Cyclooxygenase-2 (COX-2) Expression in Equine Melanocytic Tumors
Simple Summary
Abstract
1. Introduction
2. Materials and Methods
2.1. Tissue Samples
2.2. Clinical Information
2.3. Histopathological Evaluation
2.4. Immunohistochemistry
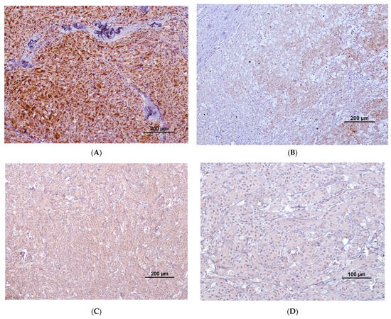
2.5. Immunohistochemical Evaluation
2.6. Statistical Analysis
3. Results
3.1. Clinical Information
3.2. Histopathologic Results
3.3. Immunohistochemical Results
4. Discussion
5. Conclusions
Supplementary Materials
Author Contributions
Funding
Institutional Review Board Statement
Informed Consent Statement
Data Availability Statement
Conflicts of Interest
References
- Strashilov, S.; Yordanov, A. Aetiology and Pathogenesis of Cutaneous Melanoma: Current Concepts and Advances. Int. J. Mol. Sci. 2021, 22, 6395. [Google Scholar] [CrossRef]
- Nishiya, A.T.; Massoco, C.O.; Felizzola, C.R.; Perlmann, E.; Batschinski, K.; Tedardi, M.V.; Garcia, J.S.; Mendonça, P.P.; Teixeira, T.F.; Dagli, M.L.Z. Comparative Aspects of Canine Melanoma. Vet. Sci. 2016, 3, 7. [Google Scholar] [CrossRef]
- Seltenhammer, M.H.; Heere-Ress, E.; Brandt, S.; Druml, T.; Jansen, B.; Pehamberger, H.; Niebauer, G.W. Comparative Histopathology of Grey-Horse-Melanoma and Human Malignant Melanoma. Pigment Cell Res. 2004, 17, 674–681. [Google Scholar] [CrossRef]
- Wong, K.; van der Weyden, L.; Schott, C.R.; Foote, A.; Constantino-Casas, F.; Smith, S.; Dobson, J.M.; Murchison, E.P.; Wu, H.; Yeh, I.; et al. Cross-Species Genomic Landscape Comparison of Human Mucosal Melanoma with Canine Oral and Equine Melanoma. Nat. Commun. 2019, 10, 353. [Google Scholar] [CrossRef] [PubMed]
- Vandyck, H.H.; Hillen, L.M.; Bosisio, F.M.; Van Den Oord, J.; Zur Hausen, A.; Winnepenninckx, V. Rethinking the Biology of Metastatic Melanoma: A Holistic Approach. Cancer Metastasis Rev. 2021, 40, 603–624. [Google Scholar] [CrossRef] [PubMed]
- Eddy, K.; Shah, R.; Chen, S. Decoding Melanoma Development and Progression: Identification of Therapeutic Vulnerabilities. Front. Oncol. 2021, 10, 626129. [Google Scholar] [CrossRef] [PubMed]
- Resende, L.; Moreira, J.; Prada, J.; Queiroga, F.L.; Pires, I. Current Insights into Canine Cutaneous Melanocytic Tumours Diagnosis. In Melanoma—Current Clinical Management and Future Therapeutics; Intech: London, UK, 2015. [Google Scholar]
- Schmid, F.; Brodesser, D.; Reifinger, M.; Forte, S.; Semp, P.; Eberspächer-Schweda, M.C.; Wolschek, M.; Brandt, S.; Kleiter, M.; Pratscher, B. Canine Oral Primary Melanoma Cells Exhibit Shift to Mesenchymal Phenotype and Phagocytic Behaviour. Vet. Comp. Oncol. 2019, 17, 211–220. [Google Scholar] [CrossRef] [PubMed]
- Phillips, J.C.; Lembcke, L.M. Equine Melanocytic Tumors. Vet. Clin. North Am. Equine Pract. 2013, 29, 673–687. [Google Scholar] [CrossRef]
