Leukemia Cutis, a Tricky Diagnosis: A Case Report and Literature Review
Abstract
1. Introduction
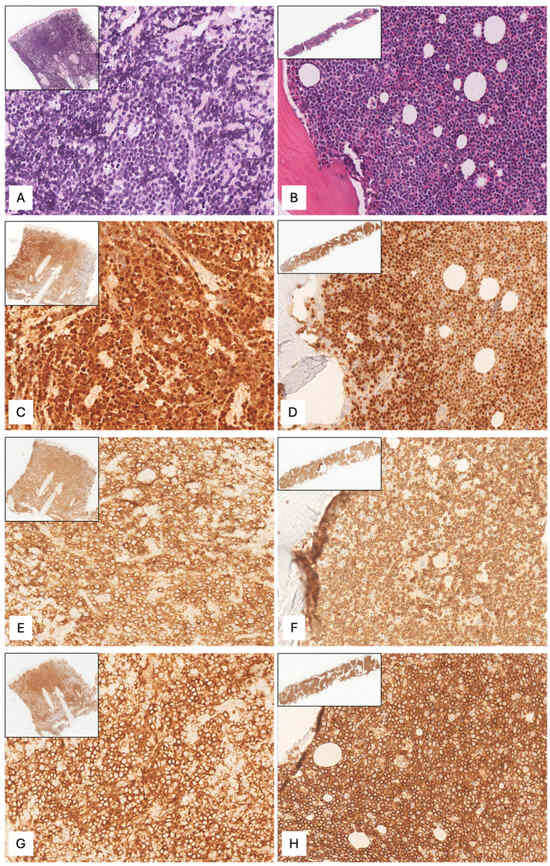
2. Case Presentation
3. Discussion
4. Conclusions
Author Contributions
Funding
Institutional Review Board Statement
Informed Consent Statement
Data Availability Statement
Acknowledgments
Conflicts of Interest
References
- Malard, F.; Mohty, M. Acute lymphoblastic leukaemia. Lancet 2020, 395, 1146–1162. [Google Scholar] [CrossRef]
- Inaba, H.; Greaves, M.; Mullighan, C.G. Acute lymphoblastic leukaemia. Lancet 2013, 381, 1943–1955. [Google Scholar] [CrossRef] [PubMed]
- Robak, E.; Braun, M.; Robak, T. Leukemia Cutis-The Current View on Pathogenesis, Diagnosis, and Treatment. Cancers 2023, 15, 5393. [Google Scholar] [CrossRef] [PubMed] [PubMed Central]
- Vijayasekharan, K.; Bhat, K.V.; Venkatagiri, A.M.; Godkhindi, V.M.; Laxminarayana, S.L.K.; Belurkar, S. Bilateral massive nephromegaly—A rare presentation of t-cell acute lymphoblastic leukemia. Leuk. Res. Rep. 2021, 15, 100246, Erratum in: Leuk. Res. Rep. 2022, 17, 100307. https://doi.org/10.1016/j.lrr.2022.100307. [Google Scholar] [CrossRef] [PubMed] [PubMed Central]
- Bednarkiewicz, J.; Grzejszczak, P.; Szmigielska-Kapłon, A.; Stefańczyk, L.; Wągrowska-Danilewicz, M.; Kurnatowska, I. Acute kidney injury in a patient with T-cell acute lymphoblastic leukemia. Pol. Arch. Intern. Med. 2023, 133, 16346. [Google Scholar] [CrossRef] [PubMed]
- Asdahl, P.H.; Warner, L.F.; Bendix, K.; Hasle, H. Acute renal failure and normal blood count: A rare presentation of T-cell acute lymphoblastic leukemia. Leuk. Res. Rep. 2013, 3, 14–16. [Google Scholar] [CrossRef] [PubMed] [PubMed Central]
- Vadillo, E.; Dorantes-Acosta, E.; Pelayo, R.; Schnoor, M. T-cell acute lymphoblastic leukemia (T-ALL): New insights into the cellular origins and infiltration mechanisms common and unique among hematologic malignancies. Blood Rev. 2018, 32, 36–51. [Google Scholar] [CrossRef]
- Raetz, E.A.; Teachey, D.T. T-cell acute lymphoblastic leukemia. Hematol. Am. Soc. Hematol. Educ. Program. 2016, 2016, 580–588. [Google Scholar] [CrossRef] [PubMed] [PubMed Central]
- Konik, A.; Dührsen, U.; Röth, A. Nodular lesions of the scalp and a mediastinal mass in T cell acute lymphoblastic leukemia. Int. J. Hematol. 2010, 92, 3–4. [Google Scholar] [CrossRef] [PubMed][Green Version]
- Kanoje, P.K.; Khullar, G.; Yadav, A.K.; Saxena, A.K.; Gupta, D.K. Generalized leukemia cutis as the initial manifestation of precursor B-cell acute lymphoblastic leukemia in a young male. Dermatol. Ther. 2021, 34, e14594. [Google Scholar] [CrossRef] [PubMed]
- Arora, P.; Sinha, N.; Malhotra, P.; Kumar, V.; Shastri, A.; Yadav, K. T-cell acute lymphoblastic leukemia with a rare chromosomal translocation presenting as leukemia cutis. Int. J. Dermatol. 2022, 61, e120–e123. [Google Scholar] [CrossRef] [PubMed]
- Zhang, B.; Wang, T. Leukemia cutis in T-cell acute lymphoblastic leukemia: A 3-year follow-up case report. Ann. Palliat. Med. 2023, 12, 200–204. [Google Scholar] [CrossRef]
