Multidrug-Resistant Enterococcus faecalis from Yak Feces: Isolation, Genomic Characterization and Functional Insights
Simple Summary
Abstract
1. Introduction
2. Materials and Methods
2.1. Sample Source
2.2. Bacterial Isolation and Identification
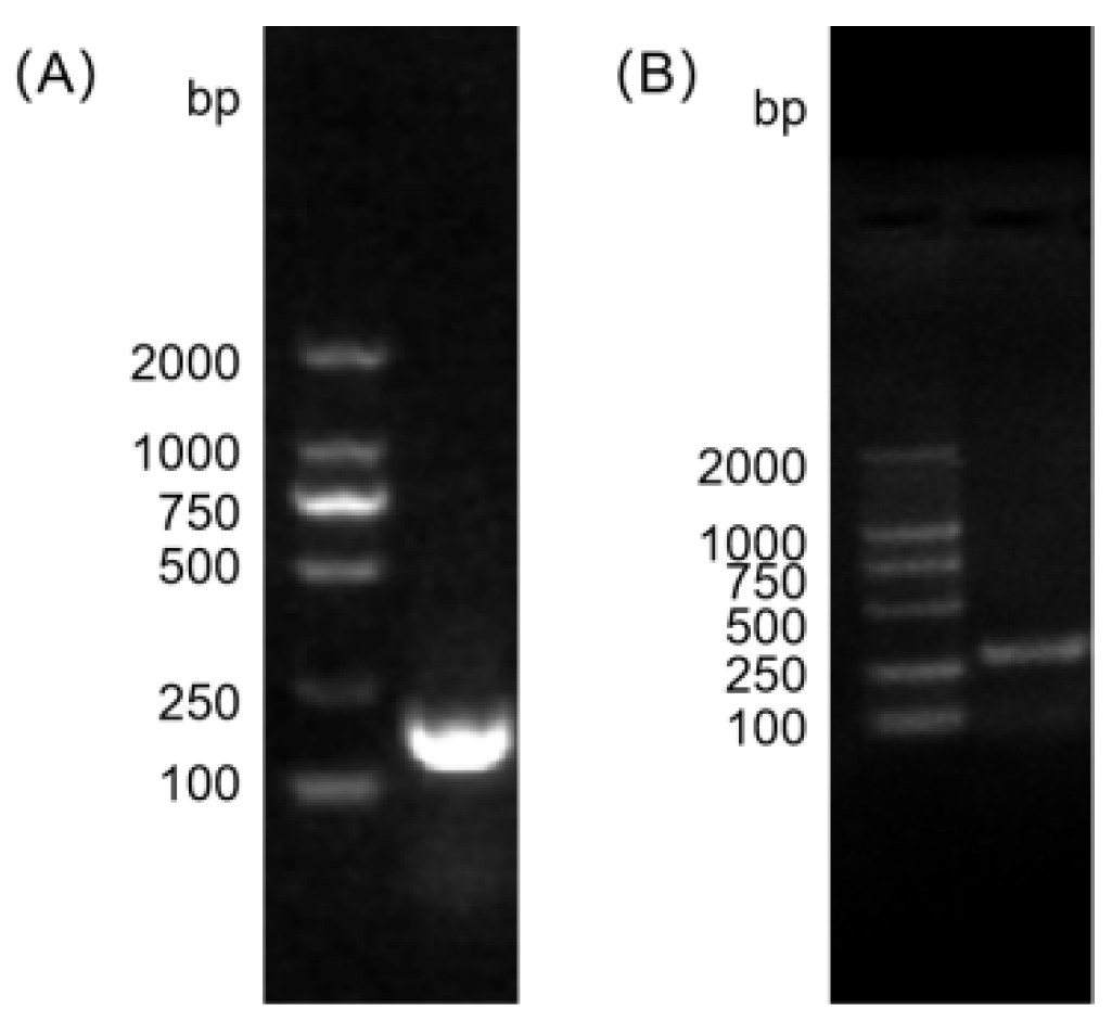
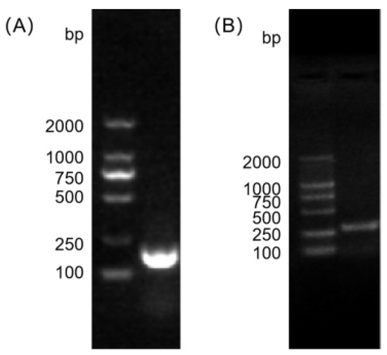
2.3. PCR Amplification and Identification
2.4. Whole-Genome Sequencing and Bioinformatic Analysis
2.4.1. Genomic DNA Extraction, Quality Control, and Library Construction
2.4.2. Genome Assembly
2.4.3. Gene Prediction and Annotation
2.5. Phylogenetic Analysis
2.6. Transmission Electron Microscopy (TEM) Observation
2.7. Antimicrobial Susceptibility Testing
2.8. Mouse Challenge Experiment and Histopathological Observation
2.9. Transcriptome Sequencing and Differential Gene Expression Analysis
2.10. Data Analysis
2.10.1. Differential Expression Analysis
2.10.2. Differential Gene Enrichment Analysis
3. Results
3.1. Isolation and Identification of E. faecalis from Yak
3.2. Whole-Genome Sequencing Results
3.2.1. General Genomic Features
3.2.2. Analysis of Antibiotic Resistance Genes
3.2.3. Analysis of Virulence Genes
3.3. Phylogenetic Analysis
3.4. Transmission Electron Microscopy Observations
3.5. Antimicrobial Susceptibility Testing Results
3.6. Mouse Challenge Experiment and Pathological Findings
3.7. Transcriptome Sequencing Results
3.7.1. Differential Gene Statistics
3.7.2. GO Enrichment Analysis
3.7.3. KEGG Pathway Analysis
4. Discussion
4.1. Antimicrobial Resistance and Virulence Risks Revealed by Genomic Characteristics
4.2. Validation of Concordance Between Phenotype and Genotype
4.3. Integrated Analysis of HE Staining Phenotypes and Transcriptomic Enrichment Results
5. Conclusions
Supplementary Materials
Author Contributions
Funding
Institutional Review Board Statement
Informed Consent Statement
Data Availability Statement
Acknowledgments
Conflicts of Interest
References
- Chen, S.; Sun, Y.; Wang, Y.; Luo, G.; Ran, J. Grazing weakens the linkages between plants and soil biotic communities in the alpine grassland. Sci. Total Environ. 2023, 913, 169417. [Google Scholar] [CrossRef]
- Cattoir, V. The multifaceted lifestyle of enterococci: Genetic diversity, ecology and risks for public health. Curr. Opin. Microbiol. 2022, 65, 73–80. [Google Scholar] [CrossRef]
- Werner, G.; Neumann, B.; Weber, R.E.; Kresken, M.; Wendt, C.; Bender, J.K.; VRE study group. Thirty years of VRE in Germany—”Expect the unexpected”: The view from the National Reference Centre for Staphylococci and Enterococci. Drug Resist. Updat. 2020, 53, 100732. [Google Scholar] [CrossRef]
