Sign in to use this feature.

Years

Between: -

Subjects

remove_circle_outline
remove_circle_outline
remove_circle_outline
remove_circle_outline
remove_circle_outline
remove_circle_outline
remove_circle_outline

Journals

remove_circle_outline
remove_circle_outline
remove_circle_outline
remove_circle_outline
remove_circle_outline
remove_circle_outline
remove_circle_outline
remove_circle_outline

Article Types

Countries / Regions

remove_circle_outline
remove_circle_outline
remove_circle_outline
remove_circle_outline
remove_circle_outline

Search Results (737)

Search Parameters:
Keywords = β-catenin inhibition

Order results
Result details
Results per page
Select all
Export citation of selected articles as:
18 pages, 10717 KB  
Article
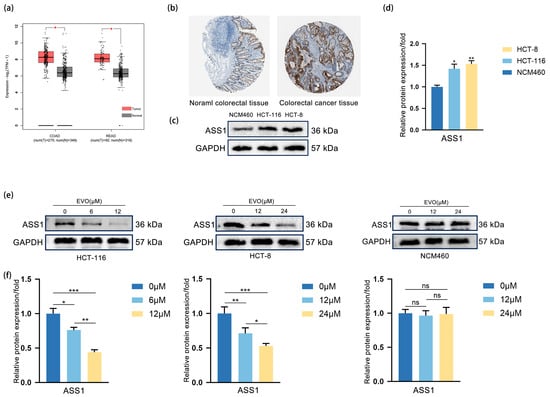
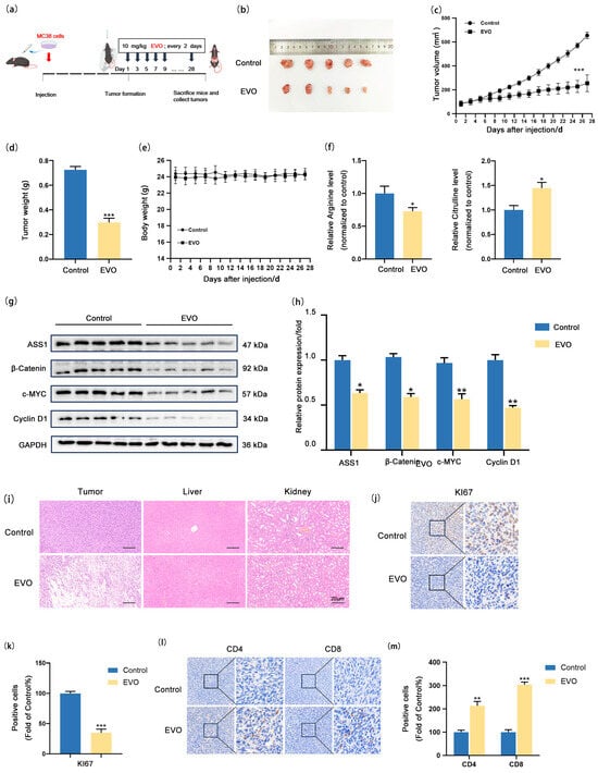
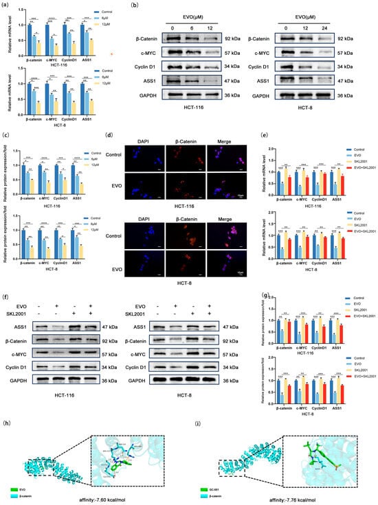
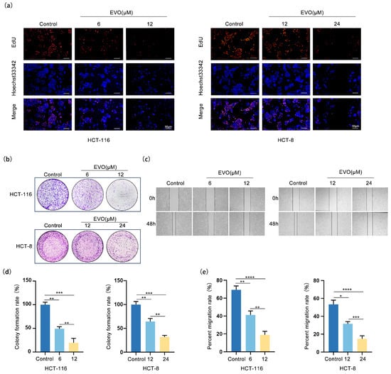
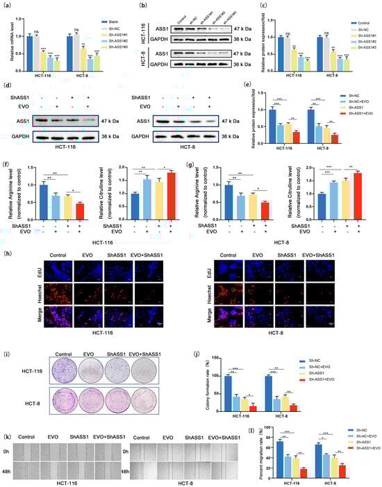
Evodiamine Inhibits Colorectal Cancer by Downregulating ASS1 via Wnt/β-Catenin/c-MYC Pathway to Block Arginine Synthesis
by Huimin Wang, Hao Deng, Jiaming He, Jing Ma, Yunying Li, Haoyue Lv, Jianhua Ran, Dilong Chen and Jing Li
Pharmaceuticals 2025, 18(11), 1736; https://doi.org/10.3390/ph18111736 - 14 Nov 2025
Abstract
Background: Argininosuccinate synthase 1 (ASS1), a key enzyme in arginine biosynthesis, is highly expressed in colorectal cancer (CRC) and promotes cancer progression, making it a potential therapeutic target. Evodiamine (EVO), a natural alkaloid from Evodia rutaecarpa acts as a novel Wnt signaling [...] Read more.
Background: Argininosuccinate synthase 1 (ASS1), a key enzyme in arginine biosynthesis, is highly expressed in colorectal cancer (CRC) and promotes cancer progression, making it a potential therapeutic target. Evodiamine (EVO), a natural alkaloid from Evodia rutaecarpa acts as a novel Wnt signaling pathway inhibitor with strong anticancer activity against various cancers. However, its exact therapeutic mechanism in CRC remains unclear. Methods: To address this gap, experiments included enzyme-linked immunosorbent assay (ELISA) to test EVO’s effect on CRC arginine production; CCK-8, EdU, colony formation, and wound-healing assays to assess CRC cell proliferation and migration; RT-qPCR, Western blot, immunofluorescence (IF), and ShASS1 for mechanism exploration and target validation; and a syngeneic tumor allograft model to study EVO’s metabolic regulation and anticancer efficacy in CRC. Results: In vitro, EVO significantly inhibited arginine synthesis metabolism and reduced CRC cell proliferation/migration. In vivo, it suppressed tumor tissue arginine metabolism, slowed allograft tumor growth, and decreased ASS1 expression. Mechanistically, EVO concentration-dependently reduced ASS1 via the Wnt/β-catenin/c-MYC pathway; ShASS1 replicated EVO’s anticancer effects, confirming ASS1’s mediating role. Conclusions: EVO downregulates ASS1 via the Wnt/β-catenin/c-MYC pathway disrupts CRC arginine synthesis metabolism and inhibits CRC cell proliferation/migration. These results support the interaction between metabolic regulation and signaling pathways, highlighting EVO as a promising CRC therapeutic candidate. Full article
(This article belongs to the Section Medicinal Chemistry)
Show Figures

