The Weight of Eloquence in Motor Area Glioblastoma: Oncologic Outcome After nTMS-Guided Surgical Resection
Abstract
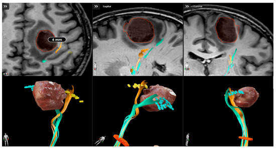
1. Introduction
2. Materials and Methods
2.1. Patient Selection
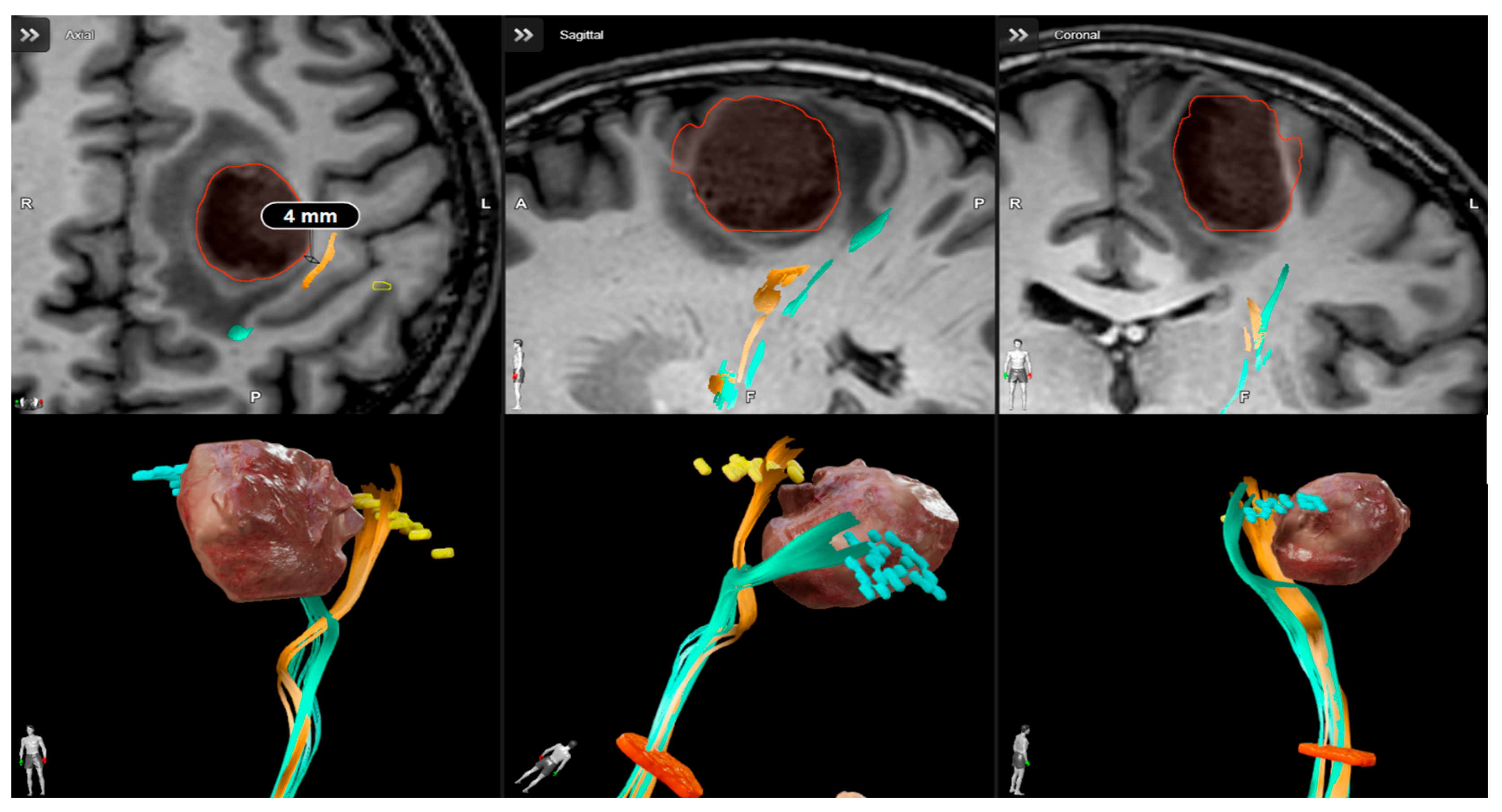
2.2. Data Acquisition
2.2.1. Surgical Achievements
2.2.2. Functional Independence
2.2.3. Time to Oncologic Therapy
2.2.4. Survival
2.3. Statistical Analysis
2.4. Patient’s Informed Consent and Ethical Approval
3. Results
3.1. Surgical Achievements
3.2. Functional Independence
3.3. Time to Oncologic Therapy
3.4. Survival
4. Discussion
5. Conclusions
Author Contributions
Funding
Institutional Review Board Statement
Informed Consent Statement
Data Availability Statement
Conflicts of Interest
Abbreviations
| nTMS | Navigated transcranial magnetic stimulation |
| IONM | Intraoperative neurophysiological monitoring |
| DCS | Direct cortical stimulation |
| WHO | World health organization |
| CST | Cortical spinal tract |
| PFS | Progression-free survival |
| OS | Overall survival |
References
- Ostrom, Q.T.; Francis, S.S.; Barnholtz-Sloan, J.S. Epidemiology of Brain and Other CNS Tumors. Curr. Neurol. Neurosci. Rep. 2021, 21, 68. [Google Scholar] [CrossRef]
- Ostrom, Q.T.; Cioffi, G.; Waite, K.; Kruchko, C.; Barnholtz-Sloan, J.S. CBTRUS Statistical Report: Primary Brain and Other Central Nervous System Tumors Diagnosed in the United States in 2014–2018. Neuro-Oncol. 2021, 23, iii1–iii105. [Google Scholar] [CrossRef]
- Tan, A.C.; Ashley, D.M.; López, G.Y.; Malinzak, M.; Friedman, H.S.; Khasraw, M. Management of glioblastoma: State of the art and future directions. CA Cancer J. Clin. 2020, 70, 299–312. [Google Scholar] [CrossRef]
- Jusue-Torres, I.; Prabhu, V.C.; Jones, G.A. Dandy’s hemispherectomies: Historical vignette. J. Neurosurg. 2021, 135, 1836–1842. [Google Scholar] [CrossRef]
- Brown, T.J.; Brennan, M.C.; Li, M.; Church, E.W.; Brandmeir, N.J.; Rakszawski, K.L.; Patel, A.S.; Rizk, E.B.; Suki, D.; Sawaya, R.; et al. Association of the Extent of Resection with Survival in Glioblastoma: A Systematic Review and Meta-analysis. JAMA Oncol. 2016, 2, 1460–1469. [Google Scholar] [CrossRef] [PubMed]
- Sanai, N.; Polley, M.-Y.; McDermott, M.W.; Parsa, A.T.; Berger, M.S. An extent of resection threshold for newly diagnosed glioblastomas. J. Neurosurg. 2011, 115, 3–8. [Google Scholar] [CrossRef] [PubMed]
- Stummer, W.; Pichlmeier, U.; Meinel, T.; Wiestler, O.D.; Zanella, F.; Reulen, H.-J.; ALA-Glioma Study Group. Fluorescence-guided surgery with 5-aminolevulinic acid for resection of malignant glioma: A randomised controlled multicentre phase III trial. Lancet Oncol. 2006, 7, 392–401. [Google Scholar] [CrossRef] [PubMed]
