Histomorphology and Chemical Constituents of Interdigital Gland of Vembur Sheep, Ovis aries
Abstract
Simple Summary
Abstract
1. Introduction
2. Materials and Methods
2.1. Study Animals
2.2. Source of the Interdigital Gland
2.3. Morphometric Examinations
2.4. Histological Study
2.5. SEM Analysis
2.6. Sample Preparation for GC-MS Analysis
2.7. Identification of Volatile Compounds by GC-MS
2.8. Statistical Analysis
3. Results
3.1. Anatomical Features
3.2. Morphometric Data
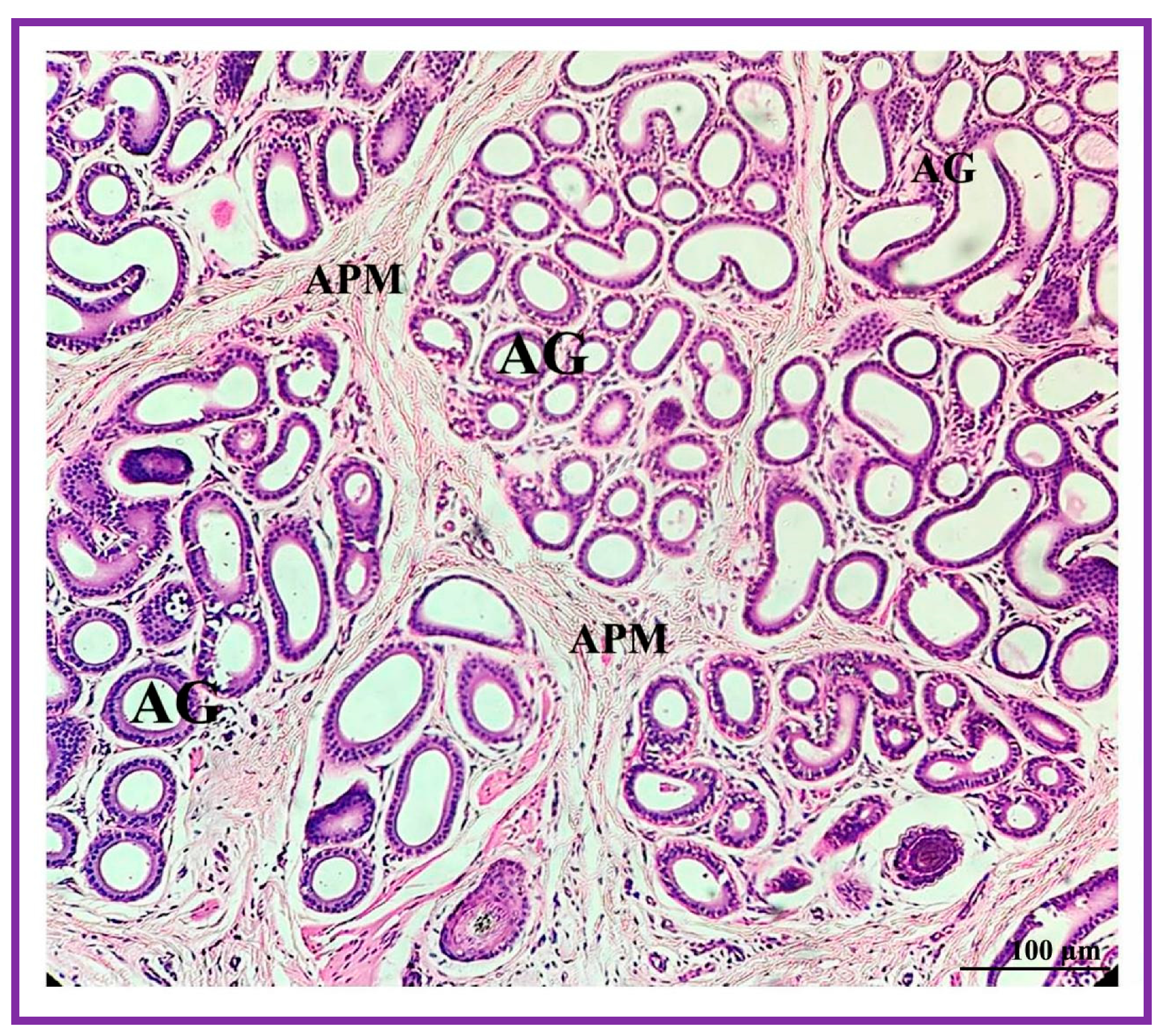
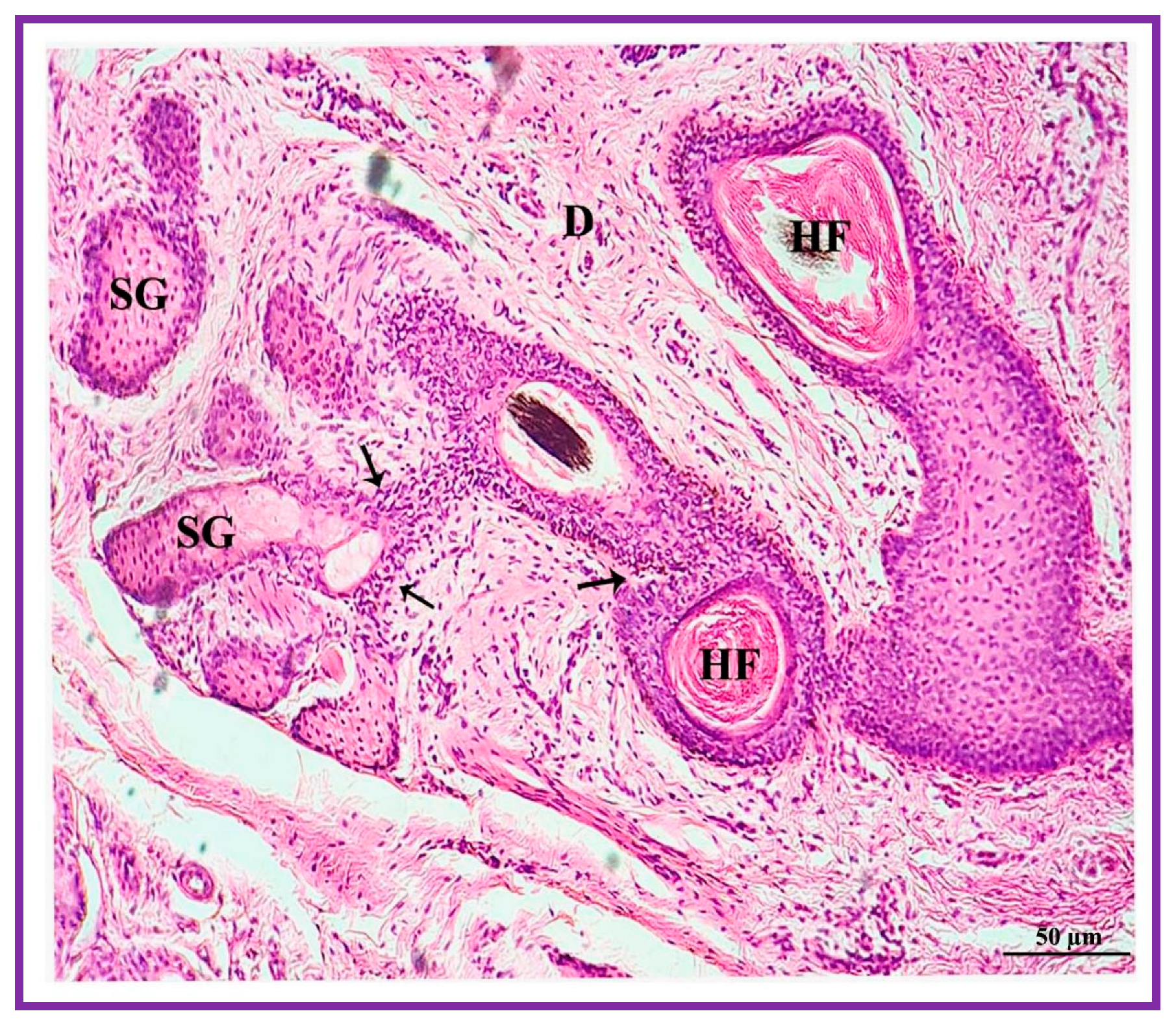
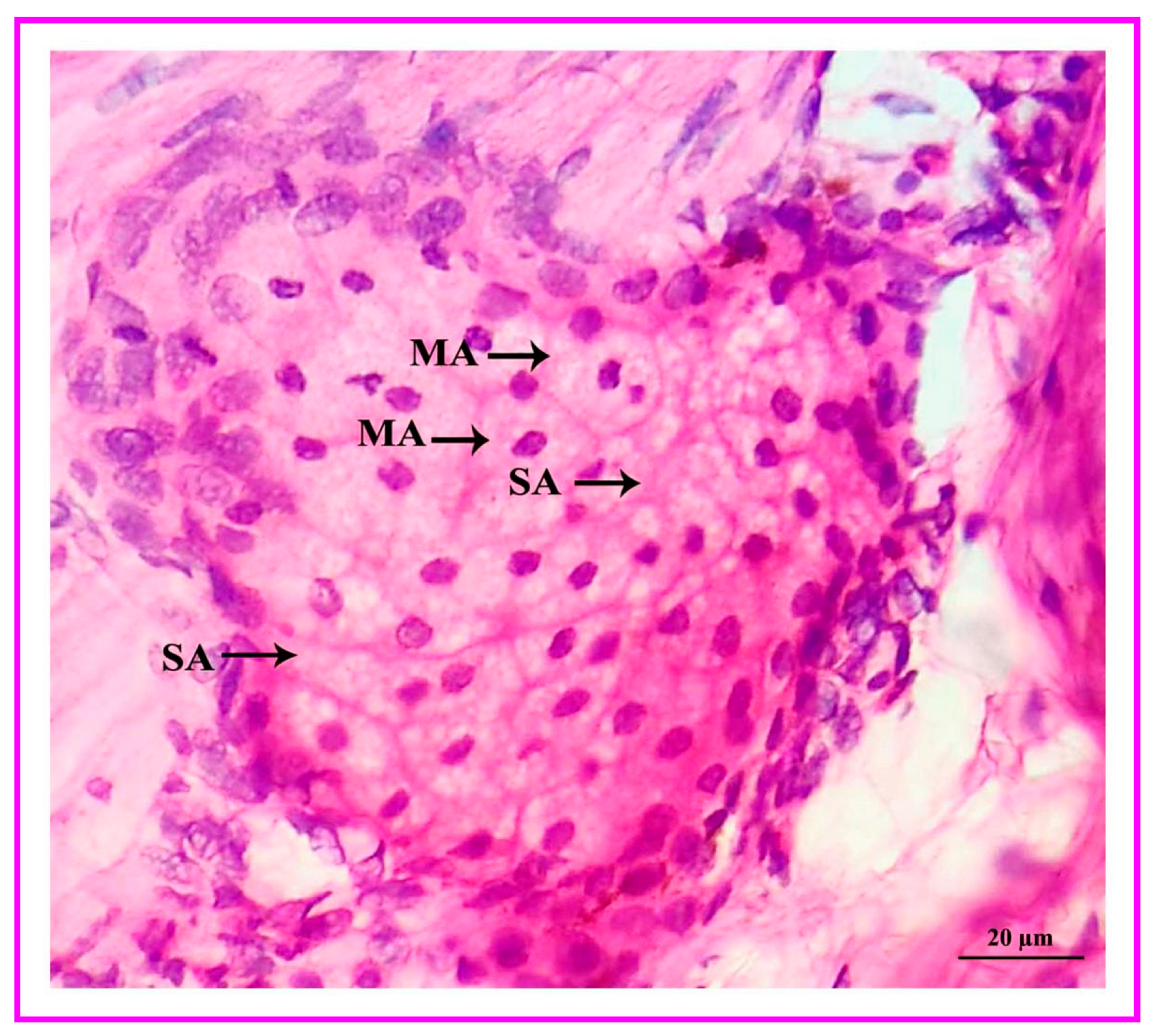
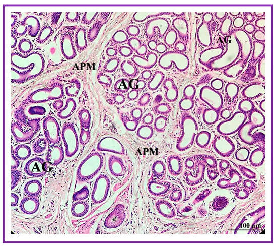
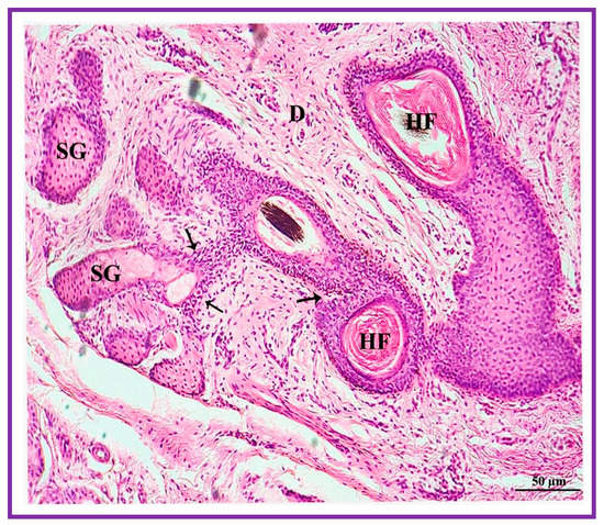
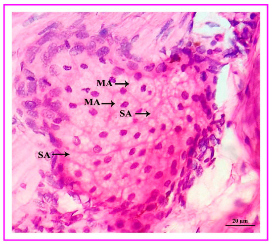
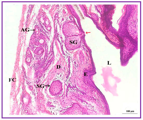
3.3. Histological Features
3.4. Density and Diameter of Apocrine and Sebaceous Lobules
3.5. SEM Analysis of Interdigital Gland
3.6. GC-MS Profiles of Interdigital Glandular Post
4. Discussion
5. Conclusions
Author Contributions
Funding
Institutional Review Board Statement
Informed Consent Statement
Data Availability Statement
Acknowledgments
Conflicts of Interest
References
- Ganesakale, D.; Rathnasabapathy, V. Sheep breeds of Tamil Nadu. Cheiron 1973, 2, 146–155. [Google Scholar]
- Acharya, R.M. Sheep and Goat Breeds of India; FAO Animal Production and Health: Rome, Italy, 1982; Volume 30, p. 190. [Google Scholar]
- Selvakumar, R.; Sivakumar, T.; Meenakshi Sundaram, T.; Thilak Pon Jawahar, K.; Thamil Vanan, T. Reproductive performance of Vembur sheep in its home tract. Indian J. Anim. Health 2019, 58, 111–114. [Google Scholar] [CrossRef]
- Arora, R.; Bhatia, S. Genetic structure of Muzzafarnagri sheep based on microsatellite analysis. Small Rumin. Res. 2004, 54, 227–230. [Google Scholar] [CrossRef]
- Albone, E.S. Mammalian Semiochemistry: The Investigation of Chemical Signals between Mammals; John Wiley and Sons: Chichester, UK, 1984. [Google Scholar]
