Abstract
Mitochondrial encephalomyopathy, lactic acidosis, and stroke-like episodes (MELAS) is a rare mitochondrial disorder primarily presenting in pediatric patients, with onset after 40 years being exceptionally rare (1–6%). Here, we report a complex diagnostic journey of a 47-year-old male presenting with new-onset seizures, hemiparesis, and neurocognitive deficits. Initial work-up, including MRI, CSF analysis, and extensive antibody screening, yielded inconclusive results, prompting differential considerations such as autoimmune encephalitis and neoplastic conditions. Finally muscle biopsy findings, coupled with genetic confirmation of the m.3243A>G mutation in the MT-TL1 gene, ultimately established the diagnosis of MELAS. This case depicts the atypical presentation of adult-onset MELAS without initial lactic acidemia, diabetes, or hearing impairment. The prolonged diagnostic process underscores the challenges of identifying rare diseases under today’s financial and administrative constraints. Still we emphasize the importance of comprehensive diagnostics in rare cases to advance generall understanding and improve future patient outcomes, also amidst resource limitations.
1. Background
Mitochondrial encephalomyopathy, lactic acidosis, and stroke-like episodes (MELAS) is the most frequent mitochondrial disorder which, however, is still classified as a rare disease with a prevalence of only 1.4 to 18.1 in 100,000 [1]. The clinical onset of MELAS occurs in 65–76% before the age of twenty and is therefore mostly seen by pediatricians. Only 1–6% of cases occur after 40 years of age [2,3]. The diagnostic process and differential diagnostic considerations in a patient in their forties can therefore be very challenging as the disease can present with a wide variety of clinical manifestations. In addition to the three eponymous features, other features may include dementia, epilepsy, myopathy, recurrent headaches, hearing impairment, diabetes, short stature, and developmental and learning disorders. Here, we present the extensive investigation of an adult male who was eventually diagnosed with MELAS to illustrate the considerable effort that is required to clarify complicated and rare manifestations of rare diseases in today’s context of a federal policy for rare diseases (national coordination of rare diseases [4]) and ever tighter administrative and financial constraints.
2. Case Report
A 47-year-old salesman attended our emergency department following a first generalized tonic–clonic epileptic seizure. Fluctuating mental confusion had started the day before. His past medical history included the resection of a thyroid tumor with substituted hypothyroidism; fibrosis of the left testicle, possibly linked to mumps orchitis in childhood; and the embolization of an arteriovenous malformation in the right leg. His family history was unknown because of adoption. Two years previously, neuropsychological testing in the context of unemployment had surprisingly revealed a moderate intellectual disability with, in retrospect, suspected onset in early childhood and presumed sequelae of possible schizophrenia in the past. He had completed normal school education and worked as a salesman. Besides thyroid substitution, the patient was not on any medication.
Clinically, he was disoriented with left sensorimotor hemiparesis and visual neglect. Laboratory tests, including toxicology screening and assessing lactate levels, was unremarkable. A head CT scan showed focal cerebral edema on the right-side temporal and parietal lobe. CT angiography was without pathological findings, and notably, there were no signs of cerebral venous thrombosis. The patient then suffered a second generalized tonic–clonic seizure with a transient postictal altered state. The EEG at that time displayed lateral periodic discharges (LPDs) in an intermittent focal slowing in the temporoparietal region on the right side (Figure 1).
Figure 1.
The patient’s EEG in bipolar montage displays permanent lateral periodic discharges (LPDs) within an intermittent focal slowing temporoparietal region on the right side.
Cerebrospinal fluid (CSF) analysis revealed a marked elevation of lactate, 5.15 mmol/L [0.9–2.7 mmol/L], and a mild increase in total protein, 0.54 g/L [0.15–0.45 g/L]. Cell count and glucose were normal, and oligoclonal bands and a meningitis/encephalitis PCR panel for common viruses, bacteria, and fungi were negative. The patient was medicated with levetiracetam (1.5 g every 12 h) and lacosamide (100 mg every 12 h) and was admitted for further work-up.
- At this point, the case could be seen as a first seizure with unusually long postictal confusion and left hemisyndrome. Considering the persistent LPDs in the EEG, a status epilepticus could be diagnosed. The CSF findings with lactate elevation and mild protein increase could also be explained in the ictal or postictal context.
