Coronary CT Angiography for Acute Chest Pain in the Emergency Department: A Systematic Review of Clinical Utility
Abstract
1. Introduction
1.1. Background and Clinical Importance
1.2. The Role of Coronary Computed Tomography Angiography (CCTA)
1.3. Need for a Systematic Review
2. Methods
2.1. Search Strategy
2.2. Eligibility Criteria
2.3. Data Extraction and Synthesis
2.4. Quality Assessment
2.5. Registration
3. Results
3.1. Diagnostic Accuracy of CCTA
3.2. Impact on ED Workflow and Discharge
3.3. Economic and Resource Utilization Outcomes
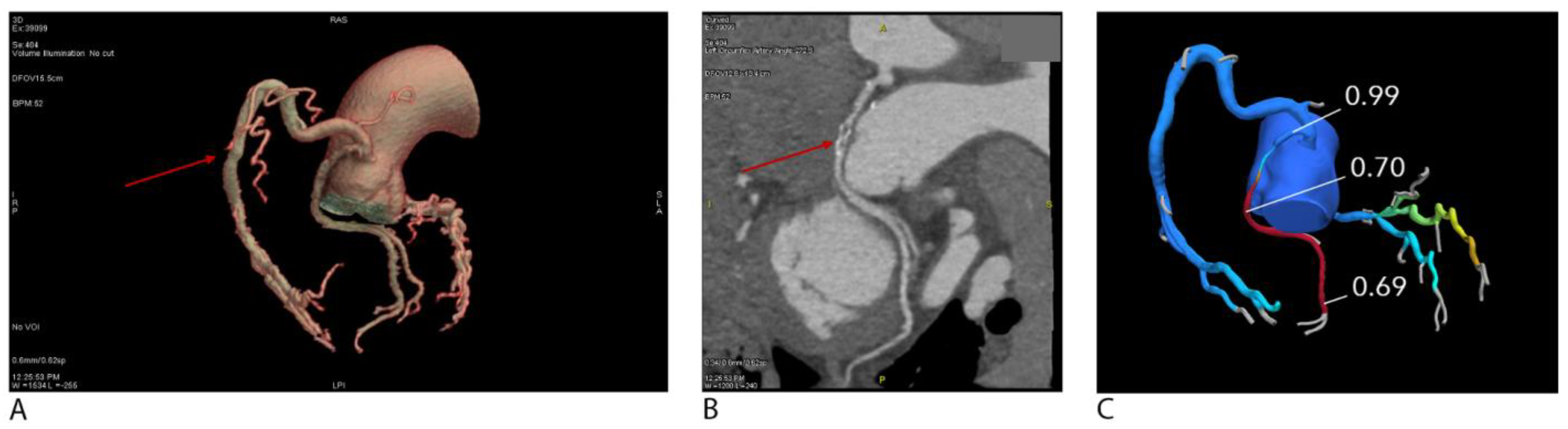
3.4. Prognostic Value and Imaging Innovation
3.5. Comparative Strategies and Safety
3.6. Summary of Findings
4. Discussion
4.1. Clinical Implications
4.2. Future Research Directions
4.3. Limitations of CCTA in the Emergency Department Setting
4.4. Integration with AI and Emerging Tools
5. Conclusions
Author Contributions
Funding
Data Availability Statement
Conflicts of Interest
References
- Vaskas, A.; Marshall, K.; Garg, R.; Fisher, C.; Bower-Stout, C.L.; Hussain, M.; Alghamdi, M.; Patel, J.; Lin, C.; Smith, R.; et al. Effect of a HEART Score Best Practice Alert on Discharge Decisions and Outcomes of Patients Presenting to an Emergency Department with Chest Pain. J. Emerg. Med. 2025, 72, 17–24. [Google Scholar] [CrossRef]
- Alrefaee, A.; Eltawansy, S.; Alshami, A.; Łajczak, P.; Udongwo, N.; Ayob, G.; Ibrahim, H.; Chowdhury, A.; Khan, M.; Al-Harbi, S.; et al. Clinical Care Delivery in Chest Pain Patients Without an Acute Coronary Syndrome—A Retrospective Cohort Study. J. Clin. Med. 2025, 14, 1372. [Google Scholar] [CrossRef] [PubMed]
- Pope, J.H.; Aufderheide, T.P.; Ruthazer, R.; Woolard, R.H.; Feldman, J.A.; Beshansky, J.R.; Griffith, J.L.; Selker, H.P. Missed diagnoses of acute cardiac ischemia in the emergency department. N. Engl. J. Med. 2000, 342, 1163–1170. [Google Scholar] [CrossRef] [PubMed]
- Tzikas, S.; Keller, T.; Post, F.; Blankenberg, S.; Genth-Zotz, S.; Münzel, T. Patient satisfaction in acute coronary syndrome. Improvement through the establishment of a chest pain unit. Herz 2010, 35, 403–409. [Google Scholar] [CrossRef]
- Macdonald, S.P.J.; Nagree, Y.; Fatovich, D.M.; Phillips, M.; Brown, S.G.A. Serial multiple biomarkers in the assessment of suspected acute coronary syndrome: Multiple infarct markers in chest pain (MIMIC) study. Emerg. Med. J. 2013, 30, 149–154. [Google Scholar] [CrossRef]
- Goodacre, S.; Pett, P.; Arnold, J.; Chawla, A.; Hollingsworth, J.; Roe, D.; Gray, A.; Nicholl, J.; Locker, T.; Kelly, A.M.; et al. Clinical diagnosis of acute coronary syndrome in patients with chest pain and a normal or non-diagnostic electrocardiogram. Emerg. Med. J. 2009, 26, 866–870. [Google Scholar] [CrossRef]
- Montgomery, C.M.; Ashburn, N.P.; Snavely, A.C.; Allen, B.; Christenson, R.; Madsen, T.; Peacock, W.F.; Amsterdam, E.; Kontos, M.C.; Mahler, S.A.; et al. Sex-specific high-sensitivity troponin T cut-points have similar safety but lower efficacy than overall cut-points in a multisite U.S. cohort. Acad. Emerg. Med. 2025, 32, 45–53. [Google Scholar] [CrossRef]
- Kumar, V.; Weerakoon, S.; Dey, A.K.; Earls, J.P.; Katz, R.J.; Reiner, J.S.; Blankstein, R.; Choi, A.D.; Budoff, M.J.; Min, J.K.; et al. The evolving role of coronary CT angiography in Acute Coronary Syndromes. J. Cardiovasc. Comput. Tomogr. 2021, 15, 384–393. [Google Scholar] [CrossRef]
- Prazeres, C.E.E.d.; Cury, R.C.; Carneiro, A.C.d.C.; Rochitte, C.E. Coronary computed tomography angiography in the assessment of acute chest pain in the emergency room. Arq. Bras. Cardiol. 2013, 101, 562–569. [Google Scholar] [CrossRef]
- Selvam, P.V.; Grandhi, G.R.; Leucker, T.M.; Arbab-Zadeh, A.; Gulati, M.; Blumenthal, R.S.; Michos, E.D.; Nasir, K.; Rumberger, J.A.; Blankstein, R.; et al. Recent advances in cardiovascular risk assessment: The added value of non-invasive anatomic imaging. J. Cardiovasc. Comput. Tomogr. 2024, 18, 113–119. [Google Scholar] [CrossRef] [PubMed]
- Arslan, M.; Schaap, J.; van Gorsel, B.; Aubanell, A.; Budde, R.P.J.; Hirsch, A.; Delgado, V.; Bax, J.J.; Knaapen, P.; van Royen, N.; et al. Coronary computed tomography angiography improves assessment of patients with acute chest pain and inconclusively elevated high-sensitivity troponins. Eur. Radiol. 2025, 35, 789–797. [Google Scholar] [CrossRef]
