The Heat-Induced Gel–Sol Transition in Coated Tofu: A Study on Protein Conformation and Microstructural Changes
Abstract
1. Introduction
2. Results and Discussion
2.1. Protein Solubility
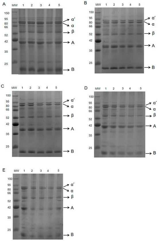
2.2. The Protein Composition Was Analysed Using Sodium Dodecyl Sulphate-Polyacrylamide Gel Electrophoresis (SDS-PAGE)
2.3. Surface Hydrophobicity
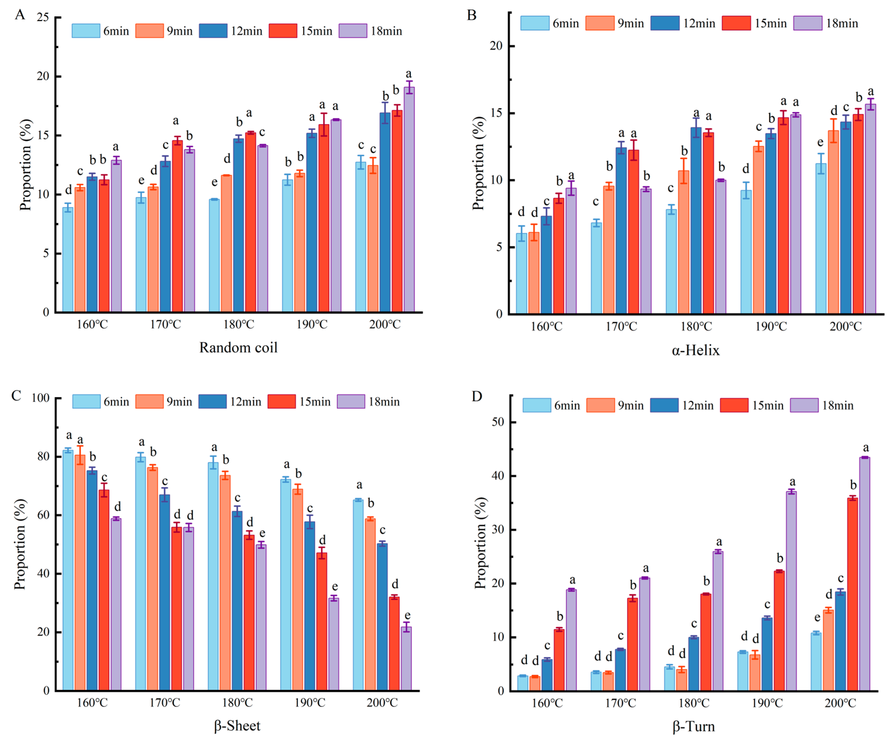
2.4. Fourier Transform Infrared (FTIR) Spectroscopy Was Used to Analyse Changes in Secondary Structure
2.5. Fluorescence Spectroscopy Was Employed to Analyse Changes in the Tertiary Structure of Proteins
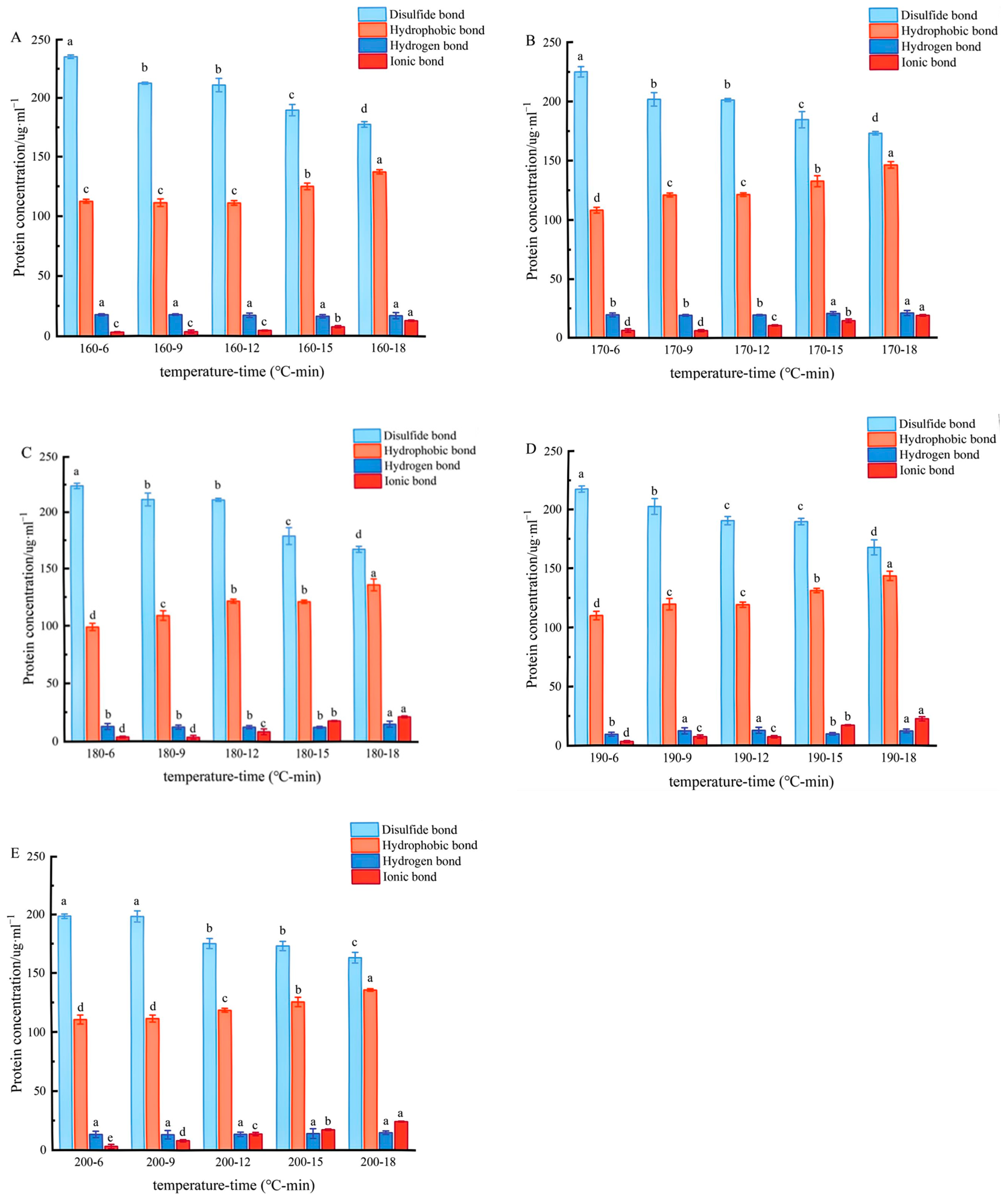
2.6. Intermolecular Forces
2.7. Free Sulfhydryl Groups
2.8. Scanning Electron Microscopy (SEM) Was Used to Analyse Microstructural Changes
3. Conclusions
4. Materials and Methods
4.1. Materials
4.2. Preparation of Coated Tofu
4.3. Heat Treatment of Coated Tofu
4.4. Determination of Soluble Protein Content
4.5. Sodium Dodecyl Sulphate Polyacrylamide Gel Electrophoresis (SDS-PAGE)
4.6. Surface Hydrophobicity Measurement
4.7. Fourier Transform Infrared Spectroscopy
4.8. Fluorescence Spectrometry
4.9. Determination of Intermolecular Force
4.10. Determination of Free Sulphhydryl Groups
4.11. Scanning Electron Microscopy
4.12. Statistics and Analysis
Author Contributions
Funding
Institutional Review Board Statement
Informed Consent Statement
Data Availability Statement
Conflicts of Interest
References
- Yang, M.Y.; Tang, P.Y.; Huang, D.M.; Meng, F.B.; Lin, M. Analysis of Differences in Volatile Flavor Substances in Soybean Curd Coated by Raw and Cooked Pulping Techniques. Mod. Food Sci. Technol. 2024, 40, 231–239. [Google Scholar]
- Kamizake, N.K.K.; Silva, L.C.P.; Prudencio, S.H. Impact of soybean aging conditions on tofu sensory characteristics and acceptance. J. Sci. Food Agric. 2018, 98, 1132–1139. [Google Scholar]
- Khoder, R.M.; Yin, T.; Liu, R.; Xiong, S.; You, J.; Hu, Y.; Huang, Q. Effects of nano fish bone on gelling properties of tofu gel coagulated by citric acid. Food Chem. 2020, 332, 127401. [Google Scholar] [PubMed]
- Zheng, T.; Li, X.; Taha, A.; Wei, Y.; Hu, T.; Fatamorgana, P.B.; Zhang, Z.; Liu, F.; Xu, X.; Pan, S.; et al. Effect of high intensity ultrasound on the structure and physicochemical properties of soy protein isolates produced by different denaturation methods. Food Hydrocoll. 2019, 97, 105216. [Google Scholar]
