a satisfactory level of perceived confidence in professional competencies. Both in-house training and outplacement equally improve the levels of competency development. FYDSs perceive outplacement training as a positive integral component in the development of skills. Full article
(This article belongs to the Special Issue Dental Education: Innovation and Challenge)
Show Figures

Figure 1

Back to TopTop