Minimal Invasive Piezoelectric Osteotomy in Neurosurgery: Technic, Applications, and Clinical Outcomes of a Retrospective Case Series
Abstract
1. Introduction
2. Materials and Methods
3. Results
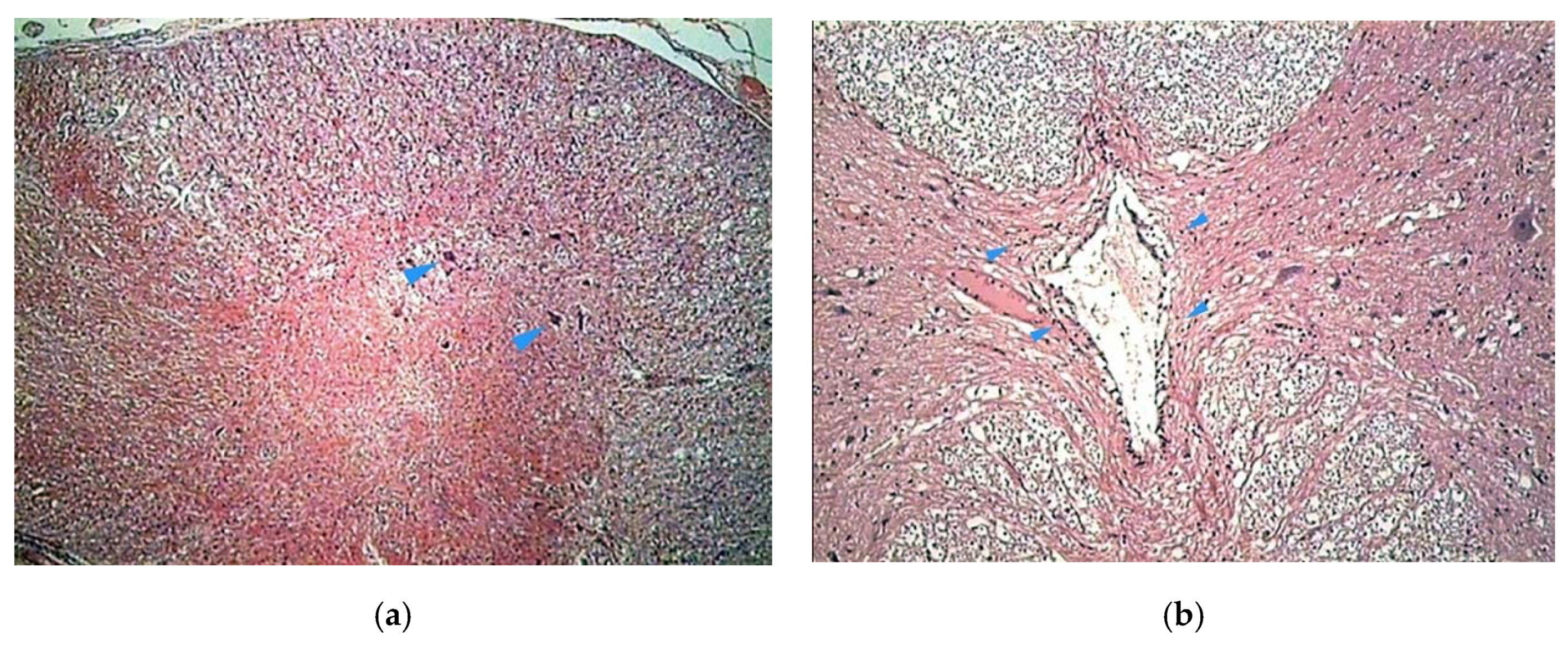
3.1. Illustrative Cases
3.1.1. Case N° 1
3.1.2. Case N° 2
3.1.3. Case N° 3
3.1.4. Case N° 4
3.1.5. Case N° 5
4. Discussion
5. Conclusions
Author Contributions
Funding
Acknowledgments
Conflicts of Interest
References
- Eggers, G.; Klein, J.; Blank, J.; Hassfeld, S. Piezosurgery: An ultrasound device for cutting bone and its use and limitations in maxillofacial surgery. Br. J. Oral Maxillofac. Surg. 2004, 42, 451–453. [Google Scholar] [CrossRef] [PubMed]
- Salami, A.; Mora, R.; Mora, F.; Guastini, L.; Salzano, F.A.; Dellepiane, M. Learning curve for Piezosurgery in well-trained otological surgeons. Otolaryngol. Head Neck Surg. 2010, 142, 120–125. [Google Scholar] [CrossRef] [PubMed]
- Vercellotti, T.; Pollack, A.S. A new bone surgery device: Sinus grafting and periodontal surgery. Compend. Contin. Educ. Dent. 2006, 27, 319–325. [Google Scholar] [PubMed]
- Tepedino, M.; Romano, F.; Indolfi, M.; Aimetti, M. Heat Production and Drill Wear Following Osseous Resective Surgery: A Preliminary in Vitro SEM Study Comparing Piezosurgery and Conventional Drilling. Int. J. Periodontics Restor. Dent. 2018, 38, e33–e40. [Google Scholar] [CrossRef]
- Delgado-Ruiz, R.A.; Sacks, D.; Palermo, A.; Calvo-Guirado, J.L.; Perez-Albacete, C.; Romanos, G.E. Temperature and time variations during osteotomies perforMed. with different piezosurgical devices: An in vitro study. Clin. Oral Implants Res. 2016, 27, 1137–1143. [Google Scholar] [CrossRef]
- Vercellotti, T.; Palermo, A.; Molfetta, L. The Piezoelectric Osteotomy in Orthopaedics: Clinical and Histological Evaluations (Pilot Study in Animals). Mediterr. J. Surg. Med. 2001, 9, 89–95. [Google Scholar]
- Farrell, M.; Solano, M.A.; Fitzpatrick, N.; Jovanovik, J. Use of an ex vivo canine ventral slot model to test the efficacy of a piezoelectric cutting tool for decompressive spinal surgery. Vet. Surg. 2013, 42, 832–839. [Google Scholar] [CrossRef]
- Hennet, P. Piezoelectric Bone Surgery: A Review of the Literature and Potential Applications in Veterinary Oromaxillofacial Surgery. Front. Vet. Sci. 2015, 2, 8. [Google Scholar] [CrossRef]
- Bengazi, F.; Lang, N.P.; Canciani, E.; Viganò, P.; Velez, J.U.; Botticelli, D. Osseointegration of implants with dendrimers surface characteristics installed conventionally or with Piezosurgery®. A comparative study in the dog. Clin. Oral Implants Res. 2014, 25, 10–15. [Google Scholar] [CrossRef]
- Gyo, K.; Sato, H.; Yumoto, E.; Yanagihara, N. Assessment of stapes mobility by use of a newly developed piezoelectric ceramic device. A preliminary experiment in dogs. Ann. Otol. Rhinol. Laryngol. 2000, 109, 473–477. [Google Scholar] [CrossRef]
