Aortic Valve Calcium Scoring Using True and Virtual Non-Contrast Reconstructions on Photon-Counting CT with Differing Slice Increments: Impact on Calcium Severity Classifications
Simple Summary
Abstract
1. Introduction
2. Materials and Methods
2.1. Study Population
2.2. CCTA Image Acquisition and Reconstruction Methods
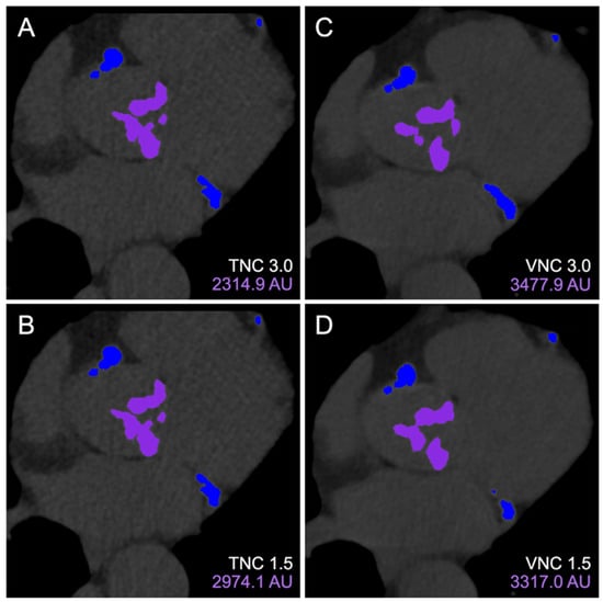
2.3. Assessment of the AVCS
2.4. Statistical Analysis
2.5. Post Hoc Analyses
3. Results
3.1. Study Population
3.2. Concordance and Discordance Between Reconstruction Methods
3.3. Post Hoc Analyses
4. Discussion
5. Conclusions
Supplementary Materials
Author Contributions
Funding
Institutional Review Board Statement
Informed Consent Statement
Data Availability Statement
Conflicts of Interest
References
- Scalia, I.G.; Farina, J.M.; Padang, R.; Jokerst, C.E.; Pereyra, M.; Mahmoud, A.K.; Naqvi, T.Z.; Chao, C.-J.; Oh, J.K.; Arsanjani, R.; et al. Aortic Valve Calcium Score by Computed Tomography as an Adjunct to Echocardiographic Assessment—A Review of Clinical Utility and Applications. J. Imaging 2023, 9, 250. [Google Scholar] [CrossRef] [PubMed]
- Tastet, L.; Ali, M.; Pibarot, P.; Capoulade, R.; Øvrehus, K.A.; Arsenault, M.; Haujir, A.; Bédard, É.; Diederichsen, A.C.P.; Dahl, J.S.; et al. Grading of Aortic Valve Calcification Severity and Risk Stratification in Aortic Stenosis. J. Am. Heart Assoc. 2024, 13, e035605. [Google Scholar] [CrossRef] [PubMed]
- Otto, C.M.; Nishimura, R.A.; Bonow, R.O.; Carabello, B.A.; Erwin, J.P.; Gentile, F.; Jneid, H.; Krieger, E.V.; Mack, M.; McLeod, C.; et al. 2020 ACC/AHA Guideline for the Management of Patients With Valvular Heart Disease: A Report of the American College of Cardiology/American Heart Association Joint Committee on Clinical Practice Guidelines. Circulation 2021, 143, 5. [Google Scholar] [CrossRef]
- Vahanian, A.; Beyersdorf, F.; Praz, F.; Milojevic, M.; Baldus, S.; Bauersachs, J.; Capodanno, D.; Conradi, L.; De Bonis, M.; De Paulis, R.; et al. 2021 ESC/EACTS Guidelines for the management of valvular heart disease. Eur. Heart J. 2022, 43, 561–632. [Google Scholar] [CrossRef]
- Flohr, T.; Schmidt, B.; Ulzheimer, S.; Alkadhi, H. Cardiac imaging with photon counting CT. Br. J. Radiol. 2023, 96, 20230407. [Google Scholar] [CrossRef]
- Pawade, T.; Sheth, T.; Guzzetti, E.; Dweck, M.R.; Clavel, M.-A. Why and How to Measure Aortic Valve Calcification in Patients With Aortic Stenosis. JACC: Cardiovasc. Imaging 2019, 12, 1835–1848. [Google Scholar] [CrossRef]
- Vecsey-Nagy, M.; Varga-Szemes, A.; Emrich, T.; Zsarnoczay, E.; Nagy, N.; Fink, N.; Schmidt, B.; Nowak, T.; Kiss, M.; Vattay, B.; et al. Calcium scoring on coronary computed angiography tomography with photon-counting detector technology: Predictors of performance. J. Cardiovasc. Comput. Tomogr. 2023, 17, 328–335. [Google Scholar] [CrossRef]
