The Transition from Pemphigus Foliaceus to Pemphigus Vegetans—An Intriguing Phenomenon within the Spectrum of Autoimmune Blistering Diseases: A Case Report
Abstract
1. Introduction
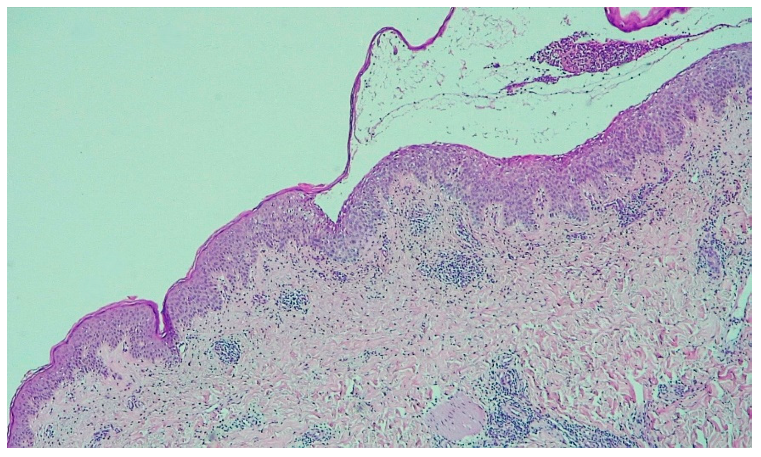
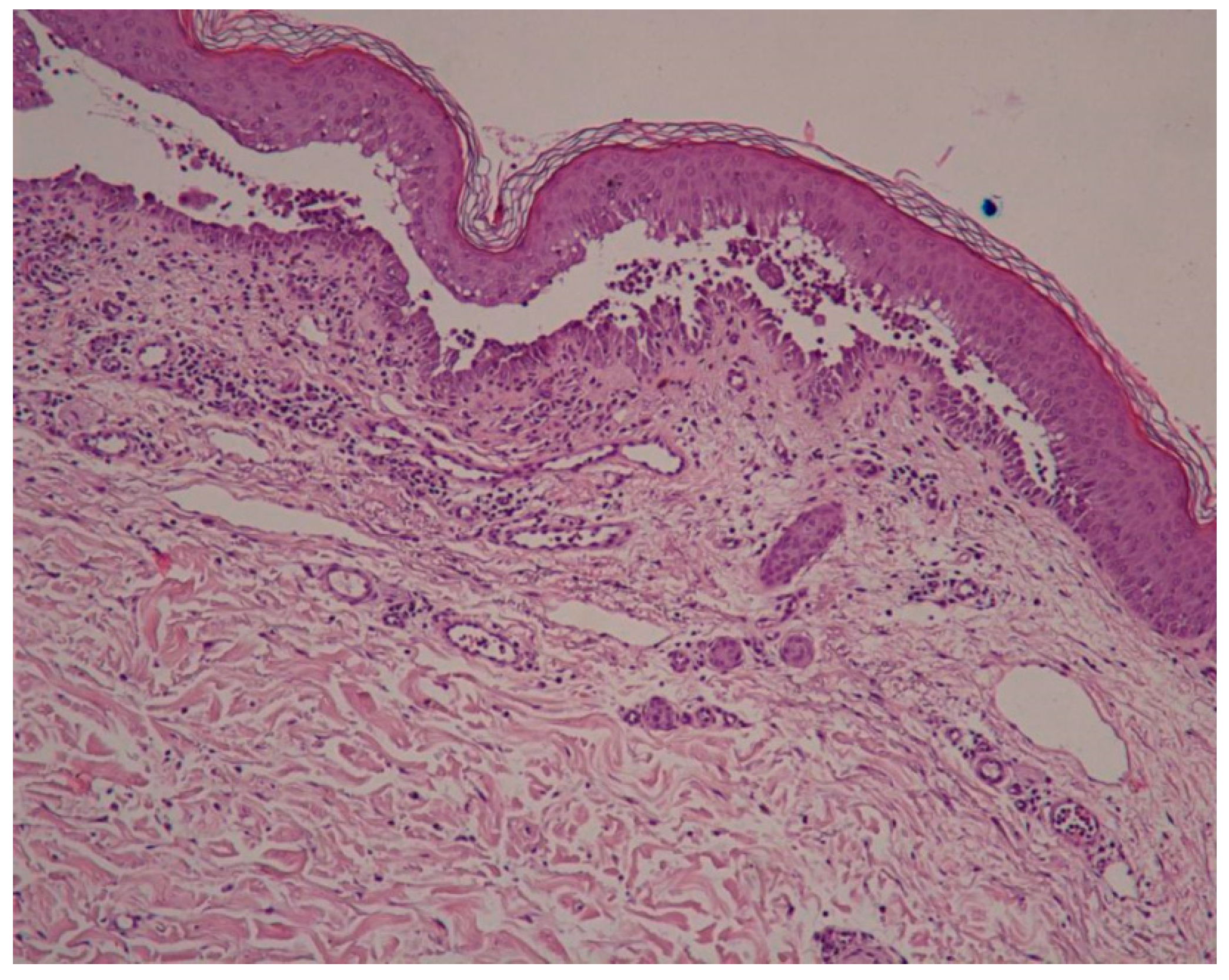
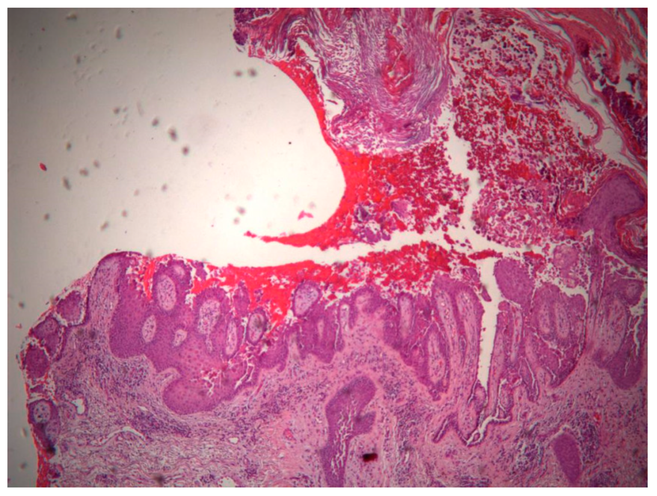
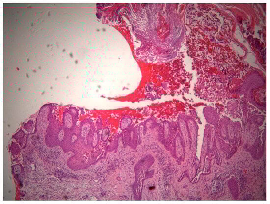
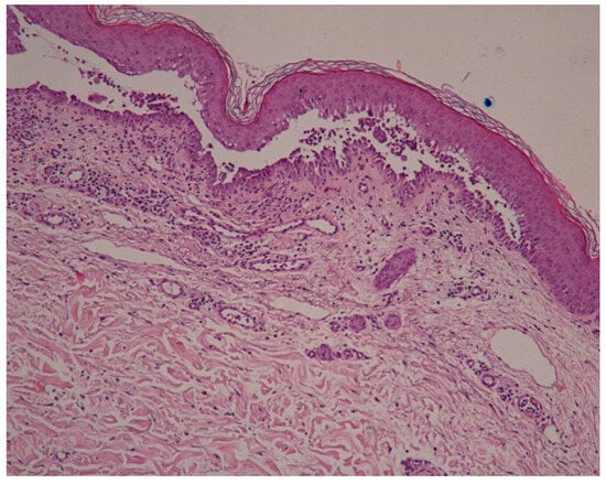
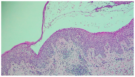
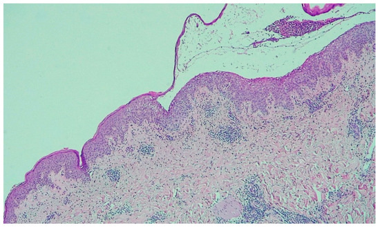
2. Case Report
3. Discussions
4. Conclusions
Author Contributions
Funding
Institutional Review Board Statement
Informed Consent Statement
Conflicts of Interest
References
- Malik, A.M.; Tupchong, S.; Huang, S.; Are, A.; Hsu, S.; Motaparthi, K. An Updated Review of Pemphigus Diseases. Medicina 2021, 57, 1080. [Google Scholar] [CrossRef] [PubMed] [PubMed Central]
- Baican, A.; Chiorean, R.; Leucuta, D.C.; Baican, C.; Danescu, S.; Ciuce, D.; Sitaru, C. Prediction of survival for patients with pemphigus vulgaris and pemphigus foliaceus: A retrospective cohort study. Orphanet J. Rare Dis. 2015, 10, 48. [Google Scholar] [CrossRef] [PubMed]
- Jamora, M.J.J.; Jiao, D.; Bystryn, J.-C. Antibodies to desmoglein 1 and 3, and the clinical phenotype of pemphigus vulgaris. J. Am. Acad. Dermatol. 2003, 48, 976–977. [Google Scholar] [CrossRef] [PubMed]
- Melchionda, V.; Harman, K.E. Pemphigus vulgaris and pemphigus foliaceus: An overview of the clinical presentation, investigations and management. Clin. Exp. Dermatol. 2019, 44, 740–746. [Google Scholar] [CrossRef] [PubMed]
- Mustafa, M.B.; Porter, S.R.; Smoller, B.R.; Sitaru, C. Oral mucosal manifestations of autoimmune skin diseases. Autoimmun. Rev. 2015, 14, 930–951. [Google Scholar] [CrossRef] [PubMed]
- Kridin, K.; Zelber-Sagi, S.; Bergman, R. Pemphigus Vulgaris and Pemphigus Foliaceus: Differences in Epidemiology and Mortality. Acta Derm. Venereol. 2017, 97, 1095–1099. [Google Scholar] [CrossRef] [PubMed]