- Cavalleri, J.M.V.; Mählmann, K.; Steinig, P.; Feige, K. Aetiology, Clinical Presentation and Current Treatment Options of Equine Malignant Melanoma—A Review of the Literature. Pferdeheilkunde 2014, 30, 455–460. [Google Scholar] [CrossRef]
- Sullins, K.E. Melanocytic Tumours in Horses. Equine Vet. Educ. 2020, 32, 624–630. [Google Scholar] [CrossRef]
- Moore, J.S.; Shaw, C.; Shaw, E.; Buechner-Maxwell, V.; Scarratt, W.K.; Crisman, M.; Furr, M.; Robertson, J. Melanoma in Horses: Current Perspectives. Equine Vet. Educ. 2013, 25, 144–151. [Google Scholar] [CrossRef]
- Knottenbelt, D.C.; Patterson-Kane, J.C.; Snalune, K.L. Melanocytic Neoplasms. In Clinical Equine Oncology; Elsevier: Amsterdam, The Netherlands, 2015; pp. 237–246. ISBN 978-0-7020-4266-9. [Google Scholar]
- Campagne, C.; Julé, S.; Bernex, F.; Estrada, M.; Aubin-Houzelstein, G.; Panthier, J.; Egidy, G. RACK1, a Clue to the Diagnosis of Cutaneous Melanomas in Horses. BMC Vet. Res. 2012, 8, 95. [Google Scholar] [CrossRef] [PubMed]
- Pimenta, J.; Prada, J.; Cotovio, M. Equine Melanocytic Tumors: A Narrative Review. Animals 2023, 13, 247. [Google Scholar] [CrossRef] [PubMed]
- Pilsworth, R.C.; Knottenbelt, D. Skin Diseases Refresher Melanoma. Equine Vet. Educ. 2006, 18, 296–340. [Google Scholar]
- Yi, Z.; Gao, Y.; Yu, F.; Zhu, Y.; Liu, H.; Li, J.; Murua Escobar, H. Interventions for Treatment of Cutaneous Melanoma in Horses: A Structured Literature Review. Vet. Res. Commun. 2023, 47, 347–360. [Google Scholar] [CrossRef] [PubMed]
- Poore, L.A.; Rest, J.R.; Knottenbelt, D.C. The Clinical Presentation of a Mid-Tail Melanocytoma with Sudden Malignant Transformation in a Bay Irish Draught Gelding. Equine Vet. Educ. 2013, 25, 134–138. [Google Scholar] [CrossRef]
- Knottenbelt, D.C.; Patterson-Kane, J.C.; Snalune, K.L. Tumours of the Skin. In Clinical Equine Oncology; Elsevier: Amsterdam, The Netherlands, 2015; pp. 544–584. ISBN 978-0-7020-4266-9. [Google Scholar]
- Valentine, B.A. The Spectrum of Equine Melanocytic Tumours. Equine Vet. Educ. 2003, 15, 24. [Google Scholar] [CrossRef]
- Hashemi Goradel, N.; Najafi, M.; Salehi, E.; Farhood, B.; Mortezaee, K. Cyclooxygenase-2 in Cancer: A Review. J. Cell Physiol. 2019, 234, 5683–5699. [Google Scholar] [CrossRef]
- Doré, M. Cyclooxygenase-2 Expression in Animal Cancers. Vet. Pathol. 2011, 48, 254–265. [Google Scholar] [CrossRef]
- Mohsin, N.U.A.; Aslam, S.; Ahmad, M.; Irfan, M.; Al-Hussain, S.A.; Zaki, M.E.A. Cyclooxygenase-2 (COX-2) as a Target of Anticancer Agents: A Review of Novel Synthesized Scaffolds Having Anticancer and COX-2 Inhibitory Potentialities. Pharmaceuticals 2022, 15, 1471. [Google Scholar] [CrossRef]
