ijms-logo

Journal Browser

Journal Browser

Molecular Research and Insights into Anti-Cancer Vaccines

A special issue of International Journal of Molecular Sciences (ISSN 1422-0067). This special issue belongs to the section "Molecular Oncology".

Deadline for manuscript submissions: 20 August 2026 | Viewed by 1347

Special Issue Editor


E-Mail Website
Guest Editor
Angiogenesis Unit, Oncology Area, Center for Biomedical Research of La Rioja (CIBIR), 26006 Logroño, Spain
Interests: adrenomedullin; angiogenesis; cancer immunotherapy; cancer vaccines; targeted therapy

Special Issue Information

Dear Colleagues,

Cancer continues to pose a major global health challenge, driving urgent innovation in prevention and therapy. One significant advancement in recent years has been the development of anti-cancer vaccines, which use molecular insights to train the immune system to target malignant cells. These vaccines utilize diverse platforms—such as peptides, proteins, viruses, mRNA, and DNA—to stimulate specific immune responses against tumor antigens.

As the Guest Editor of this Special Issue, “Molecular Research and Insights into Anti-Cancer Vaccines”, I invite researchers to submit their work on molecular oncology and immunology. This issue centers on the molecular underpinnings of anti-cancer vaccine design and the ways these technologies interact with and shape immune responses at the molecular level. Topics of interest include antigen discovery and selection, novel vaccine platforms and formulation strategies, modulation of the tumor microenvironment, and personalized vaccine approaches. Manuscripts addressing improvements in efficacy, safety, delivery, and clinical translation are especially encouraged, as well as studies tackling challenges such as tumor heterogeneity, biomarker development, and antigen processing in cancer.

The submission of original research articles, reviews, perspectives, and methodology reports is all welcome. Through this Special Issue, we aim to showcase key advances, highlight persistent challenges, and inspire scientific dialog that accelerates the development of effective and personalized anti-cancer vaccines.

I look forward to receiving your valuable contributions to this publication.

This Special Issue is supervised by Dr. Alfredo Martínez, assisted by Dr. Srdan Tadic.

Dr. Alfredo Martínez
Guest Editor

Manuscript Submission Information

Manuscripts should be submitted online at www.mdpi.com by registering and logging in to this website. Once you are registered, click here to go to the submission form. Manuscripts can be submitted until the deadline. All submissions that pass pre-check are peer-reviewed. Accepted papers will be published continuously in the journal (as soon as accepted) and will be listed together on the special issue website. Research articles, review articles as well as short communications are invited. For planned papers, a title and short abstract (about 250 words) can be sent to the Editorial Office for assessment.

Submitted manuscripts should not have been published previously, nor be under consideration for publication elsewhere (except conference proceedings papers). All manuscripts are thoroughly refereed through a single-blind peer-review process. A guide for authors and other relevant information for submission of manuscripts is available on the Instructions for Authors page. International Journal of Molecular Sciences is an international peer-reviewed open access semimonthly journal published by MDPI.

Please visit the Instructions for Authors page before submitting a manuscript. There is an Article Processing Charge (APC) for publication in this open access journal. For details about the APC please see here. Submitted papers should be well formatted and use good English. Authors may use MDPI's English editing service prior to publication or during author revisions.

Keywords

  • anti-cancer vaccines
  • tumor antigens
  • molecular mechanisms
  • immunotherapy
  • molecular oncology

Benefits of Publishing in a Special Issue

  • Ease of navigation: Grouping papers by topic helps scholars navigate broad scope journals more efficiently.
  • Greater discoverability: Special Issues support the reach and impact of scientific research. Articles in Special Issues are more discoverable and cited more frequently.
  • Expansion of research network: Special Issues facilitate connections among authors, fostering scientific collaborations.
  • External promotion: Articles in Special Issues are often promoted through the journal's social media, increasing their visibility.
  • Reprint: MDPI Books provides the opportunity to republish successful Special Issues in book format, both online and in print.

Further information on MDPI's Special Issue policies can be found here.

Published Papers (1 paper)

Order results
Result details
Select all
Export citation of selected articles as:

Research

20 pages, 2768 KB  
Article
A Stable RNA Vaccine Against the Regulatory Peptide Adrenomedullin Reduces Angiogenesis and Tumor Burden in a Subcutaneous Melanoma Model Without Inducing an Immunosuppressive Tumor Microenvironment
by Srdan Tadic, Josune García-Sanmartín, Judit Narro-Íñiguez and Alfredo Martínez
Int. J. Mol. Sci. 2025, 26(21), 10745; https://doi.org/10.3390/ijms262110745 - 5 Nov 2025
Cited by 1 | Viewed by 1133
Abstract
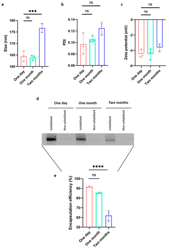
Adrenomedullin (AM) is a regulatory peptide that stimulates proliferation, migration, and invasion of melanoma cells, and promotes neovascularization within the tumor microenvironment, making it a compelling therapeutic target in melanoma and other cancers. As a continuation of our previous study on a metastatic [...] Read more.
Adrenomedullin (AM) is a regulatory peptide that stimulates proliferation, migration, and invasion of melanoma cells, and promotes neovascularization within the tumor microenvironment, making it a compelling therapeutic target in melanoma and other cancers. As a continuation of our previous study on a metastatic tumor model, here we tested an mRNA vaccine encoding a fusion antigen comprising keyhole limpet hemocyanin (KLH) and mouse AM in a subcutaneous melanoma mouse model. In vitro synthesized mRNA was encapsulated in lipid nanoparticles (LNPs) and administered to C57BL/6J mice; empty LNPs served as negative controls. After a four-dose immunization schedule, B16-F10 melanoma cells were injected subcutaneously, followed by a fifth immunization. Mice were sacrificed once tumors reached humane endpoints. Immunization led to a significant increase in anti-AM IgG titers (p = 0.033) and CD8+ T cell (p = 0.049) numbers in treated mice. Tumor initiation was significantly delayed (p = 0.005) and subcutaneous tumor volume was reduced (p = 0.0004) compared to controls. A marked decrease in the area occupied by tumor blood vessels (p = 0.028) was also observed, with no signs of systemic toxicity or weight loss. In addition, there was no significant impairment of Ki67+ tumor cell proliferation nor changes in the tumor infiltration of CD4+, CD8+, FoxP3+ nor Arg1+ cells. The vaccine also proved highly stable at 4 °C, in the absence of cryoprotectants, for more than a month. In summary, we confirmed that a KLH-AM mRNA vaccine is very stable and can elicit humoral and cellular immune responses, inhibit angiogenesis, and delay tumor growth in subcutaneous melanoma, without inducing an immunosuppressive tumor microenvironment (TME), further supporting mRNA vaccines targeting AM as an attractive immunotherapeutic approach. Full article
(This article belongs to the Special Issue Molecular Research and Insights into Anti-Cancer Vaccines)
Show Figures

Figure 1

Back to TopTop