Histopathological Analysis of Selected Organs of Rats with Congenital Babesiosis Caused by Babesia microti
Abstract
Simple Summary
Abstract
1. Introduction
2. Materials and Methods
2.1. Breeding Conditions
2.2. Parasitemia Control, Euthanasia of Rats, and Collection of Material for Research
2.3. Histological and Ultrastructural Studies
3. Results
3.1. Verification of the Presence of the Merozoites Babesia microti
3.2. Histological Structure of the Kidneys of Rats with Congenital Babesiosis
3.3. Ultrastructure of the Kidneys of Rats with Congenital Babesiosis
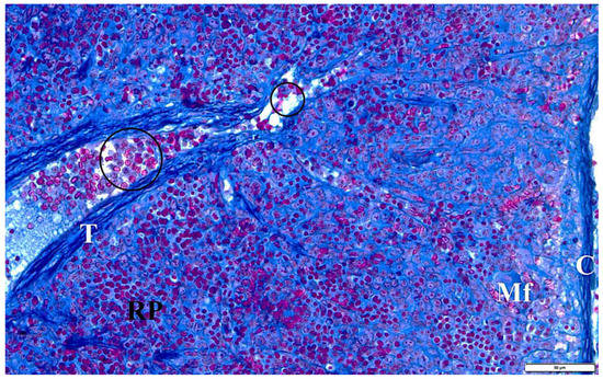
3.4. Histological Structure of the Spleen of Rats with Congenital Babesiosis
3.5. Ultrastructure of the Spleen of Rats with Congenital Babesiosis
4. Discussion
5. Conclusions
- Transplacental invasion of B. microti causes histological histological as well as ultrastructural changes in the structure of the kidneys and spleen in rats.
- Changes caused by a transplacental infection in the kidneys and spleen do not limit reproduction, but they show signs of dysfunction of the excretory system.
- The spleen in three-week-old animals with congenital babesiosis shows typical morphological features and functions characteristically for young rodents, but contact with a pathogen potentially provokes an increased intensity of physiological processes performed by this organ and an increase in its volume.
- Transplacental infection with B. microti does not cause obvious malformations of the observed organs, but microscopic images have indicated that during juvenile life they can cause very serious dysfunctions.
- The possibility of intrauterine infection of the fetus should encourage the introduction of mandatory screening tests for carriers of pathogenic Babesia species, especially in young women, blood donors, and people exposed to tick bites for occupational reasons.
Author Contributions
Funding
Institutional Review Board Statement
Informed Consent Statement
Data Availability Statement
Acknowledgments
Conflicts of Interest
References
- Bajer, A.; Dwużnik-Szarek, D. The specificity of Babesia-tick vector interactions: Recent advances and pitfalls in molecular and field studies. Parasites Vectors 2021, 14, 507. [Google Scholar] [CrossRef] [PubMed]
- Akel, T.; Mobarakai, N. Hematologic manifestations of babesiosis. Ann. Clin. Microbiol. Antimicrob. 2017, 15, 6. [Google Scholar] [CrossRef]
- Rojas-Pirela, M.; Medina, L.; Rojas, M.V.; Liempi, A.I.; Castillo, C.; Pérez-Pérez, E.; Guerrero-Muñoz, J.; Araneda, S.; Kemmerling, U. Congenital transmission of apicomplexan parasites: A review. Front. Microbiol. 2021, 12, 751648. [Google Scholar] [CrossRef]
- Tufts, D.M.; Diuk-Wasser, M.A. Transplacental transmission of tick-borne Babesia microti in its natural host Peromyscus leucopus. Parasites Vectors 2018, 11, 286. [Google Scholar] [CrossRef] [PubMed]
- Tołkacz, K.; Bednarska, M.; Alsarraf, M.; Dwużnik, D.; Grzybek, M.; Welc-Falęciak, R.; Behnke, J.M.; Bajer, A. Prevalence, genetic identity and vertical transmission of Babesia microti in three naturally infected species of vole, Microtus spp. (Cricetidae). Parasites Vectors 2017, 10, 66. [Google Scholar] [CrossRef] [PubMed]
- Bednarska, M.; Bajer, A.; Drozdowska, A.; Mierzejewska, E.J.; Tolkacz, K.; Welc-Falęciak, R. Vertical transmission of Babesia microti in BALB/c mice: Preliminary report. PLoS ONE 2015, 10, e0137731. [Google Scholar] [CrossRef]