- Pu, D.; Yin, L.; Huang, L.; Qin, C.; Zhou, Y.; Wu, Q.; Li, Y.; Zhou, Q.; Li, L. Cyclooxygenase-2 Inhibitor: A Potential Combination Strategy with Immunotherapy in Cancer. Front. Oncol. 2021, 11, 637504. [Google Scholar] [CrossRef]
- Botti, G.; Fratangelo, F.; Cerrone, M.; Liguori, G.; Cantile, M.; Anniciello, A.M.; Scala, S.; D’Alterio, C.; Trimarco, C.; Ianaro, A.; et al. COX-2 Expression Positively Correlates with PD-L1 Expression in Human Melanoma Cells. J. Transl. Med. 2017, 15, 46. [Google Scholar] [CrossRef]
- Wang, H.; Tran, T.T.; Duong, K.T.; Nguyen, T.; Le, U.M. Options of Therapeutics and Novel Delivery Systems of Drugs for the Treatment of Melanoma. Mol. Pharm. 2022, 19, 4487–4505. [Google Scholar] [CrossRef]
- Gregório, H.; Raposo, T.P.; Queiroga, F.L.; Prada, J.; Pires, I. Investigating Associations of Cyclooxygenase-2 Expression with Angiogenesis, Proliferation, Macrophage and T-Lymphocyte Infiltration in Canine Melanocytic Tumours. Melanoma Res. 2016, 26, 338–347. [Google Scholar] [CrossRef]
- Carvalho, M.I.; Pires, I.; Prada, J.; Raposo, T.P.; Gregório, H.; Lobo, L.; Queiroga, F.L. High COX-2 Expression Is Associated with Increased Angiogenesis, Proliferation and Tumoural Inflammatory Infiltrate in Canine Malignant Mammary Tumours: A Multivariate Survival Study. Vet. Comp. Oncol. 2017, 15, 619–631. [Google Scholar] [CrossRef]
- Hodorogea, A.; Calinescu, A.; Antohe, M.; Balaban, M.; Nedelcu, R.I.; Turcu, G.; Ion, D.A.; Badarau, I.A.; Popescu, C.M.; Popescu, R.; et al. Epithelial-Mesenchymal Transition in Skin Cancers: A Review. Anal. Cell. Pathol. 2019, 2019, 3851576. [Google Scholar] [CrossRef]
- Zhang, X.; Qu, P.; Zhao, H.; Zhao, T.; Cao, N. COX-2 Promotes Epithelial-Mesenchymal Transition and Migration in Osteosarcoma MG-63 Cells via PI3K/AKT/NF-ΚB Signaling. Mol. Med. Rep. 2019, 20, 3811–3819. [Google Scholar] [CrossRef]
- Silveira, T.L.; Pang, L.Y.; Di Domenico, A.; Veloso, E.S.; Silva, I.L.D.; Puerto, H.L.D.; Ferreria, E.; Argyle, D.J. COX-2 Silencing in Canine Malignant Melanoma Inhibits Malignant Behaviour. Front. Vet. Sci. 2021, 8, 633170. [Google Scholar] [CrossRef]
- Pearlman, R.L.; Montes de Oca, M.K.; Pal, H.C.; Afaq, F. Potential Therapeutic Targets of Epithelial–Mesenchymal Transition in Melanoma. Cancer Lett. 2017, 391, 125–140. [Google Scholar] [CrossRef]
- Maekawa, N.; Konnai, S.; Asano, Y.; Sajiki, Y.; Deguchi, T.; Okagawa, T.; Watari, K.; Takeuchi, H.; Takagi, S.; Hosoya, K.; et al. Exploration of Serum Biomarkers in Dogs with Malignant Melanoma Receiving Anti-PD-L1 Therapy and Potential of COX-2 Inhibition for Combination Therapy. Sci. Rep. 2022, 12, 9265. [Google Scholar] [CrossRef]
- Thamm, D.H.; Ehrhart, E.J.; Charles, J.B.; Elce, Y.A. Cyclooxygenase-2 Expression in Equine Tumors. Vet. Pathol. 2008, 45, 825–828. [Google Scholar] [CrossRef]
