Abstract
Mitral annular disjunction (MAD) is a structural abnormality of the mitral valve increasingly detected with advanced cardiac imaging, particularly cardiac magnetic resonance (CMR). However, the clinical impact of different degrees of disjunction and the lack of standardized measurement criteria remain controversial. This study aimed to describe a series of patients with MAD assessed by CMR and to discuss, in the context of current literature, potential cut-off values that may distinguish physiological from pathological MAD. We retrospectively identified all CMR examinations performed at our institution over a 6-month period in which MAD was visible in at least two cine steady-state free precession (SSFP) projections. For each patient, we recorded MAD extent, presence of mitral valve prolapse/regurgitation, late gadolinium enhancement (LGE) pattern, and main clinical presentation. Nine patients (mean age 57 years; 5 men) were included. Larger MAD distances (>4 mm) were frequently associated with non-ischemic LGE in the basal lateral wall and with valvular abnormalities, whereas smaller disjunctions (≤3 mm) were often observed in patients without significant structural disease. Non-ischemic LGE was present in 6/9 patients, all with MAD > 5 mm. These observations, together with published data, support the hypothesis that small degrees of MAD may represent a frequent anatomical variant, while more extensive disjunction, especially when associated with fibrosis, may indicate a pathological substrate for arrhythmias. Standardized CMR-based criteria and validated MAD cut-off values are needed to improve risk stratification and to incorporate MAD assessment into routine clinical practice.
1. Introduction
Cardiac imaging is fundamental in clinical practice, providing essential information for the diagnosis, risk stratification, and management of cardiovascular diseases [1,2,3,4]. Techniques such as transthoracic echocardiography, transesophageal echocardiography, cardiac magnetic resonance (CMR), and cardiac computed tomography (CCT) allow for a detailed assessment of cardiac structure and function [2,3,4,5,6]. Among valvular disorders, the mitral valve requires particular attention because of its anatomical complexity and its central role in left ventricular mechanics [3,4,5,6].
Mitral annular disjunction (MAD) is defined as an abnormal separation between the atrial junction of the mitral leaflet and the left ventricular myocardium [7,8]. Historically regarded as a benign anatomical variant, often in association with mitral valve prolapse (MVP) [2,7,8], MAD has recently emerged as a possible substrate for ventricular arrhythmias and sudden cardiac death [2,3,9,10,11]. Several imaging and clinical studies have reported a high prevalence of MAD in patients with MVP and arrhythmic events, as well as in specific conditions such as connective tissue disorders [2,9,11,12,13,14].
Recent large CMR cohorts and advanced imaging studies have highlighted the high frequency of small degrees of MAD in the general population and the possible association between more extensive disjunction, myocardial fibrosis in the basal lateral segments, and malignant ventricular arrhythmias [2,9,11,15,16,17]. However, there is still no consensus on a standardized definition and measurement of MAD. Different authors have proposed various cut-off values (e.g., 1 mm, 4 mm, 6 mm), resulting in very different prevalence estimates and making it difficult to distinguish physiological from pathological disjunction [2,8,9,11,18].
In this context, the present study has two main objectives: (i) to describe a CMR-based case series of patients with MAD, focusing on MAD extent, presence of late gadolinium enhancement (LGE), and associated clinical features; and (ii) to discuss, in light of current literature, potential cut-off values that may help differentiate physiological from pathological MAD and support the development of standardized CMR criteria for MAD assessment.
2. Materials and Methods
In this retrospective single-center study, we reviewed all consecutive cardiac magnetic resonance (CMR) examinations performed at the Cardiovascular Imaging Unit of St. Camillo-Forlanini Hospital (Rome, Italy) over a 6-month period (from 1 March to 31 August 2024). A total of 150 CMR studies were screened. The case selection process is summarized in Figure 1.
Figure 1.
Flow diagram of case selection. From 150 consecutive cardiac magnetic resonance (CMR) examinations, 13 studies with candidate mitral annular disjunction (MAD) were identified. After exclusion of 4 cases (MAD visible in only one view or poor image quality), 9 patients were finally included in the analysis.
Cases were eligible if MAD was visible in at least two long-axis cine SSFP projections with diagnostic image quality. MAD was defined as a measurable separation between the atrial junction/hinge point of the mitral leaflet and the left ventricular myocardium at end-systole.
The MAD distance (in millimeters) was measured along the left ventricular wall from the ventricular insertion of the leaflet to the point of maximal separation.
The inclusion criteria were:
- Presence of MAD visible in at least two cine SSFP projections, regardless of severity;
- Adequate image quality for reliable MAD measurement and LGE assessment.
- The exclusion criteria were:
- MAD visible in only one projection;
- Significant artifacts or suboptimal image quality precluding accurate measurements.
CMR Acquisition and MAD Analysis Protocol
All CMR examinations were performed using standard clinical protocols, including cine steady-state free precession (SSFP) sequences for functional assessment and late gadolinium enhancement (LGE) imaging for tissue characterization. For the specific assessment of MAD, particular attention was paid to the acquisition of high-quality long-axis cine SSFP views. Two-, three-, and four-chamber views, as well as a left ventricular outflow tract (LVOT) view when available, were acquired to ensure comprehensive coverage of the mitral annulus and the basal left ventricular segments [3,8,9].
MAD was assessed on end-systolic frames, defined as the cine phase corresponding to the smallest left ventricular cavity. In each long-axis view, the hinge point of the posterior mitral leaflet was identified, and MAD was defined as a measurable separation between this atrial junction and the left ventricular myocardium. The MAD distance (in millimeters) was measured along the left ventricular wall from the ventricular insertion of the leaflet to the point of maximal separation. When MAD was present in more than one view, the largest measurement was recorded as the maximal MAD extent for that patient. The presence of mitral valve prolapse, the severity of mitral regurgitation, and the distribution of LGE were also systematically evaluated.
