Abstract
We present a comprehensive study of acral serpiginous hemangioma, a rare vascular pathology. This distinctive manifestation was examined for the first time using high-resolution video dermoscopy (HRVD), high-frequency ultrasound (HFUS), and line-field confocal optical coherence tomography (LC-OCT). The combined application of these techniques provides new and detailed morphological features able to determine the in vivo structure of lesional skin. This innovative non-invasive approach emphasizes the importance of incorporating advanced diagnostic tools able to provide a virtual histology in order to avoid unnecessary biopsies in benign lesions, often causing pain and functional/aesthetic discomfort.
1. Introduction
Angioma serpiginosum (AS) is a rare cutaneous vascular disorder, originally described by Hutchinson in 1889 and later named by Crocker in 1894 [1,2].
Typically emerging in childhood, with 80% of cases diagnosed before the age of 20 and a noticeable female predominance (9:1 ratio) [3].
SA exhibits a slow and progressive development characterized by an increase in both the number and size of lesions, notably during adolescence. This evolution eventually stabilizes in adulthood, with occasional cases demonstrating partial regression [4].
The lower limbs are the most commonly affected site, while the palms, soles, and mucous membranes are usually spared.
Clinical presentation is well-defined by punctate, purplish to copper-red angiomatous maculopapular lesions, either singular or multiple, clustered in linear, serpiginous, or circinate patterns on an erythematous background [5].
Although occurrences are generally sporadic, reports have documented an autosomal dominant pattern of inheritance in some families [6].
Histopathological examination reveals dilated capillaries in both the papillary dermis and superficial reticular dermis. In general, there is an absence of inflammatory cells, erythrocyte extravasation, or hemosiderin deposits [7].
The exact etiopathogenesis of AS remains elusive. While some authors have suggested the possible involvement of estrogen, due to the marked female predominance and increased expansion during adolescence and pregnancy, subsequent studies have refuted this hypothesis, primarily due to the lack of estrogen–progesterone receptors [8]. An alternative hypothesis proposed by Neumann et al. suggests an abnormal response to cold, possibly in conjunction with other unidentified factors [9].
Typically, AS has a unilateral distribution on a single limb. However, atypical clinical presentations characterized by unusual distributions are rarely reported [10]. Notably, among these reports, there are cases with extensive bilateral involvement, as well as cases exhibiting a linear distribution following Blaschko’s lines and some others with a dermatomeric segmental arrangement [11,12,13].
Recently, new non-invasive imaging devices that provide high-resolution skin images, such as high-resolution videodermoscopy (HRVD) [14,15,16], high-frequency ultrasound [15], and line-field confocal optical coherence tomography (LC-OCT) [15,17,18,19], have been successfully employed in vascular skin lesions [14,15,17,18], orienting the diagnostic suspect in atypical/featureless cases.
Here, we described an unusual manifestation of AS presenting as a unique small plantar lesion investigated, for the first time, using combined non-invasive imaging: HRVD, HFUS, and LC-OCT.
2. Case Report
A 29-year-old woman presented a routine mole check. During physical examination, a pigmented lesion was noted on the right sole, in a pressure-bearing area (Figure 1). Upon physical examination, the lesion was a uniformly erythematous macule, approximately 3 cm in diameter with well-defined margins (Figure 1), located between the medial longitudinal arch and the transverse arch of the plantar surface of the foot.
Figure 1.
Clinical appearance of an angioma serpiginosum plantaris at presentation time (a); a 3 cm erythematous macule localized at central medial eminence of the sole, with clear-cut borders and homogeneous pigmentation, in a 29-year-old female (b).
Once questioned about it, the patient reported that the lesion became present within the last 10 years, with minimal gradual enlargement of the lesion and centrifugal expansion shortly after a trip during which she had worn a new, tight boot. The patient did not experience any walking difficulties and denied any history of previous trauma or episodes of bleeding; the lesion was asymptomatic. There are no reported instances of similar cases within the family, and the patient has no history of contact allergies. We performed high-resolution videodermoscopy (HRVD) and an examination using HS600 Horus (Adamo S.r.l., Trapani, Italy), with different enlargements, ranging from 15 to 100×, both in a contact mode (Figure 2b–d) and non-contact mode (Figure 2a).
Figure 2.