- Stoll, H.P.; Kopper, B.; Ziegler, M.; Oberhausen, E. Nuclear medicine assessment of renal function in beagles before and after extracorporeal percutaneous lithotripsy with a piezoelectric instrument system. Urol. A 1987, 26, 222–228. [Google Scholar]
- Harder, S.; Wolfart, S.; Mehl, C.; Kern, M. Performance of ultrasonic devices for bone surgery and associated intraosseous temperature development. Int. J. Oral Maxillofac. Implants 2009, 24, 484–490. [Google Scholar] [PubMed]
- Vercellotti, T.; De Paoli, S.; Nevins, M. The piezoelectric bony window osteotomy and sinus membrane elevation: Introduction of a new technique for simplification of the sinus augmentation procedure. Int. J. Periodontics Restor. Dent. 2001, 21, 561–567. [Google Scholar]
- Crosetti, E.; Battiston, B.; Succo, G. Piezosurgery in head and neck oncological and reconstructive surgery: Personal experience on 127 cases. Acta OtorhinoLaryngol. Ital. 2009, 29, 1–9. [Google Scholar]
- Schlee, M.; Steigmann, M.; Bratu, E.; Garg, A.K. Piezosurgery: Basics and possibilities. Implant Dent. 2006, 15, 334–340. [Google Scholar] [CrossRef]
- d’Agostino, M.C.; Craig, K.; Tibalt, E.; Respizzi, S. Shock wave as biological therapeutic tool: From mechanical stimulation to recovery and healing, through mechanotransduction. Int. J. Surg. 2015, 24, 147–153. [Google Scholar] [CrossRef]
- Brennen, C.E. Cavitation and Bubble Dynamics; Oxford University Press: New York, NY, USA, 1995. [Google Scholar]
- Vercellotti, T. Technological characteristics and clinical indications of piezoelectric bone surgery. Minerva Stomatol. 2004, 53, 207–214. [Google Scholar]
- Katzir, S. The Discovery of the Piezoelectric Effect. Granul. Matter 2003, 57, 61–91. [Google Scholar] [CrossRef]
- Fugito, K., Jr.; Cortes, A.R.; de Carvalho Destro, R.; Yoshimoto, M. Comparative Study on the Cutting Effectiveness and Heat Generation of Rotary Instruments versus Piezoelectric Surgery Tips Using Scanning Electron Microscopy and Thermal Analysis. Int. J. Oral Maxillofac. Implants 2018, 33, 345–350. [Google Scholar] [CrossRef]
- Pavlikova, G.; Foltan, R.; Burian, M.; Horka, E.; Adamek, S.; Hejcl, A.; Hanzelka, T.; Sedy, J. Piezosurgery prevents brain tissue damage: An experimental study on a new rat model. Int. J. Oral Maxillofac. Surg. 2011, 40, 840–844. [Google Scholar] [CrossRef]
- Schaller, B.J.; Gruber, R.; Merten, H.A.; Kruschat, T.; Schliephake, H.; Buchfelder, M.; Ludwig, H.C. Piezoelectric bone surgery: A revolutionary technique for minimally invasive surgery in cranial base and spinal surgery? Technical note. Neurosurgery 2005, 57, E410. [Google Scholar] [CrossRef] [PubMed]
- Raysi Dehcordi, S.; Ricci, A.; Di Vitantonio, H.; De Paulis, D.; Luzzi, S.; Palumbo, P.; Cinque, B.; Tempesta, D.; Coletti, G.; Cipolloni, G.; et al. Stemness Marker Detection in the Periphery of Glioblastoma and Ability of Glioblastoma to Generate Glioma Stem Cells: Clinical Correlations. World NeuroSurg. 2017, 105, 895–905. [Google Scholar] [CrossRef] [PubMed]