To reduce inter-observer variability, all CMR studies were reviewed by two radiologists with dedicated expertise in cardiac imaging, using standardized viewing planes and window settings. In cases of disagreement on the presence or extent of MAD, or on the interpretation of LGE, the images were re-evaluated in a joint consensus session. Given the small sample size and exploratory design of this study, formal inter- and intra-observer variability analyses were not performed and are acknowledged as a limitation. For each patient, the following variables were recorded: age, sex, clinical indication for CMR, MAD extent (mm), presence of mitral valve prolapse and/or regurgitation, presence and pattern of LGE, and left ventricular ejection fraction (LVEF). When available, arrhythmia type, follow-up duration, and main clinical outcome were also collected from clinical records.
The final sample included 9 patients (mean age 57 years, range 34–74 years; 5 men, 4 women). The main clinical indications for CMR were premature ventricular contractions, syncope, mitral regurgitation, palpitations, and mild heart failure.
3. Results
3.1. Cases
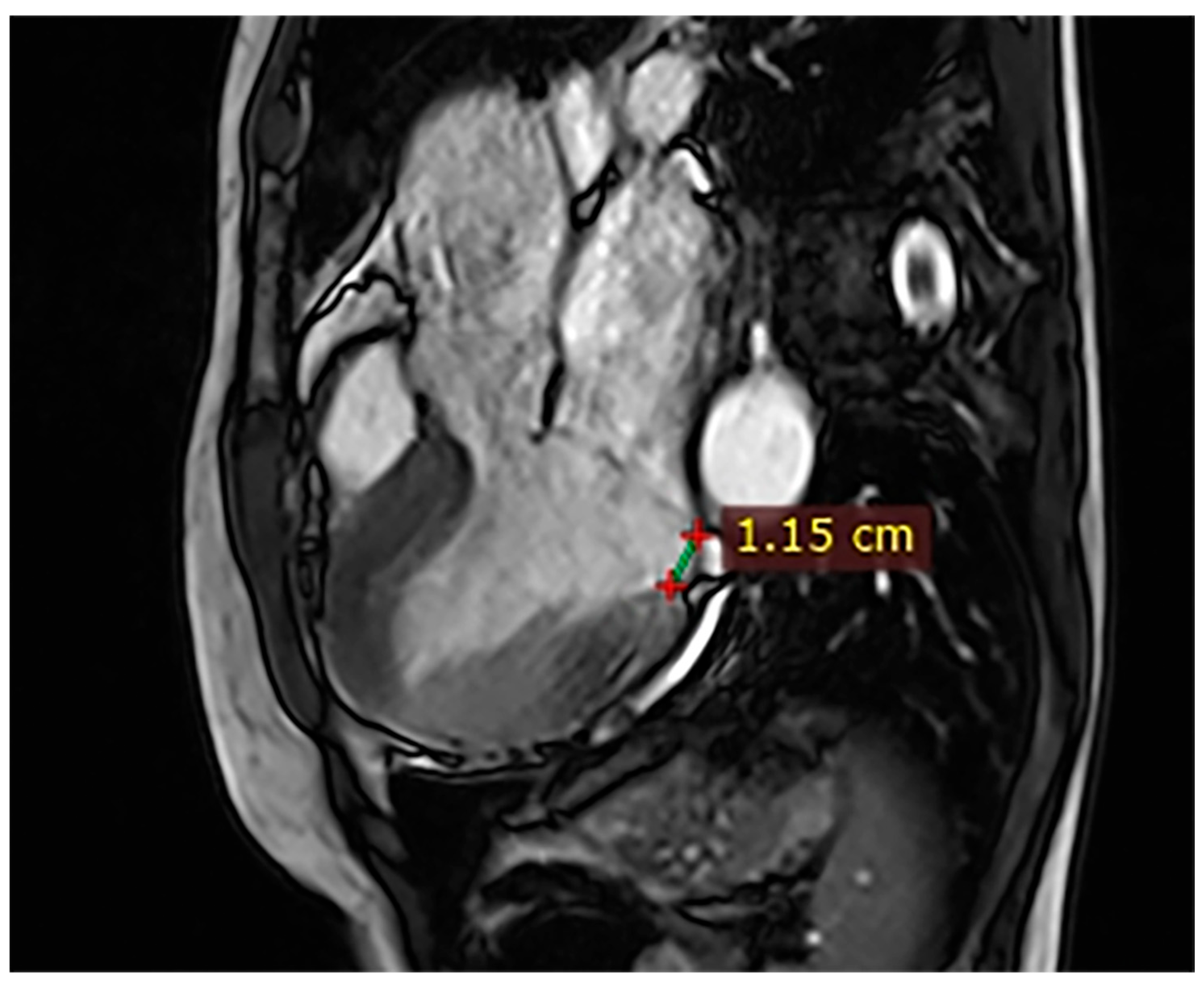
Case 1. A 61-year-old woman with recurrent syncope and bileaflet MVP underwent CMR, which showed a mildly dilated left ventricle (LVEF 52%), a posterior MAD of 11 mm (Figure 2), and non-ischemic LGE in the lateral wall. Holter monitoring revealed atrial tachycardia and ventricular ectopy, and cardiology follow-up was planned to evaluate the indication for mitral valve repair.
Figure 2.
Cardiac magnetic resonance (CMR), three-chamber steady-state free precession (SSFP) cine. A mitral annular disjunction (MAD) of 11 mm is observed.