Dermoscopic appearance at different magnifications under polarized dermoscopy: (a) 20×, (b) 40×, (c) 80×, (d) 120×. Vascular ectatic capillaries appear as reddish globules (white squares) arranged in a parallel-ridge pattern, in a double line, along the plantar ridges; white dots (white circles) corresponding to the eccrine duct openings of sweat eccrine glands, which are visible inside the double lines. This dermoscopic pattern of one sweat eccrine gland ostium in between two ectatic capillaries structures is magnified in panel (d) and resembles a “beads bracelet”: with this enlargement, the ostia appears as white ovular structures instead of white dots, and this is due to both the enlargement and the peculiar pressure-bearing area of the soles. The beads bracelet clue is thus observed through all the lesions.
Non-contact HRVD images were taken by applying a customized adapter between the skin and the probe—field of view (FOV) of 15 mm (~15×). Under HRVD 15×, multiple reddish globular structures were distinctly observed and linearly arranged (Figure 2a). Significant increases revealed that the reddish globules were disposed in two parallel lines along the epidermal ridges (Figure 2b–d), close to the openings of the eccrine ducts.
The angiomatous macule resisted blanching upon diascopy, even though it was not purpuric.
The LC-OCT can image skin/dermis up to a 500 µm depth, using a field of view of 1.2 mm × 0.5 mm. Due to the combination with a polarized light dermatoscope (field of view of 2.5 mm, resolution of 5 µm), it is possible to simultaneously obtain a double imaging on the device of the screen, namely, the LC-OCT image and the dermoscopic frame (Figure 3). This allows a manual localization of the tip of the LC-OCT probe inside the lesion, as the red bar inside the dermoscopic frame corresponds to the tip of the probe.
Figure 3.
Appearance under the LC-OCT of lesional skin: vertical frame, 500 µm depth, 1200 nm width. Ridges and furrow are visible. Within a ridge, ectatic capillaries (EC) are seen in the dermal papillae at both sides of the sweat eccrine glands ducts (SEG). Ectasic capillaries (a–c) appear as multiple reflective structures with well-defined bright margins, corresponding to small-vessel aggregates. The terminal part of the SEG duct ((a–c), white circle) is clearly seen as a hyper-reflective bright elicoidal structure crossing the stratum corneum and the dermal papilla ((b,c), curly bracket). [SC: stratum corneum, SG: stratum granulosum; SB: stratum basale; DEJ: dermal–epidermal junction; PD: papillary dermis; EC: ectatic paired capillaries, PC: normal paired capillaries. The red line inside the dermoscopic frame the position of the probe tip within the lesion and corresponds to the field of view on a vertical plane of 1.2 mm].
A sequential LC-OCT examination, including 2D (vertical and horizontal) examination and videos, were performed over the lesions at three main points (center of the lesion, lesion margin, perilesional skin, i.e., 1.5 cm from the lesion margin; an examination of healthy skin was also performed as a control). Each examination was performed by applying minimal to no pressure on the skin in order to ensure a correct visualization of the stratum corneum; a drop of paraffin oil was applied to the tip of the handheld probe before application to the skin. Then, by using specific software (MinIP, 3DSlicer, version 4.10.2), it was possible to obtain a 3D image (1.2 × 0.5 × 0.5 mm) of the lesions from each video as previously described [17,20,21].
LC-OCT visualization of the affected skin showed clear patterns of ridges and furrows, as well as ectatic capillaries (EC) located within the dermal papillae, corresponding to normal paired capillaries (PC) in healthy skin. Ectatic capillaries (Figure 3a–c) appear as multiple reflective structures with well-defined bright margins, corresponding to small vessel aggregates. The terminal part of the sweat eccrine gland (SEG) duct is clearly seen as a hyper-reflective bright helical structure crossing the stratum corneum: the white circle indicates the SEG opening; the curly bracket indicates the whole SEG duct. (Figure 3b,c) Inside a ridge, in the middle of the EC lines, the duct of sweat eccrine glands (SEGs) are visible within the papillary dermis and epidermis (Figure 3a–c): this dermoscopic and LC-OCT appearance resembles a “beads bracelets” disposition, in horizontal and vertical view, respectively.
LC-OCT examination of healthy contralateral skin highlighted the presence of small reflective areas with less-defined borders located in dermal papillae, corresponding to paired capillaries (PC) (Figure 3a–c). A normal helical SEG duct is visible across the stratum corneum (Figure 3b,c, curly bracket).