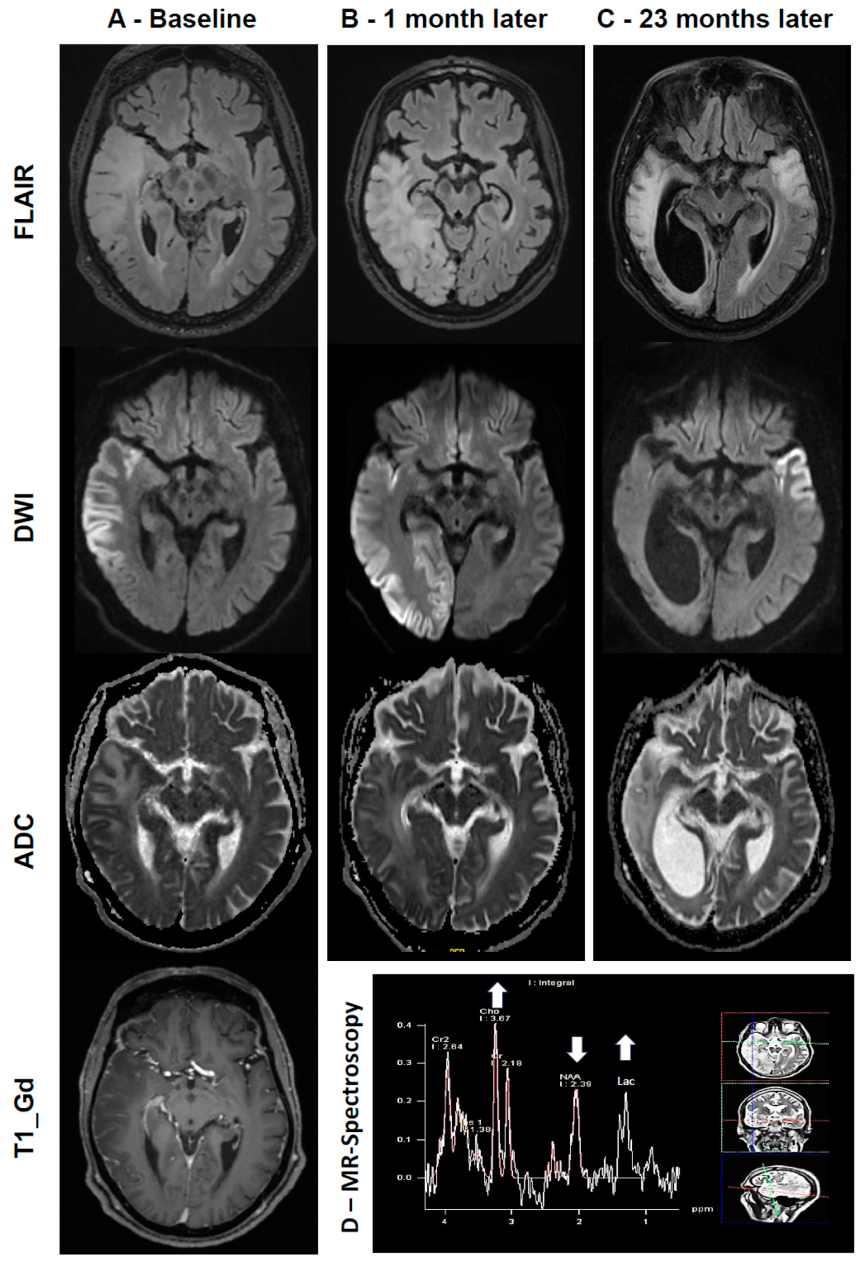
The next day, a contrast-enhanced MRI of the brain showed a cortical increased diffusion-weighted imaging (DWI) and fluid-attenuated inversion recovery (FLAIR) signal in the right temporal and parietal lobes with an associated subcortical edema. Apparent diffusion coefficient (ADC) maps revealed a reduction in ADC values in the right temporoparietal cortex, suggesting cytotoxic edema, but an increase in ADC values in the underlying subcortical white matter suggesting vasogenic edema. There was mild gyral contrast enhancement in the right temporal and parietal lobes visible in the T1-weighted and gadolinium-enhanced sequence (T1_Gd) (Figure 2A).
Figure 2.
