Foam Cells Analysis from Retrieved Stroke Clot for the Identification of Atherothrombotic Etiology
Abstract
1. Introduction
2. Materials and Methods
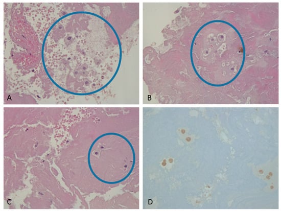
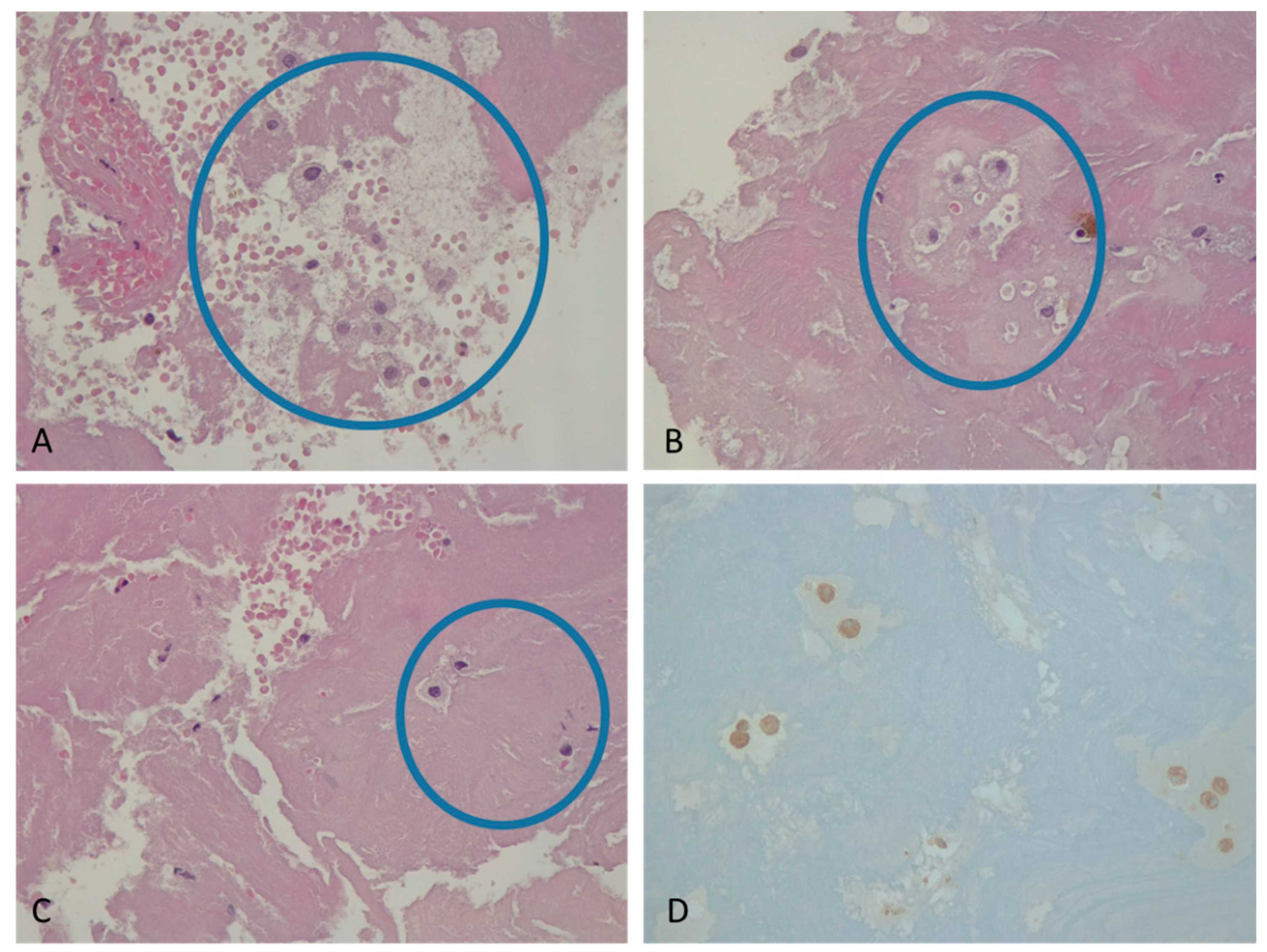
3. Results
4. Discussion
5. Limitations
6. Conclusions
Supplementary Materials
Author Contributions
Funding
Institutional Review Board Statement
Informed Consent Statement
Data Availability Statement
Conflicts of Interest
References
- Adams, H.P.; Bendixen, B.H.; Kappelle, L.J.; Biller, J.; Love, B.B.; Gordon, D.L.; Marsh, E.E. Classification of subtype of acute ischemic stroke. Definitions for use in a multicenter clinical trial. TOAST. Trial of Org 10172 in Acute Stroke Treatment. Stroke 1993, 24, 35–41. [Google Scholar] [CrossRef] [PubMed]
- Palomeras Soler, E.; Casado Ruiz, V. Epidemiology and Risk Factors of Cerebral Ischemia and Ischemic Heart Diseases: Similarities and Differences. Curr. Cardiol. Rev. 2010, 6, 138–149. [Google Scholar] [CrossRef] [PubMed]
- Deb, P.; Sharma, S.; Hassan, K.M. Pathophysiologic mechanisms of acute ischemic stroke: An overview with emphasis on therapeutic significance beyond thrombolysis. Pathophysiology 2010, 17, 197–218. [Google Scholar] [CrossRef] [PubMed]
- Arboix, A.; Oliveres, M.; Massons, J.; Pujades, R.; García-Eroles, L. Early differentiation of cardioembolic from atherothrombotic cerebral infarction: A multivariate analysis. Eur. J. Neurol. 1999, 6, 677–683. [Google Scholar] [CrossRef] [PubMed]
- Savelieva, I.; Bajpai, A.; Camm, A.J. Stroke in atrial fibrillation: Update on pathophysiology, new antithrombotic therapies, and evolution of procedures and devices. Ann. Med. 2007, 39, 371–391. [Google Scholar] [CrossRef] [PubMed]
- Viles-Gonzalez, J.F.; Fuster, V.; Badimon, J.J. Atherothrombosis: A widespread disease with unpredictable and life-threatening consequences. Eur. Heart J. 2004, 25, 1197–1207. [Google Scholar] [CrossRef] [PubMed]
- Libby, P.; Ridker, P.M.; Hansson, G.K. Progress and challenges in translating the biology of atherosclerosis. Nature 2011, 473, 317–325. [Google Scholar] [CrossRef] [PubMed]
- Weber, C.; Noels, H. Atherosclerosis: Current pathogenesis and therapeutic options. Nat. Med. 2011, 17, 1410–1422. [Google Scholar] [CrossRef] [PubMed]
