Impetiginous Cutaneous Leishmaniasis after COVID-19 Infection in a Patient with Poor Cardiac Profile: A Case Report and Literature Review
Abstract
1. Introduction
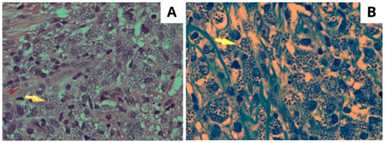
2. Case Presentation
3. A Brief Literature Review and Comments
4. Conclusions
Author Contributions
Funding
Institutional Review Board Statement
Informed Consent Statement
Data Availability Statement
Acknowledgments
Conflicts of Interest
References
- Global Burden of Disease Study 2019 (GBD 2019). Data Resources|GHDx. Available online: https://ghdx.healthdata.org/gbd-2019 (accessed on 16 August 2023).
- Bern, C.; Maguire, J.H.; Alvar, J. Complexities of Assessing the Disease Burden Attributable to Leishmaniasis. PLoS Negl. Trop. Dis. 2008, 2, e313. [Google Scholar] [CrossRef]
- Bailey, F.; Mondragon-Shem, K.; Hotez, P.; Ruiz-Postigo, J.A.; Al-Salem, W.; Acosta-Serrano, Á.; Molyneux, D.H. A New Perspective on Cutaneous Leishmaniasis—Implications for Global Prevalence and Burden of Disease Estimates. PLoS Negl. Trop. Dis. 2017, 11, e0005739. [Google Scholar] [CrossRef] [PubMed]
- Bailey, F.; Mondragon-Shem, K.; Haines, L.R.; Olabi, A.; Alorfi, A.; Ruiz-Postigo, J.A.; Alvar, J.; Hotez, P.; Adams, E.R.; Vélez, I.D.; et al. Cutaneous Leishmaniasis and Co-Morbid Major Depressive Disorder: A Systematic Review with Burden Estimates. PLoS Negl. Trop. Dis. 2019, 13, e0007092. [Google Scholar] [CrossRef]
- Singh, V.P.; Ranjan, A.; Topno, R.K.; Verma, R.B.; Siddique, N.A.; Ravidas, V.N.; Kumar, N.; Pandey, K.; Das, P. Estimation of Under-Reporting of Visceral Leishmaniasis Cases in Bihar, India. Am. J. Trop. Med. Hyg. 2010, 82, 9–11. [Google Scholar] [CrossRef] [PubMed]
- Bailey, M.S.; Lockwood, D.N.J. Cutaneous Leishmaniasis. Clin. Dermatol. 2007, 25, 203–211. [Google Scholar] [CrossRef]
- Alawieh, A.; Musharrafieh, U.; Jaber, A.; Berry, A.; Ghosn, N.; Bizri, A.R. Revisiting Leishmaniasis in the Time of War: The Syrian Conflict and the Lebanese Outbreak. Int. J. Infect. Dis. 2014, 29, 115–119. [Google Scholar] [CrossRef] [PubMed]
- Yanik, M.; Gurel, M.S.; Simsek, Z.; Kati, M. The Psychological Impact of Cutaneous Leishmaniasis. Clin. Exp. Dermatol. 2004, 29, 464–467. [Google Scholar] [CrossRef]
- Kassi, M.; Kassi, M.; Afghan, A.K.; Rehman, R.; Kasi, P.M. Marring Leishmaniasis: The Stigmatization and the Impact of Cutaneous Leishmaniasis in Pakistan and Afghanistan. PLoS Negl. Trop. Dis. 2008, 2, e259. [Google Scholar] [CrossRef]
- Vares, B.; Mohseni, M.; Heshmatkhah, A.; Farjzadeh, S.; Safizadeh, H.; Shamsi-Meymandi, S.; Rahnama, Z.; Reghabatpour, L.; Fathi, O. Quality of Life in Patients with Cutaneous Leishmaniasis. Arch. Iran Med. 2013, 16, 474–477. [Google Scholar]
