Pneumonia-Masked Pulmonary Embolism in Nephrotic Syndrome: Diagnostic Value of V/Q Scintigraphy: A Case Report
Abstract
1. Introduction and Clinical Significance
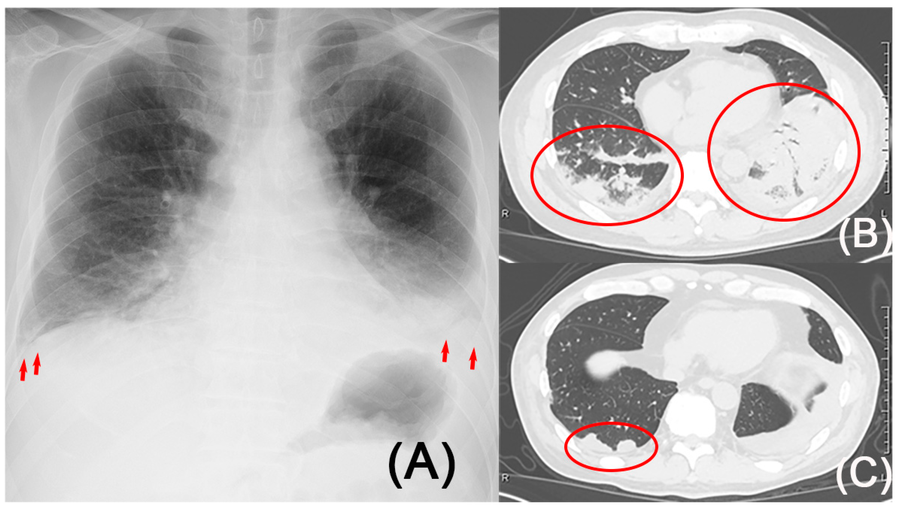
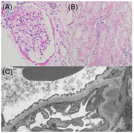
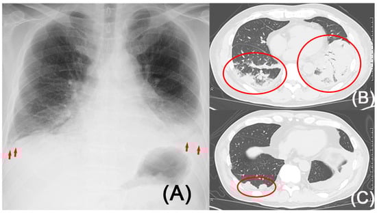
2. Case Presentation
3. Discussion
4. Conclusions
Author Contributions
Funding
Institutional Review Board Statement
Informed Consent Statement
Data Availability Statement
Conflicts of Interest
References
- Shinkawa, K.; Yoshida, S.; Seki, T.; Yanagita, M.; Kawakami, K. Risk Factors of Venous Thromboembolism in Patients with Nephrotic Syndrome: A Retrospective Cohort Study. Nephrol. Dial. Transpl. 2020, 36, 1199–1206. [Google Scholar] [CrossRef]
- Henzler, T.; Barraza, J.M., Jr.; Nance, J.W., Jr.; Costello, P.; Krissak, R.; Fink, C.; Schoepf, U.J. CT Imaging of Acute Pulmonary Embolism. J. Cardiovasc. Comput. Tomogr. 2011, 5, 3–11. [Google Scholar] [CrossRef] [PubMed]
- Ogi, M.; Yokoyama, H.; Tomosugi, N.; Hisada, Y.; Ohta, S.; Takaeda, M.; Wada, T.; Naito, T.; Ikeda, K.; Goshima, S.; et al. Risk Factors for Infection and Immunoglobulin Replacement Therapy in Adult Nephrotic Syndrome. Am. J. Kidney Dis. 1994, 24, 427–436. [Google Scholar] [CrossRef] [PubMed]
- Klok, F.A.; Mos, I.C.M.; Nijkeuter, M.; Righini, M.; Perrier, A.; Le Gal, G.; Huisman, M.V. Simplification of the Revised Geneva Score for Assessing Clinical Probability of Pulmonary Embolism. Arch. Intern. Med. 2008, 168, 2131–2136. [Google Scholar] [CrossRef] [PubMed]
- Gibson, N.S.; Sohne, M.; Kruip, M.J.H.A.; Tick, L.W.; Gerdes, V.E.; Bossuyt, P.M.; Wells, P.S.; Buller, H.R. Christopher study investigators Further Validation and Simplification of the Wells Clinical Decision Rule in Pulmonary Embolism. Thromb. Haemost. 2008, 99, 229–234. [Google Scholar] [CrossRef] [PubMed]
- Weitz, J.I.; Fredenburgh, J.C.; Eikelboom, J.W. A Test in Context: D-Dimer. J. Am. Coll. Cardiol. 2017, 70, 2411–2420. [Google Scholar] [CrossRef] [PubMed]
- Mamoulakis, C.; Tsarouhas, K.; Fragkiadoulaki, I.; Heretis, I.; Wilks, M.F.; Spandidos, D.A.; Tsitsimpikou, C.; Tsatsakis, A. Contrast-Induced Nephropathy: Basic Concepts, Pathophysiological Implications and Prevention Strategies. Pharmacol. Ther. 2017, 180, 99–112. [Google Scholar] [CrossRef] [PubMed]
- Subramaniam, R.M.; Suarez-Cuervo, C.; Wilson, R.F.; Turban, S.; Zhang, A.; Sherrod, C.; Aboagye, J.; Eng, J.; Choi, M.J.; Hutfless, S.; et al. Effectiveness of Prevention Strategies for Contrast-Induced Nephropathy: A Systematic Review and Meta-Analysis. Ann. Intern. Med. 2016, 164, 406–416. [Google Scholar] [CrossRef] [PubMed]
