Endophytic Fungi Regulate HbNHX1 Expression and Ion Balance in Hordeum bogdanii under Alkaline Stress
Abstract
1. Introduction
2. Materials and Methods
2.1. Plant Materials and Culture Conditions
2.2. Stress Treatment
2.3. Determination of Ion Content
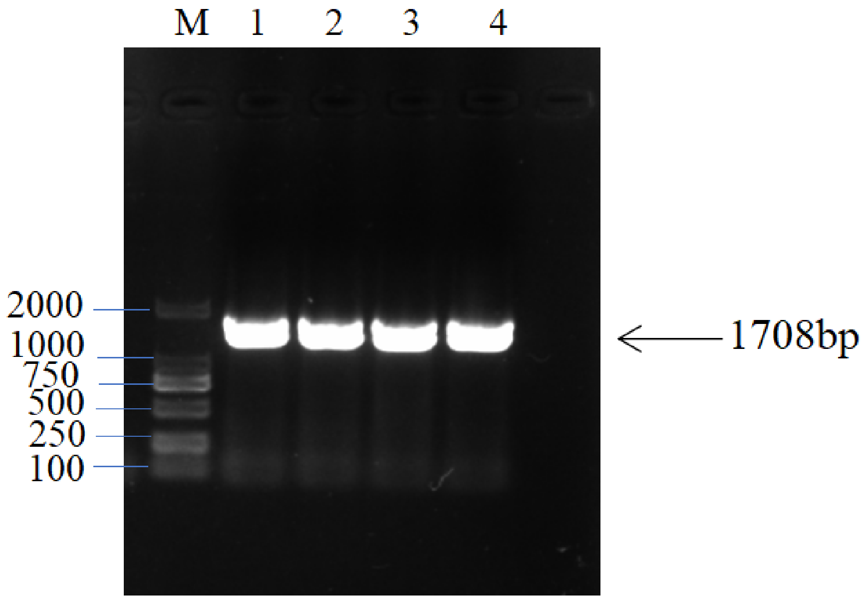
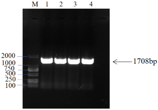
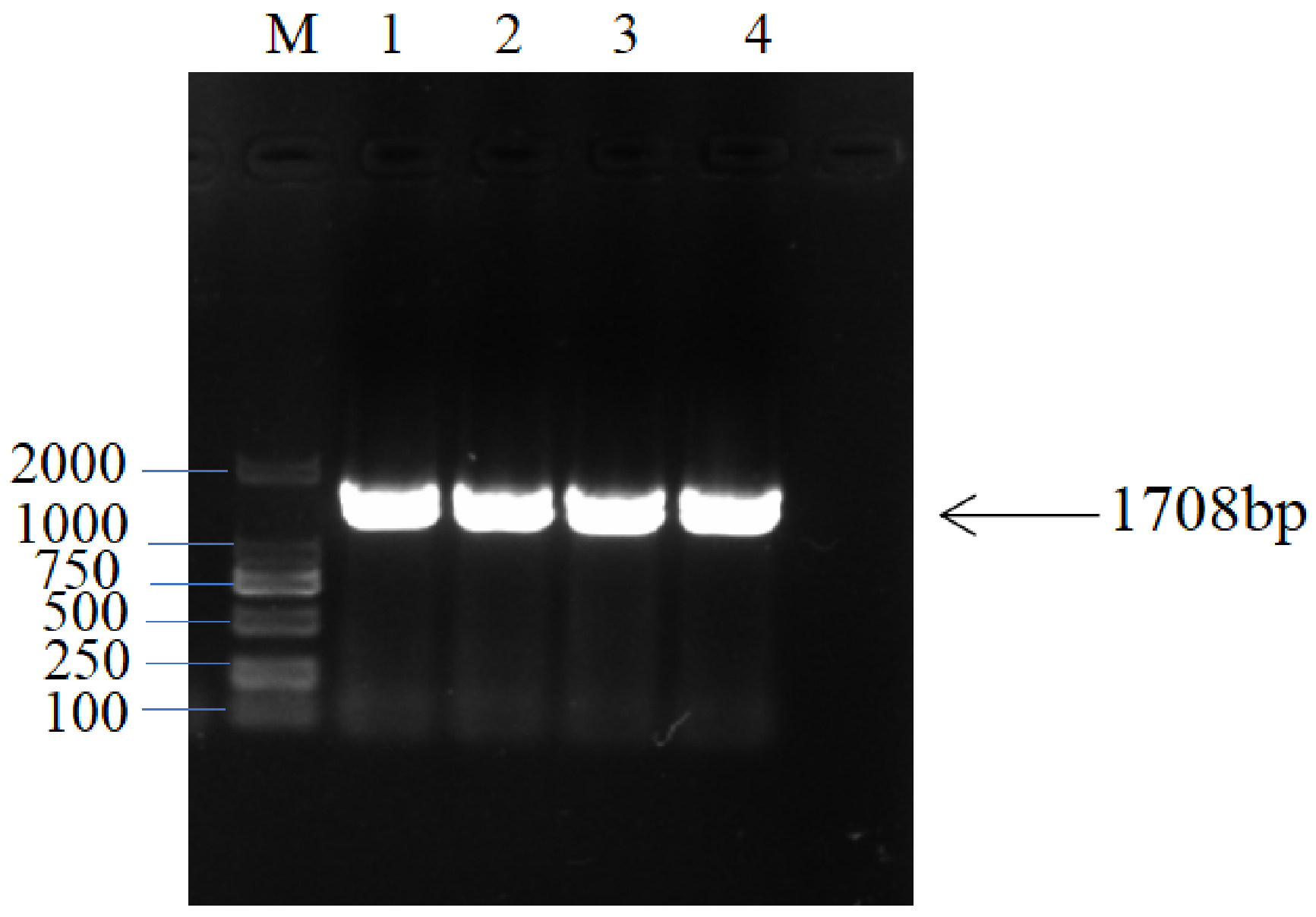
2.4. Cloning of HbNHX1 Gene
2.5. Expression Analysis of HbNHX1 Gene
2.6. Data Analysis
3. Results
3.1. Effect of Alkali Stress on Na+, K+ Content and K+/Na+ Ratio in E+, E− H. bogdanii
3.2. Effect of Alkali Stress on Cl−, SO42− and NO3− Content in E+, E− H. bogdanii
3.3. Cloning Results of HbNHX1 Gene in H. bogdanii
3.4. Bioinformatics Analysis of HbNHX1 Gene in H. bogdanii
3.5. Effect of Alkali Stress on HbNHX1 Gene Expression Level in Shoots and Roots of H. bogdanii
4. Discussion
4.1. Effect of Alkali Stress on Na+, K+ Content, and K+/Na+ Ratio in H. bogdanii
4.2. Effect of Alkali Stress on Cl−, SO42− and NO3− Content in H. bogdanii
4.3. Effect of Alkali Stress on HbNHX1 Expression in H. bogdanii Roots and Shoots
5. Conclusions
Author Contributions
Funding
Data Availability Statement
Acknowledgments
Conflicts of Interest
Appendix A
- HbNHX1 gene sequence and coding amino acid sequence
- Translation of >HbNHX1
- ATGGCGTTCGAAGTGGTGGCGGCGCAGCTGGAGCGGCTGAGCGGCGCGCTGGGCAC(1-1617)
- Total amino acid number: 538, MW=59196
- Max ORF starts at AA pos 1(may be DNA pos 1) for 538 AA(1614 bases), MW=59196
- 1 ATGGCGTTCGAAGTGGTGGCGGCGCAGCTGGAGCGGCTGAGCGGCGCGCTGGGCACCTCG
- 1 M A F E V V A A Q L E R L S G A L G T S
- 61 GACCACGCCTCCGTGGTCTCCATCAACCTCTTCGTCGCGCTGCTCTGCGCCTGCATCATC
- 21 D H A S V V S I N L F V A L L C A C I I
- 121 CTCGGCCACCTCCTCGAGGAGAACCGCTGGCTCAACGAGTCCATCACCGCCCTCATCATC
- 41 L G H L L E E N R W L N E S I T A L I I
- 181 GGGCTGTGCACCGGCGTGGTGATCCTGATGACCACCAAGGGGAAGAGCTCGCACGTGCTC
- 61 G L C T G V V I L M T T K G K S S H V L
- 241 GTCTTCAGCGAGGACCTCTTCTTCATTTACCTCCTGCCCCCCATCATCTTCAACGCCGGT
- 81 V F S E D L F F I Y L L P P I I F N A G
- 301 TTCCAGGTGAAGAAGAAGCAGTTCTTCCGGAATTTCATGACAATCACATTATTCGGCGCT
- 101 F Q V K K K Q F F R N F M T I T L F G A
- 361 GTCGGGACGATGATTTCGTTCTTCACAATATCTCTCGCTGCCATCGCAATATTCAGCAGG
- 121 V G T M I S F F T I S L A A I A I F S R
- 421 ATGAACATTGGGACACTGGATGTATCAGATTTTCTTGCAATTGGAGCCATCTTTTCCGCG
- 141 M N I G T L D V S D F L A I G A I F S A
