Advanced Diagnosis and Treatment Plan for Orthodontic and Oro-Facial Rehabilitations—2nd Edition

A special issue of Diagnostics (ISSN 2075-4418). This special issue belongs to the section "Medical Imaging and Theranostics".

Deadline for manuscript submissions: 31 January 2026 | Viewed by 494

Special Issue Editor


E-Mail Website
Guest Editor
Unit of Orthodontics, Department of General Surgery and Medical-Surgical Specialties, School of Dentistry, University of Catania, 95131 Catania, Italy
Interests: 3D imaging; CBCT; digital anatomical segmentation; facial scan; intra-oral scan; cephalometry; craniofacial devel-opment imaging; CAD-CAM; diagnostic digital workflow; RMI; functional orthodontic appliances; dentofacial or-thopedics; interceptive orthodontics; elastodontics
Special Issues, Collections and Topics in MDPI journals

Special Issue Information

Dear Colleagues,

The continuous investigation into dental technology has significantly impacted the traditional clinical workflow related to the diagnosis and formulation of treatment strategies. In this context, recently developed technologies and equipment have been introduced to enhance the diagnostic process, especially in the fields of orthodontics and oro-facial rehabilitation. The present Special Issue has been tailored to address in vivo and ex vivo studies proposing and assessing innovative technologies supporting diagnostics and treatment plan strategies for orthodontic and oral rehabilitation treatments. This encompasses digital equipment, CAD/CAM technologies, robotics, artificial intelligence, intraoral and facial scans, and modern radiology, designed for functional and esthetic facial and dental rehabilitations. We invite interventional studies that seek to advance the current knowledge on novel techniques and advances in orthodontics. Studies employing innovative approaches or presenting new information will receive higher priority. Reviews, including those utilizing conceptual frameworks related to any of the aforementioned topics, are also highly encouraged.

Dr. Antonino Lo Giudice
Guest Editor

Manuscript Submission Information

Manuscripts should be submitted online at www.mdpi.com by registering and logging in to this website. Once you are registered, click here to go to the submission form. Manuscripts can be submitted until the deadline. All submissions that pass pre-check are peer-reviewed. Accepted papers will be published continuously in the journal (as soon as accepted) and will be listed together on the special issue website. Research articles, review articles as well as short communications are invited. For planned papers, a title and short abstract (about 250 words) can be sent to the Editorial Office for assessment.

Submitted manuscripts should not have been published previously, nor be under consideration for publication elsewhere (except conference proceedings papers). All manuscripts are thoroughly refereed through a single-blind peer-review process. A guide for authors and other relevant information for submission of manuscripts is available on the Instructions for Authors page. Diagnostics is an international peer-reviewed open access semimonthly journal published by MDPI.

Please visit the Instructions for Authors page before submitting a manuscript. The Article Processing Charge (APC) for publication in this open access journal is 2600 CHF (Swiss Francs). Submitted papers should be well formatted and use good English. Authors may use MDPI's English editing service prior to publication or during author revisions.

Keywords

  • CBCT
  • facial scan
  • oral imaging
  • orthodontics
  • digital dentistry

Benefits of Publishing in a Special Issue

  • Ease of navigation: Grouping papers by topic helps scholars navigate broad scope journals more efficiently.
  • Greater discoverability: Special Issues support the reach and impact of scientific research. Articles in Special Issues are more discoverable and cited more frequently.
  • Expansion of research network: Special Issues facilitate connections among authors, fostering scientific collaborations.
  • External promotion: Articles in Special Issues are often promoted through the journal's social media, increasing their visibility.
  • Reprint: MDPI Books provides the opportunity to republish successful Special Issues in book format, both online and in print.

Further information on MDPI's Special Issue policies can be found here.