- Abbasi, M.; Gharzi, A.; Mohammadzadeh, S.; Karimi, H. Morphology and histology of the Interdigital gland in an Iranian native breed of sheep. J. Anim. Vet. Adv. 2009, 8, 1157–1161. [Google Scholar]
- Aslan, K.; Kürtül, I.; Nazli, M.; Ateş, S. Morphologic features of the interdigital sinus of the Tuj sheep. Kafkas Univ. Vet. Fak. Derg. 2010, 16, 623–626. [Google Scholar]
- Süzer, B.; Akkoç, C.G.Ö.; Arican, İ.; Yildiz, H. Morphological and immunohistochemical features of interdigital sinus in Kivircik sheep. Kafkas Uni. Vet. Fak. Derg. 2016, 22, 69–73. [Google Scholar]
- Mainoya, J.R. Histological aspects of the preorbital and interdigital glands of the red duiker (Cephalophus natalensis). Afr. J. Wildl. Res. 1978, 16, 265–272. [Google Scholar]
- Meyer, P.K.W. Zur funktionellen morphologie des Sinus interdigitalis beim Reh (Capreolus capreolus L, 1758). Z. Jagdwiss. 1988, 34, 12–21. [Google Scholar]
- Atoji, Y.; Suzuki, Y.; Sugimura, M. Lectin histochemistry of the interdigital gland in the Japanese serow (Capricornis crispus) in winter. J. Anat. 1988, 161, 159–170. [Google Scholar]
- Uğurlu, S. The studies on light microscopic structure of the sinus interdigitalis of sheep. J. Fac. Vet. Med. İstanbul Univ. 1991, 17, 1–7. [Google Scholar]
- Mahalakshmi, S. Studies on Histomorphology and Chemical Constituents in Interdigital Gland of South Indian Breeds of Vembur Sheep. Master’s Thesis, Madurai Kamaraj University, Madurai, Tamil Nadu, India, 2022. [Google Scholar]
- Bacha, W.J.; Bacha, L.M. Color Atlas of Veterinary Histology; Wiley-Blackwell: Ames, IA, USA; Hoboken, NJ, USA, 2012. [Google Scholar]
- Dyce, K.M.; Sack, W.O.; Wensing, C.J.G. Textbook of Veterinary Anatomy, 4th ed.; W.B. Saunders: Philadelphia, PA, USA, 2010. [Google Scholar]
- Avdic, R.; Katica, A.; Mlaco, N.; Softic, A.; Tandir, F.; Cengic, B.; Bejdic, P.; Cutahija, V.; Hadziomerovic, N. Morphological characteristics of interdigital diverticulum (Sinus cutaneus interdigitalis) of Dubska Pramenka. Biotechnol. Anim. Husb. 2013, 29, 441–448. [Google Scholar] [CrossRef]