- Shen, J.; Chang, L.; Chen, D.; Wang, Y.; Li, W.; He, Y.; Qin, J. Cross-linking induced thermo-responsive self-healing hydrogel with gel-sol–gel transition constructed on dynamic covalent bond. J. Polym. Res. 2021, 28, 132. [Google Scholar]
- Wan, Y.; Li, Y.; Guo, S. Characteristics of soy protein isolate gel induced by glucono-δ-lactone: Effects of the protein concentration during preheating. Food Hydrocoll. 2021, 113, 106525. [Google Scholar]
- Li, X.; Chen, L.; Hua, Y.; Chen, Y.; Kong, X.; Zhang, C. Effect of preheating-induced denaturation during protein production on the structure and gelling properties of soybean proteins. Food Hydrocoll. 2020, 105, 105846. [Google Scholar] [CrossRef]
- Tang, C.H.; Luo, L.J.; Liu, F.U.; Chen, Z. Transglutaminase-set soy globulin-stabilized emulsion gels: Influence of soy β-conglycinin/glycinin ratio on properties, microstructure and gelling mechanism. Food Res. Int. 2013, 51, 804–812. [Google Scholar]
- Gao, X.; Yao, Y.; Wu, N.; Xu, M.; Zhao, Y.; Tu, Y. The underlying mechanism of alkali-induced ovalbumin gel transforms to sol: Physicochemical properties, structure and quantitative protein degradation analysis. Food Hydrocoll. 2021, 120, 106954. [Google Scholar]
- Zhao, Y.; Chen, Z.; Li, J.; Xu, M.; Shao, Y.; Tu, Y. Changes of microstructure characteristics and intermolecular interactions of preserved egg white gel during pickling. Food Chem. 2016, 203, 323–330. [Google Scholar] [CrossRef]
- Sun, J.; Wu, Y.; Zeng, Q.; Lu, L.; Zeng, T.; Harlina, P.W.; Liu, W.; Du, J.; Pi, J.; Yang, F. High temperature curing softening salted egg yolk: Insights on microstructure, texture properties and composition of key protein. LWT 2024, 201, 116237. [Google Scholar]
- Wu, C.; Ma, W.; Hua, Y. The relationship between breaking force and hydrophobic interactions or disulfide bonds involved in heat-induced soy protein gels as affected by heating time and temperature. Int. J. Food Sci. Technol. 2019, 54, 231–239. [Google Scholar]
- Chen, N.; Zhao, M.; Niepceron, F.; Nicolai, T.; Chassenieux, C. The effect of the pH on thermal aggregation and gelation of soy proteins. Food Hydrocoll. 2017, 66, 27–36. [Google Scholar] [CrossRef]