- Yang, S.; Koob, B.K. Noninvasive coronary physiological assessment derived from computed tomography. J. Soc. Cardiovasc. Angiogr. Interv. 2024, 3 Pt B, 101304. [Google Scholar] [CrossRef]
- Di Pietro, G.; Improta, R.; De Filippo, O.; Bruno, F.; Birtolo, L.I.; Bruno, E.; Paolillo, S.; D’Ascenzo, F.; Montone, R.A.; Spaccarotella, C.; et al. Clinical impact of CCT-FFR as first-strategy in patients with symptomatic stable coronary artery disease: A systematic review and meta-analysis. J. Cardiovasc. Comput. Tomogr. 2025, 19, 174–182. [Google Scholar] [CrossRef]
- Pontone, G.; Baggiano, A.; Andreini, D.; Guaricci, A.I.; Guglielmo, M.; Muscogiuri, G.; Fusini, L.; Del Torto, A.; Rabbat, M.; Bartorelli, A.L.; et al. Stress computed tomography perfusion versus fractional flow reserve CT derived in suspected coronary artery disease: The PERFECTION study. JACC Cardiovasc. Imaging 2019, 12 Pt 1, 1487–1497. [Google Scholar] [CrossRef]
- Ferencik, M.; Mayrhofer, T.; Puchner, S.B.; Lu, M.T.; Maurovich-Horvat, P.; Liu, T.; Lee, H.; Ivanov, A.; Schoepf, U.J.; Douglas, P.S.; et al. Computed tomography-based high-risk coronary plaque score to predict acute coronary syndrome among patients with acute chest pain—Results from the ROMICAT II trial. J. Cardiovasc. Comput. Tomogr. 2015, 9, 538–545. [Google Scholar] [CrossRef]
- Bamberg, F.; Mayrhofer, T.; Ferencik, M.; Bittner, D.O.; Hallett, T.R.; Janjua, S.; Lee, H.; Truong, Q.A.; Nichols, J.H.; Koenig, W.; et al. Age- and sex-based resource utilisation and costs in patients with acute chest pain undergoing cardiac CT angiography: Pooled evidence from ROMICAT II and ACRIN-PA trials. Eur. Radiol. 2018, 28, 851–860. [Google Scholar] [CrossRef] [PubMed]
- Gray, A.J.; Roobottom, C.; Smith, J.E.; Goodacre, S.; Oatey, K.; O’Brien, R.; Body, R.; Scally, A.; Pufulete, M.; Fairhurst, C.; et al. The RAPID-CTCA trial (Rapid Assessment of Potential Ischaemic Heart Disease with CTCA)—A multicentre parallel-group randomised trial to compare early computerised tomography coronary angiography versus standard care in patients presenting with suspected or confirmed acute coronary syndrome: Study protocol for a randomised controlled trial. Trials 2016, 17, 579. [Google Scholar] [PubMed]
- Goldstein, J.A.; Chinnaiyan, K.M.; Abidov, A.; Achenbach, S.; Berman, D.S.; Hayes, S.W.; Hoffmann, U.; Lesser, J.R.; Mikati, I.A.; O’Neil, B.J.; et al. The CT-STAT (Coronary Computed Tomographic Angiography for Systematic Triage of Acute Chest Pain Patients to Treatment) trial. J. Am. Coll. Cardiol. 2011, 58, 1414–1422. [Google Scholar] [CrossRef] [PubMed]
- Cho, I.; Chang, H.-J.; Sung, J.M.; Pencina, M.J.; Lin, F.Y.; Dunning, A.M.; Achenbach, S.; Al-Mallah, M.; Berman, D.S.; Budoff, M.J.; et al. Coronary computed tomographic angiography and risk of all-cause mortality and nonfatal myocardial infarction in subjects without chest pain syndrome from the CONFIRM Registry (coronary CT angiography evaluation for clinical outcomes: An international multicenter registry). Circulation 2012, 126, 304–313. [Google Scholar] [CrossRef]
- Puchner, S.B.; Liu, T.; Mayrhofer, T.; Truong, Q.A.; Lee, H.; Fleg, J.L.; Nagurney, J.T.; Udelson, J.E.; Hoffmann, U.; Ferencik, M.; et al. High-risk plaque detected on coronary CT angiography predicts acute coronary syndromes independent of significant stenosis in acute chest pain: Results from the ROMICAT-II trial. J. Am. Coll. Cardiol. 2014, 64, 684–692. [Google Scholar] [CrossRef]
- Litt, H.I.; Gatsonis, C.; Snyder, B.; Singh, H.; Miller, C.D.; Entrikin, D.W.; Leaming, J.M.; Gavin, L.J.; Pacella, C.B.; Hollander, J.E.; et al. CT angiography for safe discharge of patients with possible acute coronary syndromes. N. Engl. J. Med. 2012, 366, 1393–1403. [Google Scholar] [CrossRef]
- Staniak, H.L.; Bittencourt, M.S.; Sharovsky, R.; Benseñor, I.; Olmos, R.D.; Lotufo, P.A. Calcium score to evaluate chest pain in the emergency room. Arq. Bras. Cardiol. 2013, 100, 90–93. [Google Scholar] [CrossRef]
- Linde, J.J.; Hove, J.D.; Sørgaard, M.; Kelbæk, H.; Jensen, G.B.; Kühl, J.T.; Kofoed, K.F.; Køber, L.; Torp-Pedersen, C.; Hansen, T.F.; et al. Long-Term Clinical Impact of Coronary CT Angiography in Patients with Recent Acute-Onset Chest Pain: The Randomized Controlled CATCH Trial. JACC Cardiovasc. Imaging 2015, 8, 1404–1413. [Google Scholar] [CrossRef]