- 481 ACAGATTCAGTCTGCACTTTGCAGGTTCTGAATCAGGATGAGACGCCCTTTTTGTACAGT
- 161 T D S V C T L Q V L N Q D E T P F L Y S
- 541 CTAGTGTTCGGGGAAGGTGTTGTGAACGACGCCACATCAGTCGTGCTTTTCAACGCGCTC
- 181 L V F G E G V V N D A T S V V L F N A L
- 601 CAGAACTTCGATCCTAACCAAATCGATGCAATCGTCATTCTGAAGTTTTTGGGGAACTTC
- 201 Q N F D P N Q I D A I V I L K F L G N F
- 661 TGCTACTTATTCGTGTCAAGCACCTTCCTTGGAGTGTTTACTGGATTGCTCAGTGCATTC
- 221 C Y L F V S S T F L G V F T G L L S A F
- 721 GTCATCAAGAAGTTATACATAGGAAGGCATTCTACTGACCGTGAGGTTGCACTTATGATG
- 241 V I K K L Y I G R H S T D R E V A L M M
- 781 CTCATGGCCTACCTCTCATATATGCTAGCTGAGCTGCTGGATTTGAGTGGCATCCTCACT
- 261 L M A Y L S Y M L A E L L D L S G I L T
- 841 GTATTTTTCTGTGGTATTGTGATGTCGCATTATACATGGCATAATGTCACAGAGAGCTCA
- 281 V F F C G I V M S H Y T W H N V T E S S
- 901 AGGGTTACAACAAAGCATGCGTTTGCAACCTTGTCCTTCATCGCCGAGACTTTTCTCTTC
- 301 R V T T K H A F A T L S F I A E T F L F
- 961 CTTTATGTTGGGATGGATGCACTAGATATTGAGAAGTGGAAATTTGCTAGTGACAGCCCT
- 321 L Y V G M D A L D I E K W K F A S D S P
- 1021 GGCAAATCCATCGGAATAAGCTCGATTTTGCTAGGATTGGTTCTGGTTGGGAGAGCTGCT
- 341 G K S I G I S S I L L G L V L V G R A A
- 1081 TTTGTCTTCCCGCTTTCGTTCTTATCCAACCTGACAAAGAAGACGGAGCTCGAAAAAATA
- 361 F V F P L S F L S N L T K K T E L E K I
- 1141 AGCTGGAGGCAGCAAGTCGTAATATGGTGGGCTGGGCTGATGAGAGGAGCTGTGTCGATC
- 381 S W R Q Q V V I W W A G L M R G A V S I
- 1201 GCTCTTGCTTACAATAAGTTTACAAGATCTGGTCACACACAGCTACACGGCAACGCGATA
- 401 A L A Y N K F T R S G H T Q L H G N A I
- 1261 ATGATCACCAGCACCATCACTGTCGTTCTGTTTAGCACTATGCTGTTTGGCATTTTGACA
- 421 M I T S T I T V V L F S T M L F G I L T
- 1321 AAGCCTCTGATCCGGTTCCTGCTGCCCATATCGAGCAATGCCGACCCCTCGGAGCCCTCG
- 441 K P L I R F L L P I S S N A D P S E P S
- 1381 TCACCGAAGTCCCTGCACTCTCCTCTCCTCACAAGCATGCTAGGCTCGGACATGGAGGCG
- 461 S P K S L H S P L L T S M L G S D M E A
- 1441 CCTCTCCCCATCGTCAGGCCCTCCAGCCTCCGGATGCTCATCACCAAGCCGACCCACACC
- 481 P L P I V R P S S L R M L I T K P T H T
- 1501 ATCCACTACTACTGGCGCAAGTTTGACGACGCGCTGATGCGCCCGATGTTCGGTGGGCGC
- 501 I H Y Y W R K F D D A L M R P M F G G R
- 1561 GGGTTCGTGCCCTTCTCCCCCGGATCACCCACCGATCCAAACGTAATCGTGGCATGA
- 521 G F V P F S P G S P T D P N V I V A *
References
- Zhu, J.K. Abiotic stress signaling and responses in plants. Cell 2016, 167, 313–324. [Google Scholar] [PubMed]
- Zhu, J.K. Salt and drought stress signal transduction in plants. Annu. Rev. Plant Biol. 2002, 53, 247–273. [Google Scholar] [CrossRef] [PubMed]