- Jaber, A.A.; Mazeg, S.M. Elevated temperature predisposes to impacted oil gland in sheep. Int. J. Adv. Eng. Res. Sci. 2020, 7, 87–89. [Google Scholar] [CrossRef]
- Kara, H.; Gedikli, S.; Ozudogru, Z.; Ozdemir, D.; Balkaya, H. A Morphological morphometerical and histological investigation of the Interdigital Gland in Hasmer and Hasak Sheep. Folia Morphol. 2020, 79, 742–747. [Google Scholar] [CrossRef] [PubMed]
- Ozudoguru, Z.; Ugun, R.; Ozdemir, D. A Morphological and histological investigation of the Sinus Interdigitalis in Konya Merino sheep. Turkish J. Agric. Food Sci. Technol. 2021, 9, 1509–1513. [Google Scholar] [CrossRef]
- Dalga, S.; İlhan Aksu, S.; Aslan, K.; Deprem, T.; Uğran, R.; Bayram, R. Morphological, morphometrical and histological Structure of the İnterdigital gland in Norduz Sheep. Kafkas Univ. Vet. Fak. Derg. 2021, 27, 749–754. [Google Scholar]
- Calislar, T. Sinus interdigitalis’in morfolojik özellikleri. Ankara Uni. Vet. Fak. Derg. 1971, 18, 38–40. [Google Scholar]
- Bahadir, A.; Yakişik, M. Yerli kıl keçisinde sinus interdigitalis’in (Sinus biflexe) morfolojisi. Uludag Uni. Vet. Fak. Derg. 1988, 7, 87–92. [Google Scholar]
- Ahmad, N.S.; Mohammad Alhaaik, A.G.; Sultan, G.H.A. Morphometrical study of the interdigital gland in Awasi sheep (Ovis aries) and local black goat (Caprus hircus). Al-Anbar J. Vet. Sci. 2012, 5, 13–27. [Google Scholar]
- Janicki, Z.; Hraste, A.; Slavica, A.; Konjevic, D.; Marinovic, Z.; Stubiean, D. Morphohistological characteristics of the interdigital gland in the roebuck (Capreolus capreolus L.). Vet. Arh. 2003, 73, 27e37. [Google Scholar]
- Andersson, G.; Brundin, A.; Andersson, K. Volatile compounds from the interdigital gland of reindeer (Rangifer t. tarandus L.). J. Chem. Ecol. 1979, 5, 321–333. [Google Scholar] [CrossRef]