- Martins, F.H.; Rosay, T.; Rajan, A.; Carter, H.E.; Turocy, T.; Mejia, A.; Crawford, J.M.; Maresso, A.W.; Sperandio, V. Enterococcus faecalis-derived adenine enhances enterohaemorrhagic Escherichia coli Type 3 Secretion System-dependent virulence. Nat. Microbiol. 2024, 9, 2448–2461. [Google Scholar] [CrossRef]
- Fujimoto, K.; Hayashi, T.; Yamamoto, M.; Sato, N.; Shimohigoshi, M.; Miyaoka, D.; Yokota, C.; Watanabe, M.; Hisaki, Y.; Kamei, Y.; et al. An enterococcal phage-derived enzyme suppresses graft-versus-host disease. Nature 2024, 632, 174–181. [Google Scholar] [CrossRef]
- Ramos, Y.; Sansone, S.; Hwang, S.M.; Sandoval, T.A.; Zhu, M.; Zhang, G.; Cubillos-Ruiz, J.R.; Morales, D.K. Remodeling of the Enterococcal Cell Envelope during Surface Penetration Promotes Intrinsic Resistance to Stress. mBio 2022, 13, e0229422. [Google Scholar] [CrossRef]
- Li, C.; Zhang, P.; Xie, Y.; Wang, S.; Guo, M.; Wei, X.; Zhang, K.; Cao, D.; Zhou, R.; Wang, S.; et al. Enterococcus-derived tyramine hijacks α2A-adrenergic receptor in intestinal stem cells to exacerbate colitis. Cell Host Microbe 2024, 32, 950–963. [Google Scholar] [CrossRef]
- Ali, I.A.A.; Neelakantan, P. Antibiofilm activity of phytochemicals against Enterococcus faecalis: A literature review. Phytother. Res. 2022, 36, 2824–2838. [Google Scholar] [CrossRef]
- Reasoner, S.A.; Enriquez, K.T.; Abelson, B.; Scaglione, S.; Schneier, B.; O’Connor, M.G.; Van Horn, G.; Hadjifrangiskou, M. Urinary tract infections in cystic fibrosis patients. J. Cyst. Fibros. 2022, 21, e1–e4. [Google Scholar] [CrossRef]
- Thammasitboon, K.; Teanpaisan, R.; Pahumunto, N. Prevalence and virulence factors of haemolytic Enterococcus faecalis isolated from root filled teeth associated with periradicular lesions: A laboratory investigation in Thailand. Int. Endod. J. 2024, 57, 769–783. [Google Scholar] [CrossRef] [PubMed]
- Xu, W.; Fang, Y.; Zhu, K. Enterococci facilitate polymicrobial infections. Trends Microbiol. 2024, 32, 162–177. [Google Scholar] [CrossRef] [PubMed]
- Chen, W.; Wang, Q.; Wu, H.; Xia, P.; Tian, R.; Li, R.; Xia, L. Molecular epidemiology, phenotypic and genomic characterization of antibiotic-resistant enterococcal isolates from diverse farm animals in Xinjiang, China. Sci. Total Environ. 2024, 912, 168683. [Google Scholar] [CrossRef] [PubMed]
- Pöntinen, A.K.; Top, J.; Arredondo-Alonso, S.; Tonkin-Hill, G.; Freitas, A.R.; Novais, C.; Gladstone, R.A.; Pesonen, M.; Meneses, R.; Pesonen, H.; et al. Apparent nosocomial adaptation of Enterococcus faecalis predates the modern hospital era. Nat. Commun. 2021, 12, 1523. [Google Scholar] [CrossRef]
- Spiegelman, L.; Bahn-Suh, A.; Montaño, E.T.; Zhang, L.; Hura, G.L.; Patras, K.A.; Kumar, A.; Tezcan, F.A.; Nizet, V.; Tsutakawa, S.E.; et al. Strengthening of enterococcal biofilms by Esp. PLoS Pathog. 2022, 18, e1010829. [Google Scholar] [CrossRef]