- Ferencik, M.; Liu, T.; Mayrhofer, T.; Puchner, S.B.; Lu, M.T.; Maurovich-Horvat, P.; Lee, H.; Ivanov, A.; Kitslaar, P.; Broersen, A.; et al. hs-Troponin I Followed by CT Angiography Improves Acute Coronary Syndrome Risk Stratification Accuracy and Work-Up in Acute Chest Pain Patients: Results from ROMICAT II Trial. JACC Cardiovasc. Imaging 2015, 8, 1272–1281. [Google Scholar] [CrossRef]
- Douglas, P.S.; Hoffmann, U.; Patel, M.R.; Mark, D.B.; Al-Khalidi, H.R.; Cavanaugh, B.; Cole, J.; Dolor, R.J.; Fordyce, C.B.; Huang, M.; et al. Outcomes of anatomical versus functional testing for coronary artery disease. N. Engl. J. Med. 2015, 372, 1291–1300. [Google Scholar] [CrossRef]
- SCOT-HEART Investigators. CT coronary angiography in patients with suspected angina due to coronary heart disease (SCOT-HEART): An open-label, parallel-group, multicentre trial. Lancet 2015, 385, 2383–2391. [Google Scholar] [CrossRef]
- Douglas, P.S.; Pontone, G.; Hlatky, M.A.; Patel, M.R.; Norgaard, B.L.; Byrne, R.A.; Curzen, N.; Purcell, I.; Gutberlet, M.; Rioufol, G.; et al. Clinical outcomes of fractional flow reserve by computed tomographic angiography-guided diagnostic strategies vs. usual care in patients with suspected coronary artery disease: The prospective longitudinal trial of FFR(CT): Outcome and resource impacts study. Eur. Heart J. 2015, 36, 3359–3367. [Google Scholar] [PubMed]
- Dedic, A.; Lubbers, M.M.; Schaap, J.; Lammers, J.; Lamfers, E.J.; Rensing, B.J.; Kharagjitsingh, A.V.; Galema, T.W.; Somsen, G.A.; de Graaf, F.R.; et al. Coronary CT Angiography for Suspected ACS in the Era of High-Sensitivity Troponins: Randomized Multicenter Study. J. Am. Coll. Cardiol. 2016, 67, 16–26. [Google Scholar] [CrossRef] [PubMed]
- Hamilton-Craig, C.; Fifoot, A.; Hansen, M.; Pincus, M.; Chan, J.; Walters, D.L.; Branch, K.; Bett, N.; Burstow, D.; Platts, D.; et al. Diagnostic performance and cost of CT angiography versus stress ECG—A randomized prospective study of suspected acute coronary syndrome chest pain in the emergency department (CT-COMPARE). Int. J. Cardiol. 2014, 177, 867–873. [Google Scholar] [CrossRef] [PubMed]
- Driessen, R.S.; Danad, I.; Stuijfzand, W.J.; Raijmakers, P.G.; Schumacher, S.P.; van Diemen, P.A.; Rijnierse, M.T.; Bom, M.J.; Everaars, H.; Lammertsma, A.A.; et al. Comparison of coronary computed tomography angiography, fractional flow reserve, and perfusion imaging for ischemia diagnosis. J. Am. Coll. Cardiol. 2019, 73, 161–173. [Google Scholar] [CrossRef]
- Linde, J.J.; Kelbæk, H.; Hansen, T.F.; Sigvardsen, P.E.; Torp-Pedersen, C.; Bech, J.; Frøbert, O.; Hove, J.D.; Kjøller, E.; Kühl, J.T.; et al. Coronary CT Angiography in Patients with Non-ST-Segment Elevation Acute Coronary Syndrome. J. Am. Coll. Cardiol. 2020, 75, 453–463. [Google Scholar] [CrossRef] [PubMed]
- Oikonomou, E.K.; Desai, M.Y.; Marwan, M.; Kotanidis, C.P.; Antonopoulos, A.S.; Schottlander, D.; Raggi, P.; Thomas, S.; Sabharwal, N.; Deanfield, J.; et al. Perivascular Fat Attenuation Index Stratifies Cardiac Risk Associated with High-Risk Plaques in the CRISP-CT Study. J. Am. Coll. Cardiol. 2020, 76, 755–757. [Google Scholar] [CrossRef] [PubMed]
- Conte, E.; Dwivedi, A.; Mushtaq, S.; Pontone, G.; Lin, F.Y.; Hollenberg, E.J.; Razzolini, R.; Andreini, D.; Guaricci, A.I.; Volpato, V.; et al. Age- and sex-related features of atherosclerosis from coronary computed tomography angiography in patients prior to acute coronary syndrome: Results from the ICONIC study. Eur. Heart J. Cardiovasc. Imaging 2020, 22, 24–33. [Google Scholar] [CrossRef] [PubMed]
- McDermott, M.; Meah, M.N.; Khaing, P.; Wang, K.-L.; Ramsay, J.; Scott, G.; Hunter, A.; Berry, C.; Williams, M.C.; Mills, N.L.; et al. Rationale and Design of SCOT-HEART 2 Trial: CT Angiography for the Prevention of Myocardial Infarction. JACC Cardiovasc. Imaging 2024, 17, 1101–1112. [Google Scholar] [CrossRef]
- Mickley, H.; Veien, K.T.; Gerke, O.; Lambrechtsen, J.; Rohold, A.; Steffensen, F.H.; Hove, J.D.; Munkholm, H.; Nielsen, T.; Kühl, J.T.; et al. Diagnostic and Clinical Value of FFRCT in Stable Chest Pain Patients with Extensive Coronary Calcification: The FACC Study. JACC Cardiovasc. Imaging 2022, 15, 1046–1058. [Google Scholar] [CrossRef]