- Tołkacz, K.; Rodo, A.; Wdowiarska, A.; Bajer, A.; Bednarska, M. Impact of Babesia microti infection on the initiation and course of pregnancy in BALB/c mice. Parasites Vectors 2021, 14, 132. [Google Scholar] [CrossRef]
- Okła, H.; Jasik, K.P.; Słodki, J.; Rozwadowska, B.; Słodki, A.; Jurzak, M.; Pierzchaa, E. Hepatic tissue changes in rats due to chronic invasion of Babesia microti. Folia Biol. 2014, 62, 353–359. [Google Scholar] [CrossRef]
- Okła, H.; Jasik, K.P.; Rozwadowska, B.; Słodki, J.; Urbańska-Jasik, D.; Grelowski, M.; Chmielik, E.; Słodki, A.; Albertyńska, M.; Grajoszek, A. Rat spleen in the course of Babesia microti invasion: Histological and submicroscopic studies. Acta Protozool. 2017, 56, 129–137. [Google Scholar] [CrossRef]
- Jasik, K.P.; Okła, H.; Słodki, J.; Rozwadowska, B.; Słodki, A.; Rupik, W. Congenital tick borne diseases: Is this an alternative route of transmission of tick-borne pathogens in mammals? Vector-Borne Zoonotic Dis. 2015, 15, 637–644. [Google Scholar] [CrossRef]
- Albertyńska, M.; Rupik, W.; Hermyt, M.; Okła, H.; Jasik, K. Babesia microti—Known and unknown protists. Glob. J. Zoöl. 2017, 2, 001–007. [Google Scholar] [CrossRef]
- Hildebrandt, A.; Zintl, A.; Montero, E.; Hunfeld, K.-P.; Gray, J. Human Babesiosis in Europe. Pathogens 2021, 10, 1165. [Google Scholar] [CrossRef] [PubMed]
- Ngo, V.; Civen, R. Babesiosis acquired through blood transfusion, California, USA. Emerg. Infect. Dis. 2009, 15, 785–787. [Google Scholar] [CrossRef]
- Wójcik-Fatla, A.; Zając, V.; Sawczyn-Domańska, A.; Cisak, E.; Dutkiewicz, J. Babesia spp. in questing ticks from eastern Poland: Prevalence and species diversity. Parasitol. Res. 2015, 114, 3111–3116. [Google Scholar] [CrossRef]
- Fabiani, S.; Fortunato, S.; Bruschi, F. Solid organ transplant and parasitic diseases: A review of the clinical cases in the last two decades. Pathogens 2018, 7, 65. [Google Scholar] [CrossRef]
- Rabah, H.; Chukkalore, D.; El-Charabaty, E.; Mobarakai, N. Babesiosis and the human immune system. IDCases 2021, 27, e01368. [Google Scholar] [CrossRef] [PubMed]
- Vannier, E.; Krause, P.J. Update on Babesiosis. Interdiscip. Perspect. Infect. Dis. 2009, 2009, 984568. [Google Scholar] [CrossRef]
- Parija, S.C.; Dinoop, K.; Venugopal, H. Diagnosis and management of human babesiosis. Trop. Parasitol. 2015, 5, 88–93. [Google Scholar] [CrossRef]
- Joseph, J.T.; Purtill, K.; Wong, S.J.; Munoz, J.; Teal, A.; Madison-Antenucci, S.; Horowitz, H.W.; Aguero-Rosenfeld, M.E.; Moore, J.M.; Abramowsky, C.; et al. Vertical transmission of Babesia microti, United States. Emerg. Infect. Dis. 2014, 18, 1318–1321. [Google Scholar] [CrossRef]
- Sanchez, E.; Vannier, E.; Wormser, G.P.; Hu, L.T. Diagnosis, treatment, and prevention of Lyme disease, human granulocytic anaplasmosis, and babesiosis: A review. JAMA 2016, 315, 1767–1777. [Google Scholar] [CrossRef]
- Shah, J.S.; Harris, N.S. Detection of Babesia microti by fluorescent in situ-hybridization. In Proceedings of the 39th International Conference on Antimicrobial Agents and Chemotherapy, San Francisco, CA, USA, 26–29 September 1999. [Google Scholar]
- Suttie, W.A. Boorman’s Pathology of the Rat, 2nd ed.; Elsevier: London, UK, 2019; pp. 125–144, 470–471. [Google Scholar]
- Marcos, L.A.; Leung, A.; Kirkman, L.; Wormser, G.P. Use of tafenoquine to treat a patient with relapsing babesiosis with clinical and molecular evidence of resistance to azithromycin and atovaquone. IDCases 2022, 27, e01460. [Google Scholar] [CrossRef]
- Luciano, R.L.; Moeckel, G.; Palmer, M.; Perazella, M.A. Babesiosis-induced acute kidney injury with prominent urinary macrophages. Am. J. Kidney Dis. 2013, 62, 801–805. [Google Scholar] [CrossRef] [PubMed]