- Soltani, S.; Fallah, T.; Shafiei, M.; Shahraki, A.H.; Iranbakhsh, A. Investigating the prevalence of CRISPR-Cas system and their association with antibiotic resistance genes and virulence factors in Enterococcus faecalis and Enterococcus faecium strains isolated from hospitalized patients. J. Glob. Antimicrob. Resist. 2025, 43, 344–357. [Google Scholar] [CrossRef]
- Alduhaidhawi, A.H.M.; AlHuchaimi, S.N.; Al- Mayah, T.A.; Al-Ouqaili, M.T.S.; Alkafaas, S.S.; Muthupandian, S.; Saki, M. Prevalence of CRISPR-Cas Systems and Their Possible Association with Antibiotic Resistance in Enterococcus faecalis and Enterococcus faecium Collected from Hospital Wastewater. Infect. Drug Resist. 2022, 15, 1143–1154. [Google Scholar] [CrossRef]
- Iweriebor, B.C.; Obi, L.C.; Okoh, A.I. Virulence and antimicrobial resistance factors of Enterococcusspp. isolated from fecal samples from piggery farms in Eastern Cape, South Africa. BMC Microbiol. 2015, 15, 136. [Google Scholar] [CrossRef]
- Lindgreen, S. AdapterRemoval: Easy cleaning of next-generation sequencing reads. BMC Res. Notes 2012, 5, 337. [Google Scholar] [CrossRef]
- Luo, R.; Liu, B.; Xie, Y.; Li, Z.; Huang, W.; Yuan, J.; He, G.; Chen, Y.; Pan, Q.; Liu, Y.; et al. SOAPdenovo2: An empirically improved memory-efficient short-read de novo assembler. Gigascience 2012, 1, 18. [Google Scholar] [CrossRef]
- Buchfink, B.; Xie, C.; Huson, D.H. Fast and sensitive protein alignment using DIAMOND. Nat. Methods 2015, 12, 59–60. [Google Scholar] [CrossRef]
- Coil, D.; Jospin, G.; Darling, A.E. A5-miseq: An updated pipeline to assemble microbial genomes from Illumina MiSeq data. Bioinformatics 2015, 31, 587–589. [Google Scholar] [CrossRef]
- Kolmogorov, M.; Yuan, J.; Lin, Y.; Pevzner, P.A. Assembly of long, error-prone reads using repeat graphs. Nat. Biotechnol. 2019, 37, 540–546. [Google Scholar] [CrossRef]
- Wick, R.R.; Judd, L.M.; Gorrie, C.L.; Holt, K.E. Unicycler: Resolving bacterial genome assemblies from short and long sequencing reads. PLoS Comput. Biol. 2017, 13, e1005595. [Google Scholar] [CrossRef]
- Walker, B.J.; Abeel, T.; Shea, T.; Priest, M.; Abouelliel, A.; Sakthikumar, S.; Cuomo, C.A.; Zeng, Q.; Wortman, J.; Young, S.K.; et al. Pilon: An integrated tool for comprehensive microbial variant detection and genome assembly improvement. PLoS ONE 2014, 9, e112963. [Google Scholar] [CrossRef] [PubMed]
- Bertelli, C.; Laird, M.R.; Williams, K.P.; Simon Fraser University Research Computing Group; Lau, B.Y.; Hoad, G.; Winsor, G.L.; Brinkman, F.S.L. IslandViewer 4: Expanded prediction of genomic islands for larger-scale datasets. Nucleic Acids Res. 2017, 45, 30–35. [Google Scholar] [CrossRef]