- Wood, W.F.; Shaffer, T.B.; Kubo, A. Volatile ketones from interdigital glands of black-tailed deer, Odocoileus hemionus columbianus. J. Chem. Ecol. 1995, 21, 1401–1408. [Google Scholar] [CrossRef] [PubMed]
- Wood, W.F. Volatile compounds in interdigital glands of sable antelope and wildebeest. Biochem. Syst. Ecol. 1998, 26, 367–369. [Google Scholar] [CrossRef]
- Burger, B.V.; Nell, A.E.; Spies, H.S.C.; Le Roux, M.; Bigalke, R.C.; Brand, P.A.J. Mammalian Exocrine Secretions. XII: Constituents of Interdigital Secretions of Bontebok, Damaliscus dorcas dorcas, and Blesbok, D. d. phillipsi. J. Chem. Ecol. 1999, 25, 2057–2084. [Google Scholar] [CrossRef]
- Wood, W.F. 2-Methylcarboxylic acids in the interdigital glands of whitetail deer, Odocoileus virginianus dacotensis. Biochem. Syst. Ecol. 1999, 27, 93–95. [Google Scholar] [CrossRef]
- Wood, W.F. Antibacterial compounds in the interdigital glands of pronghorn, Antilocapra americana. Biochem. Syst. Ecol. 2001, 29, 417–419. [Google Scholar] [CrossRef]
- Haffner, M. The size of sebaceous glands in relation to the size of the hair follicles on the heads of small mammals (Insectivora, Chiroptera, Rodentia). Ann. Anat. 1998, 180, 165–171. [Google Scholar] [CrossRef]
- Demiraslan, Y.; Akbulut, Y.; Deprem, T.; Karadag Sari, E.; Aslan, K. Morphological and morphometrical characteristics of the interdigital gland in Kivircik sheep. Turkish J. Vet. Anim. Sci. 2014, 38, 485–489. [Google Scholar] [CrossRef]
- Yilmaz, B.; Yilmaz, R.; Demircioğlu, I.; Arican, I. Morphological and histological structure of the interdigital gland in Awassi sheep (Ovis aries). Turkish J. Vet. Anim. Sci. 2017, 41, 380–386. [Google Scholar] [CrossRef]
- Rajagopal, T.; Archunan, G. Histomorphology of preorbital gland in territorial and non-territorial male blackbuck, Antelope cervicapra L., a critically endangered species. Biologia 2011, 66, 370–378. [Google Scholar] [CrossRef]
