Novel Deep CNNs Explore Regions, Boundaries, and Residual Learning for COVID-19 Infection Analysis in Lung CT
Abstract
1. Introduction
- A new two-stage framework was developed for the identification and analysis of COVID-19 infection regions in CT that integrates Residual-BRNet classification and PA-RESeg segmentation CNNs.
- A deep Residual-BRNet classifier integrates regional operations, edge operations, and residual learning to extract diverse features capturing COVID-19 radiological homogeneous areas, texture variations, and boundary patterns. Moreover, residual learning is implemented to reduce the chance of a vanishing gradient.
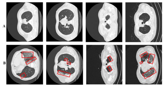
- A newly introduced RESeg CNN accurately identifies COVID-19-affected areas within the lungs. This model systematically incorporates both average- and max-pooling implementation across encoder and decoder blocks to leverage region homogeneity and inter-class/heterogeneous features.
- The inclusion of a novel pixel attention (PA) block within RESeg effectively mitigates sparse representation issues, leading to improved segmentation of mildly infectious regions. Finally, the proposed detection and segmentation techniques are fine-tuned through TL and assessed against existing techniques.
2. Related Research
3. Methodology
3.1. COVID-19 Infected CT Classification
3.1.1. Proposed Residual-BRNet
3.1.2. Implementation of Existing Classification CNNs
3.2. COVID Infection Segmentation
3.2.1. Proposed PA-RESeg Technique
3.2.2. Existing Segmentation CNNs
4. Experimental Configuration
4.1. Dataset
4.2. Implementation Details
4.3. Performance Evaluation
5. Results
5.1. CT Classification of COVID-19 Infection
5.1.1. Proposed Residual-BRNet Performance Analysis
| CNNs | Acc. | F-Score | Pre. | MCC | Spec. | Sen. |
|---|---|---|---|---|---|---|
| ShuffleNet | 89.88 | 90.00 | 88.85 | 79.76 | 88.55 | 91.38 |
| VGG-19 | 92.26 | 92.44 | 92.78 | 81.87 | 90.96 | 92.18 |
| Xception | 94.35 | 94.43 | 94.15 | 87.21 | 93.98 | 93.94 |
| VGG-16 | 95.83 | 95.81 | 97.56 | 90.67 | 96.99 | 94.67 |
| ResNet-50 | 96.13 | 96.12 | 97.58 | 91.52 | 97.59 | 95.35 |
| DenseNet-201 | 96.73 | 96.77 | 96.49 | 92.02 | 96.39 | 96.71 |
| Proposed Residual-BRNet | 97.97 | 98.01 | 97.61 | 96.81 | 97.62 | 98.42 |
| Reported Studies | ||||||
| JCS [29] | --- | --- | --- | --- | 93.17 | 95.13 |
| VB-Net [22] | --- | --- | --- | --- | 90.21 | 87.11 |
| DCN [30] | --- | 96.74 | --- | --- | --- | --- |
| 3DAHNet [53] | -- | --- | --- | --- | 90.13 | 85.22 |
5.1.2. Existing CNN Performance
5.1.3. PR- and ROC-Curve-Based Comparison

5.2. Infectious Regions Analysis
5.2.1. Proposed RESeg Segmentation Analysis
| Model | Region | DSC% | Acc% | IoU% | BF% |
|---|---|---|---|---|---|
| Ablation Study | |||||
| Proposed PA-RESeg | Lesion | 95.96 | 99.01 | 98.43 | 98.87 |
| Healthy | 98.90 | 99.48 | 99.09 | 97.33 | |
| Proposed-RESeg | Lesion | 95.61 | 98.83 | 98.35 | 98.47 |
| Healthy | 98.40 | 99.38 | 98.85 | 96.73 | |
| Existing CNNs | |||||
| Deeplabv3 | Lesion | 95.00 | 98.48 | 97.59 | 97.53 |
| Healthy | 98.30 | 99.33 | 98.67 | 96.39 | |
| nnSAM | Lesion | 94.90 | 98.74 | 97.62 | 98.19 |
| Healthy | 98.20 | 99.07 | 98.49 | 95.86 | |
