Abstract
Introduction: Chest pain is one of the most common and high-risk presentations in the emergency department (ED), necessitating timely and accurate evaluation to prevent adverse cardiovascular outcomes. Coronary Computed Tomography Angiography (CCTA) has emerged as a promising non-invasive modality with high sensitivity (90–100%) and a negative predictive value (98–100%) for ruling out significant coronary artery disease (CAD), as evidenced by trials such as ROMICAT II and ACRIN-PA. Despite its expanding role in ED triage, further evaluation of its impact on patient-centered outcomes is essential. Methods: A systematic review was conducted in accordance with PRISMA guidelines. Studies published between January 2010 and June 2025 were identified from PubMed, Embase, and the Cochrane Library. Eligible studies included randomized controlled trials and prospective cohort studies assessing CCTA in ED patients with suspected acute coronary syndrome (ACS), compared with alternative diagnostic strategies, and reporting outcomes, including diagnostic accuracy, time to diagnosis, ED discharge rates, hospital admissions, and cost-effectiveness. Results: Twenty-three studies comprising over 60,000 patients were included. CCTA in low- to intermediate-risk patients significantly reduced diagnostic time (up to 54%), increased early ED discharges, and lowered unnecessary admissions. It consistently demonstrated excellent diagnostic performance, with pooled sensitivity ≥90% and near-perfect negative predictive value. Economic evaluations showed reduced costs due to shorter ED stays and less downstream testing. Challenges included radiation exposure, contrast use, and incidental findings. Conclusions: CCTA enhances ED efficiency and safety in ACS evaluation, offering accurate CAD exclusion and resource optimization. Future studies should explore its long-term cost-effectiveness and integration into high-sensitivity troponin protocols.
1. Introduction
1.1. Background and Clinical Importance
Acute chest pain is a leading cause of emergency department (ED) visits, accounting for approximately 6.3% of all adult presentations in the United States [1]. Despite its high prevalence, only a small fraction of these patients are ultimately diagnosed with acute coronary syndrome (ACS) [2]. The challenge for emergency physicians lies in distinguishing life-threatening cardiac events from benign causes while minimizing unnecessary hospital admissions and invasive testing. Missed diagnoses of myocardial infarction remain a major concern, contributing to substantial morbidity, mortality, and legal liability. Consequently, a precise and efficient diagnostic approach is required to improve patient outcomes and optimize healthcare resource utilization [3].
The common chest pain evaluation in the emergency setting includes a combination of clinical risk assessment, electrocardiography (ECG), serial cardiac biomarker testing, and functional stress testing [4]. While these methods remain essential components of ACS evaluation, they have some limitations. ECG findings can be nonspecific or misleading, serial biomarker testing requires prolonged observation, and functional stress testing lacks the ability to provide direct visualization of coronary anatomy. These limitations may contribute to delayed risk stratification and increased resource use, particularly in cases requiring prolonged observation or additional testing [5,6,7]. Given these challenges, alternative diagnostic strategies that can provide rapid and accurate risk stratification are highly desirable.
1.2. The Role of Coronary Computed Tomography Angiography (CCTA)
CCTA has emerged as a powerful imaging modality for the non-invasive assessment of coronary artery disease (CAD) in patients presenting with acute chest pain [8]. With a sensitivity of approximately 97% and a negative predictive value exceeding 99%, CCTA has demonstrated its ability to effectively rule out significant CAD, particularly in patients with low to intermediate pretest probability of ACS [9,10,11]. Unlike functional stress tests, which assess myocardial ischemia indirectly, CCTA provides direct anatomical visualization of coronary arteries, allowing for the detection of both obstructive and non-obstructive atherosclerosis. In addition to its anatomical precision, CCTA can provide insights into coronary physiology through fractional flow reserve derived from CT (FFR-CT), a computational technique that models blood flow to estimate the hemodynamic significance of coronary stenoses. This fusion of anatomical and physiological assessment enhances the diagnostic utility of CCTA and aids in guiding more precise therapeutic decisions [12,13,14].
Several randomized controlled trials and meta-analyses have evaluated the impact of CCTA on emergency department workflow and patient outcomes. Studies such as the ROMICAT II, ACRIN-PA, and RAPID-CTCA trials have reported that CCTA can significantly reduce hospital length of stay, expedite clinical decision-making, and lower healthcare costs compared to standard care [15,16,17]. In addition, emerging data suggest that CCTA may help identify patients who would benefit from early preventive strategies, potentially improving long-term cardiovascular outcomes.
1.3. Need for a Systematic Review
Despite the endorsement of CCTA in major guidelines, including the 2024 multi-society recommendations in the United States and the European Society of Cardiology (ESC) guidelines, its clinical adoption remains inconsistent. Variability in practice arises due to differing interpretations of its diagnostic accuracy, impact on patient outcomes, and cost-effectiveness. While CCTA has demonstrated advantages such as reduced hospital admissions and expedited decision-making, concerns about radiation exposure, incidental findings, and its effect on long-term cardiovascular outcomes persist.
This systematic review aims to assess the clinical utility of CCTA in adult patients presenting with acute chest pain to the ED. Specifically, it evaluates the diagnostic accuracy, impact on ED workflows, cost-effectiveness, prognostic capabilities, and safety profile of CCTA across a range of risk strata. The review also explores the integration of emerging innovations such as FFR-CT and plaque characterization into CCTA pathways.
2. Methods
2.1. Search Strategy
This systematic review was conducted in accordance with the Preferred Reporting Items for Systematic Reviews and Meta-Analyses (PRISMA) 2020 guidelines. A comprehensive literature search was performed across PubMed, Embase, and The Cochrane Library to identify relevant studies published between 1 January 2010 and 1 June 2025.
A combination of Medical Subject Headings (MeSH) and free-text terms was used to capture a broad range of studies. The PubMed search strategy included the following Boolean terms:
(“Chest Pain”[MeSH] OR “Acute Chest Syndrome”[MeSH] OR “chest pain”[Title/Abstract])
AND (“Emergency Medical Services”[MeSH] OR “Emergency Service, Hospital”[MeSH] OR “emergency department”[Title/Abstract])
AND (“Coronary Disease”[MeSH] OR “Heart Diseases”[MeSH] OR “Acute Coronary Syndrome”[MeSH] OR “coronary artery disease”[Title/Abstract] OR “ACS”[Title/Abstract])
AND (“Tomography, X-Ray Computed”[MeSH] OR “Computed Tomography Angiography”[MeSH] OR “CCTA”[Title/Abstract] OR “CT angiography”[Title/Abstract])
AND (“Diagnosis”[MeSH] OR “Diagnosis, Differential”[MeSH] OR “Predictive Value of Tests”[MeSH] OR “risk stratification”[Title/Abstract] OR “rule-out”[Title/Abstract])
Search terms were tailored for each database by adjusting controlled vocabulary (e.g., EMTREE for Embase) and syntax to ensure consistency in retrieval. Reference lists of included studies and relevant reviews were also screened for additional eligible articles.
No language filters were applied initially. However, only studies published in English were included in the final review. Duplicates were removed using Rayyan AI-based screening tools.
2.2. Eligibility Criteria
Studies were eligible for inclusion if they evaluated adult patients presenting with acute chest pain to an ED and assessed the use of CCTA as part of the diagnostic workup. Eligible study designs included randomized controlled trials, prospective cohort studies, and large observational registries. In all included studies, CCTA was performed in radiology departments adjacent to or near the emergency department, rather than within the ED itself. Only patients who were clinically stable were considered eligible for CCTA. Safety protocols were followed to ensure appropriate monitoring and rapid access to care during and after imaging. To be included, studies were required to report at least one of the following outcomes: diagnostic accuracy, ED discharge rates, time to diagnosis, major adverse cardiac events (MACEs), cost-effectiveness, or safety. In all included studies, CCTA was interpreted by board-certified cardiovascular radiologists or imaging cardiologists, not by emergency physicians.
The review was structured according to the PICO framework. The population (P) consisted of adults (≥18 years) presenting to the ED with acute chest pain. The intervention (I) was the use of CCTA as a diagnostic modality. The comparator (C) included standard care approaches such as serial high-sensitivity troponin testing, ECG, functional stress testing, or invasive coronary angiography. The outcomes (O) were diagnostic performance (sensitivity, specificity, predictive values), ED disposition (e.g., discharge rates), time to diagnosis, downstream testing, MACE incidence, and healthcare costs (Figure 1).
Figure 1.
Pico Framework.
Studies were excluded if they were limited to pediatric or inpatient-only populations, or if they were published as editorials, narrative reviews (unless used to identify original studies), case reports, or conference abstracts without full data. Only studies published in English were considered.