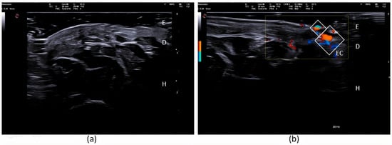
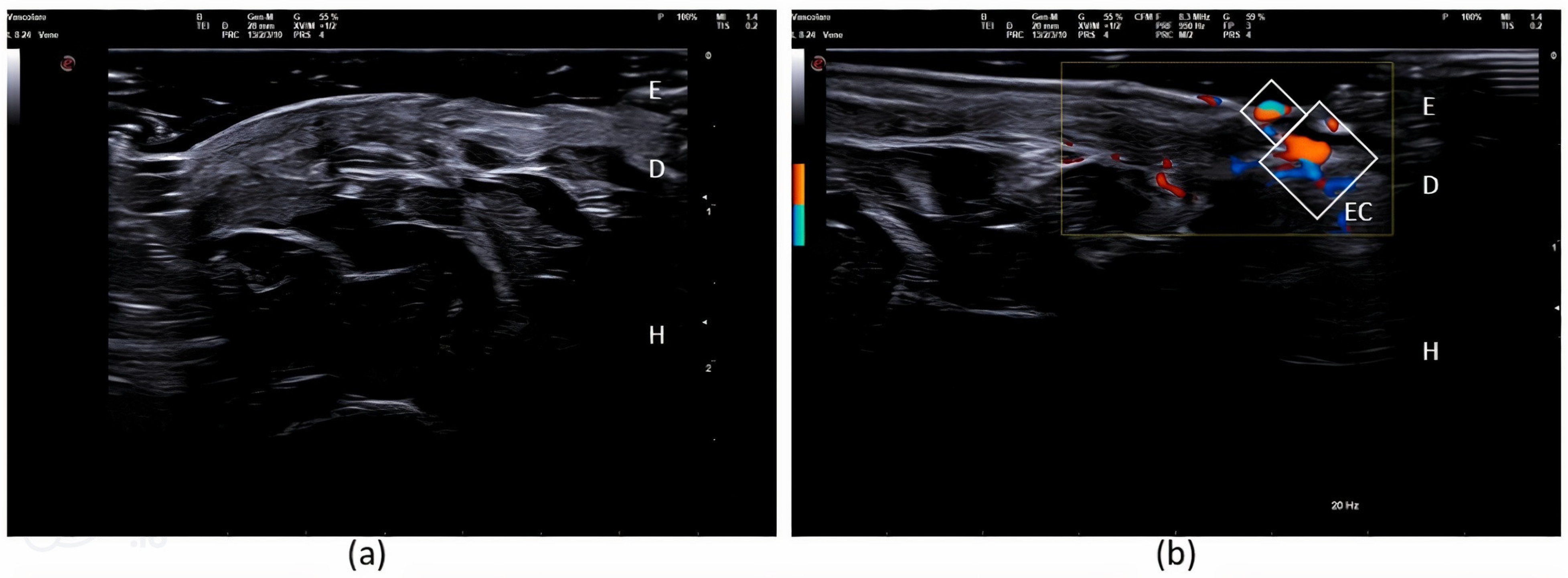
HFUS was performed with minimal pressure at a frequency of 24–40 MHz (Figure 4) at the lesional site. The epidermis appeared as an intensely hyperechoic line, the dermis as a moderately hyperechoic layer, and the hypodermis as an anechoic space with interpose bright lines corresponding to connective strands. Ectatic capillaries (EC) seen in the vertical section are located in the dermal papillae as anechoic structures (Figure 4a).
Figure 4.
Appearance under the LC-OCT of controlateral normal skin, where normal paired capillaries (PC) are visible in dermal papillae, instead of ectatic capillaries. A normal elicoidal SEG duct is visible across the stratum corneum ((a,b), curly bracket)).
HFUS paired with color Doppler analysis, revealed a normal vascular flow at large vessels, and a minimal increase of artero-venous mixed flow in correspondence of ectatic capillaries formations on the top of dermal papillae (Figure 4b, square).
Based on combined high-resolution imaging findings, a diagnosis of plantar AS was made at an early stage and the patient was scheduled for regular follow-up.
3. Discussion
SA has been the subject of classification debates among researchers [10,11,12,13]. Some classify it as a neoplasm driven by an increased proliferation of endothelial cells leading to the development of new capillaries. In contrast, an alternate perspective views the condition as a malformation, pointing to abnormal morphogenesis marked by thickened capillary walls resulting from the deposition of fibrillar material intertwined with collagen fibers.