- Meah, M.N.; Wereski, R.; Bularga, A.; van Beek, E.J.R.; Dweck, M.R.; Mills, N.L.; Anand, A.; Chapman, A.R.; Lee, K.K.; Adamson, P.D.; et al. Coronary low-attenuation plaque and high-sensitivity cardiac troponin. Heart 2023, 109, 702–709. [Google Scholar] [CrossRef]
- Ferencik, M.; Lu, M.T.; Mayrhofer, T.; Puchner, S.B.; Liu, T.; Maurovich-Horvat, P.; Lee, H.; Ivanov, A.; Foldyna, B.; Nagurney, J.T.; et al. Non-invasive fractional flow reserve derived from coronary computed tomography angiography in patients with acute chest pain: Subgroup analysis of the ROMICAT II trial. J. Cardiovasc. Comput. Tomogr. 2019, 13, 196–202. [Google Scholar] [CrossRef]
- Lee, K.K.; Lowe, D.; O’Brien, R.; Wereski, R.; Bularga, A.; Taggart, C.; Chapman, A.R.; Ferry, A.; Keerie, C.; Collinson, P.; et al. Troponin in acute chest pain to risk stratify and guide effective use of computed tomography coronary angiography (TARGET-CTCA): A randomised controlled trial. Trials 2023, 24, 402. [Google Scholar] [CrossRef]
- Gray, A.J.; Roobottom, C.; Smith, J.E.; Goodacre, S.; Oatey, K.; O’Brien, R.; Keenan, S.; Body, R.; Pufulete, M.; Scally, A.; et al. Early computed tomography coronary angiography in patients with suspected acute coronary syndrome: Randomised controlled trial. BMJ 2021, 374, n2106. [Google Scholar] [CrossRef]
- Moss, A.J.; Williams, M.C.; Newby, D.E.; Nicol, E.D. The Updated NICE Guidelines: Cardiac CT as the First-Line Test for Coronary Artery Disease. Curr. Cardiovasc. Imaging Rep. 2017, 10, 15. [Google Scholar] [CrossRef]
- Weir-McCall, J.R.; Williams, M.C.; Shah, A.S.V.; Roditi, G.; Rudd, J.H.F.; Newby, D.E.; Dweck, M.R.; Mills, N.L.; Adamson, P.D.; van Beek, E.J.R.; et al. National trends in coronary artery disease imaging: Associations with health care outcomes and costs. JACC Cardiovasc. Imaging 2023, 16, 659–671. [Google Scholar] [CrossRef]
- Ferencik, M.; Mayrhofer, T.; Bittner, D.O.; Emami, H.; Puchner, S.B.; Lu, M.T.; Meyersohn, N.; Ivanov, A.; Adami, E.; O’Donnell, C.J.; et al. Use of High-Risk Coronary Atherosclerotic Plaque Detection for Risk Stratification of Patients with Stable Chest Pain: A Secondary Analysis of the PROMISE Randomized Clinical Trial. JAMA Cardiol. 2018, 3, 144–152. [Google Scholar] [CrossRef]
- DISCHARGE Trial Group; Maurovich-Horvat, P.; Bosserdt, M.; Kofoed, K.F.; Rieckmann, N.; Benedek, T.; Donnelly, P.M.; Maurovich-Horvat, E.; Linde, J.J.; Mincu, R.I.; et al. CT or invasive coronary angiography in stable chest pain. N. Engl. J. Med. 2022, 386, 1591–1602. [Google Scholar]
- Budoff, M.J.; Dowe, D.; Jollis, J.G.; Gitter, M.; Sutherland, J.; Halamert, E.; Scherer, M.; Bellinger, R.; Martin, A.; Benton, R.; et al. Diagnostic performance of 64-multidetector row coronary computed tomographic angiography for evaluation of coronary artery stenosis in individuals without known coronary artery disease: Results from the prospective multicenter ACCURACY (Assessment by Coronary Computed Tomographic Angiography of Individuals Undergoing Invasive Coronary Angiography) trial. J. Am. Coll. Cardiol. 2008, 52, 1724–1732. [Google Scholar] [PubMed]
- De Vita, A.; Covino, M.; Pontecorvo, S.; Buonamassa, G.; Marino, A.G.; Marano, R.; Ciciarello, F.; Pugliese, F.; Secinaro, A.; Francone, M.; et al. Coronary CT angiography in the emergency department: State of the art and future perspectives. J. Cardiovasc. Dev. Dis. 2025, 12, 48. [Google Scholar] [CrossRef]
- Knuuti, J.; Bengel, F.; Bax, J.J.; Kaufmann, P.A.; Le Guludec, D.; Perrone Filardi, P.; Marcassa, C.; Ajmone Marsan, N.; Hesse, B.; Kitsiou, A.; et al. Risks and benefits of cardiac imaging: An analysis of risks related to imaging for coronary artery disease. Eur. Heart J. 2014, 35, 633–638. [Google Scholar] [CrossRef] [PubMed]
- Hlatky, M.A.; Iribarren, C. The dilemma of incidental findings on cardiac computed tomography. J. Am. Coll. Cardiol. 2009, 54, 1542–1543. [Google Scholar] [CrossRef]
- Smith-Bindman, R. Use of Advanced Imaging Tests and the Not-So-Incidental Harms of Incidental Findings. JAMA Intern. Med. 2018, 178, 227–228. [Google Scholar] [CrossRef]
- Burch, R.A.; Siddiqui, T.A.; Tou, L.C.; Turner, K.B.; Umair, M. The Cost Effectiveness of Coronary CT Angiography and the Effective Utilization of CT-Fractional Flow Reserve in the Diagnosis of Coronary Artery Disease. J. Cardiovasc. Dev. Dis. 2023, 10, 25. [Google Scholar] [CrossRef] [PubMed]