- Awaad, A.S.; Tawfiek, M.G.; Moawad, U.K.; Abdel Razek, A.H.; Abedellaah, B.A. Morphohistological and surgical anatomy of the sinus interdigitalis in Egyptian native breeds of sheep. Beni-Suef Univ. J. Basic Appl. Sci. 2015, 4, 157–166. [Google Scholar] [CrossRef][Green Version]
- Ponmanickam, P.; Muniasamy, S.; Rajagopal, T.; Rengarajan, R.L.; Archunan, G. Identification of GABAβ receptor protein and farnesol in the preputial gland of bandicoot rat (Bandicota indica). Adv. Zool. Bot. 2016, 4, 37–45. [Google Scholar] [CrossRef]
- Rajagopal, T.; Ramya Vaideki, G.; Saibaba, G.; Ponmanikam, P.; Achiraman, S.; Rajanarayanan, S.; Akbarsha, M.A.; Archunan, G. Histomorphological perspetives of preputial and clitoral glands of soft-furred field rat Millardia meltada. Acta Biol. Szeged. 2020, 64, 181–189. [Google Scholar] [CrossRef]
- Rajagopal, T.; Ponmanickam, P.; Chinnathambi, A.; Padmanabhan, P.; Gulyas, G.; Archunan, G. Inter-relationship of behavior, faecal testosterone levels and glandular volatiles in determination of dominance in male blackbuck. Indian J. Exp. Biol. 2018, 56, 781–794. [Google Scholar]
- Zhang, J.X.; Sun, L.; Zhang, J.H.; Feng, Z.Y. Sex- and gonad affecting scent compounds and 3 male pheromones in the rat. Chem. Senses 2008, 33, 611. [Google Scholar] [CrossRef]
- McKinney, T.D.; Desjardins, C. Postnatal development of the testis, fighting behavior and fertility in house mice. Biol. Reprod. 1973, 9, 279–294. [Google Scholar] [CrossRef]
- Moawad, U.K. Morphological, histochemical and morphometric studies of the preorbital gland of adult male and female Egyptian native breeds of sheep (Ovis aries). Asian J. Anim. Vet. Adv. 2016, 11, 771–782. [Google Scholar] [CrossRef][Green Version]
- Richter, J. Unterschungen an antorbitaldrusen von Madaqua (Bovidae; Mammalia). Z. Saugetierkd 1971, 36, 334–342. [Google Scholar]
- Atoji, Y.; Yamamoto, Y.; Suziki, Y. Morphology of the interdigital glands of a formosan serow (Capricornis crispus swinhoei). J. Vet. Med. Sci. 1995, 57, 963–964. [Google Scholar] [CrossRef][Green Version]