- Cheng, C.Y.; Shetty, R.; Sekhar, L.N. Microsurgical Resection of a Large Intraventricular Trigonal Tumor: 3-Dimensional Operative Video. Oper. NeuroSurg. 2018, 15, E92–E93. [Google Scholar] [CrossRef] [PubMed]
- Luzzi, S.; Crovace, A.M.; Lacitignola, L.; Valentini, V.; Francioso, E.; Rossi, G.; Invernici, G.; Galzio, R.J.; Crovace, A. Engraftment, neuroglial transdifferentiation and behavioral recovery after complete spinal cord transection in rats. Surg. Neurol. Int. 2018, 9, 19. [Google Scholar] [CrossRef]
- Palumbo, P.; Lombardi, F.; Siragusa, G.; Dehcordi, S.R.; Luzzi, S.; Cimini, A.; Cifone, M.G.; Cinque, B. Involvement of NOS2 Activity on Human Glioma Cell Growth, Clonogenic Potential, and Neurosphere Generation. Int. J. Mol. Sci. 2018, 19, 2801. [Google Scholar] [CrossRef]
- Zoia, C.; Bongetta, D.; Guerrini, F.; Alicino, C.; Cattalani, A.; Bianchini, S.; Galzio, R.J.; Luzzi, S. Outcome of elderly patients undergoing intracranial meningioma resection: A single center experience. J. NeuroSurg. Sci. 2018. [Google Scholar] [CrossRef]
- Bellantoni, G.; Guerrini, F.; Del Maestro, M.; Galzio, R.; Luzzi, S. Simple schwannomatosis or an incomplete Coffin-Siris? Report of a particular case. eNeurologicalSci. 2019, 14, 31–33. [Google Scholar] [CrossRef]
- Luzzi, S.; Crovace, A.M.; Del Maestro, M.; Giotta Lucifero, A.; Elbabaa, S.K.; Cinque, B.; Palumbo, P.; Lombardi, F.; Cimini, A.; Cifone, M.G.; et al. The cell-based approach in neurosurgery: Ongoing trends and future perspectives. Heliyon 2019, 5, e02818. [Google Scholar] [CrossRef]
- Luzzi, S.; Elia, A.; Del Maestro, M.; Elbabaa, S.K.; Carnevale, S.; Guerrini, F.; Caulo, M.; Morbini, P.; Galzio, R. Dysembryoplastic Neuroepithelial Tumors: What You Need to Know. World NeuroSurg. 2019, 127, 255–265. [Google Scholar] [CrossRef]
- Luzzi, S.; Giotta Lucifero, A.; Del Maestro, M.; Marfia, G.; Navone, S.E.; Baldoncini, M.; Nunez, M.; Campero, A.; Elbabaa, S.K.; Galzio, R. Anterolateral Approach for Retrostyloid Superior Parapharyngeal Space Schwannomas Involving the Jugular Foramen Area: A 20-Year Experience. World NeuroSurg. 2019, 132, e40–e52. [Google Scholar] [CrossRef]
- Palumbo, P.; Lombardi, F.; Augello, F.R.; Giusti, I.; Luzzi, S.; Dolo, V.; Cifone, M.G.; Cinque, B. NOS2 inhibitor 1400W Induces Autophagic Flux and Influences Extracellular Vesicle Profile in Human Glioblastoma U87MG Cell Line. Int. J. Mol. Sci. 2019, 20, 3010. [Google Scholar] [CrossRef] [PubMed]
- Spena, G.; Roca, E.; Guerrini, F.; Panciani, P.P.; Stanzani, L.; Salmaggi, A.; Luzzi, S.; Fontanella, M. Risk factors for intraoperative stimulation-related seizuRes. during awake surgery: An analysis of 109 consecutive patients. J. Neurooncol. 2019, 145, 295–300. [Google Scholar] [CrossRef] [PubMed]
- Antonosante, A.; Brandolini, L.; d’Angelo, M.; Benedetti, E.; Castelli, V.; Maestro, M.D.; Luzzi, S.; Giordano, A.; Cimini, A.; Allegretti, M. Autocrine CXCL8-depenDent. invasiveness triggers modulation of actin cytoskeletal network and cell dynamics. Aging 2020, 12, 1928–1951. [Google Scholar] [CrossRef] [PubMed]