Case 2. A 52-year-old man with syncope and atypical chest pain had CMR showing mildly reduced LVEF (48%), a posterior MAD of 10 mm (Figure 3), and focal non-ischemic LGE in the basal lateral segments. Regular cardiology follow-up and Holter monitoring were recommended to assess arrhythmic burden.
Figure 3.
Cardiac magnetic resonance (CMR), three-chamber steady-state free precession (SSFP) cine. A 10 mm mitral annular disjunction (MAD) with associated mitral insufficiency is observed.
Case 3. A 74-year-old woman with premature ventricular contractions showed preserved LVEF (55%), a small MAD of 3 mm, and no LGE on CMR. Given the minimal disjunction and absence of structural abnormalities, she was reassured and scheduled for periodic clinical follow-up.
Case 4. A 34-year-old man with Marfan syndrome and premature ventricular contractions had CMR demonstrating preserved LVEF (54%), a posterior MAD of 15 mm (Figure 4), MVP with mitral regurgitation, and no LGE. Given the underlying connective tissue disease and valvular dysfunction, close cardiology monitoring was advised to evaluate progression and arrhythmic risk.
Figure 4.
Cardiac magnetic resonance (CMR), three-chamber steady-state free precession (SSFP) cine. A 15 mm mitral annular disjunction (MAD) with associated mitral valve prolapse (MVP) in a patient with Marfan syndrome is observed.
Case 5. A 63-year-old man with heart failure and mild mitral regurgitation underwent CMR, which showed reduced LVEF (47%), left atrial dilatation, a small MAD of 2.5 mm, and no LGE. Heart failure therapy was optimized, and follow-up was planned to reassess symptoms and the potential need for mitral valve intervention.
Case 6. A 68-year-old man with palpitations and a previously normal echocardiogram underwent CMR, which showed preserved LVEF (53%), a posterior MAD of 5 mm, and non-ischemic LGE in the basal lateral wall (Figure 5). The presence of localized fibrosis in the context of MAD prompted electrocardiographic monitoring and electrophysiological evaluation.
Figure 5.
Cardiac magnetic resonance (CMR), phase-sensitive inversion recovery (PSIR) sequence for late gadolinium enhancement (LGE), three-chamber view. The hyperintensity of the basal lateral wall of the left ventricle (arrow) is shown, compatible with non-ischemic intramyocardial fibrosis.
Case 7. A 53-year-old woman with syncope and premature ventricular contractions had normal LVEF (55%) on CMR, a 15 mm MAD associated with MVP and mitral regurgitation (Figure 6), and non-ischemic LGE in the basal lateral segments. Given the coexistence of extensive MAD, MVP, and fibrosis, an increased arrhythmic risk was considered, and antiarrhythmic therapy was discussed.
Figure 6.
Cardiac magnetic resonance (CMR), three-chamber steady-state free precession (SSFP) cine. A 15 mm mitral annular disjunction (MAD) is observed.
Case 8. A 63-year-old woman with aortic and mitral regurgitation and interventricular septal hypokinesia underwent CMR showing LVEF of 45%, a MAD of 11 mm, aorto-mitral valve regurgitation, and diffuse non-ischemic LGE in the lateral wall. She underwent successful mitral valve repair and started heart failure therapy with scheduled follow-up.
Case 9. A 45-year-old man with palpitations and dizziness had normal echocardiography, but CMR showed preserved LVEF (65%), a MAD of 10 mm, and basal lateral LGE (Figure 7). Despite relatively mild symptoms, the coexistence of MAD and fibrosis led to regular follow-up with clinical and ECG monitoring to prevent potential complications.
Figure 7.
Cardiac magnetic resonance (CMR), phase-sensitive inversion recovery (PSIR) sequence for late gadolinium enhancement (LGE), short-axis view. The hyperintensity of the basal lateral wall of the left ventricle (arrow) is shown, compatible with non-ischemic intramyocardial fibrosis.
Brief Case Summary
This case series includes nine MAD patients (Table 1), diagnosed and confirmed by CMR.
Table 1.
This table summarizes our cases information.
Main data can be summarized as follows:
The mean age was 57 years (range 34–74), with a slight male predominance (55.6%), in line with previous reports of MAD in middle-aged individuals. MAD ranged from 2.5 to 15 mm (mean 9.2 mm). Non-ischemic LGE was present in 6/9 patients (66.7%), all with MAD > 5 mm and predominantly involving the basal lateral wall. When LGE was present, it was frequently associated with clinically relevant conditions such as mitral regurgitation, heart failure, or complex symptoms (e.g., syncope, significant palpitations). One patient with very extensive MAD (15 mm) but no LGE had Marfan syndrome, suggesting that in connective tissue disorders the pathophysiology of MAD may differ from that of idiopathic or myxomatous disease. Overall, the prevalence and distribution of LGE in our series are higher than in large cohort studies using a 1 mm cut-off for MAD, which likely include a substantial proportion of patients with small disjunctions and no identifiable arrhythmic substrate.
4. Discussion
4.1. MAD Imaging
4.1.1. Imaging Techniques
CMR is considered the gold standard for the diagnosis and characterization of MAD [8,9,10,13,16]. Unlike other imaging modalities, such as echocardiography, CMR offers detailed visualization of cardiac structures, allowing accurate evaluation of valvular anatomy [16,19,20]. CMR provides high-quality multiplanar images that permit visualization of the separation between the atrial junction and the ventricular myocardium, which is fundamental for precise measurement and assessment of disjunction [16].