- Walker, H.; Guthrie, G.D.; Lambourg, E.; Traill, P.; Zealley, I.; Plumb, A.; Bell, S. Systematic review and meta-analysis of prophylaxis use with intravenous contrast exposure to prevent contrast-induced nephropathy. Eur. J. Radiol. 2022, 153, 110368. [Google Scholar] [CrossRef] [PubMed]
- Robert-Ebadi, H.; Bertoletti, L.; Combescure, C.; Le Gal, G.; Bounameaux, H.; Righini, M. Effects of Impaired Renal Function on Levels and Performance of D-Dimer in Patients with Suspected Pulmonary Embolism. Thromb. Haemost. 2014, 112, 614–620. [Google Scholar] [CrossRef] [PubMed]
- Becher, M.; Heller, T.; Schwarzenböck, S.; Kröger, J.-C.; Weber, M.-A.; Meinel, F.G. Negative Venous Leg Ultrasound in Acute Pulmonary Embolism: Prevalence, Clinical Characteristics and Predictors. Diagnostics 2022, 12, 520. [Google Scholar] [CrossRef] [PubMed]
- de Laforcade, L.; Bobot, M.; Bellin, M.F.; Clément, O.; Grangé, S.; Grenier, N.; Wynckel, A.; Guerrot, D. Kidney and contrast media: Common viewpoint of the French Nephrology societies (SFNDT, FIRN, CJN) and the French Radiological Society (SFR) following ESUR guidelines. Diagn. Interv. Imaging 2021, 102, 131–139. [Google Scholar] [CrossRef] [PubMed]
- Strashun, A.M. A Reduced Role of V/Q Scintigraphy in the Diagnosis of Acute Pulmonary Embolism. J. Nucl. Med. 2007, 48, 1405–1407. [Google Scholar] [CrossRef] [PubMed]
- Bajc, M.; Schümichen, C.; Grüning, T.; Lindqvist, A.; Le Roux, P.-Y.; Alatri, A.; Bauer, R.W.; Dilic, M.; Neilly, B.; Verberne, H.J.; et al. EANM Guideline for Ventilation/Perfusion Single-Photon Emission Computed Tomography (SPECT) for Diagnosis of Pulmonary Embolism and Beyond. Eur. J. Nucl. Med. Mol. Imaging 2019, 46, 2429–2451. [Google Scholar] [CrossRef] [PubMed]
- Cherng, S.C.; Huang, W.S.; Wang, Y.F.; Yang, S.P.; Lin, Y.F. The Role of Lung Scintigraphy in the Diagnosis of Nephrotic Syndrome with Pulmonary Embolism. Clin. Nucl. Med. 2000, 25, 167–172. [Google Scholar] [CrossRef] [PubMed]
- Huisman, M.V.; Tromeur, C.; Le Gal, G.; Le Roux, P.Y.; Righini, M. Diagnostic management of acute pulmonary embolism. Presse Med. 2024, 53, 104241. [Google Scholar] [CrossRef] [PubMed]
- Freeman, L.M.; Stein, E.G.; Sprayregen, S.; Chamarthy, M.; Haramati, L.B. The current and continuing important role of ventilation-perfusion scintigraphy in evaluating patients with suspected pulmonary embolism. Semin. Nucl. Med. 2008, 38, 432–440. [Google Scholar] [CrossRef] [PubMed]
- Stein, P.D.; Matta, F.; Alrifai, A.; Rahman, A. Trends in Case Fatality Rate in Pulmonary Embolism According to Stability and Treatment. Thromb. Res. 2012, 130, 841–846. [Google Scholar] [CrossRef] [PubMed]



| Name | Values | Unit | Normal Range |
|---|---|---|---|
| pH | 6 | NA | 4.5–7.5 |
| Protein | 11.26 | g/day | NA |