2.3. Data Extraction and Synthesis
Titles and abstracts identified through the search strategy were screened independently by two reviewers (Figure 2). Full-text articles were then assessed for eligibility based on predefined inclusion criteria. Any disagreements were resolved through discussion and consensus. A standardized data extraction template was used to collect key information, including study design, year of publication, sample size, population characteristics, CCTA protocols, comparator tests, clinical outcomes, and key findings. The included studies utilized a range of scanner types, from earlier-generation 64-slice CT systems (e.g., ROMICAT II) to more advanced 128- and 320-slice scanners in recent trials. While slice count was not uniformly reported across studies, image quality was deemed diagnostic in over 95% of cases. Higher-slice-count scanners offer improved spatial resolution, reduced motion artifacts, and lower dependence on heart rate control, contributing to enhanced diagnostic accuracy and reduced need for beta-blockers or scan repetition.
Figure 2.
Study Selection Process for the Systematic Review. * Databases searched included PubMed, Embase, and The Cochrane Library to identify relevant studies published between January 2010 and June 2025.
Due to heterogeneity in the populations, comparators, and outcome reporting, a meta-analysis was not performed. Instead, findings were synthesized narratively to describe the role of CCTA in acute chest pain evaluation. Pooled estimates of diagnostic performance were supplemented, where appropriate, by referencing existing meta-analyses.
2.4. Quality Assessment
Although formal meta-analytic pooling was not conducted, each study was appraised for methodological quality. Randomized trials were assessed using elements from the Cochrane Risk of Bias Tool, focusing on aspects such as allocation concealment, blinding, and outcome completeness. Observational studies were evaluated using adapted criteria from the Newcastle–Ottawa Scale, with attention to selection of cohorts, comparability, and outcome measurement.
2.5. Registration
This systematic review has been registered in the PROSPERO international database of systematic reviews under the registration number CRD4201016944. The protocol can be accessed at https://www.crd.york.ac.uk/prospero/display_record.php?ID=CRD4201016944 (accessed on 30 June 2025).
3. Results
A total of 23 studies encompassing over 60,000 patients were included in this systematic review. These studies span a broad spectrum of clinical scenarios, including low-, intermediate-, and high-risk chest pain presentations. The clinical utility of CCTA was evaluated across five major thematic domains: diagnostic accuracy, workflow efficiency, cost-effectiveness, prognostic value, and safety/comparative strategies. Key study characteristics and outcomes are summarized in Table 1.
Table 1.
Summary table of included studies.
3.1. Diagnostic Accuracy of CCTA
CCTA consistently demonstrated high diagnostic accuracy, with high sensitivity and negative predictive value (NPV), across a broad range of patient populations and study designs. The ROMICAT II trial, a multicenter randomized controlled study involving 1000 patients, evaluated the use of early CCTA in patients presenting to the ED with acute chest pain and no prior history of coronary artery disease [20]. The findings showed that CCTA significantly reduced the median hospital stay by 7.6 h and facilitated direct ED discharge in 47% of patients, compared to only 12% in the standard care group. Notably, there were no missed cases of acute coronary syndrome (ACS) during the 28-day follow-up, confirming the safety of this strategy in early triage. The trial also highlighted CCTA’s efficiency in expediting clinical decision-making, although a modest increase in downstream testing was observed [20].
Similarly, the ACRIN-PA trial, which included 1370 patients with low-to-intermediate risk chest pain, demonstrated a sensitivity of 96% and an NPV of 99% for detecting significant coronary stenosis. This trial reinforced that CCTA could be reliably used to rule out ACS and reduce the need for prolonged ED observation. Patients in the CCTA group had shorter lengths of stay and did not experience undetected adverse cardiac events, supporting the modality’s role in early, safe discharge planning [21].
The CATCH trial, a European multicenter randomized study involving 600 patients, contributed important external validation of CCTA’s diagnostic value and demonstrated that a CCTA-guided treatment strategy was associated with improved long-term clinical outcomes, including a reduction in cardiovascular events. Importantly, CCTA led to earlier initiation of preventive therapies such as statins and antiplatelets, reflecting the influence of anatomical imaging on clinical behavior [23].
The PROMISE trial, a landmark study involving over 10,000 patients with stable chest pain, randomized participants to either CCTA or functional stress testing. CCTA detected obstructive coronary artery disease more frequently (13.3% vs. 10.7%), prompted greater initiation of preventive cardiovascular therapies, and significantly reduced rates of unnecessary invasive coronary angiography. These findings highlight CCTA’s superior diagnostic precision and its ability to guide timely, evidence-based preventive care. Although the trial showed no statistically significant reduction in MACEs at one year, the early diagnostic and therapeutic benefits suggest a strong foundation for improved long-term outcomes [25].
While PROMISE underscored the diagnostic and preventive value of CCTA, the SCOT-HEART trial extended these insights by evaluating long-term outcomes. In this trial of 4146 patients, adding CCTA to standard care led to a 38% relative reduction in non-fatal myocardial infarction over five years (2.3% vs. 3.9%). Follow-up at ten years further demonstrated sustained reductions in coronary heart disease death, nonfatal myocardial infarction, and overall MACEs. This trajectory supports the notion that CCTA’s early anatomical insights, combined with prompt preventive strategies, can meaningfully alter the natural history of coronary disease, though these benefits may only become evident over extended follow-up periods [25,26].
Finally, the VERDICT trial, involving 1023 patients with non-ST-elevation acute coronary syndrome (NSTEACS), assessed the utility of CCTA in a higher-risk population than most other trials. CCTA enabled safe deferral of invasive coronary angiography in nearly one-third of patients, with an NPV of 91%. The findings suggest that CCTA can be safely used even in more acute settings, provided patients are appropriately selected and managed with close clinical follow-up [31].
Taken together, these studies establish CCTA as a reliable diagnostic tool for evaluating acute and stable chest pain. They demonstrate consistent performance in ruling out ACS, shortening ED stays, and influencing downstream care. Moreover, the trials highlight CCTA’s capacity to identify both obstructive and non-obstructive disease, support preventive interventions, and improve long-term outcomes in selected populations.
As demonstrated in Figure 3A,B, curved planar CCTA clearly visualizes a severe focal stenosis in the mid-LAD, confirmed by selective coronary angiography. This highlights CCTA’s excellent correlation with invasive gold standards.
Figure 3.
(A) Curved planar reformatted coronary CT angiography (CCTA) demonstrates a severe (>70%) focal stenosis in the mid left anterior descending artery (LAD), characterized by mixed plaque with both non-calcified and calcified components, as well as eccentric calcification. The red arrow points to a severe (>70%) focal stenosis in the mid LAD. (B) Invasive coronary angiography of the same patient confirms the presence of a severe stenosis in the mid-LAD (arrow).
3.2. Impact on ED Workflow and Discharge
CCTA has also shown the ability to streamline ED operations and reduce hospital burden. The CT-STAT trial demonstrated a 54% reduction in time to diagnosis when comparing CCTA with myocardial perfusion imaging (median 9.2 vs. 15.0 h) [18]. In addition, the ROMICAT II trial reported that CCTA image interpretation typically occurred within 1 h of scan completion. Across most included studies, the total time from scan order to actionable interpretation ranged from 60 to 90 min. While high-sensitivity troponin results may be available within an hour, complete serial testing often requires 3 to 6 h of observation. Therefore, CCTA offers a comparable, and often faster, timeline for definitive CAD rule-out, particularly in low-to-intermediate risk patients.
The CT-COMPARE study reported shorter ED stays and improved diagnostic confidence using CCTA compared to exercise ECG [29]. Among higher-risk patients, the RAPID-CTCA trial demonstrated that early CCTA reduced unnecessary invasive coronary angiography (54% vs. 63%) without altering one-year death or myocardial infarction rates, while decreasing the number of catheterizations yielding no obstructive CAD [39].
The PRECISE-CTCA study focused on patients with indeterminate high-sensitivity troponin values, reporting that CCTA reclassified clinical risk in 68% of cases and enabled safe ED discharge in 42% of patients with no MACEs at 30 days [36]. The ongoing COURSE trial is investigating similar clinical applications in troponin “gray zone” patients, who traditionally undergo prolonged observation or repeat biomarker testing [11].
3.3. Economic and Resource Utilization Outcomes
Multiple trials have demonstrated that CCTA contributes meaningfully to overall cost efficiency in the evaluation of chest pain. Studies such as ROMICAT II, CT-STAT, and PRECISE-CTCA found that CCTA facilitates early ED discharge and reduces unnecessary downstream testing, leading to measurable resource savings [11,15,18]. In PRECISE-CTCA, CCTA was particularly effective among patients with equivocal biomarker profiles, guiding appropriate triage and preventing avoidable hospital admissions [11]. While trials like RAPID-CTCA reported modest upfront cost increases with early CCTA use, these were generally offset by fewer invasive procedures and improved resource allocation [17].