| U-SegNet | Lesion | 94.65 | 98.25 | 97.01 | 97.02 |
| Healthy | 98.01 | 99.16 | 98.10 | 95.22 | |
| SegNet | Lesion | 93.60 | 97.94 | 97.2 | 97.03 |
| Healthy | 96.70 | 99.27 | 98.05 | 95.85 | |
| U-Net | Lesion | 93.20 | 98.01 | 97.21 | 96.50 |
| Healthy | 96.60 | 99.51 | 98.07 | 96.44 | |
| VGG-16 | Lesion | 93.00 | 98.61 | 95.88 | 96.91 |
| Healthy | 96.70 | 98.28 | 97.32 | 94.07 | |
| nnUNet | Lesion | 92.80 | 98.26 | 95.48 | 96.53 |
| Healthy | 96.30 | 97.93 | 96.92 | 93.69 | |
| Reported Studies | |||||
| VB-Net [22] | Lesion | 91.12 | --- | --- | --- |
| Weakly Sup. [54] | Lesion | 90.21 | --- | --- | --- |
| Multi-stask Learning [55] | Lesion | 88.43 | --- | --- | --- |
| DCN [30] | Lesion | 83.55 | --- | --- | --- |
| U-Net-CA [56] | Lesion | 83.17 | --- | --- | --- |
| Inf-Net [57] | Lesion | 68.23 | --- | --- | --- |
5.2.2. Segmentation Stage Performance Comparison
5.2.3. Pixel Attention Concept
6. Conclusions
Funding
Institutional Review Board Statement
Informed Consent Statement
Data Availability Statement
Acknowledgments
Conflicts of Interest
Correction Statement
References
- Spinelli, A.; Pellino, G. COVID-19 pandemic: Perspectives on an unfolding crisis. Br. J. Surg. 2020, 107, 785–787. [Google Scholar] [CrossRef] [PubMed]
- Wu, J.T.; Leung, K.; Bushman, M.; Kishore, N.; Niehus, R.; De Salazar, P.M.; Cowling, B.J.; Lipsitch, M.; Leung, G.M. Estimating clinical severity of COVID-19 from the transmission dynamics in Wuhan, China. Nat. Med. 2020, 26, 506–510. [Google Scholar] [CrossRef] [PubMed]
- Coronavirus Update (Live): 704,753,890 Cases and 7,010,681 Deaths from COVID-19 Virus Pandemic–Worldometer 2024. Available online: https://www.worldometers.info/coronavirus/ (accessed on 16 July 2024).
- Xu, X.; Chen, P.; Wang, J.; Feng, J.; Zhou, H.; Li, X.; Zhong, W.; Hao, P. Evolution of the novel coronavirus from the ongoing Wuhan outbreak and modeling of its spike protein for risk of human transmission. Sci. China Life Sci. 2020, 63, 45–460. [Google Scholar] [CrossRef] [PubMed]
- Huang, C.; Wang, Y.; Li, X.; Ren, L.; Zhao, J.; Hu, Y.; Zhang, L.; Fan, G.; Xu, J.; Gu, X. Clinical features of patients infected with 2019 novel coronavirus in Wuhan, China. Lancet 2020, 395, 497–506. [Google Scholar] [CrossRef] [PubMed]
- He, D.D.; Zhang, X.K.; Zhu, X.Y.; Huang, F.F.; Wang, Z.; Tu, J.C. Network pharmacology and RNA-sequencing reveal the molecular mechanism of Xuebijing injection on COVID-19-induced cardiac dysfunction. Comput. Biol. Med. 2021, 131, 104293. [Google Scholar] [CrossRef]
- Khan, S.H.; Sohail, A.; Khan, A.; Lee, Y.S. COVID-19 Detection in Chest X-ray Images Using a New Channel Boosted CNN. Diagnostics 2022, 12, 267. [Google Scholar] [CrossRef] [PubMed]
- Fang, Y.; Zhang, H.; Xie, J.; Lin, M.; Ying, L.; Pang, P.; Ji, W. Sensitivity of Chest CT for COVID-19: Comparison to RT-PCR. Radiology 2020, 296, E115–E117. [Google Scholar] [CrossRef]
- Tello-Mijares, S.; Woo, L. Computed Tomography Image Processing Analysis in COVID-19 Patient Follow-Up Assessment. J. Healthc. Eng. 2021, 2021, 8869372. [Google Scholar] [CrossRef]
