APAVAC Immunotherapy for the Adjuvant Treatment of a Canine Mucosal Melanoma
Simple Summary
Abstract
1. Introduction
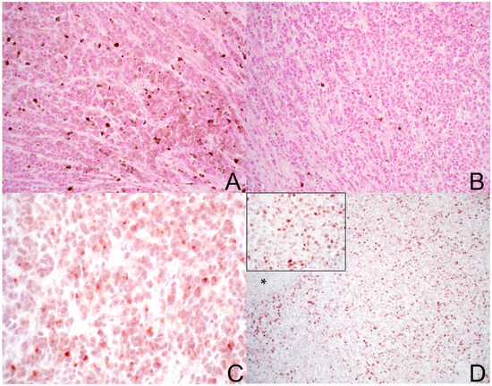
2. Case Presentation
3. Discussion
Supplementary Materials
Author Contributions
Funding
Institutional Review Board Statement
Informed Consent Statement
Data Availability Statement
Conflicts of Interest
References
- Smedley, R.C.; Bongiovanni, L.; Bacmeister, C.; Clifford, C.A.; Christensen, N.; Dreyfus, J.M.; Gary, J.M.; Pavuk, A.; Rowland, P.H.; Swanson, C.; et al. Diagnosis and Histopathologic Prognostication of Canine Melanocytic Neoplasms: A Consensus of the Oncology-Pathology Working Group. Vet. Comp. Oncol. 2022, 20, 739–751. [Google Scholar] [CrossRef]
- Pazzi, P.; Steenkamp, G.; Rixon, A.J. Treatment of Canine Oral Melanomas: A Critical Review of the Literature. Vet. Sci. 2022, 9, 196. [Google Scholar] [CrossRef]
- Brockley, L.K.; Cooper, M.A.; Bennett, P.F. Malignant Melanoma in 63 Dogs (2001-2011): The Effect of Carboplatin Chemotherapy on Survival. N. Z. Vet. J. 2013, 61, 25–31. [Google Scholar] [CrossRef] [PubMed]
- Cancedda, S.; Rohrer Bley, C.; Aresu, L.; Dacasto, M.; Leone, V.F.; Pizzoni, S.; Gracis, M.; Marconato, L. Efficacy and Side Effects of Radiation Therapy in Comparison with Radiation Therapy and Temozolomide in the Treatment of Measurable Canine Malignant Melanoma. Vet. Comp. Oncol. 2016, 14, e146–e157. [Google Scholar] [CrossRef] [PubMed]
- Freeman, K.P.; Hahn, K.A.; Harris, F.D.; King, G.K. Treatment of Dogs with Oral Melanoma by Hypofractionated Radiation Therapy and Platinum-Based Chemotherapy (1987–1997). J. Vet. Intern. Med. 2003, 17, 96–101. [Google Scholar] [CrossRef] [PubMed]
- Hume, K.R.; Johnson, J.L.; Williams, L.E. Adverse Effects of Concurrent Carboplatin Chemotherapy and Radiation Therapy in Dogs. J. Vet. Intern. Med. 2009, 23, 24–30. [Google Scholar] [CrossRef]
- Rassnick, K.M.; McEntee, M.C.; Erb, H.N.; Burke, B.P.; Balkman, C.E.; Flory, A.B.; Kiselow, M.A.; Autio, K.; Gieger, T.L. Comparison of 3 Protocols for Treatment after Induction of Remission in Dogs with Lymphoma. J. Vet. Intern. Med. 2007, 21, 1364–1373. [Google Scholar] [CrossRef]
- Knight, A.; Karapetyan, L.; Kirkwood, J.M. Immunotherapy in Melanoma: Recent Advances and Future Directions. Cancers 2023, 15, 1106. [Google Scholar] [CrossRef]
- Liao, J.C.F.; Gregor, P.; Wolchok, J.D.; Orlandi, F.; Craft, D.; Leung, C.; Houghton, A.N.; Bergman, P.J. Vaccination with Human Tyrosinase DNA Induces Antibody Responses in Dogs with Advanced Melanoma. Cancer Immun. 2006, 6, 8. [Google Scholar]
- Ottnod, J.M.; Smedley, R.C.; Walshaw, R.; Hauptman, J.G.; Kiupel, M.; Obradovich, J.E. A Retrospective Analysis of the Efficacy of Oncept Vaccine for the Adjunct Treatment of Canine Oral Malignant Melanoma. Vet. Comp. Oncol. 2013, 11, 219–229. [Google Scholar] [CrossRef]