(A) Brain MRI at first presentation (baseline). Top: the T2-weighted image (FLAIR) shows an extensive cortical/subcortical hyperintense lesion in the right temporal and parietal lobes. Upper and lower middle: DWI and ADC maps reveal an increase in DWI signals and a reduction in ADC values in the right temporoparietal cortex, suggesting cytotoxic edema, but an increase in ADC values in the underlying subcortical white matter, suggesting vasogenic edema. Bottom: the T1 gadolinium-enhanced image shows mild gyral contrast enhancement in the right temporal and parietal lobes. (B) Brain MRI at 1 month. Progression and expansion to the right occipital lobe (top: FLAIR; middle: DWI; bottom: ADC). (C) Brain MRI at 23 months. Chronic cortical/subcortical lesion on the right side with an associated marked ex vacuo dilatation of the right lateral ventricle. A new hyperintense FLAIR/DWI signal in the left temporal lobe (top: FLAIR; middle: DWI; bottom: ADC). (D) MR spectroscopy shows low N-acetyl aspartate (NAA) and high choline and lactate peaks in the right temporal lobe.
- Taking into account the MRI findings, the initial main differential diagnoses were neoplastic, autoimmune (encephalitis), toxic/metabolic, and neurodegenerative disorders. Neuroinfectious diseases were unlikely due to the absence of CSF pleocytosis. However, it could not yet be resolved whether the MRI features were the consequence of epileptic activity (peri/postictal) or directly linked to a primary disorder. Cerebral ischemia seemed unlikely because the findings in MRI crossed the boundaries of vascular territories.
Further laboratory diagnostics included negative results for antibodies to neuronal surface membrane proteins in serum and CSF (Anti-NMDA-R, Anti-AMPA-R, Anti-DPPX, Anti-GABA-B-R, Anti-LGI1, Anti-CASPR2) and intracellular neuronal proteins (Anti-Amphiphysin, Anti-CV2, Anti-Ta/Ma2, Anti-Ri, Anti-Yo, Anti-Hu, Anti-Recoverin, Anti-SOX1, Anti-Zic4, Anti-Tr, Anti-ZNS IIF, Anti-GAD), as well as antibodies against Aquaporin-4 and MOG. Antinuclear antibody (ANA) titer was elevated with a titer of 320 [<80], but further testing for autoimmune disorders including vasculitis screening was negative. A second lumbar puncture yielded increased values for lactate, 6.3 mmol/L [0.9–2.7 mmol/L], and a persistent mild elevation of total protein, 0.52 g/L [0.15–0.45 g/L], in the CSF. The cell count in the CSF and the lactate in the serum normalized. Additional CSF analysis revealed no signs of malignant cells or lymphoma.
The Real-Time Quaking-Induced Conversion test (RT-QuIC) was negative; thus, sporadic Creutzfeldt–Jakob disease could also be excluded.
- At this point, although an autoimmune etiology was unlikely, antibody-negative autoimmune encephalitis was a potential treatable cause that could not be excluded. A brain tumor, especially gliomatosis cerebri, was also possible, although only mild gyral contrast enhancement and extensive expansion of T2 lesions were not compatible with this diagnosis. There were no indications of a toxic cause. Metabolic or neurodegenerative inherited disorders such as leukodystrophies or mitochondrial diseases were not initially considered because of the adult onset.
The patient’s mild progressive neurocognitive deficits did not resolve, and neither did the persistent left sensorimotor hemiparesis nor the hemineglect. One week after presentation, on a second MRI, there were clear signs of progression, so steroids were given empirically for 5 days (prednisolone 60 mg oral per day), without clinical improvement, however. The subsequent EEGs showed continuous slowing on the right-side temporal and parietal lobe, and there were no signs of epileptic activity; therefore, levetiracetam was stopped as the patient also developed aggressive behavior. Whole-body positron emission tomography/computed tomography with the glucose analog 2-[18F]fluoro-2-deoxy-d-glucose (FDG-PET/CT) revealed no neoplastic lesions, but a hypometabolism in the right temporal and parietal lobe. One month after presentation, a follow-up brain MRI showed signs of further progression and expansion to the occipital lobe (Figure 2B), and MR spectroscopy showed low N-acetyl aspartate (NAA) and high choline and lactate peaks (Figure 2D). A second steroid trial with methylprednisolone 1000 mg i.v. daily for 5 days again yielded no clinical response. As the patient’s symptoms had stabilized, therapy was not escalated to immunoadsorption or plasmapheresis. A cerebral corticosubcortical biopsy was performed and showed gliosis and microglial activation in the cortex and white matter, without evidence of inflammation or malignancy. Thus, both of these differential diagnoses could be excluded, and after almost 6 weeks, the patient was discharged to a rehabilitation center without a clear diagnosis but with a muscle biopsy scheduled during the second hospital stay.