- Campanella, R.; Guarnaccia, L.; Cordiglieri, C.; Trombetta, E.; Caroli, M.; Carrabba, G.; La Verde, N.; Rampini, P.; Gaudino, C.; Costa, A.; et al. Tumor-Educated Platelets and Angiogenesis in Glioblastoma: Another Brick in the Wall for Novel Prognostic and Targetable Biomarkers, Changing the Vision from a Localized Tumor to a Systemic Pathology. Cells 2020, 9, 294. [Google Scholar] [CrossRef]
- Zoia, C.; Lombardi, F.; Fiore, M.R.; Montalbetti, A.; Iannalfi, A.; Sansone, M.; Bongetta, D.; Valvo, F.; Del Maestro, M.; Luzzi, S.; et al. Sacral solitary fibrous tumour: Surgery and hadrontherapy, a combined treatment strategy. Rep. Pract. Oncol. Radiother. 2020, 25, 241–244. [Google Scholar] [CrossRef]
- Bolm-Audorff, U.; Brandenburg, S.; Brüning, T.; Dupuis, H.; Ellegast, R.; Elsner, G.; Franz, K.; Grasshoff, H.; Grosser, V.; Hanisch, L.; et al. Medizinische Beurteilungskriterien zu bandscheibenbedingten Berufskrankheiten der Lendenwirbelsäule (I). Trauma Berufskrankh. 2005, 7, 211–252. [Google Scholar] [CrossRef]
- Gonzalez-Garcia, A.; Diniz-Freitas, M.; Somoza-Martin, M.; Garcia-Garcia, A. Ultrasonic osteotomy in oral surgery and implantology. Oral Surg. Oral Med. Oral Pathol. Oral Radiol. Endod. 2009, 108, 360–367. [Google Scholar] [CrossRef]
- Labanca, M.; Azzola, F.; Vinci, R.; Rodella, L.F. Piezoelectric surgery: Twenty years of use. Br. J. Oral Maxillofac. Surg. 2008, 46, 265–269. [Google Scholar] [CrossRef]
- Vercellotti, T.; Nevins, M.L.; Kim, D.M.; Nevins, M.; Wada, K.; Schenk, R.K.; Fiorellini, J.P. Osseous response following resective therapy with piezosurgery. Int. J. Periodontics Restor. Dent. 2005, 25, 543–549. [Google Scholar]
- Thomas, M.; Akula, U.; Ealla, K.K.; Gajjada, N. Piezosurgery: A Boon for Modern Periodontics. J. Int. Soc. Prev. Community Dent. 2017, 7, 1–7. [Google Scholar] [CrossRef]
- Agarwal, E.; Masamatti, S.S.; Kumar, A. Escalating role of piezosurgery in dental therapeutics. J. Clin. Diagn. Res. 2014, 8, Ze08–Ze11. [Google Scholar] [CrossRef] [PubMed]
- Aimetti, M.; Ferrarotti, F.; Bergandi, L.; Saksing, L.; Parducci, F.; Romano, F. Increase in Periodontal Interleukin-1beta Gene Expression Following Osseous Resective Surgery Using Conventional Rotary Instruments Compared with Piezosurgery: A Split-Mouth Randomized Clinical Trial. Int. J. Periodontics Restor. Dent. 2016, 36, 489–496. [Google Scholar] [CrossRef] [PubMed]
- Salami, A.; Mora, R.; Dellepiane, M.; Crippa, B.; Santomauro, V.; Guastini, L. Piezosurgery versus microdrill in intact canal wall mastoidectomy. Eur. Arch. OtorhinoLaryngol. 2010, 267, 1705–1711. [Google Scholar] [CrossRef] [PubMed]
- Salami, A.; Vercellotti, T.; Mora, R.; Dellepiane, M. Piezoelectric bone surgery in otologic surgery. Otolaryngol. Head Neck Surg. 2007, 136, 484–485. [Google Scholar] [CrossRef] [PubMed]