- Salehi, S.; Abedi, A.; Balakrishnan, S.; Gholamrezanezhad, A. Coronavirus disease 2019 (COVID-19): A systematic review of imaging findings in 919 patients. Am. J. Roentgenol. 2020, 215, 87–93. [Google Scholar] [CrossRef]
- Long, C.; Xu, H.; Shen, Q.; Zhang, X.; Fan, B.; Wang, C.; Zeng, B.; Li, Z.; Li, X.; Li, H. Diagnosis of the Coronavirus disease (COVID-19): rRT-PCR or CT? Eur. J. Radiol. 2020, 126, 108961. [Google Scholar] [CrossRef]
- Zheng, W.; Yan, L.; Gou, C.; Zhang, Z.C.; Zhang, J.J.; Hu, M.; Wang, F.Y. Learning to learn by yourself: Unsupervised meta-learning with self-knowledge distillation for COVID-19 diagnosis from pneumonia cases. Int. J. Intell. Syst. 2021, 36, 4033–4064. [Google Scholar] [CrossRef] [PubMed]
- Park, S.; Lee, S.M.; Lee, K.H.; Jung, K.H.; Bae, W.; Choe, J.; Seo, J.B. Deep learning-based detection system for multiclass lesions on chest radiographs: Comparison with observer readings. Eur. Radiol. 2020, 30, 1359–1368. [Google Scholar] [CrossRef] [PubMed]
- Khan, A.; Khan, S.H.; Saif, M.; Batool, A.; Sohail, A.; Waleed Khan, M. A Survey of Deep Learning Techniques for the Analysis of COVID-19 and their usability for Detecting Omicron. J. Exp. Theor. Artif. Intell. 2023, 1–43. [Google Scholar] [CrossRef]
- Liu, J.; Dong, B.; Wang, S.; Cui, H.; Fan, D.P.; Ma, J.; Chen, G. COVID-19 lung infection segmentation with a novel two-stage cross-domain transfer learning framework. Med. Image Anal. 2021, 74, 102205. [Google Scholar] [CrossRef]
- Rauf, Z.; Sohail, A.; Khan, S.H.; Khan, A.; Gwak, J.; Maqbool, M. Maqbool Attention-guided multi-scale deep object detection framework for lymphocyte analysis in IHC histological images. Microscopy 2023, 72, 27–42. [Google Scholar] [CrossRef]
- Ozsahin, I.; Sekeroglu, B.; Musa, M.S.; Mustapha, M.T.; Uzun Ozsahin, D. Review on Diagnosis of COVID-19 from Chest CT Images Using Artificial Intelligence. Comput. Math. Methods Med. 2020, 2020, 9756518. [Google Scholar] [CrossRef]
- Lee, R.J.; Wysocki, O.; Bhogal, T.; Shotton, R.; Tivey, A.; Angelakas, A.; Aung, T.; Banfill, K.; Baxter, M.; Boyce, H. Longitudinal characterisation of haematological and biochemical parameters in cancer patients prior to and during COVID-19 reveals features associated with outcome. ESMO Open 2021, 6, 100005. [Google Scholar] [CrossRef]
- Rehouma, R.; Buchert, M.; Chen, Y.P.P. Chen Machine learning for medical imaging-based COVID-19 detection and diagnosis. Int. J. Intell. Syst. 2021, 36, 5085–5115. [Google Scholar] [CrossRef]
- Serena Low, W.C.; Chuah, J.H.; Tee, C.A.T.; Anis, S.; Shoaib, M.A.; Faisal, A.; Khalil, A.; Lai, K.W. An Overview of Deep Learning Techniques on Chest X-Ray and CT Scan Identification of COVID-19. Comput. Math. Methods Med. 2021, 2021, 5528144. [Google Scholar] [CrossRef]
- Narin, A.; Kaya, C.; Pamuk, Z. Automatic Detection of Coronavirus Disease (COVID-19) Using X-ray Images and Deep Convolutional Neural Networks. Comput. Vis. Pattern Recognit. 2020, 24, 1207–1220. [Google Scholar] [CrossRef]
- Shan, F.; Gao, Y.; Wang, J.; Shi, W.; Shi, N.; Han, M.; Xue, Z.; Shen, D.; Shi, Y. Lung Infection Quantification of COVID-19 in CT Images with Deep Learning. arXiv 2020, arXiv:2003.04655. [Google Scholar]