Graphical abstract

22 pages, 9779 KB  
Article
Dietary Polyphenol Combinations Have a Multifaceted Inhibitory Effect on Metabolic Rewiring and Signaling Pathways in Neuroblastoma
by Natalia Karpova, Elizaveta Fefilova, Alexandra Daks, Sergey Parfenyev, Alexander Nazarov, Nick A. Barlev and Oleg Shuvalov
Pharmaceuticals 2025, 18(11), 1717; https://doi.org/10.3390/ph18111717 - 12 Nov 2025
Abstract
Background/Objectives: Numerous studies have demonstrated that dietary plant-derived polyphenols suppress signaling and metabolic pathways in various malignancies, including neuroblastoma. In the present study, we compared the inhibitory activities of selected polyphenols and their combinations on key metabolic and signaling pathways in two [...] Read more.
Background/Objectives: Numerous studies have demonstrated that dietary plant-derived polyphenols suppress signaling and metabolic pathways in various malignancies, including neuroblastoma. In the present study, we compared the inhibitory activities of selected polyphenols and their combinations on key metabolic and signaling pathways in two human neuroblastoma cell lines and two noncancerous cell lines—mesenchymal stem cells (MSCs). Methods: The influence of polyphenols on neuroblastoma cells and MSCs were studied via an MTT-assay, cell cycle analysis, and an apoptosis assay (flow cytometry). Chou-Talalay algorithms were used to quantify drug interactions. SeaHorse energy profiling was applied to study energy metabolism. The influence of the compounds on metabolic enzymes and signaling pathways was examined using immunoblotting. Total protein biosynthesis was assessed using o-propargyl-puromycin labeling (flow cytometry). Results: While most of the studied polyphenols displayed a more significant inhibitory effect on neuroblastoma cells than on mesenchymal stem cells (MSCs), we found that the combinations of curcumin and quercetin (CQ) and curcumin, quercetin, and resveratrol (CQR) were significantly superior to the individual compounds. These combinations displayed synergistic effects and inhibited the cell cycle while inducing apoptosis. The CQ and CQR combinations effectively suppressed metabolic reprogramming by downregulating key enzymes of glycolysis, respiration, one-carbon metabolism, glutaminolysis, and fatty acid biosynthesis, as well as N-Myc and c-Myc, which are master regulators of metabolic processes. Furthermore, CQ and CQR inhibited AKT/mTOR, MAPK/ERK, and WNT/β-catenin signaling pathways and total protein biosynthesis and sensitized malignant cells to doxorubicin. Conclusions: Polyphenol combinations exert multifaceted inhibitory effects on metabolic rewiring and signaling networks in neuroblastoma cells. Full article
Show Figures

