MRI of the Scrotum and Penis: Current Applications and Clinical Relevance
Abstract
1. Introduction
1.1. Materials and Methods
- Peer-reviewed original clinical studies,
- Meta-analyses and systematic reviews,
- Guidelines or expert consensus statements, particularly from the European Society of Urogenital Radiology (ESUR) and the European Association of Urology (EAU),
- High-quality pictorial reviews and technical imaging discussions.
1.2. Imaging Technique
2. Normal Anatomy
2.1. Penis
2.2. Scrotum
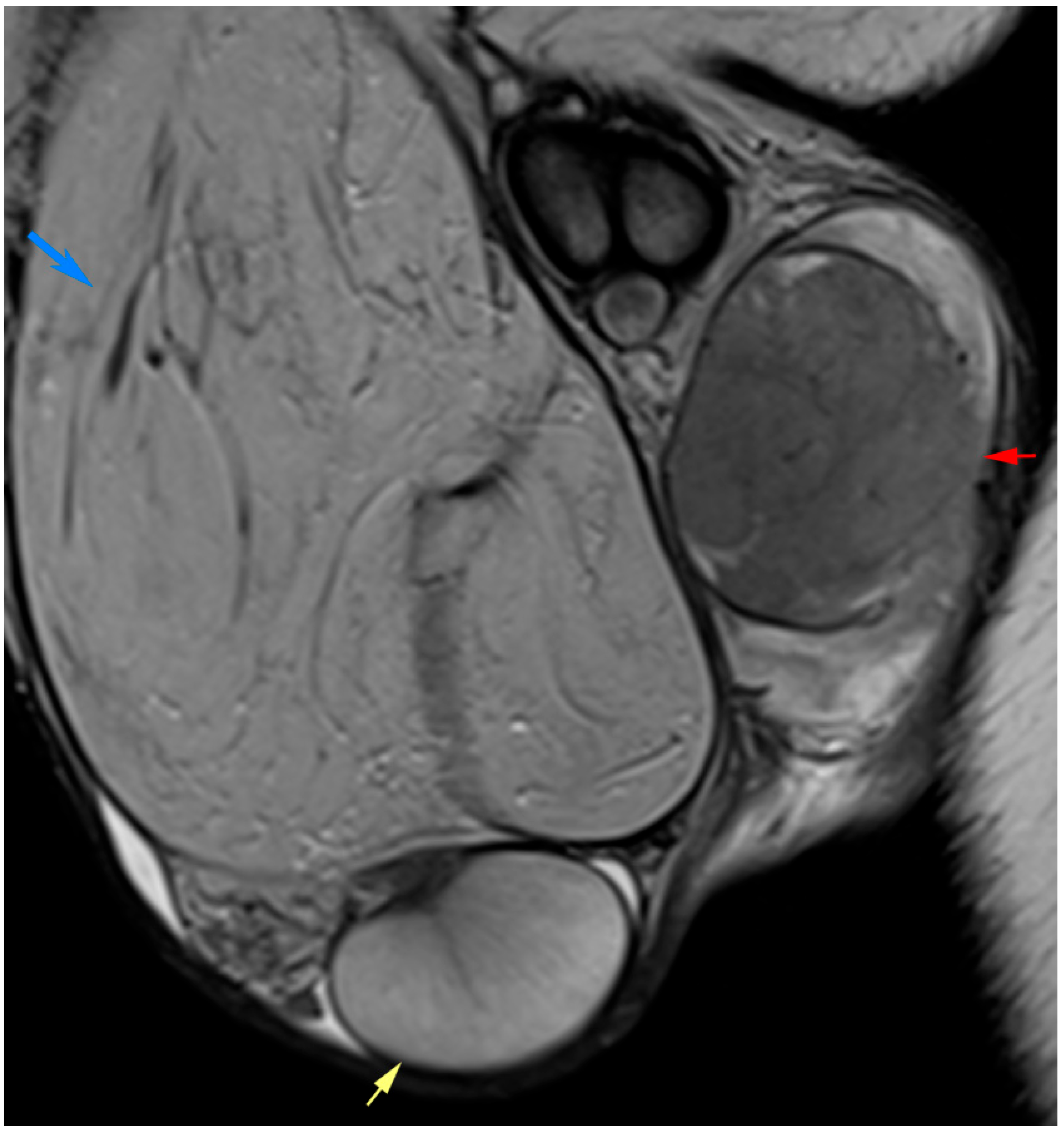
3. Scrotal Pathology
3.1. Torsion and Trauma
3.2. Inflammation and Infection
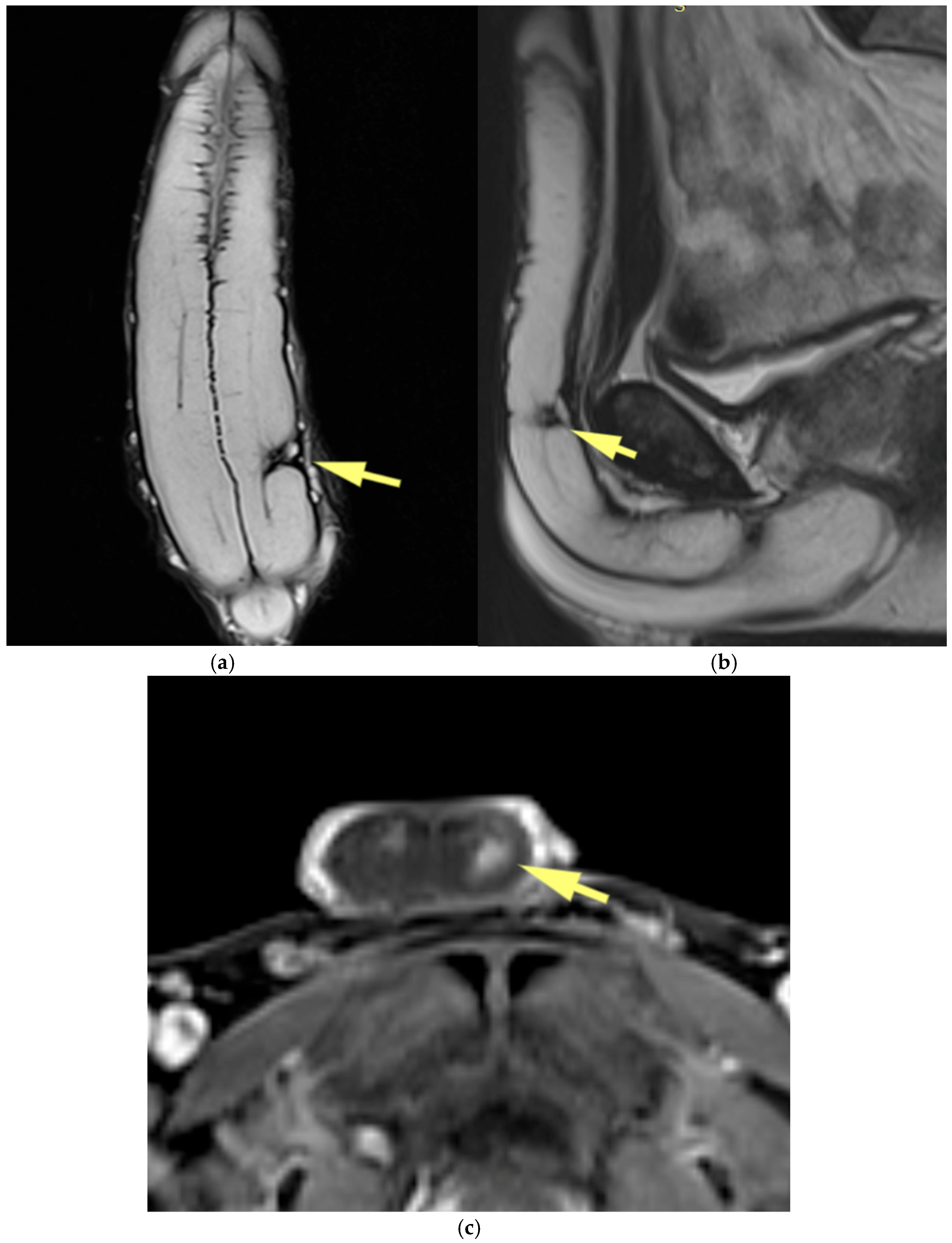
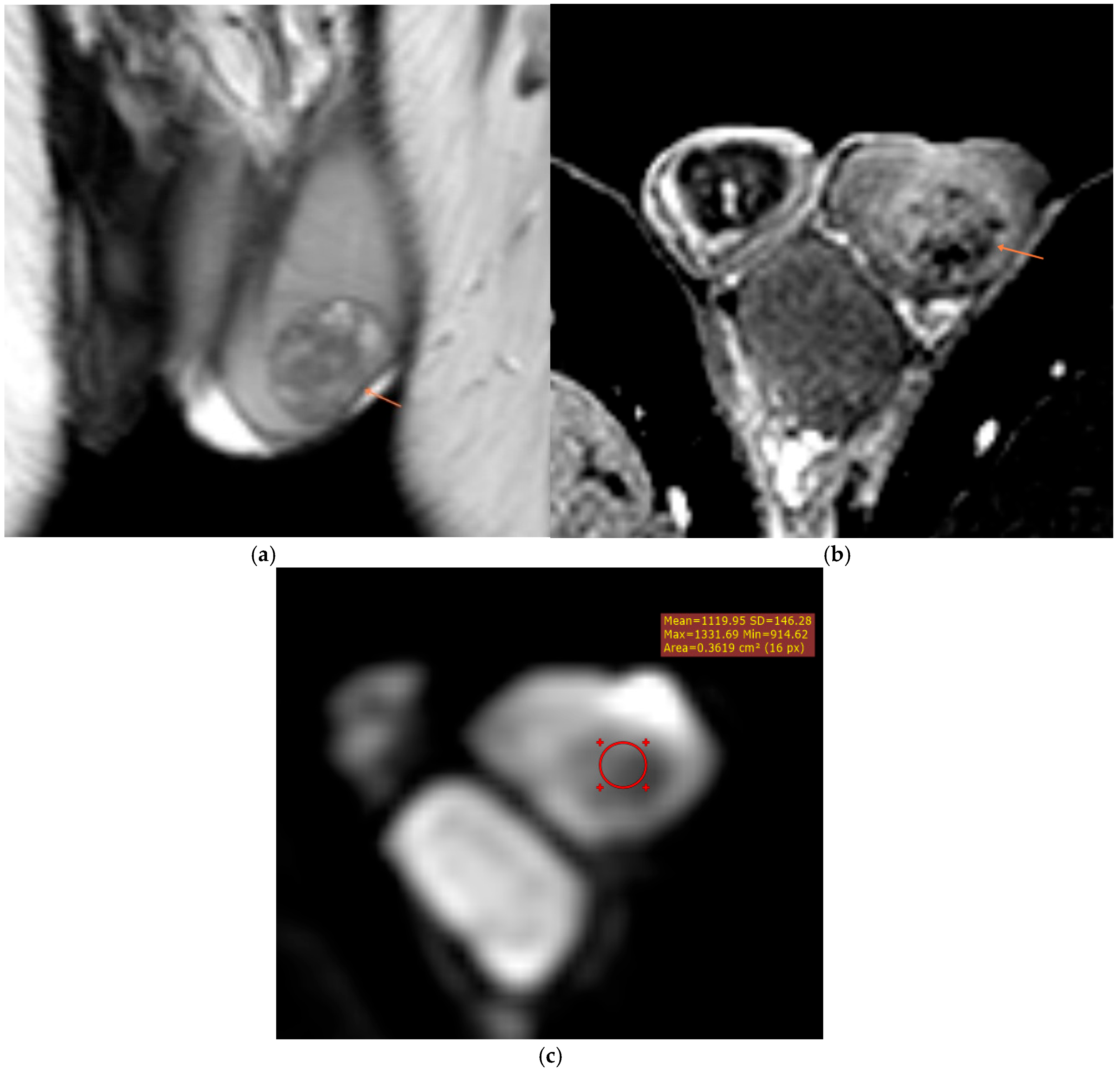
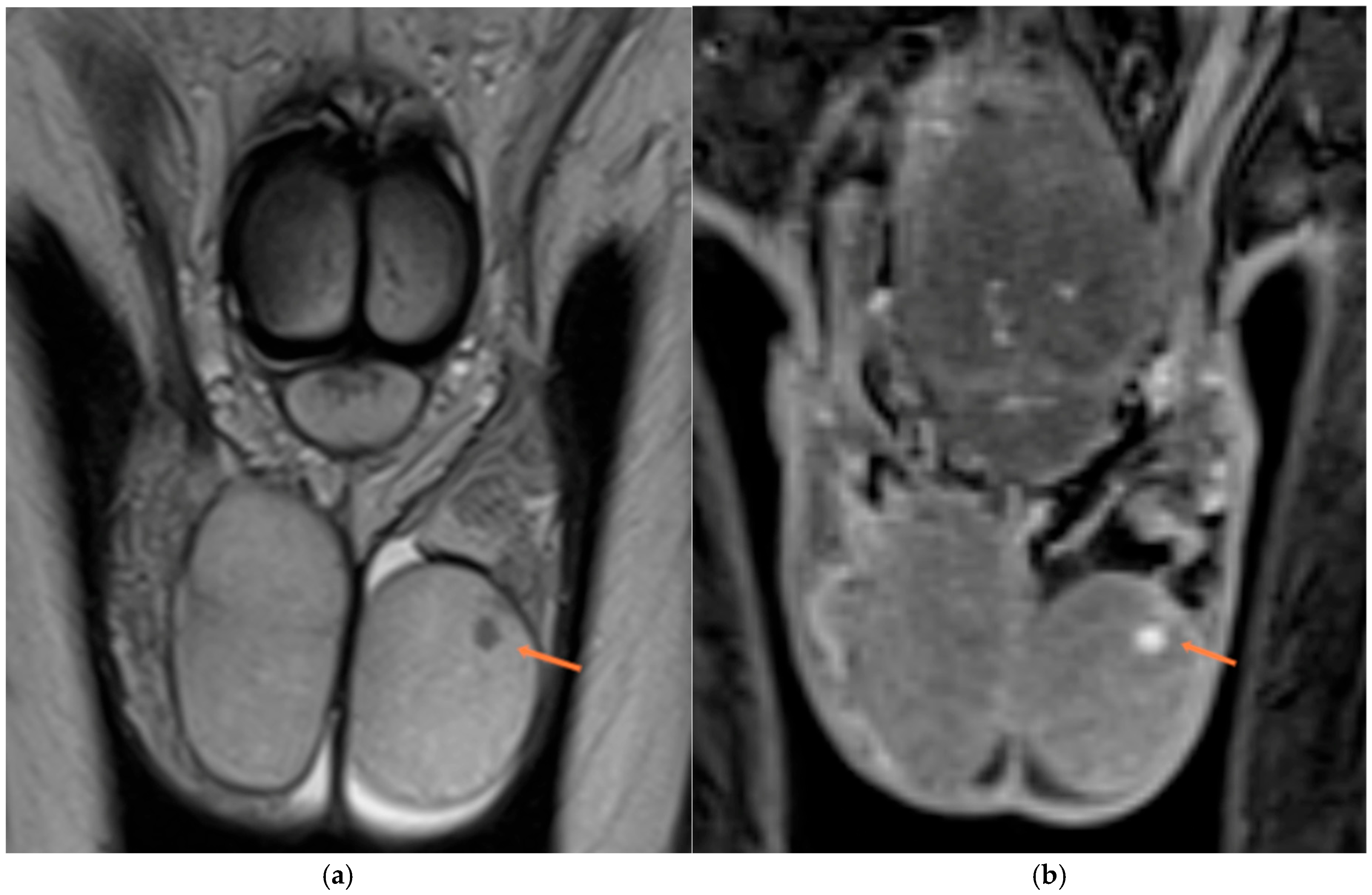
3.3. Scrotal Masses
3.3.1. Intratesticular Masses
3.3.2. Paratesticular and Extratesticular Masses
3.4. Infertility
4. Penile Pathology
4.1. Penile Neoplasms
4.2. Penile Trauma
4.3. Priapism
4.4. Peyronie’s Disease
4.5. Penile Prostheses
5. Discussion
6. Conclusions
Author Contributions
Funding
Institutional Review Board Statement
Informed Consent Statement
Data Availability Statement
Acknowledgments
Conflicts of Interest
Abbreviations
| ADC | Apparent Diffusion Coefficient |
| AJCC | American Joint Committee on Cancer |
| AUA | American Urological Association |
| BCD | Bell Clapper Deformity |
| Cho | Choline |
| Cr | Creatine |
| DCE | Dynamic Contrast-Enhanced |
| DTI | Diffusion Tensor Imaging |
| DWI | Diffusion-Weighted Imaging |
| EAU | European Association of Urology |
| ESUR | European Society of Urogenital Radiology |
| FA | Fractional Anisotropy |
| FOV | Field of View |
| GCT | Germ Cell Tumor |
| LCT | Leydig Cell Tumor |
| MRS | Magnetic Resonance Spectroscopy |
| MRI | Magnetic Resonance Imaging |
| mpMRI | Multiparametric Magnetic Resonance Imaging |
| MTR | Magnetization Transfer Ratio |
| NOA | Non-Obstructive Azoospermia |
| NSGCT | Nonseminomatous Germ Cell Tumor |
| OA | Obstructive Azoospermia |
| ppm | Parts per Million |
| SCOS | Sertoli Cell-Only Syndrome |
| SCC | Squamous Cell Carcinoma |
| SCST | Sex Cord-Stromal Tumor |
| TESE | Testicular Sperm Extraction |
| TGCT | Testicular Germ Cell Tumor |
| TSE | Turbo Spin Echo |
| US | Ultrasonography |
References
- Tsili, A.C.; Sofikitis, N.; Pappa, O.; Bougia, C.K.; Argyropoulou, M.I. An overview of the role of multiparametric MRI in the investigation of testicular tumors. Cancers 2022, 14, 3912. [Google Scholar] [CrossRef]
- Altun, E. MR imaging of the penis and urethra. Magn. Reson. Imaging Clin. N. Am. 2019, 27, 139–150. [Google Scholar] [CrossRef]
- Parker, R.A.; Menias, C.O.; Quazi, R.; Hara, A.K.; Verma, S.; Shaaban, A.; Siegel, C.L.; Radmanesh, A.; Sandrasegaran, K. MR imaging of the penis and scrotum. Radiographics 2015, 35, 1033–1050. [Google Scholar] [CrossRef]
- Kumar, S.; Mehta, P.M.; Chaudhary, R.K.; Nepal, P.; Kumar, D.; Tirumani, S.H.; Ojili, V. MR imaging of the penis: What a radiologist needs to know! Abdom. Radiol. 2024, 50, 1790–1810. [Google Scholar] [CrossRef]
- Tsili, A.C.; Argyropoulou, M.I.; Dolciami, M.; Ercolani, G.; Catalano, C.; Manganaro, L. When to ask for an MRI of the scrotum. Andrology 2021, 9, 1395–1409. [Google Scholar] [CrossRef] [PubMed]