CMR is superior to echocardiography for the assessment of MAD because it offers standardized imaging, is less influenced by operator-dependent variability, and has higher spatial resolution [8]. CMR allows a comprehensive evaluation of the annulus, as the entire annulus can be observed from different views, and it enables tissue characterization using gadolinium, thereby depicting myocardial fibrosis that is often associated with MAD and increased arrhythmic risk [10,13,16,21]. This last feature is unique to CMR and is not available with other imaging modalities. Furthermore, CMR is particularly useful in the evaluation of MAD when other conditions are present. For example, in patients with MVP, it can detect MAD and quantify its extension and severity, thus facilitating arrhythmic risk stratification.
4.1.2. Interplay Between Echocardiography and CMR
Transthoracic echocardiography is usually the first-line imaging modality in patients with suspected or known mitral valve disease and often represents the first technique in which MAD is suggested [11,14,19]. Echocardiography provides real-time assessment of leaflet motion, mitral regurgitation severity, and annular dynamics, and can identify typical features of the arrhythmic mitral valve prolapse phenotype. However, the saddle-shaped geometry of the mitral annulus and the dependence on imaging planes may lead to both underestimation and overestimation of MAD, or to apparent “pseudo-MAD” in some views [11,14].
CMR offers complementary strengths, including high spatial resolution, reproducible annular and ventricular geometry, and the ability to quantify MAD extent and characterize myocardial fibrosis by LGE [7,8,9,10,22]. For this reason, we advocate a multimodality approach: suspected MAD on echocardiography in symptomatic or arrhythmic patients should prompt CMR, when available, in order to confirm the presence of MAD, quantify its extent, and assess the presence and distribution of fibrosis. Discrepancies between echocardiography and CMR should not be interpreted in isolation but rather reconciled by reviewing imaging planes, annular motion, and the overall clinical context.
4.1.3. Diagnostic Aspects of CMR
There are several signs that a radiologist reporting a cardiac MRI should look for when MAD is suspected:
Separation of the atrioventricular junction and the ventricular myocardium: this is the most important sign and is best seen during systole [13], when the leaflets are displaced towards the atrium and a “space” between the mitral leaflet and the ventricular myocardium becomes apparent [8].
Measurement of MAD distance: CMR allows measurement of the distance between the mitral leaflet insertion and the ventricular myocardium, defined as “MAD extension” [23]. Measurements should be performed on SSFP cine long-axis images, especially three-chamber end-systolic views [24]. Currently, no universally accepted cut-off has been established.
Localization: MAD can be observed in different portions of the mitral ring, both anteriorly (more often associated with MVP) and posteriorly (more frequent overall) [17].
Circumferential extension: it is possible to describe the circumferential extension by reporting the angle (up to 360°, when the entire annulus is involved) [13,21,25]. Although this is not commonly applied in clinical practice, it could be useful for severity grading.
Cine-CMR: SSFP images show MAD dynamics during the cardiac cycle, including systolic annular expansion, especially when MAD > 6 mm, with possible associated curling or billowing [9].
Fibrosis assessment: using LGE sequences, CMR can depict areas of myocardial fibrosis involving basal lateral segments (adjacent to the MAD) or papillary muscles [9,10,13,16].
4.2. Clinical Considerations
4.2.1. Associated Risks and Correlation with Ventricular Arrhythmias
MAD is increasingly recognized as a condition with important clinical implications, particularly in terms of ventricular arrhythmias and valvular dysfunction. It has been associated with malignant ventricular arrhythmias [26], including ventricular tachycardia (VT) and ventricular fibrillation (VF) leading to sudden cardiac death (SCD) [13,27]. Several studies have reported a higher incidence of arrhythmic events in patients with MAD, especially when associated with MVP [2,26,28], and when MAD is more extensive and accompanied by myocardial fibrosis [13]. Even in the absence of focal LGE, an increased extracellular myocardial volume in the basal segments has been linked to MAD severity and to a higher risk of cardiac arrest [13]. Our findings, although limited by the small sample size, are consistent with this concept, as non-ischemic LGE was observed only in patients with more extensive MAD.
4.2.2. Surgery and ICD Considerations
In patients with MAD and severe mitral regurgitation, mitral valve surgery may reduce the burden of ventricular arrhythmias, particularly in high-risk arrhythmic MVP phenotypes, although existing data indicate that the risk of malignant ventricular arrhythmias is not completely abolished after surgery [10,26]. Therefore, surgical decisions should primarily follow established indications for mitral regurgitation, while the presence of MAD and LGE may support closer arrhythmic surveillance in selected patients. At the same time, no specific guideline-based indication for ICD implantation is currently defined solely on the basis of MAD [15]. ICD therapy should be considered on an individual basis, integrating prior ventricular arrhythmic events, the extent and location of myocardial fibrosis, the severity of MVP and mitral regurgitation, and family history of sudden cardiac death.
4.2.3. Correlation with Mitral Valve Disease
MAD is frequently associated with MVP, as it may lead to dynamic alterations of the mitral ring, including systolic annular expansion and leaflet curling or billowing, especially when MAD severity is greater (>6 mm) [11,28,29]. The association of MAD with a higher risk of myocardial fibrosis, particularly when involving the papillary muscles and basal segments (adjacent to the mitral annulus), is believed to contribute to both arrhythmias and valvular dysfunction [8,9,13,26,28].
4.2.4. Management
The treatment of MAD-associated ventricular arrhythmias may include antiarrhythmic drugs, catheter ablation, and implantation of an implantable cardioverter–defibrillator (ICD) [11,26]. Catheter ablation in regions with disjunction can be technically challenging, and the risk of adverse events such as cardiac perforation or hematoma may be higher than in other patients [19]. In some cases, when valvular dysfunction is significant, cardiac surgery may be recommended for mitral valve repair or replacement [11,26,29]. The most appropriate strategy should be individualized according to patient characteristics and MAD severity.