Extensive lesions might be connected to retinal capillary angiomas or spinal angiomas, but an increased susceptibility to neoplasia has not been documented [3,4,5,6].
Increased levels of estrogens have been proposed in the development of AS: this hypothesis matched with the adolescence onset of the lesions, usually following the Blaschko lines, due to receptor hypersensitivity in those areas.
Given that acral skin was usually spared, the plantar location was considered exceptional. However, from 2008, four cases with sole involvement have been described, as a continuum to the leg involvement. Immunohistochemical studies carried out on lesional tissue in one case showed the absence of estrogen and progesterone receptors within the involved blood vessels, thus another trigger should be addressed rather than hormonal abnormal stimulation [20,21,22,23,24]. Indeed, to the best of our knowledge, only five cases with plantar skin involvement have been reported in the medical literature so far: among them, only one patient had a unique plantar involvement, namely a woman of 51 with a late onset (40 years of age) (Table 1).
Table 1.
Literature review of angioma serpiginosum with plantar skin involvement, including the present case.
This description, therefore, allows for expanding the morphological spectrum of the pathology and provides, at the same time, an additional pathophysiological hypothesis of development related to chronic trauma. Repetitive micro-traumatism at the plantar site was temporally linked to the lesion development in our case.
Non-invasive imaging techniques reaching a high resolution/definition are emerging as extremely helpful tools for dermatologists in daily practice [14,15,16,17,18,19]. Among the five cases with plantar involvement, only two included dermoscopic investigations with standard resolutions of the plantar lesional skin [20,21]. In the late lesions of an adult patient, dermoscopy showed well-demarcated erythematous and round-to-oval vascular lacunae of different dimensions irregularly distributed along the ridges [21].
Conversely, serpiginous globules regularly arranged in a parallel ridge pattern were observed in a recent lesion [20]. These dermoscopic findings are in line with the clinical findings reported upon observing early- or middle-stage AS cases (flat lesions) [22,24] or late-stage AS cases (lesions composed of internal raised globules) [23].
Here, in this case, HRVD imaging provided the first high-definition dermoscopic appearance of an early AS in a young patient, making it possible to see the two parallel lines of red globules (i.e., ectatic capillaries) with a white dot (sweat eccrine gland ostium) in between: this dermoscopic pattern resemble a “beads bracelet” and was detected as repetitive through all the lesion surface; therefore, it is proposed as a new dermoscopic clue for diagnosing AS with polarized light at 30× magnification (Figure 2).
The LC-OCT examination revealed, for the first time, the tridimensional in vivo disposition of these adnexal structures within the dermal papillae underlying a single ridge area; (Figure 3 and Figure 4) moreover, LC-OCT imaging allowed to correlate the HRVD dermoscopic features with the histological findings [3,4].
The same examination carried out on the healthy plantar skin of the patient’s other sole revealed capillaries of normal caliber and disposition, conventionally named as “paired capillaries” according to histopathology [20,21,23]. Indeed, conventional vertical histopathological slides of AS lesions available in the literature showed a section of an ectatic capillary structure located in a dermal papillae, as this clue was required as diagnostic confirmation for AS of other skin areas. However, since on acral skin the sweat eccrine glands are numerous and homogeneously arranged, defining their exact position in vivo is necessary to explain the acral AS dermoscopic findings and define a more specific dermoscopic diagnostic clue. Indeed, the few cases of AS on acral skin described with histopathologic imaging are derived from slices that are not precisely sectioning a ridge with a 45° angle [20,21,23]. Finally, the LC-OCT findings described here are supported by LC-OCT studies on healthy acral skin carried out by our group in previous studies [25].
The visualization under HFUS and the power Doppler analysis allowed dilated ectatic vascular structures corresponding to hypo/anechoic areas to be visualized with increased vascular flow in the papillary dermis (Figure 5). Findings in perilesional healthy skin were normal.
Figure 5.
Sonographic appearance (ultra-high frequency ultrasound—HFUS) of lesional tissue under 24 MHz and 40 MHz. The epidermis appears as an intensely hyperechoic line, the dermis as a moderately hyperechoic layer, and the hypodermis as an anechoic space with interpose bright lines corresponding to connective strands (a). Ectatic capillaries (EC) seen in the vertical section are located in the dermal papillae as anechoic structures. Vascular flow is investigated under color Doppler analysis (b): increased vascular flow and dermal papillae corresponding to ectatic capillaries are present. [E: epidermis; D: dermis; H: hypodermis; EC: ectatic capillaries, square].