- Rajamohan, N.; Kapoor, H.; Khurana, A.; Nelson, L.; Ganesh, H.S.; Khatri, G.; Nair, R.T. MR imaging of penile pathology and prostheses. Abdom. Radiol. 2025, 50, 305–318. [Google Scholar] [CrossRef] [PubMed]
- Edo, H.; Yagi, F.; Mizuno, M.; Okada, M.; Hyoe, E.; Ozaki, I.; Akita, H.; Jinzaki, M.; Shinmoto, H. Extratesticular masses focusing on MRI findings. Jpn. J. Radiol. 2024, 42, 1087–1099. [Google Scholar] [CrossRef] [PubMed]
- Mittal, P.K.; Abdalla, A.S.; Chatterjee, A.; Baumgarten, D.A.; Harri, P.A.; Patel, J.; Moreno, C.C.; Gabriel, H.; Miller, F.H. Spectrum of extratesticular and testicular pathologic conditions at scrotal MR imaging. Radiographics 2018, 38, 806–830. [Google Scholar] [CrossRef] [PubMed]
- Suh, C.H.; Baheti, A.D.; Tirumani, S.H.; Rosenthal, M.H.; Kim, K.W.; Ramaiya, N.H.; Shinagare, A.B. Multimodality imaging of penile cancer: What radiologists need to know. Abdom. Imaging 2015, 40, 424–435. [Google Scholar] [CrossRef]
- Tsili, A.C.; Pasoglou, V.; Xiropotamou, O.; Sofikitis, N.; Argyropoulou, M.I. MRI fingerprints in testes of infertile men with clinical varicocoele: A narrative review. Andrology 2025, 13, 2054–2067. [Google Scholar] [CrossRef]
- Yang, B.; Zhou, R.; Wang, X.; Li, Y.; Wang, P.; Hao, Y.; Li, W.; Zhang, L.; Su, W.; Qin, J.; et al. Magnetic resonance imaging features of epididymal and/or testicular tuberculosis: A case series. BMC Med. Imaging 2025, 25, 157. [Google Scholar] [CrossRef]
- Abualruz, A.R.; O’Malley, R.; Ponnatapura, J.; Holbert, B.L.; Whitworth, P.; Tappouni, R.; Lalwani, N. MRI of common penile pathologies and penile prostheses. Abdom. Radiol. 2020, 45, 2825–2839. [Google Scholar] [CrossRef] [PubMed]
- Krishna, S.; Shanbhogue, K.; Schieda, N.; Morbeck, F.; Hadas, B.; Kulkarni, G.; McInnes, M.D.; Baroni, R.H. Role of MRI in staging of penile cancer. J. Magn. Reson. Imaging 2020, 51, 1612–1629. [Google Scholar] [CrossRef]
- Kirkham, A. MRI of the penis. Br. J. Radiol. 2012, 85, S86–S93. [Google Scholar] [CrossRef]
- Mathur, M.; Mills, I.; Spektor, M. Magnetic resonance imaging of the scrotum: Pictorial review with ultrasound correlation. Abdom. Radiol. 2017, 42, 1929–1955. [Google Scholar] [CrossRef]
- Parenti, G.C.; Feletti, F.; Carnevale, A.; Uccelli, L.; Giganti, M. Imaging of the scrotum: Beyond sonography. Insights Imaging 2018, 9, 137–148. [Google Scholar] [CrossRef] [PubMed]
- George, A.O.; Olalekan, A.; Omiko, R.; Al Saqer, L.; Ilokhor, O.K.; Ikechukwu, P.; Lee, M.; Nassar, A. Trends in the Management of Testicular Torsion: A Scoping Review of Delays and Outcomes. Cureus 2025, 17, e92624. [Google Scholar] [CrossRef] [PubMed]
- European Association of Urology. EAU Guidelines. In Proceedings of the EAU Annual Congress, Madrid, Spain, 21–24 March 2025; EAU Guidelines Office: Arnhem, The Netherlands, 2025. ISBN 978-94-92671-29-5. [Google Scholar]
- Gotto, G.T.; Chang, S.D.; Nigro, M.K. MRI in the Diagnosis of Incomplete Testicular Torsion. Br. J. Radiol. 2010, 83, 957–960. [Google Scholar] [CrossRef]