- Geng, M.; Liu, J.; Hu, H.; Qin, L.; Taha, A.; Zhang, Z. A comprehensive study on structures and characterizations of 7S protein treated by high intensity ultrasound at different pH and ionic strengths. Food Chem. 2022, 373, 131378. [Google Scholar]
- Jun, S.; Yaoyao, M.; Hui, J.; Obadi, M.; Zhongwei, C.; Bin, X. Effects of single-and dual-frequency ultrasound on the functionality of egg white protein. J. Food Eng. 2020, 277, 109902. [Google Scholar]
- Ju, Q.; Yuan, Y.; Wu, C.; Hu, Y.; Zhou, S.; Luan, G. Heat-induced aggregation of subunits/polypeptides of soybean protein: Structural and physicochemical properties. Food Chem. 2023, 405, 134774. [Google Scholar] [CrossRef] [PubMed]
- Yang, F.; Zhu, Y.; Li, X.; Xiang, F.; Deng, M.; Zhang, W.; Song, W.; Sun, H.; Tang, C. Identification of Protein–Phenol Adducts in Meat Proteins: A Molecular Probe Technology Study. Foods 2023, 12, 4225. [Google Scholar] [CrossRef]
- Lei, D.; Li, J.; Zhang, C.; Li, S.; Zhu, Z.; Wang, F.; Deng, Q.; Grimi, N. Complexation of soybean protein isolate with β-glucan and myricetin: Different affinity on 7S and 11S globulin by QCM-D and molecular simulation analysis. Food Chem. X 2022, 15, 100426. [Google Scholar] [PubMed]
- Tezuka, M.; Yagasaki, K.; Ono, T. Changes in characters of soybean glycinin groups I, IIa, and IIb caused by heating. J. Agric. Food Chem. 2004, 52, 1693–1699. [Google Scholar]
- Jing, X.; Chen, B.; Liu, T.; Cai, Y.; Zhao, Q.; Deng, X.; Zhao, M. Formation and stability of Pickering emulsion gels by insoluble soy peptide aggregates through hydrophobic modification. Food Chem. 2022, 387, 132897. [Google Scholar]
- Jia, N.; Wang, L.; Shao, J.; Liu, D.; Kong, B. Changes in the structural and gel properties of pork myofibrillar protein induced by catechin modification. Meat Sci. 2017, 127, 45–50. [Google Scholar] [PubMed]
- Fan, H.; Ai, M.; Cao, Y.; Long, J.; Li, S.; Jiang, A. Understanding the hydration of alkali-induced duck egg white gel at high temperature. LWT 2021, 142, 110976. [Google Scholar]
- Wang, H.; Ma, Y.; Chi, Y. Effects of Heating Treatment on Functional and Structural Properties of Liquid Whole Egg. Foods 2023, 12, 1474. [Google Scholar] [CrossRef] [PubMed]
- Zhu, P.; Huang, W.; Chen, L. Develop and characterize thermally reversible transparent gels from pea protein isolate and study the gel formation mechanisms. Food Hydrocoll. 2022, 125, 107373. [Google Scholar]