- Chaichana, K.L.; Quinones-Hinojosa, A. The need to continually redefine the goals of surgery for glioblastoma. Neuro-Oncol. 2014, 16, 611–612. [Google Scholar] [CrossRef]
- Chaichana, K.L.; Halthore, A.N.; Parker, S.L.; Olivi, A.; Weingart, J.D.; Brem, H.; Quinones-Hinojosa, A. Factors involved in maintaining prolonged functional independence following supratentorial glioblastoma resection. Clinical article. J. Neurosurg. 2011, 114, 604–612. [Google Scholar] [CrossRef]
- Curzi, C.; Giordan, E.; Guerriero, A.; Bendini, M.; Canova, G.; Feletti, A.; Marton, E. The extent of resection of T2-flair hyperintense area for eloquent glioblastomas: Outcomes analysis between awake and general anesthesia patients. J. Neurosurg. Sci. 2023, 67, 480–490. [Google Scholar] [CrossRef]
- McGirt, M.J.; Chaichana, K.L.; Gathinji, M.; Attenello, F.J.; Than, K.; Olivi, A.; Weingart, J.D.; Brem, H.; Quiñones-Hinojosa, A.R. Independent association of extent of resection with survival in patients with malignant brain astrocytoma. J. Neurosurg. 2009, 110, 156–162. [Google Scholar] [CrossRef] [PubMed]
- Ius, T.; Isola, M.; Budai, R.; Pauletto, G.; Tomasino, B.; Fadiga, L.; Skrap, M. Low-grade glioma surgery in eloquent areas: Volumetric analysis of extent of resection and its impact on overall survival. A single-institution experience in 190 patients. J. Neurosurg. 2012, 117, 1039–1052. [Google Scholar] [CrossRef]
- McGirt, M.J.; Mukherjee, D.; Chaichana, K.L.; Than, K.D.; Weingart, J.D.; Quinones-Hinojosa, A. Association of Surgically Acquired Motor and Language Deficits on Overall Survival after Resection of Glioblastoma Multiforme. Neurosurgery 2009, 65, 463–470. [Google Scholar] [CrossRef] [PubMed]
- Conway, B.; Armstrong, S.; Botros, N.; Tarima, S.; Krucoff, M. NCMp-20. Factors related to permanent and temporary motor deficits in patients undergoing glioma resection: A systematic review and meta-analysis. Neuro-Oncol. 2024, 26 (Suppl. 8), viii221. [Google Scholar] [CrossRef]
- Rahman, M.; Abbatematteo, J.; De Leo, E.K.; Kubilis, P.S.; Vaziri, S.; Bova, F.; Sayour, E.; Mitchell, D.; Quinones-Hinojosa, A. The effects of new or worsened postoperative neu-rological deficits on survival of patients with glioblastoma. J. Neurosurg. 2017, 127, 123–131. [Google Scholar] [CrossRef]
- Gulati, S.; Jakola, A.S.; Nerland, U.S.; Weber, C.; Solheim, O. The Risk of Getting Worse: Surgically Acquired Deficits, Perioperative Complications, and Functional Outcomes After Primary Resection of Glioblastoma. World Neurosurg. 2011, 76, 572–579. [Google Scholar] [CrossRef]