- Unger, A.; O’Neal, S.; Machado, P.R.L.; Guimarães, L.H.; Morgan, D.J.; Schriefer, A.; Bacellar, O.; Glesby, M.J.; Carvalho, E.M. Association of Treatment of American Cutaneous Leishmaniasis Prior to Ulcer Development with High Rate of Failure in Northeastern Brazil. Am. J. Trop. Med. Hyg. 2009, 80, 574–579. [Google Scholar] [CrossRef]
- Heras-Mosteiro, J.; Monge-Maillo, B.; Pinart, M.; Pereira, P.L.; Garcia-Carrasco, E.; Cuadrado, P.C.; Royuela, A.; Roman, I.M.; López-Vélez, R. Interventions for Old World Cutaneous Leishmaniasis. Cochrane Database Syst. Rev. 2017, 11, CD005067. [Google Scholar] [CrossRef] [PubMed]
- Pinart, M.; Rueda, J.-R.; Romero, G.A.; Pinzón-Flórez, C.E.; Osorio-Arango, K.; Maia-Elkhoury, A.N.S.; Reveiz, L.; Elias, V.M.; Tweed, J.A. Interventions for American Cutaneous and Mucocutaneous Leishmaniasis. Cochrane Database Syst. Rev. 2020, 2020, 8. [Google Scholar] [CrossRef]
- Azarpazhooh, M.R.; Morovatdar, N.; Avan, A.; Phan, T.G.; Divani, A.A.; Yassi, N.; Stranges, S.; Silver, B.; Biller, J.; Tokazebani Belasi, M.; et al. COVID-19 Pandemic and Burden of Non-Communicable Diseases: An Ecological Study on Data of 185 Countries. J. Stroke Cerebrovasc. Dis. 2020, 29, 105089. [Google Scholar] [CrossRef] [PubMed]
- Reithinger, R.; Dujardin, J.-C.; Louzir, H.; Pirmez, C.; Alexander, B.; Brooker, S. Cutaneous Leishmaniasis. Lancet Infect. Dis. 2007, 7, 581–596. [Google Scholar] [CrossRef]
- YadÃ3n, Z.E.; Quigley, M.A.; Davies, C.R.; Rodrigues, L.C.; Segura, E.L. Assessment of Leishmaniasis Notification System in Santiago Del Estero, Argentina, 1990–1993. Am. J. Trop. Med. Hyg. 2001, 65, 27–30. [Google Scholar] [CrossRef]
- Molina, R.; Gradoni, L.; Alvar, J. HIV and the Transmission of Leishmania. Ann. Trop. Med. Parasitol. 2003, 97 (Suppl. 1), 29–45. [Google Scholar] [CrossRef] [PubMed]
- Croft, S.L.; Sundar, S.; Fairlamb, A.H. Drug Resistance in Leishmaniasis. Clin. Microbiol. Rev. 2006, 19, 111–126. [Google Scholar] [CrossRef]
- Alvar, J.; Vélez, I.D.; Bern, C.; Herrero, M.; Desjeux, P.; Cano, J.; Jannin, J.; den Boer, M.; WHO Leishmaniasis Control Team. Leishmaniasis Worldwide and Global Estimates of Its Incidence. PLoS ONE 2012, 7, e35671. [Google Scholar] [CrossRef]
- Bacellar, O.; Lessa, H.; Schriefer, A.; Machado, P.; Ribeiro de Jesus, A.; Dutra, W.O.; Gollob, K.J.; Carvalho, E.M. Up-Regulation of Th1-Type Responses in Mucosal Leishmaniasis Patients. Infect. Immun. 2002, 70, 6734–6740. [Google Scholar] [CrossRef]
- Ribeiro-de-Jesus, A.; Almeida, R.P.; Lessa, H.; Bacellar, O.; Carvalho, E.M. Cytokine Profile and Pathology in Human Leishmaniasis. Braz. J. Med. Biol. Res. 1998, 31, 143–148. [Google Scholar] [CrossRef]
- Faria, D.R.; Souza, P.E.A.; Durães, F.V.; Carvalho, E.M.; Gollob, K.J.; Machado, P.R.; Dutra, W.O. Recruitment of CD8(+) T Cells Expressing Granzyme A Is Associated with Lesion Progression in Human Cutaneous Leishmaniasis. Parasite Immunol. 2009, 31, 432–439. [Google Scholar] [CrossRef]