- Robertshaw, D. Apocrine sweat glands. In Biochemistry and Physiology of the Skin; Goldsmith, L.A., Ed.; Oxford University Press: New York, NY, USA, 1983; pp. 642–653. [Google Scholar]
- Yasui, T.; Tsukise, A.; Habata, I.; Nara, T.; Meyer, W. Histochemistry of complex carbohydrates in the ceruminous glands of the goat. Arch. Dermatol. Res. 2004, 296, 12–20. [Google Scholar] [CrossRef]
- Atoji, Y.; Suzuki, Y. Apocrine gland of the infraorbital gland of the Japanese serow. Acta Morphol. Neerl. Scan. 1990, 25, 201–213. [Google Scholar]
- Atoji, Y.; Sugimura, M.; Suzuki, Y. Ulex europaeus agglutinin I binding in the apocrine glands of the interdigital gland and skin in the Japanese serow Capricornis crispus. Jpn. J. Vet. Res. 1989, 51, 194–196. [Google Scholar] [CrossRef] [PubMed]
- Rameshkumar, K.; Archunan, G.; Jeyaraman, R.; Narasimhan, S. Chemical characterization of bovine urine with special reference to oestrus. Vet. Res. Commun. 2000, 24, 445–454. [Google Scholar] [CrossRef] [PubMed]
- Achiraman, S.; Archunan, G. 1-iodo-2-methyl undecane, a putative estrus-specific urinary chemo-signals of female mouse (Mus musculus). Theriogenology 2006, 66, 1913–1920. [Google Scholar] [CrossRef] [PubMed]
- Soini, H.A.; Bruce, K.E.; Wiesler, D.; David, F.; Sandra, P.; Novotny, M.V. Stir bar sorptive extraction: A new quantitative and comprehensive sampling technique for determination of chemical signal profiles from biological media. J. Chem. Ecol. 2005, 31, 377–392. [Google Scholar] [CrossRef] [PubMed]
- Burger, B.V.; Nell, A.E.; Spies, H.S.C.; Le Roux, M.; Bigalke, R.C. Mammalian exocrine secretions. XII. Constituents of preorbital gland secretions of bontebok, Damaliscus dorcas dorcas and blesbok, D. d. phillipis. J. Chem. Ecol. 1999, 25, 2085–2097. [Google Scholar] [CrossRef]