Published Papers (1 paper)

Order results
Result details
Select all
Export citation of selected articles as:

Research

18 pages, 1698 KB  
Article
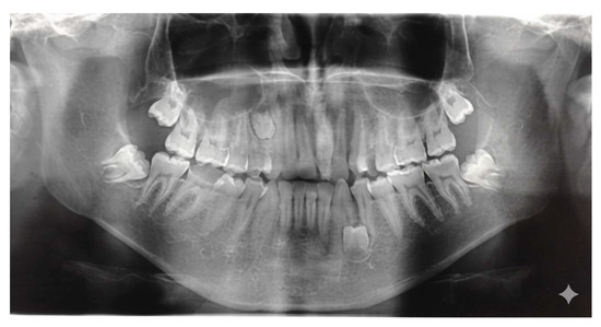
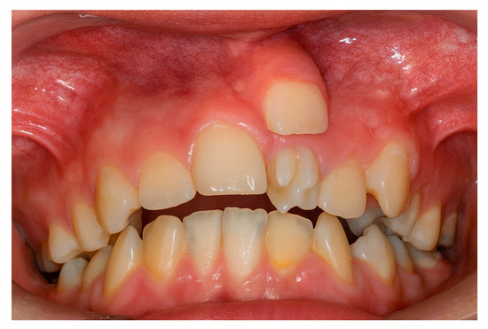
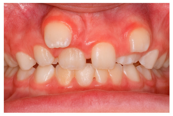
Impaction Predictors and Diagnostic Performance of CBCT Versus Panoramic Radiography for Supernumerary Teeth in a Romanian Multicenter Cohort
by Cristina Păcurar, Octavia Mesaroș, Andreea Angela Ștețiu, Sorana Maria Bucur, Cristina Nicoleta Mihai and Mariana Păcurar
Diagnostics 2025, 15(23), 3019; https://doi.org/10.3390/diagnostics15233019 - 27 Nov 2025
Viewed by 326
Abstract
Background: Supernumerary teeth (ST) are developmental anomalies that may interfere with eruption, alignment, and occlusal balance. Their etiopathogenesis and management remain controversial. This multicentric study aimed to evaluate the epidemiological, morphological, and radiographic features of ST in a Romanian population and identify impact [...] Read more.
Background: Supernumerary teeth (ST) are developmental anomalies that may interfere with eruption, alignment, and occlusal balance. Their etiopathogenesis and management remain controversial. This multicentric study aimed to evaluate the epidemiological, morphological, and radiographic features of ST in a Romanian population and identify impact predictors. Methods: Between January 2020 and March 2025, 153 consecutive patients (91 males, 62 females; mean age 14.8 ± 6.2 years) with clinically and radiographically confirmed supernumerary teeth were evaluated across three Romanian academic centers: the University Dental Clinic, George Emil Palade University of Medicine, Târgu Mureș (n = 78 patients); the Department of Periodontology, Lucian Blaga University of Sibiu (n = 45 patients); and the Department of Dentistry, Dimitrie Cantemir University of Târgu Mureș (n = 30 patients). Results: A total of 185 ST were recorded, most frequently conical (48.6%) and mesiodens (56.2%). Complications were observed in 40.5% of patients. Multivariable analysis identified Angle Class III malocclusion (OR = 1.89; p = 0.039) and tuberculate morphology (OR = 2.93; p = 0.021) as the strongest independent predictors of impaction, alongside associations with younger age (<13 years) (OR = 3.12; p = 0.003) and male gender (OR = 1.78; p = 0.046). CBCT demonstrated high diagnostic concordance with OPG (κ = 0.89), but showed superior performance for complex cases, identifying 11 root resorptions and 9 vestibulo-palatal displacements that OPG missed. Multivariable analysis identified Angle Class III malocclusion (OR = 1.89; p = 0.039) and tuberculate morphology (OR = 2.93; p = 0.021) as the strongest independent predictors of impaction, alongside associations with younger age (<13 years) (OR = 3.12; p = 0.003) and male gender (OR = 1.78; p = 0.046). Conclusions: This multicentric study provides updated Romanian data and highlights novel risk factors and diagnostic selection guidelines that may support individualized treatment planning. Angle Class III malocclusion is a novel and critical independent predictor of supernumerary tooth impaction, alongside tuberculate morphology. This finding strengthens the rationale for utilizing CBCT specifically in Class III patients with ST to pre-emptively manage complex impactions and associated pathology. Full article
Show Figures

Figure 1

Back to TopTop