Abstract
Gas embolism is a potentially fatal occurrence in which bubbles are introduced into the arterial/venous circulation. A multifocal ischemia could be the life-threatening scenario of that and occurring after diving-related activities, or pulmonary barotrauma, or even iatrogenic procedure capable to cause an accidental introduction of gas into the vasculature. The case here reported concerns the good outcome of one of these rare occurrences thanks to a prompt diagnosis and proper management of the ongoing gaseous lesion. Unfortunately, it remains ethically and technically complex to consider feasible Randomized Clinical Trials (RCTs) in hyperbaric medicine in general, and even more so in this type of eventuality. We are happy to share this further favorable result as we believe it is just thanks to growing documented clinical evidence that now anyone, if ever had to be suffering from gas embolism, in presence of a RCT would widely prefer to be included in the arm that can take advantage of oxygen hyperbaric (HBO) therapy.
1. Introduction
The accidental entry of air into the vasculature can determine two different clinical presentations, decompression sickness (DCS) and arterial gas embolism (AGE). Such nosological entities are often merged into a single term: “decompression illness” (DCI). They are united in name as both usually require the same treatment protocol [1].
The former clinical presentation is usually described as a potential occurrence while practicing underwater activities, with an overall incidence varying from 1 to 3 per 100,000 dives and a magnitude even less common (less than 1 per 100,000 dives) for the sole arterial gas embolism finding. It can be observed when a free ascent causes pulmonary barotrauma to the surface after breathing compressed gas at depth. Air embolism is ultimately due, but not only [2,3,4,5,6,7], to iatrogenic causes, where barotrauma could be originated by assisted ventilation or be introduced during surgery involving the pulmonary or vascular or cardiac systems, or during catheterization procedures or arterial line placements) [8,9,10,11,12,13,14,15,16,17,18,19,20,21,22,23,24,25,26].
An uncommon occurrence, often accompanied by nonspecific symptoms, nevertheless requires having this disorder in mind to analyze better a patient’s history for a prompt and proper differential diagnosis, capable of leading to timely treatment if facing such a case.
If the diagnosis is DCI, the treatment [27] is still inspired by those studies pioneered by the US Navy [28] that promoted the use of oxygen-breathing recompression, firstly aimed to incite the diffusion of the inert gas from bubbles and tissue to the arterial blood [29], to provide, as soon as possible, a reduction in bubble volume and those physical/chemical damages related to this space-occupying inflammatory-like lesion.
When it comes to a Venous Gas Embolism (VGE), generally related to central venous catheter placement, the incidence reported from case series oscillates with a wide range, but still has a low incidence, between 1:47 down to 1:3000 cases [30,31].
2. Materials and Methods
The patient, showing both anthropometric indices and basic parameters within limits, presents to our attention for consultation in Venous Gas Embolism (VGE) in the right ventricle, likely of an iatrogenic nature. History indicated only a generic allergy to medicines, not better documented, and to NSAID and contrast medium. The presentation was of repeated road injuries following a fall from a motorcycle (with malleolar and osseous right leg fracture when the patient was 17 years old, petrol burns at the age of 19, head concussion at the age of 23, eyeball trauma at the age of 28, post-traumatic hearing loss at the age of 33), and disc bulging (L4-L5, L5-S1). The patient was admitted to a local ED three days earlier because of another road accident in which suffered injuries to the right shoulder, pelvis, and right hip, but without evidence of fractures as per radiological findings.