- Cardoso, T.M.; Machado, Á.; Costa, D.L.; Carvalho, L.P.; Queiroz, A.; Machado, P.; Scott, P.; Carvalho, E.M.; Bacellar, O. Protective and Pathological Functions of CD8+ T Cells in Leishmania Braziliensis Infection. Infect. Immun. 2015, 83, 898–906. [Google Scholar] [CrossRef]
- Barral, A.; Costa, J.M.; Bittencourt, A.L.; Barral-Netto, M.; Carvalho, E.M. Polar and Subpolar Diffuse Cutaneous Leishmaniasis in Brazil: Clinical and Immunopathologic Aspects. Int. J. Dermatol. 1995, 34, 474–479. [Google Scholar] [CrossRef]
- Vouldoukis, I.; Bécherel, P.A.; Riveros-Moreno, V.; Arock, M.; da Silva, O.; Debré, P.; Mazier, D.; Mossalayi, M.D. Interleukin-10 and Interleukin-4 Inhibit Intracellular Killing of Leishmania Infantum and Leishmania Major by Human Macrophages by Decreasing Nitric Oxide Generation. Eur. J. Immunol. 1997, 27, 860–865. [Google Scholar] [CrossRef] [PubMed]
- Gazzinelli, R.T.; Oswald, I.P.; Hieny, S.; James, S.L.; Sher, A. The Microbicidal Activity of Interferon-Gamma-Treated Macrophages against Trypanosoma Cruzi Involves an L-Arginine-Dependent, Nitrogen Oxide-Mediated Mechanism Inhibitable by Interleukin-10 and Transforming Growth Factor-Beta. Eur. J. Immunol. 1992, 22, 2501–2506. [Google Scholar] [CrossRef]
- Bamorovat, M.; Sharifi, I.; Aflatoonian, M.R.; Karamoozian, A.; Tahmouresi, A.; Jafarzadeh, A.; Heshmatkhah, A.; Sharifi, F.; Salarkia, E.; Khaleghi, T.; et al. Prophylactic Effect of Cutaneous Leishmaniasis against COVID-19: A Case-Control Field Assessment. Int. J. Infect. Dis. 2022, 122, 155–161. [Google Scholar] [CrossRef] [PubMed]
- Simonnet, A.; Engelmann, I.; Moreau, A.-S.; Garcia, B.; Six, S.; El Kalioubie, A.; Robriquet, L.; Hober, D.; Jourdain, M. High Incidence of Epstein–Barr Virus, Cytomegalovirus, and Human-Herpes Virus-6 Reactivations in Critically Ill Patients with COVID-19. Infect. Dis. Now 2021, 51, 296–299. [Google Scholar] [CrossRef]
- Le Balc’h, P.; Pinceaux, K.; Pronier, C.; Seguin, P.; Tadié, J.-M.; Reizine, F. Herpes Simplex Virus and Cytomegalovirus Reactivations among Severe COVID-19 Patients. Crit. Care 2020, 24, 530. [Google Scholar] [CrossRef] [PubMed]
- Alqahtani, S.A.; Buti, M. COVID-19 and Hepatitis B Infection. Antivir. Ther. 2020, 25, 389–397. [Google Scholar] [CrossRef]
- Lupia, T.; Corcione, S.; De Rosa, F.G. Giardiasis Reactivation during Severe SARS-CoV-2 Infection. Parasitol. Int. 2021, 80, 102241. [Google Scholar] [CrossRef]
- Pikoulas, A.; Piperaki, E.-T.; Spanakos, G.; Kallianos, A.; Mparmparousi, D.; Rentziou, G.; Trakada, G. Visceral Leishmaniasis and COVID-19 Coinfection—A Case Report. IDCases 2021, 27, e01358. [Google Scholar] [CrossRef]
- Heaney, A.K.; Head, J.R.; Broen, K.; Click, K.; Taylor, J.; Balmes, J.R.; Zelner, J.; Remais, J.V. Coccidioidomycosis and COVID-19 Co-Infection, United States, 2020. Emerg. Infect. Dis. 2021, 27, 1266–1273. [Google Scholar] [CrossRef]
