Abstract
Several recent studies reported on some patients developing Creutzfeldt–Jakob disease (CJD) following coronavirus disease 2019, but, to the best of our knowledge, this case is the first reported in Italy on an onset of a CJD genetic form (gCJD) immediately after COVID-19 infection. We present a 51-year-old woman with a positive family history for CJD, who, two months after a mild SARS-CoV-2 infection, presented a rapidly progressing dementia diagnosed as CJD through clinical features, imaging, electroencephalography, and cerebrospinal fluid analysis. Genetic testing revealed the E200K mutation (p.Glu200Lys) c.598G>A, with homozygosity for methionine (MET) at codon 129, thus confirming the diagnosis of Creutzfeldt–Jakob disease. She passed away two months later. Interestingly, our case confirms that homozygous E200K gCJD patients are characterized by a relatively younger age of onset; moreover, it also sheds light on the neurodegeneration underlying both prion diseases and COVID-19 infection. In our opinion, the rising global prevalence of neurodegenerative complications following COVID-19 disease adds urgency to the study of this potential relationship, mostly in elderly patients who may experience worse long-lasting outcomes systemically and within the nervous system.
1. Introduction
In 2020, after China, Italy was the first European country to be overwhelmed, at a never-before-seen speed, by the COVID-19 pandemic [1], in the first period directly leading to a wide spectrum of clinical manifestations, which could vary from asymptomatic and mild flu-like symptoms to acute respiratory tract disorder, often fatal, or causing severe multisystemic complications. Since the end of 2020, while a massive vaccination campaign has begun worldwide, thus decreasing morbidity and mortality, long-term pulmonary, cardiological, neurological, and/or multi-organ complications have also been reported in COVID-19 infection, especially depending on age, pre-existing comorbidities, and vaccination status [2]. In particular, the exacerbation of pre-existing neurological disturbances was observed overall, suggesting that SARS-CoV-2 neurotropism may generate a likely acceleration of neurodegenerative diseases, i.e., Parkinson’s disease (PD), Alzheimer’s disease (AD), and Creutzfeldt–Jakob disease (CJD) [2,3].
CJD is a fatal neurodegenerative disease caused by transmissible agents called prions which replicate in the CNS, leading to characteristic neuropathological findings including spongiosis, glyosis, neuron loss, and the deposition of the pathological prion protein (PrPSc). Human transmissible spongiform encephalopathies (TSEs) include sporadic, genetic, iatrogenic, and infectious forms. The surveillance of human TSEs has been inaugurated in Italy in 1993, and the sporadic Creutzfeldt–Jakob disease (sCJD) is nowadays considered the major human prion disease, both in the Italy and worldwide. The identification and mandatory reporting of CJD in Italy has allowed us to improve our understanding of the CJD pathogenesis, the variable CJD clinical phenotypes, and the possible geographic clusters [4].
The aim of this study is to describe the rare case of COVID-19 interplay in genetic CJD associated with an E200K mutation and to provide ongoing insight into the disease pathogenesis of an even greater global health challenge than acute infection.
2. Materials and Methods
A 51-year-old woman with a history of arterial hypertension and uterine fibromatosis presented herself to the emergency room (ER) with rapidly progressive cognitive deterioration and functional decline, as she had become unable to maintain the upright position and to walk in few weeks. Her past medical history was insignificant for neurological diseases. Her relatives have reported that, approximately two months before, she was diagnosed with COVID-19 through a positive reverse transcriptase polymerase chain reaction (RT-PCR) test on nasopharyngeal swab and she had received only one dose of vaccination against COVID-19 (BNT162b2 mRNA vaccine (Pfizer-BioNTech) six months before. Despite a mild course of COVID-19—she was treated only with ibuprofen—in the first days after healing, she developed cognitive and motor slowing, paucity of speech with paraphasic errors and hypophony, unsteady gait with ataxia, insomnia, vertical gaze palsy, and blurred vision. Our patient had a positive family history for CJD—her parental aunt who died at the age of 59 years with CJD (clinical course of three years) and her paternal great-grand-uncle who died at the age of 52 years with dementia and aphasia—but PRNP sequencing, unluckily, was not tested in these relatives (Figure 1).
