Fatal Recurrent Splenic Artery Pseudoaneurysm Rupture Despite Prior Successful Embolization in Alcohol-Associated Chronic Pancreatitis: A Case Report
Abstract
1. Introduction
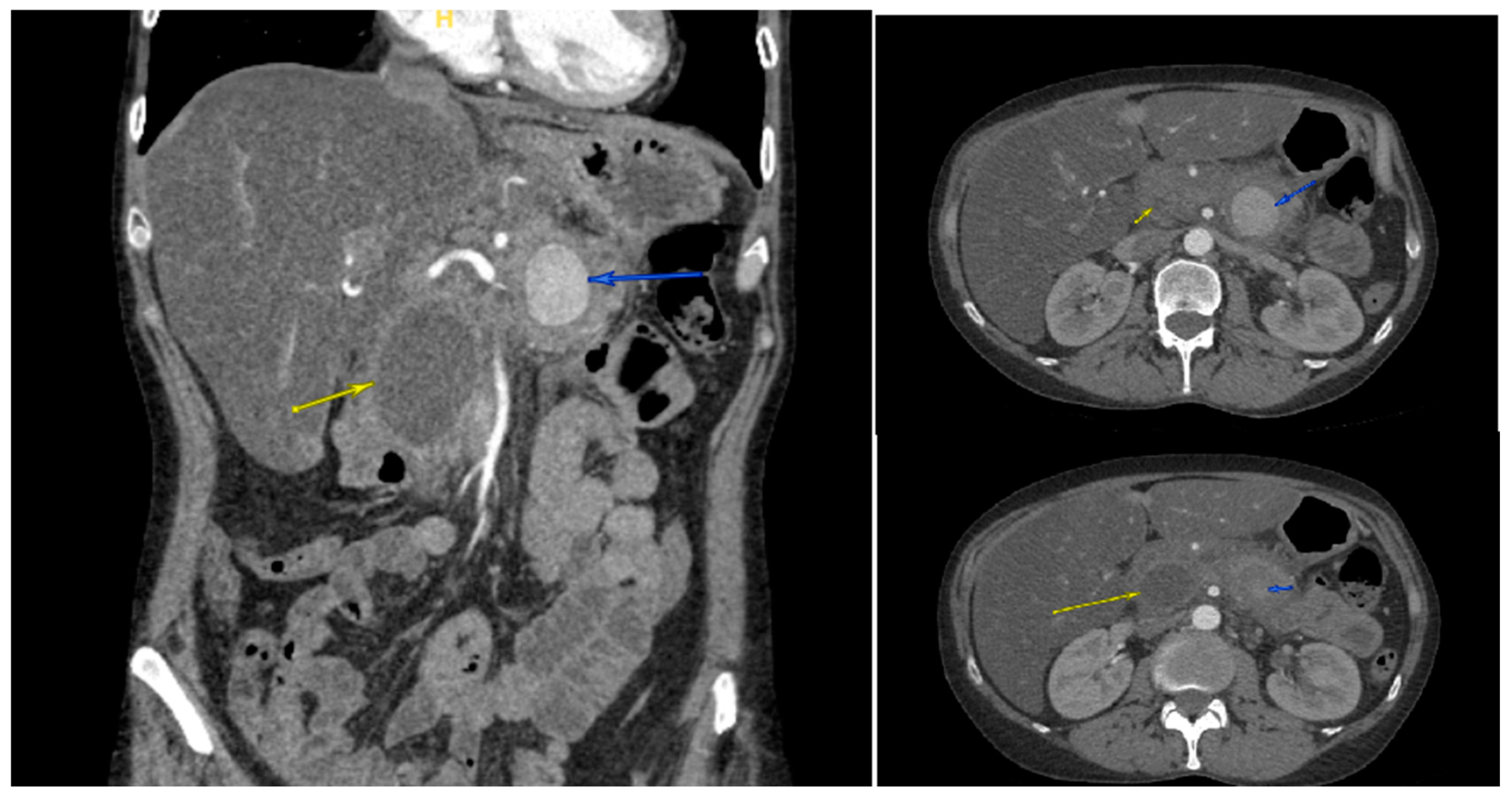
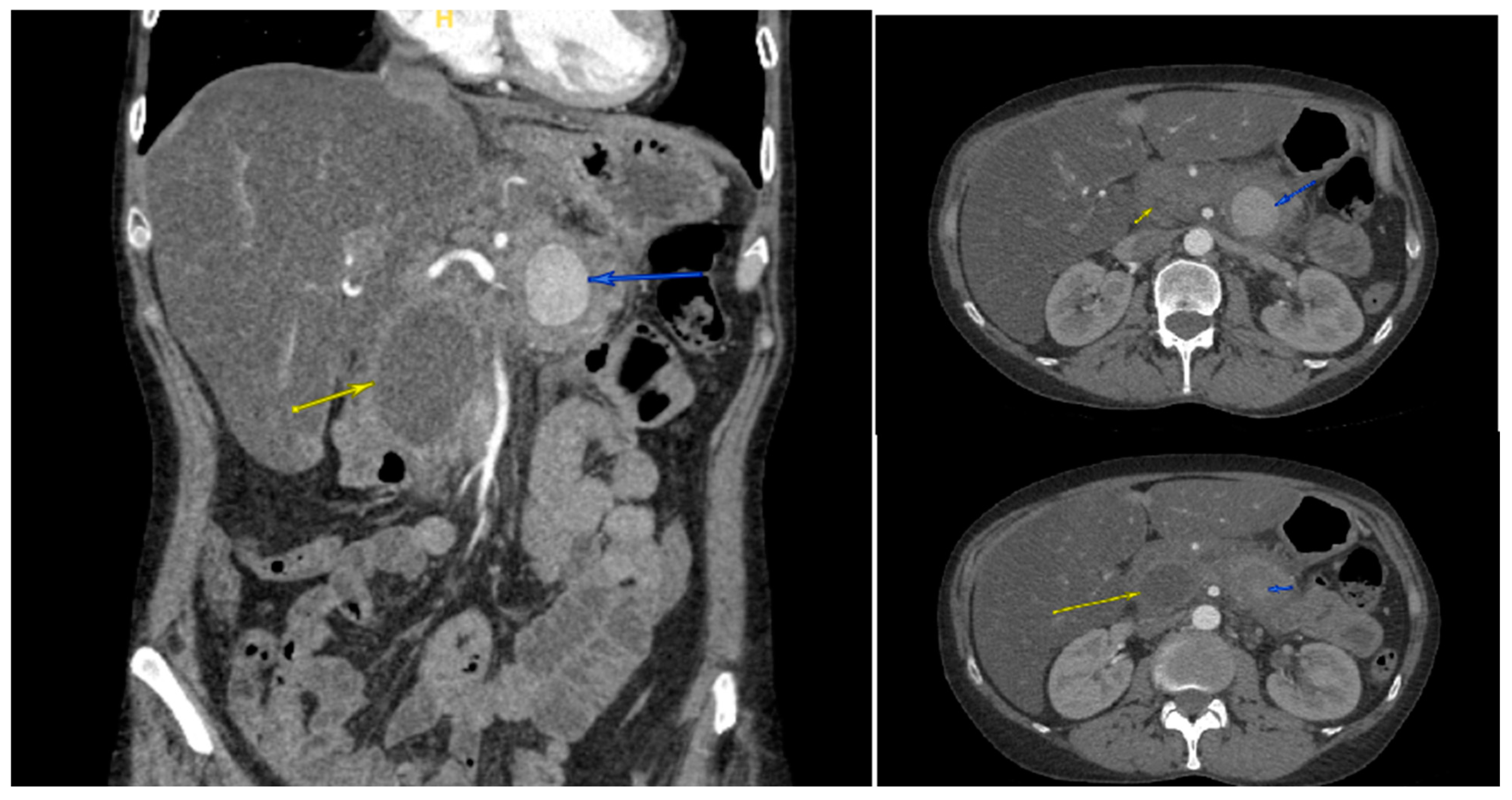
2. Case Presentation
3. Discussion
4. Conclusions
Author Contributions
Funding
Institutional Review Board Statement
Informed Consent Statement
Data Availability Statement
Conflicts of Interest
References
- Tessier, D.J.; Stone, W.M.; Fowl, R.J.; Abbas, M.A.; Andrews, J.C.; Bower, T.C.; Gloviczki, P. Clinical features and management of splenic artery pseudoaneurysm: Case series and cumulative review. J. Vasc. Surg. 2003, 38, 969–974. [Google Scholar] [CrossRef] [PubMed]
- El Hamel, A.; Parc, R.; Adda, G.; Bouteloup, P.Y.; Huguet, C.; Malafosse, M. Bleeding pseudocysts and pseudoaneurysms in chronic pancreatitis. J. Br. Surg. 1991, 78, 1059–1063. [Google Scholar] [CrossRef] [PubMed]
- Hsu, J.T.; Yeh, C.N.; Hung, C.F.; Chen, H.M.; Hwang, T.L.; Jan, Y.Y.; Chen, M.F. Management and outcome of bleeding pseudoaneurysm in chronic pancreatitis. BMC Gastroenterol. 2006, 6, 3. [Google Scholar] [CrossRef] [PubMed]
- Sagar, S.; Soundarajan, R.; Gupta, P.; Kumar, M.P.; Samanta, J.; Sharma, V.; Kochhar, R. Efficacy of endovascular embolization of arterial pseudoaneurysms in pancreatitis: A systematic review and meta-analysis. Pancreatology 2021, 21, 46–58. [Google Scholar] [CrossRef] [PubMed]