- Turek, M.M.; Thamm, D.H.; Mitzey, A.; Kurzman, I.D.; Huelsmeyer, M.K.; Dubielzig, R.R.; Vail, D.M. Human Granulocyte-Macrophage Colony-Stimulating Factor DNA Cationic-Lipid Complexed Autologous Tumour Cell Vaccination in the Treatment of Canine B-Cell Multicentric Lymphoma. Vet. Comp. Oncol. 2007, 5, 219–231. [Google Scholar] [CrossRef]
- Verganti, S.; Berlato, D.; Blackwood, L.; Amores-Fuster, I.; Polton, G.A.; Elders, R.; Doyle, R.; Taylor, A.; Murphy, S. Use of Oncept Melanoma Vaccine in 69 Canine Oral Malignant Melanomas in the UK. J. Small Anim. Pract. 2017, 58, 10–16. [Google Scholar] [CrossRef] [PubMed]
- Piras, L.A.; Riccardo, F.; Iussich, S.; Maniscalco, L.; Gattino, F.; Martano, M.; Morello, E.; Lorda Mayayo, S.; Rolih, V.; Garavaglia, F.; et al. Prolongation of Survival of Dogs with Oral Malignant Melanoma Treated by En Bloc Surgical Resection and Adjuvant CSPG4-Antigen Electrovaccination. Vet. Comp. Oncol. 2017, 15, 996–1013. [Google Scholar] [CrossRef] [PubMed]
- Riccardo, F.; Iussich, S.; Maniscalco, L.; Mayayo, S.L.; La Rosa, G.; Arigoni, M.; De Maria, R.; Gattino, F.; Lanzardo, S.; Lardone, E.; et al. CSPG4-Specific Immunity and Survival Prolongation in Dogs with Oral Malignant Melanoma Immunized with Human CSPG4 DNA. Clin. Cancer Res. 2014, 20, 3753–3762. [Google Scholar] [CrossRef] [PubMed]
- Prouteau, A.; Mottier, S.; Primot, A.; Cadieu, E.; Bachelot, L.; Botherel, N.; Cabillic, F.; Houel, A.; Cornevin, L.; Kergal, C.; et al. Canine Oral Melanoma Genomic and Transcriptomic Study Defines Two Molecular Subgroups with Different Therapeutical Targets. Cancers 2022, 14, 276. [Google Scholar] [CrossRef] [PubMed]
- Yde, S.S.; Sjoegren, P.; Heje, M.; Stolle, L.B. Mucosal Melanoma: A Literature Review. Curr. Oncol. Rep. 2018, 20, 28. [Google Scholar] [CrossRef]
- Santeufemia, D.A.; Palmieri, G.; Miolo, G.; Colombino, M.; Doro, M.G.; Frogheri, L.; Paliogiannis, P.; Capobianco, G.; Madonia, M.; Cossu, A.; et al. Current Trends in Mucosal Melanomas: An Overview. Cancers 2023, 15, 1356. [Google Scholar] [CrossRef]
- Dranoff, G.; Jaffee, E.; Lazenby, A.; Golumbek, P.; Levitsky, H.; Brose, K.; Jackson, V.; Hamada, H.; Pardoll, D.; Mulligan, R.C. Vaccination with Irradiated Tumor Cells Engineered to Secrete Murine Granulocyte-Macrophage Colony-Stimulating Factor Stimulates Potent, Specific, and Long-Lasting Anti-Tumor Immunity. Proc. Natl. Acad. Sci. USA 1993, 90, 3539–3543. [Google Scholar] [CrossRef]
- Jaffee, S.R.; Caspi, A.; Moffitt, T.E.; Dodge, K.A.; Rutter, M.; Taylor, A.; Tully, L.A. Nature × Nurture: Genetic Vulnerabilities Interact with Physical Maltreatment to Promote Conduct Problems. Dev. Psychopathol. 2005, 17, 67–84. [Google Scholar] [CrossRef]
- Quintin-Colonna, F.; Devauchelle, P.; Fradelizi, D.; Mourot, B.; Faure, T.; Kourilsky, P.; Roth, C.; Mehtali, M. Gene Therapy of Spontaneous Canine Melanoma and Feline Fibrosarcoma by Intratumoral Administration of Histoincompatible Cells Expressing Human Interleukin-2. Gene Ther. 1996, 3, 1104–1112. [Google Scholar]