Graphical abstract

15 pages, 40390 KB  
Article
Fisetin Inhibits Periodontal Pathogen-Induced EMT in Oral Squamous Cell Carcinoma via the Wnt/β-Catenin Pathway
by Ruoyao Zhang, Hiroki Takigawa, Hugo Maruyama, Takayuki Nambu, Chiho Mashimo and Toshinori Okinaga
Nutrients 2025, 17(22), 3522; https://doi.org/10.3390/nu17223522 - 11 Nov 2025
Viewed by 138
Abstract
Objective: Previous reports showed that periodontopathic bacteria induce epithelial–mesenchymal transition (EMT) in oral squamous cell carcinoma (OSCC). Fisetin, a foodborne flavonoid, is reportedly associated with anticancer potential in various carcinogenic processes. This study aimed to elucidate the effects of fisetin on Fusobacterium [...] Read more.
Objective: Previous reports showed that periodontopathic bacteria induce epithelial–mesenchymal transition (EMT) in oral squamous cell carcinoma (OSCC). Fisetin, a foodborne flavonoid, is reportedly associated with anticancer potential in various carcinogenic processes. This study aimed to elucidate the effects of fisetin on Fusobacterium nucleatum- and Porphyromonas gingivalis-induced EMT in OSCC cells. Methods: OSCC cells were co-cultured with live and heat-killed forms of F. nucleatum and P. gingivalis. The concentration of fisetin was set at 10 μM. Morphological changes in the OSCC cells were observed under a light microscope. Cell viability was measured using the Cell Counting Kit-8 assay, whereas migration was examined via wound healing. The mRNA expression of EMT-related markers was quantified using quantitative real-time polymerase chain reaction (PCR), and the expression of EMT-related markers and Wnt pathway-associated proteins was examined via Western blotting. Results: At a multiplicity of infection (MOI) of 300:1 for F. nucleatum and 100:1 for P. gingivalis, OSCC cell viability remained unchanged; however, wound closure rates increased significantly relative to the control. Likewise, treatment with fisetin (10 µM) did not materially alter viability; nevertheless, it attenuated promigratory effects induced by heat-killed periodontal pathogens at 3 h and 6 h. The OSCC cells exhibited EMT-like morphological changes after 6 h of co-culture with heat-killed pathogens. Consistently, reverse-transcriptase quantitative PCR and Western blot analyses showed increased expression of TWIST, ZEB1, and N-cadherin, accompanied by decreased E-cadherin expression, which was more pronounced in F. nucleatum than in P. gingivalis. However, fisetin reversed these trends. Moreover, co-culture with heat-killed pathogens markedly elevated β-catenin protein levels. In line with modulation of canonical Wnt/β-catenin signaling, fisetin and a Wnt inhibitor reduced β-catenin expression, whereas co-treatment with a Wnt agonist restored β-catenin levels in the presence of fisetin. Conclusions: Heat-killed F. nucleatum and P. gingivalis induced EMT in OSCC cells, with F. nucleatum exerting the strongest effect. Fisetin suppressed pathogen-driven EMT, at least partly via canonical Wnt/β-catenin signaling, highlighting its potential therapeutic value and warranting further investigation. Full article
Show Figures

Graphical abstract

19 pages, 3783 KB  
Article
FGF22 Secreted by Hair Papilla Cells Regulates Hair Follicle Stem Cell Proliferation and Differentiation
by Yu Luo, Tong Xiao, Binpeng Xi, Yufang Song, Zengkui Lu, Chao Yuan, Jianbin Liu and Tingting Guo
Biomolecules 2025, 15(11), 1560; https://doi.org/10.3390/biom15111560 - 6 Nov 2025
Viewed by 333
Abstract
Hair follicle stem cells (HFSCs) are resident stem cells within hair follicles (HFs) that possess self-renewal and differentiation capacities, serving as a critical model for regenerative medicine research. Their dynamic interaction with dermal papilla cells (DPCs) plays a decisive role in HF development [...] Read more.
Hair follicle stem cells (HFSCs) are resident stem cells within hair follicles (HFs) that possess self-renewal and differentiation capacities, serving as a critical model for regenerative medicine research. Their dynamic interaction with dermal papilla cells (DPCs) plays a decisive role in HF development and cycling. FGF22 is a paracrine fibroblast growth factor that can regulate the proliferation, differentiation and migration of epithelial cells. This study established a DPC-HFSC co-culture system, revealing that FGF22 overexpression in DPCs significantly upregulated FGFR1/FGFR2 mRNA expression levels in HFSCs (p < 0.05), with a 1.67-fold increase in EdU-positive cell proportion (p < 0.01). CCK-8 assays demonstrated markedly enhanced HFSC viability (p < 0.01), with a 17% reduction in HFSC apoptosis (p < 0.05). Conversely, FGF22 knockout downregulated FGFR1/FGFR2 expression (p < 0.05), reduced HFSC proliferation capacity by 25% (p < 0.01), and increased HFSC apoptosis levels by 1.81-fold (p < 0.05). In addition, FGF22 overexpression promotes the proliferation and differentiation of HFSCs by activating Wnt/β-Catenin, Sonic Hedgehog (Shh) and Notch signaling pathways, or inhibiting BMP signaling pathways. Knockout of FGF22 weakens these processes and inhibits the activation and differentiation of HFSCs. This study, through the DPCs-HFSCs co-culture system, revealed the regulatory mechanism of FGF22 secreted by DPCs on the proliferation and differentiation of HFSCs, thereby providing theoretical references for fields such as fine-wool sheep breeding, human regenerative medicine, and hair loss treatment. Full article
(This article belongs to the Section Molecular Biology)
Show Figures