- Rassnick, K.; Njaa, B. Cyclooxygenase-2 Immunoreactivity in Equine Ocular Squamous-Cell Carcinoma. J. Vet. Diagn. Investig. 2007, 19, 436–439. [Google Scholar] [CrossRef] [PubMed]
- Smith, K.M.; Scase, T.J.; Miller, J.L.; Donaldson, D.; Sansom, J. Expression of Cyclooxygenase-2 by Equine Ocular and Adnexal Squamous Cell Carcinomas. Vet. Ophthalmol. 2008, 11, 8–14. [Google Scholar] [CrossRef] [PubMed]
- Suárez-Bonnet, A.; Willis, C.; Pittaway, R.; Smith, K.; Mair, T.; Priestnall, S.L. Molecular Carcinogenesis in Equine Penile Cancer: A Potential Animal Model for Human Penile Cancer. Urol. Oncol. Semin. Orig. Investig. 2018, 36, 532.e9–532.e18. [Google Scholar] [CrossRef] [PubMed]
- Jottini, S.; Cantoni, A.M.; Muzzoni, E.; Reppas, G.; Corradi, A. Immunohistochemical Expression of Cyclooxygenase-2 (Cox-2) in Four Cases of Equine Mammary Gland Tumours. J. Comp. Pathol. 2009, 141, 291. [Google Scholar] [CrossRef]
- van den Top, J.G.B.; Harkema, L.; Ensink, J.M.; Barneveld, A.; Martens, A.; van de Lest, C.H.A.; van Weeren, P.R.; Gröne, A. Expression of Cyclo-Oxygenases-1 and -2, and Microsomal Prostaglandin E Synthase-1 in Penile and Preputial Papillomas and Squamous Cell Carcinomas in the Horse. Equine Vet. J. 2014, 46, 618–624. [Google Scholar] [CrossRef] [PubMed]
- Moore, A.S.; Beam, S.L.; Rassnick, K.M.; Provost, P. Long-Term Control of Mucocutaneous Squamous Cell Carcinoma and Metastases in a Horse Using Piroxicam. Equine Vet. J. 2003, 35, 715–718. [Google Scholar] [CrossRef]
- Elce, Y.; Orsini, J.; Blikslager, A. Expression of Cyclooxygenase-1 and -2 in Naturally Occurring Squamous Cell Carcinomas in Horses. Am. J. Vet. Res. 2007, 68, 76–80. [Google Scholar] [CrossRef]
- McInnis, C.; Giuliano, E.; Johnson, P.; Turk, J. Immunohistochemical evaluation of Cyclooxygenase Expression in Corneal Squamous Cell Carcinoma in Horses. Am. J. Vet. Res. 2007, 68, 165–170. [Google Scholar] [CrossRef]
- Kumar, D.; Rahman, H.; Tyagi, E.; Liu, T.; Li, C.; Lu, R.; Lum, D.; Holmen, S.L.; Maschek, J.A.; Cox, J.E.; et al. Aspirin Suppresses PGE2 and Activates AMP Kinase to Inhibit Melanoma Cell Motility, Pigmentation, and Selective Tumor Growth In Vivo. Cancer Prev. Res. 2018, 11, 629–641. [Google Scholar] [CrossRef]
- Zhou, P.; Qin, J.; Li, Y.; Li, G.; Wang, Y.; Zhang, N.; Chen, P.; Li, C. Combination Therapy of PKCζ and COX-2 Inhibitors Synergistically Suppress Melanoma Metastasis. J. Exp. Clin. Cancer Res. 2017, 36, 115. [Google Scholar] [CrossRef] [PubMed]
- Pimenta, J.; Pires, I.; Prada, J.; Cotovio, M. E-Cadherin Immunostaining in Equine Melanocytic Tumors. Animals 2023, 13, 2216. [Google Scholar] [CrossRef] [PubMed]
- Queiroga, F.L.; Pires, I.; Lobo, L.; Lopes, C.S. The Role of Cox-2 Expression in the Prognosis of Dogs with Malignant Mammary Tumours. Res. Vet. Sci. 2010, 88, 441–445. [Google Scholar] [CrossRef] [PubMed]
