Abnormalities of External Jugular Veins in Bulldogs with Pulmonary Valve Stenosis
Abstract
Simple Summary
Abstract
1. Introduction
2. Case Presentation
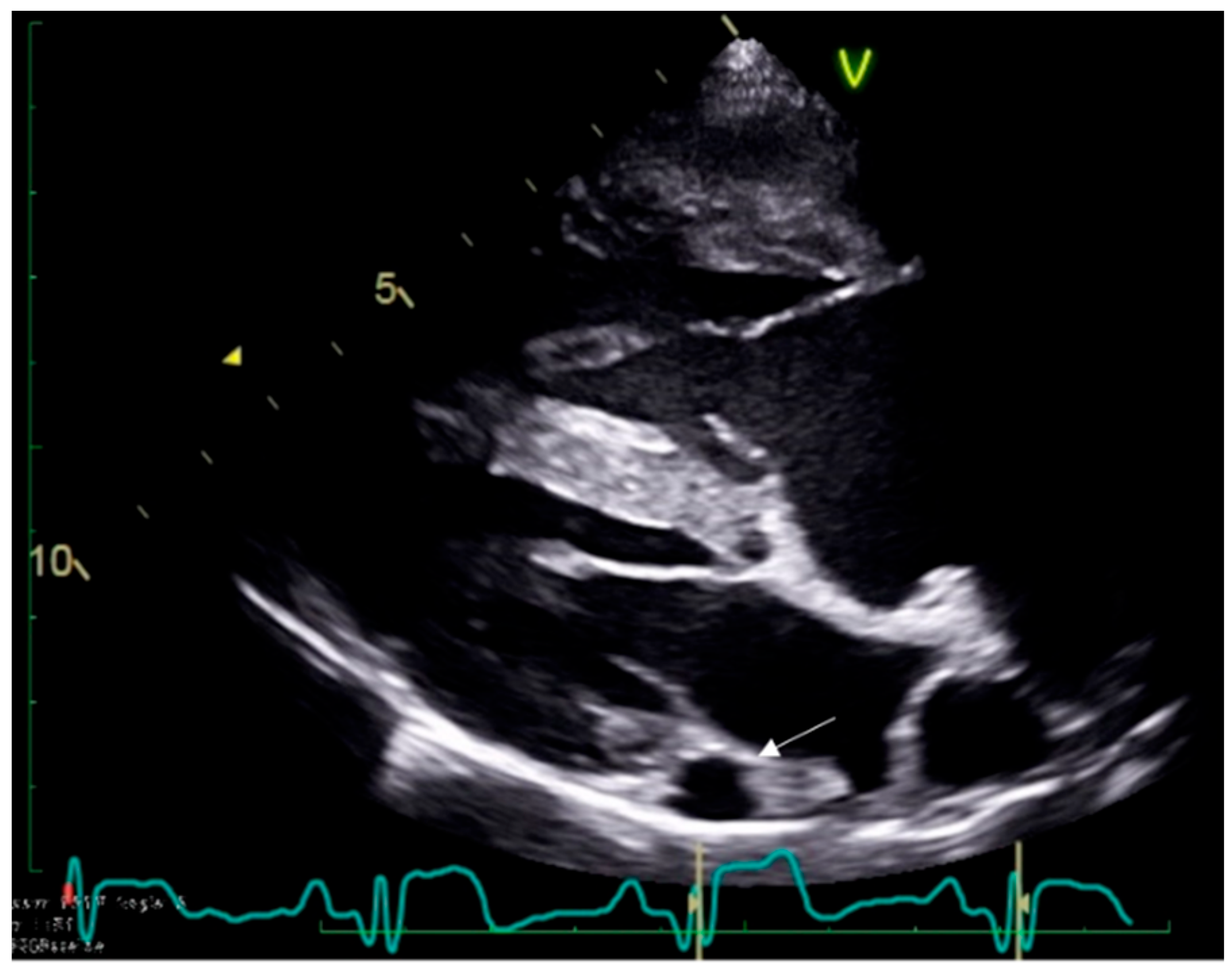
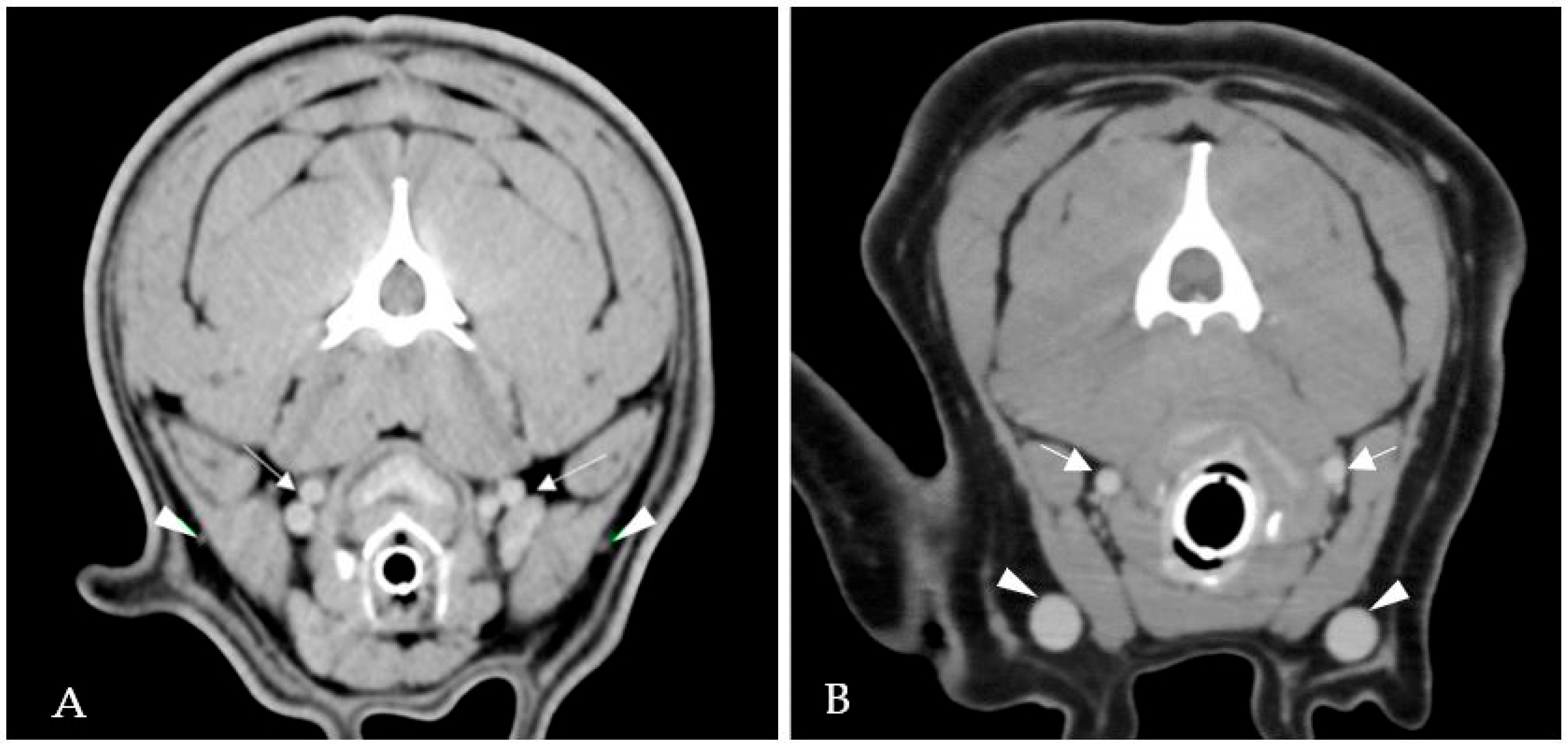
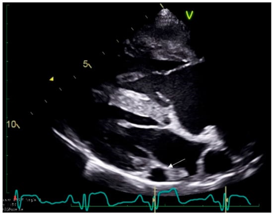
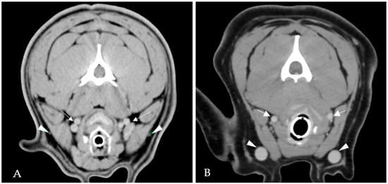
2.1. Case 1
2.2. Case 2
2.3. Case 3
3. Discussion
Author Contributions
Funding
Institutional Review Board Statement
Informed Consent Statement
Data Availability Statement
Conflicts of Interest
References
- Schrope, D.P. Prevalence of congenital heart disease in 76,301 mixed-breed dogs and 57,025 mixed-breed cats. J. Vet. Cardiol. 2015, 17, 192–202. [Google Scholar] [CrossRef] [PubMed]
- Chetboul, V.; Damoiseaux, C.; Poissonnier, C.; Lavennes, M.; Bertrand, S.; Borenstein, N.; Behr, L.; Pouchelon, J.L.; Gouni, V.; Desquilbet, L. Specific features and survival of French bulldogs with congenital pulmonic stenosis: A prospective cohort study of 66 cases. J. Vet. Cardiol. 2018, 20, 405–414. [Google Scholar] [CrossRef] [PubMed]
- Bussadori, C.; DeMadron, E.; Santilli, R.A.; Borgarelli, M. Balloon valvuloplasty in 30 dogs with pulmonic stenosis: Effect of valve morphology and annular size on initial and 1-year outcome. J. Vet. Intern. Med. 2001, 15, 553–558. [Google Scholar] [CrossRef] [PubMed]
- Andreis, M.E.; Panopoulos, I.; Domenech, O.; Lacava, G.; Rondelli, V.; Zini, E.; Auriemma, E. Novel coronary artery anomaly in a French bulldog with pulmonary stenosis. J. Vet. Cardiol. 2021, 35, 1–7. [Google Scholar] [CrossRef]
- Owens, E.J.; Scollan, K.F.; Pereyda, T.X.; LeBlanc, N.L. Single left coronary ostium with a prepulmonic right coronary artery course in a French bulldog with congenital pulmonary stenosis. J. Vet. Cardiol. 2021, 36, 1–5. [Google Scholar] [CrossRef]
- Waterman, M.I.; Abbott, J.A. Novel coronary artery anomaly in an English Bulldog with pulmonic stenosis. J. Vet. Intern. Med. 2013, 27, 1256–1259. [Google Scholar] [CrossRef]