4.2.5. Follow-Up
Patients with MAD should undergo regular follow-up, including clinical evaluation, ECG, Holter ECG, and cardiac imaging (echocardiography and CMR) [8,13]. CMR can evaluate morphological stability or progression of the condition, while clinical monitoring is essential, especially for symptoms such as palpitations, syncope, or chest pain [13]. Long-term follow-up is important to assess arrhythmic risk and to ensure appropriate management of complications.
4.2.6. Clinical Management and Follow-Up When MAD Is First Detected on Echocardiography
When MAD is first identified on echocardiography, management should be guided by the overall risk profile rather than by the mere presence of annular disjunction. Patients with small MAD, no or only mild mitral regurgitation, preserved ventricular function, and no complex ventricular arrhythmias can usually be followed conservatively with periodic clinical assessment and echocardiography, in line with current practice for low-risk mitral valve prolapse [10,26].
By contrast, MAD detected on echocardiography in the presence of frequent or complex ventricular ectopy, non-sustained ventricular tachycardia, unexplained syncope, or high-risk mitral valve morphology (e.g., bileaflet prolapse, severe mitral regurgitation, systolic curling) should prompt a more intensive work-up, including 24 h or prolonged Holter monitoring and CMR [10,22,23,24,28]. Rather than proposing a rigid PVC burden cut-off, we consider the presence of polymorphic ectopy, short-coupled PVCs, runs of non-sustained VT, or arrhythmias occurring at rest or during sleep as key elements that warrant escalation to advanced imaging and closer follow-up, in agreement with contemporary expert consensus documents. In such patients, MAD extent, the location and pattern of LGE, and arrhythmic burden should be integrated to guide individualized decisions regarding surveillance, medical therapy, catheter ablation, surgery, or ICD implantation, as suggested by the arrhythmic MVP/MAD framework.
Current management and follow-up strategies for patients with MAD therefore need to be individualized and interpreted within the framework of contemporary expert consensus [30]. As emphasized in the EHRA document, decisions regarding advanced imaging, catheter ablation, surgery, or ICD implantation should integrate arrhythmic history, ECG and Holter findings, imaging markers such as MAD extent and LGE, and patient-specific factors, rather than relying on a single parameter [31].
4.2.7. Prognosis
The prognosis of MAD is variable and depends on several factors, including the presence and severity of arrhythmias, valvular dysfunction, and associated comorbidities [32]. MAD alone does not seem to be associated with increased short-term mortality, but long-term monitoring is recommended [26] because of the associated risks described above.
4.2.8. Study Observations
MAD is increasingly recognized and reported by radiologists, but the absence of a standardized diagnostic cut-off remains a major limitation in clinical practice [9,19,33]. Many studies have adopted very low thresholds (e.g., ≥1 mm), leading to a high prevalence of MAD in the general population and in patients without structural heart disease [2,9,34]. In these settings, small degrees of MAD often show no clear association with malignant arrhythmic events. Conversely, higher cut-off values (e.g., ≥4 mm or ≥6 mm) substantially reduce the prevalence of MAD but tend to identify patients with more advanced structural abnormalities and a stronger association with arrhythmias and fibrosis [2,9,28]. In our case series, patients with MAD > 4 mm more frequently presented with non-ischemic LGE, valvular dysfunction, or clinically relevant symptoms, whereas those with MAD ≤3 mm were often paucisymptomatic and had no detectable fibrosis.
These observations, although limited by the small sample size, are consistent with the hypothesis that very small disjunctions may represent a common anatomical variant of uncertain clinical significance, whereas larger degrees of MAD may indicate a pathological substrate, especially when associated with myocardial fibrosis in the basal lateral segments or papillary muscles [8,9,13].
4.2.9. Physiological Versus Pathological MAD
Small degrees of MAD are frequently observed in general CMR cohorts and in patients without structural heart disease [8,9,12,13]. In these settings, a minimal separation between the atrial junction of the mitral leaflet and the ventricular myocardium (e.g., ≤3 mm) may simply reflect normal anatomical variability and annular dynamics, without clear evidence of an arrhythmogenic substrate. In contrast, larger degrees of disjunction are more consistently associated with structural abnormalities and adverse clinical features [8,9,10,28]. In our case series, a MAD extent in the range of approximately ≥4–5 mm was almost invariably associated with either non-ischemic LGE, mitral valve prolapse and/or regurgitation, or clinically relevant symptoms, whereas smaller disjunctions (≤3 mm) were usually observed in patients without detectable fibrosis and with a more benign clinical profile. Furthermore, extensive MAD in the range of ≥6 mm has been shown in larger cohorts to characterize a small subgroup of patients enriched for malignant ventricular arrhythmias and myocardial fibrosis [8,10,13]. Taken together, these findings support the concept that very small MAD may often be physiological or of uncertain clinical significance, whereas MAD ≥ 4–5 mm, and especially ≥6 mm when combined with LGE and complex ventricular ectopy, is more likely to represent a pathological phenotype. These thresholds, however, should be regarded as exploratory and hypothesis-generating and require prospective validation in larger multicenter studies.
4.2.10. Pseudo-MAD, True MAD, and the Arrhythmic MVP Phenotype
It is also important to distinguish pseudo-MAD from true MAD. Pseudo-MAD may result from the saddle-shaped geometry of the mitral annulus and from oblique imaging planes, creating an apparent separation that does not correspond to a true detachment of the leaflet hinge point from the ventricular myocardium. Careful multiparametric assessment with long-axis cine CMR views and, when available, three-dimensional echocardiography can help avoid misinterpretation [11,14].