- Kubo, I.; Muroi, H.; Kubo, A. Structural functions of antimicrobial long-chain alcohols and phenols. Bioorg. Med. Chem. 1995, 3, 873–880. [Google Scholar] [CrossRef]
- Hattori, M.; Miyachi, K.; Hada, S.; Kakiuchi, N.; Kiuchi, F.; Tsuda, Y.; Namba, T. Effects of long-chain fatty acids and fatty alcohols on the growth of Streptococcus mutans. Chem. Pharm. Bull. 1987, 35, 3507–3510. [Google Scholar] [CrossRef]













| Compound Name | Molecular Weight | Molecular Formula | Nature of Compound | Male | Female | ||
|---|---|---|---|---|---|---|---|
| Peak No. | % Peak Area | Peak No. | % Peak Area | ||||
| Butanoic acid | 88 | C4H8O2 | Carboxylic acid | 1 | 12.06 | - | - |
| 2-Methylpropanoic acid | 88 | C4H8O2 | Carboxylic acid | 2 | 1.06 | - | - |
| Octane | 114 | C8H18 | Alkane | - | - | 3 | 0.42 |
| 1-Heptanol | 116 | C7H16O | Alcohol | 4 | 0.91 | - | - |
| Decane | 142 | C10H22 | Alkane | 5 | 2.47 | 5 | 0.48 |
| 7-Hexyl- tridecane | 172 | C10H20O2 | Alkane | - | - | 6 | 0.27 |
| Tetradecane | 198 | C14H30 | Alkane | - | - | 7 | 0.22 |
| Dodecane | 170 | C12H26 | Alkane | 8 | 0.85 | 8 | 1.32 |
| Pentadecane | 212 | C15H32 | Alkane | 9 | 3.45 | 9 | 5.00 |
| 2-Bromo-dodecane | 249 | C12H25Br | Alkane | 10 | 9.64 | 10 | 11.02 |
| Tetradecanol | 214 | C14H30O | Alcohol | 11 | 14.16 | 11 | 15.91 |
| Tetradecanoic acid | 228 | C14H28O2 | Carboxylic acid | 12 | 14.44 | 12 | 14.22 |
| Hexadecanol | 242 | C16H34O | Alcohol | 13 | 10.89 | 13 | 11.64 |
| Heptadecane | 240 | C17H36 | Alkane | - | - | 14 | 7.51 |
| Octadecanoic acid | 284 | C18H36O2 | Carboxylic acid | 15 | 6.12 | - | - |
| Decanoic acid | 268 | C19H40 | Carboxylic acid | - | - | 16 | 0.91 |
| Eicosane | 282 | C20H42 | Alkane | 17 | 4.11 | 17 | 5.13 |
| 1-Chloro-octadecane | 288 | C18H37Cl | Alkane | 18 | 3.82 | 18 | 3.79 |
| Heneicosane | 296 | C20H44 | Alkane | 19 | 2.04 | 19 | 2.65 |
| Docosane | 310 | C22H46 | Alkane | 20 | 8.31 | 20 | 1.48 |
| 2-Cyclohexyl-eicosane | 364 | C26H52 | Alkane | 21 | 1.08 | 21 | 1.33 |