- Stelzle, F.; Frenkel, C.; Riemann, M.; Knipfer, C.; Stockmann, P.; Nkenke, E. The effect of load on heat production, thermal effects and expenditure of time during implant site preparation—An experimental ex vivo comparison between piezosurgery and conventional drilling. Clin. Oral Implants Res. 2014, 25, e140–e148. [Google Scholar] [CrossRef]
- Del Maestro, M.; Luzzi, S.; Gallieni, M.; Trovarelli, D.; Giordano, A.V.; Gallucci, M.; Ricci, A.; Galzio, R. Surgical Treatment of Arteriovenous Malformations: Role of Preoperative Staged Embolization. Acta Neurochir. Suppl. 2018, 129, 109–113. [Google Scholar] [CrossRef]
- Gallieni, M.; Del Maestro, M.; Luzzi, S.; Trovarelli, D.; Ricci, A.; Galzio, R. Endoscope-Assisted Microneurosurgery for Intracranial Aneurysms: Operative Technique, Reliability, and Feasibility Based on 14 Years of Personal Experience. Acta Neurochir. Suppl. 2018, 129, 19–24. [Google Scholar] [CrossRef]
- Luzzi, S.; Del Maestro, M.; Bongetta, D.; Zoia, C.; Giordano, A.V.; Trovarelli, D.; Raysi Dehcordi, S.; Galzio, R.J. Onyx Embolization before the Surgical Treatment of Grade III Spetzler-Martin Brain Arteriovenous Malformations: Single-Center Experience and Technical Nuances. World NeuroSurg. 2018, 116, e340–e353. [Google Scholar] [CrossRef]
- Luzzi, S.; Del Maestro, M.; Elbabaa, S.K.; Galzio, R. Letter to the Editor Regarding “One and Done: Multimodal Treatment of Pediatric Cerebral Arteriovenous Malformations in a Single Anesthesia Event”. World NeuroSurg. 2020, 134, 660. [Google Scholar] [CrossRef]
- Luzzi, S.; Del Maestro, M.; Galzio, R. Letter to the Editor. Preoperative embolization of brain arteriovenous malformations. J. NeuroSurg. 2019. [Google Scholar] [CrossRef]
- Luzzi, S.; Elia, A.; Del Maestro, M.; Morotti, A.; Elbabaa, S.K.; Cavallini, A.; Galzio, R. Indication, Timing, and Surgical Treatment of Spontaneous Intracerebral Hemorrhage: Systematic Review and Proposal of a Management Algorithm. World NeuroSurg. 2019. [Google Scholar] [CrossRef] [PubMed]
- Luzzi, S.; Gallieni, M.; Del Maestro, M.; Trovarelli, D.; Ricci, A.; Galzio, R. Giant and Very Large Intracranial Aneurysms: Surgical Strategies and Special Issues. Acta Neurochir. Suppl. 2018, 129, 25–31. [Google Scholar] [CrossRef] [PubMed]
- Ricci, A.; Di Vitantonio, H.; De Paulis, D.; Del Maestro, M.; Raysi, S.D.; Murrone, D.; Luzzi, S.; Galzio, R.J. Cortical aneurysms of the middle cerebral artery: A review of the literature. Surg. Neurol. Int. 2017, 8, 117. [Google Scholar] [CrossRef] [PubMed]
- Millimaggi, D.F.; Norcia, V.D.; Luzzi, S.; Alfiero, T.; Galzio, R.J.; Ricci, A. Minimally Invasive Transforaminal Lumbar Interbody Fusion with Percutaneous Bilateral Pedicle Screw Fixation for Lumbosacral Spine Degenerative Diseases. A Retrospective Database of 40 Consecutive Cases and Literature Review. Turk. NeuroSurg. 2018, 28, 454–461. [Google Scholar] [CrossRef] [PubMed]