- Tee, C.T.; Lee, C.S.; Gunabalasingam, P. Characteristics and quality of life in pemphigus patients. Med. J. Malays. 2022, 77, 324–330. [Google Scholar] [PubMed]
- Popescu, I.A.; Statescu, L.; Vata, D.; Porumb-Andrese, E.; Patrascu, A.I.; Grajdeanu, I.-A.; Solovastru, L.G. Pemphigus vulgaris—Approach and management (Review). Exp. Ther. Med. 2019, 18, 5056–5060. [Google Scholar] [CrossRef]
- Messersmith, L.; Krauland, K. Pemphigus Vegetans. In StatPearls; StatPearls Publishing: Treasure Island, FL, USA, 2021. [Google Scholar]
- Cozzani, E.; Christana, K.; Mastrogiacomo, A.; Rampini, P.; Drosera, M.; Casu, M.; Murialdo, G.; Parodi, A. Pemphigus vegetans Neumann type with anti-desmoglein and anti-periplakin autoantibodies. Eur. J. Dermatol. 2007, 17, 530–533. [Google Scholar]
- Cuellar, I.; Mejia, M.; Castellanos-Angarita, A.; Casas-Barrera, M.A. Hallopeau type of pemphigus vegetans, an unusual clinical presentation of an infrequent disease. Dermatol. Online J. 2020, 26, 17. [Google Scholar] [CrossRef] [PubMed]
- Zaraa, I.; Sellami, A.; Bouguerra, C.; Sellami, M.K.; Chelly, I.; Zitouna, M.; Makni, S.; Hmida, A.B.; Mokni, M.; Osman, A.B. Pemphigus vegetans: A clinical, histological, immunopathological and prognostic study. J. Eur. Acad. Dermatol. Venereol. 2011, 25, 1160–1167. [Google Scholar] [CrossRef] [PubMed]
- Porro, A.M.; Seque, C.A.; Ferreira, M.C.C.; Enokihara, M.M.S.E.S. Pemphigus vulgaris. An. Bras. Dermatol. 2019, 94, 264–278. [Google Scholar] [CrossRef] [PubMed] [PubMed Central]
- Hebert, V.; Joly, P. Rituximab in pemphigus. Immunotherapy 2018, 10, 27–37. [Google Scholar] [CrossRef] [PubMed]
- Frampton, J.E. Rituximab: A Review in Pemphigus Vulgaris. Am. J. Clin. Dermatol. 2020, 21, 149–156. [Google Scholar] [CrossRef] [PubMed]