Clinically, the differential diagnosis of late-stage AS includes purpura pigmentata [25], unilateral nevoid telangiectasia [26], and angiokeratoma [3,18]. Purpura pigmentata can be differentiated on a clinical level, as it presents with multiple lesions of the lower legs, symmetrically. Unilateral nevoid teleangectasia can be ruled out based on both clinical appearance and dermoscopic level. Clinically, unilateral nevoid teleangectasia appears in multifocal erythematous macules/papules with unilateral linear distribution. Dermoscopy examination reveals red tortuous capillaries arranged in a homogeneous repetitive reticular pattern. However, the clinical history may be similar, as unilateral nevoid teleangectasia can be present at birth or appear during puberty/pregnancy under hormonal stimulation [27].
However, since our case was an early-stage presentation, with a smooth surface and no raised globular structures, those differentials can be ruled out a priori. Instead, a drug-induced plantar pigmentation and circumscribed plantar hypokeratosis can be considered on clinical grounds. Indeed, drug-induced plantar pigmentation is usually seen as unique lesions with clear-cut margins and pigments on the ridge under dermoscopy [16]; however, the color is usually orangish/reddish, and the clinical history of our patient was otherwise mute for drug intake and the color for homogenous pigmentation.
Circumscribed palmar or plantar hypokeratosis (CPH) is a rare, acquired epidermal malformation similar to AS, which is frequently observed in women but between the ages of 40 and 80 years. The clinical examination of CPH usually reveals a rounded, well-circumscribed erythematous depressed lesion with a slightly raised scaly border [28]. The dermoscopy of CPH shows a “ragged” border, mild erythema, some engorged blood vessels and white macules on the base of lesion, with overlying white streaks [29]. This dermoscopic appearance is similar to that of plantar AS; however, CPH is caused by a reduction of about 80% in the thickness of the stratum corneum at the lesional site, making paired capillaries appear bigger, while they are actually just more visible than in normal skin (where the stratum corneum act as an optical barrier) [29,30]. This was clarified by our group in our previous study on multiple CPH cases examined using both dermoscopy and LC-OCT [19]. In our case, the appearance of a depressed surface was only an optical artifact (Figure 1a) that disappeared when observed close up (Figure 1b).
4. Conclusions
Although SA is a benign and asymptomatic dermatological condition, it necessitates careful management due to its substantial aesthetic impact, significantly affecting the quality of life of young individuals with the condition.
There are multiple advantages of the combined non-invasive approach of HRVD, LC-OCT, and HFUS. Firstly, a quick and non-invasive diagnostic investigation at the patient’s bedside; secondly, the possibility of planning a non-invasive follow-up monitoring; and thirdly, the advantage of avoiding a surgical incision in the plantar area, thus reducing functional and clinical discomfort, especially in young active patients.
To the best of our knowledge, this is the first case of AS presenting as a unique small plantar lesion, occurring during adolescence, and investigated with combined non-invasive imaging, such as HRVD, HFUS, and LC-OCT [24,25,26,27,28]. Further investigations into other cases are desirable to confirm the present findings, describing these new observations in a case with unconventional clinical patterns and trauma-induced etiology contribute to our broader understanding of the dermatological presentations of AS at the plantar site. This emphasizes the importance of a comprehensive and adaptable diagnostic approach in clinical practice.
Author Contributions
Conceptualization, L.T. and F.L.M.; methodology, L.T. and F.L.M.; investigation, L.T. and F.L.M.; resources, L.T. and F.L.M.; data curation, L.T. and F.L.M.; writing—original draft preparation, L.T.; writing—review and editing, L.T. and F.L.M.; visualization, E.C.; supervision, E.C. and P.R. All authors have read and agreed to the published version of the manuscript.
Funding
This research received no external funding.
Institutional Review Board Statement
Ethical review and approval were waived for this study due to routinary clinical practice methodology.
Informed Consent Statement
Written informed consent was obtained from the patient.
Data Availability Statement
Data are available from corresponding author upon reasonable request.
Conflicts of Interest
The authors declare no conflicts of interest.