Beyond clinical trials, economic analyses have confirmed CCTA’s high value. The UK National Institute for Health and Care Excellence (NICE) guidelines identified CCTA as the most cost-effective initial test for stable chest pain, with the lowest cost per correct diagnosis of CAD, projecting annual savings of approximately GBP 16 million for the NHS in England alone [40]. Building on these guidelines, a subsequent real-world evaluation by Weir-McCall et al. showed that CCTA use led to cost-neutral chest pain evaluations, accompanied by reductions in both hospitalizations and all-cause mortality in routine clinical settings [41]. Collectively, these findings underscore CCTA’s robust cost-effectiveness and its capacity to improve outcomes without increasing overall expenditures.
3.4. Prognostic Value and Imaging Innovation
CCTA has increasingly demonstrated utility beyond luminal assessment, particularly in identifying patients at elevated long-term cardiovascular risk. The CONFIRM registry showed that greater coronary plaque burden, as measured by a segment involvement score above 4, was strongly predictive of future MACEs [19]. The ICONIC study identified that over 70% of future ACS events originated from non-obstructive fibro-fatty or necrotic plaques, emphasizing the importance of plaque morphology over mere stenosis [33].
In the CRISP-CT study, perivascular fat attenuation index (FAI) was introduced as a marker of coronary inflammation and was independently associated with a 2.5-fold increase in cardiac mortality over five years [32]. Similarly, in the ROMICAT-II FFR-CT substudy, fractional flow reserve derived from CCTA identified hemodynamically insignificant lesions in 36% of cases, avoiding unnecessary ICA [37].
The PACIFIC study provided critical insight into the comparative diagnostic performance of anatomical and functional imaging modalities in the evaluation of stable chest pain. In this prospective diagnostic accuracy study involving 208 patients, the investigators compared CCTA, fractional flow reserve derived from CCTA (FFR-CT), positron emission tomography (PET), single-photon emission computed tomography (SPECT), and invasive FFR as the reference standard. FFR-CT demonstrated the highest per-vessel diagnostic accuracy (AUC 0.94), outperforming CCTA (0.83), SPECT (0.70), and PET (0.87). While PET showed comparable per-patient performance, FFR-CT offered superior vessel-level discrimination and was technically feasible in 83% of vessels. Although the study was not conducted in an ED setting, its findings are highly applicable to ED scenarios involving intermediate-risk patients, where anatomical CCTA alone may be insufficient for clinical decision-making. The results support the integration of FFR-CT into CCTA-based evaluation pathways to enhance diagnostic precision and reduce unnecessary invasive angiography [30].
The PLATFORM study evaluated the impact of integrating fractional flow reserve derived from CT angiography (FFR-CT) into the diagnostic workup of patients with stable chest pain. In this prospective, multicenter comparative effectiveness trial, 584 patients were assigned to either usual care or a diagnostic strategy incorporating CCTA and FFR-CT. Among patients referred for planned invasive coronary angiography, the FFR-CT strategy reduced the rate of catheterizations that revealed no obstructive coronary artery disease from 73% to 12%, without increasing adverse cardiac events. Although FFR-CT was not performed in an emergency setting, the findings highlight its potential to improve diagnostic precision and reduce unnecessary invasive procedures in patients with intermediate-risk presentations, a scenario often encountered in ED chest pain evaluations [27].
Building on this work, the FACC study examined the feasibility and clinical value of FFR-CT in patients with severe coronary artery calcification (Agatston score > 399), a population in which assessment by CCTA may be limited due to blooming artifacts. In a prospective cohort of 260 patients with stable chest pain, FFR-CT was feasible in 94% of cases and demonstrated a per-patient diagnostic accuracy of 71%, with a sensitivity of 87% and specificity of 54%. Notably, patients with FFR-CT >0.80 experienced no MACEs during 90-day follow-up, while nearly all with FFR-CT ≤0.80 were appropriately revascularized. Although not conducted in an ED population, this study supports the broader applicability of FFR-CT in anatomically complex patients and underscores its value in reducing ambiguity in coronary assessments, especially in subgroups where CCTA alone may be inconclusive [35].
The TARGET-CTCA trial is a multicenter randomized controlled trial designed to evaluate whether targeted use of CTCA in patients presenting with acute chest pain and intermediate high-sensitivity troponin levels after ruling out myocardial infarction can reduce the risk of subsequent cardiac events. This event-driven trial will enroll over 3000 patients across the UK and follow them for a median of 36 months, with the primary endpoint being a composite of myocardial infarction or cardiac death. If successful, the trial could redefine risk stratification in ED patients with equivocal biomarker results, a population often discharged without further evaluation despite elevated long-term cardiovascular risk [38].
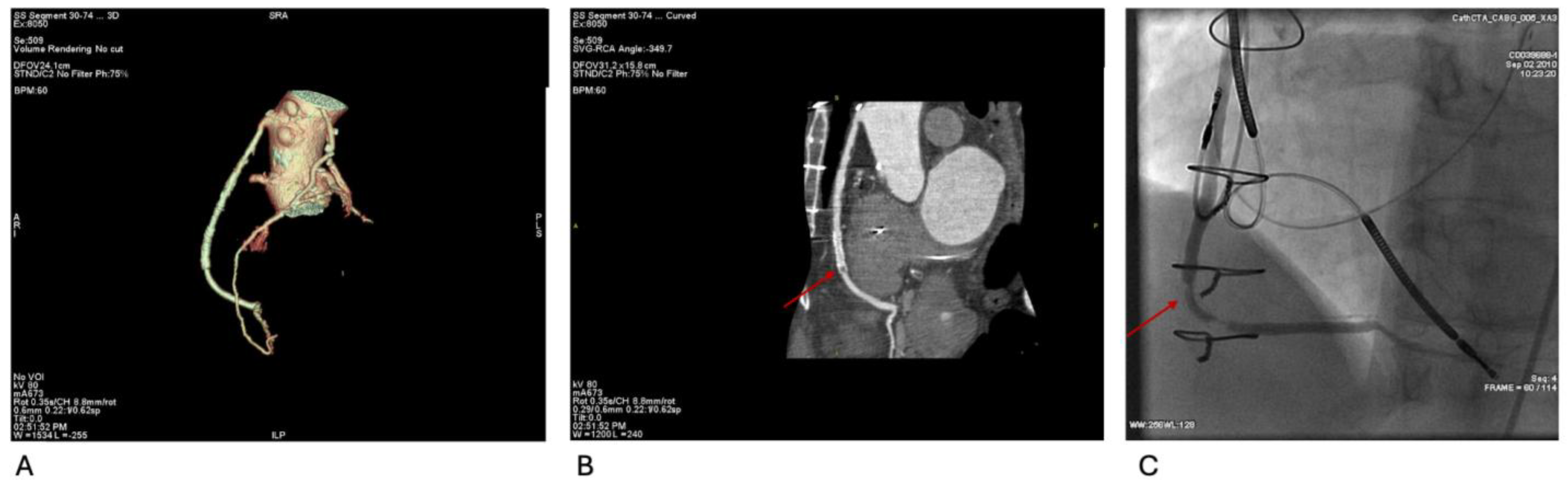
Figure 4A–C illustrate the evaluation of complex CABG anatomy and identification of in-stent restenosis via CCTA and confirmatory angiography. This supports CCTA’s utility in post-revascularization assessment.
Figure 4.
(A) Volume-rendered CCTA demonstrates three-vessel CABG anatomy: LIMA–LAD graft with a sequential saphenous vein graft emerging from the mid-LIMA to a diagonal branch, and a separate saphenous vein graft from the ascending aorta to the right posterior-descending artery (SVG-rPDA). (B) Curved-planar reconstruction of the SVG-rPDA shows a previously deployed stent with marked distal intraluminal hypoattenuation, consistent with in-stent restenosis (arrow). (C) Coronary angiography corroborates severe in-stent restenosis of the SVG-rPDA (arrow).
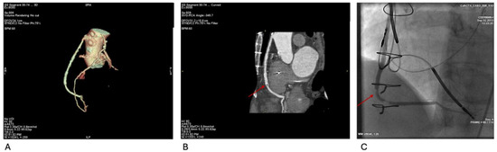
Figure 5A–C demonstrate anomalous LCx anatomy with significant stenosis and corresponding CT-FFR values, underscoring the added value of physiology-based interpretation for guiding therapy.
Figure 5.