Figure 1.
Our four-generation family tree.
On ER admission, she was alert, but quite mute, except for occasional whispered monosyllables. She was unresponsive to verbal stimulation, whereas painful stimuli evoked normal flexion of upper limbs. Bilateral direct and indirect light reflexes were normal, but she had no blink reflex in response to threat, suggesting cortical blindness. There was a right limb hyperreflexia in absence of Hoffmann and Babinski signs. In few days after the admission, she was bedridden, and presented extensor plantar responses, muscle rigidity and abnormal muscle tone, staring gaze, myoclonus, and palmomental and glabellar reflexes, and required enteral nutrition via percutaneous endoscopic gastrostomy (PEG), given the rapidly deterioration clinical condition and the onset of worsening dysphagia.
Comprehensive blood tests and cerebrospinal fluid (CSF) analysis, including microbiological testing, onconeural antibodies, and neural surface antigens antibodies, urine sample, and total-body computed tomography were collected to rule out differential diagnoses, including vascular, infectious, toxic–metabolic, autoimmune, and systemic diseases, malignancies, and paraneoplastic antibody-mediated encephalopathies. Her diagnostic assessment also included brain magnetic resonance imaging and electroencephalography.
3. Results
Blood and CSF screening all showed a negative result. Suspecting Wernicke’s encephalopathy, she was treated with thiamine replacement without any clinical improvement. After the electroencephalography, which revealed diffuse pseudo-periodic sharp-waves complexes (Figure 2), CSF real-time quaking-induced conversion (RT-QuIC) was performed, according to McGuire et al. [5], and showed a positive result. PRNP sequencing on lymphocyte DNA revealed the E200K mutation (p.Glu200Lys) c.598G>A, ref. [6] with homozygosity for methionine (MET) at codon 129 (MV), thus confirming the diagnosis of Creutzfeldt–Jakob disease with the real-time quaking-induced conversion (RT-QuIC) assay.
Figure 2.
Electroencephalography showing the fairly typical repetitive pattern in CJD.
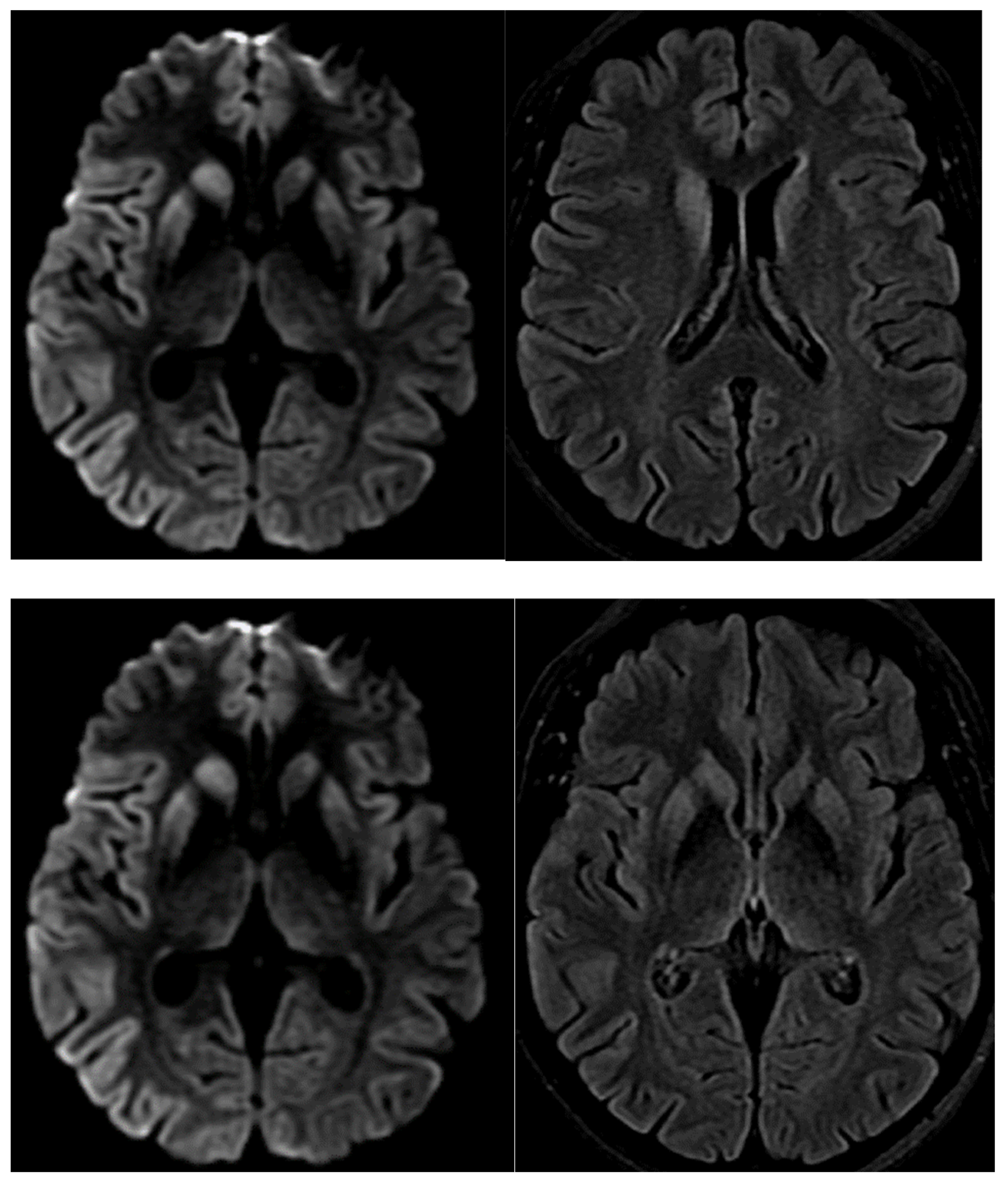
Magnetic resonance imaging (MRI) of the brain revealed restricted diffusion with the corresponding fluid-attenuated inversion recovery (FLAIR) in the caudate nucleus and putamen, bilaterally, and cortical ribboning in the right occipito-parietal cortex (Figure 3).
Figure 3.
DWI, diffusion-weighted imaging abnormalities, typically reported in CJD in the cortical and basal ganglia.
Our proband progressed up to mutism, and an akinetic and fully dependent state, and, unfortunately, died two months after the discharge.