- Zhang, X.; Yue, X.; Ma, B.; Fu, X.; Ren, H.; Ma, M. Ultrasonic pretreatment enhanced the glycation of ovotransferrin and improved its antibacterial activity. Food Chem. 2021, 346, 128905. [Google Scholar]
- Zhang, A.; Yu, J.; Wang, G.; Wang, X.; Zhang, L. Improving the emulsion freeze-thaw stability of soy protein hydrolysate-dextran conjugates. LWT 2019, 116, 108506. [Google Scholar]
- Wei, W.; Hu, W.; Zhang, X.Y.; Zhang, F.P.; Sun, S.Q.; Liu, Y.; Xu, C.H. Analysis of protein structure changes and quality regulation of surimi during gelation based on infrared spectroscopy and microscopic imaging. Sci. Rep. 2018, 8, 5566. [Google Scholar]
- Phan-Xuan, T.; Bogdanova, E.; Sommertune, J.; Fureby, A.M.; Fransson, J.; Terry, A.E.; Kocherbitov, V. The role of water in the reversibility of thermal denaturation of lysozyme in solid and liquid states. Biochem. Biophys. Rep. 2021, 28, 101184. [Google Scholar]
- Yang, L.; Cheng, Y.L.; Guo, Y.H.; Xie, Y.F.; Yao, W.R.; Qian, H. Effect of heat treatment intensity on gel formation ability of soybean protein isolate. Soybean Sci. 2018, 37, 141–148. [Google Scholar]
- Feng, J.; Wu, S.; Wang, H.; Liu, S. Gliadin nanoparticles stabilized by a combination of thermally denatured ovalbumin with gemini dodecyl O-glucoside: The modulating effect of cosurfactant. Colloids Surf. A Physicochem. Eng. Asp. 2017, 516, 94–105. [Google Scholar]
- Li, J.; Zhang, X.; Zhou, W.; Tu, Z.; Yang, X.; Hao, J.; Liang, F.; Chen, Z.; Du, Y. Impacts of proanthocyanidin binding on conformational and functional properties of decolorized highland barley protein. Foods 2023, 12, 481. [Google Scholar] [CrossRef] [PubMed]
- Cheng, Y.; Wang, J.; Chi, Y.; Ma, Z.; Geng, X.; Chi, Y. Effect of dry heating on egg white powder influencing water mobility and intermolecular interactions of its gels. J. Sci. Food Agric. 2021, 101, 433–440. [Google Scholar] [PubMed]
- Gao, X.; Yao, Y.; Wu, N.; Xu, M.; Zhao, Y.; Tu, Y. The sol-gel-sol transformation behavior of egg white proteins induced by alkali. Int. J. Biol. Macromol. 2020, 155, 588–597. [Google Scholar]
- Zhao, Y.; Chen, Z.; Li, J.; Xu, M.; Shao, Y.; Tu, Y. Formation mechanism of ovalbumin gel induced by alkali. Food Hydrocoll. 2016, 61, 390–398. [Google Scholar]