Figure 1

13 pages, 2607 KB  
Article
SMARCD3 Promotes Epithelial–Mesenchymal Transition in Gastric Cancer by Integrating PI3K-AKT and WNT/β-Catenin Pathways
by Ji-Ho Park, Sun Yi Park, Eun-Jung Jung, Young-Tae Ju, Chi-Young Jeong, Ju-Yeon Kim, Taejin Park, Miyeong Park, Young-Joon Lee and Sang-Ho Jeong
Cancers 2025, 17(21), 3526; https://doi.org/10.3390/cancers17213526 - 31 Oct 2025
Viewed by 230
Abstract
Background: Epithelial–mesenchymal transition (EMT) is a fundamental process that drives invasion and metastasis in patients with diffuse-type gastric cancer (DGC). The role of SMARCD3, a subunit of the SWI/SNF chromatin remodeling complex, in this process is largely unknown. The aim of this [...] Read more.
Background: Epithelial–mesenchymal transition (EMT) is a fundamental process that drives invasion and metastasis in patients with diffuse-type gastric cancer (DGC). The role of SMARCD3, a subunit of the SWI/SNF chromatin remodeling complex, in this process is largely unknown. The aim of this study is to elucidate the molecular mechanism through which SMARCD3 integrates with the PI3K-AKT and WNT/β-catenin signaling pathways to promote EMT and gastric cancer progression. Methods: Stable SMARCD3-overexpressing MKN45 and MKN74 cell lines were established. RNA sequencing (RNA-seq) was performed to investigate signaling alterations. Western blot analysis confirmed the expression of EMT markers (Snail and Slug) and the phosphorylation of AKT (Ser473) and GSK3β (Ser9). PI3K dependency was tested using the inhibitor LY294002. Cooperative effects were examined by activating the WNT pathway with WNT3A. Results: SMARCD3 overexpression upregulated PI3K-AKT and WNT signaling, which correlated with increased Snail/Slug expression and increased AKT/GSK3β phosphorylation. GSK3β inactivation (pSer9) stabilizes Snail, driving EMT. LY294002 treatment suppressed Snail/Slug expression, attenuated AKT activation, and reversed the mesenchymal phenotype. Furthermore, WNT3A treatment synergistically increased nuclear Snail accumulation. Conclusions: SMARCD3 acts as a critical epigenetic regulator that promotes EMT in patients with gastric cancer through the integration of the PI3K-AKT and WNT/β-catenin pathways. Targeting this SMARCD3-mediated mechanism offers a promising therapeutic strategy to inhibit metastasis and improve outcomes for patients with gastric cancer. Full article
(This article belongs to the Special Issue Advancements in “Cancer Biomarkers” for 2025–2026)
Show Figures

Figure 1

21 pages, 41265 KB  
Article
Preventive Effect of Fisetin on Follicular Granulosa Cells Senescence via Attenuating Oxidative Stress and Upregulating the Wnt/β-Catenin Signaling Pathway
by Juan Dong, Zhaoyu Yang, Qiongyu Yuan, Weidong Zeng, Yuling Mi and Caiqiao Zhang
Cells 2025, 14(21), 1704; https://doi.org/10.3390/cells14211704 - 30 Oct 2025
Viewed by 495
Abstract
Oxidative stress-mediated dysfunction of granulosa cells (GCs) is recognized as a pivotal driver of prehierarchical follicular atresia in poultry, contributing substantially to the reduced egg production in aged laying hens. Here, we investigated the protective effects of the natural flavonol, fisetin, on aged [...] Read more.
Oxidative stress-mediated dysfunction of granulosa cells (GCs) is recognized as a pivotal driver of prehierarchical follicular atresia in poultry, contributing substantially to the reduced egg production in aged laying hens. Here, we investigated the protective effects of the natural flavonol, fisetin, on aged chicken follicular GCs. A D-galactose (D-gal)-induced aging model of GCs was established to evaluate the protective role of fisetin against cellular senescence. Small yellow follicles (SYFs) from 580-day-old hens were cultured with fisetin for 72 h to verify its ameliorative effect on naturally aged follicles. Fisetin reduced the typical characteristic of senescence in D-gal-induced GCs, as reflected by decreased senescence-associated β-galactosidase (SA-β-gal) activity and increased expression of proliferation-related proteins, including cyclin D1 (CCND1), cyclin-dependent kinase 2 (CDK2), cyclin-dependent kinase 1 (CDK1), and Cyclin B1. Furthermore, fisetin enhanced the activity of antioxidant enzymes by activating the Nrf2/HO-1 signaling pathways, while attenuating mitochondrial dysfunction and promoting ATP production in senescent GCs. Additionally, fisetin significantly promoted nuclear translocation of β-catenin, and suppressed the expression of senescence marker proteins p53 and p21, thereby alleviating cell cycle arrest in D-gal-induced senescent GCs. Simultaneous inhibition of Nrf2/HO-1 and β-catenin signaling also abolished the beneficial effects of fisetin on oxidative stress and cell proliferation in naturally senescent follicles. These findings indicate that fisetin prevents follicular atresia by suppressing GCs oxidative damage and improving cell cycle arrest via activating the Nrf2/HO-1 and Wnt/β-catenin signaling pathways. Full article
Show Figures