- Sargolzaei, J.; Chamani, E.; Kazemi, T.; Fallah, S.; Soori, H. The role of adiponectin and adipolin as anti-inflammatory adipokines in the formation of macrophage foam cells and their association with cardiovascular diseases. Clin. Biochem. 2018, 54, 1–10. [Google Scholar] [CrossRef] [PubMed]
- Chistiakov, D.A.; Melnichenko, A.A.; Myasoedova, V.A.; Grechko, A.V.; Orekhov, A.N. Mechanisms of foam cell formation in atherosclerosis. J. Mol. Med. 2017, 95, 1153–1165. [Google Scholar] [CrossRef] [PubMed]
- Cochain, C.; Zernecke, A. Macrophages in vascular inflammation and atherosclerosis. Pflug. Arch. Eur. J. Physiol. 2017, 469, 485–499. [Google Scholar] [CrossRef] [PubMed]
- Yu, X.H.; Fu, Y.C.; Zhang, D.W.; Yin, K.; Tang, C.K. Foam cells in atherosclerosis. Clin. Chim. Acta 2013, 424, 245–252. [Google Scholar] [CrossRef] [PubMed]
- Hai, Q.; Ritchey, B.; Robinet, P.; Alzayed, A.M.; Brubaker, G.; Zhang, J.; Smith, J.D. Quantitative Trait Locus Mapping of Macrophage Cholesterol Metabolism and CRISPR/Cas9 Editing Implicate an ACAT1 Truncation as a Causal Modifier Variant. Arter. Thromb. Vasc. Biol. 2018, 38, 83–91. [Google Scholar] [CrossRef] [PubMed]
- Ritchey, B.; Hai, Q.; Han, J.; Barnard, J.; Smith, J.D. Genetic variant in 3′ untranslated region of the mouse pycard gene regulates inflammasome activity. Elife 2021, 10, e68203. [Google Scholar] [CrossRef] [PubMed]
- Sadoshima, S.; Fukushima, T.; Tanaka, K. Cerebral artery thrombosis and intramural hemorrhage. Stroke 1979, 10, 411–414. [Google Scholar] [CrossRef] [PubMed]
- Sporns, P.B.; Hanning, U.; Schwindt, W.; Velasco, A.; Minnerup, J.; Zoubi, T.; Heindel, W.; Jeibmann, A.; Niederstadt, T.U. Ischemic Stroke: What Does the Histological Composition Tell Us about the Origin of the Thrombus? Stroke 2017, 48, 2206–2210. [Google Scholar] [CrossRef] [PubMed]
- Heo, J.H.; Nam, H.S.; Kim, Y.D.; Choi, J.K.; Kim, B.M.; Kim, D.J.; Kwon, I. Pathophysiologic and Therapeutic Perspectives Based on Thrombus Histology in Stroke. J. Stroke 2020, 22, 64–75. [Google Scholar] [CrossRef] [PubMed]
- Marder, V.J.; Chute, D.J.; Starkman, S.; Abolian, A.M.; Kidwell, C.; Liebeskind, D.; Ovbiagele, B.; Vinuela, F.; Duckwiler, G.; Jahan, R.; et al. Analysis of thrombi retrieved from cerebral arteries of patients with acute ischemic stroke. Stroke 2006, 37, 2086–2093. [Google Scholar] [CrossRef]
- Singh, P.; Kaur, R.; Kaur, A. Clot composition and treatment approach to acute ischemic stroke: The road so far. Ann. Indian Acad. Neurol. 2013, 16, 494–497. [Google Scholar] [CrossRef] [PubMed]