4. Discussion
It has been just over three years since the SARS-CoV-2 viral infection was first known to cause severe acute and highly transmissible respiratory syndrome coronavirus. During one of the worst global pandemics of the last century, caused by the COVID-19 disease, under the persistent immune pressure exerted by the newest vaccines, the SARS-CoV-2 virus is fast mutating and becoming less severe but more contagious. On the other hand, some studies [7,8,9] indicate that elderly COVID-19 patients, or those who have reported a virulent episode of this infection, experience some long-lasting neurological complications, including encephalopathy, encephalitis, cerebrovascular disease, Parkinson’s disease (PD), Alzheimer’s disease (AD), and prion disease (PrD). Before the COVID-19 outbreak, the principal cause of rapidly progressive dementia was certainly prion disease, excluding infectious, metabolic, vascular, neoplastic, and autoimmune disorders. Nowadays, a growing number of studies demonstrated that patients surviving COVID-19 can show the neuroinflammatory activation of microglia and astrocytes that might favor the fast development of neurodegenerative diseases, such as CJD [9].
About 15% of human prion diseases or transmissible spongiform encephalopathies (TSE) are associated with PRNP mutation: E200K is highly prevalent in European countries [10], including in Italy, and beyond, in Chile, and in Jewish families of Libya and Tunisia [11]. Interestingly, despite the classical symptoms (confusion, dementia, mutism, and an akinetic state), an unpredictable spectrum of onset and clinical presentation have been documented not only within the subtypes, but also within the same CJD family, even between monozygotic twins. In particular, the mutation at codon 129 can be linked to different clinical phenotypes depending on whether the mutation co-segregates with methionine (FFI) or valine (VAL) [12,13]. A striking example of this phenotypic variability is our family, in which PRNP sequencing was unfortunately performed only in our proband, who rapidly progressed and died two months after disease onset, differently from her parental aunt. She, too, presented the typical MRI findings described in a cluster of high incidence of CJD occurring among a Libyan Jew family living in Israel [14], caused by an E200K mutation,: with gray matter atrophy, FLAIR, or DWI hyperintensities in the basal ganglia and thalamus. Notably, their death occurred within 1 year of the MR studies, while our proband died earlier in two months.