- Pedersen, E.R.; Hovland, S.; Karaji, I.; Berge, C.; Mohamed Ali, A.; Lekven, O.C.; Ebbing, M.; Skretteberg, P.T.; Bogsrud, T.V.; Gullestad, L.; et al. Coronary calcium score in the initial evaluation of suspected coronary artery disease. Heart 2023, 109, 695–701. [Google Scholar] [CrossRef]
- Pursnani, A.; Chou, E.T.; Zakroysky, P.; Deaño, R.C.; Mamuya, W.S.; Woodard, P.K.; Nagurney, J.T.; Schoepf, U.J.; Udelson, J.E.; Fleg, J.L.; et al. Use of coronary artery calcium scanning beyond coronary computed tomographic angiography in the emergency department evaluation for acute chest pain: The ROMICAT II trial. Circ. Cardiovasc. Imaging 2015, 8, e002225. [Google Scholar] [CrossRef]
- Maroules, C.D.; Rybicki, F.J.; Ghoshhajra, B.B.; Batlle, J.C.; Branch, K.; Chinnaiyan, K.; Earls, J.P.; Ferencik, M.; Min, J.K.; Leipsic, J.; et al. 2022 use of coronary computed tomographic angiography for patients presenting with acute chest pain to the emergency department: An expert consensus document of the Society of Cardiovascular Computed Tomography (SCCT): Endorsed by the American College of Radiology (ACR) and North American Society for Cardiovascular Imaging (NASCI). J. Cardiovasc. Comput. Tomogr. 2023, 17, 146–163. [Google Scholar]
- Tsiachristas, A.; Chan, K.; Wahome, E.; Kearns, B.; Patel, P.; Lyasheva, M.; Heggie, R.; McMeekin, P.; Pufulete, M.; Gray, A.; et al. Cost-effectiveness of a novel AI technology to quantify coronary inflammation and cardiovascular risk in patients undergoing routine Coronary Computed Tomography Angiography. Eur. Heart J. Qual. Care. Clin. Outcomes 2024, 11, 434–444. [Google Scholar] [CrossRef]
- Mittal, T.K.; Hothi, S.S.; Venugopal, V.; Taleyratne, J.; O’Brien, D.; Adnan, K.; Watharkar, S.; Sharma, R.; Sharma, S.; Kelion, A.; et al. The Use and Efficacy of FFR-CT: Real-World Multicenter Audit of Clinical Data with Cost Analysis. JACC Cardiovasc. Imaging 2023, 16, 1056–1065. [Google Scholar] [CrossRef]
- Alalawi, L.; Budoff, M.J. Recent advances in coronary computed tomography angiogram: The ultimate tool for coronary artery disease. Curr. Atheroscler. Rep. 2022, 24, 557–562. [Google Scholar] [CrossRef]
- Gongora, C.A.; Bavishi, C.; Uretsky, S.; Argulian, E. Acute chest pain evaluation using coronary computed tomography angiography compared with standard of care: A meta-analysis of randomised clinical trials. Heart 2018, 104, 215–221. [Google Scholar] [CrossRef] [PubMed]
- McConaghy, J.R.; Sharma, M.; Patel, H. Acute chest pain in adults: Outpatient evaluation. Am. Fam. Physician 2020, 102, 721–727. [Google Scholar]
- Sarto, G.; Simeone, B.; Spadafora, L.; Bernardi, M.; Rocco, E.; Pelle, G.; Fiorelli, M.; Rossi, A.; Ricci, F.; Crea, F.; et al. Management of acute chest pain in the Emergency Department: Benefits of coronary computed tomography angiography. Int. J. Cardiovasc. Imaging 2024, 40, 2447–2457. [Google Scholar] [CrossRef] [PubMed]
- Santangelo, G.; Gherbesi, E.; Donisi, L.; Faggiano, A.; Bergamaschi, L.; Pizzi, C.; Dalla Valle, C.; Marini, M.; Pugliese, F.; Francone, M.; et al. Imaging approaches in risk stratification of patients with coronary artery disease: A narrative review. Arch. Med. Sci. 2025, 21, 16–31. [Google Scholar] [CrossRef]
- Mace, S.E.; Baugh, C.; Pena, M.E.; Takla, R. A comparison of magnetocardiography with noninvasive cardiac testing in the evaluation of patients with chest pain. Am. Heart J. Plus 2025, 54, 100541. [Google Scholar] [CrossRef] [PubMed]
- Dimitriadis, K.; Pyrpyris, N.; Theofilis, P.; Mantzouranis, E.; Beneki, E.; Kostakis, P.; Siasos, G.; Oikonomou, E.; Kalogeras, K.; Vlachopoulos, C.; et al. Computed Tomography Angiography Identified High-Risk Coronary Plaques: From Diagnosis to Prognosis and Future Management. Diagnostics 2024, 14, 1671. [Google Scholar] [CrossRef] [PubMed]
- Thribhuvan Reddy, D.; Grewal, I.; García Pinzon, L.F.; Latchireddy, B.; Goraya, S.; Ali Alansari, B.; Malik, A.; Ahmad, A.; Moustafa, A.; Faruqi, M.; et al. The role of artificial intelligence in healthcare: Enhancing coronary computed tomography angiography for coronary artery disease management. Cureus 2024, 16, e61523. [Google Scholar] [CrossRef] [PubMed]
- Wang, Z.Q.; Li, Z.N.; Ding, Y.D.; Zhang, Y.; Lin, L.; Xu, L.; Huang, Y.; Zhou, Y.; Zhou, H.; Wang, H.; et al. Investigation of the impact of the deep learning based CT fractional flow reserve on clinical decision-making and long-term prognosis in patients with obstructive coronary heart disease. Zhonghua Xin Xue Guan Bing Za Zhi 2024, 52, 1277–1282. [Google Scholar] [PubMed]