- Buchannan, J.W. Pulmonic stenosis caused by single coronary artery in dogs: Four cases (1965–1984). J. Am. Vet. Med. Assoc. 1990, 1, 115–120. [Google Scholar]
- Visser, L.C. Single left coronary ostium and an anomalous prepulmonic right coronary artery in 2 dogs with congenital pulmonary valve stenosis. J. Vet. Cardiol. 2013, 15, 161–169. [Google Scholar] [CrossRef]
- Laborda-Vidal, P.; Pedro, B.; Baker, M.; Gelzer, A.R.; Dukes-McEwan, J.; Maddox, T.W. Use of ECG-gated computed tomography, echocardiography and selective angiography in five dogs with pulmonic stenosis and one dog with pulmonic stenosis and aberrant coronary arteries. J. Vet. Cardiol. 2016, 18, 418–426. [Google Scholar] [CrossRef]
- Johnson, M.S.; Martin, M. Results of balloon valvuloplasty in 40 dogs with pulmonic stenosis. J. Small. Anim. Pract. 2004, 45, 148–153. [Google Scholar] [CrossRef]
- Buchanan, J.W. Persistent Left Cranial Vena Cava in Dogs: Angiocardiography, Significance, and Coexisting Anomalies. Vet. Radiol. 1963, 4, 1–8. [Google Scholar] [CrossRef]
- Belanger, C.; Gunther-Harrington, C.T.; Nishimura, S.; Oldach, M.S.; Fousse, S.L.; Visser, L.C.; Stern, J.A. High-pressure balloon valvuloplasty for severe pulmonary valve stenosis: A prospective observational pilot study in 25 dogs. J. Vet. Cardiol. 2018, 20, 115–122. [Google Scholar] [CrossRef] [PubMed]
- Schrope, D.P. Balloon Valvuloplasty of valvular pulmonic stenosis in the dog. Clin. Tech. Small. Anim. Pract. 2005, 20, 182–195. [Google Scholar] [CrossRef] [PubMed]
- Chapel, E.H.; Scansen, B.A. Unilateral absence of an external jugular vein in two English bulldogs with pulmonary valve stenosis. J. Vet. Cardiol. 2017, 19, 190–195. [Google Scholar] [CrossRef]
- Bezuidenhout, A.J. Veins. In Miller’s Anatomy of the Dog; Evans, H.E., de Lahunta, A., Eds.; Elsevier Saunders: St. Louis, MO, USA, 2013; pp. 505–534. [Google Scholar]
- Mulliken, J.; Glowacki, J. Hemangiomas and vascular malformations in infants and children: A classification based on endothelial characteristics. Plast. Reconstr. Surg. 1982, 69, 412–422. [Google Scholar] [CrossRef]