- Lowe, T.M.; Eddy, S.R. tRNAscan-SE: A program for improved detection of transfer RNA genes in genomic sequence. Nucleic Acids Res. 1997, 25, 955–964. [Google Scholar] [CrossRef] [PubMed]
- Kalvari, I.; Argasinska, J.; Quinones-Olvera, N.; Nawrocki, E.P.; Rivas, E.; Eddy, S.R.; Bateman, A.; Finn, R.D.; Petrov, A.I. Rfam 13.0: Shifting to a genome-centric resource for non-coding RNA families. Nucleic Acids Res. 2018, 46, 335–342. [Google Scholar] [CrossRef]
- Grissa, I.; Vergnaud, G.; Pourcel, C. CRISPRFinder: A web tool to identify clustered regularly interspaced short palindromic repeats. Nucleic Acids Res. 2007, 35, 52–57. [Google Scholar] [CrossRef]
- Price, A.L.; Jones, N.C.; Pevzner, P.A. De novo identification of repeat families in large genomes. Bioinformatics 2005, 1, 351–358. [Google Scholar] [CrossRef]
- Chen, L.; Yang, J.; Yu, J.; Yao, Z.; Sun, L.; Shen, Y.; Jin, Q. VFDB: A reference database for bacterial virulence factors. Nucleic Acids Res. 2005, 33, D325–D328. [Google Scholar] [CrossRef] [PubMed]
- McArthur, A.G.; Waglechner, N.; Nizam, F.; Yan, A.; Azad, M.A.; Baylay, A.J.; Bhullar, K.; Canova, M.J.; De Pascale, G.; Ejim, L.; et al. The comprehensive antibiotic resistance database. Antimicrob. Agents Chemother. 2013, 57, 3348–3357. [Google Scholar] [CrossRef]
- Erol, H.B.; Kaskatepe, B.; Gocmen, D.; Ziraman, F.G. The treatment of Enterococcus faecalis related root canal biofilms with phage therapy. Microb. Pathog. 2024, 197, 107081. [Google Scholar] [CrossRef] [PubMed]
- Saman, R.; Primus, C.P.; West, R.; Woldman, S.J.; Sandoe, J.A.T. Combination therapy versus monotherapy: Retrospective analysis of antibiotic treatment of enterococcal endocarditis. BMC Infect. Dis. 2025, 25, 92. [Google Scholar] [CrossRef]
- Schuetz, A.N.; Ferrell, A.; Hindler, J.A.; Humphries, R.; Bobenchik, A.M. Overview of changes in the Clinical and Laboratory Standards Institute Performance Standards for Antimicrobial Susceptibility Testing: M100 32nd and 33rd editions. J. Clin. Microbiol. 2025, 63, e0162323. [Google Scholar] [CrossRef]
- Wu, L.; Wang, X.W.; Tao, Z.; Wang, T.; Zuo, W.; Zeng, Y.; Liu, Y.Y.; Dai, L. Data-driven prediction of colonization outcomes for complex microbial communities. Nat. Commun. 2024, 15, 2406. [Google Scholar] [CrossRef]
- Stevens, C.; Norris, S.; Arbeeva, L.; Carter, S.; Enomoto, M. Gut Microbiome and Osteoarthritis: Insights From the Naturally Occurring Canine Model of Osteoarthritis. Arthritis Rheumatol. 2024, 76, 1758–1763. [Google Scholar] [CrossRef]
- Iweriebor, B.C.; Obi, L.C.; Okoh, A.I. Macrolide, glycopeptide resistance and virulence genes in Enterococcus species isolates from dairy cattle. J. Med. Microbiol. 2016, 65, 641–648. [Google Scholar] [CrossRef]