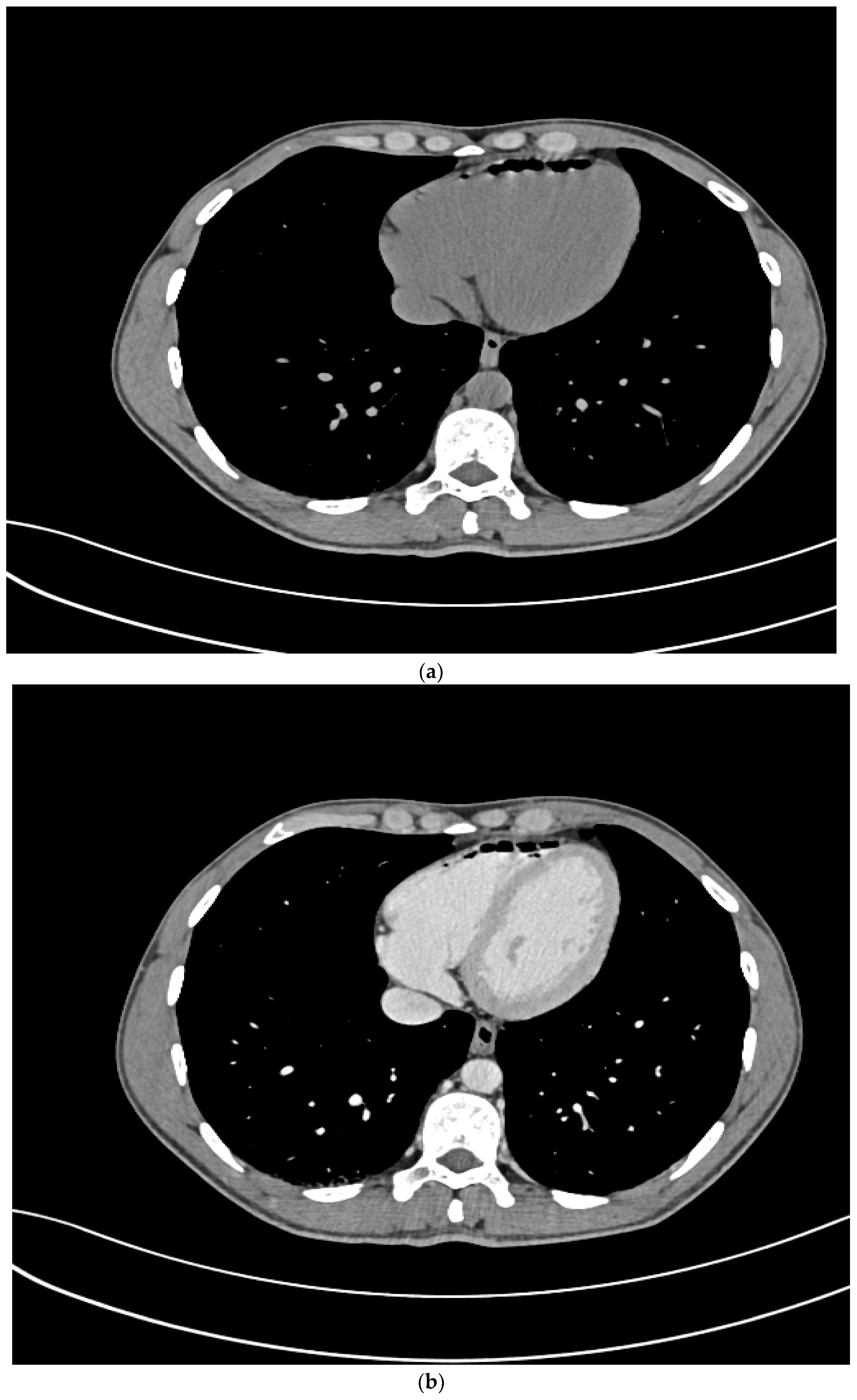
Due to a sudden worsening of the lesion to the lower limb, that was progressively involving the genital region, the patient also underwent a thigh and pelvis CT scan, which was negative for underlying infections, and a chest CT scan, resulting in a positive observation of an air bubble of a diameter of about 5 cm in the right ventricle (Figure 1a,b). For this reason, the patient was sent to our Hyperbaric Unit.
Figure 1.
(a) Pre-HBO: Chest CT scan w/o contrast medium and (b) with contrast medium.
There were neither neurologic symptoms nor cardiac decompensation, and the patient declared to be completely symptom-free, but for the direct trauma.
Facilitated by the fact that the concomitant traumatic insult affected the right hemi soma, the patient has been placed in a partial left lateral decubitus position (Durant maneuver) and, interestingly, we did not register that characteristic splashing auscultatory sound, that “millwheel murmur” we would have had to expect, as indicated due to the presence of gas in the cardiac chambers [32].