- Jakola, A.S.; Gulati, S.; Weber, C.; Unsgård, G.; Solheim, O. Postoperative Deterioration in Health Related Quality of Life as Predictor for Survival in Patients with Glioblastoma: A Prospective Study. PLoS ONE 2011, 6, e28592. [Google Scholar] [CrossRef]
- Magill, S.T.; Han, S.J.; Li, J.; Berger, M.S. Resection of primary motor cortex tumors: Feasibility and surgical outcomes. J. Neurosurg. 2018, 129, 961–972. [Google Scholar] [CrossRef]
- Weiss Lucas, C.; Faymonville, A.M.; Loução, R.; Schroeter, C.; Nettekoven, C.; Oros-Peusquens, A.M.; Langen, K.J.; Shah, N.J.; Stoffels, G.; Neuschmelting, V.; et al. Surgery of Motor Eloquent Glioblastoma Guided by TMS-Informed Tractography: Driving Resection Completeness Towards Prolonged Survival. Front. Oncol. 2022, 12, 874631. [Google Scholar] [CrossRef] [PubMed]
- Duffau, H. The challenge to remove diffuse low-grade gliomas while preserving brain functions. Acta Neurochir. 2012, 154, 569–574. [Google Scholar] [CrossRef]
- Frey, D.; Schilt, S.; Strack, V.; Zdunczyk, A.; Rosler, J.; Niraula, B.; Vajkoczy, P.; Picht, T. Navigated transcranial magnetic stimulation improves the treatment outcome in patients with brain tumors in motor eloquent locations. Neuro-Oncol. 2014, 16, 1365–1372. [Google Scholar] [CrossRef] [PubMed]
- Conti, A.; Raffa, G.; Granata, F.; Rizzo, V.; Germanò, A.; Tomasello, F. Navigated Transcranial Magnetic Stimulation for “Somatotopic” Tractography of the Corticospinal Tract. Neurosurgery 2014, 10 (Suppl. 4), 542–554. [Google Scholar] [CrossRef]
- Sanmillan, J.L.; Fernández-Coello, A.; Fernández-Conejero, I.; Plans, G.; Gabarrós, A. Functional approach using intraoperative brain mapping and neurophysiological monitoring for the surgical treatment of brain metastases in the central region. J. Neurosurg. 2017, 126, 698–707. [Google Scholar] [CrossRef]
- Sollmann, N.; Tanigawa, N.; Bulubas, L.; Sabih, J.; Zimmer, C.; Ringel, F.; Meyer, B.; Krieg, S.M. Clinical Factors Underlying the Inter-individual Variability of the Resting Motor Threshold in Navigated Transcranial Magnetic Stimulation Motor Mapping. Brain Topogr. 2017, 30, 98–121. [Google Scholar] [CrossRef]
- Giampiccolo, D.; Parisi, C.; Meneghelli, P.; Tramontano, V.; Basaldella, F.; Pasetto, M.; Pinna, G.; Cattaneo, L.; Sala, F. Long-term motor deficit in brain tumour surgery with preserved intra-operative motor-evoked potentials. Brain Commun. 2021, 3, fcaa226. [Google Scholar] [CrossRef]
- Luzzi, S.; Giotta Lucifero, A.; Martinelli, A.; Maestro, M.D.; Savioli, G.; Simoncelli, A.; Lafe, E.; Preda, L.; Galzio, R. Supratentorial high-grade gliomas: Maximal safe anatomical resection guided by augmented reality high-definition fiber tractography and fluorescein. Neurosurg. Focus 2021, 51, E5. [Google Scholar] [CrossRef] [PubMed]