- Zhao, K.F.; Compiled, F.H. Halophytes and Their Adaptive Physiology to Saline Habitats; Science Press: Beijing, China, 2005; p. 297. ISBN 7-03-015662-5. [Google Scholar]
- Zhu, J.K. Plant salt tolerance. Trends Plant Sci. 2001, 6, 66–71. [Google Scholar] [PubMed]
- Munns, R.; Tester, M. Mechanisms of salinity tolerance. Annu. Rev. Plant Biol. 2008, 59, 651–681. [Google Scholar] [CrossRef] [PubMed]
- Yan, H.; Zhao, W.; Sheng, Y.M.; Shi, D.C.; Zhou, D. Effects of alkali-stress on Aneurolepidium Chinense and Helianthus annuus. Ying Yong Sheng Tai Xue Bao 2005, 16, 1497–1501. [Google Scholar]
- Yang, C.; Chong, J.; Li, C.; Kim, C.; Shi, D.; Wang, D. Osmotic adjustment and ion balance traits of an alkali resistant halophyte Kochia sieversiana during adaptation to salt and alkali conditions. Plant Soil 2007, 294, 263–276. [Google Scholar] [CrossRef]
- Shi, H.; Quintero, F.J.; Pardo, J.M.; Zhu, J. The putative plasma membrane Na+/H+ antiporter SOS1 controls long-distance Na+ transport in plants. Plant Cell 2002, 14, 465–477. [Google Scholar] [CrossRef]
- Kronzucker, H.J.; Britto, D.T. Sodium transport in plants: A critical review. New Phytol. 2011, 189, 54–81. [Google Scholar] [CrossRef]
- Fukuda, A.; Nakamura, A.; Hara, N.; Toki, S.; Tanaka, Y. Molecular and functional analyses of rice NHX-type Na+/H+ antiporter genes. Planta 2011, 233, 175–188. [Google Scholar] [CrossRef]
- Barragan, V.; Leidi, E.O.; Andres, Z.; Rubio, L.; De Luca, A.; Fernandez, J.A.; Cubero, B.; Pardo, J.M. Ion exchangers NHX1 and NHX2 mediate active potassium uptake into vacuoles to regulate cell turgor and stomatal function in Arabidopsis. Plant Cell 2012, 24, 1127–1142. [Google Scholar]
- Pérez-Martín, L.; Busoms, S.; Almira, M.J.; Azagury, N.; Terés, J.; Tolrà, R.; Poschenrieder, C.; Barcelo, J. Evolution of salt tolerance in Arabidopsis thaliana on siliceous soils does not confer tolerance to saline calcareous soils. Plant Soil 2022, 476, 455–475. [Google Scholar] [CrossRef]
- Rho, H.; Hsieh, M.; Kandel, S.L.; Cantillo, J.; Doty, S.L.; Kim, S. Do endophytes promote growth of host plants under stress? A meta-analysis on plant stress mitigation by endophytes. Microb. Ecol. 2018, 75, 407–418. [Google Scholar] [CrossRef]
- Molina-Montenegro, M.A.; Acuña-Rodríguez, I.S.; Torres-Díaz, C.; Gundel, P.E.; Dreyer, I. Antarctic root endophytes improve physiological performance and yield in crops under salt stress by enhanced energy production and Na+ sequestration. Sci. Rep. 2020, 10, 5819. [Google Scholar] [CrossRef]