3. Results
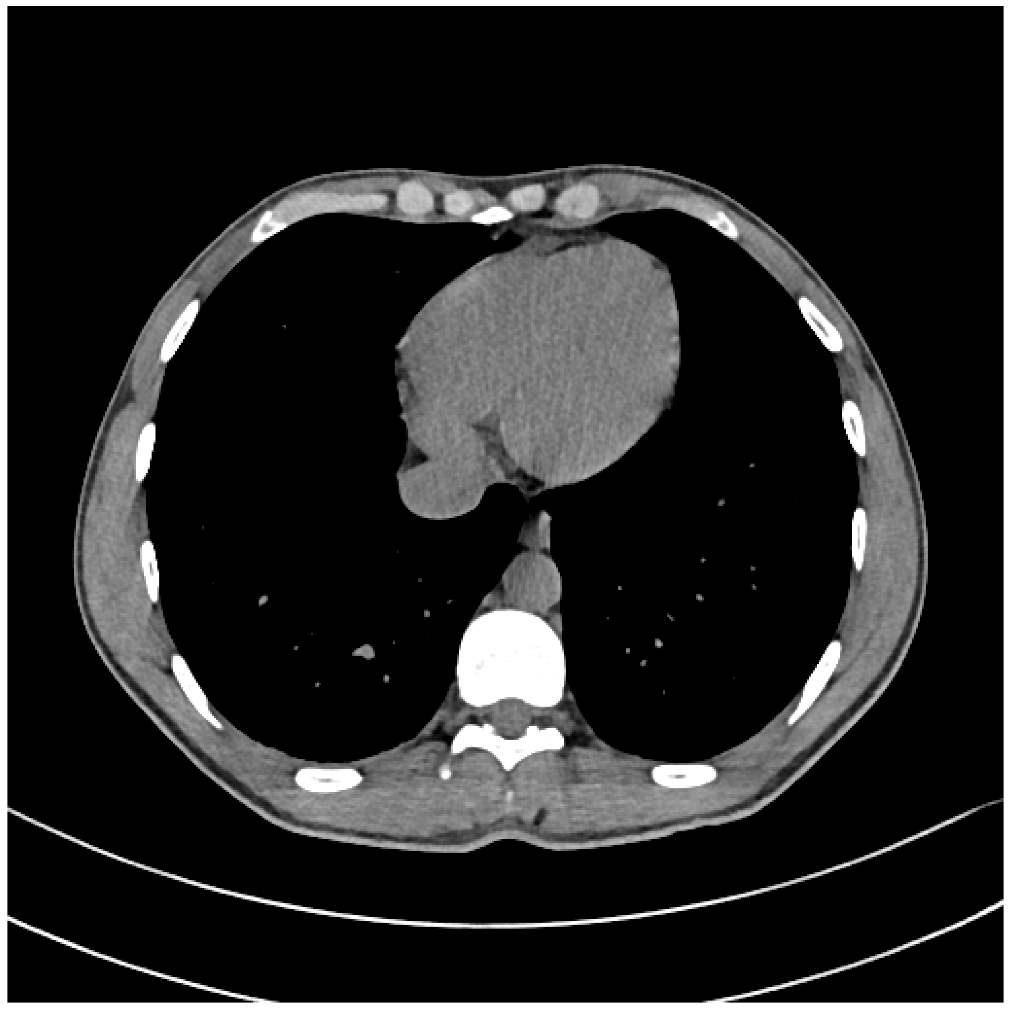
After considering the risk/benefit ratio in the case and excluding any existing apparent absolute contraindications to a Hyperbaric Oxygen (HBO) exposure (i.e., bullous lung disease, concurrent undrained Pneumothorax), we made the patient undergo a slightly modified US Navy Treatment Table 6 (USN TT6.1) (Available at: https://www.uhms.org/images/DCS-and-AGE-Journal-Watch/recompression_therapy_usn_di.pdf, accessed on 28 November 2022, at page 55 of 142 and Chap/Para: 20–5 at Page: 20–13). This specific HBO protocol lasts almost 6 h and is considered the standard of care for these potentially life-threatening occurrences, resulting in a final complete restitution, at least for this air bubble lesion (Figure 2).
Figure 2.
Post-HBO: Chest CT scan w/o contrast medium.
The clinical condition always remained stable during the treatment protocol despite information that large amounts of gas over a short period could sometimes lead to catastrophic right-sided cardiac failure and possibly cardiovascular arrest. Furthermore, these patients might deteriorate rapidly to develop irrecoverable brain damage or cardiac arrest or present some limited improvement with subsequent severe relapse.
4. Discussion
Early recognition and prompt management of any possible DCI clinical presentation can significantly impact the high mortality rate of this life-threatening event. Gas embolism already showed to have an incidence of 2.65 per 100,000 hospitalizations. That incidence would probably have to be reviewed in numbers due to the progressively increase in invasive medical procedures. The steadily increasing in the gas embolism occurrences could also be linked to an improved detection, thanks to the increased use both of end-tidal carbon dioxide and doppler monitoring, nevertheless gas embolism still shows to be an uncommon occurrence.
HBO impacts gaseous embolism thanks to its capability to decrease the bubble size and limit the possible concomitant reperfusion injury.