- Wang, S.; Kang, B.; Ma, J.; Zeng, X.; Xiao, M.; Guo, J.; Cai, M.; Yang, J.; Li, Y.; Meng, X.; et al. A deep learning algorithm using CT images to screen for Corona Virus Disease (COVID-19). medRxiv 2020. medRxiv:2020.02.14.20023028. [Google Scholar] [CrossRef]
- Wang, L.; Lin, Z.Q.; Wong, A. COVID-Net: A Tailored Deep Convolutional Neural Network Design for Detection of COVID-19 Cases from Chest X-Ray Images. Sci. Rep. 2020, 10, 19549. [Google Scholar] [CrossRef]
- Afshar, P.; Heidarian, S.; Naderkhani, F.; Oikonomou, A.; Plataniotis, K.N.; Mohammadi, A. COVID-CAPS: A Capsule Network-based Framework for Identification of COVID-19 cases from X-ray Images. Pattern Recognit. Lett. 2020, 138, 638–643. [Google Scholar] [CrossRef] [PubMed]
- Khan, S.H.; Sohail, A.; Zafar, M.M.; Khan, A. Coronavirus disease analysis using chest X-ray images and a novel deep convolutional neural network. Photodiagn. Photodyn. Ther. 2021, 35, 102473. [Google Scholar] [CrossRef] [PubMed]
- Rajinikanth, V.; Dey, N.; Raj, A.N.J.; Hassanien, A.E.; Santosh, K.C.; Raja, N. Harmony-Search and Otsu based System for Coronavirus Disease (COVID-19) Detection using Lung CT Scan Images. arXiv 2020, arXiv:2004.03431. [Google Scholar]
- Wang, G.; Li, Z.; Weng, G.; Chen, Y. An optimized denoised bias correction model with local pre-fitting function for weak boundary image segmentation. Signal Process. 2024, 220, 109448. [Google Scholar] [CrossRef]
- Wu, Y.H.; Gao, S.H.; Mei, J.; Xu, J.; Fan, D.P.; Zhang, R.G.; Cheng, M.M. JCS: An Explainable COVID-19 Diagnosis System by Joint Classification and Segmentation. IEEE Trans. Image Process. 2021, 30, 3113–3126. [Google Scholar] [CrossRef]
- Gao, K.; Su, J.; Jiang, Z.; Zeng, L.L.; Feng, Z.; Shen, H.; Rong, P.; Xu, X.; Qin, J.; Yang, Y. Dual-branch combination network (DCN): Towards accurate diagnosis and lesion segmentation of COVID-19 using CT images. Med. Image Anal. 2021, 67, 101836. [Google Scholar] [CrossRef]
- Arshad, M.A.; Khan, S.H.; Qamar, S.; Khan, M.W.; Murtza, I.; Gwak, J.; Khan, A. Drone navigation using region and edge exploitation-based deep CNN. IEEE Access 2022, 10, 95441–95450. [Google Scholar] [CrossRef]
- Khan, A.; Sohail, A.; Zahoora, U.; Qureshi, A.S. A survey of the recent architectures of deep convolutional neural networks. Artif. Intell. Rev. 2020, 53, 5455–5516. [Google Scholar] [CrossRef]
- Zahoor, M.M.; Khan, S.H. Brain tumor MRI Classification using a Novel Deep Residual and Regional CNN. arXiv 2022, arXiv:2211.16571. [Google Scholar]
- Khan, S.H.; Iqbal, R.; Naz, S. A Recent Survey of the Advancements in Deep Learning Techniques for Monkeypox Disease Detection. arXiv 2023, arXiv:2311.10754. [Google Scholar]
- Simonyan, K.; Zisserman, A. Very Deep Convolutional Networks for Large-Scale Image Recognition. arXiv 2014, arXiv:1409.1556. [Google Scholar]
- Szegedy, C.; Liu, W.; Jia, Y.; Sermanet, P.; Reed, S.; Anguelov, D.; Erhan, D.; Vanhoucke, V.; Rabinovich, A. Going Deeper with Convolutions. In Proceedings of the 2015 IEEE Conference on Computer Vision and Pattern Recognition (CVPR), Boston, MA, USA, 7–12 June 2015; pp. 1–9. [Google Scholar]