- Rammeloo, E.; Schouten, J.W.; Krikour, K.; Bos, E.M.; Berger, M.S.; Nahed, B.V.; Vincent, A.J.P.E.; Gerritsen, J.K.W. Preoperative assessment of eloquence in neurosurgery: A systematic review. J. Neurooncol. 2023, 165, 413–430. [Google Scholar] [CrossRef] [PubMed]
- E Ali, T.; Rodoshi, Z.N.; E Salcedo, Y.; Patel, V.K.; Khan, I. Optimizing Glioma Resection Outcomes: A Systematic Review of Intraoperative Magnetic Resonance Imaging Guidance in Neurosurgery. Cureus 2024, 16, e64697. [Google Scholar] [CrossRef]
- Luzzi, S.; Simoncelli, A.; Galzio, R. Impact of augmented reality fiber tractography on the extent of resection and functional outcome of primary motor area tumors. Neurosurg. Focus 2024, 56, E3. [Google Scholar] [CrossRef]
- Raffa, G.; Scibilia, A.; Conti, A.; Ricciardo, G.; Rizzo, V.; Morelli, A.; Angileri, F.F.; Cardali, S.M.; Germanò, A. The role of navigated transcranial magnetic stimulation for surgery of motor-eloquent brain tumors: A systematic review and meta-analysis. Clin. Neurol. Neurosurg. 2019, 180, 7–17. [Google Scholar] [CrossRef]
- Rosenstock, T.; Tuncer, M.S.; Münch, M.R.; Vajkoczy, P.; Picht, T.; Faust, K. Preoperative nTMS and Intraoperative Neurophysiology—A Comparative Analysis in Patients With Motor-Eloquent Glioma. Front. Oncol. 2021, 11, 676626. Available online: https://www.frontiersin.org/articles/10.3389/fonc.2021.676626 (accessed on 3 November 2025). [CrossRef]
- Krieg, S.M.; Shiban, E.; Buchmann, N.; Gempt, J.; Foerschler, A.; Meyer, B.; Ringel, F. Utility of presurgical navigated transcranial magnetic brain stimulation for the resection of tumors in eloquent motor areas. J. Neurosurg. 2012, 116, 994–1001. [Google Scholar] [CrossRef] [PubMed]
- Picht, T.; Mularski, S.; Kuehn, B.; Vajkoczy, P.; Kombos, T.; Suess, O. NAVIGATED TRANSCRANIAL MAGNETIC STIMULATION FOR PREOPERATIVE FUNCTIONAL DIAGNOSTICS IN BRAIN TUMOR SURGERY. Neurosurg. 2009, 65, ons93. [Google Scholar] [CrossRef]
- Picht, T.; Frey, D.; Thieme, S.; Kliesch, S.; Vajkoczy, P. Presurgical navigated TMS motor cortex mapping improves outcome in glioblastoma surgery: A controlled observational study. J. Neuro-Oncol. 2015, 126, 535–543. [Google Scholar] [CrossRef]
- Rosenstock, T.; Grittner, U.; Acker, G.; Schwarzer, V.; Kulchytska, N.; Vajkoczy, P.; Picht, T. Risk stratification in motor area–related glioma surgery based on navigated transcranial magnetic stimulation data. J. Neurosurg. 2017, 126, 1227–1237. [Google Scholar] [CrossRef]