- Chen, B.; Liu, X.; Zhou, K.; Xie, Y.; Wang, Y.; Zhou, H.; Bai, Y.; Xu, B. Differentiating the effects of hydrophobic interaction and disulfide bond on the myofibrillar protein emulsion gels at the high temperature and the protein interfacial properties. Food Chem. 2023, 412, 135472. [Google Scholar]
- Yang, H.; Zhang, W.; Li, T.; Zheng, H.; Khan, M.A.; Xu, X.; Sun, J.; Zhou, G. Effect of protein structure on water and fat distribution during meat gelling. Food Chem. 2016, 204, 239–245. [Google Scholar]
- Zhou, X.X.; Chen, T.; Lv, F.; Gu, S.; Liu, J.; Ding, Y. Effect and mechanism of modification with tea polyphenols on the gel properties of egg white protein. Food Sci. 2018, 39, 13–18. [Google Scholar]
- Zhao, Q.; Hong, X.; Fan, L.; Liu, Y.; Li, J. Solubility and emulsifying properties of perilla protein isolate: Improvement by phosphorylation in the presence of sodium tripolyphosphate and sodium trimetaphosphate. Food Chem. 2022, 382, 132252. [Google Scholar]
- Zhou, Y.; Zhao, J.; Guo, J.; Lian, X.; Wang, H. Effects of amylopectins from five different sources on disulfide bond formation in alkali-soluble glutenin. Foods 2023, 12, 414. [Google Scholar] [CrossRef]
- Chen, R.; Jin, H.; Pan, J.; Zeng, Q.; Lv, X.; Xia, J.; Ma, J.; Shi, M.; Jin, Y. Underlying mechanisms of egg white thinning in hot spring eggs during storage: Weak gel properties and quantitative proteome analysis. Food Res. Int. 2023, 172, 113157. [Google Scholar]
- Yu, N.; Wang, Y.; Zongo, A.W.S.; Lu, Y.; Nie, X.; Ye, Q.; Meng, X. Effect of frying process on in vitro protein digestibility of traditional Chinese tofu through remodelling protein structure at multiscale. Int. J. Food Sci. Technol. 2024, 59, 2339–2348. [Google Scholar]
- Yang, B.; Wang, J.; Yang, T.; Zhang, Y.; Wang, Y.; Qiang, S.; Zhou, J.; Li, S.; Chen, Y. Physicochemical properties and structure of buckwheat flour modified by steam-treatment. Int. J. Food Eng. 2023, 19, 113–120. [Google Scholar]
- Xue, H.; Xu, M.; Liao, M.; Luo, W.; Zhang, G.; Tu, Y.; Zhao, Y. Effects of tea and illicium verum braise on physicochemical characteristics, microstructure, and molecular structure of heat-induced egg white protein gel. Food Hydrocoll. 2021, 110, 106181. [Google Scholar]
- Kudre, T.; Benjakul, S.; Kishimura, H. Effects of protein isolates from black bean and mungbean on proteolysis and gel properties of surimi from sardine (Sardinella albella). Lwt-Food Sci. Technol. 2013, 50, 511–518. [Google Scholar]