- Soiffer, R.; Lynch, T.; Mihm, M.; Jung, K.; Rhuda, C.; Schmollinger, J.C.; Hodi, F.S.; Liebster, L.; Lam, P.; Mentzer, S.; et al. Vaccination with Irradiated Autologous Melanoma Cells Engineered to Secrete Human Granulocyte-Macrophage Colony-Stimulating Factor Generates Potent Antitumor Immunity in Patients with Metastatic Melanoma. Proc. Natl. Acad. Sci. USA 1998, 95, 13141–13146. [Google Scholar] [CrossRef]
- Srivastava, N.; McDermott, D. Update on Benefit of Immunotherapy and Targeted Therapy in Melanoma: The Changing Landscape. Cancer Manag. Res. 2014, 6, 279–289. [Google Scholar] [CrossRef]
- Tamura, Y.; Peng, P.; Liu, K.; Daou, M.; Srivastava, P.K. Immunotherapy of Tumors with Autologous Tumor-Derived Heat Shock Protein Preparations. Science 1997, 278, 117–120. [Google Scholar] [CrossRef]
- Rosenberg, S.A.; Packard, B.S.; Aebersold, P.M.; Solomon, D.; Topalian, S.L.; Toy, S.T.; Simon, P.; Lotze, M.T.; Yang, J.C.; Seipp, C.A. Use of Tumor-Infiltrating Lymphocytes and Interleukin-2 in the Immunotherapy of Patients with Metastatic Melanoma. A Preliminary Report. N. Engl. J. Med. 1988, 319, 1676–1680. [Google Scholar] [CrossRef]
- Suto, R.; Srivastava, P.K. A Mechanism for the Specific Immunogenicity of Heat Shock Protein-Chaperoned Peptides. Science 1995, 269, 1585–1588. [Google Scholar] [CrossRef] [PubMed]
- Ciocca, D.R.; Frayssinet, P.; Cuello-Carrión, F.D. A Pilot Study with a Therapeutic Vaccine Based on Hydroxyapatite Ceramic Particles and Self-Antigens in Cancer Patients. Cell Stress. Chaperones 2007, 12, 33–43. [Google Scholar] [CrossRef] [PubMed]
- Laquerriere, P.; Grandjean-Laquerriere, A.; Jallot, E.; Balossier, G.; Frayssinet, P.; Guenounou, M. Importance of Hydroxyapatite Particles Characteristics on Cytokines Production by Human Monocytes in Vitro. Biomaterials 2003, 24, 2739–2747. [Google Scholar] [CrossRef]
- Marconato, L.; Stefanello, D.; Sabattini, S.; Comazzi, S.; Riondato, F.; Laganga, P.; Frayssinet, P.; Pizzoni, S.; Rouquet, N.; Aresu, L. Enhanced Therapeutic Effect of APAVAC Immunotherapy in Combination with Dose-Intense Chemotherapy in Dogs with Advanced Indolent B-Cell Lymphoma. Vaccine 2015, 33, 5080–5086. [Google Scholar] [CrossRef]
- Marconato, L.; Frayssinet, P.; Rouquet, N.; Comazzi, S.; Leone, V.F.; Laganga, P.; Rossi, F.; Vignoli, M.; Pezzoli, L.; Aresu, L. Randomized, Placebo-Controlled, Double-Blinded Chemoimmunotherapy Clinical Trial in a Pet Dog Model of Diffuse Large B-Cell Lymphoma. Clin. Cancer Res. 2014, 20, 668–677. [Google Scholar] [CrossRef]
- Clarke, L.L.; Rissi, D.R. Malignant Rectal Melanoma in 2 Dogs. Can. Vet. J. 2018, 59, 152–154. [Google Scholar] [PubMed]