- Schuhmann, M.K.; Gunreben, I.; Kleinschnitz, C.; Kraft, P. Immunohistochemical Analysis of Cerebral Thrombi Retrieved by Mechanical Thrombectomy from Patients with Acute Ischemic Stroke. Int. J. Mol. Sci. 2016, 17, 298. [Google Scholar] [CrossRef]
- Niesten, J.M.; van der Schaaf, I.C.; van Dam, L.; Vink, A.; Vos, J.A.; Schonewille, W.J.; de Bruin, P.C.; Mali, W.P.T.M.; Velthuis, B.K. Histopathologic composition of cerebral thrombi of acute stroke patients is correlated with stroke subtype and thrombus attenuation. PLoS ONE 2014, 9, e88882. [Google Scholar] [CrossRef]
- Boeckh-Behrens, T.; Kleine, J.F.; Zimmer, C.; Neff, F.; Scheipl, F.; Pelisek, J.; Schirmer, L.; Nguyen, K.; Karatas, D.; Poppert, H. Thrombus histology suggests cardioembolic cause in cryptogenic stroke. Stroke 2016, 47, 1864–1871. [Google Scholar] [CrossRef] [PubMed]
- Kim, S.; Yoon, W.; Kim, T.; Kim, H.; Heo, T.; Park, M. Histologic analysis of retrieved clots in acute ischemic stroke: Correlation with stroke etiology and gradient-echo MRI. Am. J. Neuroradiol. 2015, 36, 1756–1762. [Google Scholar] [CrossRef] [PubMed]
- Dargazanli, C.; Rigau, V.; Eker, O.; Riquelme Bareiro, C.; Machi, P.; Gascou, G.; Arquizan, C.; Ayrignac, X.; Mourand, I.; Corlobe, A.; et al. High CD3+ cells in intracranial thrombi represent a biomarker of atherothrombotic stroke. PLoS ONE 2016, 11, e0154945. [Google Scholar] [CrossRef] [PubMed]
- Krajíčková, D.; Krajina, A.; Šteiner, I.; Vyšata, O.; Herzig, R.; Lojík, M.; Chovanec, V.; Raupach, J.; Renc, O.; Waishaupt, J.; et al. Fibrin clot architecture in acute ischemic stroke treated with mechanical thrombectomy with stent-retrievers―Cohort study―. Circ. J. 2018, 82, 866–873. [Google Scholar] [CrossRef] [PubMed]
- Brinjikji, W.; Duffy, S.; Burrows, A.; Hacke, W.; Liebeskind, D.; Majoie, C.B.L.M.; Dippel, D.W.J.; Siddiqui, A.H.; Khatri, P.; Baxter, B.; et al. Correlation of imaging and histopathology of thrombi in acute ischemic stroke with etiology and outcome: A systematic review. J. Neurointerv. Surg. 2017, 9, 529–534. [Google Scholar] [CrossRef] [PubMed]
- Sporns, P.B.; Hanning, U.; Schwindt, W.; Velasco, A.; Buerke, B.; Cnyrim, C.; Minnerup, J.; Heindel, W.; Jeibmann, A.; Niederstadt, T. Ischemic Stroke: Histological Thrombus Composition and Pre-Interventional CT Attenuation Are Associated with Intervention Time and Rate of Secondary Embolism. Cerebrovasc. Dis. 2017, 44, 344–350. [Google Scholar] [CrossRef] [PubMed]