- Bongetta, D.; Zoia, C.; Luzzi, S.; Maestro, M.D.; Peri, A.; Bichisao, G.; Sportiello, D.; Canavero, I.; Pietrabissa, A.; Galzio, R.J. Neurosurgical issues of bariatric surgery: A systematic review of the literature and principles of diagnosis and treatment. Clin. Neurol. NeuroSurg. 2019, 176, 34–40. [Google Scholar] [CrossRef] [PubMed]
- Elsawaf, Y.; Anetsberger, S.; Luzzi, S.; Elbabaa, S.K. Early Decompressive Craniectomy as Management for Severe TBI in the Pediatric Population: A Comprehensive Literature Review. World NeuroSurg. 2020. [Google Scholar] [CrossRef]
- Pisano, P.; Guerrini, F.; Custodi, V.; Del Maestro, M.; Galzio, R.; Luzzi, S. Tonic-clonic seizures as a possible complication for cerebrospinal fluid leakage after intradural spinal surgery, a case report. Interdiscip. Neurosurg. Adv. Tech. Case Manag. 2020, 19. [Google Scholar] [CrossRef]
- Savioli, G.; Ceresa, I.F.; Macedonio, S.; Gerosa, S.; Belliato, M.; Iotti, G.A.; Luzzi, S.; Del Maestro, M.; Mezzini, G.; Giotta Lucifero, A.; et al. Trauma Coagulopathy and Its Outcomes. Medicina 2020, 56, 205. [Google Scholar] [CrossRef]
- Arun, D.; Jain, G.; Bansal, T. Piezosurgery in dentistry. J. Oral Res. Rev. 2016, 8, 27. [Google Scholar] [CrossRef]
- Goyal, M.; Marya, K.; Jhamb, A.; Chawla, S.; Sonoo, P.R.; Singh, V.; Aggarwal, A. Comparative evaluation of surgical outcome after removal of impacted mandibular third molars using a Piezotome or a conventional handpiece: A prospective study. Br. J. Oral Maxillofac. Surg. 2012, 50, 556–561. [Google Scholar] [CrossRef]
- Otake, Y.; Nakamura, M.; Henmi, A.; Takahashi, T.; Sasano, Y. Experimental Comparison of the Performance of Cutting Bone and Soft Tissue between Piezosurgery and Conventional Rotary Instruments. Sci. Rep. 2018, 8, 17154. [Google Scholar] [CrossRef] [PubMed]
- Grauvogel, J.; Scheiwe, C.; Masalha, W.; Jarc, N.; Grauvogel, T.; Beringer, A. Piezosurgery in Modified Pterional OrbItal. Decompression Surgery in Graves Disease. World NeuroSurg. 2017, 106, 422–429. [Google Scholar] [CrossRef] [PubMed]
- Liu, X.; Li, T.; Shi, L.; Wu, Z.; Chen, D.; Xu, B.; Chen, Y. Application of Piezosurgery in En Bloc Laminectomy for the Treatment of Multilevel Thoracic Ossification of Ligamentum Flavum. World NeuroSurg. 2019, 126, 541–546. [Google Scholar] [CrossRef] [PubMed]
- Grauvogel, J.; Masalha, W.; Heiland, D.H.; Jarc, N.; Grauvogel, T.D.; Scheiwe, C. Piezosurgery—A Safe Technique to Perform Lateral SuboccipItal. Craniotomy? Oper. NeuroSurg. 2018, 15, 664–671. [Google Scholar] [CrossRef]
- Grauvogel, J.; Scheiwe, C.; Kaminsky, J. Use of Piezosurgery for removal of retrovertebral body osteophytes in anterior cervical discectomy. Spine J. 2014, 14, 628–636. [Google Scholar] [CrossRef]
- Pan, S.F.; Sun, Y. Application of Piezosurgery in Anterior Cervical Corpectomy and Fusion. Orthop. Surg. 2016, 8, 257–259. [Google Scholar] [CrossRef]
- Chiriac, G.; Herten, M.; Schwarz, F.; Rothamel, D.; Becker, J. Autogenous bone chips: Influence of a new piezoelectric device (Piezosurgery) on chip morphology, cell viability and differentiation. J. Clin. Periodontol. 2005, 32, 994–999. [Google Scholar] [CrossRef]