- Madhusudhan, K.S.; Gopi, S.; Singh, A.N.; Agarwal, L.; Gunjan, D.; Srivastava, D.N.; Garg, P.K. Immediate and long-term outcomes of percutaneous embolization of pancreatitis-related pseudoaneurysms. J. Vasc. Interv. Radiol. 2021, 32, 98–105. [Google Scholar] [CrossRef] [PubMed]
- Chaer, R.A.; Abularrage, C.J.; Coleman, D.M.; Eslami, M.H.; Kashyap, V.S.; Rockman, C.; Murad, M.H. The Society for Vascular Surgery clinical practice guidelines on the management of visceral aneurysms. J. Vasc. Surg. 2020, 72, 3S–39S. [Google Scholar] [CrossRef] [PubMed]
- Corvino, F.; Berritto, D.; Marra, P.; Giurazza, F.; Lerardi, A.M.; Lucatelli, P.; Basile, A.; Corvino, A.; Niola, R. Splenic artery pseudoaneurysms: The role of contrast-enhanced CT for detection and management. Diagnostics 2022, 12, 1012. [Google Scholar] [CrossRef] [PubMed]
- Vander Mijnsbrugge, W.; Laleman, W.; Van Steenbergen, W.; Heye, S.; Verslype, C.; Maleux, G. Long-term clinical and radiological outcome of endovascular embolization of pancreatitis-related pseudoaneurysms. Acta Radiol. 2017, 58, 316–322. [Google Scholar] [PubMed]
- Abbas, A.; Mahmoud, F.; Gaba, W. Splenic artery pseudoaneurysm; a cause or consequence: A case report. J. Med. Case Rep. 2024, 18, 253. [Google Scholar] [CrossRef] [PubMed]



Disclaimer/Publisher’s Note: The statements, opinions and data contained in all publications are solely those of the individual author(s) and contributor(s) and not of MDPI and/or the editor(s). MDPI and/or the editor(s) disclaim responsibility for any injury to people or property resulting from any ideas, methods, instructions or products referred to in the content. |