- Turc, G.; Bhogal, P.; Fischer, U.; Khatri, P.; Lobotesis, K.; Mazighi, M.; Schellinger, P.D.; Toni, D.; De Vries, J.; White, P.; et al. European Stroke Organisation (ESO)—European Society for Minimally Invasive Neurological Therapy (ESMINT) Guidelines on Mechanical Thrombectomy in Acute Ischemic Stroke. J. Neurointervent. Surg. 2023, 15, e8. [Google Scholar] [CrossRef] [PubMed]
- Powers, W.J.; Rabinstein, A.A.; Ackerson, T.; Adeoye, O.M.; Bambakidis, N.C.; Becker, K.; Biller, J.; Brown, M.; Demaerschalk, B.M.; Hoh, B. Guidelines for the early management of patients with acute ischemic stroke: 2019 update to the 2018 guidelines for the early management of acute ischemic stroke a guideline for healthcare professionals from the American Heart Association/American Stroke A. Stroke 2019, 50, E344–E418. [Google Scholar] [CrossRef]
- Wahlgren, N.; Moreira, T.; Michel, P.; Steiner, T.; Jansen, O.; Cognard, C.; Mattle, H.P.; van Zwam, W.; Holmin, S.; Tatlisumak, T.; et al. Mechanical thrombectomy in acute ischemic stroke: Consensus statement by ESO-Karolinska Stroke Update 2014/2015, supported by ESO, ESMINT, ESNR and EAN. Int. J. Stroke 2016, 11, 134–147. [Google Scholar] [CrossRef] [PubMed]
- Ahmed, N.; Audebert, H.; Turc, G.; Cordonnier, C.; Christensen, H.; Sacco, S.; Sandset, E.C.; Ntaios, G.; Charidimou, A.; Toni, D.; et al. Consensus statements and recommendations from the ESO-Karolinska Stroke Update Conference, Stockholm 11–13 November 2018. Eur. Stroke J. 2019, 4, 307–317. [Google Scholar] [CrossRef] [PubMed]
- Faul, F.; Erdfelder, E.; Lang, A.-G.; Buchner, A. G*Power 3: A flexible statistical power analysis program for the social, behavioral, and biomedical sciences. Behav. Res. Methods 2007, 39, 175–191. [Google Scholar] [CrossRef] [PubMed]
- Di Meglio, L.; Desilles, J.-P.; Ollivier, V.; Nomenjanahary, M.S.; Di Meglio, S.; Deschildre, C.; Loyau, S.; Olivot, J.-M.; Blanc, R.; Piotin, M.; et al. Acute ischemic stroke thrombi have an outer shell that impairs fibrinolysis. Neurology 2019, 93, e1686–e1698. [Google Scholar] [CrossRef]
- Hashimoto, T.; Hayakawa, M.; Funatsu, N.; Yamagami, H.; Satow, T.; Takahashi, J.C.; Nagatsuka, K.; Ishibashi-Ueda, H.; Kira, J.-I.; Toyoda, K.; et al. Histopathologic Analysis of Retrieved Thrombi Associated with Successful Reperfusion after Acute Stroke Thrombectomy. Stroke 2016, 47, 3035–3037. [Google Scholar] [CrossRef] [PubMed]