- Rosenstock, T.; Häni, L.; Grittner, U.; Schlinkmann, N.; Ivren, M.; Schneider, H.; Raabe, A.; Vajkoczy, P.; Seidel, K.; Picht, T. Bicentric validation of the navigated transcranial magnetic stimulation motor risk stratification model. J. Neurosurg. 2022, 136, 1194–1206. [Google Scholar] [CrossRef]
- Sartori, L.; Caliri, S.L.; Baro, V.; Colasanti, R.; Furlanis, G.M.; D’amico, A.; De Nardi, G.; Ferreri, F.; Corbetta, M.; D’avella, D.; et al. Selective Stimulus Intensity during Hotspot Search Ensures Faster and More Accurate Preoperative Motor Mapping with nTMS. Brain Sci. 2023, 13, 285. [Google Scholar] [CrossRef]
- Stupp, R.; Mason, W.P.; van den Bent, M.J.; Weller, M.; Fisher, B.; Taphoorn, M.J.B.; Belanger, K.; Brandes, A.A.; Marosi, C.; Bogdahn, U.; et al. Radiotherapy plus Concomitant and Adjuvant Temozolomide for Glioblastoma. N. Engl. J. Med. 2005, 352, 987–996. [Google Scholar] [CrossRef]
- Rodríguez-Camacho, A.; Flores-Vázquez, J.G.; Moscardini-Martelli, J.; Torres-Ríos, J.A.; Olmos-Guzmán, A.; Ortiz-Arce, C.S.; Cid-Sánchez, D.R.; Pérez, S.R.; Macías-González, M.D.S.; Hernández-Sánchez, L.C.; et al. Glioblastoma Treatment: State-of-the-Art and Future Perspectives. Int. J. Mol. Sci. 2022, 23, 7207. [Google Scholar] [CrossRef] [PubMed]
- Encarnacion-Santos, D.; Chmutin, G.; Bozkurt, I.; Welligton, J.; Chaurasia, B. Optimizing the management of glioblastoma per neurosurgical approach and therapeutic interventions on patient outcomes: A systematic review and meta-analysis. Ann. Oncol. Res. Ther. 2024, 4, 7. [Google Scholar] [CrossRef]
- Schiavao, L.J.V.; Ribeiro, I.N.; Hayashi, C.Y.; Figueiredo, E.G.; Brunoni, A.R.; Teixeira, M.J.; Pokorny, G.; Paiva, W.S. Assessing the Capabilities of Transcranial Magnetic Stimulation (TMS) to Aid in the Removal of Brain Tumors Affecting the Motor Cortex: A Systematic Review. Neuropsychiatr. Dis. Treat. 2022, 18, 1219–1235. [Google Scholar] [CrossRef] [PubMed]
- Leone, A.; Carbone, F.; Spetzger, U.; Vajkoczy, P.; Raffa, G.; Angileri, F.; Germanó, A.; Engelhardt, M.; Picht, T.; Colamaria, A.; et al. Preoperative mapping techniques for brain tumor surgery: A systematic review. Front. Oncol. 2025, 14, 1481430. [Google Scholar] [CrossRef] [PubMed]
- Takakura, T.; Muragaki, Y.; Tamura, M.; Maruyama, T.; Nitta, M.; Niki, C.; Kawamata, T. Navigated transcranial magnetic stimulation for glioma removal: Prognostic value in motor function recovery from postsurgical neurological deficits. J. Neurosurg. 2017, 127, 877–891. [Google Scholar] [CrossRef]
- Duffau, H. Introduction. Surgery of gliomas in eloquent areas: From brain hodotopy and plasticity to functional neurooncology. Neurosurg. Focus 2010, 28, 2. [Google Scholar] [CrossRef] [PubMed]