- Grüntzig, K.; Graf, R.; Hässig, M.; Welle, M.; Meier, D.; Lott, G.; Erni, D.; Schenker, N.S.; Guscetti, F.; Boo, G.; et al. The Swiss Canine Cancer Registry: A Retrospective Study on the Occurrence of Tumours in Dogs in Switzerland from 1955 to 2008. J. Comp. Pathol. 2015, 152, 161–171. [Google Scholar] [CrossRef]
- Baioni, E.; Scanziani, E.; Vincenti, M.C.; Leschiera, M.; Bozzetta, E.; Pezzolato, M.; Desiato, R.; Bertolini, S.; Maurella, C.; Ru, G. Estimating Canine Cancer Incidence: Findings from a Population-Based Tumour Registry in Northwestern Italy. BMC Vet. Res. 2017, 13, 203. [Google Scholar] [CrossRef]
- Mizuno, T. Spontaneously Occurring Canine Cancer as a Relevant Animal Model for Developing Novel Treatments for Human Cancers. Transl. Regul. Sci. 2021, 3, 51–59. [Google Scholar] [CrossRef]
- Van der Bruggen, P.; Traversari, C.; Chomez, P.; Lurquin, C.; De Plaen, E.; Van den Eynde, B.; Knuth, A.; Boon, T. A Gene Encoding an Antigen Recognized by Cytolytic T Lymphocytes on a Human Melanoma. Science 1991, 254, 1643–1647. [Google Scholar] [CrossRef] [PubMed]
- Rosenberg, S.A.; Yang, J.C.; Restifo, N.P. Cancer Immunotherapy: Moving beyond Current Vaccines. Nat. Med. 2004, 10, 909–915. [Google Scholar] [CrossRef]
- Tarone, L.; Giacobino, D.; Camerino, M.; Ferrone, S.; Buracco, P.; Cavallo, F.; Riccardo, F. Canine Melanoma Immunology and Immunotherapy: Relevance of Translational Research. Front. Vet. Sci. 2022, 9, 803093. [Google Scholar] [CrossRef]
- Bergman, P.J. Cancer Immunotherapy. Vet. Clin. North. Am. Small Anim. Pract. 2010, 40, 507–518. [Google Scholar] [CrossRef] [PubMed]
- Weber, L.W.; Bowne, W.B.; Wolchok, J.D.; Srinivasan, R.; Qin, J.; Moroi, Y.; Clynes, R.; Song, P.; Lewis, J.J.; Houghton, A.N. Tumor Immunity and Autoimmunity Induced by Immunization with Homologous DNA. J. Clin. Invest. 1998, 102, 1258–1264. [Google Scholar] [CrossRef] [PubMed][Green Version]
- Bergman, P.J.; McKnight, J.; Novosad, A.; Charney, S.; Farrelly, J.; Craft, D.; Wulderk, M.; Jeffers, Y.; Sadelain, M.; Hohenhaus, A.E.; et al. Long-Term Survival of Dogs with Advanced Malignant Melanoma after DNA Vaccination with Xenogeneic Human Tyrosinase: A Phase I Trial. Clin. Cancer Res. 2003, 9, 1284–1290. [Google Scholar]
- Vail, D.M. Levels of Evidence in Canine Oncology Trials—A Case in Point. Vet. Comp. Oncol. 2013, 11, 167–168. [Google Scholar] [CrossRef]
- Yuan, J.; Ku, G.Y.; Adamow, M.; Mu, Z.; Tandon, S.; Hannaman, D.; Chapman, P.; Schwartz, G.; Carvajal, R.; Panageas, K.S.; et al. Immunologic Responses to Xenogeneic Tyrosinase DNA Vaccine Administered by Electroporation in Patients with Malignant Melanoma. J. Immunother. Cancer 2013, 1, 20. [Google Scholar] [CrossRef] [PubMed]
- Singer, M.; Mutch, M.G. Anal Melanoma. Clin. Colon. Rectal Surg. 2006, 19, 78–87. [Google Scholar] [CrossRef] [PubMed]