- Hashimoto, Y.; Kurushima, J.; Nomura, T.; Tanimoto, K.; Tamai, K.; Yanagisawa, H.; Shirabe, K.; Ike, Y.; Tomita, H. Dissemination and genetic analysis of the stealthy vanB gene clusters of Enterococcus faecium clinical isolates in Japan. BMC Microbiol. 2018, 13, 213. [Google Scholar] [CrossRef]
- Kim, M.C.; Woo, G.J. Characterization of antimicrobial resistance and quinolone resistance factors in high-level ciprofloxacin-resistant Enterococcus faecalis and Enterococcus faecium isolates obtained from fresh produce and fecal samples of patients. J. Sci. Food Agric. 2017, 97, 2858–2864. [Google Scholar] [CrossRef]
- Chotinantakul, K.; Chansiw, N.; Okada, S. Antimicrobial resistance of Enterococcus spp. isolated from Thai fermented pork in Chiang Rai Province, Thailand. J. Glob. Antimicrob. Resist. 2018, 12, 143–148. [Google Scholar] [CrossRef]
- Yang, W.; Li, J.; Zhang, M.; Yu, H.; Zhuang, Y.; Zhao, L.; Ren, L.; Gong, J.; Bi, H.; Zeng, L.; et al. Elevated expression of the rhythm gene NFIL3 promotes the progression of TNBC by activating NF-κB signaling through suppression of NFKBIA transcription. J. Exp. Clin. Cancer Res. 2022, 41, 67. [Google Scholar] [CrossRef]
- Chu, C.; Zhang, Y.; Yu, R.; Liu, B.; Wang, B.; Xu, Z.; Chin, K.L. MEF2A restrains cisplatin resistance in gastric cancer cells by modulating NFKBIA/NF-κB signaling pathway. J. Investig. Med. 2025, 73, 54–66. [Google Scholar] [CrossRef]
- Wilden, J.J.; van Krüchten, A.; Gieselmann, L.; Hrincius, E.R.; Deinhardt-Emmer, S.; Haupt, K.F.; Preugschas, H.F.; Niemann, S.; Ludwig, S.; Ehrhardt, C. The influenza replication blocking inhibitor LASAG does not sensitize human epithelial cells for bacterial infections. PLoS ONE 2020, 15, e0233052. [Google Scholar] [CrossRef]
- Li, J.; Apizi, A.; Song, T.; Kamilijiang, P.; Yu, X.; Chai, R.; Yu, Z. Inhibition of FKBP5 Alleviates Inflammation and Intestinal Barrier Dysfunction in Sepsis. J. Interferon Cytokine Res. 2025, 45, 290–299. [Google Scholar] [CrossRef] [PubMed]
- Cao, Y.; Chen, Q.; Wang, Z.; Yu, T.; Wu, J.; Jiang, X.; Jin, X.; Lu, W. PLK1 protects against sepsis-induced intestinal barrier dysfunction. Sci. Rep. 2018, 8, 1055. [Google Scholar] [CrossRef]
- Yin, W.; Liu, S.; Dong, M.; Liu, Q.; Shi, C.; Bai, H.; Wang, Q.; Yang, X.; Niu, W.; Wang, L. A New NLRP3 Inflammasome Inhibitor, Dioscin, Promotes Osteogenesis. Small 2020, 16, e1905977. [Google Scholar] [CrossRef]
- Li, Y.; Wen, C.; Zhong, J.; Ling, J.; Jiang, Q. Enterococcus faecalis OG1RF induces apoptosis in MG63 cells via caspase-3/-8/-9 without activation of caspase-1/GSDMD. Oral Dis. 2022, 28, 2026–2035. [Google Scholar] [CrossRef]