- Watanabe, Y.; Nagayama, M.; Okumura, A.; Amoh, Y.; Suga, T.; Terai, A.; Dodo, Y. MR imaging of testicular torsion: Features of testicular hemorrhagic necrosis and clinical outcomes. J. Magn. Reson. Imaging 2007, 26, 100–108. [Google Scholar] [CrossRef]
- Terai, A.; Yoshimura, K.; Ichioka, K.; Ueda, N.; Utsunomiya, N.; Kohei, N.; Arai, Y.; Watanabe, Y. Dynamic contrast-enhanced subtraction magnetic resonance imaging in diagnostics of testicular torsion. Urology 2006, 67, 1278–1282. [Google Scholar] [CrossRef]
- Tokuda, B.; Yamada, K. The split sign: The MRI equivalent of the bell clapper deformity. Br. J. Radiol. 2019, 92, 20180312. [Google Scholar] [CrossRef]
- Avery, L.L.; Scheinfeld, M.H. Imaging of penile and scrotal emergencies. Radiographics 2013, 33, 721–740. [Google Scholar] [CrossRef]
- Ramanathan, S.; Bertolotto, M.; Freeman, S.; Belfield, J.; Derchi, L.E.; Huang, D.Y.; Lotti, F.; Markiet, K.; Nikolic, O.; Ramchandani, P.; et al. Imaging in scrotal trauma: A European Society of Urogenital Radiology Scrotal and Penile Imaging Working Group (ESUR-SPIWG) position statement. Eur. Radiol. 2021, 31, 4918–4928. [Google Scholar] [CrossRef]
- Wang, Z.; Yang, J.R.; Huang, Y.M.; Wang, L.; Liu, L.-F.; Wei, Y.-B.; Huang, L.; Zhu, Q.; Zeng, M.-Q.; Tang, Z.-Y. Diagnosis and management of testicular rupture after blunt scrotal trauma: A literature review. Int. Urol. Nephrol. 2016, 48, 1967–1976. [Google Scholar] [CrossRef] [PubMed]
- Ernst, S.; Saar, M.; Brenneis, H.; Kubale, R.; Ueberdiek, S.; Ohlmann, C.-H.; Stoeckle, M.; Heinzelbecker, J. Segmental testicular infarction: Case series and literature review of a rare diagnosis in men with acute testicular pain. Urol. Int. 2018, 101, 114–116. [Google Scholar] [CrossRef] [PubMed]
- Tsili, A.C.; Argyropoulou, M.I.; Giannakis, D.; Sofikitis, N.; Tsampoulas, K. MRI in the characterization and local staging of testicular neoplasms. Am. J. Roentgenol. 2010, 194, 682–689. [Google Scholar] [CrossRef]
- Sumisławski, P.; Kołecki, J.; Piotrowska, M.; Kotowski, M.; Szemitko, M.; Sieńko, J. Utility of diagnostic imaging in the early detection and management of Fournier gangrene. Diagnostics 2022, 12, 2320. [Google Scholar] [CrossRef]
- Chavarriaga, J.; Nappi, L.; Papachristofilou, A.; Conduit, C.; Hamilton, R.J. Testicular Cancer. Lancet 2025, 406, 76–90. [Google Scholar] [CrossRef] [PubMed]
- Singla, N.; Bagrodia, A.; Baraban, E.; Fankhauser, C.D.; Ged, Y.M.A. Testicular Germ Cell Tumors. JAMA 2025, 333, 793–794. [Google Scholar] [CrossRef]
- Tsili, A.C.; Bertolotto, M.; Turgut, A.T.; Dogra, V.; Freeman, S.; Rocher, L.; Belfield, J.; Studniarek, M.; Ntorkou, A.; Derchi, L.E.; et al. MRI of the scrotum: Recommendations of the ESUR Scrotal and Penile Imaging Working Group. Eur. Radiol. 2018, 28, 31–43. [Google Scholar] [CrossRef]
- Cassidy, F.H.; Ishioka, K.M.; McMahon, C.J.; Chu, P.; Sakamoto, K.; Lee, K.S.; Aganovic, L. MR imaging of scrotal tumors and pseudotumors. Radiographics 2010, 30, 665–683. [Google Scholar] [CrossRef]