- Al-Tawfiq, J.A.; AbuKhamsin, A. Cutaneous Leishmaniasis: A 46-Year Study of the Epidemiology and Clinical Features in Saudi Arabia (1956–2002). Int. J. Infect. Dis. 2004, 8, 244–250. [Google Scholar] [CrossRef]
- El-Beshbishy, H.A.; Al-Ali, K.H.; El-Badry, A.A. Molecular Characterization of Cutaneous Leishmaniasis in Al-Madinah Al-Munawarah Province, Western Saudi Arabia. Int. J. Infect. Dis. 2013, 17, e334–e338. [Google Scholar] [CrossRef][Green Version]
- Al-Qurashi, A.R.; Ghandour, A.M.; Osman, M.; Al-Juma, M. Dissemination in Cutaneous Leishmaniasis Due to Leishmania Major in Different Ethnic Groups in Saudi Arabia. Int. J. Dermatol. 2000, 39, 832–836. [Google Scholar] [CrossRef]
- al-Gindan, Y.; Kubba, R.; el-Hassan, A.M.; Omer, A.H.; Kutty, M.K.; Saeed, M.B. Dissemination in Cutaneous Leishmaniasis. 3. Lymph Node Involvement. Int. J. Dermatol. 1989, 28, 248–254. [Google Scholar] [CrossRef]
- Gaafar, A.; Fadl, A.; el Kadaro, A.Y.; el Hassan, M.M.; Kemp, M.; Ismail, A.I.; Morgos, S.A.; el Hassan, A.M. Sporotrichoid Cutaneous Leishmaniasis Due to Leishmania Major of Different Zymodemes in the Sudan and Saudi Arabia: A Comparative Study. Trans. R. Soc. Trop. Med. Hyg. 1994, 88, 552–554. [Google Scholar] [CrossRef]
- Abuzaid, A.A.; Abdoon, A.M.; Aldahan, M.A.; Alzahrani, A.G.; Alhakeem, R.F.; Asiri, A.M.; Alzahrani, M.H.; Memish, Z.A. Cutaneous Leishmaniasis in Saudi Arabia: A Comprehensive Overview. Vector Borne Zoonotic Dis. 2017, 17, 673–684. [Google Scholar] [CrossRef]
- González, U.; Pinart, M.; Reveiz, L.; Alvar, J. Interventions for Old World Cutaneous Leishmaniasis. Cochrane Database Syst. Rev. 2008, CD005067. [Google Scholar] [CrossRef] [PubMed]
- González, U.; Pinart, M.; Rengifo-Pardo, M.; Macaya, A.; Alvar, J.; Tweed, J.A. Interventions for American Cutaneous and Mucocutaneous Leishmaniasis. Cochrane Database Syst. Rev. 2009, CD004834. [Google Scholar] [CrossRef]
- Safi, N.; Davis, G.D.; Nadir, M.; Hamid, H.; Robert, L.L.; Case, A.J. Evaluation of Thermotherapy for the Treatment of Cutaneous Leishmaniasis in Kabul, Afghanistan: A Randomized Controlled Trial. Mil. Med. 2012, 177, 345–351. [Google Scholar] [CrossRef]
- Blum, J.; Buffet, P.; Visser, L.; Harms, G.; Bailey, M.S.; Caumes, E.; Clerinx, J.; van Thiel, P.P.A.M.; Morizot, G.; Hatz, C.; et al. LeishMan Recommendations for Treatment of Cutaneous and Mucosal Leishmaniasis in Travelers, 2014. J. Travel Med. 2014, 21, 116–129. [Google Scholar] [CrossRef]
- Modabber, F.; Buffet, P.A.; Torreele, E.; Milon, G.; Croft, S.L. Consultative Meeting to Develop a Strategy for Treatment of Cutaneous Leishmaniasis. Institute Pasteur, Paris. 13–15 June 2006. Kinetoplastid Biol. Dis. 2007, 6, 3. [Google Scholar] [CrossRef]
- Report of the Fifth Consultative Meeting on Leishmania/HIV Coinfection. Available online: https://www.who.int/publications-detail-redirect/WHO-CDS-NTD-IDM-2007.5 (accessed on 21 June 2023).