© 2025 by the authors. Licensee MDPI, Basel, Switzerland. This article is an open access article distributed under the terms and conditions of the Creative Commons Attribution (CC BY) license (https://creativecommons.org/licenses/by/4.0/).
Share and Cite
Ibrahim, N.; Ammari, S.; Malik, F. Fatal Recurrent Splenic Artery Pseudoaneurysm Rupture Despite Prior Successful Embolization in Alcohol-Associated Chronic Pancreatitis: A Case Report. Reports 2025, 8, 269. https://doi.org/10.3390/reports8040269
Ibrahim N, Ammari S, Malik F. Fatal Recurrent Splenic Artery Pseudoaneurysm Rupture Despite Prior Successful Embolization in Alcohol-Associated Chronic Pancreatitis: A Case Report. Reports. 2025; 8(4):269. https://doi.org/10.3390/reports8040269
Chicago/Turabian StyleIbrahim, Nawras, Stéphanie Ammari, and Faiza Malik. 2025. "Fatal Recurrent Splenic Artery Pseudoaneurysm Rupture Despite Prior Successful Embolization in Alcohol-Associated Chronic Pancreatitis: A Case Report" Reports 8, no. 4: 269. https://doi.org/10.3390/reports8040269
APA StyleIbrahim, N., Ammari, S., & Malik, F. (2025). Fatal Recurrent Splenic Artery Pseudoaneurysm Rupture Despite Prior Successful Embolization in Alcohol-Associated Chronic Pancreatitis: A Case Report. Reports, 8(4), 269. https://doi.org/10.3390/reports8040269