- Deininger, S.; Lusuardi, L.; Pallauf, M.; Hecht, S.; Forstner, R.; Meissnitzer, M.; Distler, F.A.; Erne, E.; Graf, S.; Lenart, S.; et al. The diagnostic value of the added MR imaging of the scrotum in the preoperative workup of sonographically indeterminate testicular lesions-A retrospective multicenter analysis. Cancers 2022, 14, 3594. [Google Scholar] [CrossRef]
- Pozza, C.; Tenuta, M.; Sesti, F.; Bertolotto, M.; Huang, D.Y.; Sidhu, P.S.; Maggi, M.; Isidori, A.M.; Lotti, F. Multiparametric ultrasound for diagnosing testicular lesions: Everything you need to know in daily clinical practice. Cancers 2023, 15, 5332. [Google Scholar] [CrossRef]
- Tsili, A.C.; Sofikitis, N.; Stiliara, E.; Argyropoulou, M.I. MRI of testicular malignancies. Abdom. Radiol. 2019, 44, 1070–1082. [Google Scholar] [CrossRef]
- Minh, N.D.; Hung, N.D.; Tuan, T.A.; Hien, M.M.; Tuan, H.X.; Duc, N.M. Apparent diffusion coefficient histogram in the differentiation of benign and malignant testicular tumors. Int. J. Med. Sci. 2024, 21, 200–206. [Google Scholar] [CrossRef]
- Törzsök, P.; Deininger, S.; Abenhardt, M.; Oswald, D.; Lusuardi, L.; Deininger, C.; Forstner, R.; Meissnitzer, M.; Brandtner, H.; Hecht, S. Discriminating malignant from benign testicular masses using multiparametric magnetic resonance imaging—A prospective single-center study. J. Clin. Med. 2024, 13, 4390. [Google Scholar] [CrossRef]
- Studniarek, M.; Skrobisz-Balandowska, K.; Modzelewska, E. Diagnostyka obrazowa jąder. J. Ultrason. 2015, 15, 245–258. [Google Scholar] [CrossRef]
- AlGhamdi, M.; AlYami, M.; Faqeeh, S.; AlKubeyyer, B.; AlShabyli, N.; AlAyed, A. Beyond germ cell tumors, unusual testicular and extra-testicular masses and mass-like lesions: MRI and US pictorial review. Clin. Imaging 2021, 74, 106–122. [Google Scholar] [CrossRef]
- Tsili, A.C.; Sylakos, A.; Ntorkou, A.; Stavrou, S.; Astrakas, L.G.; Sofikitis, N.; Argyropoulou, M.I. Apparent diffusion coefficient values and dynamic contrast enhancement patterns in differentiating seminomas from nonseminomatous testicular neoplasms. Eur. J. Radiol. 2015, 84, 1219–1226. [Google Scholar] [CrossRef]
- Maxwell, F.; Savignac, A.; Bekdache, O.; Calvez, S.; Lebacle, C.; Arama, E.; Garrouche, N.; Rocher, L. Leydig cell tumors of the testis: An update of the imaging characteristics of a not so rare lesion. Cancers 2022, 14, 3652. [Google Scholar] [CrossRef]
- Feliciani, G.; Mellini, L.; Carnevale, A.; Sarnelli, A.; Menghi, E.; Piccinini, F.; Scarpi, E.; Loi, E.; Galeotti, R.; Giganti, M.; et al. The Potential Role of MR-Based Radiomic Biomarkers in the Characterization of Focal Testicular Lesions. Sci. Rep. 2021, 11, 3456. [Google Scholar] [CrossRef]
- Jian, Y.; Yang, S.; Liu, R.; Tan, X.; Zhao, Q.; Wu, J.; Chen, Y. Radiomics Analysis of Different Machine Learning Models Based on Multiparametric MRI to Identify Benign and Malignant Testicular Lesions. Acad. Radiol. 2025, 32, 4061–4081. [Google Scholar] [CrossRef]
- Christodoulou, M.-V.; Pappa, O.; Astrakas, L.; Lampri, E.; Paliouras, T.; Sofikitis, N.; Argyropoulou, M.I.; Tsili, A.C. Radiomics-Based Detection of Germ Cell Neoplasia In Situ Using Volumetric ADC and FA Histogram Features: A Retrospective Study. Cancers 2025, 17, 3220. [Google Scholar] [CrossRef]