- Schardl, C.L.; Leuchtmann, A.; Spiering, M.J. Symbioses of grasses with seedborne fungal endophytes. Annu. Rev. Plant Biol. 2004, 55, 315–340. [Google Scholar] [CrossRef]
- Ren, A.Z.; Gao, Y.B.; Zhang, J.; Zhang, J. Effect of endophyte infection on salt resistance of ryegrass. Acta Ecologica Sinica. 2006, 26, 1750–1757. [Google Scholar]
- Shi, C.; Huang, W.; Wang, C.L. Effects of endophytic fungi on salt tolerance of Elymus dahuricus. J. Xinjiang Agric. Univ. 2016, 4, 277–280. [Google Scholar]
- Leuchtmann, A.; Bacon, C.W.; Schardl, C.L.; White Jr, J.F.; Tadych, M. Nomenclatural realignment of Neotyphodium species with genus Epichloë. Mycologia 2014, 106, 202–215. [Google Scholar] [CrossRef]
- Malinowski, D.P.; Belesky, D.P. Adaptations of endophyte-infected cool-season grasses to environmental stresses: Mechanisms of drought and mineral stress tolerance. Crop Sci. 2000, 40, 923–940. [Google Scholar] [CrossRef]
- Ma, R.C.; Zhang, H.S.; Mu, L.T.; Song, S.J. Regional test of Hordeum Bogdanii. J. Xinjiang Agric. Univ. 1998, 21, 35–38. [Google Scholar]
- Chen, T.X. Physiological Mechanism of Epichloë Endophyte Infection to Enhance Salt Tolerance of Wild Barley. Ph.D. Thesis, Lanzhou University, Lanzhou, China, 2019. [Google Scholar]
- Zhang, E.H.; Yu, X.H.; Da, Y.Q.; Zhao, Y.P.; Wan, G.A.; Xu, Z.X. Classification, identification and biological and physiological characteristics of an endophytic fungus in Hordeum Bogdanii. Q. J. Anim. Husb. Vet. Med. 2021, 51, 1–7. [Google Scholar]
- Han, D.; Chen, S.H. Effects of diesel oil contaminated soil on reproductive growth of Hordeum Bogdanii. J. Tarim Univ. 2021, 33, 106–112. [Google Scholar]
- Wang, K.; Lin, L.D.; Long, F.; Chen, S.H. Effect of endophytic fungi on fiber and crude fat content of Hordeum bogdanii during seed setting under alkali stress. Heilongjiang Anim. Husb. Vet. 2022, 99–104. [Google Scholar]
- Wang, K.; Yang, B.Y.; Chen, S.H.; Xi, L.Q. Effects of endophytic fungi on photosynthetic performance and physiological characteristics of Hordeum bogdanii under alkali stress. Acta Agrestia Sin. 2022, 30, 362–369. [Google Scholar]
- Long, F.; Wang, K.; Zhu, Y.B.; Chen, S.H. Effects of Epichloë endophytic on the growth and physiology of Hordeum bogdanii under salt stress. Heilongjiang Anim. Husb. Vet. 2022, 13–17. [Google Scholar]