Through this case report hyperbaric oxygen therapy, even if not routinely used in venous gas embolism, once more has proven to be an effective care option, capable of reducing the bubble surface areas, avoiding the bubble can act as a foreign substance activating the coagulation cascade.
5. Conclusions
Beyond all possible conjectures, HBO has, however, made the day for this patient.
Author Contributions
Conceptualization, V.Z., S.M. and G.B.; methodology, V.Z.; investigation, V.Z., S.M. and G.B.; data curation, V.Z., S.M. and G.B.; writing—original draft preparation, V.Z. and E.C.; writing—review and editing, V.Z. and E.C.; visualization, G.B.; supervision, E.C. All authors have read and agreed to the published version of the manuscript.
Funding
This research received no external funding.
Institutional Review Board Statement
Ethical review and approval were waived for this study is not a research but a locally approved indication to this treatment.
Informed Consent Statement
Patient consent was waived due to reason of therapy given under necessity conditions (The Supreme Civil Cassation Court, Italy—III Civil Section, sentence of 8 November 2019, n. 28814).
Data Availability Statement
Not applicable.
Conflicts of Interest
The authors declare no conflict of interest.
References
- Mitchell, S.J.; Bennett, M.H.; Moon, R.E. Decompression Sickness and Arterial Gas Embolism. N. Engl. J. Med. 2022, 386, 1254–1264. [Google Scholar] [CrossRef] [PubMed]
- Estrera, A.S.; Pass, L.J.; Platt, M.R. Systemic arterial air embolism in penetrating lung injury. Ann. Thorac. Surg. 1990, 50, 257. [Google Scholar] [CrossRef] [PubMed]
- Hill, B.F.; Jones, J.S. Venous air embolism following orogenital sex during pregnancy. Am. J. Emerg. Med. 1993, 11, 155. [Google Scholar] [CrossRef] [PubMed]
- Ho, A.M.; Ling, E. Systemic air embolism after lung trauma. Anesthesiology 1999, 90, 564. [Google Scholar] [CrossRef] [PubMed]
- Platz, E. Tangential gunshot wound to the chest causing venous air embolism: A case report and review. J. Emerg. Med. 2011, 41, e25. [Google Scholar] [CrossRef] [PubMed]
- Taydaş, O.; Onur, M.R.; Akpınar, E. Retrograde Cerebral Air Embolism in a Patient with Intestinal Necrosis: A Case Report. Balk. Med. J. 2017, 34, 371. [Google Scholar]
- Brune, J.E.; Kaech, D.L.; Wyler, D.; Jeker, R. Delayed lethal pulmonary air embolism after a gunshot head injury. BMJ Case Rep. 2018, 2018, bcr2017223545. [Google Scholar] [CrossRef]
- Doblar, D.D.; Hinkle, J.C.; Fay, M.L.; Condon, B.F. Air embolism associated with pulmonary artery catheter introducer kit. Anesthesiology 1982, 56, 307. [Google Scholar] [CrossRef]
- Andersen, K.H. Air aspirated from the venous system during total hip replacement. Anaesthesia 1983, 38, 1175. [Google Scholar] [CrossRef]
- Kane, G.; Hewins, B.; Grannis, F.W., Jr. Massive air embolism in an adult following positive pressure ventilation. Chest 1988, 93, 874. [Google Scholar] [CrossRef]
- Marini, J.J.; Culver, B.H. Systemic gas embolism complicating mechanical ventilation in the adult respiratory distress syndrome. Ann. Intern. Med. 1989, 110, 699. [Google Scholar] [CrossRef]
- Davies, J.M.; Campbell, L.A. Fatal air embolism during dental implant surgery: A report of three cases. Can. J. Anaesth. 1990, 37, 112. [Google Scholar] [CrossRef]
- Morris, W.P.; Butler, B.D.; Tonnesen, A.S.; Allen, S.J. Continuous venous air embolism in patients receiving positive end-expiratory pressure. Am. Rev. Respir. Dis. 1993, 147, 1034. [Google Scholar] [CrossRef]
- Yu, A.S.; Levy, E. Paradoxical cerebral air embolism from a hemodialysis catheter. Am. J. Kidney Dis. 1997, 29, 453. [Google Scholar] [CrossRef]
