Sign in to use this feature.

Years

Between: -

Subjects

remove_circle_outline
remove_circle_outline
remove_circle_outline

Journals

Article Types

Countries / Regions

Search Results (2)

Search Parameters:
Keywords = recurrent splenic artery pseudoaneurysm

Order results
Result details
Results per page
Select all
Export citation of selected articles as:
5 pages, 1973 KB  
Case Report
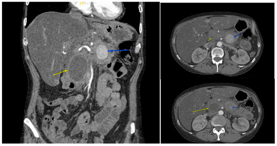
Fatal Recurrent Splenic Artery Pseudoaneurysm Rupture Despite Prior Successful Embolization in Alcohol-Associated Chronic Pancreatitis: A Case Report
by Nawras Ibrahim, Stéphanie Ammari and Faiza Malik
Reports 2025, 8(4), 269; https://doi.org/10.3390/reports8040269 - 18 Dec 2025
Abstract
Background and Clinical Significance: Splenic artery pseudoaneurysm (SAP) is a rare but life-threatening complication of chronic pancreatitis. Although endovascular embolization achieves high technical success, recurrence and delayed rupture may occur, particularly in patients with ongoing pancreatic inflammation or alcohol use disorder (AUD). Case [...] Read more.
Background and Clinical Significance: Splenic artery pseudoaneurysm (SAP) is a rare but life-threatening complication of chronic pancreatitis. Although endovascular embolization achieves high technical success, recurrence and delayed rupture may occur, particularly in patients with ongoing pancreatic inflammation or alcohol use disorder (AUD). Case Presentation: A 47-year-old woman with alcohol-associated chronic pancreatitis presented with hematochezia, melena, and syncope. CT angiography revealed a 3.6 cm SAP adjacent to a 4.2 cm pancreatic head pseudocyst, and she underwent successful coil embolization. Despite initial stability, she relapsed into heavy alcohol use, experienced recurrent pancreatitis flares, and developed progressive multisystem comorbidities. Surveillance imaging up to three months post-embolization showed pseudocyst fluctuations without early recanalization, but long-term follow-up lapsed. Eight months after embolization, she presented in hemorrhagic shock from recurrent SAP rupture and died despite massive transfusion and emergent splenic artery ligation. Conclusions: Fatal SAP rupture may occur months after technically successful embolization. Sentinel bleeding, AUD relapse, and progressive systemic decline are critical warning signs. Structured post-embolization imaging and multidisciplinary management are essential to improve long-term outcomes. Full article
(This article belongs to the Section Gastroenterology)
Show Figures

Figure 1

8 pages, 1494 KB  
Article
Ultrasound-Guided Compression Method Effectively Counteracts Russell’s Viper Bite-Induced Pseudoaneurysm
by Subramanian Senthilkumaran, Stephen W. Miller, Harry F. Williams, Rajendran Vaiyapuri, Ravi Savania, Namasivayam Elangovan, Ponniah Thirumalaikolundusubramanian, Ketan Patel and Sakthivel Vaiyapuri
Toxins 2022, 14(4), 260; https://doi.org/10.3390/toxins14040260 - 6 Apr 2022
Cited by 8 | Viewed by 6468
Abstract
Russell’s viper (Daboia russelii), one of the ‘Big Four’ venomous snakes in India, is responsible for the majority of snakebite-induced deaths and permanent disabilities. Russell’s viper bites are known to induce bleeding/clotting abnormalities, as well as myotoxic, nephrotoxic, cytotoxic and neurotoxic [...] Read more.
Russell’s viper (Daboia russelii), one of the ‘Big Four’ venomous snakes in India, is responsible for the majority of snakebite-induced deaths and permanent disabilities. Russell’s viper bites are known to induce bleeding/clotting abnormalities, as well as myotoxic, nephrotoxic, cytotoxic and neurotoxic envenomation effects. In addition, they have been reported to induce rare envenomation effects such as priapism, sialolithiasis and splenic rupture. However, Russell’s viper bite-induced pseudoaneurysm (PA) has not been previously reported. PA or false aneurysm is a rare phenomenon that occurs in arteries following traumatic injuries including some animal bites, and it can become a life-threatening condition if not treated promptly. Here, we document two clinical cases of Russell’s viper bites where PA has developed, despite antivenom treatment. Notably, a non-surgical procedure, ultrasound-guided compression (USGC), either alone, or in combination with thrombin was effectively used in both the cases to treat the PA. Following this procedure and additional measures, the patients made complete recoveries without the recurrence of PA which were confirmed by subsequent examination and ultrasound scans. These data demonstrate the development of PA as a rare complication following Russell’s viper bites and the effective use of a simple, non-surgical procedure, USGC for the successful treatment of PA. These results will create awareness among healthcare professionals on the development of PA and the use of USGC in snakebite victims following bites from Russell’s vipers, as well as other viper bites. Full article
(This article belongs to the Special Issue Venom-Induced Tissue Damage)
Show Figures

Figure 1

Back to TopTop