- Li, C.J.; Nan, Z.B.; Liu, Y.; Paul, V.H.; Peter, D. Methodology of Endophyte Detection of Drunken Horse Grass (Achnatherum inebrians). In Hangzhou Joint Annual Meeting of Chinese Society of Plant Diseases and Fungi; Editorial Department of Chinese Edible Fungi: Bejing, China, 2008; pp. 21–24. [Google Scholar]
- Matsushita, N.; Matoh, T.M. Characterization of Na+ exclusion mechanisms of salt-tolerant reed plants in comparison with salt-sensitive rice plants. Physiol. Plant. 1991, 83, 170–176. [Google Scholar] [CrossRef]
- Ma, Y.; Guo, L.Q.; Zhang, S.F.; Wang, X.P.; Shi, D.C. Solute accumulation and distribution traits of an alkali resistant forage plant kochia sieversiana and physiological contribution of organic acid under salt and alkali stresses. Acta Prataculturae Sin. 2013, 22, 193–200. [Google Scholar]
- Vinje, M.A.; Willis, D.K.; Duke, S.H.; Henson, C.A. Differential RNA expression of Bmy1 during barley seed development and the association with β-amylase accumulation, activity, and total protein. Plant Physiol. Biochem. 2011, 49, 39–45. [Google Scholar] [CrossRef]
- Fatehi, F.; Hosseinzadeh, A.; Alizadeh, H.; Brimavandi, T.; Struik, P.C. The proteome response of salt-resistant and salt-sensitive barley genotypes to long-term salinity stress. Mol. Biol. Rep. 2012, 39, 6387–6397. [Google Scholar] [CrossRef]
- Li, R.F.; Wang, X.Q.; Wang, H.Z. Adaptive mechanisms of salt tolerance in Hordeum brevisubulatum. Sci. Agric. Sin. 2006, 39, 2459–2466. [Google Scholar]
- Lee, K.; Missaoui, A.; Mahmud, K.; Presley, H.; Lonnee, M. Interaction between grasses and Epichloë endophytes and its significance to biotic and abiotic stress tolerance and the rhizosphere. Microorganisms 2021, 9, 2186. [Google Scholar] [CrossRef]
- Byregowda, R.; Prasad, S.R.; Oelmüller, R.; Nataraja, K.N.; Prasanna Kumar, M.K. Is endophytic colonization of host plants a method of alleviating drought stress? Conceptualizing the hidden world of endophytes. Int. J. Mol. Sci. 2022, 23, 9194. [Google Scholar] [CrossRef]
- Ma, M.; Christensen, M.J.; Nan, Z. Effects of the endophyte Epichloë festucae var. lolii of perennial ryegrass (Lolium perenne) on indicators of oxidative stress from pathogenic fungi during seed germination and seedling growth. Eur. J. Plant Pathol. 2015, 141, 571–583. [Google Scholar] [CrossRef]