- Feng, Y.; Feng, Z.; Wang, L.; Lv, W.; Liu, Z.; Min, X.; Li, J.; Zhang, J. Comparison and Analysis of Multiple Machine Learning Models for Discriminating Benign and Malignant Testicular Lesions Based on Magnetic Resonance Imaging Radiomics. Front. Med. 2023, 10, 1279622. [Google Scholar] [CrossRef]
- Lachkar, S.; El Ghazzaly, A.; Mrabti, M.; Louardi, N.; Alami, M.; Ameur, A. Testicular epidermoid cyst: A rare entity-Case report. Int. J. Surg. Case Rep. 2024, 123, 110308. [Google Scholar] [CrossRef]
- Nicola, R.; Menias, C.O.; Dahiya, N.; Robinson, K.; Hara, A.K.; Siegel, C.L. Review of paratesticular pathology: Findings on ultrasound and MRI. Abdom. Radiol. 2017, 42, 585–601. [Google Scholar] [CrossRef]
- Moreno, C.C.; Small, W.C.; Camacho, J.C.; Master, V.; Kokabi, N.; Lewis, M.; Hartman, M.; Mittal, P.K. Testicular tumors: What radiologists need to know-Differential diagnosis, staging, and management. Radiographics 2015, 35, 400–415. [Google Scholar] [CrossRef]
- Sharbidre, K.G.; Lockhart, M.E. Imaging of scrotal masses. Abdom. Radiol. 2020, 45, 2087–2108. [Google Scholar] [CrossRef]
- Akbar, S.A.; Sayyed, T.A.; Jafri, S.Z.H.; Hasteh, F.; Neill, J.S.A. Multimodality imaging of paratesticular neoplasms and their rare mimics. Radiographics 2003, 23, 1461–1476. [Google Scholar] [CrossRef]
- Schlegel, P.N.; Sigman, M.; Collura, B.; De Jonge, C.J.; Eisenberg, M.L.; Lamb, D.J.; Mulhall, J.P.; Niederberger, C.; Sandlow, J.I.; Sokol, R.Z.; et al. Diagnosis and Treatment of Infertility in Men: AUA/ASRM Guideline Part I. Fertil. Steril. 2021, 115, 54–61. [Google Scholar] [CrossRef]
- Brannigan, R.E.; Hermanson, L.; Kaczmarek, J.; Kim, S.K.; Kirkby, E.; Tanrikut, C. Updates to Male Infertility: AUA/ASRM Guideline (2024). J. Urol. 2024, 212, 789–799. [Google Scholar] [CrossRef]
- Wosnitzer, M.; Goldstein, M.; Hardy, M.P. Review of azoospermia. Spermatogenesis 2014, 4, e28218. [Google Scholar] [CrossRef]
- Regent, B.; Skrobisz, K.; Kozak, O.; Matuszewski, M.; Studniarek, M. MRI in the evaluation of the azoospermic male. Diagn. Interv. Radiol. 2020, 26, 271–276. [Google Scholar] [CrossRef]
- Ntorkou, A.; Tsili, A.C.; Goussia, A.; Astrakas, L.G.; Maliakas, V.; Sofikitis, N.; Argyropoulou, M.I. Testicular apparent diffusion coefficient and magnetization transfer ratio: Can these MRI parameters be used to predict successful sperm retrieval in nonobstructive azoospermia? Am. J. Roentgenol. 2019, 213, 610–618. [Google Scholar] [CrossRef]
- Tsili, A.C.; Astrakas, L.G.; Goussia, A.C.; Sofikitis, N.; Argyropoulou, M.I. Volumetric apparent diffusion coefficient histogram analysis of the testes in nonobstructive azoospermia: A noninvasive fingerprint of impaired spermatogenesis? Eur. Radiol. 2022, 32, 7522–7531. [Google Scholar] [CrossRef]
- Tsili, A.C.; Ntorkou, A.; Goussia, A.; Astrakas, L.; Panopoulou, E.; Sofikitis, N.; Argyropoulou, M.I. Diffusion tensor imaging parameters in testes with nonobstructive azoospermia. J. Magn. Reson. Imaging 2018, 48, 1318–1325. [Google Scholar] [CrossRef]
- Çelik, Ö.; Hatırnaz, Ş.; Erşahin, A.; Başbuğ, A.; Yıldırım, G.Y.; Özener, V.; Gürpınar, N.; Çelik, S.; Çelik, N.; Küçük, T.; et al. Testis spectroscopy may predict sperm retrieval rate in men with non-obstructive azoospermia undergoing micro-TESE: A pilot study. J. Turk. Ger. Gynecol. Assoc. 2020, 21, 70–78. [Google Scholar] [CrossRef]