Graphical abstract

15 pages, 693 KB  
Review
Anticancer Potential of Whey Proteins—A Systematic Review of Bioactivity and Functional Mechanisms
by Selin Elmas, Meliha Fındık, Ramazan Kıyak, Gökhan Taşkın, Daniela Cîrțînă, Rodica Dîrnu, Natalia Guță, Roxana-Maria Mecu and Monica-Delia Bîcă
Int. J. Mol. Sci. 2025, 26(21), 10406; https://doi.org/10.3390/ijms262110406 - 26 Oct 2025
Viewed by 739
Abstract
Cancer remains a primary global health concern, with treatment-related side effects and malnutrition posing significant challenges to patient care and recovery. In recent years, there has been growing interest in the therapeutic potential of functional food components, especially whey proteins (WPs), due to [...] Read more.
Cancer remains a primary global health concern, with treatment-related side effects and malnutrition posing significant challenges to patient care and recovery. In recent years, there has been growing interest in the therapeutic potential of functional food components, especially whey proteins (WPs), due to their notable antioxidant, immunomodulatory, and anticancer properties. This systematic review explores the effects of WPs across various cancer types and assesses their value as supportive nutritional agents. A thorough literature search was conducted in PubMed, Scopus, and Web of Science databases, identifying 24 relevant studies published between 2000 and 2024. The selection process followed PRISMA guidelines. The evidence, drawn from both laboratory and clinical research, suggests that WPs may exert anticancer effects by inhibiting tumor cell growth, promoting apoptosis, enhancing antioxidant defenses, modulating immune activity, and influencing signaling pathways such as the PI3K/Akt, mTOR, and Wnt/β-catenin pathways. Colorectal, breast, and liver cancers emerged as the most extensively studied types. Additionally, the form of WP used—whether concentrate, isolate, or hydrolysate—appeared to influence both biological activity and clinical outcomes. Clinical findings suggest that WP supplementation may support nutritional status, mitigate the adverse effects of chemotherapy, and enhance the quality of life in cancer patients. While the preclinical data are compelling, further high-quality randomized controlled trials are needed to confirm these benefits and determine optimal use in clinical practice. This review highlights WPs as promising, well-tolerated nutritional agents with potential to enhance current cancer care strategies. Full article
(This article belongs to the Section Molecular Biology)
Show Figures

Figure 1

29 pages, 1093 KB  
Review
Polyphenols and Bone Health: A Comprehensive Review of Their Role in Osteoporosis Prevention and Treatment
by Pasquale Perrone, Chiara De Rosa and Stefania D’Angelo
Molecules 2025, 30(21), 4154; https://doi.org/10.3390/molecules30214154 - 22 Oct 2025
Viewed by 840
Abstract
Osteoporosis is a progressive bone disorder characterized by decreased bone mineral density and structural deterioration, leading to increased fracture risk. Conventional treatments, although effective, are limited by adverse effects and low long-term adherence. In recent years, polyphenols, plant-derived bioactive compounds, have emerged as [...] Read more.
Osteoporosis is a progressive bone disorder characterized by decreased bone mineral density and structural deterioration, leading to increased fracture risk. Conventional treatments, although effective, are limited by adverse effects and low long-term adherence. In recent years, polyphenols, plant-derived bioactive compounds, have emerged as promising candidates for bone health promotion due to their antioxidant, anti-inflammatory, and osteo-regulatory properties. This review synthesizes the current preclinical and clinical evidence on the potential of polyphenols, including quercetin, resveratrol, curcumin, isoflavones, and epigallocatechin gallate, to modulate bone metabolism and prevent or mitigate osteoporosis. Mechanistically, polyphenols enhance osteoblastogenesis, inhibit osteoclast differentiation, regulate the RANKL/OPG axis, and activate key osteogenic pathways such as Wnt/β-catenin and MAPKs. Additionally, their estrogen-like activity and ability to modulate gut microbiota offer further therapeutic potential. Preclinical models consistently demonstrate improvements in bone mass, architecture, and turnover markers, while clinical trials, although limited, support their role in preserving bone density, particularly in postmenopausal women. Despite promising outcomes, variability in bioavailability, dosage, and study design limits current translational application. Further large-scale clinical studies and standardized formulations are needed. Polyphenols represent a compelling adjunct or alternative approach in the integrated management of osteoporosis. Full article
Show Figures

Graphical abstract

20 pages, 4371 KB  
Article
Inhibitory Effects of Syringic Acid on Endometrial Cancer Cell Growth and Migration and Its Synergistic Suppression with Doxorubicin
by Yi-Ting Kuo, Chi-Chang Chang, Yu Chang, Chin-Feng Hsuan, Tzu-Hsien Chang, Ya-Ling Chen, Hsin-Ya Houng, Yu-Chieh Su and Jer-Yiing Houng
Pharmaceuticals 2025, 18(11), 1596; https://doi.org/10.3390/ph18111596 - 22 Oct 2025
Viewed by 359
Abstract
Background/Objectives: Endometrial cancer (EC), a malignancy arising from the uterine lining, is a leading gynecological cancer in developed countries. Syringic acid (SA), a naturally occurring phenolic compound, possesses various bioactivities including antioxidant, anti-inflammatory, chemoprotective, and anti-angiogenic properties. This study aimed to investigate [...] Read more.
Background/Objectives: Endometrial cancer (EC), a malignancy arising from the uterine lining, is a leading gynecological cancer in developed countries. Syringic acid (SA), a naturally occurring phenolic compound, possesses various bioactivities including antioxidant, anti-inflammatory, chemoprotective, and anti-angiogenic properties. This study aimed to investigate the effects of SA on the proliferation and migration of RL95-2 EC cells, its protective role in normal endometrial stromal cells (HESCs), and the underlying molecular mechanisms. Furthermore, the potential synergistic anticancer effects of SA in combination with chemotherapeutic agents against EC were evaluated. Methods: Cell viability was assessed using nuclear fluorescence staining, the MTT assay, and clonogenic survival assay. Cell migration was evaluated through wound closure and Transwell migration assays. Gene expression levels were analyzed by the RT-PCR method. Results: SA significantly inhibited the proliferation of RL95-2 EC cells, with an IC50 value of 27.22 μM. Co-treatment with SA and the chemotherapeutic agent doxorubicin (Dox) demonstrated an additive inhibitory effect. Mechanistically, both SA and the SA-Dox combination induced apoptosis by upregulating the expression of caspases-3, -8, and -9, increasing the expression of pro-apoptotic genes (Bax and Bad), and downregulating anti-apoptotic genes (Bcl-XL and Bcl-2). Cell cycle analysis revealed the downregulation of cyclin D and the upregulation of tumor suppressors p21 and p27, contributing to growth arrest. In addition, both SA and the combination treatment effectively suppressed cell migration by downregulating matrix metalloproteinases (MMPs) and β-catenin. SA treatment also induced the expression of pro-inflammatory cytokines (TNF-α, IL-6, IL-1β) and activated NF-κB signaling, leading to an elevated expression of inflammatory mediators such as COX-2 and iNOS. Furthermore, SA promoted oxidative stress in RL95-2 cells by inhibiting the Nrf2 pathway and reducing the expression and activities of antioxidant enzymes including catalase, glutathione peroxidase, and superoxide dismutase, thereby enhancing reactive oxygen species (ROS) accumulation. In contrast, in lipopolysaccharide-stimulated HESC cells, SA attenuated inflammation and ROS generation, indicating its selective cytoprotective role in normal endometrial cells. Conclusions: SA may serve as a promising adjuvant candidate to enhance chemotherapeutic efficacy while protecting normal cells by mitigating inflammation and oxidative stress. Full article
(This article belongs to the Topic Advances in Anti-Cancer Drugs: 2nd Edition)
Show Figures