(A) Volume-rendered CCTA shows the left circumflex artery (LCx) originating from the proximal right coronary artery (RCA) and coursing retro-orbitally toward the left atrioventricular groove (arrow). (B) Curved-planar reconstruction depicts a severe (>70%) mixed-plaque stenosis in the proximal anomalous LCx (arrow); the ostial segment is normal in caliber. (C) CT-derived fractional flow reserve (CT-FFR) demonstrates preserved values (≥0.80) proximal to the area of stenosis, followed by a drop to <0.80 across the stenosis, indicating physiologic significance.
3.5. Comparative Strategies and Safety
Safety was addressed in several trials. The BEACON study found no difference in ACS detection between CCTA and hs-troponin–based triage (5.8% vs. 5.6%), but CCTA improved anatomical clarity and reduced uncertainty [28]. The SCOT-HEART subanalysis reported a tenfold increase in MI risk among patients with adverse plaque features, reinforcing the prognostic power of advanced CCTA analysis [34]. Modern CCTA protocols employed in studies like CATCH and ICONIC limited radiation exposure to under 5 mSv in most patients. Incidental extracardiac findings were common but rarely led to harmful interventions [23,33].
In addition to biomarker-based comparisons, CCTA has been evaluated against functional imaging modalities such as myocardial perfusion imaging. The PROSPECT trial by Ferencik et al. compared CCTA with radionuclide myocardial perfusion imaging (MPI) in 400 intermediate-risk chest pain patients admitted to telemetry. While no statistically significant difference was observed in the primary outcome, catheterizations not leading to revascularization, CCTA demonstrated a lower overall radiation dose (24 vs. 29 mSv) and more favorable patient experience ratings. Secondary outcomes, including length of stay, downstream utilization, and safety events, were comparable between groups. Though conducted outside the ED setting, the trial’s focus on intermediate-risk, acutely symptomatic patients offers valuable insights for emergency care, particularly regarding patient-centered metrics and radiation exposure [24].
3.6. Summary of Findings
Collectively, the evidence supports CCTA as a rapid, reliable, and safe imaging modality for evaluating acute chest pain in the ED. It reduces time to disposition, facilitates early discharge, and minimizes unnecessary invasive testing. Furthermore, emerging techniques such as FFR-CT and inflammation imaging enhance CCTA’s role in both diagnosis and long-term risk stratification. CCTA’s clinical utility appears strongest in low-to-intermediate risk patients but is increasingly validated in select high-risk groups.
4. Discussion
This systematic review highlights the growing role of CCTA as a frontline diagnostic strategy for patients presenting with acute chest pain in the ED. Across 23 high-quality studies encompassing over 60,000 patients, CCTA consistently demonstrated high diagnostic accuracy, improved ED workflow, supported cost-effective care, and offered prognostic insights beyond conventional testing. Collectively, the findings support the integration of CCTA into modern emergency chest pain pathways, especially for low- to intermediate-risk patients.
One of the most robust findings across multiple randomized trials (including ROMICAT II, ACRIN-PA, PROMISE, and SCOT-HEART) is the ability of CCTA to accurately exclude significant CAD with a negative predictive value exceeding 98%. These studies also confirm that early use of CCTA can significantly reduce time to diagnosis and increase ED discharge rates, often without compromising safety [15,16,26,42]. For instance, in ROMICAT II, nearly half of CCTA patients were discharged directly from the ED, compared to only 12% in standard care, with zero missed ACS events. Such findings reinforce CCTA’s value in rapidly triaging patients, alleviating ED crowding, and reducing unnecessary admissions [15].
Crucially, the DISCHARGE trial adds strong evidence from a stable chest pain population, evaluating CCTA in 3561 patients with intermediate pretest probability of CAD who were referred for invasive coronary angiography (ICA). Over 3.5 years of follow-up, the CCTA strategy showed no significant difference in the rate of major adverse cardiovascular events (2.1% vs. 3.0%; HR 0.70; p = 0.10) compared to ICA but led to fewer procedure-related complications (0.5% vs. 1.9%) and fewer revascularizations. These findings confirm that even in stable outpatient settings, CCTA can safely defer unnecessary invasive testing without sacrificing clinical outcomes, thereby validating its role in risk stratification across the care continuum [43].
Importantly, CCTA findings have been shown to correlate strongly with invasive coronary angiography, the gold standard for CAD diagnosis. A seminal meta-analysis by Meijboom et al. reported high concordance in detecting both obstructive and non-obstructive lesions, with a pooled sensitivity of 99% and specificity of 89% across studies using 64-slice CT scanners. This robust anatomical accuracy supports the reliability of CCTA not only as a rule-out tool but also as a dependable guide for further invasive evaluation when necessary [44].
Importantly, newer studies such as PRECISE-CTCA and the COURSE trial address a persistent clinical challenge: patients with ambiguous high-sensitivity troponin levels, who often face prolonged observation and potentially unnecessary invasive testing. CCTA appears particularly useful in this population, offering anatomical clarification and reclassification of risk. This aligns with evolving emergency medicine models focused on personalized, accelerated pathways [11,45].
From a cost and resource utilization perspective, studies such as CT-STAT and ROMICAT II showed that CCTA use leads to shorter hospital stays and reduced need for downstream testing. These operational advantages translate into lower healthcare expenditures, particularly when combined with improved discharge efficiency. However, cost savings must be balanced against capital investment, personnel training, and scanner availability, factors that may limit broad implementation in smaller or resource-constrained centers [15,18].
Another evolving strength of CCTA lies in its ability to offer prognostic data, particularly when incorporating advanced imaging biomarkers, as shown in the ICONIC and CRISP-CT studies. Rather than assessing stenosis severity alone, these trials emphasized plaque morphology, composition, and inflammatory markers such as FAI. These features have shown independent associations with major adverse cardiac events and offer future pathways for precision risk stratification [32,33,42].
Despite its strengths, several limitations of CCTA must be acknowledged. Although radiation exposure has declined significantly with newer protocols, it remains a concern, especially for younger patients or those requiring serial imaging. Additionally, detection of incidental extracardiac findings, though often benign, can prompt unnecessary workups, increase costs, and cause patient anxiety [46,47,48]. While many trials report improvements in diagnostic efficiency and ED throughput, fewer have shown consistent reductions in hard outcomes like myocardial infarction or mortality, particularly in higher-risk groups. Notably, PROMISE did not demonstrate a 1-year reduction in MACEs, but SCOT-HEART, with extended 5- and 10-year follow-up, showed significant and sustained reductions in coronary events. Lastly, variability in study design, including observational data, heterogeneous endpoints, and differing CCTA protocols, may limit broad generalizability [26,42].
4.1. Clinical Implications
While CCTA offers an anatomically detailed and non-invasive option for ruling out coronary artery disease, its role in low-to-intermediate risk emergency department populations is increasingly well supported. Several studies have demonstrated its superior diagnostic accuracy, efficiency, and patient-centered benefits. However, debate remains over whether simpler tools such as coronary artery calcium (CAC) scoring might serve as a low-cost, rapid alternative in selected populations [49,50,51].
The study by Staniak et al. evaluated the diagnostic performance of CAC scoring in 135 ED patients presenting with chest pain, normal ECG, and normal biomarkers. Using CCTA as the reference standard, they found that a CAC score of zero had a negative predictive value of 95.9% for excluding significant stenosis but failed to detect critical CAD in 3 patients (4.1%) who subsequently underwent revascularization. These findings suggest that while CAC scoring may help rule out CAD in very low-risk patients, it lacks the diagnostic comprehensiveness of CCTA and may miss non-calcified, high-risk plaques, particularly in younger or smoking patients. As such, CAC alone is insufficient for triage in symptomatic ED populations [22].
In alignment with these findings, the 2023 SCCT Expert Consensus Document provides formal guidance for the implementation of CCTA in ED settings. Endorsed by key imaging societies, including the ACR and NASCI, the document supports CCTA as a first-line imaging strategy in low- to intermediate-risk patients with acute chest pain. It emphasizes high negative predictive value, efficiency, and safety, while also addressing practical imaging protocols, patient selection, and the integration of advanced techniques such as FFR-CT, high-risk plaque characterization, and coronary inflammation imaging. This consensus reinforces the role of CCTA not only in safe ED triage but also as a platform for risk-guided preventive interventions [52].
4.2. Future Research Directions
Future studies should focus on the long-term cost-effectiveness of CCTA-guided pathways, as well as head-to-head comparisons with biomarker-based rapid rule-out protocols. Technological innovations, including FFR-CT, AI-driven interpretation, and coronary inflammation imaging, warrant further validation in acute settings. In addition, the impact of CCTA on MACE reduction across risk strata requires rigorous assessment through real-world, multicenter trials in high-risk populations [49,53,54,55].