- WHO Expert Committee on the Control of the Leishmaniases; World Health Organization Control of the Leishmaniases. Report of a Meeting of the WHO Expert Commitee on the Control of Leishmaniases, Geneva, 22–26 March 2010. [Control de las Leishmaniasis: Informe de una Reunión del Comité de Expertos de la OMS sobre el Control de las Leishmaniasis, Ginebra, 22 a 26 de marzo de 2010]; WHO: Geneva, Switzerland, 2012. [Google Scholar]
- Hepburn, N.C. Management of Cutaneous Leishmaniasis. Curr. Opin. Infect. Dis. 2001, 14, 151. [Google Scholar] [CrossRef]
- Herwaldt, B.L. Leishmaniasis. Lancet 1999, 354, 1191–1199. [Google Scholar] [CrossRef]
- Moskowitz, P.F.; Kurban, A.K. Treatment of Cutaneous Leishmaniasis: Retrospectives and Advances for the 21st Century. Clin. Dermatol. 1999, 17, 305–315. [Google Scholar] [CrossRef]
- Monge-Maillo, B.; López-Vélez, R. Therapeutic Options for Old World Cutaneous Leishmaniasis and New World Cutaneous and Mucocutaneous Leishmaniasis. Drugs 2013, 73, 1889–1920. [Google Scholar] [CrossRef]
- Blum, J.; Lockwood, D.N.J.; Visser, L.; Harms, G.; Bailey, M.S.; Caumes, E.; Clerinx, J.; van Thiel, P.P.A.M.; Morizot, G.; Hatz, C.; et al. Local or Systemic Treatment for New World Cutaneous Leishmaniasis? Re-Evaluating the Evidence for the Risk of Mucosal Leishmaniasis. Int. Health 2012, 4, 153–163. [Google Scholar] [CrossRef]
- Mohebali, M.; Fotouhi, A.; Hooshmand, B.; Zarei, Z.; Akhoundi, B.; Rahnema, A.; Razaghian, A.R.; Kabir, M.J.; Nadim, A. Comparison of Miltefosine and Meglumine Antimoniate for the Treatment of Zoonotic Cutaneous Leishmaniasis (ZCL) by a Randomized Clinical Trial in Iran. Acta Trop. 2007, 103, 33–40. [Google Scholar] [CrossRef]
- Ryder, N.S. Terbinafine: Mode of Action and Properties of the Squalene Epoxidase Inhibition. Br. J. Dermatol 1992, 126 (Suppl. 39), 2–7. [Google Scholar] [CrossRef]
- Ottervanger, J.P.; Stricker, B.H. Loss of Taste and Terbinafine. Lancet 1992, 340, 728. [Google Scholar] [CrossRef]
- Lowe, G.; Green, C.; Jennings, P. Hepatitis Associated with Terbinafine Treatment. BMJ 1993, 306, 248. [Google Scholar] [CrossRef]
- McGregor, J.M.; Rustin, M.H. Terbinafine and Erythema Multiforme. Br. J. Dermatol. 1994, 131, 587–588. [Google Scholar] [CrossRef]
- Carstens, J.; Wendelboe, P.; Søgaard, H.; Thestrup-Pedersen, K. Toxic Epidermal Necrolysis and Erythema Multiforme Following Therapy with Terbinafine. Acta Derm. Venereol. 1994, 74, 391–392. [Google Scholar] [CrossRef]
- Kovacs, M.J.; Alshammari, S.; Guenther, L.; Bourcier, M. Neutropenia and Pancytopenia Associated with Oral Terbinafine. J. Am. Acad. Dermatol. 1994, 31, 806. [Google Scholar] [CrossRef] [PubMed]
- Bahashwan, S.A. Therapeutic Efficacy Evaluation of Metronidazole and Some Antifungal Agents with Meglumine Antimoniate on Visceral Leishmaniasis by Real-Time Light-Cycler (LC) PCR in BALB/c Mice. Trop. J. Pharm. Res. 2011, 10, 255–263. [Google Scholar] [CrossRef]
- Farajzadeh, S.; Esfandiarpour, I.; Haghdoost, A.A.; Mohammadi, S.; Mohebbi, A.; Mohebbi, E.; Mostafavi, M. Comparison between Combination Therapy of Oral Terbinafine and Cryotherapy versus Systemic Meglumine Antimoniate and Cryotherapy in Cutaneous Leishmaniasis: A Randomized Clinical Trial. Iran. J. Parasitol. 2015, 10, 1–8. [Google Scholar]
- Bezemer, J.M.; van der Ende, J.; Limpens, J.; de Vries, H.J.C.; Schallig, H.D.F.H. Safety and Efficacy of Allylamines in the Treatment of Cutaneous and Mucocutaneous Leishmaniasis: A Systematic Review. PLoS ONE 2021, 16, e0249628. [Google Scholar] [CrossRef]
- Asilian, A.; Sadeghinia, A.; Faghihi, G.; Momeni, A. Comparative Study of the Efficacy of Combined Cryotherapy and Intralesional Meglumine Antimoniate (Glucantime) vs. Cryotherapy and Intralesional Meglumine Antimoniate (Glucantime) Alone for the Treatment of Cutaneous Leishmaniasis. Int. J. Dermatol. 2004, 43, 281–283. [Google Scholar] [CrossRef]