Graphical abstract

13 pages, 1171 KB  
Review
Anticancer Activity of Demethylincisterol A3 and Related Incisterol-Type Fungal Products
by Christian Bailly
Life 2025, 15(10), 1638; https://doi.org/10.3390/life15101638 - 21 Oct 2025
Viewed by 328
Abstract
Highly degraded sterols belonging to the incisterol group have been identified in a large set of microorganisms. The leading product in the family is demethylincisterol A3 (DM-A3), isolated from various fungi and endowed with marked antitumor properties. Since the initial discovery of incisterol [...] Read more.
Highly degraded sterols belonging to the incisterol group have been identified in a large set of microorganisms. The leading product in the family is demethylincisterol A3 (DM-A3), isolated from various fungi and endowed with marked antitumor properties. Since the initial discovery of incisterol from a marine sponge in the 1990s, more than 30 incisterol-type natural products have been identified, essentially from fungi. An overview of these products, their bio-origin, chemical synthesis, and associated pharmacological properties is presented. The series includes diverse incisterol and demethylincisterol derivatives, chaxines, volemolide, different analogues (salimyxins, phellinignincisterols, daedatrin D, inonotoide F, aplykurodinone-1, dendrodoristerol), and a glycoside derivative (xyloneside), all bearing a tetracyclic incisterol framework. An analysis of the anticancer mechanism of the action of DM-A3 underlined the three main components of its activity associated with the (i) inhibition of β-catenin and the Wnt signaling pathway, (ii) inhibition of tyrosine phosphatase SHP2 (IC50 = 6.75 µM) implicated in cancer cell survival and differentiation, and (iii) blockade of α7nAchR activation coupled with inhibition of acetylcholinesterase (IC50 = 11.16 µM). A comprehensive picture of the DM-A3 mechanism of action is discussed, highlighting the uniqueness of the compound as a dual SHP2/AchE inhibitor able to attenuate an inflammatory response through the cholinergic anti-inflammatory pathway. The review shed light on this little-known category of incisterol-type natural products, with the objective of promoting further research into this neglected group of anticancer agents. Full article
Show Figures

Graphical abstract

22 pages, 1688 KB  
Review
The Molecular Interplay Between Oral Microbiome and Oral Cancer Pathogenesis
by Roxana-Nicoleta Urzică, Brigitte Crețu, Ana Căruntu, Săndica Bucurica, Alexandru-Titus Farcasiu, Laurențiu Mihai Ciupescu, Cristian Scheau and Constantin Căruntu
Int. J. Mol. Sci. 2025, 26(20), 10212; https://doi.org/10.3390/ijms262010212 - 21 Oct 2025
Viewed by 807
Abstract
The oral microbiome plays a key role in oral cancer pathogenesis through mechanisms such as chronic inflammation, dysregulated proliferation, and increased tumor invasiveness. Dysbiosis, frequently present in premalignant and malignant lesions, may initiate or accelerate malignant transformation. Oral squamous cell carcinoma (OSCC), representing [...] Read more.
The oral microbiome plays a key role in oral cancer pathogenesis through mechanisms such as chronic inflammation, dysregulated proliferation, and increased tumor invasiveness. Dysbiosis, frequently present in premalignant and malignant lesions, may initiate or accelerate malignant transformation. Oral squamous cell carcinoma (OSCC), representing over 90% of oral cancers and affecting more than 350,000 people worldwide each year, is strongly linked to microbial shifts. Common periodontal pathogens such as Fusobacterium nucleatum and Porphyromonas gingivalis are often enriched in OSCC. These bacteria may promote tumorigenesis by activating NF-κB and STAT3 pathways, suppressing apoptosis, and modulating host immune responses. Additional potential mechanisms include the production of reactive oxygen species (ROS) and genotoxins, inhibition of tumor suppressors such as p53, disruption of cell-cycle regulation via cyclin-dependent kinase pathway, and upregulation of β-catenin and toll-like receptor signaling. These molecular alterations cause DNA damage, immune surveillance evasion, angiogenesis, promoting tumor progression. Microbiota-modulating therapies, such as Lactobacillus probiotics, may complement standard treatments by restoring balance, boosting immunity, and limiting tumor growth. Engineered bacteriotherapy, microbiome-targeted immunomodulators, and microbiota-based diagnostics expand therapeutic options in oral cancer and, combined with advances in precision medicine, may support more personalized treatments and improved outcomes. Full article
Show Figures