One such ongoing study is the SCOT-HEART 2 trial, a large randomized controlled trial comparing standard risk scoring to CT coronary angiography in asymptomatic individuals with cardiovascular risk factors. By testing whether direct visualization of coronary atherosclerosis improves preventive strategies and clinical outcomes, the results of this trial are expected to inform future guidelines and expand the role of CCTA beyond acute chest pain evaluation into population-based risk stratification [34].
4.3. Limitations of CCTA in the Emergency Department Setting
While CCTA has proven to be an effective diagnostic modality for evaluating acute chest pain in the ED, offering high sensitivity and excellent negative predictive value for ruling out obstructive coronary artery disease, its routine application is associated with important limitations that warrant critical evaluation [56,57].
A primary concern is the potential for overdiagnosis. CCTA often reveals non-obstructive atherosclerotic plaques or incidental extracardiac findings of uncertain clinical relevance. These may prompt further testing or interventions that increase healthcare utilization and patient anxiety without clear evidence of improving outcomes [58,59].
Another important limitation involves the administration of iodinated contrast agents, which carry a risk of allergic reactions and nephrotoxicity, particularly in patients with underlying renal dysfunction. Similarly, although advancements in CT technology have significantly lowered radiation doses, exposure to ionizing radiation remains a non-negligible concern, especially for younger or lower-risk individuals [60].
Diagnostic accuracy can also be compromised in specific patient groups. Individuals with high coronary calcium burden, atrial fibrillation, elevated body mass index, or those unable to achieve adequate heart rate control may yield suboptimal image quality, limiting CCTA’s reliability in these scenarios. In addition, the implementation of routine CCTA requires substantial logistical and operational support. This includes immediate access to high-resolution CT scanners, trained CT technologists, and 24/7 availability of experienced cardiovascular imagers. Dedicated nursing staff may also be needed to administer medications such as beta-blockers or vasodilators to optimize image acquisition [45,52].
Another notable limitation of CCTA is the reduced image interpretability in patients with dense coronary calcifications or intracoronary stents, due to blooming artifacts. These artifacts can obscure the vessel lumen and impair stenosis assessment. While newer technologies such as photon-counting CT (PCDCT) may mitigate these issues through enhanced spatial resolution and spectral separation, they are currently not available in most institutions and are not routinely used in emergency settings.
Finally, integrating CCTA findings into clinical decision-making pathways requires caution. Without well-defined protocols, there is a risk of escalating care based on findings that may not translate into clinical significance, potentially leading to unnecessary invasive procedures.
4.4. Integration with AI and Emerging Tools
The rapid evolution of artificial intelligence (AI) offers new opportunities to enhance the performance and clinical integration of CCTA. AI-assisted tools are increasingly capable of automating plaque detection, quantifying high-risk features, and predicting major adverse cardiovascular events with high precision [61,62,63]. Emerging algorithms also enable real-time triage support and risk stratification by integrating imaging data with clinical parameters, potentially reducing interpretation time and interobserver variability. These innovations may further increase the scalability of CCTA in busy ED settings, particularly in institutions with limited access to expert cardiac imaging specialists. As prospective validation studies progress, the incorporation of AI into CCTA pathways could represent a pivotal shift toward more personalized, efficient, and data-driven acute chest pain evaluation [64,65].
5. Conclusions
This systematic review demonstrates that CCTA is a clinically effective, operationally efficient, and diagnostically accurate tool for evaluating acute chest pain in the ED. Across a broad spectrum of studies, CCTA consistently showed high sensitivity and negative predictive value, significantly reduced time to diagnosis and hospital admission, and offered promising economic benefits.
Beyond its diagnostic utility, CCTA provides valuable prognostic insights through the identification of high-risk plaque features and emerging applications such as FFR-CT and perivascular inflammation imaging. When integrated into ED workflows, CCTA enables timely, informed decision-making and supports safer discharge of low- to intermediate-risk patients without compromising clinical outcomes.
While challenges remain, including cost, scanner availability, radiation exposure, and incidental findings, the overall body of evidence supports the incorporation of CCTA into contemporary emergency chest pain evaluation algorithms. As technology evolves and prospective data accumulate, CCTA is poised to become an essential pillar of precision cardiovascular care in the acute setting.
Author Contributions
Conceptualization, K.I. (Kyvan Irannejad) and M.B.; methodology, K.I. (Kyvan Irannejad); validation, K.I. (Kyvan Irannejad), L.H. and A.N.; formal analysis, K.I. (Kyvan Irannejad); investigation, K.I. (Kyvan Irannejad), R.M., B.I., N.P., K.I. (Keishi Ichikawa), A.K.; resources, S.L. and S.R.; data curation, K.I. (Kyvan Irannejad), L.H. and A.N.; writing—original draft preparation, K.I. (Kyvan Irannejad); writing, review and editing, M.B., S.K., D.C. and all co-authors; visualization, K.I. (Kyvan Irannejad); supervision, M.B. and S.K.; project administration, S.K.; funding acquisition, M.B. All authors have read and agreed to the published version of the manuscript.
Funding
This research received no external funding.
Data Availability Statement
The data supporting the findings of this review, including the study selection log and extracted data tables, are available from the corresponding author upon reasonable request. No analytic code or software was used, as no meta-analysis was performed.
Conflicts of Interest
Matthew J. Budoff discloses the following: received grants from the following companies: Novo Nordisk, Novartis, Astrazeneca, HeartFlow, GE Healthcare, Amgen, and Boehringer Ingelheim, Department of Defense, Centers for Disease Control, and the National Institutes of Health. Dr Budoff received honoraria from Novo Nordisk, Esperion, AstraZeneca, Merck, Janssen, and Eli Lilly. Srikanth Krishnan discloses the following: received consultant fees from the following companies: Elucid and HeartFlow. The remaining authors have no disclosures.
References
- Vaskas, A.; Marshall, K.; Garg, R.; Fisher, C.; Bower-Stout, C.L.; Hussain, M.; Alghamdi, M.; Patel, J.; Lin, C.; Smith, R.; et al. Effect of a HEART Score Best Practice Alert on Discharge Decisions and Outcomes of Patients Presenting to an Emergency Department with Chest Pain. J. Emerg. Med. 2025, 72, 17–24. [Google Scholar] [CrossRef]