True MAD is now recognized as one of the phenotypic markers within the spectrum of arrhythmic mitral valve prolapse, together with bileaflet prolapse, systolic curling of the mitral annulus, fibrosis of the papillary muscles and basal inferolateral wall, and complex ventricular ectopy [8,9,10,12]. Our small CMR case series fits into this framework, as the more extensive MAD cases were frequently associated with non-ischemic LGE and clinically relevant arrhythmic presentations. In line with the EHRA expert consensus on arrhythmic mitral valve prolapse and MAD [33], our observations support the concept that MAD should not be interpreted in isolation, but rather as one component of a broader arrhythmic phenotype. Within this framework, MAD extent and the presence of LGE may help to refine risk stratification beyond the mere presence of mitral valve prolapse.
Table 2 summarizes examples of MAD extent thresholds explored in the literature, the populations in which they were studied, and their potential clinical implications in terms of prevalence and arrhythmic risk. These thresholds should be regarded as exploratory and hypothesis-generating rather than as definitive clinical cut-offs.
Table 2.
Examples of MAD extent thresholds explored in the literature and associated clinical findings.
4.3. Study Limitations
This study has several limitations. First, it is a small retrospective single-center case series and, as such, is descriptive and hypothesis-generating. Second, follow-up data were not available for all patients, which limits the ability to draw firm prognostic conclusions. Third, inter- and intra-observer variability for MAD measurements was not formally assessed, although all cases were jointly reviewed by two experienced cardiac radiologists. Finally, the absence of a control group and the use of convenience sampling preclude any comparative analyses or robust estimation of MAD prevalence.
5. Conclusions
The clinical relevance of mitral annular disjunction (MAD) is increasingly recognized in contemporary cardiovascular practice. In this small, CMR-based case series, integrated with a narrative review of current evidence, we observed that small degrees of MAD appear to be frequent and often of uncertain clinical significance, whereas more extensive disjunction, particularly when associated with non-ischemic LGE and mitral valve dysfunction, tends to occur in patients with a more complex arrhythmic phenotype.
These descriptive, hypothesis-generating findings highlight the need for standardized CMR criteria for MAD diagnosis and severity grading, including clinically meaningful thresholds to distinguish physiological from pathological disjunction. Large, prospective multicenter studies are required to validate such criteria, to clarify the prognostic impact of MAD, and to improve arrhythmic risk stratification in patients undergoing cardiac imaging.
Author Contributions
Conceptualization, G.B. and A.R.; methodology, G.B. and M.C.B.; validation, G.B., V.B. and A.R.; formal analysis, G.B.; investigation, G.B. and V.B.; resources, V.B., M.T.D.C., M.C.B., S.C. and A.R.; data curation, G.B. and M.T.D.C.; writing—original draft preparation, G.B.; writing—review and editing, G.B., V.B., M.T.D.C., M.C.B., S.C. and A.R.; visualization, G.B.; supervision S.C. and A.R.; project administration, G.B. and A.R. All authors have read and agreed to the published version of the manuscript.
Funding
This research received no external funding.
Institutional Review Board Statement
Ethical review and approval were waived for this study because it involved a retrospective analysis of fully anonymized imaging data acquired as part of routine clinical care, in accordance with Article 110 of the Italian Privacy Code (“Ricerca medica, biomedica ed epidemiologica) and Regole deontologiche per trattamenti a fini statistici o di ricerca scientifica (Rules of Conduct for the Processing of Personal Data for Statistical or Scientific Research Purposes) adopted by the Italian Data Protection Authority (Garante per la Protezione dei Dati Personali) on 19 December 2018 and annexed to the Privacy Code.
Informed Consent Statement
Informed consent was obtained from all subjects involved in the study.
Data Availability Statement
The original contributions presented in this study are included in the article. Further inquiries can be directed to the corresponding author.
Acknowledgments
All the authors contributed towards the study by making substantial contributions to conception, design, acquisition of data, or analysis and interpretation of data.
Conflicts of Interest
The authors declare that they have no known competing financial interests or personal relationships that could have appeared to influence the work reported in this paper.