Figure 1

36 pages, 3191 KB  
Review
The Interplay Between lncRNAs–microRNAs Network Dysregulation and Cellular Hallmarks of Thyroid Cancer
by Maryam Hejazi, Ramin Heshmat, Gita Shafiee, Bagher Larijani, Amir Ali Mokhtarzadeh, Vida Ebrahimi and Seyed Mohammad Tavangar
Cancers 2025, 17(20), 3373; https://doi.org/10.3390/cancers17203373 - 18 Oct 2025
Viewed by 535
Abstract
Background/Objectives: Thyroid cancer (TC) is the most common type of endocrine neoplasm and is increasing in incidence, particularly papillary thyroid carcinoma (PTC). Early-stage disease has a favorable prognosis; however, advanced forms, such as anaplastic thyroid carcinoma, complicate treatment. Long non-coding RNAs (lncRNAs), [...] Read more.
Background/Objectives: Thyroid cancer (TC) is the most common type of endocrine neoplasm and is increasing in incidence, particularly papillary thyroid carcinoma (PTC). Early-stage disease has a favorable prognosis; however, advanced forms, such as anaplastic thyroid carcinoma, complicate treatment. Long non-coding RNAs (lncRNAs), longer than 200 nucleotides and non-coding, together with microRNAs, have emerged as major regulators of TC pathogenesis. This review summarizes data on how dysregulated lncRNAs influence the hallmarks of cancer in thyroid malignancies. Methods: We reviewed the literature on the role of lncRNAs and microRNAs in TC, focusing on their functions as competing endogenous RNAs (ceRNAs), regulators of PI3K/AKT and Wnt/β-catenin pathways, and controllers of epigenetic alterations. Results: Dysregulated lncRNAs contribute to hallmarks including sustained growth, evading suppressors, resisting death, replicative immortality, angiogenesis, invasion, metabolic reprogramming, immune evasion, genomic instability, and tumor-promoting inflammation. ceRNA mechanisms amplify immune evasion by regulating checkpoint proteins and cytokines, altering immune cell activity. Altered lncRNA profiles correlate with aggressiveness, metastasis, and prognosis. Notable lncRNAs, such as H19, MALAT1, and DOCK9-AS2, dysregulate oncogenic pathways and represent potential biomarkers. Conclusions: Advances in therapeutics suggest inhibiting oncogenic lncRNAs or restoring tumor-suppressive lncRNAs via RNA interference, antisense oligonucleotides, or CRISPR/Cas9 editing. New technologies, including single-cell RNA sequencing and spatial transcriptomics, will improve understanding of heterogeneous lncRNA–microRNA networks in TC and support precision medicine. LncRNAs signify both molecular drivers and clinical targets for thyroid cancer. Full article
(This article belongs to the Special Issue MicroRNA and Cancer Immunology)
Show Figures

Graphical abstract

20 pages, 9405 KB  
Article
PIWIs Regulate Spermatogonia Self-Renewal and Differentiation by Wnt/β-Catenin Signaling Pathway in Eriocheir sinensis
by Bang-Hong Wei, Zhan Zhao, Hong-Yu Qi, Zhen-Fang Li, Wan-Xi Yang and Shuang-Li Hao
Biology 2025, 14(10), 1440; https://doi.org/10.3390/biology14101440 - 18 Oct 2025
Viewed by 397
Abstract
The roles of PIWI in mammalian spermatogenesis have been well-studied but are largely unknown in invertebrates such as the Chinese mitten crab (Eriocheir sinensis), which produces non-flagellar sperm. Here, we demonstrate that knockdown of PIWIs significantly promotes the proliferation of spermatogonia [...] Read more.
The roles of PIWI in mammalian spermatogenesis have been well-studied but are largely unknown in invertebrates such as the Chinese mitten crab (Eriocheir sinensis), which produces non-flagellar sperm. Here, we demonstrate that knockdown of PIWIs significantly promotes the proliferation of spermatogonia and the transformation into spermatocytes. Expression of PIWIs in HEK 293T significantly inhibits cell proliferation through the Wnt-signaling pathway. PIWIs suppress transcriptional activity of the Wnt pathway to down-regulate Cyclin D and Cyclin E by inhibiting β-catenin and the phosphorylation of β-catenin at Ser552. The intracellular structure of the adherens junction is destroyed by PIWIs due to downregulated α-catenin, β-catenin, and ZO1. Overall, our results suggest that PIWIs regulate spermatogonia self-renewal and differentiation through inhibiting the Wnt-signaling pathway and stabilize the structure of the adherens junction by regulating the expression and location of α-catenin, β-catenin, and ZO1 in E. sinensis, which are different from the functions in mammals. Our findings revealed novel functions and molecular mechanisms of PIWIs in regulating spermatogonia self-renewal and differentiation during the Crustacea spermatogenesis. Full article
(This article belongs to the Section Developmental and Reproductive Biology)
Show Figures