- The repeated high lactate values in the CSF and MR spectroscopy raised the suspicion of mitochondrial disease, especially MELAS, despite there being no signs of typical clinical features such as diabetes, short stature, or hearing impairment.
On admission one week later, 7 weeks after the initial episode, a mild increase in serum lactate, 2.6 mmol/L [0.5–2.2 mmol/L], without acidosis was measured. Although electromyography revealed no signs of myopathy, a biopsy of the right vastus lateralis muscle revealed ragged red fibers, neutral fat deposits, and prominent cytochrome C oxidase (COX)-negative and succinate dehydrogenase (SDH) hyper-reactive muscle fibers. The diagnosis of MELAS was suspected and was finally confirmed by positive genetic testing for the m.3243A>G mitochondrial DNA mutation in the MT-TL1-gene (65% heteroplasmy in the muscle biopsy).
Over the next two months, the patient’s neurocognitive deficits and left hemiparesis partially improved; he was able to return home without any external help. Because of continuing seizures over the next 18 months, anticonvulsive medication was intensified by the addition of brivaracetam (gradually increased up to 150 mg twice a day) and zonisamide (gradually increased up to 400 mg daily). There were no further signs of stroke-like episodes.
Two years after diagnosis, the patient again developed rapidly progressive neurocognitive deficits with psychotic symptoms and CSF lactate acidosis. On this occasion, a brain MRI showed new DWI/FLAIR signals of the left temporal lobe (Figure 2C). We started high-dose L-arginine therapy (15,000 mg daily) over five days without clinical improvement. Zonisamide was stopped due to the possible worsening of metabolic acidosis. After a short referral to a psychiatric hospital, the patient’s symptoms improved slightly. The patient now lives in a nursing home, requiring assistance with the basic activities of daily living, but his overall condition has been stable for almost one year.
3. Discussion
This case highlights the difficulty of diagnosing adult-onset MELAS in a patient with no initial lactic acidemia, no family history, and no typical endocrinological manifestations. At the first presentation, our patient was 47 years old, which places him among the 1–6% of patients with onset after forty [2,3]. He was finally diagnosed with a disease with a prevalence of 2 in 10,000,000 patients. He appeared to be a non-disabled salesman and only retrospectively had he been diagnosed with early learning disability. As his school education was regular, no neuropsychological testing was performed in childhood. In MELAS, learning disabilities are described in 60% of cases [1,3], but early psychomotor development is usually normal. We had no record of his family history due to adoption. Two years before presentation, neuropsychological testing had revealed a moderate intellectual disability after possible schizophrenic episodes in the past, but we could not access the psychiatric documents. Psychiatric disorders in MELAS are not well investigated, but limited data suggest a high prevalence of psychiatric symptoms including psychosis [5]. There was no neurological testing or brain MRI performed in the past, so it remains unclear if the psychiatric symptoms were due to MELAS. Furthermore, the lack of initial lactate acidemia, headache, vomitus, or typical endocrinological manifestations (diabetes mellitus and short stature) also made diagnosis difficult. Accordingly, clinical aspects of Hirano diagnostic criteria from 1992 were not fulfilled, but Japanese criteria from 2012 were consistent with the diagnosis of MELAS (see Table 1A). Although lactic acidemia is a pathognomonic symptom and is described in 94% of MELAS cases [1], rare cases with normal serum but elevated CSF lactate levels have been described in early cohorts especially in the early phase [3]. Initial visual or hearing disturbances were not reported, and due to the lack of therapeutic consequences, they were not investigated subsequently. Differential diagnoses included autoimmune encephalitis and a brain tumor. High-grade glioma, gliomatosis cerebri, or lymphoma, however, were deemed unlikely due to the mild gyral contrast enhancement on MRI. The fast expansion of DWI/FLAIR lesions seemed atypical for low-grade glioma. Although antibody testing in serum and CSF was negative, autoimmune encephalitis remained a differential diagnosis. Stroke-like patterns on MRI with increased cortical DWI/FLAIR signals, a reduction in cortical ADC values, and increased subcortical ADC values can also be seen in autoimmune encephalitis, especially anti-GABAaR encephalitis [6]. It is therefore very important to diagnose antibody-negative autoimmune encephalitis after the reasonable exclusion of alternative causes, including MELAS. Table 1B shows the typical brain MRI features of acute stroke-like lesions in MELAS. Therapy for MELAS is still very limited and restricted to symptomatic management. Besides anticonvulsive medication, we tried high-dosage L-arginine therapy without clinical response. Other antioxidants and cofactors (citrulline, coenzyme Q10, and creatine) were not tried because of the lack of evidence [7].