| Population Characteristics | Group A (n = 11) | Group B (n = 33) | p Value |
|---|---|---|---|
| Mean age, years (min–max) | 58.4 (45–74) | 66.3 (51–75) | 0.015 |
| Gender, n (%) | |||
| Female | 5 (45.5) | 16 (48.5) | 0.862 |
| Male | 6 (54.5) | 17 (1.5) | |
| Handedness, n (%) | |||
| Right | 11 (100) | 33 (100) | - |
| Left | 0 (0) | 0 (0) | |
| Tumor location, n (%) | |||
| Frontal | 7 (63.6) | 26 (78.8) | |
| Parietal | 4 (36.4) | 0 (0) | 0.001 |
| Temporal | 0 (0) | 7 (21.2) | |
| Hemisphere, n (%) | |||
| Right | 5 (45.5) | 12 (36.4) | 0.592 |
| Left | 6 (54.5) | 21 (63.6) | |
| Preoperative tumor volume (cm3) | 18.05 | 26.62 | 0.123 |
Disclaimer/Publisher’s Note: The statements, opinions and data contained in all publications are solely those of the individual author(s) and contributor(s) and not of MDPI and/or the editor(s). MDPI and/or the editor(s) disclaim responsibility for any injury to people or property resulting from any ideas, methods, instructions or products referred to in the content. |
© 2025 by the authors. Licensee MDPI, Basel, Switzerland. This article is an open access article distributed under the terms and conditions of the Creative Commons Attribution (CC BY) license (https://creativecommons.org/licenses/by/4.0/).
Share and Cite
Sartori, L.; Caliri, S.L.; Colasanti, R.; Dalla Zuanna, P.; Bresolin, N.; Baro, V.; Ciccarino, P.; Volpin, F.; Chioffi, F.; Denaro, L.; et al. The Weight of Eloquence in Motor Area Glioblastoma: Oncologic Outcome After nTMS-Guided Surgical Resection. NeuroSci 2025, 6, 124. https://doi.org/10.3390/neurosci6040124
Sartori L, Caliri SL, Colasanti R, Dalla Zuanna P, Bresolin N, Baro V, Ciccarino P, Volpin F, Chioffi F, Denaro L, et al. The Weight of Eloquence in Motor Area Glioblastoma: Oncologic Outcome After nTMS-Guided Surgical Resection. NeuroSci. 2025; 6(4):124. https://doi.org/10.3390/neurosci6040124
Chicago/Turabian StyleSartori, Luca, Samuel Luciano Caliri, Roberto Colasanti, Pietro Dalla Zuanna, Nicola Bresolin, Valentina Baro, Pietro Ciccarino, Francesco Volpin, Franco Chioffi, Luca Denaro, and et al. 2025. "The Weight of Eloquence in Motor Area Glioblastoma: Oncologic Outcome After nTMS-Guided Surgical Resection" NeuroSci 6, no. 4: 124. https://doi.org/10.3390/neurosci6040124
APA StyleSartori, L., Caliri, S. L., Colasanti, R., Dalla Zuanna, P., Bresolin, N., Baro, V., Ciccarino, P., Volpin, F., Chioffi, F., Denaro, L., & Landi, A. (2025). The Weight of Eloquence in Motor Area Glioblastoma: Oncologic Outcome After nTMS-Guided Surgical Resection. NeuroSci, 6(4), 124. https://doi.org/10.3390/neurosci6040124