- Zbesko, J.C.; Stokes, J.; Becktel, D.A.; Doyle, K.P. Targeting foam cell formation to improve recovery from ischemic stroke. Neurobiol. Dis. 2023, 181, 106130. [Google Scholar] [CrossRef] [PubMed]
- Llombart, V.; Garcia-Berrocoso, T.; Bustamante, A.; Fernandez-Cadenas, I.; Montaner, J. Cardioembolic Stroke Diagnosis Using Blood Biomarkers. Curr. Cardiol. Rev. 2013, 9, 340. [Google Scholar] [CrossRef] [PubMed]
- Saver, J.L. Cryptogenic Stroke. N. Engl. J. Med. 2016, 374, 2065–2074. [Google Scholar] [CrossRef] [PubMed]
- Duffy, S.; McCarthy, R.; Farrell, M.; Thomas, S.; Brennan, P.; Power, S.; O’hare, A.; Morris, L.; Rainsford, E.; MacCarthy, E.; et al. Per-Pass Analysis of Thrombus Composition in Patients With Acute Ischemic Stroke Undergoing Mechanical Thrombectomy. Stroke 2019, 50, 1156–1163. [Google Scholar] [CrossRef] [PubMed]
- Beyeler, M.; Grunder, L.; Göcmen, J.; Steinauer, F.; Belachew, N.F.; Kielkopf, M.; Clénin, L.; Mueller, M.; Silimon, N.; Kurmann, C.; et al. Absence of susceptibility vessel sign and hyperdense vessel sign in patients with cancer-related stroke. Front. Neurol. 2023, 14, 1148152. [Google Scholar] [CrossRef] [PubMed]

| NFC (n = 71) | FC (n = 29) | |||||||||
|---|---|---|---|---|---|---|---|---|---|---|
| Min | IQ | Median | IIIQ | Max | Min | IQ | Median | IIIQ | Max | |
| Triglycerides mg/dL | 40 | 69 | 89 | 111 | 274 | 42 | 74 | 83 | 106 | 162 |
| CRP mg/dL | 0.1 | 0.3 | 0.9 | 2.35 | 23.7 | 0.1 | 0.2 | 0.4 | 1 | 9.7 |
| Red cells ×106/mm3 | 2.47 | 4.09 | 4.55 | 4.94 | 6.15 | 3.09 | 4.23 | 4.51 | 4.63 | 5.44 |
| White cells ×104/mm3 | 4.5 | 7.4 | 8.6 | 10.9 | 24.9 | 4.6 | 8.2 | 9.8 | 11.9 | 99.9 |
| Platelets ×105/mm3 | 0.57 | 1.86 | 2.20 | 2.70 | 3.9 | 0.48 | 2.05 | 2.38 | 2.50 | 3.56 |
| INR | 0.96 | 1.02 | 1.08 | 1.16 | 3.19 | 0.92 | 1.07 | 1.1 | 1.19 | 2.6 |
| NFC (n = 71) | FC (n = 29) | ||||
|---|---|---|---|---|---|
| % | n | % | n | p Value | |
| Diabetes | 25.8 | 17/66 | 25 | 7/28 | 0.96 |
| Hypertension | 78.8 | 52/66 | 75 | 21/28 | 0.77 |
| Hypercholesterolemia | 42.4 | 28/66 | 42.9 | 12/28 | 0.98 |
| Smoking | 13.8 | 9/65 | 17.9 | 5/28 | 0.76 |
| Tumors | 18.5 | 12/65 | 3.6 | 1/28 | 0.26 |
| Potential-embolus-forming arrhythmia | 39.3 | 24/61 | 48 | 12/25 | 0.54 |