| Strain/Gene | Primer | Sequence (5′-3′) | Product Size (bp) | Reference |
|---|---|---|---|---|
| Enterococcus genus | tuf-F | TACTGACAAACCATTCATGATG | 112 | [17] |
| tuf-R | AACTTCGTCACCAACGCGAAC | |||
| E. faecalis | FL1 | ACTTATGTGACTAACTTAACC | 360 | [17] |
| FL2 | TAATGGTGAATCTTGGTTTGG |
| Log Dilution | Plate Count 1 | Plate Count 2 | Plate Count 3 | |
|---|---|---|---|---|
| 0 | Countless | Countless | Countless | / |
| 1 | Countless | Countless | Countless | / |
| 2 | Countless | Countless | Countless | / |
| 3 | Countless | Countless | Countless | / |
| 4 | Countless | Countless | Countless | / |
| 5 | 87 | 112 | 101 | 100 ± 25 |
| 6 | 15 | 23 | 31 | 23 ± 16 |
| 7 | 0 | 0 | 0 | 0 |
| Resistance Category | Resistance Gene(s) | Resistance Mechanism |
|---|---|---|
| Fluoroquinolone resistance | parC, parE, gyrA | Gene mutations leading to structural alterations in the drug target protein |
| Macrolide–Lincosamide–Streptogramin (MLS) | Lsa, emeA | Ribosomal target site modification or active efflux of the drug |
| Rifampin resistance | rpoB, rpoC | Mutations in the drug target site leading to drug inactivation |
| Tetracycline resistance | EF3073 | Steric hindrance blocking drug-ribosome interaction |
| Trimethoprim resistance | dfrE | Mutation of the target enzyme leading to drug inefficacy |
| “Target Bypass” mediating D-Cycloserine resistance | alr | Affects cell wall precursor synthesis |
| Virulence System | Virulence Gene(s) | Core Pathogenic Mechanism |
|---|---|---|
| pCF10 Plasmid Conjugation System | prgB/asc10 | Facilitates bacterial aggregation and host cell invasion |
| Fsr Quorum-Sensing System | fsrA, fsrB, fsrC, sprE | Regulates the expression of virulence factors (e.g., gelatinase encoded by sprE) |
| Capsular Polysaccharide Synthesis System | cpsA/uppS, cpsB/cdsA, cpsC, cpsD, cpsE, cpsG, cpsH, cpsI, cpsK | Encapsulates the bacterial surface to resist phagocytosis by host immune cells |
| Pilus System | ebpB, ebpC | Encodes pilus structures that mediate bacterial adhesion to host cells (e.g., endothelial cells) |
| Sugar-Binding Transcriptional Regulator | bopD | Injects effector proteins into host cells, triggering intracellular infection |
| Adhesin System | EF0818 | Mediates bacterial aggregation, host cell adhesion, and biofilm formation |
| Adhesion System | EF0485 | Encodes bacterial adhesion-associated proteins |
| Antimicrobial Agent | Disk Content (μg/Disk) | Interpretation Criteria (mm) | Inhibition Zone Diameter (mm) | Susceptibility | ||
|---|---|---|---|---|---|---|
| R | l | S | ||||
| Penicillin | 10 U | ≤14 | — | ≥15 | 19 | R |
| Gentamicin | 120 | ≤6 | 7~9 | ≥10 | NM | R |
| Kanamycin | 30 | ≤13 | 14~17 | ≥18 | NM | R |