- Momeni, A.Z.; Reiszadae, M.R.; Aminjavaheri, M. Treatment of Cutaneous Leishmaniasis with a Combination of Allopurinol and Low-Dose Meglumine Antimoniate. Int. J. Dermatol. 2002, 41, 441–443. [Google Scholar] [CrossRef]
- Gonçalves-Oliveira, L.F.; Souza-Silva, F.; de Castro Côrtes, L.M.; Veloso, L.B.; Santini Pereira, B.A.; Cysne-Finkelstein, L.; Lechuga, G.C.; Bourguignon, S.C.; Almeida-Souza, F.; da Silva Calabrese, K.; et al. The Combination Therapy of Meglumine Antimoniate and Oxiranes (Epoxy-α-Lapachone and Epoxymethyl-Lawsone) Enhance the Leishmanicidal Effect in Mice Infected by Leishmania (Leishmania) Amazonensis. Int. J. Parasitol. Drugs Drug Resist. 2019, 10, 101–108. [Google Scholar] [CrossRef]
- Asilian, A.; Sadeghinia, A.; Faghihi, G.; Momeni, A.; Amini Harandi, A. The Efficacy of Treatment with Intralesional Meglumine Antimoniate Alone, Compared with That of Cryotherapy Combined with the Meglumine Antimoniate or Intralesional Sodium Stibogluconate, in the Treatment of Cutaneous Leishmaniasis. Ann. Trop. Med. Parasitol. 2003, 97, 493–498. [Google Scholar] [CrossRef] [PubMed]
- Salmanpour, R.; Razmavar, M.R.; Abtahi, N. Comparison of Intralesional Meglumine Antimoniate, Cryotherapy and Their Combination in the Treatment of Cutaneous Leishmaniasis. Int. J. Dermatol. 2006, 45, 1115–1116. [Google Scholar] [CrossRef] [PubMed]
- Aronson, N.; Herwaldt, B.L.; Libman, M.; Pearson, R.; Lopez-Velez, R.; Weina, P.; Carvalho, E.M.; Ephros, M.; Jeronimo, S.; Magill, A. Diagnosis and Treatment of Leishmaniasis: Clinical Practice Guidelines by the Infectious Diseases Society of America (IDSA) and the American Society of Tropical Medicine and Hygiene (ASTMH). Clin. Infect. Dis. 2016, 63, 1539–1557. [Google Scholar] [CrossRef]
- Convit, J.; Ulrich, M.; Fernández, C.T.; Tapia, F.J.; Cáceres-Dittmar, G.; Castés, M.; Rondón, A.J. The Clinical and Immunological Spectrum of American Cutaneous Leishmaniasis. Trans. R. Soc. Trop. Med. Hyg. 1993, 87, 444–448. [Google Scholar] [CrossRef] [PubMed]



Disclaimer/Publisher’s Note: The statements, opinions and data contained in all publications are solely those of the individual author(s) and contributor(s) and not of MDPI and/or the editor(s). MDPI and/or the editor(s) disclaim responsibility for any injury to people or property resulting from any ideas, methods, instructions or products referred to in the content. |
© 2023 by the authors. Licensee MDPI, Basel, Switzerland. This article is an open access article distributed under the terms and conditions of the Creative Commons Attribution (CC BY) license (https://creativecommons.org/licenses/by/4.0/).
Share and Cite
Alotaibi, H.; Aldossari, A.; Alnasser, S. Impetiginous Cutaneous Leishmaniasis after COVID-19 Infection in a Patient with Poor Cardiac Profile: A Case Report and Literature Review. Trop. Med. Infect. Dis. 2023, 8, 443. https://doi.org/10.3390/tropicalmed8090443
Alotaibi H, Aldossari A, Alnasser S. Impetiginous Cutaneous Leishmaniasis after COVID-19 Infection in a Patient with Poor Cardiac Profile: A Case Report and Literature Review. Tropical Medicine and Infectious Disease. 2023; 8(9):443. https://doi.org/10.3390/tropicalmed8090443
Chicago/Turabian StyleAlotaibi, Hend, Abdulelah Aldossari, and Sultan Alnasser. 2023. "Impetiginous Cutaneous Leishmaniasis after COVID-19 Infection in a Patient with Poor Cardiac Profile: A Case Report and Literature Review" Tropical Medicine and Infectious Disease 8, no. 9: 443. https://doi.org/10.3390/tropicalmed8090443
APA StyleAlotaibi, H., Aldossari, A., & Alnasser, S. (2023). Impetiginous Cutaneous Leishmaniasis after COVID-19 Infection in a Patient with Poor Cardiac Profile: A Case Report and Literature Review. Tropical Medicine and Infectious Disease, 8(9), 443. https://doi.org/10.3390/tropicalmed8090443