- Xin, X.; Zhang, G.; Xue, H.; Qiu, W.; Hu, H.; Tu, Y.; Zhao, Y. Effects of ethanol treatment on the physicochemical properties, microstructure and protein structures of egg yolk gels. Food Chem. 2023, 405, 135041. [Google Scholar] [PubMed]
- Xu, L.; Zhao, Y.; Xu, M.; Yao, Y.; Nie, X.; Du, H.; Tu, Y. Changes in aggregation behavior of raw and cooked salted egg yolks during pickling. Food Hydrocoll. 2018, 80, 68–77. [Google Scholar]
- Wang, Y.; Liu, M.; Zhao, L.; Qiu, Y.; Zhuang, Y. Interactions of γ-aminobutyric acid and whey proteins/caseins during fortified milk production. Rsc Adv. 2015, 5, 91235–91245. [Google Scholar]
- Xue, S.; Wang, H.; Yang, H.; Yu, X.; Bai, Y.; Tendu, A.A.; Xu, X.; Ma, H.; Zhou, G. Effects of high-pressure treatments on water characteristics and juiciness of rabbit meat sausages: Role of microstructure and chemical interactions. Innov. Food Sci. Emerg. Technol. 2017, 41, 150–159. [Google Scholar]
- Hu, H.; Fan, X.; Zhou, Z.; Xu, X.; Fan, G.; Wang, L.; Huang, X.; Pan, S.; Zhu, L. Acid-induced gelation behavior of soybean protein isolate with high intensity ultrasonic pre-treatments. Ultrason. Sonochem. 2013, 20, 187–195. [Google Scholar]
- Kang, Z.L.; Li, B.; Ma, H.J.; Chen, F.S. Effect of different processing methods and salt content on the physicochemical and rheological properties of meat batters. Int. J. Food Prop. 2016, 19, 1604–1615. [Google Scholar]








| Temperature-Time (°C-min) | α’ | α | β | A | B |
|---|---|---|---|---|---|
| 160-6 | 10.20% | 11.69% | 9.26% | 17.89% | 20.90% |
| 160-9 | 10.34% | 11.58% | 9.20% | 17.66% | 20.41% |
| 160-12 | 10.18% | 11.72% | 9.30% | 17.61% | 20.18% |
| 160-15 | 10.20% | 11.50% | 9.29% | 17.21% | 20.20% |
| 160-18 | 10.11% | 11.79% | 9.47% | 17.08% | 19.54% |
| 170-6 | 10.10% | 11.65% | 9.30% | 17.50% | 20.35% |
| 170-9 | 10.83% | 11.72% | 9.27% | 17.44% | 20.65% |
| 170-12 | 10.70% | 11.44% | 9.44% | 17.25% | 19.80% |
| 170-15 | 10.20% | 11.76% | 9.59% | 17.09% | 19.29% |
| 170-18 | 10.45% | 11.20% | 9.83% | 16.96% | 19.20% |
| 180-6 | 10.41% | 11.22% | 9.63% | 17.49% | 19.96% |
| 180-9 | 10.65% | 11.45% | 9.86% | 17.41% | 19.61% |
| 180-12 | 10.15% | 11.81% | 9.89% | 17.17% | 19.75% |
| 180-15 | 10.87% | 11.62% | 9.79% | 17.12% | 19.16% |
| 180-18 | 10.83% | 11.58% | 9.61% | 16.92% | 18.87% |