All these findings seem to suggest that an environmental event might overall represent an effective trigger even for a genetic form of prion disease [15].
Previous studies showed the role of SARS-CoV-2 and other neurotropic viruses in favoring the onset, spread, and pathogenesis of prion diseases, supporting a significant relationship between host immune responses to SARS-CoV-2 and an exacerbation involving systemic inflammation [15,16,17]. Indeed, human prion diseases (PrDs) are caused by the accumulation and aggregation of a misfolded isoform (PrPSc) from the native cellular prion protein (PrPc), associated with systemic inflammation.
Furthermore, SARS-CoV-2 ‘S1’ spike proteins contain some “prion-like” regions, amyloid peptide binding, and other domains that may support the formation of pathogenic plaques in the CNS [18,19]. Similarly to other neurotropic viruses, the cytokine storm, caused by COVID-19 infection, involving increased levels of IL-1β, IL-6, IL-10, IL-12, and TNF-α, fosters the activation of A1 astrocytes [20] which affect prion propagation and may accelerate disease progression in a wide range of neurodegenerative disorders, such as Parkinson’s disease, Alzheimer’s disease, and fronto-temporal dementia. Lastly, in both prion diseases and neurotropic infections (including SARS-CoV-2), the upregulation of some miRNAs, such as miRNA-146a-5p and miRNA-155-5p, can exacerbate systemic inflammation and lead to the acceleration of neurodegenerative processes [21,22].
On the other hand, considering the prolonged incubation time of prion diseases, our study do not answer the question of whether SARS-CoV-2 might be able to induce protein misfolding in a clinically relevant way, but we cannot exclude that long COVID may involve the induction of spontaneous prion emergence, especially in the elderly already at risk for neurodegenerative disease [23,24]. One hypothesis is that a retrograde transmission of the virus from the olfactory epithelium to the brainstem could cause neurological damage [25]. Beyond this possibility, it is still unclear whether or not angiotensin-converting enzyme-2 (ACE2) is the main route of entry of SARS-CoV-2 into the brain, especially because ACE2 expression in the CNS is debated [26].
Interestingly, in a very recent study, a cerebral organoid (CO) model containing the E200K mutation was used to investigate the influence of a neurotropic virus, such as the (HSV1) herpes simplex type-1 virus, on E200K PrP misfolding; neither an acute nor latent infection resulted in evidence of E200K prion misfolding [27].
In any case, despite the phenotypic variability that often delays CJD diagnosis, clinicians should encourage relatives to undertake genetic counseling and testing, because, in the era of genetically targeted therapies, it might produce a useful result for the stratification of patients in future preventive treatment trials for prion disease, to develop novel therapeutic strategies [28,29].
5. Conclusions
We describe the first case known in Italy on the onset of gCJD with a mutation of E200K in PRNP immediately after COVID-19 infection. Our report confirms the importance of PRNP sequencing combined with deep phenotyping to address genetic counselling in CJD diseases, despite their rarity, that can, unfortunately, further isolate the affected families. Further studies will be necessary to understand how SARS-CoV-2 infection can be a trigger for CJD onset, particularly for the genetic forms, because the potential links between the two diseases reinforce the need for the implementation of prophylactic and preventive measures to minimize COVID-19 infection risk, especially in the familial forms of CJD.
Author Contributions
E.C. designed the study. L.P. and A.P. (Antonio Petrucci) contributed to the acquisition of data. A.P. (Alessia Perna) and L.P. drafted the manuscript. E.C. and A.P. (Alessia Perna) critically revised the manuscript. All authors have read and agreed to the published version of the manuscript.
Funding
This research received no external funding.