- Alrefaee, A.; Eltawansy, S.; Alshami, A.; Łajczak, P.; Udongwo, N.; Ayob, G.; Ibrahim, H.; Chowdhury, A.; Khan, M.; Al-Harbi, S.; et al. Clinical Care Delivery in Chest Pain Patients Without an Acute Coronary Syndrome—A Retrospective Cohort Study. J. Clin. Med. 2025, 14, 1372. [Google Scholar] [CrossRef] [PubMed]
- Pope, J.H.; Aufderheide, T.P.; Ruthazer, R.; Woolard, R.H.; Feldman, J.A.; Beshansky, J.R.; Griffith, J.L.; Selker, H.P. Missed diagnoses of acute cardiac ischemia in the emergency department. N. Engl. J. Med. 2000, 342, 1163–1170. [Google Scholar] [CrossRef] [PubMed]
- Tzikas, S.; Keller, T.; Post, F.; Blankenberg, S.; Genth-Zotz, S.; Münzel, T. Patient satisfaction in acute coronary syndrome. Improvement through the establishment of a chest pain unit. Herz 2010, 35, 403–409. [Google Scholar] [CrossRef]
- Macdonald, S.P.J.; Nagree, Y.; Fatovich, D.M.; Phillips, M.; Brown, S.G.A. Serial multiple biomarkers in the assessment of suspected acute coronary syndrome: Multiple infarct markers in chest pain (MIMIC) study. Emerg. Med. J. 2013, 30, 149–154. [Google Scholar] [CrossRef]
- Goodacre, S.; Pett, P.; Arnold, J.; Chawla, A.; Hollingsworth, J.; Roe, D.; Gray, A.; Nicholl, J.; Locker, T.; Kelly, A.M.; et al. Clinical diagnosis of acute coronary syndrome in patients with chest pain and a normal or non-diagnostic electrocardiogram. Emerg. Med. J. 2009, 26, 866–870. [Google Scholar] [CrossRef]
- Montgomery, C.M.; Ashburn, N.P.; Snavely, A.C.; Allen, B.; Christenson, R.; Madsen, T.; Peacock, W.F.; Amsterdam, E.; Kontos, M.C.; Mahler, S.A.; et al. Sex-specific high-sensitivity troponin T cut-points have similar safety but lower efficacy than overall cut-points in a multisite U.S. cohort. Acad. Emerg. Med. 2025, 32, 45–53. [Google Scholar] [CrossRef]
- Kumar, V.; Weerakoon, S.; Dey, A.K.; Earls, J.P.; Katz, R.J.; Reiner, J.S.; Blankstein, R.; Choi, A.D.; Budoff, M.J.; Min, J.K.; et al. The evolving role of coronary CT angiography in Acute Coronary Syndromes. J. Cardiovasc. Comput. Tomogr. 2021, 15, 384–393. [Google Scholar] [CrossRef]
- Prazeres, C.E.E.d.; Cury, R.C.; Carneiro, A.C.d.C.; Rochitte, C.E. Coronary computed tomography angiography in the assessment of acute chest pain in the emergency room. Arq. Bras. Cardiol. 2013, 101, 562–569. [Google Scholar] [CrossRef]
- Selvam, P.V.; Grandhi, G.R.; Leucker, T.M.; Arbab-Zadeh, A.; Gulati, M.; Blumenthal, R.S.; Michos, E.D.; Nasir, K.; Rumberger, J.A.; Blankstein, R.; et al. Recent advances in cardiovascular risk assessment: The added value of non-invasive anatomic imaging. J. Cardiovasc. Comput. Tomogr. 2024, 18, 113–119. [Google Scholar] [CrossRef] [PubMed]
- Arslan, M.; Schaap, J.; van Gorsel, B.; Aubanell, A.; Budde, R.P.J.; Hirsch, A.; Delgado, V.; Bax, J.J.; Knaapen, P.; van Royen, N.; et al. Coronary computed tomography angiography improves assessment of patients with acute chest pain and inconclusively elevated high-sensitivity troponins. Eur. Radiol. 2025, 35, 789–797. [Google Scholar] [CrossRef]
- Yang, S.; Koob, B.K. Noninvasive coronary physiological assessment derived from computed tomography. J. Soc. Cardiovasc. Angiogr. Interv. 2024, 3 Pt B, 101304. [Google Scholar] [CrossRef]
- Di Pietro, G.; Improta, R.; De Filippo, O.; Bruno, F.; Birtolo, L.I.; Bruno, E.; Paolillo, S.; D’Ascenzo, F.; Montone, R.A.; Spaccarotella, C.; et al. Clinical impact of CCT-FFR as first-strategy in patients with symptomatic stable coronary artery disease: A systematic review and meta-analysis. J. Cardiovasc. Comput. Tomogr. 2025, 19, 174–182. [Google Scholar] [CrossRef]
- Pontone, G.; Baggiano, A.; Andreini, D.; Guaricci, A.I.; Guglielmo, M.; Muscogiuri, G.; Fusini, L.; Del Torto, A.; Rabbat, M.; Bartorelli, A.L.; et al. Stress computed tomography perfusion versus fractional flow reserve CT derived in suspected coronary artery disease: The PERFECTION study. JACC Cardiovasc. Imaging 2019, 12 Pt 1, 1487–1497. [Google Scholar] [CrossRef]
- Ferencik, M.; Mayrhofer, T.; Puchner, S.B.; Lu, M.T.; Maurovich-Horvat, P.; Liu, T.; Lee, H.; Ivanov, A.; Schoepf, U.J.; Douglas, P.S.; et al. Computed tomography-based high-risk coronary plaque score to predict acute coronary syndrome among patients with acute chest pain—Results from the ROMICAT II trial. J. Cardiovasc. Comput. Tomogr. 2015, 9, 538–545. [Google Scholar] [CrossRef]
- Bamberg, F.; Mayrhofer, T.; Ferencik, M.; Bittner, D.O.; Hallett, T.R.; Janjua, S.; Lee, H.; Truong, Q.A.; Nichols, J.H.; Koenig, W.; et al. Age- and sex-based resource utilisation and costs in patients with acute chest pain undergoing cardiac CT angiography: Pooled evidence from ROMICAT II and ACRIN-PA trials. Eur. Radiol. 2018, 28, 851–860. [Google Scholar] [CrossRef] [PubMed]
- Gray, A.J.; Roobottom, C.; Smith, J.E.; Goodacre, S.; Oatey, K.; O’Brien, R.; Body, R.; Scally, A.; Pufulete, M.; Fairhurst, C.; et al. The RAPID-CTCA trial (Rapid Assessment of Potential Ischaemic Heart Disease with CTCA)—A multicentre parallel-group randomised trial to compare early computerised tomography coronary angiography versus standard care in patients presenting with suspected or confirmed acute coronary syndrome: Study protocol for a randomised controlled trial. Trials 2016, 17, 579. [Google Scholar] [PubMed]
- Goldstein, J.A.; Chinnaiyan, K.M.; Abidov, A.; Achenbach, S.; Berman, D.S.; Hayes, S.W.; Hoffmann, U.; Lesser, J.R.; Mikati, I.A.; O’Neil, B.J.; et al. The CT-STAT (Coronary Computed Tomographic Angiography for Systematic Triage of Acute Chest Pain Patients to Treatment) trial. J. Am. Coll. Cardiol. 2011, 58, 1414–1422. [Google Scholar] [CrossRef] [PubMed]
- Cho, I.; Chang, H.-J.; Sung, J.M.; Pencina, M.J.; Lin, F.Y.; Dunning, A.M.; Achenbach, S.; Al-Mallah, M.; Berman, D.S.; Budoff, M.J.; et al. Coronary computed tomographic angiography and risk of all-cause mortality and nonfatal myocardial infarction in subjects without chest pain syndrome from the CONFIRM Registry (coronary CT angiography evaluation for clinical outcomes: An international multicenter registry). Circulation 2012, 126, 304–313. [Google Scholar] [CrossRef]
- Puchner, S.B.; Liu, T.; Mayrhofer, T.; Truong, Q.A.; Lee, H.; Fleg, J.L.; Nagurney, J.T.; Udelson, J.E.; Hoffmann, U.; Ferencik, M.; et al. High-risk plaque detected on coronary CT angiography predicts acute coronary syndromes independent of significant stenosis in acute chest pain: Results from the ROMICAT-II trial. J. Am. Coll. Cardiol. 2014, 64, 684–692. [Google Scholar] [CrossRef]
- Litt, H.I.; Gatsonis, C.; Snyder, B.; Singh, H.; Miller, C.D.; Entrikin, D.W.; Leaming, J.M.; Gavin, L.J.; Pacella, C.B.; Hollander, J.E.; et al. CT angiography for safe discharge of patients with possible acute coronary syndromes. N. Engl. J. Med. 2012, 366, 1393–1403. [Google Scholar] [CrossRef]
- Staniak, H.L.; Bittencourt, M.S.; Sharovsky, R.; Benseñor, I.; Olmos, R.D.; Lotufo, P.A. Calcium score to evaluate chest pain in the emergency room. Arq. Bras. Cardiol. 2013, 100, 90–93. [Google Scholar] [CrossRef]
- Linde, J.J.; Hove, J.D.; Sørgaard, M.; Kelbæk, H.; Jensen, G.B.; Kühl, J.T.; Kofoed, K.F.; Køber, L.; Torp-Pedersen, C.; Hansen, T.F.; et al. Long-Term Clinical Impact of Coronary CT Angiography in Patients with Recent Acute-Onset Chest Pain: The Randomized Controlled CATCH Trial. JACC Cardiovasc. Imaging 2015, 8, 1404–1413. [Google Scholar] [CrossRef]