| EF < 40% | 10 | 6/60 | 9.1 | 2/22 | 0.46 |
| Ipsilateral plaque in US study | 73.1 | 38/56 | 58.3 | 18/23 | 0.47 |
| LDL > 100 mg/dL | 41.4 | 24/58 | 56.5 | 13/23 | 0.29 |
| HDL below range | 86.7 | 52/60 | 83.3 | 20/24 | 0.81 |
Disclaimer/Publisher’s Note: The statements, opinions and data contained in all publications are solely those of the individual author(s) and contributor(s) and not of MDPI and/or the editor(s). MDPI and/or the editor(s) disclaim responsibility for any injury to people or property resulting from any ideas, methods, instructions or products referred to in the content. |
© 2024 by the authors. Licensee MDPI, Basel, Switzerland. This article is an open access article distributed under the terms and conditions of the Creative Commons Attribution (CC BY) license (https://creativecommons.org/licenses/by/4.0/).
Share and Cite
Giammello, F.; Ciacciarelli, A.; Cosenza, D.; Galletta, S.; Barresi, V.; La Spina, P.; Fazio, M.C.; De Caro, J.; Cotroneo, M.; Dell’Aera, C.; et al. Foam Cells Analysis from Retrieved Stroke Clot for the Identification of Atherothrombotic Etiology. Clin. Transl. Neurosci. 2024, 8, 17. https://doi.org/10.3390/ctn8020017
Giammello F, Ciacciarelli A, Cosenza D, Galletta S, Barresi V, La Spina P, Fazio MC, De Caro J, Cotroneo M, Dell’Aera C, et al. Foam Cells Analysis from Retrieved Stroke Clot for the Identification of Atherothrombotic Etiology. Clinical and Translational Neuroscience. 2024; 8(2):17. https://doi.org/10.3390/ctn8020017
Chicago/Turabian StyleGiammello, Fabrizio, Antonio Ciacciarelli, Domenico Cosenza, Santi Galletta, Valeria Barresi, Paolino La Spina, Maria Carolina Fazio, Jolanda De Caro, Masina Cotroneo, Cristina Dell’Aera, and et al. 2024. "Foam Cells Analysis from Retrieved Stroke Clot for the Identification of Atherothrombotic Etiology" Clinical and Translational Neuroscience 8, no. 2: 17. https://doi.org/10.3390/ctn8020017
APA StyleGiammello, F., Ciacciarelli, A., Cosenza, D., Galletta, S., Barresi, V., La Spina, P., Fazio, M. C., De Caro, J., Cotroneo, M., Dell’Aera, C., Grillo, F., Ammendola, S., Tessitore, A., Vinci, S. L., Musolino, R. F., Casella, C., & Toscano, A. (2024). Foam Cells Analysis from Retrieved Stroke Clot for the Identification of Atherothrombotic Etiology. Clinical and Translational Neuroscience, 8(2), 17. https://doi.org/10.3390/ctn8020017