- Chen, D.M.; Odueyungbo, A.; Csinady, E.; Gearhart, L.; Lehane, P.; Cheu, M.; Maho-Vaillant, M.; Prost-Squarcioni, C.; Hebert, V.; Houivet, E.; et al. Rituximab is an effective treatment in patients with pemphigus vulgaris and demonstrates a steroid-sparing effect. Br. J. Dermatol. 2020, 182, 1111–1119. [Google Scholar] [CrossRef] [PubMed] [PubMed Central]
- Ciolfi, C.; Sernicola, A.; Alaibac, M. Role of Rituximab in the Treatment of Pemphigus Vulgaris: Patient Selection and Acceptability. Patient Prefer. Adherence 2022, 16, 3035–3043. [Google Scholar] [CrossRef] [PubMed] [PubMed Central]
- Mohammadrezaee, M.; Etesami, I.; Mahmoudi, H.; Lajevardi, V.; Tavakolpour, S.; Balighi, K.; Daneshpazhooh, M. Transition between pemphigus vulgaris and pemphigus foliaceus: A 10-year follow-up study. J. Dtsch. Dermatol. Ges. 2020, 18, 1302–1304. [Google Scholar] [CrossRef] [PubMed]
- Salato, V.K.; Hacker-Foegen, M.K.; Lazarova, Z.; Fairley, J.A.; Lin, M.S. Role of intramolecular epitope spreading in pemphigus vulgaris. Clin. Immunol. 2005, 116, 54–64. [Google Scholar] [CrossRef] [PubMed]
- Ohyama, B.; Nishifuji, K.; Chan, P.T.; Kawaguchi, A.; Yamashita, T.; Ishii, N.; Hamada, T.; Dainichi, T.; Koga, H.; Tsuruta, D.; et al. Epitope spreading is rarely found in pemphigus vulgaris by large-scale longitudinal study using desmoglein 2-based swapped molecules. J. Investig. Dermatol. 2012, 132, 1158–1168. [Google Scholar] [CrossRef] [PubMed]
- Gilkey, T.; Hammond, A.; Gurnani, P.; Forouzandeh, M.; Hsu, S.; Motaparthi, K. Subtype transition from pemphigus vulgaris to pemphigus foliaceus. JAAD Case Rep. 2022, 31, 31–34. [Google Scholar] [CrossRef] [PubMed] [PubMed Central]
- Tóth, G.G.; Pas, H.H.; Jonkman, M.F. Transition of pemphigus vulgaris into pemphigus foliaceus confirmed by antidesmoglein ELISA profile. Int. J. Dermatol. 2002, 41, 525–527. [Google Scholar] [PubMed]