- Huang, G.; Liu, Z.; Van Der Maaten, L.; Weinberger, K.Q. Densely connected convolutional networks. In Proceedings of the 30th IEEE Conference on Computer Vision and Pattern Recognition (CVPR), Honolulu, HI, USA, 21–26 July 2017; pp. 2261–2269. [Google Scholar]
- Zhang, X.; Zhou, X.; Lin, M.; Sun, J. ShuffleNet: An Extremely Efficient Convolutional Neural Network for Mobile Devices. In Proceedings of the IEEE Computer Society Conference on Computer Vision and Pattern Recognition, Salt Lake City, UT, USA, 18–23 June 2018. [Google Scholar]
- Chollet, F. Xception: Deep Learning with Depthwise Separable Convolutions. In Proceedings of the IEEE Conference on Computer Vision and Pattern Recognition (CVRP), Honolulu, HI, USA, 21–26 July 2017. [Google Scholar]
- He, K.; Zhang, X.; Ren, S.; Sun, J. Deep residual learning for image recognition. In Proceedings of the IEEE Computer Society Conference on Computer Vision and Pattern Recognition (CVPR), Las Vegas, NV, USA, 27–30 June 2016; pp. 770–778. [Google Scholar]
- Weiss, K.; Khoshgoftaar, T.M.; Wang, D. A survey of transfer learning. J. Big Data 2016, 3, 9. [Google Scholar] [CrossRef]
- Asgari Taghanaki, S.; Abhishek, K.; Cohen, J.P.; Cohen-Adad, J.; Hamarneh, G. Deep semantic segmentation of natural and medical images: A review. Artif. Intell. Rev. 2020, 54, 137–178. [Google Scholar] [CrossRef]
- Liu, X.; Deng, Z.; Yang, Y. Recent progress in semantic image segmentation. Artif. Intell. Rev. 2019, 52, 1089–1106. [Google Scholar] [CrossRef]
- Li, Y.; Jing, B.; Feng, X.; Li, Z.; He, Y.; Wang, J.; Zhang, Y. nnSAM: Plug-and-play Segment Anything Model Improves nnUNet Performance. arXiv 2023, arXiv:2309.16967. [Google Scholar]
- Badrinarayanan, V.; Kendall, A.; Cipolla, R. SegNet: A Deep Convolutional Encoder-Decoder Architecture for Image Segmentation. IEEE Trans. Pattern Anal. Mach. Intell. 2017, 39, 2481–2495. [Google Scholar] [CrossRef]
- Kumar, P.; Nagar, P.; Arora, C.; Gupta, A. U-segnet: Fully convolutional neural network based automated brain tissue segmentation tool. arXiv 2018, arXiv:1806.04429. [Google Scholar]
- Long, J.; Shelhamer, E.; Darrell, T. Fully convolutional networks for semantic segmentation. In Proceedings of the IEEE Computer Society Conference on Computer Vision and Pattern Recognition (CVPR), Boston, MA, USA, 7–12 June 2015. [Google Scholar]
- Chen, L.C.; Papandreou, G.; Kokkinos, I.; Murphy, K.; Yuille, A.L. DeepLab: Semantic Image Segmentation with Deep Convolutional Nets, Atrous Convolution, and Fully Connected CRFs. IEEE Trans. Pattern Anal. Mach. Intell. 2018, 40, 834–848. [Google Scholar] [CrossRef] [PubMed]
- Ma, J.; Wang, Y.; An, X.; Ge, C.; Yu, Z.; Chen, J.; Zhu, Q.; Dong, G.; He, J.; He, Z. Towards Data-Efficient Learning: A Benchmark for COVID-19 CT Lung and Infection Segmentation. Med. Phys. 2021, 48, 1197–1210. [Google Scholar] [CrossRef] [PubMed]
- Goodfellow, I.; Bengio, Y.; Courville, A. Deep Learning; MIT Press: Cambridge, MA, USA, 2016; p. 800. [Google Scholar]
- Khan, S.H.; Alahmadi, T.J.; Alsahfi, T.; Alsadhan, A.A.; Mazroa, A.A.; Alkahtani, H.K.; Albanyan, A.; Sakr, H.A. COVID-19 infection analysis framework using novel boosted CNNs and radiological images. Sci. Rep. 2023, 13, 21837. [Google Scholar] [CrossRef] [PubMed]