- Ferencik, M.; Liu, T.; Mayrhofer, T.; Puchner, S.B.; Lu, M.T.; Maurovich-Horvat, P.; Lee, H.; Ivanov, A.; Kitslaar, P.; Broersen, A.; et al. hs-Troponin I Followed by CT Angiography Improves Acute Coronary Syndrome Risk Stratification Accuracy and Work-Up in Acute Chest Pain Patients: Results from ROMICAT II Trial. JACC Cardiovasc. Imaging 2015, 8, 1272–1281. [Google Scholar] [CrossRef]
- Douglas, P.S.; Hoffmann, U.; Patel, M.R.; Mark, D.B.; Al-Khalidi, H.R.; Cavanaugh, B.; Cole, J.; Dolor, R.J.; Fordyce, C.B.; Huang, M.; et al. Outcomes of anatomical versus functional testing for coronary artery disease. N. Engl. J. Med. 2015, 372, 1291–1300. [Google Scholar] [CrossRef]
- SCOT-HEART Investigators. CT coronary angiography in patients with suspected angina due to coronary heart disease (SCOT-HEART): An open-label, parallel-group, multicentre trial. Lancet 2015, 385, 2383–2391. [Google Scholar] [CrossRef]
- Douglas, P.S.; Pontone, G.; Hlatky, M.A.; Patel, M.R.; Norgaard, B.L.; Byrne, R.A.; Curzen, N.; Purcell, I.; Gutberlet, M.; Rioufol, G.; et al. Clinical outcomes of fractional flow reserve by computed tomographic angiography-guided diagnostic strategies vs. usual care in patients with suspected coronary artery disease: The prospective longitudinal trial of FFR(CT): Outcome and resource impacts study. Eur. Heart J. 2015, 36, 3359–3367. [Google Scholar] [PubMed]
- Dedic, A.; Lubbers, M.M.; Schaap, J.; Lammers, J.; Lamfers, E.J.; Rensing, B.J.; Kharagjitsingh, A.V.; Galema, T.W.; Somsen, G.A.; de Graaf, F.R.; et al. Coronary CT Angiography for Suspected ACS in the Era of High-Sensitivity Troponins: Randomized Multicenter Study. J. Am. Coll. Cardiol. 2016, 67, 16–26. [Google Scholar] [CrossRef] [PubMed]
- Hamilton-Craig, C.; Fifoot, A.; Hansen, M.; Pincus, M.; Chan, J.; Walters, D.L.; Branch, K.; Bett, N.; Burstow, D.; Platts, D.; et al. Diagnostic performance and cost of CT angiography versus stress ECG—A randomized prospective study of suspected acute coronary syndrome chest pain in the emergency department (CT-COMPARE). Int. J. Cardiol. 2014, 177, 867–873. [Google Scholar] [CrossRef] [PubMed]
- Driessen, R.S.; Danad, I.; Stuijfzand, W.J.; Raijmakers, P.G.; Schumacher, S.P.; van Diemen, P.A.; Rijnierse, M.T.; Bom, M.J.; Everaars, H.; Lammertsma, A.A.; et al. Comparison of coronary computed tomography angiography, fractional flow reserve, and perfusion imaging for ischemia diagnosis. J. Am. Coll. Cardiol. 2019, 73, 161–173. [Google Scholar] [CrossRef]
- Linde, J.J.; Kelbæk, H.; Hansen, T.F.; Sigvardsen, P.E.; Torp-Pedersen, C.; Bech, J.; Frøbert, O.; Hove, J.D.; Kjøller, E.; Kühl, J.T.; et al. Coronary CT Angiography in Patients with Non-ST-Segment Elevation Acute Coronary Syndrome. J. Am. Coll. Cardiol. 2020, 75, 453–463. [Google Scholar] [CrossRef] [PubMed]
- Oikonomou, E.K.; Desai, M.Y.; Marwan, M.; Kotanidis, C.P.; Antonopoulos, A.S.; Schottlander, D.; Raggi, P.; Thomas, S.; Sabharwal, N.; Deanfield, J.; et al. Perivascular Fat Attenuation Index Stratifies Cardiac Risk Associated with High-Risk Plaques in the CRISP-CT Study. J. Am. Coll. Cardiol. 2020, 76, 755–757. [Google Scholar] [CrossRef] [PubMed]
- Conte, E.; Dwivedi, A.; Mushtaq, S.; Pontone, G.; Lin, F.Y.; Hollenberg, E.J.; Razzolini, R.; Andreini, D.; Guaricci, A.I.; Volpato, V.; et al. Age- and sex-related features of atherosclerosis from coronary computed tomography angiography in patients prior to acute coronary syndrome: Results from the ICONIC study. Eur. Heart J. Cardiovasc. Imaging 2020, 22, 24–33. [Google Scholar] [CrossRef] [PubMed]
- McDermott, M.; Meah, M.N.; Khaing, P.; Wang, K.-L.; Ramsay, J.; Scott, G.; Hunter, A.; Berry, C.; Williams, M.C.; Mills, N.L.; et al. Rationale and Design of SCOT-HEART 2 Trial: CT Angiography for the Prevention of Myocardial Infarction. JACC Cardiovasc. Imaging 2024, 17, 1101–1112. [Google Scholar] [CrossRef]
- Mickley, H.; Veien, K.T.; Gerke, O.; Lambrechtsen, J.; Rohold, A.; Steffensen, F.H.; Hove, J.D.; Munkholm, H.; Nielsen, T.; Kühl, J.T.; et al. Diagnostic and Clinical Value of FFRCT in Stable Chest Pain Patients with Extensive Coronary Calcification: The FACC Study. JACC Cardiovasc. Imaging 2022, 15, 1046–1058. [Google Scholar] [CrossRef]
- Meah, M.N.; Wereski, R.; Bularga, A.; van Beek, E.J.R.; Dweck, M.R.; Mills, N.L.; Anand, A.; Chapman, A.R.; Lee, K.K.; Adamson, P.D.; et al. Coronary low-attenuation plaque and high-sensitivity cardiac troponin. Heart 2023, 109, 702–709. [Google Scholar] [CrossRef]
- Ferencik, M.; Lu, M.T.; Mayrhofer, T.; Puchner, S.B.; Liu, T.; Maurovich-Horvat, P.; Lee, H.; Ivanov, A.; Foldyna, B.; Nagurney, J.T.; et al. Non-invasive fractional flow reserve derived from coronary computed tomography angiography in patients with acute chest pain: Subgroup analysis of the ROMICAT II trial. J. Cardiovasc. Comput. Tomogr. 2019, 13, 196–202. [Google Scholar] [CrossRef]
- Lee, K.K.; Lowe, D.; O’Brien, R.; Wereski, R.; Bularga, A.; Taggart, C.; Chapman, A.R.; Ferry, A.; Keerie, C.; Collinson, P.; et al. Troponin in acute chest pain to risk stratify and guide effective use of computed tomography coronary angiography (TARGET-CTCA): A randomised controlled trial. Trials 2023, 24, 402. [Google Scholar] [CrossRef]
- Gray, A.J.; Roobottom, C.; Smith, J.E.; Goodacre, S.; Oatey, K.; O’Brien, R.; Keenan, S.; Body, R.; Pufulete, M.; Scally, A.; et al. Early computed tomography coronary angiography in patients with suspected acute coronary syndrome: Randomised controlled trial. BMJ 2021, 374, n2106. [Google Scholar] [CrossRef]
- Moss, A.J.; Williams, M.C.; Newby, D.E.; Nicol, E.D. The Updated NICE Guidelines: Cardiac CT as the First-Line Test for Coronary Artery Disease. Curr. Cardiovasc. Imaging Rep. 2017, 10, 15. [Google Scholar] [CrossRef]
- Weir-McCall, J.R.; Williams, M.C.; Shah, A.S.V.; Roditi, G.; Rudd, J.H.F.; Newby, D.E.; Dweck, M.R.; Mills, N.L.; Adamson, P.D.; van Beek, E.J.R.; et al. National trends in coronary artery disease imaging: Associations with health care outcomes and costs. JACC Cardiovasc. Imaging 2023, 16, 659–671. [Google Scholar] [CrossRef]
- Ferencik, M.; Mayrhofer, T.; Bittner, D.O.; Emami, H.; Puchner, S.B.; Lu, M.T.; Meyersohn, N.; Ivanov, A.; Adami, E.; O’Donnell, C.J.; et al. Use of High-Risk Coronary Atherosclerotic Plaque Detection for Risk Stratification of Patients with Stable Chest Pain: A Secondary Analysis of the PROMISE Randomized Clinical Trial. JAMA Cardiol. 2018, 3, 144–152. [Google Scholar] [CrossRef]
- DISCHARGE Trial Group; Maurovich-Horvat, P.; Bosserdt, M.; Kofoed, K.F.; Rieckmann, N.; Benedek, T.; Donnelly, P.M.; Maurovich-Horvat, E.; Linde, J.J.; Mincu, R.I.; et al. CT or invasive coronary angiography in stable chest pain. N. Engl. J. Med. 2022, 386, 1591–1602. [Google Scholar]
- Budoff, M.J.; Dowe, D.; Jollis, J.G.; Gitter, M.; Sutherland, J.; Halamert, E.; Scherer, M.; Bellinger, R.; Martin, A.; Benton, R.; et al. Diagnostic performance of 64-multidetector row coronary computed tomographic angiography for evaluation of coronary artery stenosis in individuals without known coronary artery disease: Results from the prospective multicenter ACCURACY (Assessment by Coronary Computed Tomographic Angiography of Individuals Undergoing Invasive Coronary Angiography) trial. J. Am. Coll. Cardiol. 2008, 52, 1724–1732. [Google Scholar] [PubMed]