- Knottenbelt, D.C.; Patterson-Kane, J.C.; Snalune, K.L. The Challenges and Problems of Equine Oncological Practice. In Clinical Equine Oncology; Elsevier: Amsterdam, The Netherlands, 2015; pp. 237–246. ISBN 978-0-7020-4266-9. [Google Scholar]
- Mair, T. Equine Veterinary Education Virtual Issue on Oncology. Equine Vet. Educ. 2014, 26, 115. [Google Scholar] [CrossRef]
- Seltenhammer, M.H.; Simhofer, H.; Scherzer, S.; Zechner, P.; Curik, I.; Sölkner, J.; Brandt, S.M.; Jansen, B.; Pehamberger, H.; Eisenmenger, E. Equine Melanoma in a Population of 296 Grey Lipizzaner Horses. Equine Vet. J. 2003, 35, 153–157. [Google Scholar] [CrossRef]
- Pires, I.; Prada, J.; Coelho, L.; Garcia, A.; Queiroga, F. Tumor-Associated Macrophages (TAMs) and Cox-2 Expression in Canine Melanocytitc Lesions. In Melanoma in the Clinic—Diagnosis, Management and Complications of Malignancy; Murph, M., Ed.; InTech: London, UK, 2011; pp. 163–180. [Google Scholar]
- Silveira, T.L.; Veloso, E.S.; Gonçalves, I.N.N.; Costa, R.F.; Rodrigues, M.A.; Cassali, G.D.; Del Puerto, H.L.; Pang, L.Y.; Argyle, D.J.; Ferreira, E. Cyclooxygenase-2 Expression Is Associated with Infiltration of Inflammatory Cells in Oral and Skin Canine Melanomas. Vet. Comp. Oncol. 2020, 18, 727–738. [Google Scholar] [CrossRef]
- Pires, I.; Garcia, A.; Prada, J.; Queiroga, F.L. COX-1 and COX-2 Expression in Canine Cutaneous, Oral and Ocular Melanocytic Tumours. J. Comp. Pathol. 2010, 143, 142–149. [Google Scholar] [CrossRef] [PubMed]
- Mohammed, S.I.; Khan, K.N.M.; Sellers, R.S.; Hayek, M.G.; DeNicola, D.B.; Wu, L.; Bonney, P.L.; Knapp, D.W. Expression of Cyclooxygenase-1 and 2 in Naturally-Occurring Canine Cancer. Prostaglandins Leukot. Essent. Fat. Acids 2004, 70, 479–483. [Google Scholar] [CrossRef]
- Pimenta, J.; Prada, J.; Garcia, A.; Queiroga, F.; Pires, I.; Cotovio, M. Comparison of Immunohistochemical Expression of Cyclooxygenase-2 (COX-2) between Canine and Equine Melanomas. In Proceedings of the European Congress of Veterinary Pathology & Clinical Pathology, Lisbon, Portugal, 31 August–2 September 2023. [Google Scholar]
- Kuźbicki, L.; Urban, J.; Chwirot, B.W. Different Detectability of Cyclooxygenase-2 (COX-2) Protein in Standard Paraffin Sections and Tissue Microarrays of Human Melanomas and Naevi—Comparative Study. Pathol. Res. Pract. 2014, 210, 591–595. [Google Scholar] [CrossRef]
- Kuzbicki, Ł.; Sarnecka, A.; Chwirot, B. Expression of Cyclooxygenase-2 in Benign Naevi and during Human Cutaneous Melanoma Progression. Melanoma Res. 2006, 16, 29–36. [Google Scholar] [CrossRef]
- Nascimento, J.; Carlos, R.; Delgado-Azañero, W.; Mosqueda Taylor, A.; de Almeida, O.P.; Romañach, M.J.B.A.B. Immunohistochemical Expression of Cyclooxygenase-2 (COX-2) in Oral Nevi and Melanoma. J. Oral Pathol. Med. 2016, 45, 440–443. [Google Scholar] [CrossRef] [PubMed]