- Asif, H.M.; Khan, S.H.; Alahmadi, T.J.; Alsahfi, T.; Mahmoud, A. Malaria parasitic detection using a new Deep Boosted and Ensemble Learning framework. Complex Intell. Syst. 2024, 10, 4835–4851. [Google Scholar] [CrossRef]
- Harmon, S.A.; Sanford, T.H.; Xu, S.; Turkbey, E.B.; Roth, H.; Xu, Z.; Yang, D.; Myronenko, A.; Anderson, V. Artificial intelligence for the detection of COVID-19 pneumonia on chest CT using multinational datasets. Nat. Commun. 2020, 11, 4080. [Google Scholar] [CrossRef] [PubMed]
- Hu, S.; Gao, Y.; Niu, Z.; Jiang, Y.; Li, L.; Xiao, X.; Wang, M.; Fang, E.F.; Menpes-Smith, W.; Xia, J. Weakly Supervised Deep Learning for COVID-19 Infection Detection and Classification From CT Images. IEEE Access 2020, 8, 118869–118883. [Google Scholar] [CrossRef]
- Amyar, A.; Modzelewski, R.; Li, H.; Ruan, S. Multi-task deep learning based CT imaging analysis for COVID-19 pneumonia: Classification and segmentation. Comput. Biol. Med. 2020, 126, 104037. [Google Scholar] [CrossRef]
- Zhou, T.; Canu, S.; Ruan, S. An automatic COVID-19 CT segmentation network using spatial and channel attention mechanism. arXiv 2020, arXiv:2004.06673. [Google Scholar]
- Fan, D.P.; Zhou, T.; Ji, G.P.; Zhou, Y.; Chen, G.; Fu, H.; Shen, J.; Shao, L. Inf-Net: Automatic COVID-19 Lung Infection Segmentation from CT Images. IEEE Trans. Med. Imaging 2020, 39, 2626–2637. [Google Scholar] [CrossRef]










| Properties | Description |
|---|---|
| Total Slices | 10,838 |
| Healthy Slices | 5686 |
| COVID-19 Infectious Slices | 5152 |
| Phase 1: Detection Train and Validation (90%) | (7720, 772) |
| Detection Test Portion (20%) | (2346) |
| Phase 2: Segmentation Train and Validation (90%) | (4121, 412) |
| Segmentation Test (20%) | (1031) |
Disclaimer/Publisher’s Note: The statements, opinions and data contained in all publications are solely those of the individual author(s) and contributor(s) and not of MDPI and/or the editor(s). MDPI and/or the editor(s) disclaim responsibility for any injury to people or property resulting from any ideas, methods, instructions or products referred to in the content. |
© 2024 by the author. Licensee MDPI, Basel, Switzerland. This article is an open access article distributed under the terms and conditions of the Creative Commons Attribution (CC BY) license (https://creativecommons.org/licenses/by/4.0/).
Share and Cite
Alshemaimri, B.K. Novel Deep CNNs Explore Regions, Boundaries, and Residual Learning for COVID-19 Infection Analysis in Lung CT. Tomography 2024, 10, 1205-1221. https://doi.org/10.3390/tomography10080091
Alshemaimri BK. Novel Deep CNNs Explore Regions, Boundaries, and Residual Learning for COVID-19 Infection Analysis in Lung CT. Tomography. 2024; 10(8):1205-1221. https://doi.org/10.3390/tomography10080091
Chicago/Turabian StyleAlshemaimri, Bader Khalid. 2024. "Novel Deep CNNs Explore Regions, Boundaries, and Residual Learning for COVID-19 Infection Analysis in Lung CT" Tomography 10, no. 8: 1205-1221. https://doi.org/10.3390/tomography10080091
APA StyleAlshemaimri, B. K. (2024). Novel Deep CNNs Explore Regions, Boundaries, and Residual Learning for COVID-19 Infection Analysis in Lung CT. Tomography, 10(8), 1205-1221. https://doi.org/10.3390/tomography10080091