Institutional Review Board Statement
The study was conducted in accordance with the Declaration of Helsinki. The collection and scientific dissemination of data related to COVID-19 epidemics by every public health body, such as San Camillo Hospital, were authorized on 27 February 2020, by the Italian Presidency of the Council of Ministers (Gazzetta Ufficiale Della Repubblica Italiana, Serie Generale, Parte Prima, 28 February 2020. Available from: https://www.gazzettaufficiale.it/eli/gu/2020/02/28/50/sg/pdf).
Informed Consent Statement
Consent is missing due to the early death of the patient.
Data Availability Statement
Upon reasonable request, the data presented in this study will be provided by emailing the corresponding author.
Conflicts of Interest
The authors declare no conflicts of interest.
Abbreviations
CJD, genetic Creutzfeldt–Jakob disease; COVID-19, Coronavirus disease-2019; gCJD, genetic Creutzfeldt–Jakob disease; SARS-CoV-2, severe acute respiratory syndrome-coronavirus 2; MET, methionine; PD, Parkinson’s disease; AD, Alzheimer’s disease; CNS, central nervous system; TSE, transmissible spongiform encephalopathies; sCJD, sporadic Creutzfeldt–Jakob disease; ER, emergency room; RT-PCR, reverse transcriptase polymerase chain reaction; PEG, percutaneous endoscopic gastrostomy; PRNP, prion protein gene; CSF, cerebrospinal fluid; RT-QuIC, real-time quaking-induced conversion; MRI, magnetic resonance imaging; FLAIR, fluid-attenuated inversion recovery; DWI, diffusion-weighted imaging; methionine (FFI); VAL, valine; PrD, prion disease; PrPSc, scrapie isoform of the prion protein; IL-1β, interleukin Beta; IL-6, interleukin 6; IL-10, interleukin 10; IL-12, interleukin 12; TNF-α, tumor necrosis factor α; ACE2, angiotensin converting enzyme-2; HSV1, Herpes Simplex Type-1 virus.
References
- Bezzini, D.; Schiavetti, I.; Manacorda, T.; Franzone, G.; Battaglia, M.A. First Wave of COVID-19 Pandemic in Italy: Data and Evidence. Adv. Exp. Med. Biol. 2021, 1353, 91–113. [Google Scholar]
- Farheen, S.; Agrawal, S.; Zubair, S.; Agrawal, A.; Jamal, F.; Altaf, I.; Anwar, A.K.; Umair, S.M.; Owais, M. Patho-physiology of aging and immune-senescence: Possible correlates with comorbidity and mortality in middle-aged and old COVID-19 patients. Front. Aging 2021, 2, 748591. [Google Scholar] [CrossRef]
- Fu, Y.W.; Xu, H.S.; Liu, S.J. COVID-19 and neurodegenerative diseases. Eur. Rev. Med. Pharmacol. Sci. 2022, 26, 4535–4544. [Google Scholar]
- Zhao, Y.; Jaber, V.R.; Lukiw, W.J. SARS-CoV-2, long COVID, prion disease and neurodegeneration. Front. Neurosci. 2022, 16, 1002770. [Google Scholar] [CrossRef]
- McGuire, L.I.; Poleggi, A.; Poggiolini, I.; Suardi, S.; Grznarova, K.; Shi, S.; de Vil, B.; Sarros, S.; Satoh, K.; Cheng, K.; et al. Cerebrospinal fluid real-time quaking-induced conversion is a robust and reliable test for sporadic creutzfeldt-jakob disease: An international study. Ann. Neurol. 2016, 80, 160–165. [Google Scholar] [CrossRef]
- Zerr, I.; Schmitz, M. Genetic Prion Disease. In GeneReviews® [Internet]; Adam, M.P., Feldman, J., Mirza, G.M., Pagon, R.A., Wallace, S.E., Bean, L.J.H., Gripp, K.W., Amemiya, A., Eds.; University of Washington: Seattle, WA, USA, 2003; Updated 7 January 2021; pp. 1993–2024. [Google Scholar]