- Ujiie, I.; Ujiie, H.; Iwata, H.; Shimizu, H. Clinical and immunological features of pemphigus relapse. Br. J. Dermatol. 2019, 180, 1498–1505. [Google Scholar] [CrossRef] [PubMed]
- Harman, K.E.; Gratian, M.J.; Shirlaw, P.J.; Bhogal, B.S.; Challacombe, S.J.; Black, M.M. The transition of pemphigus vulgaris into pemphigus foliaceus: A reflection of changing desmoglein 1 and 3 autoantibody levels in pemphigus vulgaris. Br. J. Dermatol. 2002, 146, 684–687. [Google Scholar] [CrossRef] [PubMed]
- Iwatsuki, K.; Takigawa, M.; Hashimoto, T.; Nishikawa, T.; Yamada, M. Can pemphigus vulgaris become pemphigus foliaceus? J. Am. Acad. Dermatol. 1991, 25 Pt 1, 797–800. [Google Scholar] [CrossRef] [PubMed]
- Chang, S.N.; Kim, S.C.; Lee, I.J.; Seo, S.J.; Hong, C.K.; Park, W.H. Transition from pemphigus vulgaris to pemphigus foliaceus. Br. J. Dermatol. 1997, 137, 303–305. [Google Scholar] [PubMed]
- Komai, A.; Amagai, M.; Ishii, K.; Nishikawa, T.; Chorzelski, T.; Matsuo, I.; Hashimoto, T. The clinical transition between pemphigus foliaceus and pemphigus vulgaris correlates well with the changes in autoantibody profile assessed by an enzyme-linked immunosorbent assay. Br. J. Dermatol. 2001, 144, 1177–1182. [Google Scholar] [CrossRef]
- Kucukoglu, R.; Atci, T.; Sun, G.P. Is transition between subtypes of pemphigus possible? A series of pemphigus vulgaris patients showing the transition to pemphigus foliaceus. An. Bras. Dermatol. 2023, 98, 787–792. [Google Scholar] [CrossRef] [PubMed] [PubMed Central]
- Pan, M.; Liu, X.; Zheng, J. The pathogenic role of autoantibodies in pemphigus vulgaris. Clin. Exp. Dermatol. 2011, 36, 703–707. [Google Scholar] [CrossRef]
- Levy, J.; Barrett, D.L.; Harris, N.; Jeong, J.J.; Yang, X.; Chen, S.C. High-frequency ultrasound in clinical dermatology: A review. Ultrasound J. 2021, 13, 24. [Google Scholar] [CrossRef] [PubMed] [PubMed Central]



