- Happe, A. Use of a piezoelectric surgical device to harvest bone grafts from the mandibular ramus: Report of 40 cases. Int. J. Periodontics Restor. Dent. 2007, 27, 241–249. [Google Scholar]
- Horton, J.E.; Tarpley, T.M., Jr.; Wood, L.D. The healing of surgical defects in alveolar bone produced with ultrasonic instrumentation, chisel, and rotary bur. Oral Surg. Oral Med. Oral Pathol. 1975, 39, 536–546. [Google Scholar] [CrossRef]
- Lakshmiganthan, M.; Gokulanathan, S.; Shanmugasundaram, N.; Daniel, R.; Ramesh, S.B. Piezosurgical osteotomy for harvesting intraoral block bone graft. J. Pharm. Bioallied Sci. 2012, 4, S165–S168. [Google Scholar] [CrossRef]
- Preti, G.; Martinasso, G.; Peirone, B.; Navone, R.; Manzella, C.; Muzio, G.; Russo, C.; Canuto, R.A.; Schierano, G. Cytokines and growth factors involved in the osseointegration of oral titanium implants positioned using piezoelectric bone surgery versus a drill technique: A pilot study in minipigs. J. Periodontol. 2007, 78, 716–722. [Google Scholar] [CrossRef] [PubMed]
- Rashad, A.; Sadr-Eshkevari, P.; Weuster, M.; Schmitz, I.; Prochnow, N.; Maurer, P. Material attrition and bone micromorphology after conventional and ultrasonic implant site preparation. Clin. Oral Implants Res. 2013, 24 (Suppl. A100), 110–114. [Google Scholar] [CrossRef]
- Luzzi, S.; Del Maestro, M.; Trovarelli, D.; De Paulis, D.; Dechordi, S.R.; Di Vitantonio, H.; Di Norcia, V.; Millimaggi, D.F.; Ricci, A.; Galzio, R.J. Endoscope-Assisted Microneurosurgery for Neurovascular Compression Syndromes: Basic Principles, Methodology, and Technical Notes. Asian J. NeuroSurg. 2019, 14, 193–200. [Google Scholar] [CrossRef] [PubMed]
- Luzzi, S.; Maestro, M.D.; Elia, A.; Vincitorio, F.; Perna, G.D.; Zenga, F.; Garbossa, D.; Elbabaa, S.K.; Galzio, R. Morphometric and Radiomorphometric Study of the Correlation Between the Foramen Magnum Region and the Anterior and Posterolateral Approaches to Ventral Intradural Lesions. Turk. NeuroSurg. 2019, 29, 875–886. [Google Scholar] [CrossRef] [PubMed]
- Luzzi, S.; Zoia, C.; Rampini, A.D.; Elia, A.; Del Maestro, M.; Carnevale, S.; Morbini, P.; Galzio, R. Lateral TransorbItal. Neuroendoscopic Approach for Intraconal Meningioma of the OrbItal. Apex: Technical Nuances and Literature Review. World NeuroSurg. 2019, 131, 10–17. [Google Scholar] [CrossRef] [PubMed]
- Zoia, C.; Bongetta, D.; Dorelli, G.; Luzzi, S.; Maestro, M.D.; Galzio, R.J. Transnasal endoscopic removal of a retrochiasmatic cavernoma: A case report and review of literature. Surg. Neurol. Int. 2019, 10, 76. [Google Scholar] [CrossRef] [PubMed]
- Arnaout, M.M.; Luzzi, S.; Galzio, R.; Aziz, K. SupraorbItal. keyhole approach: Pure endoscopic and endoscope-assisted perspective. Clin. Neurol. NeuroSurg. 2020, 189, 105623. [Google Scholar] [CrossRef]










| Site | Patient | Total | |||||
|---|---|---|---|---|---|---|---|