- von Elm, E.; Altman, D.G.; Egger, M.; Pocock, S.J.; Gotzsche, P.C.; Vandenbroucke, J.P.; Initiative, S. The Strengthening the Reporting of Observational Studies in Epidemiology (STROBE) statement: Guidelines for reporting observational studies. J. Clin. Epidemiol. 2008, 61, 344–349. [Google Scholar] [CrossRef]
- Guzzetti, E.; Oh, J.K.; Shen, M.; Dweck, M.R.; Poh, K.K.; Abbas, A.E.; Mando, R.; Pressman, G.S.; Brito, D.; Tastet, L.; et al. Validation of aortic valve calcium quantification thresholds measured by computed tomography in Asian patients with calcific aortic stenosis. Eur. Heart J.-Cardiovasc. Imaging 2022, 23, 717–726. [Google Scholar] [CrossRef]
- Raunig, D.L.; McShane, L.M.; Pennello, G.; Gatsonis, C.; Carson, P.L.; Voyvodic, J.T.; Wahl, R.L.; Kurland, B.F.; Schwarz, A.J.; Gönen, M.; et al. Quantitative imaging biomarkers: A review of statistical methods for technical performance assessment. Stat. Methods Med. Res. 2015, 24, 27–67. [Google Scholar] [CrossRef]
- Bland, J.M.; Altman, D.G. Statistical methods for assessing agreement between two methods of clinical measurement. Lancet 1986, 1, 307–310. [Google Scholar] [CrossRef] [PubMed]
- Clavel, M.A.; Messika-Zeitoun, D.; Pibarot, P.; Aggarwal, S.R.; Malouf, J.; Araoz, P.A.; Michelena, H.I.; Cueff, C.; Larose, E.; Capoulade, R.; et al. The complex nature of discordant severe calcified aortic valve disease grading: New insights from combined Doppler echocardiographic and computed tomographic study. J. Am. Coll. Cardiol. 2013, 62, 2329–2338. [Google Scholar] [CrossRef] [PubMed]
- Clavel, M.A.; Pibarot, P.; Messika-Zeitoun, D.; Capoulade, R.; Malouf, J.; Aggarval, S.; Araoz, P.A.; Michelena, H.I.; Cueff, C.; Larose, E.; et al. Impact of aortic valve calcification, as measured by MDCT, on survival in patients with aortic stenosis: Results of an international registry study. J. Am. Coll. Cardiol. 2014, 64, 1202–1213. [Google Scholar] [CrossRef] [PubMed]
- Bland, J.M.; Altman, D.G. Measuring agreement in method comparison studies. Stat. Methods Med. Res. 1999, 8, 135–160. [Google Scholar] [CrossRef]
- Isselbacher, E.M.; Preventza, O.; Hamilton Black, J.; Augoustides, J.G.; Beck, A.W.; Bolen, M.A.; Braverman, A.C.; Bray, B.E.; Brown-Zimmerman, M.M.; Chen, E.P.; et al. 2022 ACC/AHA Guideline for the Diagnosis and Management of Aortic Disease: A Report of the American Heart Association/American College of Cardiology Joint Committee on Clinical Practice Guidelines. Circulation 2022, 146, 24. [Google Scholar] [CrossRef]
- Dweck, M.R.; Loganath, K.; Bing, R.; Treibel, T.A.; McCann, G.P.; Newby, D.E.; Leipsic, J.; Fraccaro, C.; Paolisso, P.; Cosyns, B.; et al. Multi-modality imaging in aortic stenosis: An EACVI clinical consensus document. Eur. Heart J.-Cardiovasc. Imaging 2023, 24, 1430–1443. [Google Scholar] [CrossRef]