References
- Hutchinson, J. A peculiar form of serpiginous and infective naevoid disease. Arch. Surg. 1889, 1, 275. [Google Scholar]
- Radcliffe Crocker, H. Diseases of the Skin; Blakiston’s Press: Philadelphia, PA, USA, 1905; p. 646. [Google Scholar]
- Sammarco, E.; Ametrano, O. Angioma serpiginosum: Two cases in children and review of literature. Dermatol. Rep. 2022, 14, 9260. [Google Scholar] [CrossRef]
- Namazi, M.R.; Handjani, F. Angioma serpiginosum. Dermatol Online J. 2003, 9, 19. [Google Scholar] [CrossRef] [PubMed]
- Ghanadan, A.; Kamyab-Hesari, K. Dermoscopy of angioma serpiginosum: A case report. Int. J. Dermatol. 2014, 53, 1505–1507. [Google Scholar]
- Sandhu, K.; Gupta, S. Angioma serpiginosum: Report of two unusual cases. J. Eur. Acad. Dermatol. Venereol. 2005, 19, 127–128. [Google Scholar] [CrossRef] [PubMed]
- Ohnishi, T.; Nagayama, T.; Morita, T.; Miyazaki, T.; Okada, H.; Ohara, K.; Watanabe, S. Angioma serpiginosum: A report of 2 cases identified using epiluminescence microscopy. Arch. Dermatol. 1999, 135, 1366–1368. [Google Scholar] [CrossRef]
- Erkek, E.; Bozdogan, O.; Akarsu, C.; Atasoy, P.; Koçak, M. Absence of Estrogen and Progesterone Receptors Around the Affected Vessels of Angioma Serpiginosum. Am. J. Clin. Dermatol. 2006, 7, 383–386. [Google Scholar] [CrossRef] [PubMed]
- Neumann, E. Some new observations on the genesis of angioma serpiginosum. Acta Derm. Venereol. 1971, 51, 194–198. [Google Scholar] [PubMed]
- Katta, R.; Wagner, A. Angioma serpiginosum with extensive cutaneous involvement. J. Am. Acad. Dermatol. 2000, 42, 384–385. [Google Scholar] [CrossRef]
- Vather, D.; Harvey, G.; Agnew, K.; Purvis, D. Two cases of unusually early onset extensive angioma serpiginosum. Australas. J. Dermatol. 2022, 64, e91–e93. [Google Scholar] [CrossRef]
- Gupta, I.; Dayal, S.; Sahu, P.; Sen, R. Angioma Serpiginosum with Soft Tissue Hypertrophy and Palmar Involvement: A Rare Presentation. Indian J. Dermatol. 2023, 68, 354. [Google Scholar] [PubMed]
- Das, A.; Savant, S.S.; Kumar, P.; Hassan, S. Late-onset Segmental Angioma Serpiginosum. Indian J. Dermatol. 2016, 61, 226–227. [Google Scholar] [CrossRef] [PubMed]
- Tognetti, L.; Pianigiani, E.; Ierardi, F.; Cartocci, A.; Fiorani, D.; Quattro, M.; Caini, M.; Oranges, T.; Cinotti, E.; Cevenini, G.; et al. A new clinical and dermoscopic monitoring of infantile hemangiomas treated with oral propranolol. Dermatol. Ther. 2020, 33, e14283. [Google Scholar] [CrossRef] [PubMed]
- Tognetti, L.; Nunziata, L.; Cinotti, E.; Rubegni, P. Acroangiodermatitis with atypical presentation: Diagnostic imaging with high-frequency ultrasound, high-resolution dermoscopy and line-field optical coherence tomography. J. Eur. Acad. Dermatol. Venereol. 2023. [Google Scholar] [CrossRef] [PubMed]
- Tognetti, L.; Fimiani, M.; Rubegni, P. Benign dermoscopic parallel ridge pattern in plantar hyperpigmentation due to capecitabine. Dermatol. Pract. Concept. 2015, 5, 79–81. [Google Scholar] [CrossRef] [PubMed]
- Tognetti, L.; Carraro, A.; Lamberti, A.; Cinotti, E.; Suppa, M.; Perrot, J.L.; Rubegni, P. Kaposi sarcoma of the glans: New findings by line field confocal optical coherence tomography examination. Ski. Res. Technol. 2021, 27, 285–287. [Google Scholar] [CrossRef] [PubMed]