- Takashima-Uebelhoer, B.B.; Barber, L.G.; Zagarins, S.E.; Procter-Gray, E.; Gollenberg, A.L.; Moore, A.S.; Bertone-Johnson, E.R. Household Chemical Exposures and the Risk of Canine Malignant Lymphoma, a Model for Human Non-Hodgkin’s Lymphoma. Environ. Res. 2012, 112, 171–176. [Google Scholar] [CrossRef]
- Van Schaik, P.; Ernst, M.; Meijer, H.; Bosscha, K. Melanoma of the Rectum: A Rare Entity. World J. Gastroenterol. 2008, 14, 1633–1635. [Google Scholar] [CrossRef] [PubMed]
- Blecker, D.; Abraham, S.; Furth, E.E.; Kochman, M.L. Melanoma in the Gastrointestinal Tract. Am. J. Gastroenterol. 1999, 94, 3427–3433. [Google Scholar] [CrossRef]
- Kim, D.Y.; Mauldin, G.E.; Hosgood, G.; Cho, D.-Y. Perianal Malignant Melanoma in a Dog. J. Vet. Intern. Med. 2005, 19, 610–612. [Google Scholar] [CrossRef]
- Spugnini, E.P.; Arancia, G.; Porrello, A.; Colone, M.; Formisano, G.; Stringaro, A.; Citro, G.; Molinari, A. Ultrastructural Modifications of Cell Membranes Induced by “Electroporation” on Melanoma Xenografts. Microsc. Res. Tech. 2007, 70, 1041–1050. [Google Scholar] [CrossRef]
- Spangler, W.L.; Kass, P.H. The Histologic and Epidemiologic Bases for Prognostic Considerations in Canine Melanocytic Neoplasia. Vet. Pathol. 2006, 43, 136–149. [Google Scholar] [CrossRef] [PubMed]

Disclaimer/Publisher’s Note: The statements, opinions and data contained in all publications are solely those of the individual author(s) and contributor(s) and not of MDPI and/or the editor(s). MDPI and/or the editor(s) disclaim responsibility for any injury to people or property resulting from any ideas, methods, instructions or products referred to in the content. |
© 2024 by the authors. Licensee MDPI, Basel, Switzerland. This article is an open access article distributed under the terms and conditions of the Creative Commons Attribution (CC BY) license (https://creativecommons.org/licenses/by/4.0/).
Share and Cite
Rinaldi, V.; Bongiovanni, L.; Crisi, P.E.; Vignoli, M.; Peli, R.E.; Masci, S.; Boari, A.; Finotello, R. APAVAC Immunotherapy for the Adjuvant Treatment of a Canine Mucosal Melanoma. Vet. Sci. 2024, 11, 628. https://doi.org/10.3390/vetsci11120628
Rinaldi V, Bongiovanni L, Crisi PE, Vignoli M, Peli RE, Masci S, Boari A, Finotello R. APAVAC Immunotherapy for the Adjuvant Treatment of a Canine Mucosal Melanoma. Veterinary Sciences. 2024; 11(12):628. https://doi.org/10.3390/vetsci11120628
Chicago/Turabian StyleRinaldi, Valentina, Laura Bongiovanni, Paolo Emidio Crisi, Massimo Vignoli, Renato Ennio Peli, Stefano Masci, Andrea Boari, and Riccardo Finotello. 2024. "APAVAC Immunotherapy for the Adjuvant Treatment of a Canine Mucosal Melanoma" Veterinary Sciences 11, no. 12: 628. https://doi.org/10.3390/vetsci11120628
APA StyleRinaldi, V., Bongiovanni, L., Crisi, P. E., Vignoli, M., Peli, R. E., Masci, S., Boari, A., & Finotello, R. (2024). APAVAC Immunotherapy for the Adjuvant Treatment of a Canine Mucosal Melanoma. Veterinary Sciences, 11(12), 628. https://doi.org/10.3390/vetsci11120628