- Kuźbicki, Ł.; Lange, D.; Straczyńska-Niemiec, A.; Chwirot, B.W. The Value of Cyclooxygenase-2 Expression in Differentiating between Early Melanomas and Histopathologically Difficult Types of Benign Human Skin Lesions. Melanoma Res. 2012, 22, 70–76. [Google Scholar] [CrossRef]
- Martínez, C.M.; Peñafiel-Verdú, C.; Vilafranca, M.; Ramírez, G.; Méndez-Gallego, M.; Buendía, A.J.; Sánchez, J. Cyclooxygenase-2 Expression Is Related with Localization, Proliferation, and Overall Survival in Canine Melanocytic Neoplasms. Vet. Pathol. 2011, 48, 1204–1211. [Google Scholar] [CrossRef]
- Deleon, M. Cutaneous Melanoma: A Comparative Study Between Gray Horses, Canines, and Humans; Iowa State University: Ames, IA, USA, 2021. [Google Scholar]
- Van Der Weyden, L.; Patton, E.E.; Wood, G.A.; Foote, A.K.; Brenn, T.; Arends, M.J.; Adams, D.J. Cross-Species Models of Human Melanoma. J. Pathol. 2016, 238, 152–165. [Google Scholar] [CrossRef]
- Ghasemi, M.; Afshar, P.; Sheidaei, S.; Moeini, Y.; Larijani, L. The Role of Immunohistochemistry Expression of COX-2 in Differentiating Pigmented Benign and Malignant Skin Neoplasms. Med. J. Islam Repub. Iran 2019, 33, 1–7. [Google Scholar] [CrossRef]
- Goulet, A.C.; Einsphar, J.G.; Alberts, D.S.; Beas, A.; Burk, C.; Bhattacharyya, A.; Bangert, J.; Harmon, J.M.; Fujiwara, H.; Koki, A.; et al. Analysis of Cyclooxygenase 2 (COX-2) Expression during Malignant Melanoma Progression. Cancer Biol. Ther. 2003, 2, 713–718. [Google Scholar] [CrossRef]
- Jafarian, A.H.; Roshan, N.M.; Gharib, M.; Moshirahmadi, V.; Tasbandi, A.; Ayatollahi, A.A.; Ayatollahi, H. Evaluation of Cyclooxygenase-2 Expression in Association with Clinical-Pathological Factors in Malignant Melanoma. Iran J. Pathol. 2019, 14, 96–103. [Google Scholar] [CrossRef]
- Paglia, D.; Dubielzig, R.; Kado-Fong, H.; Maggs, D. Expression of Cyclooxygenase-2 in Canine Uveal Neoplasms. Am. J. Vet. Res. 2009, 70, 1284–1290. [Google Scholar] [CrossRef] [PubMed]
- Minami, S.; Lum, C.; Kitagawa, K.; Namiki, T. Immunohistochemical Expression of Cyclooxygenage-2 in Melanocytic Skin Lesions. Int. J. Dermatol. 2011, 50, 24–29. [Google Scholar] [CrossRef]
- Seo, K.-w.; Coh, Y.-r.; Rebhun, R.B.; Ahn, J.-o.; Han, S.M.; Lee, H.-w.; Youn, H.-Y. Antitumor Effects of Celecoxib in COX-2 Expressing and Non-Expressing Canine Melanoma Cell Lines. Res. Vet. Sci. 2014, 96, 482–486. [Google Scholar] [CrossRef] [PubMed]
- Iacono, D.; Cinausero, M.; Gerratana, L.; Angione, V.; Scott, C.A.; De Maglio, G.; Pizzolitto, S.; Di Loreto, C.; Puglisi, F.; Fasola, G.; et al. Tumour-Infiltrating Lymphocytes, Programmed Death Ligand 1 and Cyclooxygenase-2 Expression in Skin Melanoma of Elderly Patients: Clinicopathological Correlations. Melanoma Res. 2018, 28, 547–554. [Google Scholar] [CrossRef] [PubMed]