Table 1.
Diagnostic criteria for MELAS and Brain MRI features of acute stroke-like lesions in MELAS.
Another important aspect needs to be discussed. For the entire work-up, the patient remained in our hospital for 44 days. This is 21 days longer than, for example, a patient with the most severe ischemic stroke, necessitating craniectomy and ICU treatment, who is supposed to stay in an acute hospital in Switzerland, before being transferred to a rehabilitation center. The work-up of our patient created double the costs of such a severe stroke patient. Despite an overall reimbursement of around CHF 77,000, the costs for the hospital amounted to around CHF 75,000, which resulted in a contribution margin (DB II) of CHF 2000 for the entire 44 days, i.e., CHF 45 per day (equaling a contribution margin ratio of 3%, whereas 10% would be desirable for the administrator). The costs were internally distributed as follows: CHF 8000 for materials, CHF 4500 for surgical and anesthesia services, CHF 12,000 for diagnostics and therapy (laboratory, radiology) of which only CHF 185 was for the genetic analysis, CHF 9000 for medical services, CHF 27,000 for nursing services, and around CHF 6000 for the hospital’s hospitality services, as well as some minor expenses for IT, administration, and cleaning.
Our case serves to illustrate the intensive efforts made for a previously inconspicuous patient to rule out a curable medical problem and finally establish the correct diagnosis. The outcome and cost of such work-ups is always unknown beforehand, and the rarer or more atypical the resulting diagnosis, the more time-consuming and therefore also cost-consuming the investigation becomes. We are not arguing in favor of resource rationing, but we believe that, as neurologists, it is useful to be informed about the costs which can arise from such work-ups. Rare diseases may be rare, but there are countless instances of them, especially in the field of neurology. The Swiss Federal Government estimates that half a million patients suffer from a rare disease in Switzerland [4]. It is not only a medical but also a political, social, and philosophical question as to how to best organize resources in order to help most patients in the best manner. For example, the “smarter medicine—choose wisely” movement, which aims to avoid useless examinations and treatments, bases its recommendations on the likelihood of typical findings. However, in this “when you hear hoofbeats, think horses, not zebras” approach to differential diagnosis, “the zebras” are overlooked. The traditional role of the center hospitals and teaching hospitals has been to collect “medical zebras” to make the medical system more familiar with these rare cases and ultimately promote understanding and help for future patients. This clear secondary benefit is likely to be lost if we continue to treat only “horses” under the strict regime of limiting healthcare costs. Some questions remain, but they are not “Should there be an age limit?”, or “Should we limit the work-up of diseases for which we have no therapeutic options?”, as their answers already implement knowledge of the “zebra”. Above all, the open questions are as follows: “Should we try to understand each patient’s condition as much as the current state of knowledge allows?”, and “Should we try to expand the current state of knowledge for a better future?”. And this discussion should not be based on populistic arguments but on a good understanding of the distribution of efficiency and effort between typical cases and rare cases in our hospitals.
4. Conclusions
This case report depicts the intensive diagnostic efforts and associated costs required to rule out the numerous differential diagnoses in an atypical MELAS case in an adult after the age of forty, with no family history information, no other typical signs of mitochondrial disease, and no lactic acidosis. Although each one of these diseases is very rare, it is their innumerable numbers in neurology that together pose a challenge to expertise and resources in any healthcare system.
Author Contributions
Conceptualization, S.F. and M.G.; resources, R.B. and M.D.; writing—original draft preparation, A.O.; writing—review and editing, S.F. and M.G.; visualization, M.D., S.F. and M.G.; supervision, M.G. All authors have read and agreed to the published version of the manuscript.
Funding
This research received no external funding.
Institutional Review Board Statement
The study was conducted in accordance with the Declaration of Helsinki.
Informed Consent Statement
Written informed consent has been obtained from the patient to publish this paper.
Data Availability Statement
Data are not available due to patient privacy.
Acknowledgments
We would like to thank Jean-Marc Nouffer from the Metabolism Department at the Inselspital Bern, Switzerland, for generously sharing his profound knowledge outside of consultation hours. Our thanks also go to the members of our team at the Kantonsspital Aarau, Krassen Nedeltchev, Lutz Achtnichts, Oliver Findling, Timo Kahles, and Mathias Tröger, for repeated fruitful discussions.
Conflicts of Interest
The authors declare no conflict of interest.