- Bertha, A.; Suganthy, R. Anatomical Variations In Termination Of Common Facial Vein. J. Clin. Diagn. Res. 2011, 5, 24–27. [Google Scholar]
- Beijerink, N.J.; Oyama, M.A.; Bonagura, J.D. Congenital heart disease. In Textbook of Veterinary Internal Medicine, 8th ed.; Ettinger, S.J., Feldman, E.C., Cotè, E., Eds.; Elsevier: Amsterdam, The Netherlands, 2016; Section XVI, Chapter 250; Volume 2, pp. 2952–3032. [Google Scholar]
- Loose, D.A.; Mattassi, R.E. Hamburg Classification: Vascular Malformation. In Congenital Vascular Malformations; Kim, Y.W., Lee, B.B., Yakes, W., Do, Y.S., Eds.; Springer: Berlin/Heidelberg, Germany, 2017. [Google Scholar]
- Lee, B.B.; Baumgartner, I.; Berlien, P.; Bianchini, G.; Burrows, P.; Gloviczki, P.; Huang, Y.; Laredo, J.; Loose, D.A.; Markovic, J.; et al. International Union of Phlebology. Diagnosis and Treatment of Venous Malformations. Consensus Document of the International Union of Phlebology (IUP): Updated 2013. Int. Angiol. 2015, 34, 97–149. [Google Scholar]
- Bertolini, G.; Zotti, A. Imaging diagnosis: Absence of the left external and both internal jugular veins in a cat. Vet. Radiol. Ultrasound. 2006, 47, 468–469. [Google Scholar] [CrossRef]
- Abhinitha, P.; Rao, M.K.G.; Kumar, N.; Nayak, S.B.; Ravindra, S.S.; Aithal, P.A. Absence of the external jugular vein and an abnormal drainage pattern in the veins of the neck. OA Anat. 2013, 1, 15. [Google Scholar]
- Chauhan, N.K.; Rani, A.; Chopra, J.; Rani, A.; Srivastava, A.K.; Kumar, V. Anomalous formation of external jugular vein and its clinical implication. Natl. J. Maxillofac. Surg. 2011, 2, 51–53. [Google Scholar]
- Kayiran, O.; Calli, C.; Emre, A.; Soy, F.K. Congenital agenesis of the internal jugular vein: An extremely rare anomaly. Case Rep. Surg. 2015, 2015, 637067. [Google Scholar] [CrossRef] [PubMed][Green Version]
- Miller, B.R. Absence of a right internal jugular vein detected by ultrasound imaging. Paediatr. Anaesth. 2011, 21, 91. [Google Scholar] [CrossRef] [PubMed]