- Soares, C.D.; Hernandez-Guerrero, J.C.; de Andrade, B.A.B.; Romañach, M.J.; Mosqueda-Taylor, A.; Carlos, R.; Macedo, M.R.S.; de Almeida, O.P.; Jorge, J. Comparative Expression of Cyclooxygenase 2 and Ki67 in Amelanotic and Conventional Oral Melanoma. Med. Oral Patol. Oral Cir. Bucal 2020, 25, e728–e731. [Google Scholar] [CrossRef] [PubMed]
- Hanks, B.A. The “Inside” Story on Tumor-Expressed PD-L1. Cancer Res. 2022, 82, 2069–2071. [Google Scholar] [CrossRef]
- Tarone, L.; Giacobino, D.; Camerino, M.; Ferrone, S.; Buracco, P.; Cavallo, F.; Riccardo, F. Canine Melanoma Immunology and Immunotherapy: Relevance of Translational Research. Front. Vet. Sci. 2022, 9, 803093. [Google Scholar] [CrossRef]
- Hossain, S.M.; Eccles, M.R. Phenotype Switching and the Melanoma Microenvironment; Impact on Immunotherapy and Drug Resistance. Int. J. Mol. Sci. 2023, 24, 1601. [Google Scholar] [CrossRef]
- Shields, B.D.; Koss, B.; Taylor, E.M.; Storey, A.J.; West, K.L.; Byrum, S.D.; Mackintosh, S.G.; Edmondson, R.; Mahmoud, F.; Shalin, S.C.; et al. Loss of E-Cadherin Inhibits CD103 Antitumor Activity and Reduces Checkpoint Blockade Responsiveness in Melanoma. Cancer Res. 2019, 79, 1113–1123. [Google Scholar] [CrossRef]
- Chen, S.; McMiller, T.; Sankaran, P.; Kampta, K.; Topalian, S. The COX-2 Pathway as a Mediator of Resistance to Anti-PD-1 Therapy. J. Immunother. Cancer 2021, 9, A312. [Google Scholar] [CrossRef]
- Pimenta, J.; Prada, J.; Pires, I.; Cotovio, M. Programmed Cell Death-Ligand 1 (PD-L1) Immunohistochemical Expression in Equine Melanocytic Tumors. Animals 2023, 14, 48. [Google Scholar] [CrossRef] [PubMed]
- Ganbaatar, O.; Konnai, S.; Okagawa, T.; Nojima, Y.; Maekawa, N.; Minato, E.; Kobayashi, A.; Ando, R.; Sasaki, N.; Miyakoshi, D.; et al. PD-L1 Expression in Equine Malignant Melanoma and Functional Effects of PD-L1 Blockade. PLoS ONE 2020, 15, e0234218. [Google Scholar] [CrossRef] [PubMed]

| Benign | Malignant | Total | p | |
|---|---|---|---|---|
| Negative | 28/39 (71.8%) | 5/38 (13.2%) | 33/77 (42.9%) | 0.001 |
| Low | 8/39 (20.5%) | 24/38 (63.2%) | 32/77 (41.6%) | |
| High | 3/39 (7.7%) | 9/38 (23.6%) | 12/77 (15.5%) |
| Benign | Malignant | Total | p | |
|---|---|---|---|---|
| Negative | 28/39 (71.8%) | 5/38 (13.2%) | 33/77 (42.9%) | <0.001 |
| Positive | 11/39 (28.2%) | 33/38 (86.8%) | 44/77 (57.1%) |
| Mitotic Count | Mitosis Evaluation | |||||||||
|---|---|---|---|---|---|---|---|---|---|---|
| COX-2 Classification | 0 | <10 | >10 | Total | p | COX-2 Classification | Present | Absent | Total | p |
| Positive | 32 | 3 | 9 | 44 | <0.001 | Positive | 12 | 32 | 44 | 0.005 |
| Negative | 32 | 0 | 1 | 33 | Negative | 1 | 32 | 33 | ||