- Hinson, J.S.; Taylor, R.A.; Venkatesh, A.; Steinhart, B.D.; Chmura, C.; Sangal, R.B.; Navar, A.M.; Mahler, S.A.; Hollander, J.E.; Peacock, W.F.; et al. Accelerated Chest Pain Treatment with Artificial Intelligence-Informed, Risk-Driven Triage. JAMA Intern. Med. 2024, 184, 1125–1127. [Google Scholar] [CrossRef]
- Gautam, N.; Saluja, P.; Malkawi, A.; Rabbat, M.G.; Al-Mallah, M.H.; Pontone, G.; Andreini, D.; Baggiano, A.; Guaricci, A.I.; Guglielmo, M.; et al. Current and future applications of artificial intelligence in coronary artery disease. Healthcare 2022, 10, 232. [Google Scholar] [CrossRef]





| Number | Study | Published Year | Study Design | Population Characteristics | Sample Size | Primary Outcome | Relevance | Limitations/Bias |
|---|---|---|---|---|---|---|---|---|
| [18] | CT-STAT Trial (Goldstein et al.) | 2011 | Multicenter Randomized Controlled Trial | Low-risk acute chest pain patients in 16 EDs across the US | 699 | Time to diagnosis; cost of ED care; 6-month MACE rate | Showed that CCTA reduced time to diagnosis by 54% and cost by 38% compared to MPI, with no difference in MACEs | Short follow-up; limited to low-risk population; not powered to detect MACE differences |
| [19] | CONFIRM Registry | 2012 | Multinational Prospective Observational Registry | Stable and acute chest pain patients undergoing CCTA across 12 countries | 27,125 | Relationship between coronary plaque burden and major adverse cardiac events (MACEs) | Established prognostic significance of segment involvement score (SIS) and extent of atherosclerosis | Observational design; variability in follow-up and data collection across sites |
| [20] | ROMICAT II substudy | 2014 | Multicenter RCT | ED patients with acute chest pain and no prior CAD; low-to-intermediate risk | 1000 | Reduction in hospital length of stay and safe early discharge using CCTA vs. standard care | Demonstrated that CCTA safely expedited ED discharge with no missed ACS events | Slight increase in downstream testing; limited to centers with CCTA availability |
| [21] | ACRIN-PA (Litt et al.) | 2012 | Randomized Controlled Trial | Low- to intermediate-risk ED patients with suspected ACS | 1370 | Safety of early ED discharge based on negative CCTA; 30-day rate of MI/death among patients with negative CCTA | Demonstrated that CCTA safely enables expedited ED discharge; no MIs or deaths occurred in patients with negative CCTA; reduced length of stay and increased CAD detection rate | Trial excluded patients with high-risk features; 16% of patients randomized to CCTA did not undergo the test due to heart rate or logistical issues |
| [22] | Staniak et al. | 2013 | Prospective Observational | ED patients with chest pain, TIMI 0–2, normal ECG/biomarkers | 135 | Diagnostic accuracy of CAC = 0 to exclude CAD vs. CCTA | Highlights limitations of zero CAC in ruling out obstructive CAD in symptomatic patients | Small sample; CCTA not confirmed with ICA; brief format limits external validity |
| [23] | CATCH Trial | 2015 | Randomized Controlled Trial | Patients with acute-onset chest pain, normal ECG and troponins | 600 | Composite of cardiac death, MI, UAP, late revascularization, readmission for chest pain | Demonstrated reduced cardiovascular events with CCTA-guided strategy vs. functional testing | Post-discharge outpatient setting, potential physician unblinding, use of hybrid testing in CCTA group |
| [24] | PROSPECT Trial (Ferencik et al.) | 2015 | RCT | Intermediate-risk chest pain patients admitted to telemetry (majority women, ethnically diverse) | 400 | Catheterization not leading to revascularization within 1 year | Supports CCTA’s comparable safety and superior patient experience vs. MPI | Not conducted in ED setting; single-center; management decisions not protocolized |
| [25] | PROMISE Trial (Douglas et al.) | 2015 | Randomized Controlled Trial | Outpatients with stable chest pain and no known CAD; low-to-intermediate risk | 10,003 | MACE at 12 months (death, MI, unstable angina hospitalization, or major complications) | CCTA resulted in greater diagnosis of CAD, earlier initiation of preventive therapy; no difference in MACEs | No benefit on primary endpoint; more catheterizations with CCTA; low event rate; outpatient not ED setting |