Abbreviations
The following abbreviations are used in this manuscript:
| MAD | Mitral Annular Disjunction |
| CMR | Cardiac Magnetic Resonance |
| CCT | Cardiac Computed Tomography |
| MVP | Mitral Valve Prolapse |
| US | UltraSound |
| OHCA | Out-of-Hospital Cardiac Arrest |
| MRI | Magnetic Resonance Imaging |
| LVEF | Left Ventricular Ejection Fraction |
| LGE | Late Gadolinium Enhancement |
| SSFP | Steady-State Free Precession |
| VT | Ventricular Tachycardia |
| VF | Ventricular Fibrillation |
| ICD | Implantable Cardiac Device |
| PSIR | Phase Sensitive Inversion Recovery |
References
- Gupta, S.; Shihabi, A.; Patil, M.K.; Shih, T. Mitral annular disjunction: A scoping review. Cardiol. Rev. 2023, 33, 145–152. [Google Scholar] [CrossRef]
- Troger, F.; Klug, G.; Poskaite, P.; Tiller, C.; Lechner, I.; Reindl, M.; Holzknecht, M.; Fink, P.; Brunnauer, E.-M.; Gizewski, E.R.; et al. Mitral annular disjunction in out-of-hospital cardiac arrest patients: A retrospective cardiac MRI study. Clin. Res. Cardiol. 2024, 113, 770–780. [Google Scholar] [CrossRef]
- Musella, F.; Azzu, A.; Antonopoulos, A.S.; La Mura, L.; Mohiaddin, R.H. Comprehensive mitral valve prolapse assessment by cardiovascular MRI. Clin. Radiol. 2022, 77, e120–e129. [Google Scholar] [CrossRef]
- Kanani, M.; Alpendurada, F.; Rana, B.S. The anatomy of the mitral valve: A retrospective analysis of yesterday’s future. J. Heart Valve Dis. 2003, 12, 543–547. [Google Scholar]
- Oliveira, D.; Srinivasan, J.; Espino, D.; Buchan, K.; Dawson, D.; Shepherd, D. Geometric description for the anatomy of the mitral valve: A review. J. Anat. 2020, 237, 209–224. [Google Scholar] [CrossRef] [PubMed] [PubMed Central]
- McCarthy, K.P.; Ring, L.; Rana, B.S. Anatomy of the mitral valve: Understanding the mitral valve complex in mitral regurgitation. Eur. J. Echocardiogr. 2010, 11, i3–i9. [Google Scholar] [CrossRef] [PubMed]
- Stankowski, K.; Catapano, F.; Donia, D.; Bragato, R.M.; Lopes, P.; Abecasis, J.; Ferreira, A.; Slipczuk, L.; Masci, P.G.; Condorelli, G.; et al. True-and pseudo-mitral annular disjunction in patients undergoing cardiovascular magnetic resonance. J. Cardiovasc. Magn. Reson. 2025, 27, 101413. [Google Scholar] [CrossRef] [PubMed] [PubMed Central]
- Essayagh, B.; Sabbag, A.; Antoine, C.; Benfari, G.; Batista, R.; Yang, L.T.; Maalouf, J.; Thapa, P.; Asirvatham, S.; Michelena, H.I.; et al. The mitral annular disjunction of mitral valve prolapse: Presentation and outcome. JACC Cardiovasc. Imaging 2021, 14, 2073–2087. [Google Scholar] [CrossRef] [PubMed]
- Thamman, R.; Gupta, N.; Doshi, R.; Ellahham, S.; Elkhazendar, M.; Gupta, R. Mitral annular disjunction: Wolf in sheep’s clothing? Echocardiography 2020, 37, 1710–1712. [Google Scholar] [CrossRef]
- Peng, L.; Yuan, J.; Feng, Y.; Deng, C.; Ma, H.; Chen, Y.; Peng, Y. Age-related changes in mitral annular disjunction: A retrospective analysis using enhanced cardiac CT. Int. J. Cardiol. 2024, 414, 132424. [Google Scholar] [CrossRef] [PubMed]
- Gulati, A.; Gulsin, G.; Hu, H.; Rajiah, P.; Sundaram, V. Mitral annular disjunction: Review of an increasingly recognized mitral valve entity. Radiology 2023, 5, e230131. [Google Scholar] [CrossRef]
- Figliozzi, S.; Stankowski, K.; Tondi, L.; Catapano, F.; Gitto, M.; Lisi, C.; Bombace, S.; Olivieri, M.; Cannata, F.; Fazzari, F.; et al. Mitral annulus disjunction in consecutive patients undergoing cardiovascular magnetic resonance: Where is the boundary between normality and disease? J. Cardiovasc. Magn. Reson. 2024, 26, 101056. [Google Scholar] [CrossRef] [PubMed] [PubMed Central]
- Custódio, P.; De Campos, D.; Moura, A.R.; Shiwani, H.; Savvatis, K.; Joy, G.; Lambiase, P.D.; Moon, J.C.; Khanji, M.Y.; Augusto, J.B.; et al. Mitral annulus disjunction: A comprehensive cardiovascular magnetic resonance phenotype and clinical outcomes study. J. Magn. Reson. Imaging 2024, 61, 1368–1375. [Google Scholar] [CrossRef]
- Zugwitz, D.; Fung, K.; Aung, N.; Rauseo, E.; McCracken, C.; Cooper, J.; El Messaoudi, S.; Anderson, R.H.; Piechnik, S.K.; Neubauer, S.; et al. Mitral Annular Disjunction Assessed Using CMR Imaging: Insights From the UK Biobank Population Study. JACC Cardiovasc. Imaging 2022, 15, 1856–1866. [Google Scholar] [CrossRef] [PubMed] [PubMed Central]
- Perazzolo Marra, M.; Basso, C.; De Lazzari, M.; Rizzo, S.; Cipriani, A.; Giorgi, B.; Lacognata, C.; Rigato, I.; Migliore, F.; Pilichou, K.; et al. Morphofunctional abnormalities of mitral annulus and arrhythmic risk in arrhythmic mitral valve prolapse. Circ. Cardiovasc. Imaging 2016, 9, e005030. [Google Scholar] [CrossRef]
- Chess, R.J.; Mazur, W.; Palmer, C. Stop the madness: Mitral annular disjunction. CASE 2023, 7, 116–118. [Google Scholar] [CrossRef]