| Dogs (N° 292) | Cats (N° 32) | ||||||
| Field of Pathology | |||||||
| Traumatic | Degenerative | Neoplastic | Traumatic | ||||
| Site | Skull | 0 | 0 | 4 (extra-axial) | 0 | 4 | |
| Spine | Cervical | 0 | 12 | 2 | 0 | 12 | |
| Thoracic | 24 | 13 | 3 | 0 | 40 | ||
| Thoracolumbar | 37 | 4 | 6 | 24 | 73 | ||
| Lumbar | 14 | 62 | 2 | 0 | 78 | ||
| Lumbosacral | 74 | 34 | 1 | 8 | 117 | ||
| Surgeries (N°) | 149 | 125 | 18 | 32 | 324 | ||
| Average blood loss (mL) | 52 | 47 | 56 | 25 | 180 | ||
| Complications (N°) | 2 | 0 | 1 | 0 | 3 | ||
| Size | Dogs (N°) | Weight (lbs) | Blood Loss (mL) | |||
|---|---|---|---|---|---|---|
| Average | Sd | Average | Sd | ANOVA | ||
| Large (≥50 lbs) | 97 | 104.3 | 34.3 | 51.0 | 17.7 | 0.32 |
| Medium (21–50 lbs) | 121 | 35.2 | 8.9 | 53.3 | 16.8 | |
| Small (1–20 lbs) | 74 | 10.4 | 6.1 | 49.8 | 16.4 | |
| Breed | Cats (N°) | Weight (lbs) | Blood Loss (mL) | |||
|---|---|---|---|---|---|---|
| Average | Sd | Average | Sd | ANOVA | ||
| Large (≥14 lbs) | 9 | 15.3 | 1.1 | 25 | 6.3 | 0.61 |
| Medium (9–13 lbs) | 19 | 11.5 | 1.2 | 26.4 | 6.4 | |
| Small (1–8 lbs) | 4 | 6.5 | 1.9 | 6.5 | 1.9 | |
| Site | Duration of Surgery (Average min) | |
|---|---|---|
| Dogs | Cats | |
| Skull | 72 | 67 |
| Cranial Cervical Spine | 60 | 56 |
| Caudal Cervical Spine | 48 | 43 |
| Thoracic | 20 | 16 |
| Thoracolumbar | 22 | 17 |
| Lumbosacral | 17 | 14 |
| Lumbar | 26 | 23 |
© 2020 by the authors. Licensee MDPI, Basel, Switzerland. This article is an open access article distributed under the terms and conditions of the Creative Commons Attribution (CC BY) license (http://creativecommons.org/licenses/by/4.0/).
Share and Cite
Crovace, A.M.; Luzzi, S.; Lacitignola, L.; Fatone, G.; Giotta Lucifero, A.; Vercellotti, T.; Crovace, A. Minimal Invasive Piezoelectric Osteotomy in Neurosurgery: Technic, Applications, and Clinical Outcomes of a Retrospective Case Series. Vet. Sci. 2020, 7, 68. https://doi.org/10.3390/vetsci7020068
Crovace AM, Luzzi S, Lacitignola L, Fatone G, Giotta Lucifero A, Vercellotti T, Crovace A. Minimal Invasive Piezoelectric Osteotomy in Neurosurgery: Technic, Applications, and Clinical Outcomes of a Retrospective Case Series. Veterinary Sciences. 2020; 7(2):68. https://doi.org/10.3390/vetsci7020068
Chicago/Turabian StyleCrovace, Alberto Maria, Sabino Luzzi, Luca Lacitignola, Gerardo Fatone, Alice Giotta Lucifero, Tomaso Vercellotti, and Antonio Crovace. 2020. "Minimal Invasive Piezoelectric Osteotomy in Neurosurgery: Technic, Applications, and Clinical Outcomes of a Retrospective Case Series" Veterinary Sciences 7, no. 2: 68. https://doi.org/10.3390/vetsci7020068
APA StyleCrovace, A. M., Luzzi, S., Lacitignola, L., Fatone, G., Giotta Lucifero, A., Vercellotti, T., & Crovace, A. (2020). Minimal Invasive Piezoelectric Osteotomy in Neurosurgery: Technic, Applications, and Clinical Outcomes of a Retrospective Case Series. Veterinary Sciences, 7(2), 68. https://doi.org/10.3390/vetsci7020068