- Tognetti, L.; Cinotti, E.; Coriolani, G.; Suppa, M.; Perrot, J.L.; Vascotto, M.; Grosso, S.; Rubegni, P. Cutaneous lesions of Anderson-Fabry disease examined with a novel technique: Line-field confocal optical coherence tomography. J. Eur. Acad. Dermatol. Venereol. 2022, 36, E371–E373. [Google Scholar] [CrossRef] [PubMed]
- Tognetti, L.; Fiorani, D.; Suppa, M.; Cinotti, E.; Fontaine, M.; Marmol, V.; Rubegni, P.; Perrot, J. Examination of circumscribed palmar hypokeratosis with line-field confocal optical coherence tomography: Dermoscopic, ultrasonographic and histopathologic correlates. Indian J. Dermatol. Venereol. Leprol. 2020, 86, 206–208. [Google Scholar] [CrossRef] [PubMed]
- Freites-Martinez, A.; Moreno-Torres, A.; Núñez, A.H.; Martinez-Sanchez, D.; Huerta-Brogeras, M.; Borbujo, J. Angioma serpiginosum: Report of an unusual acral case and review of the literature. An. Bras. Dermatol. 2015, 90, 26–28. [Google Scholar] [CrossRef]
- Lo, Y.; Chen, Y. Acral angioma serpiginosum: Clinicopathologic and dermoscopic presentation. Australas. J. Dermatol. 2019, 60, E211–E213. [Google Scholar] [CrossRef]
- Bayramgurler, D.; Filinte, D.; Kiran, R. Angioma serpiginosum with sole involvement. Eur. J. Dermatol. 2008, 18, 708–709. [Google Scholar] [PubMed]
- Chen, J.-H.; Wang, K.-H.; Hu, C.-H.; Chiu, J.-S. Atypical Angioma Serpiginosum. Yonsei Med. J. 2008, 49, 509–513. [Google Scholar] [CrossRef] [PubMed]
- Diociaiuti, A.; Cutrone, M.; Rotunno, R.; De Vito, R.; Neri, I.; Pisaneschi, E.; El Hachem, M. Angioma serpiginosum: A case report and review of the literature. Ital. J. Pediatr. 2019, 45, 53. [Google Scholar] [CrossRef] [PubMed]
- Zaldivar Fujigaki, J.L.; Anjum, F. Schamberg Disease. In StatPearls [Internet]; StatPearls Publishing: Treasure Island, FL, USA, 2024. [Google Scholar]
- Sukanya, G.; Sane, R.R.; Ravi, V.N.; Nehete, S.S. Unilateral Nevoid Telangiectasia: An Overlooked Entity. Indian J. Dermatol. 2022, 67, 423–424. [Google Scholar] [PubMed]
- Villela-Segura, U. Dermoscopy as an Important Tool for Differentiating Unilateral Nevoid Telangiectasia and Angioma Serpiginosum. Dermatol. Pract. Concept. 2019, 9, 306–307. [Google Scholar] [CrossRef] [PubMed]
- Aranguren-López, I.; Vildósola-Esturo, S.; Arias-Camisón, I.; López-Pestaña, A. Circumscribed Plantar Hypokeratosis. Actas Dermo-Sifiliográficas 2019, 110, 619–621. [Google Scholar] [CrossRef] [PubMed]
- Nazzaro, G.; Ponziani, A.; Brena, M.; Cavicchini, S. Dermoscopy confirms diagnosis of circumscribed plantar hypokeratosis. J. Am. Acad. Dermatol. 2017, 76, S43–S45. [Google Scholar] [CrossRef]
- Chauvel-Picard, J.; Bérot, V.; Tognetti, L.; Cano, C.O.; Fontaine, M.; Lenoir, C.; Pérez-Anker, J.; Puig, S.; Dubois, A.; Forestier, S.; et al. Line-field confocal optical coherence tomography as a tool for three-dimensional in vivo quantification of healthy epidermis: A pilot study. J. Biophotonics 2021, 15, e202100236. [Google Scholar] [CrossRef]
Disclaimer/Publisher’s Note: The statements, opinions and data contained in all publications are solely those of the individual author(s) and contributor(s) and not of MDPI and/or the editor(s). MDPI and/or the editor(s) disclaim responsibility for any injury to people or property resulting from any ideas, methods, instructions or products referred to in the content. |
© 2024 by the authors. Licensee MDPI, Basel, Switzerland. This article is an open access article distributed under the terms and conditions of the Creative Commons Attribution (CC BY) license (https://creativecommons.org/licenses/by/4.0/).