| [26] | SCOT-HEART (Newby et al.) | 2015 | Randomized Controlled Trial | Patients with stable chest pain referred from cardiology clinics across Scotland | 4146 | Reclassification of diagnosis and management of angina due to coronary heart disease at 6 weeks | Demonstrated that CTCA clarified diagnosis, influenced management decisions, and reduced MI at follow-up | Open-label design; not an ED-based population; potential variation in downstream management decisions |
| [27] | PLATFORM Study (Douglas et al.) | 2015 | Prospective Comparative Effectiveness Trial | Patients with stable chest pain undergoing planned ICA or non-invasive testing; compared standard care vs. CCTA + FFR-CT | 584 | FFR-CT strategy significantly reduced unnecessary ICA (12% vs. 73% without obstructive CAD); preserved safety with fewer invasive procedures | Demonstrates clinical value of hybrid anatomical–functional imaging; aligns with goal to reduce unnecessary catheterization | Not ED-based; does not measure time to triage or ED disposition directly |
| [28] | BEACON Study | 2016 | Multicenter RCT | ED patients with suspected ACS; excluded high-risk, known CAD, or urgent cath | 500 | Rate of revascularization within 30 days | Evaluates CCTA in an hs-troponin era; shows CCTA reduced outpatient testing and cost but no difference in revascularization or ED discharge | Conducted during daytime hours; modest sample size; generalizability to 24/7 ED practice is limited |
| [29] | CT-COMPARE | 2014 | Randomized Controlled Trial | ED patients presenting with acute chest pain; low-to-intermediate risk | 500 | Length of stay, cost, and diagnostic efficacy comparing CCTA vs. exercise ECG | CCTA reduced ED length of stay and costs while improving diagnostic certainty compared to exercise ECG | Single-center; moderate sample size; outcomes focused on efficiency rather than long-term MACEs |
| [30] | Driessen et al | 2019 | Prospective Diagnostic Accuracy Study | Patients with suspected stable CAD undergoing CTA, FFRCT, PET, SPECT, and invasive FFR | 208 | FFR-CT had the highest per-vessel AUC (0.94), outperforming CCTA, SPECT, and PET; improved accuracy in intermediate lesions | Supports integration of FFR-CT with CCTA for improved diagnostic clarity; aligns with review’s focus on innovation | Single-center; not ED-based; FFR-CT was not evaluable in 17% of vessels |
| [31] | VERDICT Trial (Linde et al.) | 2020 | Multicenter Diagnostic Accuracy Trial | Patients with NSTEACS and at least one high-risk feature | 1023 patients | Diagnostic accuracy of CCTA vs. ICA (≥50% stenosis) | Demonstrates high NPV and safety of early CCTA in high-risk ED patients | Excluded certain subgroups (renal dysfunction, prior CABG, AFib); observational nature of CCTA component |
| [32] | CRISP-CT Inflammation Substudy | 2020 | Observational Subanalysis (Retrospective Cohort) | patients undergoing clinically indicated CCTA with plaque characterization and FAI analysis | 3912 | High perivascular fat attenuation index (FAI) predicted cardiac mortality independent of high-risk plaque; high FAI + HRP = 7.3x risk | Introduces inflammation-sensitive biomarker (FAI) to enhance CCTA-based risk prediction beyond plaque morphology | Retrospective design; FAI cutoff thresholds may need validation; limited to cardiac mortality |
| [17] | RAPID-CTCA (Gray et al.) | 2016 | Randomized Controlled Trial | Patients with suspected ACS and ≥1 high-risk feature | 1748 | All-cause death or non-fatal MI at 1 year; no difference between groups | Examines CCTA’s impact on intermediate-risk ACS patients in ED setting | Did not improve outcomes; slightly longer hospital stay; moderate event rate |
| [33] | ICONIC Study (Conte et al.) | 2020 | Nested Case–Control Analysis | Patients with ACS after CCTA; analyzed by age and sex for plaque morphology | 234 | Plaque characteristics differed by age and sex; younger patients had more non-calcified plaque; older more calcified | Highlights age- and sex-specific variation in high-risk plaque morphology; supports tailored risk assessment from CCTA findings | Retrospective design; limited to ACS patients; not generalizable to all CCTA populations |