- Siegel, M.R.; Johnson, M.C.; Varney, D.R.; Nesmith, W.C.; Buckner, R.C.; Bush, L.P.; Burrus, P.B.; Jones, T.A.; Boling, J.A. A fungal endophyte in tall fescue: Incidence and dissemination. Phytopathology 1984, 74, 932–937. [Google Scholar] [CrossRef]
- Song, M.L. Mechanisms of Salt Tolerance Improved by Epichloë Endophyte in Wild Barley. Ph.D. Thesis, Lanzhou University, Lanzhou, China, 2015. [Google Scholar]
- Chen, T.X.; Richard, J.; Chen, S.; Lv, H.; Zhou, J.; Li, C. Infection by the fungal endophyte Epichloë bromicola enhances the tolerance of wild barley (Hordeum brevisubulatum) to salt and alkali stresses. Plant Soil 2018, 428, 353–370. [Google Scholar] [CrossRef]
- Liu, L.; Nakamura, Y.; Taliman, N.A.; Sabagh, A.E.; Moghaieb, R.E.; Saneoka, H. Differences in the growth and physiological responses of the leaves of Peucedanum japonicum and Hordeum vulgare exposed to salinity. Agriculture 2020, 10, 317. [Google Scholar] [CrossRef]
- Blumwald, E. Sodium transport and salt tolerance in plants. Curr. Opin. Cell Biol. 2000, 12, 431–434. [Google Scholar] [CrossRef]
- Parida, A.K.; Das, A.B. Salt tolerance and salinity effects on plants: A review. Ecotoxicol. Environ. Saf. 2005, 60, 324–349. [Google Scholar] [CrossRef]
- Ghoulam, C.; Foursy, A.; Fares, K. Effects of salt stress on growth, inorganic ions and proline accumulation in relation to osmotic adjustment in five sugar beet cultivars. Environ. Exp. Bot. 2002, 47, 39–50. [Google Scholar] [CrossRef]
- Santa-Cruz, A.; Martinez-Rodriguez, M.M.; Perez-Alfocea, F.; Romero-Aranda, R.; Bolarin, M.C. The rootstock effect on the tomato salinity response depends on the shoot genotype. Plant Sci. 2002, 162, 825–831. [Google Scholar] [CrossRef]
- Sagi, M.; Dovrat, A.; Kipnis, T.; Lips, H. Ionic balance, biomass production, and organic nitrogen as affected by salinity and nitrogen source in annual ryegrass. J. Plant Nutr. 1997, 20, 1291–1316. [Google Scholar] [CrossRef]
- Graham, J.H.; Syvertsen, J.P. Influence of vesicular-arbuscular mycorrhiza on the hydraulic conductivity of roots of two citrus rootstocks. New Phytol. 1984, 97, 277–284. [Google Scholar] [CrossRef]
- Buwalda, J.G.; Stribley, D.P.; Tinker, P.B. Increased uptake of bromide and chloride by plants infected with vesicular-arbuscular mycorrhizas. New Phytol. 1983, 93, 217–225. [Google Scholar] [CrossRef]