| 190-6 | 10.79% | 11.01% | 9.43% | 17.16% | 18.74% |
| 190-9 | 10.57% | 11.85% | 9.26% | 16.57% | 16.20% |
| 190-12 | 10.76% | 11.75% | 9.30% | 15.77% | 15.17% |
| 190-15 | 10.60% | 11.74% | 9.32% | 15.06% | 13.99% |
| 190-18 | 10.70% | 11.75% | 9.19% | 14.53% | 13.05% |
| 200-6 | 10.65% | 11.49% | 9.00% | 17.80% | 17.93% |
| 200-9 | 10.70% | 11.46% | 8.68% | 14.97% | 13.33% |
| 200-12 | 10.56% | 11.50% | 8.91% | 9.67% | 11.31% |
| 200-15 | 10.68% | 11.52% | 8.75% | 7.89% | 9.02% |
| 200-18 | 10.59% | 11.53% | 8.89% | 8.14% | 9.43% |
Disclaimer/Publisher’s Note: The statements, opinions and data contained in all publications are solely those of the individual author(s) and contributor(s) and not of MDPI and/or the editor(s). MDPI and/or the editor(s) disclaim responsibility for any injury to people or property resulting from any ideas, methods, instructions or products referred to in the content. |
© 2025 by the authors. Licensee MDPI, Basel, Switzerland. This article is an open access article distributed under the terms and conditions of the Creative Commons Attribution (CC BY) license (https://creativecommons.org/licenses/by/4.0/).
Share and Cite
Xie, X.; Li, M.; Diao, X.; Sun, S.; Wen, M.; Zhou, X.; Zhao, L.; Li, Y.; Lv, P.; Li, B.; et al. The Heat-Induced Gel–Sol Transition in Coated Tofu: A Study on Protein Conformation and Microstructural Changes. Gels 2025, 11, 237. https://doi.org/10.3390/gels11040237
Xie X, Li M, Diao X, Sun S, Wen M, Zhou X, Zhao L, Li Y, Lv P, Li B, et al. The Heat-Induced Gel–Sol Transition in Coated Tofu: A Study on Protein Conformation and Microstructural Changes. Gels. 2025; 11(4):237. https://doi.org/10.3390/gels11040237
Chicago/Turabian StyleXie, Xin, Meng Li, Xinrui Diao, Saihua Sun, Ming Wen, Xiaohu Zhou, Liangzhong Zhao, Yang Li, Ping Lv, Bin Li, and et al. 2025. "The Heat-Induced Gel–Sol Transition in Coated Tofu: A Study on Protein Conformation and Microstructural Changes" Gels 11, no. 4: 237. https://doi.org/10.3390/gels11040237
APA StyleXie, X., Li, M., Diao, X., Sun, S., Wen, M., Zhou, X., Zhao, L., Li, Y., Lv, P., Li, B., Shen, X., Huang, Z., Chen, H., & Zhang, K. (2025). The Heat-Induced Gel–Sol Transition in Coated Tofu: A Study on Protein Conformation and Microstructural Changes. Gels, 11(4), 237. https://doi.org/10.3390/gels11040237