- De Vita, A.; Covino, M.; Pontecorvo, S.; Buonamassa, G.; Marino, A.G.; Marano, R.; Ciciarello, F.; Pugliese, F.; Secinaro, A.; Francone, M.; et al. Coronary CT angiography in the emergency department: State of the art and future perspectives. J. Cardiovasc. Dev. Dis. 2025, 12, 48. [Google Scholar] [CrossRef]
- Knuuti, J.; Bengel, F.; Bax, J.J.; Kaufmann, P.A.; Le Guludec, D.; Perrone Filardi, P.; Marcassa, C.; Ajmone Marsan, N.; Hesse, B.; Kitsiou, A.; et al. Risks and benefits of cardiac imaging: An analysis of risks related to imaging for coronary artery disease. Eur. Heart J. 2014, 35, 633–638. [Google Scholar] [CrossRef] [PubMed]
- Hlatky, M.A.; Iribarren, C. The dilemma of incidental findings on cardiac computed tomography. J. Am. Coll. Cardiol. 2009, 54, 1542–1543. [Google Scholar] [CrossRef]
- Smith-Bindman, R. Use of Advanced Imaging Tests and the Not-So-Incidental Harms of Incidental Findings. JAMA Intern. Med. 2018, 178, 227–228. [Google Scholar] [CrossRef]
- Burch, R.A.; Siddiqui, T.A.; Tou, L.C.; Turner, K.B.; Umair, M. The Cost Effectiveness of Coronary CT Angiography and the Effective Utilization of CT-Fractional Flow Reserve in the Diagnosis of Coronary Artery Disease. J. Cardiovasc. Dev. Dis. 2023, 10, 25. [Google Scholar] [CrossRef] [PubMed]
- Pedersen, E.R.; Hovland, S.; Karaji, I.; Berge, C.; Mohamed Ali, A.; Lekven, O.C.; Ebbing, M.; Skretteberg, P.T.; Bogsrud, T.V.; Gullestad, L.; et al. Coronary calcium score in the initial evaluation of suspected coronary artery disease. Heart 2023, 109, 695–701. [Google Scholar] [CrossRef]
- Pursnani, A.; Chou, E.T.; Zakroysky, P.; Deaño, R.C.; Mamuya, W.S.; Woodard, P.K.; Nagurney, J.T.; Schoepf, U.J.; Udelson, J.E.; Fleg, J.L.; et al. Use of coronary artery calcium scanning beyond coronary computed tomographic angiography in the emergency department evaluation for acute chest pain: The ROMICAT II trial. Circ. Cardiovasc. Imaging 2015, 8, e002225. [Google Scholar] [CrossRef]
- Maroules, C.D.; Rybicki, F.J.; Ghoshhajra, B.B.; Batlle, J.C.; Branch, K.; Chinnaiyan, K.; Earls, J.P.; Ferencik, M.; Min, J.K.; Leipsic, J.; et al. 2022 use of coronary computed tomographic angiography for patients presenting with acute chest pain to the emergency department: An expert consensus document of the Society of Cardiovascular Computed Tomography (SCCT): Endorsed by the American College of Radiology (ACR) and North American Society for Cardiovascular Imaging (NASCI). J. Cardiovasc. Comput. Tomogr. 2023, 17, 146–163. [Google Scholar]
- Tsiachristas, A.; Chan, K.; Wahome, E.; Kearns, B.; Patel, P.; Lyasheva, M.; Heggie, R.; McMeekin, P.; Pufulete, M.; Gray, A.; et al. Cost-effectiveness of a novel AI technology to quantify coronary inflammation and cardiovascular risk in patients undergoing routine Coronary Computed Tomography Angiography. Eur. Heart J. Qual. Care. Clin. Outcomes 2024, 11, 434–444. [Google Scholar] [CrossRef]
- Mittal, T.K.; Hothi, S.S.; Venugopal, V.; Taleyratne, J.; O’Brien, D.; Adnan, K.; Watharkar, S.; Sharma, R.; Sharma, S.; Kelion, A.; et al. The Use and Efficacy of FFR-CT: Real-World Multicenter Audit of Clinical Data with Cost Analysis. JACC Cardiovasc. Imaging 2023, 16, 1056–1065. [Google Scholar] [CrossRef]
- Alalawi, L.; Budoff, M.J. Recent advances in coronary computed tomography angiogram: The ultimate tool for coronary artery disease. Curr. Atheroscler. Rep. 2022, 24, 557–562. [Google Scholar] [CrossRef]
- Gongora, C.A.; Bavishi, C.; Uretsky, S.; Argulian, E. Acute chest pain evaluation using coronary computed tomography angiography compared with standard of care: A meta-analysis of randomised clinical trials. Heart 2018, 104, 215–221. [Google Scholar] [CrossRef] [PubMed]
- McConaghy, J.R.; Sharma, M.; Patel, H. Acute chest pain in adults: Outpatient evaluation. Am. Fam. Physician 2020, 102, 721–727. [Google Scholar]
- Sarto, G.; Simeone, B.; Spadafora, L.; Bernardi, M.; Rocco, E.; Pelle, G.; Fiorelli, M.; Rossi, A.; Ricci, F.; Crea, F.; et al. Management of acute chest pain in the Emergency Department: Benefits of coronary computed tomography angiography. Int. J. Cardiovasc. Imaging 2024, 40, 2447–2457. [Google Scholar] [CrossRef] [PubMed]
- Santangelo, G.; Gherbesi, E.; Donisi, L.; Faggiano, A.; Bergamaschi, L.; Pizzi, C.; Dalla Valle, C.; Marini, M.; Pugliese, F.; Francone, M.; et al. Imaging approaches in risk stratification of patients with coronary artery disease: A narrative review. Arch. Med. Sci. 2025, 21, 16–31. [Google Scholar] [CrossRef]
- Mace, S.E.; Baugh, C.; Pena, M.E.; Takla, R. A comparison of magnetocardiography with noninvasive cardiac testing in the evaluation of patients with chest pain. Am. Heart J. Plus 2025, 54, 100541. [Google Scholar] [CrossRef] [PubMed]
- Dimitriadis, K.; Pyrpyris, N.; Theofilis, P.; Mantzouranis, E.; Beneki, E.; Kostakis, P.; Siasos, G.; Oikonomou, E.; Kalogeras, K.; Vlachopoulos, C.; et al. Computed Tomography Angiography Identified High-Risk Coronary Plaques: From Diagnosis to Prognosis and Future Management. Diagnostics 2024, 14, 1671. [Google Scholar] [CrossRef] [PubMed]
- Thribhuvan Reddy, D.; Grewal, I.; García Pinzon, L.F.; Latchireddy, B.; Goraya, S.; Ali Alansari, B.; Malik, A.; Ahmad, A.; Moustafa, A.; Faruqi, M.; et al. The role of artificial intelligence in healthcare: Enhancing coronary computed tomography angiography for coronary artery disease management. Cureus 2024, 16, e61523. [Google Scholar] [CrossRef] [PubMed]
- Wang, Z.Q.; Li, Z.N.; Ding, Y.D.; Zhang, Y.; Lin, L.; Xu, L.; Huang, Y.; Zhou, Y.; Zhou, H.; Wang, H.; et al. Investigation of the impact of the deep learning based CT fractional flow reserve on clinical decision-making and long-term prognosis in patients with obstructive coronary heart disease. Zhonghua Xin Xue Guan Bing Za Zhi 2024, 52, 1277–1282. [Google Scholar] [PubMed]
- Hinson, J.S.; Taylor, R.A.; Venkatesh, A.; Steinhart, B.D.; Chmura, C.; Sangal, R.B.; Navar, A.M.; Mahler, S.A.; Hollander, J.E.; Peacock, W.F.; et al. Accelerated Chest Pain Treatment with Artificial Intelligence-Informed, Risk-Driven Triage. JAMA Intern. Med. 2024, 184, 1125–1127. [Google Scholar] [CrossRef]
- Gautam, N.; Saluja, P.; Malkawi, A.; Rabbat, M.G.; Al-Mallah, M.H.; Pontone, G.; Andreini, D.; Baggiano, A.; Guaricci, A.I.; Guglielmo, M.; et al. Current and future applications of artificial intelligence in coronary artery disease. Healthcare 2022, 10, 232. [Google Scholar] [CrossRef]
Disclaimer/Publisher’s Note: The statements, opinions and data contained in all publications are solely those of the individual author(s) and contributor(s) and not of MDPI and/or the editor(s). MDPI and/or the editor(s) disclaim responsibility for any injury to people or property resulting from any ideas, methods, instructions or products referred to in the content. |
© 2025 by the authors. Licensee MDPI, Basel, Switzerland. This article is an open access article distributed under the terms and conditions of the Creative Commons Attribution (CC BY) license (https://creativecommons.org/licenses/by/4.0/).