- Alagöz, A.; Tunç, M.; Sazak, H.; Pehlivanoglu, P.; Gökçek, A.; Ulus, F. Absence of the right internal jugular vein during ultrasound guided cannulation. Truk. J. Anesthesiol. Reanim. 2015, 43, 212–214. [Google Scholar] [CrossRef][Green Version]
- Cunningham, S.; Rush, J. Transvenous pacemaker placement in a dog with atrioventricular block and persistent left cranial vena cava. J. Vet. Cardiol. 2007, 9, 129–134. [Google Scholar] [CrossRef] [PubMed]
- James, T.N.; Marshall, T.K.; Edwards, J.E. Cardiac electrical instability in the presence of a left superior vena cava. Circulation 1976, 54, 689–697. [Google Scholar] [CrossRef] [PubMed]




Publisher’s Note: MDPI stays neutral with regard to jurisdictional claims in published maps and institutional affiliations. |
© 2022 by the authors. Licensee MDPI, Basel, Switzerland. This article is an open access article distributed under the terms and conditions of the Creative Commons Attribution (CC BY) license (https://creativecommons.org/licenses/by/4.0/).
Share and Cite
Croce, M.; Vezzosi, T.; Marchesotti, F.; Patata, V.; Bini, M.; Lacava, G.; Venco, L.; Domenech, O. Abnormalities of External Jugular Veins in Bulldogs with Pulmonary Valve Stenosis. Vet. Sci. 2022, 9, 359. https://doi.org/10.3390/vetsci9070359
Croce M, Vezzosi T, Marchesotti F, Patata V, Bini M, Lacava G, Venco L, Domenech O. Abnormalities of External Jugular Veins in Bulldogs with Pulmonary Valve Stenosis. Veterinary Sciences. 2022; 9(7):359. https://doi.org/10.3390/vetsci9070359
Chicago/Turabian StyleCroce, Marta, Tommaso Vezzosi, Federica Marchesotti, Valentina Patata, Martina Bini, Giuseppe Lacava, Luigi Venco, and Oriol Domenech. 2022. "Abnormalities of External Jugular Veins in Bulldogs with Pulmonary Valve Stenosis" Veterinary Sciences 9, no. 7: 359. https://doi.org/10.3390/vetsci9070359
APA StyleCroce, M., Vezzosi, T., Marchesotti, F., Patata, V., Bini, M., Lacava, G., Venco, L., & Domenech, O. (2022). Abnormalities of External Jugular Veins in Bulldogs with Pulmonary Valve Stenosis. Veterinary Sciences, 9(7), 359. https://doi.org/10.3390/vetsci9070359