| RBC | 1–4 | /HPF | <5 |
| NAG | 120.8 | IU/L | 1.0–4.2 |
| BJP | (-) | NA | (-) |
| WBC | 11,130 | /μL | 3300–8600 |
| RBC | 588 | ×104/μL | 435–555 |
| Hb | 18.3 | g/dL | 13.7–16.8 |
| Plt | 21.2 | ×104/μL | 15.8–34.8 |
| ANA | 1:40 | NA | NA |
| MPO-ANCA | <0.2 | IU/mL | 0–3.5 |
| PR3-ANCA | <0.6 | IU/mL | 0–2.0 |
| Anti-GBM | <1.5 | IU/mL | 0–7.0 |
| ds-DNA | <0.6 | IU/mL | 0–10.0 |
| Procalcitonin | 0.5 | ng/mL | 0–0.05 |
| D-dimer | 7.7 | μg/mL | 0–1.0 |
| HbA1c | 5.5 | % | 4.9–6.0 |
| Glu | 78 | mg/dL | 73–109 |
| TP | 4.3 | g/dL | 6.6–8.1 |
| Alb | 0.7 | g/dL | 4.1–5.1 |
| BUN | 31.9 | mg/dL | 8.0–20.0 |
| Cr | 1.62 | mg/dL | 0.65–1.07 |
| eGFR | 36.8 | mL/min/1.73 m2 | NA |
| Na | 129 | mEq/L | 138–145 |
| K | 4.7 | mEq/L | 3.6–4.8 |
| Cl | 98 | mEq/L | 101–108 |
| AST | 30 | U/L | 13–30 |
| ALT | 14 | U/L | 10–42 |
| LDH | 415 | U/L | 124–222 |
| ALP | 114 | U/L | 38–113 |
| γGTP | 101 | U/L | 13–64 |
| CRP | 22.11 | mg/dL | 0–0.14 |
| IgG | 485 | mg/dL | 861–1747 |
| IgA | 407 | mg/dL | 93–393 |
| IgM | 100 | mg/dL | 33–183 |
| C3 | 195 | mg/dL | 73–138 |
| C4 | 57.1 | mg/dL | 11–31 |
| CH50 | 56.2 | U/mL | 31.6–57.6 |
Disclaimer/Publisher’s Note: The statements, opinions and data contained in all publications are solely those of the individual author(s) and contributor(s) and not of MDPI and/or the editor(s). MDPI and/or the editor(s) disclaim responsibility for any injury to people or property resulting from any ideas, methods, instructions or products referred to in the content. |
© 2025 by the authors. Licensee MDPI, Basel, Switzerland. This article is an open access article distributed under the terms and conditions of the Creative Commons Attribution (CC BY) license (https://creativecommons.org/licenses/by/4.0/).
Share and Cite
Saiki, R.; Katayama, K.; Murata, T.; Dohi, K. Pneumonia-Masked Pulmonary Embolism in Nephrotic Syndrome: Diagnostic Value of V/Q Scintigraphy: A Case Report. Reports 2025, 8, 42. https://doi.org/10.3390/reports8020042
Saiki R, Katayama K, Murata T, Dohi K. Pneumonia-Masked Pulmonary Embolism in Nephrotic Syndrome: Diagnostic Value of V/Q Scintigraphy: A Case Report. Reports. 2025; 8(2):42. https://doi.org/10.3390/reports8020042
Chicago/Turabian StyleSaiki, Ryosuke, Kan Katayama, Tomohiro Murata, and Kaoru Dohi. 2025. "Pneumonia-Masked Pulmonary Embolism in Nephrotic Syndrome: Diagnostic Value of V/Q Scintigraphy: A Case Report" Reports 8, no. 2: 42. https://doi.org/10.3390/reports8020042
APA StyleSaiki, R., Katayama, K., Murata, T., & Dohi, K. (2025). Pneumonia-Masked Pulmonary Embolism in Nephrotic Syndrome: Diagnostic Value of V/Q Scintigraphy: A Case Report. Reports, 8(2), 42. https://doi.org/10.3390/reports8020042