- Dirrichs, T.; Schröder, J.; Frick, M.; Huppertz, M.; Iwa, R.; Allmendinger, T.; Mecking, I.; Kuhl, C.K. Photon-Counting Versus Dual-Source CT for Transcatheter Aortic Valve Implantation Planning. Acad. Radiol. 2024, 31, 4780–4789. [Google Scholar] [CrossRef]
- Emrich, T.; Aquino, G.; Schoepf, U.J.; Braun, F.M.; Risch, F.; Bette, S.J.; Woznicki, P.; Decker, J.A.; O’Doherty, J.; Brandt, V.; et al. Coronary Computed Tomography Angiography-Based Calcium Scoring: In Vitro and In Vivo Validation of a Novel Virtual Noniodine Reconstruction Algorithm on a Clinical, First-Generation Dual-Source Photon Counting-Detector System. Investig. Radiol. 2022, 57, 536–543. [Google Scholar] [CrossRef]
- Feldle, P.; Scheuber, M.; Grunz, J.-P.; Heidenreich, J.F.; Pannenbecker, P.; Nora, C.; Huflage, H.; Bley, T.A.; Petritsch, B. Virtual non-iodine photon-counting CT-angiography for aortic valve calcification scoring. Sci. Rep. 2024, 14, 4724. [Google Scholar] [CrossRef]
- Boulif, J.; Gerber, B.; Slimani, A.; Lazam, S.; de Meester, C.; Piérard, S.; Pasquet, A.; Pouleur, A.C.; Vancraeynest, D.; El Khoury, G.; et al. Assessment of aortic valve calcium load by multidetector computed tomography. Anatomical validation, impact of scanner settings and incremental diagnostic value. J. Cardiovasc. Comput. Tomogr. 2017, 11, 360–366. [Google Scholar] [CrossRef]
- Risch, F.; Harmel, E.; Rippel, K.; Wein, B.; Raake, P.; Girdauskas, E.; Elvinger, S.; Owais, T.; Scheurig-Muenkler, C.; Kroencke, T.; et al. Virtual non-contrast series of photon-counting detector computed tomography angiography for aortic valve calcium scoring. Int. J.-Cardiovasc. Imaging 2024, 40, 723–732. [Google Scholar] [CrossRef]
- Fink, N.; Emrich, T.; Schoepf, U.J.; Zsarnoczay, E.; O’Doherty, J.; Halfmann, M.C.; Griffith, J.P., 3rd; Pinos, D.; Suranyi, P.; Baruah, D.; et al. Improved Detection of Small and Low-Density Plaques in Virtual Noncontrast Imaging-based Calcium Scoring at Photon-Counting Detector CT. Radiol. Cardiothorac. Imaging 2024, 6, e230328. [Google Scholar] [CrossRef]
- Fink, N.; Zsarnoczay, E.; Schoepf, U.J.; Griffith, J.P., III; Wolf, E.V.; O’Doherty, J.; Suranyi, P.; Baruah, D.; Kabakus, I.M.; Ricke, J.; et al. Photon Counting Detector CT-Based Virtual Noniodine Reconstruction Algorithm for In Vitro and In Vivo Coronary Artery Calcium Scoring: Impact of Virtual Monoenergetic and Quantum Iterative Reconstructions. Investig. Radiol. 2023, 58, 673–680. [Google Scholar] [CrossRef]




| PCD-CT * | |
|---|---|
| N = 279 | |
| Demographics | |
| Age, year | 80 (74, 86) |
| Female | 128 (46) |
| BMI, kg/m2 | 27.8 (24.5, 31.5) |
| Hypertension | 261 (94) |