- Taljanovic, M.S.; Hulett, R.L.; Graham, A.R.; Graham, M.L.; Hunter, T.B. Acute lymphoblastic leukemia of the skin and subcutaneous tissues; the first manifestation of disease in a 6-month-old infant: A case report with literature review. Emerg. Radiol. 2004, 11, 60–64. [Google Scholar] [CrossRef] [PubMed]
- Tsetnov, I.; Haiduk, I.; Lyapichev, K.A. CD3/cd20/CD45 negative leukemia cutis. J. Hematop. 2025, 18, 4, Erratum in: J. Hematop. 2025, 18, 5. https://doi.org/10.1007/s12308-025-00622-0. [Google Scholar] [CrossRef] [PubMed]
- Kaur, D.; Arneja, J.S.; Senger, C.; Chipperfield, K.; Lam, J.; Cheng, S. Cutaneous precursor T-lymphoclastic lymphoma in a child. Pediatr. Blood Cancer 2002, 69, e29635. [Google Scholar] [CrossRef] [PubMed]
- Montes-Torres, A.; Llamas-Velasco, M.; Capusan, T.M.; Aguado, B.; Adrados, M. Cutaneous involvement as the first manifestation of T- lymphoblastic lymphoma and review of the literature. J. Cutan. Pathol. 2019, 46, 372–375. [Google Scholar] [CrossRef] [PubMed]
- Huang, Y.Y.; Liu, M.; Ruth, J.S.; Potensiani, S.; Hsu, S. precursor-Bcell-ALL cutis resembling lipomas: An atypical presentation of a rare entity and review of the literature. Dermatol. Online J. 2017, 15, 23. [Google Scholar] [PubMed]
- Najem, N.; Zadeh, V.B.; Badawi, M.; Kumar, R.; Al-Otaibi, S.; Al-Abdulrazzaq, A. Aleukemic leukemia cutis in a child preceding T-call acute lymphoblastic leukemia. Pediatr. Dermatol. 2011, 28, 535–537. [Google Scholar] [CrossRef] [PubMed]
- Song, H.; Todd, P.; Chiarle, R.; Billett, A.L.; Gellis, S. Primary Cutaneous B-Cell Lymphoblatic Lymphoma Arising from a Long-Standing Lesion in a Child and Review of the literature. Pediatr. Dermatol. 2017, 34, e182–e186. [Google Scholar] [CrossRef] [PubMed]
- Kawamaki, T.; kimura, S.; Kinoshita, A.; Kondo, K.; Soma, Y. Precursor-cell lymphoblastic lymphoma with only cutaneous involvement. Acta Derm. Venereol. 2009, 89, 540–541. [Google Scholar] [CrossRef] [PubMed]
- Bhatia, S.; Prabhu, S.; Prabhu, M.; Parampalli Srinivas, S.; Kudva, R.; Belurkar, S. Leukemia cutis unveiling underlying pre-B-cell acute lymphoblastic leukemia. Australas. J. Dermatol. 2020, 61, e111–e113. [Google Scholar] [CrossRef] [PubMed]
- Jouini, R.; Chabchoub, I.; Khanchel, F.; Helal, I.; Badri, T.; Ben Brahim, E.; Hammami, H.; chadli-Debbiche, A. Primary and isolated cutaneous precursor B-lymphoblastic lymphoma in an infant. Pediatr. Dermatol. 2021, 38, 707–708. [Google Scholar] [CrossRef] [PubMed]
- Kemps, P.G.; Cleven, A.H.G.; van Wezel, T.; van Eijk, R.; Bot, F.J.; Veelken, H.; van Balen, P.; Kerkhoffs, J.H. B-cell lymphoblastic lymphoma with cutaneous involvement and a KMT2A gene rearrangement. Am. J. Hematol. 2020, 95, 1427–1429. [Google Scholar] [CrossRef] [PubMed] [PubMed Central]
- Bandyopadhyay, R.; Bandyopadhyay, S.K.; Dhua, D.; Roy, S. Primary cutaneous precursor B-cell lymphoblastic lymphoma with late dissemination. Singap. Med. J. 2011, 52, e258–e261. [Google Scholar] [PubMed]
- Homminga, I.; Pieters, R.; Langerak, A.W.; de Rooi, J.J.; Stubbs, A.; Verstegen, M.; Vuerhard, M.; Buijs-Gladdines, J.; Kooi, C.; Klous, P.; et al. Integrated transcript and genome analyses reveal NKX2-1 and MEF2C as potential oncogenes in T cell acute lymphoblastic leukemia. Cancer Cell 2011, 19, 484–497. [Google Scholar] [CrossRef] [PubMed]