- Heckmann, J.G.; Lang, C.J.; Kindler, K.; Huk, W.; Erbguth, F.J.; Neundörfer, B. Neurologic manifestations of cerebral air embolism as a complication of central venous catheterization. Crit. Care Med. 2000, 28, 1621. [Google Scholar] [CrossRef] [PubMed]
- Horan, T.A.; Pinheiro, P.M.; Araújo, L.M.; Santiago, F.F.; Rodrigues, M.R. Massive gas embolism during pulmonary nodule hook wire localization. Ann. Thorac. Surg. 2002, 73, 1647. [Google Scholar] [CrossRef]
- Laskey, A.L.; Dyer, C.; Tobias, J.D. Venous air embolism during home infusion therapy. Pediatrics 2002, 109, E15. [Google Scholar] [CrossRef]
- Wong, A.Y.; Irwin, M.G. Large venous air embolism in the sitting position despite monitoring with transoesophageal echocardiography. Anaesthesia 2005, 60, 811. [Google Scholar] [CrossRef]
- Rivara, C.B.; Chevrolet, J.C.; Gasche, Y.; Charbonney, E. Fatal brain gas embolism during non-invasive positive pressure ventilation. BMJ Case Rep. 2008, 2008, bcr0620080163. [Google Scholar] [CrossRef]
- Trytko, B.E.; Bennett, M.H. Arterial gas embolism: A review of cases at Prince of Wales Hospital, Sydney, 1996 to 2006. Anaesth. Intensive Care 2008, 36, 60. [Google Scholar] [CrossRef]
- Bongiorni, M.G.; Di Cori, A.; Soldati, E.; Zucchelli, G.; Segreti, L.; Solarino, G.; De Lucia, R.; Sergi, D. Iatrogenic risk of permanent pacemaker and defibrillator implantation. G. Ital. Di Cardiol. 2009, 10, 395. [Google Scholar]
- Guillard, E.; Nancy, B.; Floch, H.; Henckes, A.; Cochard, G.; Arvieux, J.; Arvieux, C.C. Intracerebral hemorrhage related to systemic gas embolism during hysteroscopy. Undersea Hyperb. Med. 2010, 37, 89. [Google Scholar] [PubMed]
- Xiao, P.X.; Hu, Z.Y.; Zhang, H.; Pan, C.; Duan, B.-X.; Chen, S.-L. Massive pulmonary air embolism during the implantation of pacemaker, case reports and literature analysis. Eur. Rev. Med. Pharm. Sci. 2013, 17, 3157. [Google Scholar]
- Chavalitdhamrong, D.; Donepudi, S.; Pu, L.; Draganov, P.V. Uncommon and rarely reported adverse events of endoscopic retrograde cholangiopancreatography. Dig. Endosc. 2014, 26, 15. [Google Scholar] [CrossRef]
- Ramaswamy, R.; Narsinh, K.H.; Tuan, A.; Kinney, T.B. Systemic Air Embolism following Percutaneous Lung Biopsy. Semin. Interv. Radiol 2014, 31, 375. [Google Scholar]
- Moon, Y.E. Venous air embolism during vitrectomy: A rare but potentially fatal complication. Korean J. Anesth. 2014, 67, 297. [Google Scholar] [CrossRef][Green Version]
- Benson, J.; Adkinson, C.; Collier, R. Hyperbaric oxygen therapy of iatrogenic cerebral arterial gas embolism. Undersea Hyperb. Med. 2003, 30, 117. [Google Scholar]
- Behnke, A.R.; Shaw, L.A. The use of oxygen in the treatment of compressed air illness. Nav. Med. Bull. 1937, 35, 61–72. [Google Scholar]
- Workman, R.D. Treatment of bends with oxygen at high pressure. Aerosp. Med. 1968, 39, 1076–1083. [Google Scholar]
- Mirski, M.A.; Lele, A.V.; Fitzsimmons, L.; Toung, T.J. Diagnosis and treatment of vascular air embolism. Anesthesiology 2007, 106, 164–177. [Google Scholar] [CrossRef]
- Orebaugh, S.L. Venous air embolism: Clinical and experimental considerations. Crit. Care Med. 1992, 20, 1169–1177. [Google Scholar] [CrossRef]
- Duboczky, B.O. Loud Millwheel Murmur Presumably Caused by Air Embolism in a Patient with Pneumoperitoneum. Am. Rev. Tuberc. 1954, 70, 1092–1095. [Google Scholar] [CrossRef]
Publisher’s Note: MDPI stays neutral with regard to jurisdictional claims in published maps and institutional affiliations. |
© 2022 by the authors. Licensee MDPI, Basel, Switzerland. This article is an open access article distributed under the terms and conditions of the Creative Commons Attribution (CC BY) license (https://creativecommons.org/licenses/by/4.0/).