- Yang, J.Y.; Zheng, W.; Tian, Y.; Wu, Y.; Zhou, D.W. Effects of various mixed salt-alkaline stresses on growth, photosynthesis, and photosynthetic pigment concentrations of Medicago ruthenica seedlings. Photosynthetica 2011, 49, 275–284. [Google Scholar] [CrossRef]
- Teakle, N.L.; Tyerman, S.D. Mechanisms of Cl-transport contributing to salt tolerance. Plant, Cell Environ. 2010, 33, 566–589. [Google Scholar] [CrossRef]
- Yang, C.; Shi, D.; Wang, D. Comparative effects of salt and alkali stresses on growth, osmotic adjustment and ionic balance of an alkali-resistant halophyte Suaeda glauca (Bge.). Plant Growth Regul. 2008, 56, 179–190. [Google Scholar] [CrossRef]
- Ding, X.; Tian, C.; Zhang, S.; Song, J.; Zhang, F.; Mi, G.; Feng, G. Effects of NO3−-N on the growth and salinity tolerance of Tamarix laxa Willd. Plant Soil 2010, 331, 57–67. [Google Scholar] [CrossRef]
- Santander, C.; Aroca, R.; Ruiz-Lozano, J.M.; Olave, J.; Cartes, P.; Borie, F.; Cornejo, P. Arbuscular mycorrhiza effects on plant performance under osmotic stress. Mycorrhiza 2017, 27, 639–657. [Google Scholar] [CrossRef]
- Khalid, M.; Hassani, D.; Liao, J.; Xiong, X.; Bilal, M.; Huang, D. An endosymbiont Piriformospora indica reduces adverse effects of salinity by regulating cation transporter genes, phytohormones, and antioxidants in Brassica campestris ssp. Chinensis. Environ. Exp. Bot. 2018, 153, 89–99. [Google Scholar] [CrossRef]
- Diao, F.W. Effects of Arbuscular Mycorrhizal Fungi on Salt Tolerance of Suaeda Salsa in Molecular Mechanism. Ph.D. Thesis, Inner Mongolia University, Hohhot, China, 2021. [Google Scholar]






| Gene | Primer Sequence | Reaction Procedure |
|---|---|---|
| HvHNX1 | 1F: GAAAAGAATAGAGGAGAATCCCGAC | The PCR conditions were 95 °C for 3 min, then 30 cycles of 94 °C for 30 s, 56.2 °C for 30 s, 72 °C for 90 s and a final extension at 72 °C for 10 min. |
| 1R: ACCATTACACCAATCCACTAGAAAG | ||
| 2F: ATGGCGTTCGAAGTGGTGGC | ||
| 2R: TCATGCCACGATTACGTTTGGA | ||
| HbNHX1 | F: CTGTGTCGATCGCTCTTGCT | The qPCR conditions were 95 °C for 3 min followed by 40 cycles at 95 °C for 10 s and 60 °C for 30 s. |
| R: CGGCATTGCTCGATATGGG | ||
| Actin | F: GGCATGGAGTCTTCTGGAATCC | |
| R: CCACCACTGAGCACTATGTTTC |
| Na+ | K+ | K+/Na+ | ||||||
|---|---|---|---|---|---|---|---|---|
| deal | df | F | p | F | p | F | p | |
| Shoot | E | 1 | 215.727 | <0.001 | 424.706 | <0.001 | 1043.191 | <0.001 |
| S | 2 | 4705.524 | <0.001 | 832.995 | <0.001 | 2069.798 | <0.001 | |