- McGrath, A.; Pai, H.; Clack, A. Rapid progression of probable Creutzfeldt-Jakob disease with concomitant COVID-19 infection. BMJ Case Rep. 2023, 16, e254402. [Google Scholar] [CrossRef]
- Ciolac, D.; Racila, R.; Duarte, C.; Vasilieva, M.; Manea, D.; Gorincioi, N.; Condrea, A.; Crivorucica, I.; Zota, E.; Efremova, D.; et al. Clinical and radiological deterioration in a case of Creutzfeldt-Jakob Disease following SARS-CoV-2 Infection: Hints to accelerated age-dependent neurodegeneration. Biomedicines 2021, 9, 1730. [Google Scholar] [CrossRef]
- Koc, H.C.; Xiao, J.; Liu, W.; Li, Y.; Chen, G. Long COVID and its Management. Int. J. Biol. Sci. 2022, 18, 4768–4780. [Google Scholar] [CrossRef]
- Minikel, E.V.; Vallabh, S.M.; Lek, M.; Estrada, K.; Samocha, K.E.; Sathirapongsasuti, J.F.; McLean, C.Y.; Tung, J.Y.; Yu, L.P.C.; Gambetti, P.; et al. Quantifying prion disease penetrance using large population control cohorts. Sci. Transl. Med. 2016, 8, 322ra9. [Google Scholar] [CrossRef]
- Richards, S.; Aziz, N.; Bale, S.; Bick, D.; Das, S.; Gastier-Foster, J.; Grody, W.W.; Hegde, M.; Lyon, E.; Spector, E.; et al. Standards and guidelines for the interpretation of sequence variants: A joint consensus recommendation of the American College of Medical Genetics and Genomics and the Association for Molecular Pathology. Genet. Med. 2015, 17, 405–424. [Google Scholar] [CrossRef]
- Ladogana, A.; Kovacs, G.G. Chapter 13—Genetic Creutzfeldt–Jakob disease. In Handbook of Clinical Neurology; Pocchiari, M., Manson, J., Eds.; Elsevier: Amsterdam, The Netherlands, 2018; Volume 153, pp. 219–242. [Google Scholar]
- Won, S.Y.; Kim, Y.C.; Jeong, B.H. Elevated E200K Somatic Mutation of the Prion Protein Gene (PRNP) in the Brain Tissues of Patients with Sporadic Creutzfeldt-Jakob Disease (CJD). Int. J. Mol. Sci. 2023, 24, 14831. [Google Scholar] [CrossRef] [PubMed]
- Fulbright, R.K.; Kingsley, P.B.; Guo, X.; Hoffmann, C.; Kahana, E.; Chapman, J.C.; Prohovnik, I. The imaging appearance of Creutzfeldt–Jakob disease caused by the E200K mutation. Magn. Reson. Imaging 2006, 24, 1121–1129. [Google Scholar] [CrossRef] [PubMed]
- Nitsan, Z.; Cohen, O.S.; Chapman, J.; Kahana, E.; Korczyn, A.D.; Appel, S.; Osherov, M.; Rosenmann, H.; Milo, R. Familial Creutzfeldt–Jakob disease homozygous to the E200K mutation: Clinical characteristics and disease course. J. Neurol. 2020, 267, 2455–2458. [Google Scholar] [CrossRef] [PubMed]
- Guedes, B.F. NeuroCOVID-19: A critical review. Arq. Neuro-Psiquiatria 2022, 80, 281–289. [Google Scholar] [CrossRef] [PubMed]
- Singh, H.; Yura, T.; Kak, V. Sporadic Creutzfeldt-Jakob Disease with COVID-19 Infection: A Case Report. Cureus 2023, 15, e45757. [Google Scholar] [CrossRef] [PubMed]
- Frontera, J.A.; Thorpe, L.E.; Simon, N.M.; de Havenon, A.; Yaghi, S.; Sabadia, S.B.; Yang, D.; Lewis, A.; Melmed, K.; Balcer, L.J.; et al. Post-acute sequelae of COVID-19 symptom phenotypes and therapeutic strategies: A prospective, observational study. PLoS ONE 2022, 17, e0275274. [Google Scholar] [CrossRef] [PubMed]