- Duffield, A.S.; Mullighan, C.G.; Borowitz, M.J. International Consensus Classification of acute lymphoblastic leukemia/lymphoma. Virchows Arch. 2023, 482, 11–26. [Google Scholar] [CrossRef] [PubMed] [PubMed Central]
- Rijneveld, A.W.; van der Holt, B.; Daenen, S.M.; Biemond, B.J.; de Weerdt, O.; Muus, P.; Maertens, J.; Mattijssen, V.; Demuynck, H.; Legdeur, M.C.; et al. Intensified chemotherapy inspired by a pediatric regimen combined with allogeneic transplantation in adult patients with acute lymphoblastic leukemia up to the age of 40. Leukemia 2011, 25, 1697–1703. [Google Scholar] [CrossRef] [PubMed]
- Muffly, L.; Alvarez, E.; Lichtensztajn, D.; Abrahão, R.; Gomez, S.L.; Keegan, T. Patterns of care and outcomes in adolescent and young adult acute lymphoblastic leukemia: A population-based study. Blood Adv. 2018, 2, 895–903. [Google Scholar] [CrossRef] [PubMed] [PubMed Central]
- Lee, J.W. Optimal therapy for adolescents and young adults with acute lymphoblastic leukemia-current perspectives. Blood Res. 2020, 55, S27–S31. [Google Scholar] [CrossRef] [PubMed] [PubMed Central]
- Curran, E.; Stock, W. How I treat acute lymphoblastic leukemia in older adolescents and young adults. Blood J. Am. Soc. Hematol. 2015, 125, 3702–3710. [Google Scholar] [CrossRef] [PubMed]
- Bakr, M.; Rasheed, W.; Mohamed, S.Y.; Al-Mohareb, F.; Chaudhri, N.; Al-Sharif, F.; Al-Zahrani, H.; Al-Dawsari, G.; Saleh, A.J.; Nassar, A.; et al. Allogeneic hematopoietic stem cell transplantation in adolescent and adult patients with high-risk T cell acute lymphoblastic leukemia. Biol. Blood Marrow Transplant. 2012, 18, 1897–1904. [Google Scholar] [CrossRef] [PubMed]
- Hahn, T.; Wall, D.; Camitta, B.; Davies, S.; Dillon, H.; Gaynon, P.; Larson, R.A.; Parsons, S.; Seidenfeld, J.; Weisdorf, D.; et al. The role of cytotoxic therapy with hematopoietic stem cell transplantation in the therapy of acute lymphoblastic leukemia in adults: An evidence-based review. Biol. Blood Marrow Transplant. 2006, 12, 1–30. [Google Scholar] [CrossRef] [PubMed]
- Rowe, J.M.; Buck, G.; Burnett, A.K.; Chopra, R.; Wiernik, P.H.; Richards, S.M.; Lazarus, H.M.; Franklin, I.M.; Litzow, M.R.; Ciobanu, N.; et al. Induction therapy for adults with acute lymphoblastic leukemia: Results of more than 1500 patients from the international ALL trial: MRC UKALL XII/ECOG E2993. Blood 2005, 106, 3760–3767. [Google Scholar] [CrossRef] [PubMed]
- La Starza, R.; Pierini, V.; Pierini, T.; Nofrini, V.; Matteucci, C.; Arniani, S.; Moretti, M.; Lema Fernandez, A.G.; Pellanera, F.; Di Giacomo, D.; et al. Design of a Comprehensive Fluorescence in Situ Hybridization Assay for Genetic Classification of T-Cell Acute Lymphoblastic Leukemia. J. Mol. Diagn. 2020, 22, 629–639. [Google Scholar] [CrossRef]



| Age and Sex | B/T—ALL/LBL | Extramedullary Involvement | Treatment | Follow-Up |
|---|---|---|---|---|
| 18-months, F [4] | T-ALL | Kidney | aBFM *1 | |
| 10 y, M [5] | T-ALL | Kidney + brain | NOPHO protocol *2 | CR |