| E × S | 2 | 234.500 | <0.001 | 252.975 | <0.001 | 940.424 | <0.001 | |
| Root | E | 1 | 46.505 | <0.001 | 2.612 | <0.001 | 41.704 | <0.001 |
| S | 2 | 6256.824 | <0.001 | 987.561 | 0.123 | 6249.812 | <0.001 | |
| E × S | 2 | 28.093 | <0.010 | 57.777 | <0.001 | 101.181 | <0.001 | |
| Cl− | SO42− | NO3− | ||||||
|---|---|---|---|---|---|---|---|---|
| deal | df | F | p | F | p | F | p | |
| Shoot | E | 1 | 536.566 | <0.001 | 0.013 | 0.910 | 495.057 | <0.001 |
| S | 2 | 1741.801 | <0.001 | 183.331 | <0.001 | 1115.885 | <0.001 | |
| E × S | 2 | 568.100 | <0.001 | 1.190 | 0.338 | 1610.349 | <0.001 | |
| Root | E | 1 | 41.525 | <0.001 | 0.147 | 0.708 | 0.908 | 0.36 |
| S | 2 | 4.145 | 0.033 | 189.965 | <0.001 | 0.506 | 0.615 | |
| E × S | 2 | 10.504 | <0.001 | 281.279 | <0.001 | 0.236 | 0.793 | |
Disclaimer/Publisher’s Note: The statements, opinions and data contained in all publications are solely those of the individual author(s) and contributor(s) and not of MDPI and/or the editor(s). MDPI and/or the editor(s) disclaim responsibility for any injury to people or property resulting from any ideas, methods, instructions or products referred to in the content. |
© 2023 by the authors. Licensee MDPI, Basel, Switzerland. This article is an open access article distributed under the terms and conditions of the Creative Commons Attribution (CC BY) license (https://creativecommons.org/licenses/by/4.0/).
Share and Cite
Long, F.; Hu, M.-F.; Chen, S.; Bao, G.-S.; Dan, H.; Chen, S.-H. Endophytic Fungi Regulate HbNHX1 Expression and Ion Balance in Hordeum bogdanii under Alkaline Stress. J. Fungi 2023, 9, 331. https://doi.org/10.3390/jof9030331
Long F, Hu M-F, Chen S, Bao G-S, Dan H, Chen S-H. Endophytic Fungi Regulate HbNHX1 Expression and Ion Balance in Hordeum bogdanii under Alkaline Stress. Journal of Fungi. 2023; 9(3):331. https://doi.org/10.3390/jof9030331
Chicago/Turabian StyleLong, Feng, Meng-Fei Hu, Sheng Chen, Gen-Sheng Bao, Han Dan, and Shui-Hong Chen. 2023. "Endophytic Fungi Regulate HbNHX1 Expression and Ion Balance in Hordeum bogdanii under Alkaline Stress" Journal of Fungi 9, no. 3: 331. https://doi.org/10.3390/jof9030331
APA StyleLong, F., Hu, M.-F., Chen, S., Bao, G.-S., Dan, H., & Chen, S.-H. (2023). Endophytic Fungi Regulate HbNHX1 Expression and Ion Balance in Hordeum bogdanii under Alkaline Stress. Journal of Fungi, 9(3), 331. https://doi.org/10.3390/jof9030331