- Albertyńska, M.; Okła, H.; Jasik, K.; Urbańska-Jasik, D.; Pol, P. Interactions between Babesia microti merozoites and rat kidney cells in a short-term in vitro culture and animal model. Sci. Rep. 2021, 11, 23663. [Google Scholar] [CrossRef] [PubMed]
- Krawitz, S.; Kavathia, N.; Choksy, P. A case of Babesiosis complicated by hepatic and renal failure. Med. Forum 2009, 11, 11. [Google Scholar] [CrossRef]
- Djokic, V.; Akoolo, L.; Parveen, N. Babesia microti infection changes host spleen architecture and is cleared by a Th1 immune response. Front. Microbiol. 2018, 9, 85. [Google Scholar] [CrossRef]
- Dkhil, M.A.; Al-Quraishy, S.; Al-Khalifa, M.S. The effect of Babesia divergens infection on the spleen of Mongolian gerbils. BioMed Res. Int. 2014, 2014, 483854. [Google Scholar] [CrossRef]
- Zafar, I.; Galon, E.M.; Kondoh, D.; Efstratiou, A.; Li, J.; Ji, S.; Liu, M.; Li, Y.; Hasegawa, Y.; Zhou, J.; et al. The cross-species immunity during acute Babesia co-infection in mice. Front. Cell. Infect. Microbiol. 2022, 12, 885985. [Google Scholar] [CrossRef]
- Jerzak, M.; Gandurski, A.; Tokaj, M.; Stachera, W.; Szuba, M.; Dybicz, M. Advances in Babesia vaccine development: An overview. Pathogens 2023, 12, 300. [Google Scholar] [CrossRef]
- Djokic, V.; Rocha, S.C.; Parveen, N. Lessons learned for pathogenesis, immunology, and disease of erythrocytic parasites: Plasmodium and Babesia. Front. Cell. Infect. Microbiol. 2021, 11, 685239. [Google Scholar] [CrossRef]
- Xue, X.; Ren, S.; Yang, X.; Masoudi, A.; Hu, Y.; Wang, X.; Li, H.; Zhang, X.; Wang, M.; Wang, H.; et al. Protein regulation strategies of the mouse spleen in response to Babesia microti infection. Parasites Vectors 2021, 14, 61. [Google Scholar] [CrossRef]
- Delbecq, S. Major surface antigens in zoonotic Babesia. Pathogens 2022, 11, 99. [Google Scholar] [CrossRef] [PubMed]












| Disclaimer/Publisher’s Note: The statements, opinions and data contained in all publications are solely those of the individual author(s) and contributor(s) and not of MDPI and/or the editor(s). MDPI and/or the editor(s) disclaim responsibility for any injury to people or property resulting from any ideas, methods, instructions or products referred to in the content. | 
© 2023 by the authors. Licensee MDPI, Basel, Switzerland. This article is an open access article distributed under the terms and conditions of the Creative Commons Attribution (CC BY) license (https://creativecommons.org/licenses/by/4.0/).
Share and Cite
Jasik, K.; Kleczka, A.; Filipowska, S. Histopathological Analysis of Selected Organs of Rats with Congenital Babesiosis Caused by Babesia microti. Vet. Sci. 2023, 10, 291. https://doi.org/10.3390/vetsci10040291
Jasik K, Kleczka A, Filipowska S. Histopathological Analysis of Selected Organs of Rats with Congenital Babesiosis Caused by Babesia microti. Veterinary Sciences. 2023; 10(4):291. https://doi.org/10.3390/vetsci10040291
Chicago/Turabian StyleJasik, Krzysztof, Anna Kleczka, and Sandra Filipowska. 2023. "Histopathological Analysis of Selected Organs of Rats with Congenital Babesiosis Caused by Babesia microti" Veterinary Sciences 10, no. 4: 291. https://doi.org/10.3390/vetsci10040291
APA StyleJasik, K., Kleczka, A., & Filipowska, S. (2023). Histopathological Analysis of Selected Organs of Rats with Congenital Babesiosis Caused by Babesia microti. Veterinary Sciences, 10(4), 291. https://doi.org/10.3390/vetsci10040291
 
        