- Lotti, F.; Studniarek, M.; Balasa, C.; Belfield, J.; De Visschere, P.; Freeman, S.; Kozak, O.; Markiet, K.; Ramanathan, S.; Richenberg, J.; et al. The role of the radiologist in the evaluation of male infertility: Recommendations of the European Society of Urogenital Radiology-Scrotal and Penile Imaging Working Group (ESUR-SPIWG) for scrotal imaging. Eur. Radiol. 2024, 35, 752–766. [Google Scholar] [CrossRef]
- Brouwer, O.R.; Albersen, M.; Parnham, A.; Protzel, C.; Pettaway, C.A.; Ayres, B.; Antunes-Lopes, T.; Barreto, L.; Campi, R.; Crook, J.; et al. European Association of Urology–American Society of Clinical Oncology collaborative guideline on penile cancer: 2023 update. Eur. Urol. 2023, 83, 548–560. [Google Scholar] [CrossRef]
- Hanchanale, V.; Yeo, L.; Subedi, N.; Smith, J.; Wah, T.; Harnden, P.; Bhattarai, S.; Chilka, S.; Eardley, I. The accuracy of magnetic resonance imaging in predicting the invasion of the tunica albuginea and the urethra during the primary staging of penile cancer. BJU Int. 2016, 117, 439–443. [Google Scholar] [CrossRef]
- Iqbal, M.; Shendy, M.; McClune, A.; Mohamed, W.; Shanahan, A.; Palaniappan, B.; Brown, G. Does MRI have a role in the preoperative staging of penile cancer? Cureus 2024, 16, e56016. [Google Scholar] [CrossRef]
- Switlyk, M.D.; Hopland, A.; Sivanesan, S.; Brennhovd, B.; Ottosson, F.; Berner, K.; Axcrona, U.; Hole, K.H. Multiparametric MRI without artificial erection for preoperative assessment of primary penile carcinoma: A pilot study on the correlation between imaging and histopathological findings. Eur. J. Radiol. Open 2023, 10, 100478. [Google Scholar] [CrossRef]
- Krishna, S.; Schieda, N.; Kulkarni, G.S.; Shanbhogue, K.; Baroni, R.H.; Woo, S. Diagnostic accuracy of MRI in local staging (T category) of penile cancer and the value of artificial erection: A systematic review and meta-analysis. Am. J. Roentgenol. 2022, 219, 28–36. [Google Scholar] [CrossRef]
- Kakoti, S.; Sureka, S.K.; Pathak, A.; Shah, U.S.; Mishra, N.; Kumar, K.M.P.; Srivastava, A.; Singh, U.P. Comparing T2–T3 staging of penile cancer according to the American Joint Committee on Cancer 8th edition with two modified staging systems in predicting survival outcome: A single-center experience. Indian J. Urol. 2023, 39, 53–57. [Google Scholar] [CrossRef]
- Wang, H.; Ananthapadmanabhan, S.; Saad, J.; Combes, A.; Spencer, J.; Nalavenkata, S.; Dhar, A. The role of magnetic resonance imaging in penile fracture management-A systematic review. Société Int. D’urologie J. 2025, 6, 29. [Google Scholar] [CrossRef]
- Guler, I.; Ödev, K.; Kalkan, H.; Simsek, C.; Keskin, S.; Kilinç, M. The value of magnetic resonance imaging in the diagnosis of penile fracture. Int. Braz. J. Urol. 2015, 41, 325–328. [Google Scholar] [CrossRef]
- Ralph, D.J.; Borley, N.C.; Allen, C.; Kirkham, A.; Freeman, A.; Minhas, S.; Muneer, A. The use of high-resolution magnetic resonance imaging in the management of patients presenting with priapism. BJU Int. 2010, 106, 1714–1718. [Google Scholar] [CrossRef]