| Hyperlipidemia | 213 (76) |
| Diabetes | 92 (33) |
| History of atrial fibrillation | 78 (28) |
| CT acquisition parameters | |
| Total contrast, mL | 70 (60, 70) |
| Contrast flow rate, mL/s | 4 (4, 4) |
| Peak voltage, kVP | 140 † |
| Total radiation, mSv | 18.8 (14.5, 23.7) |
| AVC scores | |
| Median AVC score, AU | 1957 (1181, 2954) |
| Abnormal § AVC, n (%) | 173 (62) |
| AVC among male subjects (n = 151) | |
| Median AVC score, AU | 2415 (1742, 3686) |
| Abnormal § AVC, n (%) | 100 (66) |
| AVC among female subjects (n = 128) | |
| Median AVC score, AU | 1323 (752, 2239) |
| Abnormal § AVC, n (%) | 73 (57) |
| TNC 3.0 mm, Mean/Median | Comparison | Comparison | Mean Diff | p-Value | ICC (95% CI) | |
|---|---|---|---|---|---|---|
| Reconstruction, Median (IQR) | Reconstruction, Mean ± SD | |||||
| Calcium score | ||||||
| TNC 3.0 vs. TNC 1.5 | 2413 ± 1917, 1957 (1181, 2954) | 2271 (1347, 3408) | 2703 ± 2123 | 290 ± 418 | <0.001 | 0.969 (0.962, 0.975) |
| TNC 3.0 vs. VNC 3.0 | 1954 (956, 3196) | 2428 ± 2055 | 16 ± 485 | 0.59 | 0.970 (0.963, 0.976) | |
| TNC 3.0 vs. VNC 1.5 | 1993 (983, 3180) | 2429 ± 2039 | 16 ± 476 | 0.57 | 0.971 (0.964, 0.977) | |
| Calcium volume | ||||||
| TNC 3.0 vs. TNC 1.5 | 1868 ± 1463, 1536 (951, 2312) | 1784 (1058, 2625) | 2103 ± 1615 | 235 ± 336 | <0.001 | 0.965 (0.957, 0.972) |
| TNC 3.0 vs. VNC 3.0 | 1524 (764, 2475) | 1865 ± 1555 | −3 ± 386 | 0.91 | 0.967 (0.959, 0.974) | |
| TNC 3.0 vs. VNC 1.5 | 1545 (807, 2460) | 1869 ± 1545 | 1 ± 377 | 0.96 | 0.969 (0.961, 0.975) | |
| Log-transformed calcium score | ||||||
| TNC 3.0 vs. TNC 1.5 | 7.61 ± 0.68, 7.67 (7.19, 8.04) | 7.76 (7.3, 8.15) | 7.74 ± 0.65 | 0.13 ± 0.13 | <0.0001 | 0.964 (0.955, 0.971) |
| TNC 3.0 vs. VNC 3.0 | 7.66 (7.01, 8.12) | 7.58 ± 0.76 | −0.03 ± 0.21 | 0.0166 | 0.955 (0.944, 0.964) | |
| TNC 3.0 vs. VNC 1.5 | 7.67 (7.01, 8.1) | 7.59 ± 0.75 | −0.03 ± 0.21 | 0.0397 | 0.957 (0.946, 0.966) | |
| Log-transformed calcium volume | ||||||
| TNC 3.0 vs. TNC 1.5 | 7.36 ± 0.68, 7.40 (6.95, 7.77) | 7.52 (7.07, 7.89) | 7.5 ± 0.65 | 0.14 ± 0.24 | <0.0001 | 0.916 (0.894, 0.933) |
| TNC 3.0 vs. VNC 3.0 | 7.4 (6.77, 7.85) | 7.33 ± 0.75 | −0.03 ± 0.26 | 0.0319 | 0.934 (0.917, 0.947) | |
| TNC 3.0 vs. VNC 1.5 | 7.41 (6.76, 7.84) | 7.33 ± 0.74 | −0.03 ± 0.25 | 0.0785 | 0.935 (0.919, 0.948) | |
| Aortic Valve Calcium Score * Classification Matrix | Cohens Kappa | Subjects Misclassified | |||
|---|---|---|---|---|---|
| TNC 1.5 mm | |||||
| TNC 3.0 mm | Low | High | Total | 0.81 (0.74–0.88) | 24 (8.6%) |
| Low | 84 | 22 | 106 | ||
| High | 2 | 171 | 173 | ||
| Total | 86 | 193 | 279 | ||
| VNC 3.0 mm | |||||
| TNC 3.0 mm | Low | High | Total | 0.83 (0.76–0.90) | 23 (8.2%) |
| Low | 101 | 5 | 106 | ||
| High | 18 | 155 | 173 | ||