| Cefazolin | 30 | ≤14 | 15~17 | ≥18 | 13 | R |
| Ceftazidime | 30 | ≤14 | 15~17 | ≥18 | NM | R |
| Cefradine | 30 | ≤14 | 15~17 | ≥18 | 11 | R |
| Vancomycin | 30 | ≤14 | 15~16 | ≥17 | NM | R |
| Erythromycin | 15 | ≤13 | 14~22 | ≥23 | NM | R |
| Tetracycline | 30 | ≤14 | 15~18 | ≥19 | 12 | R |
| Ofloxacin | 5 | ≤12 | 13~15 | ≥16 | 10 | R |
| Clindamycin | 2 | ≤14 | 15~20 | ≥21 | NM | R |
| Furazolidone | 300 | ≤14 | 15~16 | ≥17 | 19 | S |
| Regulation | Gene Names | Functional Category |
|---|---|---|
| Up-regulated | Cp, Mmp8, Itih3, Nfkbia, Serpina3n/k/c/f/m/h, Hdc, Ctsk, Dusp1 | Inflammatory and Immune Response |
| Gpx3, Chac1, Fkbp5, Asns, Akr1b8, Glul | Cellular Stress and Apoptosis | |
| Aldh1l2, Adhfe1, Pfkfb3, Hmgcs2, Acacb, Acot1, Glul | Metabolic Reprogramming | |
| Phox2a, Jph3, Apod, Pou3f3, Rtn4rl2, Kcns3 | Nervous System-related | |
| Down-regulated | Serpina1f, Serpina10 | Protease Inhibition and Regulation |
| Scd2, Suox | Metabolism | |
| Kif12, Polq | Fundamental Cellular Processes | |
| Gm16477, Rps4l, Gm5837, Gm46223, Rpsa-ps10 | Predicted Genes/Pseudogenes |
Disclaimer/Publisher’s Note: The statements, opinions and data contained in all publications are solely those of the individual author(s) and contributor(s) and not of MDPI and/or the editor(s). MDPI and/or the editor(s) disclaim responsibility for any injury to people or property resulting from any ideas, methods, instructions or products referred to in the content. |
© 2025 by the authors. Licensee MDPI, Basel, Switzerland. This article is an open access article distributed under the terms and conditions of the Creative Commons Attribution (CC BY) license (https://creativecommons.org/licenses/by/4.0/).
Share and Cite
Huang, J.; Li, Z.; Bai, Z.; Suolang, S. Multidrug-Resistant Enterococcus faecalis from Yak Feces: Isolation, Genomic Characterization and Functional Insights. Vet. Sci. 2025, 12, 1077. https://doi.org/10.3390/vetsci12111077
Huang J, Li Z, Bai Z, Suolang S. Multidrug-Resistant Enterococcus faecalis from Yak Feces: Isolation, Genomic Characterization and Functional Insights. Veterinary Sciences. 2025; 12(11):1077. https://doi.org/10.3390/vetsci12111077
Chicago/Turabian StyleHuang, Jiayan, Zixuan Li, Zhanchun Bai, and Sizhu Suolang. 2025. "Multidrug-Resistant Enterococcus faecalis from Yak Feces: Isolation, Genomic Characterization and Functional Insights" Veterinary Sciences 12, no. 11: 1077. https://doi.org/10.3390/vetsci12111077
APA StyleHuang, J., Li, Z., Bai, Z., & Suolang, S. (2025). Multidrug-Resistant Enterococcus faecalis from Yak Feces: Isolation, Genomic Characterization and Functional Insights. Veterinary Sciences, 12(11), 1077. https://doi.org/10.3390/vetsci12111077