- von Stempel, C.; Walkden, M.; Kirkham, A. Review of the role of imaging in the diagnosis of priapism. Int. J. Impot. Res. 2024. [Google Scholar] [CrossRef]
- Parmar, M.; Masterson, J.M.; Masterson, T.A. The role of imaging in the diagnosis and management of Peyronie’s disease. Curr. Opin. Urol. 2020, 30, 283–289. [Google Scholar] [CrossRef]
- Hauck, E.W.; Hackstein, N.; Vosshenrich, R.; Diemer, T.; Schmelz, H.U.; Bschleipfer, T.; Schroeder-Printzen, I.; Weidner, W.; Perovic, S.V.; Moncada, I. Diagnostic value of magnetic resonance imaging in Peyronie’s disease: A comparison both with palpation and ultrasound in the evaluation of plaque formation. Eur. Urol. 2003, 43, 293–300. [Google Scholar] [CrossRef]
- Almeida, J.L.; Felício, J.; Martins, F.E. Surgical planning and strategies for Peyronie’s disease. Sex. Med. Rev. 2021, 9, 478–487. [Google Scholar] [CrossRef]
- Stuntz, M.; Perlaky, A.; des Vignes, F.; Kyriakides, T.; Glass, D. The prevalence of Peyronie’s disease in the United States: A population-based study. PLoS ONE 2016, 11, e0150157. [Google Scholar] [CrossRef]
- Kirkham, A.P.S.; Illing, R.O.; Minhas, S.; Allen, C. MR imaging of nonmalignant penile lesions. Radiographics 2008, 28, 837–853. [Google Scholar] [CrossRef]
- Ramanathan, S.; Bertolotto, M.; Shamsodini, A.; Heidous, M.; Dogra, V.; Ramchandani, P. Comprehensive multimodality imaging review of complications of penile prostheses. Am. J. Roentgenol. 2018, 210, 1200–1207. [Google Scholar] [CrossRef]
- Trost, L.; Wanzek, P.; Bailey, G. A practical overview of considerations for penile prosthesis placement. Nat. Rev. Urol. 2016, 13, 33–46. [Google Scholar] [CrossRef]
- Lindquist, C.M.; Nikolaidis, P.; Mittal, P.K.; Miller, F.H. MRI of the penis. Abdom. Radiol. 2020, 45, 2001–2017. [Google Scholar] [CrossRef]
- Chou, H.L.; Mohsen, N.A.; Garber, B.B.; Feldstein, D.C. CT imaging of inflatable penile prosthesis complications: A pictorial essay. Abdom. Radiol. 2019, 44, 739–748. [Google Scholar] [CrossRef]
- Gerena, M.; Allen, B.C.; Turkbey, B.; Barker, S.J.; Costa, D.N.; Flink, C.; Meyers, M.L.; Ramasamy, R.; Rosario, J.; Sharma, A.; et al. ACR Appropriateness Criteria® Acute Onset of Scrotal Pain—Without Trauma, Without Antecedent Mass: 2024 Update. J. Am. Coll. Radiol. 2024, 21, S364–S371. [Google Scholar] [CrossRef]
- Ghosh, P.; Chandra, A.; Mukhopadhyay, S.; Chatterjee, A.; Lingegowda, D.; Gehani, A.; Gupta, B.; Gupta, S.; Midha, D.; Sen, S. Accuracy of MRI without Intracavernosal Prostaglandin E1 Injection in Staging, Preoperative Evaluation, and Operative Planning of Penile Cancer. Abdom. Radiol. 2021, 46, 4984–4994. [Google Scholar] [CrossRef]
- Stephenson, A.; Bass, E.B.; Bixler, B.R.; Daneshmand, S.; Kirkby, E.; Marianes, A.; Pierorazio, P.M.; Sharma, R.; Spiess, P.E. Diagnosis and Treatment of Early-Stage Testicular Cancer: AUA Guideline Amendment 2023. J. Urol. 2024, 211, 20–25. [Google Scholar] [CrossRef]
- Flores, J.M.; West, M.; Mulhall, J.P. Efficient Use of Penile Doppler Ultrasound for Investigating Men with Erectile Dysfunction. J. Sex. Med. 2024, 21, 734–739. [Google Scholar] [CrossRef] [PubMed]