- Punjabi, P.P.; Rana, B.S. Mitral annular disjunction: Is MAD ‘normal’? Eur. Heart J. Cardiovasc. Imaging 2021, 22, 623–625. [Google Scholar] [CrossRef]
- Debonnaire, P.; Penicka, M.; Marsan, N.A.; Delgado, V. Contemporary imaging of normal mitral valve anatomy and function. Curr. Opin. Cardiol. 2012, 27, 455–464. [Google Scholar] [CrossRef] [PubMed]
- Ho, S.Y. Anatomy of the mitral valve. Heart 2002, 88, iv5–iv10. [Google Scholar] [CrossRef] [PubMed]
- Silbiger, J.J.; Bazaz, R. Contemporary insights into the functional anatomy of the mitral valve. Am. Heart J. 2009, 158, 887–895. [Google Scholar] [CrossRef] [PubMed]
- Da Col, U.; Rinaldi, M.; Di Lazzaro, D. Posterior mitral leaflet: New insights in functional anatomy and nomenclature. J. Cardiovasc. Med. 2010, 11, 820–826. [Google Scholar]
- Tani, T.; Konda, T.; Kim, K.; Ota, M.; Furukawa, Y. Mitral annular disjunction: A new disease spectrum. Cardiol. Clin. 2021, 39, 289–294. [Google Scholar] [CrossRef]
- Carmo, P.; Andrade, M.J.; Aguiar, C.; Rodrigues, R.; Gouveia, R.; Silva, J.A. Mitral annular disjunction in myxomatous mitral valve disease: A relevant abnormality recognizable by transthoracic echocardiography. Cardiovasc. Ultrasound 2010, 8, 53. [Google Scholar] [CrossRef]
- Dejgaard, L.A.; Skjølsvik, E.T.; Lie, Ø.H.; Ribe, M.; Stokke, M.K.; Hegbom, F.; Scheirlynck, E.S.; Gjertsen, E.; Andresen, K.; Helle-Valle, T.M.; et al. The mitral annulus disjunction arrhythmic syndrome. J. Am. Coll. Cardiol. 2018, 72, 1600–1609. [Google Scholar] [CrossRef] [PubMed]
- Essayagh, B.; Iacuzio, L.; Civiaia, F.; Levy, F. Mitral annular disjunction in mitral valve prolapse: A cardiac magnetic resonance study. Arch. Cardiovasc. Dis. Suppl. 2019, 11, 62–63. [Google Scholar] [CrossRef]
- Sanchez Tijmes, F.; Chatur, S.; Murphy, D.T.; Karur, G.R. Mitral annular disjunction on cardiac MRI: Prevalence and association with disease severity in Loeys–Dietz syndrome. Int. J. Cardiol. 2023, 392, 131276. [Google Scholar] [CrossRef]
- Drescher, C.S.; Kelsey, M.D.; Yankey, G.S.; Sun, A.Y.; Wang, A.; Sadeghpour, A.; Glower, D.D., Jr.; Vemulapalli, S.; Kelsey, A.M. Imaging Considerations and Clinical Implications of Mitral Annular Disjunction. Circ. Cardiovasc. Imaging 2022, 15, e014243. [Google Scholar] [CrossRef] [PubMed]
- Kulkarni, A.A.; Chhabra, C.; Burkule, N.; Kamat, R. Mitral annulus disjunction: Role of cardiac magnetic resonance imaging in the workup. Indian J. Radiol. Imaging 2022, 32, 576–581. [Google Scholar]
- Bennett, S.; Thamman, R.; Griffiths, T.; Oxley, C.; Khan, J.N.; Phan, T.; Patwala, A.; Heatlie, G.; Kwok, C.S. Mitral annular disjunction: A systematic review of the literature. Echocardiography 2019, 36, 1549–1558. [Google Scholar] [CrossRef] [PubMed]
- Elikowski, W.; Małek-Elikowska, M.; Ganowicz-Kaatz, T.; Greberska, W.; Fertała, N.; Zawodna-Marszałek, M.; Baszko, A. Multimodality imaging of mitral annular disjunction. Pol. Merkur. Lek. 2020, 48, 335–338. [Google Scholar] [PubMed]
- Silva Ferreira, M.V.; Santos, A.; Araujo-Filho, J.; Dantas, R.; Torres, A. Mitral annular disjunction at cardiac MRI: What to know and look for. RadioGraphics 2024, 44, e230156. [Google Scholar] [CrossRef] [PubMed]
- Faletra, F.F.; Leo, L.A.; Paiocchi, V.L.; Maisano, F. Morphology of mitral annular disjunction in mitral valve prolapse. J. Am. Soc. Echocardiogr. 2022, 35, 176–186. [Google Scholar] [CrossRef]
- Jaworski, K.; Firek, B.; Syska, P.; Lewandowski, M.; Śpiewak, M.; Dąbrowski, R. Malignant arrhythmia associated with mitral annular disjunction: Myocardial work as a potential tool in the search for a substrate. Kardiol. Pol. 2022, 80, 93–94. [Google Scholar] [CrossRef] [PubMed]
- Sabbag, A.; Essayagh, B.; Barrera, J.D.R.; Basso, C.; Berni, A.; Cosyns, B.; Deharo, J.-C.; Deneke, T.; Di Biase, L.; Enriquez-Sarano, M.; et al. EHRA expert consensus statement on arrhythmic mitral valve prolapse and mitral annular disjunction complex in collaboration with the ESC Council on valvular heart disease and the European Association of Cardiovascular Imaging endorsed by the Heart Rhythm Society, by the Asia Pacific Heart Rhythm Society, and by the Latin American Heart Rhythm Society. Europace 2022, 24, 1981–2003. [Google Scholar] [CrossRef] [PubMed]
Disclaimer/Publisher’s Note: The statements, opinions and data contained in all publications are solely those of the individual author(s) and contributor(s) and not of MDPI and/or the editor(s). MDPI and/or the editor(s) disclaim responsibility for any injury to people or property resulting from any ideas, methods, instructions or products referred to in the content. |
© 2025 by the authors. Licensee MDPI, Basel, Switzerland. This article is an open access article distributed under the terms and conditions of the Creative Commons Attribution (CC BY) license.