| [34] | SCOT-HEART Subanalysis | 2024 | Post Hoc Analysis | Patients from SCOT-HEART cohort; stable chest pain with CCTA follow-up | 6000 | Association between adverse plaque features and future MI risk | Showed 10-fold increase in MI risk in patients with adverse plaque features vs. normal coronaries | Observational, post hoc analysis; cannot determine causality; dependent on plaque characterization accuracy |
| [35] | FACC Study | 2022 | Prospective Multicenter Study | Stable chest pain; Agatston score >399; referred for CTA | 260 | Diagnostic accuracy of FFRCT compared to invasive FFR/ICA in highly calcified coronary arteries | Demonstrates feasibility and prognostic value of FFRCT in patients with severe coronary calcification | Not in ED setting; short 90-day follow-up; limited specificity; inclusion of patients with <30% stenosis |
| [36] | PRECISE-CTCA | 2023 | Prospective Cohort Study | Intermediate hs-troponin in ED | 278 | Intermediate hs-troponin patients benefit from CCTA; identifies occult CAD | Supports integration of CCTA with hs-troponin for triage | Single-center; short-term follow-up (30 days); no randomization or long-term outcome data |
| [37] | ROMICAT-II FFR-CT Substudy | 2019 | Substudy Analysis from ROMICAT-II | Patients with intermediate CCTA stenosis enrolled in ROMICAT-II trial | 68 | Impact of FFR-CT on reclassification of stenosis severity and ICA reduction | FFR-CT reclassified lesions and reduced need for invasive angiography, improving specificity of CCTA | Small sample size; substudy design; observational post hoc analysis |
| [38] | TARGET-CTCA | 2023 (protocol) | Prospective RCT | ED patients with intermediate hs-troponin levels; MI ruled out | 3170 | MI or cardiac death (MACE) | Aims to determine whether CTCA improves outcomes in troponin gray zone patients after MI ruled out | Ongoing trial; final results pending. Long follow-up needed. Effect size may depend on baseline event rates |
| [11] | COURSE Trial (Arslan et al.) | 2025 | Prospective Multicenter Observational | ED patients with inconclusive hs-cTn | 106 | Validates CCTA for ruling out ACS in challenging “gray zone” hs-troponin cases; detects other pathologies | Will influence future guidelines on CCTA for diagnostic uncertainty | Small sample size; excluded prior CAD; not randomized |
Disclaimer/Publisher’s Note: The statements, opinions and data contained in all publications are solely those of the individual author(s) and contributor(s) and not of MDPI and/or the editor(s). MDPI and/or the editor(s) disclaim responsibility for any injury to people or property resulting from any ideas, methods, instructions or products referred to in the content. |
© 2025 by the authors. Licensee MDPI, Basel, Switzerland. This article is an open access article distributed under the terms and conditions of the Creative Commons Attribution (CC BY) license (https://creativecommons.org/licenses/by/4.0/).
Share and Cite
Irannejad, K.; Hubbard, L.; Narashim, A.; Mora, R.; Iskander, B.; Punnanithinont, N.; Ichikawa, K.; Kinninger, A.; Lakshmanan, S.; Roy, S.; et al. Coronary CT Angiography for Acute Chest Pain in the Emergency Department: A Systematic Review of Clinical Utility. Emerg. Care Med. 2025, 2, 46. https://doi.org/10.3390/ecm2030046
Irannejad K, Hubbard L, Narashim A, Mora R, Iskander B, Punnanithinont N, Ichikawa K, Kinninger A, Lakshmanan S, Roy S, et al. Coronary CT Angiography for Acute Chest Pain in the Emergency Department: A Systematic Review of Clinical Utility. Emergency Care and Medicine. 2025; 2(3):46. https://doi.org/10.3390/ecm2030046
Chicago/Turabian StyleIrannejad, Kyvan, Logan Hubbard, Aditya Narashim, Ruben Mora, Beshoy Iskander, Natdanai Punnanithinont, Keishi Ichikawa, April Kinninger, Suvasini Lakshmanan, Sion Roy, and et al. 2025. "Coronary CT Angiography for Acute Chest Pain in the Emergency Department: A Systematic Review of Clinical Utility" Emergency Care and Medicine 2, no. 3: 46. https://doi.org/10.3390/ecm2030046
APA StyleIrannejad, K., Hubbard, L., Narashim, A., Mora, R., Iskander, B., Punnanithinont, N., Ichikawa, K., Kinninger, A., Lakshmanan, S., Roy, S., Chang, D., Budoff, M., & Krishnan, S. (2025). Coronary CT Angiography for Acute Chest Pain in the Emergency Department: A Systematic Review of Clinical Utility. Emergency Care and Medicine, 2(3), 46. https://doi.org/10.3390/ecm2030046