| Condition | Key MRI Findings | DWI/Enhancement Characteristics | Clinical Implications |
|---|---|---|---|
| Testicular torsion | Enlarged, hypointense testis; twisted cord (‘whirlpool sign’) | Absent enhancement; diffusion restriction | Viability assessment |
| Trauma/rupture | Discontinuity of tunica albuginea; heterogeneous signal | Non-enhancing hematoma | Guides exploration/conservative follow-up |
| Orchitis/epididymo-orchitis | T2 hyperintense, enlarged testis/epididymis; wall thickening | Diffuse enhancement | Distinguish from tumor; assess abscess |
| Abscess | T2 hyperintense core, rim enhancement | Restricted diffusion | Differentiates abscess from necrotic tumor |
| Fournier gangrene | Fascial thickening, fluid tracking, non-enhancing necrosis | Variable | Mapping for debridement |
| Tumor Type | T2 Signal | Enhancement | ADC (×10−3 mm2/s) | Key Features |
|---|---|---|---|---|
| Seminoma | Homogeneous high | Uniform | 1.0–1.2 | Lobulated, solid |
| NSGCT | Heterogeneous | Irregular | 0.7–0.9 | Cystic/necrotic components |
| Leydig cell tumor | Iso–mild high | Early intense | ~1.2 | Small, sharply defined |
| Epidermoid cyst | Lamellated low | None | No restriction | Onion-skin appearance |
| Condition | Testis Volume | ADC (×10−3 mm2/s) | MRS: Choline (ppm) | Prognosis |
|---|---|---|---|---|
| Obstructive azoospermia | Normal | <1.0 | Normal | Excellent |
| Non-obstructive azoospermia | Small | >1.1 | ↓ Cho, Cr | Variable |
| Hypospermatogenesis | Normal | 1.0–1.2 | ↑ Cho | Favorable |
Disclaimer/Publisher’s Note: The statements, opinions and data contained in all publications are solely those of the individual author(s) and contributor(s) and not of MDPI and/or the editor(s). MDPI and/or the editor(s) disclaim responsibility for any injury to people or property resulting from any ideas, methods, instructions or products referred to in the content. |
© 2025 by the authors. Licensee MDPI, Basel, Switzerland. This article is an open access article distributed under the terms and conditions of the Creative Commons Attribution (CC BY) license (https://creativecommons.org/licenses/by/4.0/).
Share and Cite
Regent, B.; Nowak, K.; Skrobisz, K.; Matuszewski, M.; Studniarek, M. MRI of the Scrotum and Penis: Current Applications and Clinical Relevance. Diagnostics 2025, 15, 3134. https://doi.org/10.3390/diagnostics15243134
Regent B, Nowak K, Skrobisz K, Matuszewski M, Studniarek M. MRI of the Scrotum and Penis: Current Applications and Clinical Relevance. Diagnostics. 2025; 15(24):3134. https://doi.org/10.3390/diagnostics15243134
Chicago/Turabian StyleRegent, Bartosz, Karolina Nowak, Katarzyna Skrobisz, Marcin Matuszewski, and Michał Studniarek. 2025. "MRI of the Scrotum and Penis: Current Applications and Clinical Relevance" Diagnostics 15, no. 24: 3134. https://doi.org/10.3390/diagnostics15243134
APA StyleRegent, B., Nowak, K., Skrobisz, K., Matuszewski, M., & Studniarek, M. (2025). MRI of the Scrotum and Penis: Current Applications and Clinical Relevance. Diagnostics, 15(24), 3134. https://doi.org/10.3390/diagnostics15243134