| Total | 119 | 160 | 279 | ||
| VNC 1.5 mm | |||||
| TNC 3.0 mm | Low | High | Total | 0.83 (0.76–0.90) | 23 (8.2%) |
| Low | 100 | 6 | 106 | ||
| High | 17 | 156 | 173 | ||
| Total | 117 | 162 | 279 | ||
| Comparison * | Sensitivity | Specificity | Positive Predictive Value | Negative Predictive Value |
|---|---|---|---|---|
| TNC 1.5 mm vs. TNC 3.0 mm | 98% (97–100) | 79% (72–87) | 89% (84–93) | 98% (95–100) |
| VNC 3.0 mm vs. TNC 3.0 mm | 90% (85–94) | 95% (91–99) | 97% (94–100) | 85% (78–91) |
| VNC 1.5 mm vs. TNC 3.0 mm | 90% (86–95) | 94% (90–99) | 96% (93–99) | 85% (79–92) |
Disclaimer/Publisher’s Note: The statements, opinions and data contained in all publications are solely those of the individual author(s) and contributor(s) and not of MDPI and/or the editor(s). MDPI and/or the editor(s) disclaim responsibility for any injury to people or property resulting from any ideas, methods, instructions or products referred to in the content. |
© 2025 by the authors. Licensee MDPI, Basel, Switzerland. This article is an open access article distributed under the terms and conditions of the Creative Commons Attribution (CC BY) license (https://creativecommons.org/licenses/by/4.0/).
Share and Cite
Singh, M.; Moaddab, A.; Shin, D.; Weber, J.; Chau, K.; Dakroub, A.H.; Parikh, R.; Pipitone, K.; Ali, Z.A.; Khalique, O.K. Aortic Valve Calcium Scoring Using True and Virtual Non-Contrast Reconstructions on Photon-Counting CT with Differing Slice Increments: Impact on Calcium Severity Classifications. Tomography 2025, 11, 139. https://doi.org/10.3390/tomography11120139
Singh M, Moaddab A, Shin D, Weber J, Chau K, Dakroub AH, Parikh R, Pipitone K, Ali ZA, Khalique OK. Aortic Valve Calcium Scoring Using True and Virtual Non-Contrast Reconstructions on Photon-Counting CT with Differing Slice Increments: Impact on Calcium Severity Classifications. Tomography. 2025; 11(12):139. https://doi.org/10.3390/tomography11120139
Chicago/Turabian StyleSingh, Mandeep, Amirhossein Moaddab, Doosup Shin, Jonathan Weber, Karen Chau, Ali H. Dakroub, Roosha Parikh, Karli Pipitone, Ziad A. Ali, and Omar K. Khalique. 2025. "Aortic Valve Calcium Scoring Using True and Virtual Non-Contrast Reconstructions on Photon-Counting CT with Differing Slice Increments: Impact on Calcium Severity Classifications" Tomography 11, no. 12: 139. https://doi.org/10.3390/tomography11120139
APA StyleSingh, M., Moaddab, A., Shin, D., Weber, J., Chau, K., Dakroub, A. H., Parikh, R., Pipitone, K., Ali, Z. A., & Khalique, O. K. (2025). Aortic Valve Calcium Scoring Using True and Virtual Non-Contrast Reconstructions on Photon-Counting CT with Differing Slice Increments: Impact on Calcium Severity Classifications. Tomography, 11(12), 139. https://doi.org/10.3390/tomography11120139