Disclaimer/Publisher’s Note: The statements, opinions and data contained in all publications are solely those of the individual author(s) and contributor(s) and not of MDPI and/or the editor(s). MDPI and/or the editor(s) disclaim responsibility for any injury to people or property resulting from any ideas, methods, instructions or products referred to in the content. |
© 2024 by the authors. Licensee MDPI, Basel, Switzerland. This article is an open access article distributed under the terms and conditions of the Creative Commons Attribution (CC BY) license (https://creativecommons.org/licenses/by/4.0/).
Share and Cite
Orzan, O.A.; Popa, L.G.; Badiu, I.; Ion, A.; Giurcăneanu, C.; Bălăceanu-Gurău, B.; Tudose, I. The Transition from Pemphigus Foliaceus to Pemphigus Vegetans—An Intriguing Phenomenon within the Spectrum of Autoimmune Blistering Diseases: A Case Report. Dermato 2024, 4, 60-71. https://doi.org/10.3390/dermato4020007
Orzan OA, Popa LG, Badiu I, Ion A, Giurcăneanu C, Bălăceanu-Gurău B, Tudose I. The Transition from Pemphigus Foliaceus to Pemphigus Vegetans—An Intriguing Phenomenon within the Spectrum of Autoimmune Blistering Diseases: A Case Report. Dermato. 2024; 4(2):60-71. https://doi.org/10.3390/dermato4020007
Chicago/Turabian StyleOrzan, Olguța Anca, Liliana Gabriela Popa, Iulia Badiu, Ana Ion, Călin Giurcăneanu, Beatrice Bălăceanu-Gurău, and Irina Tudose. 2024. "The Transition from Pemphigus Foliaceus to Pemphigus Vegetans—An Intriguing Phenomenon within the Spectrum of Autoimmune Blistering Diseases: A Case Report" Dermato 4, no. 2: 60-71. https://doi.org/10.3390/dermato4020007
APA StyleOrzan, O. A., Popa, L. G., Badiu, I., Ion, A., Giurcăneanu, C., Bălăceanu-Gurău, B., & Tudose, I. (2024). The Transition from Pemphigus Foliaceus to Pemphigus Vegetans—An Intriguing Phenomenon within the Spectrum of Autoimmune Blistering Diseases: A Case Report. Dermato, 4(2), 60-71. https://doi.org/10.3390/dermato4020007