| 43 y, F [6] | T-ALL | Kidney and lymphadenopathies (relapse) | Steroids + cyclophosphamide | Dead (COVID-19) |
| 20 y, M [9] | T-ALL | Skin (scalp), lymphadenopathies, and mediastinum | GMALL *3 | |
| 20 y, M [10] | B-ALL | Skin and lymphadenopathies | Modified BFM-95 | |
| 23 y, F [11] | T-ALL | Skin (face and trunk), lymphadenopathies, and spleen | ||
| 50 y, F [12] | T-ALL | Skin (face, trunk, and lower extremities) and lymphadenopathies | VDLD *4+alloHSCT | CR |
| 6-months [13] | T-ALL | Skin (knee) and subcutaneous tissue (skin) | ||
| 56 y, M [14] | B-ALL | Skin | ||
| 2 y, M [15] | T-ALL | Skin (face) | ||
| 49 y, F [16] | B-LBL | Skin (sternal and breast) | PETHEMA *5 LAL AR 2011 | Relapse |
| 22 y, M [17] And review of 12 pre-B-ALL | B-ALL | Skin (face and scalp) | HyperCVAD *6 | |
| 8 y, M [18] | T-ALL | Skin (shins) | ||
| 4y, M and review of 31 B-LBL [19] | B-LBL | Skin only | ||
| 10 y, M [20] | B-LBL | Skin only (scalp) | ||
| 52 y, F [21] | B-ALL | Skin (face, chest, trunks, and arms) | ||
| 7-months, M [22] | B-LBL | Skin (forehead) | Relapse, dead | |
| 30 y, M [23] | B-LBL | Skin (back) and lymphadenopathies | HOVON100 *7+HSCT | CR |
| 20 y, F [24] | B-LBL | Skin (face and extremities) | Dead |
Disclaimer/Publisher’s Note: The statements, opinions and data contained in all publications are solely those of the individual author(s) and contributor(s) and not of MDPI and/or the editor(s). MDPI and/or the editor(s) disclaim responsibility for any injury to people or property resulting from any ideas, methods, instructions or products referred to in the content. |
© 2025 by the authors. Licensee MDPI, Basel, Switzerland. This article is an open access article distributed under the terms and conditions of the Creative Commons Attribution (CC BY) license (https://creativecommons.org/licenses/by/4.0/).
Share and Cite
De Santis, V.; Mariani, S.; Pileggi, G.; Lubrano Lobianco, F.; Conte, E.; Maiorana, G.; Togni, C.; Piedimonte, M.; Di Napoli, A.; Persechino, S.; et al. Leukemia Cutis, a Tricky Diagnosis: A Case Report and Literature Review. Hemato 2025, 6, 38. https://doi.org/10.3390/hemato6040038
De Santis V, Mariani S, Pileggi G, Lubrano Lobianco F, Conte E, Maiorana G, Togni C, Piedimonte M, Di Napoli A, Persechino S, et al. Leukemia Cutis, a Tricky Diagnosis: A Case Report and Literature Review. Hemato. 2025; 6(4):38. https://doi.org/10.3390/hemato6040038
Chicago/Turabian StyleDe Santis, Valentina, Sabrina Mariani, Giulia Pileggi, Federica Lubrano Lobianco, Esmeralda Conte, Gianluca Maiorana, Chiara Togni, Monica Piedimonte, Arianna Di Napoli, Severino Persechino, and et al. 2025. "Leukemia Cutis, a Tricky Diagnosis: A Case Report and Literature Review" Hemato 6, no. 4: 38. https://doi.org/10.3390/hemato6040038
APA StyleDe Santis, V., Mariani, S., Pileggi, G., Lubrano Lobianco, F., Conte, E., Maiorana, G., Togni, C., Piedimonte, M., Di Napoli, A., Persechino, S., Rogges, E., & Tafuri, A. (2025). Leukemia Cutis, a Tricky Diagnosis: A Case Report and Literature Review. Hemato, 6(4), 38. https://doi.org/10.3390/hemato6040038