- Young, M.J.; O’Hare, M.; Matiello, M.; Schmahmann, J.D. Creutzfeldt-Jakob disease in a man with COVID-19: SARS-CoV-2-accelerated neurodegeneration? Brain Behav. Immun. 2020, 89, 601–603. [Google Scholar] [CrossRef] [PubMed]
- Liddelow, S.A.; Guttenplan, K.A.; Clarke, L.E.; Bennett, F.C.; Bohlen, C.J.; Schirmer, L.; Bennett, M.L.; Münch, A.E.; Chung, W.-S.; Peterson, T.C.; et al. Neurotoxic reactive astrocytes are induced by activated microglia. Nature 2017, 541, 481–487. [Google Scholar] [CrossRef]
- Pogue, A.I.; Lukiw, W.J. microRNA-146a-5p, neurotropic viral infection and prion disease (PrD). Int. J. Mol. Sci. 2021, 22, 9198. [Google Scholar] [CrossRef]
- Lukiw, W.J.; Jaber, V.R.; Pogue, A.I.; Zhao, Y. SARS-CoV-2 Invasion and Pathological Links to Prion Disease. Biomolecules 2022, 12, 1253. [Google Scholar] [CrossRef]
- Olivo, S.; Furlanis, G.; Stella, A.B.; Fabris, M.; Milanic, R.; Zanusso, G.; Manganotti, P. Rapidly evolving Creutzfeldt–Jakob disease in COVID-19: From early status epilepticus to fatal outcome. Acta Neurol. Belg. 2022, 123, 1553–1556. [Google Scholar] [CrossRef]
- Mahalakshmi, A.M.; Ray, B.; Tuladhar, S.; Bhat, A.; Paneyala, S.; Patteswari, D.; Sakharkar, M.K.; Hamdan, H.; Ojcius, D.M.; Bolla, S.R.; et al. Does COVID-19 contribute to development of neurological disease? Immun. Inflamm. Dis. 2021, 9, 48–58. [Google Scholar] [CrossRef] [PubMed]
- Ahmad, S.J.; Feigen, C.M.; Vazquez, J.P.; Kobets, A.J.; Altschul, D.J. Neurological Sequelae of COVID-19. J. Integr. Neurosci. 2022, 21, 77. [Google Scholar] [CrossRef] [PubMed]
- Tetz, G.; Tetz, V. Prion-like domains in spike protein of SARS-CoV-2 differ across its variants and enable changes in affinity to ACE2. Microorganisms 2022, 10, 280. [Google Scholar] [CrossRef] [PubMed]
- Smith, A.; Groveman, B.R.; Winkler, C.; Williams, K.; Walters, R.; Yuan, J.; Zou, W.; Peterson, K.; Foliaki, S.T.; Haigh, C.L. Stress and viral insults do not trigger E200K PrP conversion in human cerebral organoids. PLoS ONE 2022, 17, e0277051. [Google Scholar] [CrossRef] [PubMed]
- Goldman, J.S.; Vallabh, S.M. Genetic counseling for prion disease: Updates and best practices. Anesthesia Analg. 2022, 24, 1993–2003. [Google Scholar] [CrossRef] [PubMed]
- Watson, N.; Brandel, J.P.; Green, A.; Hermann, P.; Ladogana, A.; Lindsay, T.; Mackenzie, J.; Pocchiari, M.; Smith, C.; Zerr, I.; et al. The importance of ongoing international surveillance for Creutzfeldt-Jakob disease. Nat. Rev. Neurol. 2021, 17, 362–379. [Google Scholar] [CrossRef]
Disclaimer/Publisher’s Note: The statements, opinions and data contained in all publications are solely those of the individual author(s) and contributor(s) and not of MDPI and/or the editor(s). MDPI and/or the editor(s) disclaim responsibility for any injury to people or property resulting from any ideas, methods, instructions or products referred to in the content. |
© 2024 by the authors. Licensee MDPI, Basel, Switzerland. This article is an open access article distributed under the terms and conditions of the Creative Commons Attribution (CC BY) license (https://creativecommons.org/licenses/by/4.0/).