References
- Fan, H.C.; Lee, H.F.; Yue, C.T.; Chi, C.S. Clinical Characteristics of Mitochondrial Encephalomyopathy, Lactic Acidosis, and Stroke-Like Episodes. Life 2021, 11, 1111. [Google Scholar] [CrossRef]
- El-Hattab, A.W.; Adesina, A.M.; Jones, J.; Scaglia, F. MELAS syndrome: Clinical manifestations, pathogenesis, and treatment options. Mol. Genet. Metab. 2015, 116, 4–12. [Google Scholar] [CrossRef] [PubMed]
- Hirano, M.; Pavlakis, S.G. Topical Review: Mitochondrial Myopathy, Encephalopathy, Lactic Acidosis, and Strokelike Episodes (MELAS): Current Concepts. J. Child. Neurol. 1994, 9, 4–13. [Google Scholar] [CrossRef] [PubMed]
- BAG-OFSP. Seltene Krankheiten in Der Schweiz Und Das Nationale Konzept/Maladies Rares En Suisse Et Le Concept National Bern. 2014. Available online: https://www.bag.admin.ch/bag/de/home/krankheiten/krankheiten-im-ueberblick/viele-seltene-krankheiten/seltene-krankheiten-ch-und-nationales-konzept.html#-2132865929 (accessed on 27 November 2024).
- Anglin, R.E.; Garside, S.L.; Tarnopolsky, M.A.; Mazurek, M.F.; Rosebush, P.I. The Psychiatric Manifestations of Mitochondrial Disorders: A Case and Review of the Literature. J. Clin. Psychiatry 2012, 73, 506–512. [Google Scholar] [CrossRef]
- Oyama, M.; Iizuka, T.; Nakahara, J.; Izawa, Y. Neuroimaging pattern and pathophysiology of cerebellar stroke-like lesions in MELAS with m.3243A>G mutation: A case report. BMC Neurol. 2020, 20, 167. [Google Scholar] [CrossRef] [PubMed]
- Hirano, M.; Ricci, E.; Koenigsberger, M.R.; Defendini, R.; Pavlakis, S.G.; DeVivo, D.C.; DiMauro, S.; Rowland, L.P. Melas: An original case and clinical criteria for diagnosis. Neuromuscul. Disord. 1992, 2, 125–135. [Google Scholar] [CrossRef]
- Yatsuga, S.; Povalko, N.; Nishioka, J.; Katayama, K.; Kakimoto, N.; Matsuishi, T.; Kakuma, T.; Koga, Y.; Taro Matsuoka on behalf of the MELAS Study Group in Japan. MELAS: A nationwide prospective cohort study of 96 patients in Japan. Biochim. Biophys. Acta 2012, 1820, 619–624. [Google Scholar] [CrossRef] [PubMed]
- Finsterer, J. Mitochondrial metabolic stroke: Phenotype and genetics of stroke-like episodes. J. Neurol. Sci. 2019, 400, 135–141. [Google Scholar] [CrossRef] [PubMed]
- Khasminsky, V.; Auriel, E.; Luckman, J.; Eliahou, R.; Inbar, E.; Pardo, K.; Landau, Y.; Barnea, R.; Mermelstein, M.; Shelly, S.; et al. Clinicoradiologic Criteria for the Diagnosis of Stroke-like Episodes in MELAS. Neurol. Genet. 2023, 9, e200082. [Google Scholar] [CrossRef]
- Malhotra, K.; Liebeskind, D.S. Imaging of MELAS. Curr. Pain. Headache Rep. 2016, 20, 54. [Google Scholar] [CrossRef] [PubMed]
- Sproule, D.M.; Kaufmann, P. Mitochondrial encephalopathy, lactic acidosis, and strokelike episodes: Basic concepts, clinical phenotype, and therapeutic management of MELAS syndrome. Ann. N. Y. Acad. Sci. 2008, 1142, 133–158. [Google Scholar] [CrossRef] [PubMed]
Disclaimer/Publisher’s Note: The statements, opinions and data contained in all publications are solely those of the individual author(s) and contributor(s) and not of MDPI and/or the editor(s). MDPI and/or the editor(s) disclaim responsibility for any injury to people or property resulting from any ideas, methods, instructions or products referred to in the content. |
© 2024 by the authors. Published by MDPI on behalf of the Swiss Federation of Clinical Neuro-Societies. Licensee MDPI, Basel, Switzerland. This article is an open access article distributed under the terms and conditions of the Creative Commons Attribution (CC BY) license (https://creativecommons.org/licenses/by/4.0/).