| Total | 64 | 3 | 10 | 77 | Total | 13 | 64 | 77 | ||
| Tumor Vascular Emboli | ||||
|---|---|---|---|---|
| COX-2 Classification | Present | Absent | Total | p |
| Positive | 24 | 20 | 44 | <0.001 |
| Negative | 3 | 30 | 33 | |
| Total | 27 | 50 | 77 | |
| Immunohistochemistry | Benign (n = 39) | Malignant (n = 38) | Total (n = 77) | p | |
|---|---|---|---|---|---|
| Extension | 0 (negative cells) | 28 | 5 | 33 | <0.001 |
| 1 (1–5% cells) | 0 | 1 | 1 | ||
| 2 (6–20% cells) | 3 | 8 | 11 | ||
| 3 (21–50% cells) | 8 | 18 | 26 | ||
| 4 (>50% cells) | 0 | 6 | 6 | ||
| Immunohistochemistry | Benign (n = 39) | Malignant (n = 38) | Total (n = 77) | p | |
|---|---|---|---|---|---|
| Intensity | 0 (negative) | 28 | 5 | 33 | <0.001 |
| 1 (weak) | 3 | 15 | 18 | ||
| 2 (moderate) | 5 | 10 | 15 | ||
| 3 (strong) | 3 | 8 | 11 | ||
| Immunohistochemistry | Cutaneous (n = 36) | Mucocutaneous (n = 30) | p | |
|---|---|---|---|---|
| Extension | 0 (negative cells) | 18 | 8 | 0.07 |
| 1 (1–5% cells) | 0 | 1 | ||
| 2 (6–20% cells) | 4 | 6 | ||
| 3 (21–50% cells) | 13 | 10 | ||
| 4 (>50% cells) | 1 | 5 | ||
| Immunohistochemistry | Cutaneous (n = 36) | Mucocutaneous (n = 30) | p | |
|---|---|---|---|---|
| Intensity | 0 (negative) | 18 | 8 | 0.5 |
| 1 (weak) | 4 | 12 | ||
| 2 (moderate) | 7 | 7 | ||
| 3 (strong) | 7 | 3 | ||
Disclaimer/Publisher’s Note: The statements, opinions and data contained in all publications are solely those of the individual author(s) and contributor(s) and not of MDPI and/or the editor(s). MDPI and/or the editor(s) disclaim responsibility for any injury to people or property resulting from any ideas, methods, instructions or products referred to in the content. |
© 2024 by the authors. Licensee MDPI, Basel, Switzerland. This article is an open access article distributed under the terms and conditions of the Creative Commons Attribution (CC BY) license (https://creativecommons.org/licenses/by/4.0/).
Share and Cite
Pimenta, J.; Prada, J.; Pires, I.; Cotovio, M. Cyclooxygenase-2 (COX-2) Expression in Equine Melanocytic Tumors. Vet. Sci. 2024, 11, 77. https://doi.org/10.3390/vetsci11020077
Pimenta J, Prada J, Pires I, Cotovio M. Cyclooxygenase-2 (COX-2) Expression in Equine Melanocytic Tumors. Veterinary Sciences. 2024; 11(2):77. https://doi.org/10.3390/vetsci11020077
Chicago/Turabian StylePimenta, José, Justina Prada, Isabel Pires, and Mário Cotovio. 2024. "Cyclooxygenase-2 (COX-2) Expression in Equine Melanocytic Tumors" Veterinary Sciences 11, no. 2: 77. https://doi.org/10.3390/vetsci11020077
APA StylePimenta, J., Prada, J., Pires, I., & Cotovio, M. (2024). Cyclooxygenase-2 (COX-2) Expression in Equine Melanocytic Tumors. Veterinary Sciences, 11(2), 77. https://doi.org/10.3390/vetsci11020077