| 5-Butyl-docosane | 366 | C26H54 | Alkane | 22 | 0.94 | 22 | 0.83 |
| Cholesterol | 386 | C27H46O | Steroid | 23 | 1.67 | 23 | 0.21 |
Publisher’s Note: MDPI stays neutral with regard to jurisdictional claims in published maps and institutional affiliations. |
© 2022 by the authors. Licensee MDPI, Basel, Switzerland. This article is an open access article distributed under the terms and conditions of the Creative Commons Attribution (CC BY) license (https://creativecommons.org/licenses/by/4.0/).
Share and Cite
Rajagopal, T.; Mahalakshmi, S.; Gayathri, T.R.; Muruganantham, N.; Muthukatturaja, M.; Rajesh, D.; Rameshkumar, K.; Ponmanickam, P.; Akbarsha, M.A.; Archunan, G. Histomorphology and Chemical Constituents of Interdigital Gland of Vembur Sheep, Ovis aries. Vet. Sci. 2022, 9, 647. https://doi.org/10.3390/vetsci9110647
Rajagopal T, Mahalakshmi S, Gayathri TR, Muruganantham N, Muthukatturaja M, Rajesh D, Rameshkumar K, Ponmanickam P, Akbarsha MA, Archunan G. Histomorphology and Chemical Constituents of Interdigital Gland of Vembur Sheep, Ovis aries. Veterinary Sciences. 2022; 9(11):647. https://doi.org/10.3390/vetsci9110647
Chicago/Turabian StyleRajagopal, Thangavel, Selvam Mahalakshmi, Thirukonda Ravindhran Gayathri, Naganathan Muruganantham, Marimuthu Muthukatturaja, Durairaj Rajesh, Kamatchi Rameshkumar, Ponnirul Ponmanickam, Mohammad Abdulkader Akbarsha, and Govindaraju Archunan. 2022. "Histomorphology and Chemical Constituents of Interdigital Gland of Vembur Sheep, Ovis aries" Veterinary Sciences 9, no. 11: 647. https://doi.org/10.3390/vetsci9110647
APA StyleRajagopal, T., Mahalakshmi, S., Gayathri, T. R., Muruganantham, N., Muthukatturaja, M., Rajesh, D., Rameshkumar, K., Ponmanickam, P., Akbarsha, M. A., & Archunan, G. (2022). Histomorphology and Chemical Constituents of Interdigital Gland of Vembur Sheep, Ovis aries. Veterinary Sciences, 9(11), 647. https://doi.org/10.3390/vetsci9110647