Figure 1

17 pages, 2234 KB  
Article
Coffee Extracts and Chlorogenic Acid Inhibit the Proliferation of HepG2 Cells and c-Myc Expression Without Significant Modulation of Wnt/β-Catenin Signaling
by Manuel Moreno-Ceballos, Fabian M. Cortes-Mancera, Han Moshage and Johanna C. Arroyave-Ospina
Livers 2025, 5(4), 49; https://doi.org/10.3390/livers5040049 - 15 Oct 2025
Viewed by 736
Abstract
Background: Hepatocellular carcinoma (HCC) is the most common type of liver cancer and is associated with poor clinical prognosis and high mortality, despite the advances related to therapeutic options for HCC. Therefore, exploring alternative therapeutic options and their associated mechanisms is relevant and [...] Read more.
Background: Hepatocellular carcinoma (HCC) is the most common type of liver cancer and is associated with poor clinical prognosis and high mortality, despite the advances related to therapeutic options for HCC. Therefore, exploring alternative therapeutic options and their associated mechanisms is relevant and urgently needed. Natural products may be an important source of novel anti-cancer compounds. Coffee consumption is associated with protective effects against liver diseases, but the molecular mechanisms underlying these benefits remain poorly understood. Objectives: In this study, we evaluated the in vitro effects of green (GC) and roasted coffee (RC) extracts, alongside chlorogenic acid (CGA), on the proliferation of HepG2 hepatocellular carcinoma cells. Results: Both coffee extracts and CGAs significantly reduced HepG2 cell viability and cell proliferation in a dose-dependent manner. GC at 500 µg/mL and CGA at 400 and 800 µM significantly induced caspase-3 activity. In addition, HepG2 cells treated with coffee extracts (500 and 1000 µg/mL) resulted in dose-dependent membrane permeabilization, leading to an increased number of necrotic cells. Despite these anti-proliferative effects, TOP/FOP luciferase assays revealed minimal activation of the Wnt/β-catenin signaling pathway. Among canonical Wnt target genes, only c-Myc expression was notably downregulated after treatment. Moreover, β-catenin protein levels and subcellular localization remained largely unchanged. Conclusions: These findings suggest that coffee extracts and chlorogenic acids inhibit HepG2 cell proliferation, highlighting their hepatoprotective properties, even in cells containing mutations that constitutively activate Wnt signaling. Full article
(This article belongs to the Topic Signaling Pathways in Liver Disease 2nd Edition)
Show Figures

Figure 1

17 pages, 1827 KB  
Review
The Role of Cadherin 17 (CDH17) in Cancer Progression via Wnt/β-Catenin Signalling Pathway: A Systematic Review and Meta-Analysis
by Bipusha Tha Shrestha, Yahui Feng, Aaron Lad, Anthony Bates, Jing Chen, Karen Brown, Feier Zeng and Ning Wang
Int. J. Mol. Sci. 2025, 26(20), 9838; https://doi.org/10.3390/ijms26209838 - 10 Oct 2025
Viewed by 1809
Abstract
Cadherin 17 (CDH17) is a cell adhesion glycoprotein essential for epithelial integrity. It is frequently overexpressed in various cancers, where it is associated with aggressive behaviour. While evidence indicates that CDH17 functions as an upstream regulator of Wnt/β-catenin signalling, findings are inconsistent across [...] Read more.
Cadherin 17 (CDH17) is a cell adhesion glycoprotein essential for epithelial integrity. It is frequently overexpressed in various cancers, where it is associated with aggressive behaviour. While evidence indicates that CDH17 functions as an upstream regulator of Wnt/β-catenin signalling, findings are inconsistent across tumour types, limiting the assessment of CDH17 as a biomarker or therapeutic target for Wnt pathway in cancer. In this study, we systematically review and meta-analyse the relationship between CDH17 and Wnt/β-catenin signalling in human cancers and evaluate whether CDH17 modulation affects tumour behaviour through Wnt-related mechanisms. Our search of Medline, Web of Science and Scopus identified five studies examining CDH17 expression in the Wnt/β-catenin pathway in vitro and in vivo. All five studies identified CDH17 as a key driver of canonical Wnt signalling, directly influencing cancer progression in hepatocellular carcinoma (HCC), gastric cancer (GC), and colorectal cancer (CRC). Meta-analysis (MA) showed that CDH17 inhibition consistently reduced Wnt/β-catenin downstream T-cell factor/lymphoid enhancer-binding factor (TCF/LEF) transcriptional activity (MD = −1.32, 95% CI: −1.64 to −0.99, p < 0.00001). Narrative synthesis found that CDH17 suppression decreased total and nuclear β-catenin, phosphorylated glycogen synthase kinase-3 beta (GSK-3β), and cyclin D1 while increasing tumour suppressors, retinoblastoma (Rb) and p53/p21. These changes were associated with reduced proliferation, colony formation, migration, invasion and cell cycle arrest. In vivo, CDH17 suppression resulted in 80–95% tumour growth suppression (Mean Difference (MD) = −96.67, 95% CI: [−144.35, −48.98], p < 0.0001), with immunohistochemistry confirming cytoplasmic β-catenin sequestration and lower cyclin D1 levels. Collectively, these findings show CDH17 as a critical upstream effector sustaining Wnt/β-catenin signalling, cancer progression, tumour proliferation, stem cell properties, and metastasis, and support CDH17 inhibition as a promising therapeutic target across multiple cancer types. Full article
Show Figures

Figure 1

Back to TopTop